Adjuvant Oligonucleotide Vaccine Increases Survival and Improves Lung Tissue Condition of B6.Cg-Tg (K18-ACE2)2 Transgenic Mice
Abstract
1. Introduction
2. Materials and Methods
2.1. Design, Synthesis, and Purification of a La-S-so-Type Adjuvant Oligonucleotide Vaccine
2.2. Animals and Experimental Groups
2.3. Vaccination
2.4. Weighing
2.5. Mice Infestation
2.6. PCR Procedure
2.7. Autopsy of Model Animals
2.8. Immunohistochemical Assay
2.9. Statistical Analysis
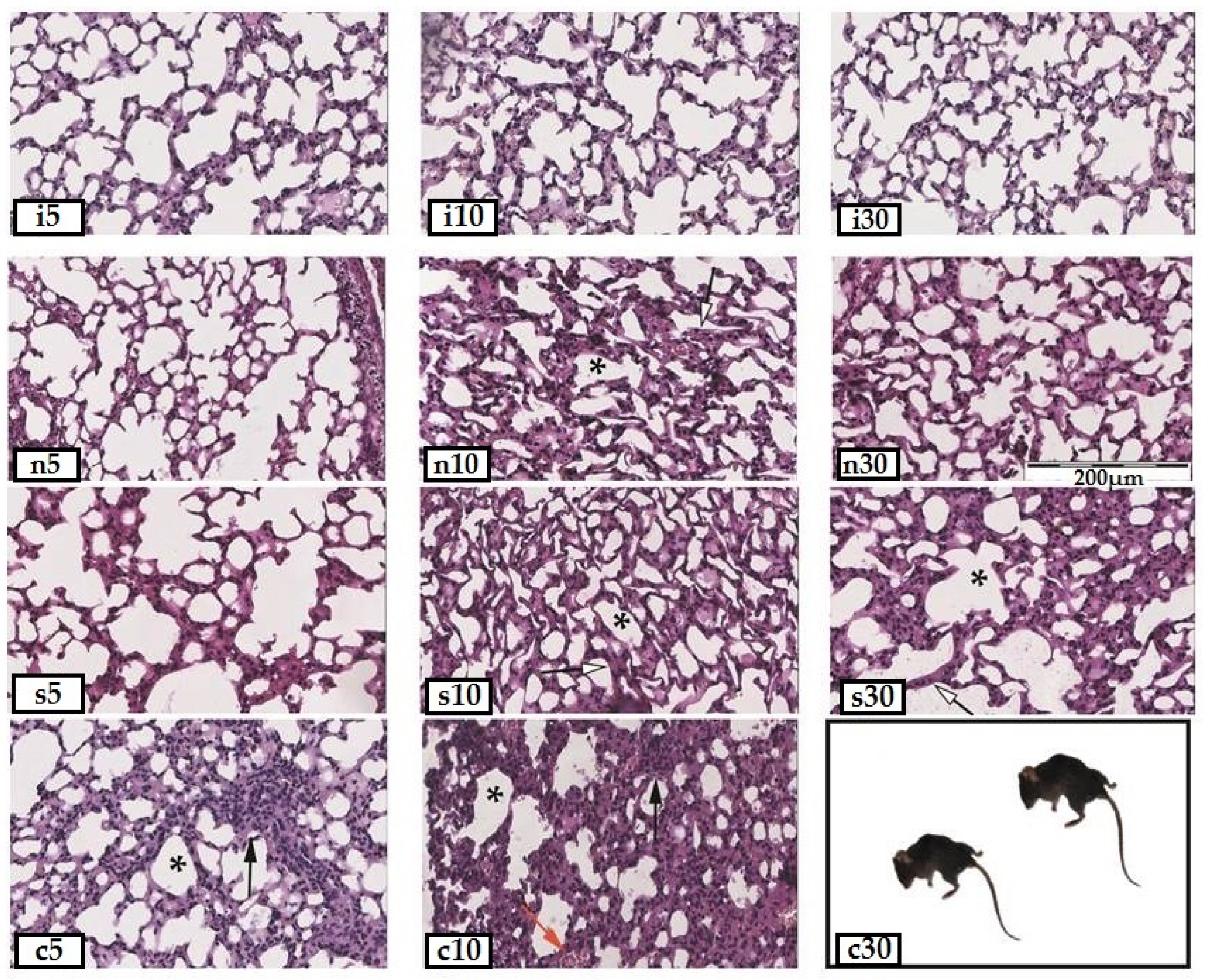
3. Results
4. Discussion
5. Conclusions
Author Contributions
Funding
Institutional Review Board Statement
Informed Consent Statement
Data Availability Statement
Acknowledgments
Conflicts of Interest
References
- Johns Hopkins Coronavirus Resource Center. Available online: https://coronavirus.jhu.edu/map.html (accessed on 10 March 2023).
