HMG-CoA Reductase Inhibitor, Simvastatin Is Effective in Decreasing Degree of Myocarditis by Inhibiting Metalloproteinases Activation
Abstract
1. Introduction
2. Materials and Methods
2.1. Animals for Active EAM
2.2. Induction of Active EAM and Protocol of Experiment
2.3. Echocardiography
2.4. Sample Collection
2.5. Measurement of MMP-2 and MMP-9 by Gelatine Zymography
2.6. Measurement of Troponin I by Western Blot
2.7. Assessment of the Severity of the Inflammation in the Light Microscope (HE)
2.8. Assessment of the Myofibrils in the Transmission Electron Microscope (TEM)
2.9. Statistical Analysis
3. Results
3.1. Influence of Simvastatin on Left Ventricular Enlargement in Rat Hearts Subjected to EAM
3.2. Inhibition of MMP-9 Activity by Simvastatin in Rat Hearts Subjected to EAM
3.3. Simvastatin Has no Significant Effect on MMP-2 Activity
3.4. Troponin Level in Simvastatin Treated Rat Hearts Subjected to EAM
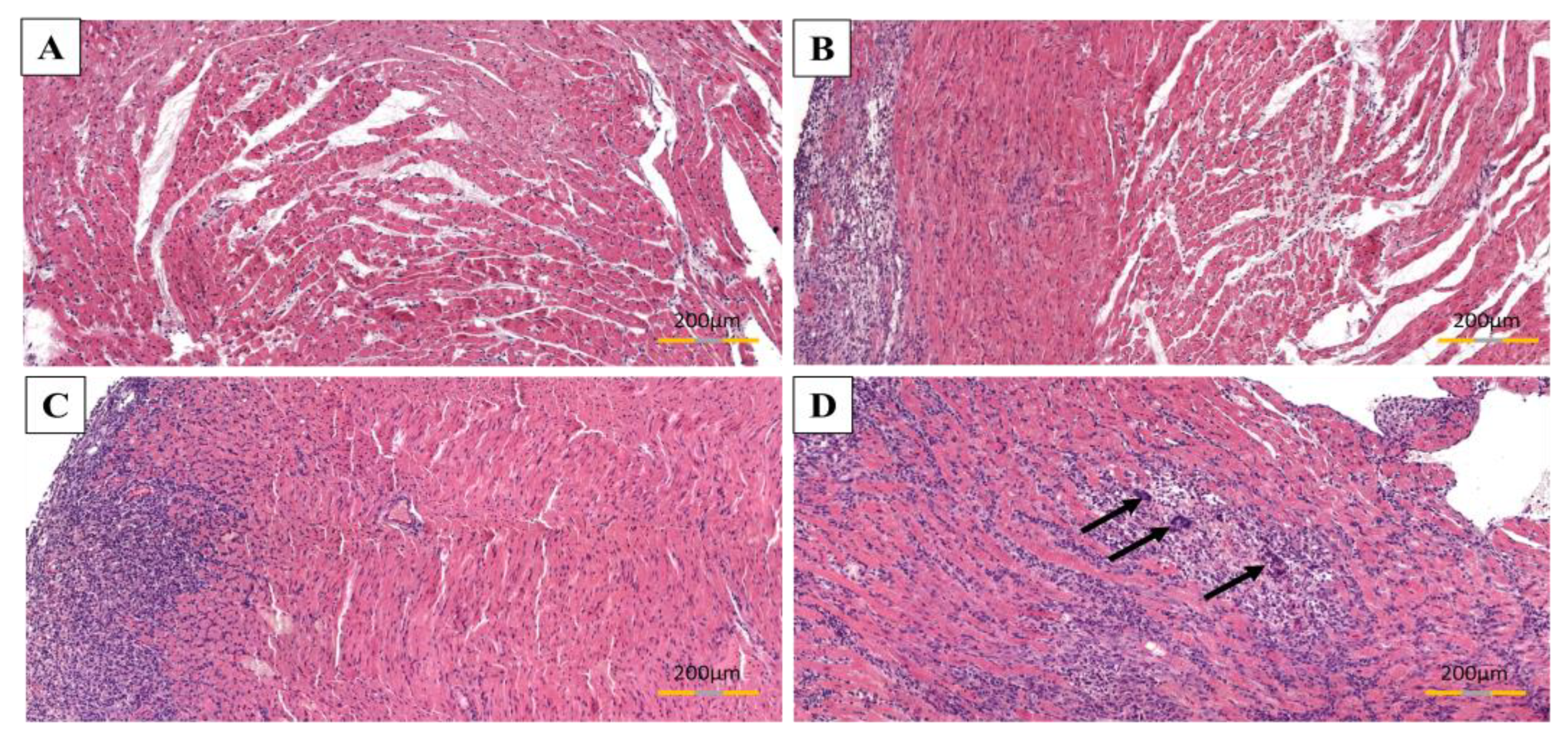
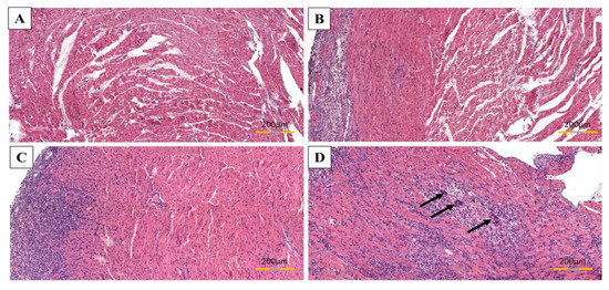
3.5. Reduction of the Severity of Inflammation by Simvastatin in Rat Heart Subjected to EAM
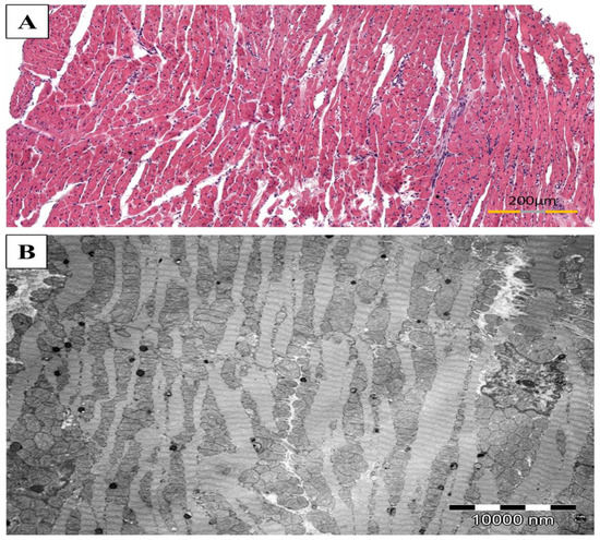
3.6. Protection of Myofibrils Degradation by Simvastatin in Rat Hearts Subjected to EAM
4. Discussion
5. Conclusions
Author Contributions
Funding
Institutional Review Board Statement
Informed Consent Statement
Data Availability Statement
Acknowledgments
Conflicts of Interest
Abbreviations
| MMPs | matrix metalloproteinases |
| EAM | experimental autoimmune myocarditis |
| MMP-9 | matrix metalloproteinase 9 |
| MMP-2 | matrix metalloproteinase 2 |
| MMP-3 | matrix metalloproteinase 3 |
| SARS-CoV-2 | severe acute respiratory syndrome coronavirus 2 |
| HMG-CoA | 3-hydroxy-3-methylglutaryl coenzyme-A |
| I/Ri | ischemia-reperfusion injury |
| TNF-alpha | tumor necrosis factor alpha |
| IFN-gamma | interferon gamma |
| LV | left ventricular |
| IVSDD | interventricular septum diameter |
| LVEDD | left ventricular end-diastolic diameter |
| LVESD | left ventricular end-systolic diameter |
| LVPWDD | left ventricular posterior wall end-diastolic diameter |
| FS | fractional shortening |
| TEM | transmission electron microscopy |
| HE | hematoxylin/eosin |
| SDS-PAGE | sodium dodecyl sulphate-protein acrylamide gel electrophoresis |
| AU | arbitrary unit |
References
- Gach, D.; Jaszczurowski, W.; Krzych, Ł.J. Determinants of myocarditis in young adults—A single centre 3-year experience. Folia Cardiol. 2014, 9, 120–125. [Google Scholar]
