Malondialdehyde as a Predictor of Disease Severity and Cardiovascular Risk in Population with Metabolic Dysfunction-Associated Steatotic Liver Disease
Abstract
1. Introduction
2. Materials and Methods
2.1. Study Design and Population
2.2. Sample Size
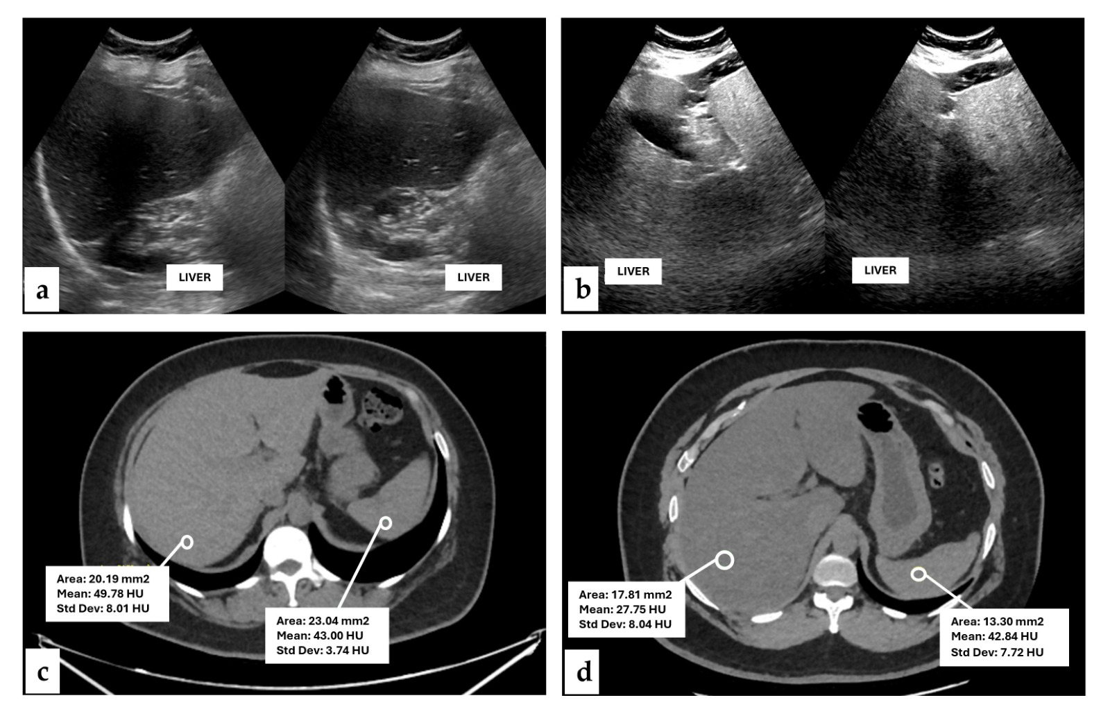
2.3. Radiological Studies for Assess Hepatic Steatosis
2.4. General and Anthropometric Characteristics
2.5. Serum Biochemical Parameters
2.6. Oxidative and Antioxidant Biomarkers
2.7. Cardiovascular Risk
2.8. Statistical Analysis
3. Results
4. Discussion
5. Conclusions
Supplementary Materials
Author Contributions
Funding
Institutional Review Board Statement
Informed Consent Statement
Data Availability Statement
Acknowledgments
Conflicts of Interest
Abbreviations
| MASLD | Metabolic dysfunction-associated steatotic liver disease |
| MDA | Malondialdehyde |
| WHR | Waist-to-hip ratio |
| TyG | Triglycerides-glucose |
| LAP | Lipid accumulation product |
| OS | Oxidative stress |
| ROS | Reactive oxygen species |
| CVR | Cardiovascular risk |
| CT | Computed tomography |
| USG | Ultrasonograpy |
| HU | Hounsfield units |
| BP | Blood pressure |
| BW | Body weight |
| WC | Waist circumference |
| HC | Hip circumference |
| BMI | Body mass index |
| TC | Total cholesterol |
| TG | Triglycerides |
| HDL-c | High-density lipoprotein cholesterol |
| LDL-c | Low-density lipoprotein cholesterol |
| TAC | Total antioxidant capacity |
| ROC | Area under the receiver operating characteristics curve |
| AIP | Atherogenic index of plasma |
References
- Younossi, Z.M.; Golabi, P.; Paik, J.M.; Henry, A.; Van Dongen, C.; Henry, L. The global epidemiology of nonalcoholic fatty liver disease (NAFLD) and nonalcoholic steatohepatitis (NASH): A systematic review. Hepatology 2023, 77, 1335–1347. [Google Scholar] [CrossRef]
- Zhou, X.D.; Targher, G.; Byrne, C.D.; Somers, V.; Kim, S.U.; Chahal, C.A.A.; Wong, V.W.; Cai, J.; Shapiro, M.D.; Eslam, M.; et al. An international multidisciplinary consensus statement on MAFLD and the risk of CVD. Hepatol. Int. 2023, 17, 773–791. [Google Scholar] [CrossRef] [PubMed]
- Barquera, S.; Hernandez-Barrera, L.; Trejo-Valdivia, B.; Shamah, T.; Campos-Nonato, I.; Rivera-Dommarco, J. Obesity in Mexico, prevalence andtrends in adults. Ensanut 2018-19. Salud Pública México 2020, 62, 682–692. [Google Scholar] [CrossRef] [PubMed]
- Priego-Parra, B.; Bernal-Reyes, R.; Icaza-Chávez, M.; Martínez-Vázquez, S.; Remes-Troche, J. Transitioning from NAFLD to MAFLD to MASLD in the Mexican population. Rev. Gastroenterol. Mex. Engl. Ed. 2025, 90, 153–156. [Google Scholar] [CrossRef]