- Anonymous. Is the worst of the pandemic over for Europe? Lancet Reg. Health—Eur. 2021, 2, 100077. [Google Scholar] [CrossRef]
- Ai, J.; Zhang, H.; Zhang, Y.; Lin, K.; Zhang, Y.; Wu, J.; Wan, Y.; Huang, Y.; Song, J.; Zhang, F.; et al. Omicron variant showed lower neutralizing sensitivity than other SARS-CoV-2 variants to immune sera elicited by vaccines after boost. Emerg. Microbes Infect. 2022, 1, 337–343. [Google Scholar] [CrossRef] [PubMed]
- Eliakim-Raz, N.; Stemmer, A.; Ghantous, N.; Ness, A.; Awwad, M.; Leibovici-Weisman, Y.; Stemmer, S.M. Antibody Titers after a Third and Fourth SARS-CoV-2 BNT162b2 Vaccine Dose in Older Adults. JAMA Netw. Open 2022, 5, e2223090. [Google Scholar] [CrossRef]
- Del Rio, C.; Malani, P.N. COVID-19 in 2022-The Beginning of the End or the End of the Beginning? JAMA 2022, 327, 2389–2390. [Google Scholar] [CrossRef]
- Oberemok, V.V.; Laikova, K.V.; Yurchenko, K.; Fomochkina, I.I.; Kubyshkin, A.V. SARS-CoV-2 will continue to circulate in the human population: An opinion from the point of view of the virus-host relationship. Inflamm. Res. 2020, 69, 635–640. [Google Scholar] [CrossRef]
- Agrawal, A.S.; Tao, X.; Algaissi, A.; Garron, T.; Narayanan, K.; Peng, B.H.; Couch, R.B.; Tseng, C.T. Immunization with inactivated Middle East Respiratory Syndrome coronavirus vaccine leads to lung immunopathology on challenge with live virus. Hum. Vaccin. Immunother. 2016, 12, 2351–2356. [Google Scholar] [CrossRef]
- Voysey, M.; Clemens, S.A.C.; Madhi, S.A.; Weckx, L.Y.; Folegatti, P.M.; Aley, P.K.; Angus, B.; Baillie, V.L.; Barnabas, S.L.; Bhorat, Q.E.; et al. Safety and efficacy of the ChAdOx1 nCoV-19 vaccine (AZD1222) against SARS-CoV-2: An interim analysis of four randomised controlled trials in Brazil, South Africa, and the UK. Lancet 2021, 397, 99–111. [Google Scholar] [CrossRef]
- Sekar, A.; Campbell, R.; Tabbara, J.; Rastogi, P. ANCA glomerulonephritis after the Moderna COVID-19 vaccination. Kidney Int. 2021, 100, 473–474. [Google Scholar] [CrossRef]
- Mallapaty, S. China COVID vaccine reports mixed results—What does that mean for the pandemic? Nature 2021. [Google Scholar] [CrossRef] [PubMed]
- Gras-Champel, V.; Liabeuf, S.; Baud, M.; Albucher, J.F.; Benkebil, M.; Boulay, C.; Bron, A.; El Kaddissi, A.; Gautier, S.; Geeraerts, T.; et al. Atypical thrombosis associated with VaxZevria® (AstraZeneca) vaccine: Data from the French Network of Regional Pharmacovigilance Centres. Therapies 2021, 76, 369–373. [Google Scholar] [CrossRef] [PubMed]
- European Medicines Agency. Available online: https://www.ema.europa.eu/en/documents/assessment-report/covid-19-vaccine-astrazeneca-epar-public-assessment-report_en.pdf (accessed on 29 January 2021).