- Caforio, A.L.P.; Pankuweit, S.; Arbustini, E.; Basso, C.; Gimeno-Blanes, J.; Felix, S.B.; Fu, M.; Heliö, T.; Heymans, S.; Jahns, R.; et al. Current state of knowledge on aetiology, diagnosis, management, and therapy of myocarditis: A position statement of the European Society of Cardiology Working Group on Myocardial and Pericardial Diseases. Eur. Heart J. 2013, 34, 2636–2648. [Google Scholar] [CrossRef]
- Bearse, M.; Hung, Y.P.; Krauson, A.J.; Bonanno, L.; Boyraz, B.; Harris, C.K.; Helland, T.L.; Hilburn, C.F.; Hutchison, B.; Jobbagy, S.; et al. Factors associated with myocardial SARS-CoV-2 infection, myocarditis, and cardiac inflammation in patients with COVID-19. Mod. Pathol. 2021, 34, 1345–1357. [Google Scholar] [CrossRef] [PubMed]
- Nomura, S.; Yoshimura, K.; Akiyama, N.; Mikamo, A.; Furutani, A.; Aoki, H.; Matsuzaki, M.; Hamano, K. HMG-CoA Reductase Inhibitors Reduce Matrix Metalloproteinase-9 Activity in Human Varicose Veins. Eur. Surg. Res. 2005, 37, 370–378. [Google Scholar] [CrossRef]
- Kim, D.Y.; Ryu, S.Y.; Lim, J.E.; Lee, Y.S.; Ro, J.Y. Anti-inflammatory mechanism of simvastatin in mouse allergic asthma model. Eur. J. Pharmacol. 2007, 557, 76–86. [Google Scholar] [CrossRef]
- Tousoulis, D.; Andreou, I.; Tentolouris, C.; Antoniades, C.; Papageorgiou, N.; Gounari, P.; Kotrogiannis, I.; Miliou, A.; Charakida, M.; Trikas, A.; et al. Comparative effects of rosuvastatin and allopurinol on circulating levels of matrix metalloproteinases and tissue inhibitors of metalloproteinases in patients with chronic heart failure. Int. J. Cardiol. 2009, 145, 438–443. [Google Scholar] [CrossRef] [PubMed]
- Barter, M.J.; Hui, W.; Lakey, R.L.; Catterall, J.B.; Cawston, T.E.; Young, D.A. Lipophilic statins prevent matrix metalloproteinase-mediated cartilage collagen breakdown by inhibiting protein geranylgeranylation. Ann. Rheum. Dis. 2010, 69, 2189–2198. [Google Scholar] [CrossRef]
- Massaro, M.; Zampolli, A.; Scoditti, E.; Carluccio, M.A.; Storelli, C.; Distante, A.; De Caterina, R. Statins inhibit cyclooxygenase-2 and matrix metalloproteinase-9 in human endothelial cells: Anti-angiogenic actions possibly contributing to plaque stability. Cardiovasc. Res. 2010, 86, 311–320. [Google Scholar] [CrossRef] [PubMed]
- Aktas, E.; Sener, E.; Gocun, P.U. Mechanically induced experimental knee osteoarthritis benefits from anti-inflammatory and immunomodulatory properties of simvastatin via inhibition of matrix metalloproteinase-3. J. Orthopaed. Traumatol. 2011, 12, 145–151. [Google Scholar] [CrossRef]
- Izidoro-Toledo, T.C.; Guimaraes, D.A.; Belo, V.A.; Gerlach, R.F.; Tanus-Santos, J.E. Effects of statins on matrix metalloproteinases and their endogenous inhibitors in human endothelial cells. Naunyn Schmiedebergs Arch. Pharmacol. 2011, 383, 547–554. [Google Scholar] [CrossRef]