- Chae, S.Y.; Kim, Y.; Park, C.W. Oxidative Stress Induced by Lipotoxicity and Renal Hypoxia in Diabetic Kidney Disease and Possible Therapeutic Interventions: Targeting the Lipid Metabolism and Hypoxia. Antioxidants 2023, 12, 2083. [Google Scholar] [CrossRef]
- Allameh, A.; Niayesh-Mehr, R.; Aliarab, A.; Sebastiani, G.; Pantopoulos, K. Oxidative Stress in Liver Pathophysiology and Disease. Antioxidants 2023, 12, 1653. [Google Scholar] [CrossRef] [PubMed]
- Day, C.P.; James, O.F. Steatohepatitis: A tale of two “hits”? Gastroenterology 1998, 114, 842–845. [Google Scholar] [CrossRef]
- Ayala, A.; Munoz, M.F.; Arguelles, S. Lipid peroxidation: Production, metabolism, and signaling mechanisms of malondialdehyde and 4-hydroxy-2-nonenal. Oxid. Med. Cell Longev. 2014, 2014, 360438. [Google Scholar] [CrossRef]
- Hadizadeh, F.; Faghihimani, E.; Adibi, P. Nonalcoholic fatty liver disease: Diagnostic biomarkers. World J. Gastrointest. Pathophysiol. 2017, 8, 11–26. [Google Scholar] [CrossRef]
- Ore, A.; Akinloye, O.A. Oxidative Stress and Antioxidant Biomarkers in Clinical and Experimental Models of Non-Alcoholic Fatty Liver Disease. Medicina 2019, 55, 26. [Google Scholar] [CrossRef]
- Zheng, H.; Sechi, L.A.; Navarese, E.P.; Casu, G.; Vidili, G. Metabolic dysfunction-associated steatotic liver disease and cardiovascular risk: A comprehensive review. Cardiovasc. Diabetol. 2024, 23, 346. [Google Scholar] [CrossRef]
- Medina-Santillan, R.; Lopez-Velazquez, J.A.; Chavez-Tapia, N.; Torres-Villalobos, G.; Uribe, M.; Mendez-Sanchez, N. Hepatic manifestations of metabolic syndrome. Diabetes Metab. Res. Rev. 2013, 41, e2410. [Google Scholar]
- Zisis, M.; Chondrogianni, M.E.; Androutsakos, T.; Rantos, I.; Oikonomou, E.; Chatzigeorgiou, A.; Kassi, E. Linking Cardiovascular Disease and Metabolic Dysfunction-Associated Steatotic Liver Disease (MASLD): The Role of Cardiometabolic Drugs in MASLD Treatment. Biomolecules 2025, 15, 324. [Google Scholar] [CrossRef] [PubMed]
- Di Cesare, M.; Perel, P.; Taylor, S.; Kabudula, C.; Bixby, H.; Gaziano, T.A.; McGhie, D.V.; Mwangi, J.; Pervan, B.; Narula, J.; et al. The Heart of the World. Glob. Heart 2024, 19, 11. [Google Scholar] [CrossRef] [PubMed]
- Davila-Cervantes, C.A. Cardiovascular Disease in Adolescents and Young Adults in Mexico: Secondary Analysis of the 2021 Global Burden of Disease Study. Arch. Med. Res. 2025, 56, 103222. [Google Scholar] [CrossRef]
- EASL; EASD; EASO. EASL-EASD-EASO clinical practice guidelines on the management of metabolic dysfunction-associated steatotic liver disease (MASLD). Obes. Facts 2024, 17, 374–443. [Google Scholar]