- Lee, L.A.; Franzel, L.; Atwell, J.; Datta, S.D.; Friberg, I.K.; Goldie, S.J.; Reef, S.E.; Schwalbe, N.; Simons, E.; Strebel, P.M.; et al. The estimated mortality impact of vaccinations forecast to be administered during 2011–2020 in 73 countries supported by the GAVI Alliance. Vaccine 2013, 31, B61–B72. [Google Scholar] [CrossRef]
- Oberemok, V.V.; Laikova, K.V.; Yurchenko, K.A.; Marochkin, N.A.; Fomochkina, I.I.; Kubyshkin, A.V. SARS-CoV-2 will constantly sweep its tracks: A vaccine containing CpG motifs in ‘lasso’ for the multi-faced virus. Inflamm. Res. 2020, 69, 801–812. [Google Scholar] [CrossRef]
- Oberemok, V.V.; Andreeva, O.A.; Laikova, K.V.; Novikov, I.A.; Kubyshkin, A.V. Post-genomic platform for development of oligonucleotide vaccines against RNA viruses: Diamond cuts diamond. Inflamm. Res. 2022, 71, 729–739. [Google Scholar] [CrossRef] [PubMed]
- Lai, C.Y.; Yu, G.Y.; Luo, Y.; Xiang, R.; Chuang, T.H. Immunostimulatory Activities of CpG-Oligodeoxynucleotides in Teleosts: Toll-Like Receptors 9 and 21. Front. Immunol. 2019, 10, 179. [Google Scholar] [CrossRef] [PubMed]
- Thompson, J.D.; Higgins, D.G.; Gibson, T.J. CLUSTAL W: Improving the sensitivity of progressive multiple sequence alignment through sequence weighting, position-specific gap penalties and weight matrix choice. Nucleic Acids Res. 1994, 22, 4673–4680. [Google Scholar] [CrossRef] [PubMed]
- Krieg, A.M.; Wagner, H. Causing a commotion in the blood: Immunotherapy progresses from bacteria to bacterial DNA. Immunol. Today 2000, 21, 521–526. [Google Scholar] [CrossRef]
- Schlee, M.; Hartmann, G. Discriminating self from non-self in nucleic acid sensing. Nat. Rev. Immunol. 2016, 16, 566–580. [Google Scholar] [CrossRef]
- Haas, T.; Metzger, J.; Schmitz, F.; Heit, A.; Müller, T.; Latz, E.; Wagner, H. The DNA sugar backbone 2′ deoxyribose determines toll-like receptor 9 activation. Immunity 2008, 28, 315–323. [Google Scholar] [CrossRef]
- Ballas, Z.K.; Rasmussen, W.L.; Krieg, A.M. Induction of NK activity in murine and human cells by CpG motifs in oligodeoxynucleotidesand bacterial DNA. J. Immunol. 1996, 157, 1840–1845. [Google Scholar] [CrossRef] [PubMed]
- Yamamoto, S.; Yamamoto, T.; Kataoka, T.; Kuramoto, E.; Yano, O.; Tokunaga, T. Unique palindromic sequences in synthetic oligonucleotides are required to induce IFN [correction of INF] and augment IFN-mediated [correction of INF] natural killer activity. J. Immunol. 1992, 148, 4072–4076. [Google Scholar] [CrossRef]
- Bege, M.; Borbás, A. The Medicinal Chemistry of Artificial Nucleic Acids and Therapeutic Oligonucleotides. Pharmaceuticals 2022, 15, 909. [Google Scholar] [CrossRef] [PubMed]
- Kumar, D.; Bayry, J.; Hegde, N.R. COVID-19: A Veterinary and One Health Perspective. J. Indian Inst. Sci. 2022, 102, 689–709. [Google Scholar] [CrossRef]
- Bouvier, N.M.; Lowen, A.C. Animal models for influenza virus pathogenesis and transmission. Viruses 2010, 2, 1530–1563. [Google Scholar] [CrossRef] [PubMed]
- Thangavel, R.R.; Bouvier, N.M. Animal models for influenza virus pathogenesis, transmission, and immunology. J. Immunol. Methods 2014, 410, 60–79. [Google Scholar] [CrossRef]
- Felgenhauer, J.L.; Brune, J.E.; Long, M.E.; Manicone, A.M.; Chang, M.Y.; Brabb, T.L.; Altemeier, W.A.; Frevert, C.W. Evaluation of Nutritional Gel Supplementation in C57BL/6J Mice Infected with Mouse-Adapted Influenza A/PR/8/34 Virus. Comp. Med. 2020, 70, 471–486. [Google Scholar] [CrossRef] [PubMed]
- Repina, E.A. Mechanisms of adaptive immunity (on the model of type 1 diabetes mellitus). Diabetes 2010, 13, 21–27. [Google Scholar] [CrossRef]
- Vranckx, K.; Maes, D.; Marchioro, S.B.; Villarreal, I.; Chiers, K.; Pasmans, F.; Haesebrouck, F. Vaccination reduces macrophage infiltration in bronchus-associated lymphoid tissue in pigs infected with a highly virulent Mycoplasma hyopneumoniae strain. BMC Vet. Res. 2012, 8, 24. [Google Scholar] [CrossRef]