- Santos, B.F.; Souza, E.Q.; Brigagão, M.R.; Lima, D.C.; Fernandes, L.A. Local application of statins in the treatment of experimental periodontal disease in rats. J. Appl. Oral Sci. 2017, 25, 168–176. [Google Scholar] [CrossRef] [PubMed][Green Version]
- Wu, Z.Y.; Li, H.; Tang, Y.J. Effect of simvastatin on the SIRT2/NF-κB pathway in rats with acute pulmonary embolism. Pharm. Biol. 2018, 56, 511–518. [Google Scholar] [CrossRef] [PubMed]
- Cione, E.; Piegari, E.; Gallelli, G.; Caroleo, M.C.; Lamirata, E.; Curcio, F.; Colosimo, F.; Cannataro, R.; Ielapi, N.; Colosimo, M.; et al. Expression of MMP-2, MMP-9, and NGAL in Tissue and Serum of Patients with Vascular Aneurysms and Their Modulation by Statin Treatment: A Pilot Study. Biomolecules 2020, 10, 359. [Google Scholar] [CrossRef] [PubMed]
- Koushki, K.; Shahbaz, S.K.; Mashayekhi, K.; Sadeghi, M.; Zayeri, Z.D.; Taba, M.Y.; Banach, M.; Al-Rasadi, K.; Johnston, T.P.; Sahebkar, A. Anti-inflammatory Action of Statins in Cardiovascular Disease: The Role of Inflammasome and Toll-Like Receptor Pathways. Clin. Rev. Allergy Immunol. 2021, 60, 175–199. [Google Scholar] [CrossRef] [PubMed]
- Ali, M.A.; Fan, X.; Schulz, R. Cardiac sarcomeric proteins: Novel intracellular targets of matrix metalloproteinase-2 in heart disease. Trends Cardiovasc. Med. 2011, 21, 112–118. [Google Scholar] [CrossRef]
- Skrzypiec-Spring, M.; Haczkiewicz, K.; Sapa, A.; Piasecki, T.; Kwiatkowska, J.; Ceremuga, I.; Wozniak, M.; Biczysko, W.; Kobierzycki, C.; Dziegiel, P.; et al. Carvedilol inhibits matrix metalloproteinase-2 activation in experimental autoimmune myocarditis: Possibilities of cardioprotective application. J. Cardiovasc. Pharmacol. Ther. 2018, 23, 89–97. [Google Scholar] [CrossRef]
- Tang, Q.; Huang, J.; Qian, H.; Xiong, R.; Shen, D.; Wu, H.; Bian, Z.; Wei, X. Microarray analysis reveals the role of matrix metalloproteinases in mouse experimental autoimmune myocarditis induced by cardiac myosin peptides. Cell. Mol. Biol. Lett. 2007, 12, 176–191. [Google Scholar] [CrossRef] [PubMed]
- Hishikari, K.; Watanabe, R.; Ogawa, M.; Suzuki, J.; Masumura, M.; Shimizu, T.; Takayama, K.; Hirata, Y.; Nagai, R.; Isobe, M. Early treatment with clarithromycin attenuates rat autoimmune myocarditis via inhibition of matrix metalloproteinase activity. Heart 2010, 96, 523–527. [Google Scholar] [CrossRef]
- Gutierrez, F.R.; Lalu, M.M.; Mariano, F.S.; Milanezi, C.M.; Cena, J.; Gerlach, R.F.; Santos, J.E.; Torres-Dueñas, D.; Cunha, F.Q.; Schulz, R.; et al. Increased activities of cardiac matrix metalloproteinases matrix metalloproteinase (MMP)-2 and MMP-9 are associated with mortality during the acute phase of experimental Trypanosoma cruzi infection. J. Infect. Dis. 2008, 197, 1468–1476. [Google Scholar] [CrossRef]