- Gerstenmaier, J.F.; Gibson, R.N. Ultrasound in chronic liver disease. Insights Imaging 2014, 5, 441–455. [Google Scholar] [CrossRef]
- Lohman, T.G. Anthropometric Standardization Reference Manual; Human Kinetics: Champaign, IL, USA, 1988; pp. 55–68. [Google Scholar] [CrossRef]
- Lugo, R.; Avila-Nava, A.; Pech-Aguilar, A.G.; Medina-Vera, I.; Guevara-Cruz, M.; Gutierrez Solis, A.L. Relationship between lipid accumulation product and oxidative biomarkers by gender in adults from Yucatan, Mexico. Sci. Rep. 2022, 12, 14338. [Google Scholar] [CrossRef] [PubMed]
- Huang, D.; Ou, B.; Hampsch-Woodill, M.; Flanagan, J.A.; Prior, R.L. High-throughput assay of oxygen radical absorbance capacity (ORAC) using a multichannel liquid handling system coupled with a microplate fluorescence reader in 96-well format. J. Agric. Food Chem. 2002, 50, 4437–4444. [Google Scholar] [CrossRef]
- Rangel-Baltazar, E.; Cuevas-Nasu, L.; Shamah-Levy, T.; Rodriguez-Ramirez, S.; Mendez-Gomez-Humaran, I.; Rivera, J.A. Association between High Waist-to-Height Ratio and Cardiovascular Risk among Adults Sampled by the 2016 Half-Way National Health and Nutrition Survey in Mexico (ENSANUT MC 2016). Nutrients 2019, 11, 1402. [Google Scholar] [CrossRef]
- Guerrero-Romero, F.; Simental-Mendia, L.E.; Gonzalez-Ortiz, M.; Martinez-Abundis, E.; Ramos-Zavala, M.G.; Hernandez-Gonzalez, S.O.; Jacques-Camarena, O.; Rodriguez-Moran, M. The product of triglycerides and glucose, a simple measure of insulin sensitivity. Comparison with the euglycemic-hyperinsulinemic clamp. J. Clin. Endocrinol. Metab. 2010, 95, 3347–3351. [Google Scholar] [CrossRef]
- Quirino-Vela, L.; Mayoral-Chavez, M.; Perez-Cervera, Y.; Ildefonso-Garcia, O.; Cruz-Altamirano, E.; Ruiz-Garcia, M.; Alpuche, J. Cardiometabolic risk assessment by anthropometric and biochemical indices in mexican population. Front. Endocrinol. 2025, 16, 1588469. [Google Scholar] [CrossRef]
- Selvi, N.M.K.; Nandhini, S.; Sakthivadivel, V.; Lokesh, S.; Srinivasan, A.R.; Sumathi, S. Association of Triglyceride-Glucose Index (TyG index) with HbA1c and Insulin Resistance in Type 2 Diabetes Mellitus. Maedica 2021, 16, 375–381. [Google Scholar] [CrossRef]
- Kahn, H.S. Erratum to: The “lipid accumulation product” performs better than the body mass index for recognizing cardiovascular risk: A population-based comparison. BMC Cardiovasc. Disord. 2006, 6, 5. [Google Scholar] [CrossRef]
- Baez-Duarte, B.G.; Zamora-Ginez, I.; Rodriguez-Ramirez, S.O.; Pesqueda-Cendejas, L.K.; Garcia-Aragon, K.H. TG/HDL index to identify subjects with metabolic syndrome in the Mexican population. Gac. Méd. México 2022, 158, 259–264. [Google Scholar] [CrossRef] [PubMed]