- Parsamanesh, N.; Karami-Zarandi, M.; Banach, M.; Penson, P.E.; Sahebkar, A. Effects of statins on myocarditis: A review of underlying molecular mechanisms. Prog. Cardiovasc. Dis. 2021, 67, 53–64. [Google Scholar] [CrossRef] [PubMed]
- Lazzerini, P.E.; Capecchi, P.L.; Laghi-Pasini, F. Statins as a New Therapeutic Perspective in Myocarditis and Postmyocarditis Dilated Cardiomyopathy. Cardiovasc. Drugs Ther. 2013, 27, 365–369. [Google Scholar] [CrossRef]
- Liu, X.; Li, B.; Wang, W.; Zhang, C.; Zhang, M.; Zhang, Y.; Xia, Y.; Dong, Z.; Guo, Y.; An, F. Effects of HMG-CoA reductase inhibitor on experimental autoimmune myocarditis. Cardiovasc. Drugs Ther. 2012, 26, 121–130. [Google Scholar] [CrossRef]
- Guan, J.; Sun, X.; Liang, Y.; Dong, W.; Zhang, L.; Zhu, J.; Wang, G. Atorvastatin attenuates Coxsackie virus B3m-induced viral myocarditis in mice. J. Cardiovasc. Pharmacol. 2010, 56, 540–547. [Google Scholar] [CrossRef]
- Azuma, R.W.; Suzuki, J.; Ogawa, M.; Futamatsu, H.; Koga, N.; Onai, Y.; Kosuge, H.; Isobe, M. HMG-CoA reductase inhibitor attenuates experimental autoimmune myocarditis through inhibition of T cell activation. Cardiovasc. Res. 2004, 64, 412–420. [Google Scholar] [CrossRef]
- Liu, W.; Li, W.M.; Gao, C.; Sun, N.L. Effects of atorvastatin on the Th1/Th2 polarization of ongoing experimental autoimmune myocarditis in Lewis rats. J. Autoimmun. 2005, 25, 258–263. [Google Scholar] [CrossRef] [PubMed]
- Li, W.M.; Liu, W.; Gao, C.; Zhou, B.G. Immunoregulatory effects of atorvastatin on experimental autoimmune myocarditis in Lewis rats. Immunol. Cell Biol. 2006, 84, 274–280. [Google Scholar] [CrossRef]
- Wu, J.L.; Matsui, S.; Zong, Z.P.; Nishikawa, K.; Sun, B.G.; Katsuda, S.; Fu, M. Amelioration of myocarditis by statin through inhibiting cross-talk between antigen presenting cells and lymphocytes in rats. J. Mol. Cell. Cardiol. 2008, 44, 1023–1031. [Google Scholar] [CrossRef] [PubMed]
- Zhang, A.; Zhang, H.; Wu, S. Immunomodulation by atorvastatin upregulates expression of gap junction proteins in coxsackievirus B3 (CVB3)-induced myocarditis. Inflamm. Res. 2010, 59, 255–262. [Google Scholar] [CrossRef] [PubMed]
- Tajiri, K.; Shimojo, N.; Sakai, S.; Machino-Ohtsuka, T.; Imanaka-Yoshida, K.; Hiroe, M.; Tsujimura, Y.; Kimura, T.; Sato, A.; Yasutomi, Y.; et al. Pitavastatin regulates helper T-cell differentiation and ameliorates autoimmune myocarditis in mice. Cardiovasc. Drugs Ther. 2013, 27, 413–424. [Google Scholar] [CrossRef]