- Sandireddy, R.; Sakthivel, S.; Gupta, P.; Behari, J.; Tripathi, M.; Singh, B.K. Systemic impacts of metabolic dysfunction-associated steatotic liver disease (MASLD) and metabolic dysfunction-associated steatohepatitis (MASH) on heart, muscle, and kidney related diseases. Front. Cell Dev. Biol. 2024, 12, 1433857. [Google Scholar] [CrossRef]
- Donnelly, K.L.; Smith, C.I.; Schwarzenberg, S.J.; Jessurun, J.; Boldt, M.D.; Parks, E.J. Sources of fatty acids stored in liver and secreted via lipoproteins in patients with nonalcoholic fatty liver disease. J. Clin. Investig. 2005, 115, 1343–1351. [Google Scholar] [CrossRef]
- Song, X.; Wu, H.; Wang, B.; Sun, H. Association of body fat and muscle tissue parameters with fatty liver disease identified by ultrasound. Lipids Health Dis. 2023, 22, 167. [Google Scholar] [CrossRef] [PubMed]
- Horwitz, A.; Birk, R. Adipose Tissue Hyperplasia and Hypertrophy in Common and Syndromic Obesity-The Case of BBS Obesity. Nutrients 2023, 15, 3445. [Google Scholar] [CrossRef] [PubMed]
- Carli, F.; Della Pepa, G.; Sabatini, S.; Vidal Puig, A.; Gastaldelli, A. Lipid metabolism in MASLD and MASH: From mechanism to the clinic. JHEP Rep. 2024, 6, 101185. [Google Scholar] [CrossRef]
- Asghari, S.; Hamedi-Shahraki, S.; Amirkhizi, F. Systemic redox imbalance in patients with nonalcoholic fatty liver disease. Eur. J. Clin. Investig. 2020, 50, e13211. [Google Scholar] [CrossRef] [PubMed]
- Albano, E.; Mottaran, E.; Vidali, M.; Reale, E.; Saksena, S.; Occhino, G.; Burt, A.D.; Day, C.P. Immune response towards lipid peroxidation products as a predictor of progression of non-alcoholic fatty liver disease to advanced fibrosis. Gut 2005, 54, 987–993. [Google Scholar] [CrossRef]
- Yesilova, Z.; Yaman, H.; Oktenli, C.; Ozcan, A.; Uygun, A.; Cakir, E.; Sanisoglu, S.Y.; Erdil, A.; Ates, Y.; Aslan, M.; et al. Systemic markers of lipid peroxidation and antioxidants in patients with nonalcoholic Fatty liver disease. Am. J. Gastroenterol. 2005, 100, 850–855. [Google Scholar] [CrossRef]
- Koroglu, E.; Canbakan, B.; Atay, K.; Hatemi, I.; Tuncer, M.; Dobrucali, A.; Sonsuz, A.; Gultepe, I.; Senturk, H. Role of oxidative stress and insulin resistance in disease severity of non-alcoholic fatty liver disease. Turk. J. Gastroenterol. 2016, 27, 361–366. [Google Scholar] [CrossRef]
- Hardwick, R.N.; Fisher, C.D.; Canet, M.J.; Lake, A.D.; Cherrington, N.J. Diversity in antioxidant response enzymes in progressive stages of human nonalcoholic fatty liver disease. Drug Metab. Dispos. 2010, 38, 2293–2301. [Google Scholar] [CrossRef]