- Tang, Q.; Huang, J.; Qian, H.; Chen, L.; Wang, T.; Wang, H.; Shen, D.; Wu, H.; Xiong, R. Antiarrhythmic effect of atorvastatin on autoimmune myocarditis is mediated by improving myocardial repolarization. Life Sci. 2007, 80, 601–608. [Google Scholar] [CrossRef] [PubMed]
- Kodama, M.; Matsumoto, Y.; Fujiwara, M.; Masani, F.; Izumi, T.; Shibata, A. A novel experimental model of giant cell myocarditis induced in rats by immunization with cardiac myosin fraction. Clin. Immunol. Immunopathol. 1990, 57, 250–262. [Google Scholar] [CrossRef]
- Heussen, C.; Dowdle, E.B. Electrophoretic analysis of plasminogen activators in polyacrylamide gels containing sodium dodecyl sulfate and copolymerized substrates. Anal. Biochem. 1980, 102, 196–202. [Google Scholar] [CrossRef]
- Makowski, G.S.; Ramsby, M.L. Calibrating gelatin zymograms with human gelatinase standards. Anal. Biochem. 1996, 236, 353–356. [Google Scholar] [CrossRef] [PubMed]
- Godsel, L.M.; Leon, J.S.; Wang, K.; Fornek, J.L.; Molteni, A.; Engman, D.M. Captopril Prevents Experimental Autoimmune Myocarditis. J. Immunol. 2003, 171, 346–352. [Google Scholar] [CrossRef]
- Kuhl, U.; Pauschinger, M.; Schwimmbeck, P.L.; Seeberg, B.; Lober, C.; Noutsias, M.; Poller, W.; Schultheiss, H.P. Interferon-beta treatment eliminates cardiotropic viruses and improves left ventricular function in patients with myocardial persistence of viral genomes and left ventricular dysfunction. Circulation 2003, 107, 2793–2798. [Google Scholar] [CrossRef] [PubMed]
- Gullestad, L.; Aass, H.; Fjeld, J.G.; Wikeby, L.; Andreassen, A.K.; Ihlen, H.; Simonsen, S.; Kjekshus, J.; Nitter-Hauge, S.; Ueland, T.; et al. Immunomodulating therapy with intravenous immunoglobulin in patients with chronic heart failure. Circulation 2001, 103, 220–225. [Google Scholar] [CrossRef]
- McNamara, D.M.; Holubkov, R.; Starling, R.C.; Dec, G.W.; Loh, E.; Torre-Amione, G.; Gass, A.; Janosko, K.; Tokarczyk, T.; Kessler, P.; et al. Controlled trial of intravenous immune globulin in recent-onset dilated cardiomyopathy. Circulation 2001, 103, 2254–2259. [Google Scholar] [CrossRef]
- Felix, S.B.; Beug, D.; Dörr, M. Immunoadsorption therapy in dilated cardiomyopathy. Expert Rev. Cardiovasc. Ther. 2015, 13, 145–152. [Google Scholar] [CrossRef]
- Ohlow, M.A.; Brunelli, M.; Schreiber, M.; Lauer, B. Therapeutic effect of immunoadsorption and subsequent immunoglobulin substitution in patients with dilated cardiomyopathy: Results from the observational prospective Bad Berka Registry. J. Cardiol. 2017, 69, 409–416. [Google Scholar] [CrossRef]
- Frustaci, A.; Russo, M.A.; Chimenti, C. Randomized study on the efficacy of immunosuppressive therapy in patients with virus-negative inflammatory cardiomyopathy: The TIMIC study. Eur. Heart J. 2009, 30, 1995–2002. [Google Scholar] [CrossRef]
- He, B.; Li, X.; Li, D. Immunosuppressive Treatment for Myocarditis in the Pediatric Population: A Meta-Analysis. Front. Pediatr. 2019, 7, 430. [Google Scholar] [CrossRef] [PubMed]
- U.S. National Library of Medicine. ClinicalTrials.gov. Available online: https://clinicaltrials.gov/ct2/results?cond=%22Myocarditis%22 (accessed on 12 September 2021).
- Gerson, R.J.; MacDonald, J.S.; Alberts, A.W.; Kornbrust, D.J.; Majka, J.A.; Stubbs, R.J.; Bokelman, D.L. Animal safety and toxicology of simvastatin and related hydroxy-methylglutaryl-coenzyme A reductase inhibitors. Am. J. Med. 1989, 87, 28S–38S. [Google Scholar] [CrossRef]
- MacDonald, J.S.; Halleck, M.M. The Toxicology of HMG–CoA Reductase Inhibitors: Prediction of Human Risk. Toxicol. Pathol. 2004, 32 (Suppl. 2), 26–41. [Google Scholar] [CrossRef] [PubMed]







Publisher’s Note: MDPI stays neutral with regard to jurisdictional claims in published maps and institutional affiliations. |
© 2021 by the authors. Licensee MDPI, Basel, Switzerland. This article is an open access article distributed under the terms and conditions of the Creative Commons Attribution (CC BY) license (https://creativecommons.org/licenses/by/4.0/).
Share and Cite
Skrzypiec-Spring, M.; Sapa-Wojciechowska, A.; Haczkiewicz-Leśniak, K.; Piasecki, T.; Kwiatkowska, J.; Podhorska-Okołów, M.; Szeląg, A. HMG-CoA Reductase Inhibitor, Simvastatin Is Effective in Decreasing Degree of Myocarditis by Inhibiting Metalloproteinases Activation. Biomolecules 2021, 11, 1415. https://doi.org/10.3390/biom11101415
Skrzypiec-Spring M, Sapa-Wojciechowska A, Haczkiewicz-Leśniak K, Piasecki T, Kwiatkowska J, Podhorska-Okołów M, Szeląg A. HMG-CoA Reductase Inhibitor, Simvastatin Is Effective in Decreasing Degree of Myocarditis by Inhibiting Metalloproteinases Activation. Biomolecules. 2021; 11(10):1415. https://doi.org/10.3390/biom11101415
Chicago/Turabian StyleSkrzypiec-Spring, Monika, Agnieszka Sapa-Wojciechowska, Katarzyna Haczkiewicz-Leśniak, Tomasz Piasecki, Joanna Kwiatkowska, Marzenna Podhorska-Okołów, and Adam Szeląg. 2021. "HMG-CoA Reductase Inhibitor, Simvastatin Is Effective in Decreasing Degree of Myocarditis by Inhibiting Metalloproteinases Activation" Biomolecules 11, no. 10: 1415. https://doi.org/10.3390/biom11101415
APA StyleSkrzypiec-Spring, M., Sapa-Wojciechowska, A., Haczkiewicz-Leśniak, K., Piasecki, T., Kwiatkowska, J., Podhorska-Okołów, M., & Szeląg, A. (2021). HMG-CoA Reductase Inhibitor, Simvastatin Is Effective in Decreasing Degree of Myocarditis by Inhibiting Metalloproteinases Activation. Biomolecules, 11(10), 1415. https://doi.org/10.3390/biom11101415