- Martin-Fernandez, M.; Arroyo, V.; Carnicero, C.; Siguenza, R.; Busta, R.; Mora, N.; Antolin, B.; Tamayo, E.; Aspichueta, P.; Carnicero-Frutos, I.; et al. Role of Oxidative Stress and Lipid Peroxidation in the Pathophysiology of NAFLD. Antioxidants 2022, 11, 2217. [Google Scholar] [CrossRef]
- Cruz-Palomares, J.A.; Ruiz-Rodríguez, A.K.; Zacarías-Flores, M.; Mendoza-Núñez, V.M.; Sánchez-Rodríguez, M.A. Factores asociados con la edad a la que inicia la menopausia. Un análisis de la ENASEM-2018. Ginecol. Obstet. Mex. 2024, 92, 285–294. [Google Scholar]
- Grygiel-Gorniak, B.; Marcinkowska, J.; Szczepanik, A.; Przyslawski, J. Nutritional habits and oxidative stress in postmenopausal age. Pol. Arch. Med. Wewn. 2014, 124, 298–305. [Google Scholar] [CrossRef] [PubMed]
- Denova-Gutierrez, E.; Castanon, S.; Talavera, J.O.; Gallegos-Carrillo, K.; Flores, M.; Dosamantes-Carrasco, D.; Willett, W.C.; Salmeron, J. Dietary patterns are associated with metabolic syndrome in an urban Mexican population. J. Nutr. 2010, 140, 1855–1863. [Google Scholar] [CrossRef]
- Gutierrez-Solis, A.L.; Garrido-Dzib, A.G.; Rochel-Perez, A.; Magallon-Zertuche, V.; Chavez-Loria, G.; Medina-Vera, I.; Avila-Nava, A. Oxidative Stress Biomarkers in Mexican Subjects with Overweight and Obesity: A Systematic Review. Metab. Syndr. Relat. Disord. 2023, 21, 188–196. [Google Scholar] [CrossRef]
- Rivas, B.d.C.G.; Castillo, M.d.R.B.; López, S.P.O.; Díaz, V.G.C. Asociación del estilo de vida con riesgo cardiovascular en una institución pública de Mérida, Yucatán. RESPYN Rev. Salud Publica Nutr. 2025, 24, 10–16. [Google Scholar]
- Duell, P.B.; Welty, F.K.; Miller, M.; Chait, A.; Hammond, G.; Ahmad, Z.; Cohen, D.E.; Horton, J.D.; Pressman, G.S.; Toth, P.P.; et al. Nonalcoholic Fatty Liver Disease and Cardiovascular Risk: A Scientific Statement From the American Heart Association. Arter. Thromb. Vasc. Biol. 2022, 42, e168–e185. [Google Scholar] [CrossRef] [PubMed]
- Banik, S.D.; Avila-Nava, A.; Lugo, R.; Chim Ake, R.; Gutierrez Solis, A.L. Association Between Low-Grade Inflammation and Hyperuricemia in Adults With Metabolic Syndrome in Yucatan, Mexico. Can. J. Diabetes 2022, 46, 369–374. [Google Scholar] [CrossRef] [PubMed]
- Medina-Escobedo, M.; Sanchez-Pozos, K.; Gutierrez-Solis, A.L.; Avila-Nava, A.; Gonzalez-Rocha, L.; Lugo, R. Recurrence of Nephrolithiasis and Surgical Events Are Associated with Chronic Kidney Disease in Adult Patients. Medicina 2022, 58, 420. [Google Scholar] [CrossRef]
- Vanjiappan, S.; Hamide, A.; Ananthakrishnan, R.; Periyasamy, S.G.; Mehalingam, V. Nonalcoholic fatty liver disease in patients with type 2 diabetes mellitus and its association with cardiovascular disease. Diabetes Metab. Syndr. 2018, 12, 479–482. [Google Scholar] [CrossRef]
- Awadallah, S.; Hasan, H.; Attlee, A.; Raigangar, V.; Unnikannan, H.; Madkour, M.; Abraham, M.S.; Rashid, L.M. Waist circumference is a major determinant of oxidative stress in subjects with and without metabolic syndrome. Diabetes Metab. Syndr. 2019, 13, 2541–2547. [Google Scholar] [CrossRef]
- Yang, M.; Shangguan, Q.; Xie, G.; Sheng, G.; Yang, J. Oxidative stress mediates the association between triglyceride-glucose index and risk of cardiovascular and all-cause mortality in metabolic syndrome: Evidence from a prospective cohort study. Front. Endocrinol. 2024, 15, 1452896. [Google Scholar] [CrossRef] [PubMed]

| Characteristic | Grade I n = 26 | Grade II–III n = 24 | p-Value |
|---|---|---|---|
| Age (years) | 43.1 ± 12.7 | 40.3 ± 10.7 | 0.339 |
| Height (cm) | 159 ± 11.5 | 155 ± 8.13 | 0.240 |
| BW (kg) | 86.3 ± 21.9 | 83.2 ± 13.4 | 0.555 |
| BMI (kg/m2) | 33.7 ± 5.54 | 34.3 ± 4.60 | 0.640 |
| WC (cm) | 103 ± 15.5 | 101 ± 11.1 | 0.553 |
| HC (cm) | 110 ± 11.0 | 112 ± 10.3 | 0.397 |
| Body fat (%) | 42.2 ± 5.99 | 46.0 ± 7.02 | 0.046 |
| SBP (mm Hg) | 126 ± 15.4 | 118 ± 17.9 | 0.034 |
| DBP (mm Hg) | 83.4 ± 8.70 | 82.0 ± 8.53 | 0.599 |
| Characteristic | Grade I n = 26 | Grade II–III n = 24 | p-Value |
|---|---|---|---|
| Glucose (mg/dL) | 90.3 [83.8–98.9] | 94.1 [81.5–105] | 0.404 |
| Creatinine (mg/dL) | 0.80 [0.69–1.04] | 0.81 [0.67–0.95] | 0.892 |
| TG (mg/dL) | 148 [106–175] | 158 [107–211] | 0.299 |
| TC (mg/dL) | 186 [159–202] | 189 [163–224] | 0.285 |
| HDL-c (mg/dL) | 47.7 [38.9–53.2] | 48 [40.2–60.9] | 0.491 |
| LDL-c (mg/dL) | 110 [79.4–142] | 113 [84.0–149] | 0.620 |
| Serum total lipids (mg/dL) | 259 [170–363] | 240 [214–331] | 0.969 |
| ALT (U/L) | 22.6 [17.4–42.9] | 19.5 [17.2–26.3] | 0.515 |
| AST (U/L) | 38.6 [23.5–46.8] | 29.5 [17.7–35.5] | 0.042 |
| Characteristics | Grade I n = 26 | Grade II–III n = 24 | p-Value |
|---|---|---|---|
| MDA (nmol/mL) | 0.01 [0.01–0.12] | 0.54 [0.01–2.41] | 0.021 |
| TAC (µmol/mL) | 2608 [1561–3156] | 2195 [1632–2935] | 0.442 |
| Variable | B | SE | OR [95% CI] | p-Value |
|---|---|---|---|---|
| Fat percentage > 45% | 1.972 | 0.690 | 7.10 [1.86–27.7] | 0.004 |
| MDA > 0.13 nmol/mg | 1.617 | 0.705 | 5.00 [1.20–20.0] | 0.022 |
| Characteristics | Grade I n = 24 | Grade II–III n = 26 | p-Value |
|---|---|---|---|
| WHR | 0.935 ± 0.071 | 0.891 ± 0.06 | 0.049 |
| TG/HDL-c | 3.21 [2.90–4.02] | 3.04 [2.40–4.40] | 0.540 |
| LDL-c/HDL-c | 2.43 ± 0.85 | 2.43 ± 0.98 | 0.988 |
| TyG | 8.85 [8.47–8.96] | 9.00 [8.62–9.17] | 0.042 |
| LAP | 66.1 ± 25.0 | 75.9 ± 24.3 | 0.094 |
| AIP | 0.14 [0.02–0.23] | 0.14 [0.04–0.27] | 0.780 |
Disclaimer/Publisher’s Note: The statements, opinions and data contained in all publications are solely those of the individual author(s) and contributor(s) and not of MDPI and/or the editor(s). MDPI and/or the editor(s) disclaim responsibility for any injury to people or property resulting from any ideas, methods, instructions or products referred to in the content. |
© 2026 by the authors. Licensee MDPI, Basel, Switzerland. This article is an open access article distributed under the terms and conditions of the Creative Commons Attribution (CC BY) license.
Share and Cite
Lugo, R.; Gutiérrez-Solis, A.L.; Jimeno-Figueroa, R.E.; Góngora-Chan, P.; Vera-Aviles, M.; Williams-Jacquez, D.; Chaurand-Lara, M.; Valdivieso-Jimenez, J.A.; Medina-Vera, I.; Guevara-Cruz, M.; et al. Malondialdehyde as a Predictor of Disease Severity and Cardiovascular Risk in Population with Metabolic Dysfunction-Associated Steatotic Liver Disease. Metabolites 2026, 16, 203. https://doi.org/10.3390/metabo16030203
Lugo R, Gutiérrez-Solis AL, Jimeno-Figueroa RE, Góngora-Chan P, Vera-Aviles M, Williams-Jacquez D, Chaurand-Lara M, Valdivieso-Jimenez JA, Medina-Vera I, Guevara-Cruz M, et al. Malondialdehyde as a Predictor of Disease Severity and Cardiovascular Risk in Population with Metabolic Dysfunction-Associated Steatotic Liver Disease. Metabolites. 2026; 16(3):203. https://doi.org/10.3390/metabo16030203
Chicago/Turabian StyleLugo, Roberto, Ana Ligia Gutiérrez-Solis, Ricardo Emmanuel Jimeno-Figueroa, Paul Góngora-Chan, Mayra Vera-Aviles, Dayana Williams-Jacquez, Marlene Chaurand-Lara, Jorge Arturo Valdivieso-Jimenez, Isabel Medina-Vera, Martha Guevara-Cruz, and et al. 2026. "Malondialdehyde as a Predictor of Disease Severity and Cardiovascular Risk in Population with Metabolic Dysfunction-Associated Steatotic Liver Disease" Metabolites 16, no. 3: 203. https://doi.org/10.3390/metabo16030203
APA StyleLugo, R., Gutiérrez-Solis, A. L., Jimeno-Figueroa, R. E., Góngora-Chan, P., Vera-Aviles, M., Williams-Jacquez, D., Chaurand-Lara, M., Valdivieso-Jimenez, J. A., Medina-Vera, I., Guevara-Cruz, M., Pacheco-Hernández, B., Ix-Ruiz, N., Chim-Aké, R., & Avila-Nava, A. (2026). Malondialdehyde as a Predictor of Disease Severity and Cardiovascular Risk in Population with Metabolic Dysfunction-Associated Steatotic Liver Disease. Metabolites, 16(3), 203. https://doi.org/10.3390/metabo16030203