- Jung, Y.J.; Lee, Y.T.; Ngo, V.L.; Cho, Y.H.; Ko, E.J.; Hong, S.M.; Kim, K.H.; Jang, J.H.; Oh, J.S.; Park, M.K.; et al. Heat-killed Lactobacillus casei confers broad protection against influenza A virus primary infection and develops heterosubtypic immunity against future secondary infection. Sci. Rep. 2017, 7, 1–12. [Google Scholar] [CrossRef]
- Pisetsky, D.S.; Reich, C.F. The binding of anti-DNA antibodies to phosphorothioate oligonucleotides in a solid phase immunoassay. Mol. Immunol. 1998, 35, 1161–1170. [Google Scholar] [CrossRef]
- Pisetsky, D.; Vrabie, I. Antibodies to DNA: Infection or genetics? Lupus 2009, 18, 1176–1180. [Google Scholar] [CrossRef] [PubMed]
- Dieli, F. Dendritic cells and the handling of antigen. Clin. Exp. Immunol. 2003, 134, 178–180. [Google Scholar] [CrossRef]
- Langelaar, J.; Rijvers, L.; Smolders, J.; Luijn, M.M. B and T cells driving multiple sclerosis: Identity, mechanisms and potential triggers. Front. Immunol. 2020, 11, 1–12. [Google Scholar] [CrossRef]
- Muller, S.; Zhao, Y.; Brown, T.L.; Morgan, A.C.; Kohler, H. TransMabs: Cell-penetrating antibodies, the next generation. Expert Opin. Biological. Ther. 2005, 5, 237–241. [Google Scholar] [CrossRef] [PubMed]
- Lackey, C.A.; Press, O.W.; Hoffman, A.S.; Stayton, P.S. A biomimetic pH-responsive polymer directs endosomal release and intracellular delivery of an endocytosed antibody complex. Bioconjug. Chem. 2002, 13, 996–1001. [Google Scholar] [CrossRef]
- Noble, P.W.; Young, M.R.; Bernatsky, S.; Weisbart, R.H.; Hansen, J.E. A nucleolytic lupus autoantibody is toxic to BRCA2-deficient cancer cells. Sci. Rep. 2014, 4, 1–4. [Google Scholar] [CrossRef]
- Weisbart, R.H.; Chan, G.; Jordaan, G.; Noble, P.W.; Liu, Y.; Glazer, P.M.; Nishimura, R.N.; Hansen, J.E. DNA-dependent targeting of cell nuclei by a lupus autoantibody. Sci. Rep. 2015, 5, 1–6. [Google Scholar] [CrossRef]
- Eckstein, F. Phosphorothioates, Essential Components of Therapeutic Oligonucleo-tides. Nucleic Acid Ther. 2014, 24, 374–387. [Google Scholar] [CrossRef] [PubMed]
- Liang, X.-H.; Sun, H.; Shen, W.; Crooke, S.T. Identification and characterization of intracellular proteins that bind oligonucleotides with phosphorothioate linkages. Nucleic Acids Res. 2015, 43, 2927–2945. [Google Scholar] [CrossRef]
- Østergaard, M.E.; De Hoyos, C.L.; Wan, W.B.; Shen, W.; Low, A.; Berdeja, A.; Vasquez, G.; Murray, S.; Migawa, M.T.; Liang, X.-H.; et al. Understanding the effect of controlling phosphorothioate chirality in the DNA gap on the potency and safety of gapmer antisense oligonucleotides. Nucleic Acids Res. 2020, 48, 1691–1700. [Google Scholar] [CrossRef] [PubMed]
- Krieg, A.M.; Guga, P.; Stec, W. P-Chirality-Dependent Immune Activation by Phosphorothioate CpG Oligodeoxynucleotides. Oligonucleotides 2003, 13, 491–499. [Google Scholar] [CrossRef] [PubMed]
- Jahns, H.; Taneja, N.; Willoughby, J.L.S.; Akabane-Nakata, M.; Brown, C.R.; Nguyen, T.; Bisbe, A.; Matsuda, S.; Hettinger, M.; Manoharan, R.M.; et al. Chirality matters: Stereo-defined phosphorothioate linkages at the termini of small interfering RNAs improve pharmacology in vivo. Nucleic Acids Res. 2022, 50, 1221–1240. [Google Scholar] [CrossRef] [PubMed]
- Bailey, J.K.; Shen, W.; Liang, X.H.; Crooke, S.T. Nucleic acid binding proteins affect the subcellular distribution of phosphorothioate antisense oligonucleotides. Nucleic Acids Res. 2017, 45, 10649–10671. [Google Scholar] [CrossRef] [PubMed]
- Crooke, S.T.; Vickers, T.A.; Liang, X.H. Phosphorothioate modified oligonucleotide-protein interactions. Nucleic Acids Res. 2020, 48, 5235–5253. [Google Scholar] [CrossRef] [PubMed]


| Area % → | Stroma | Edema | Vessels | Lumen of the Alveoli | Fibrosis | |
|---|---|---|---|---|---|---|
| Group | ||||||
| Intact (i) | 40.0 [34.0;42.0] | 0 [0.0;0.0] | 12.50 [10.0;14.0] | 47.50 [43.0;50.0] | 0 [0.0;0.0] | |
| Intranasal vaccine (n) | 5 day 10 day 30 day | 30.50 + [27.5;34.0] 40.00 □ [37.0;45.0] 41.50 □ [39.0;45.5] | 7.50 + [50;9.0] 5.00 [3.0;7.0] 2.00 □ [1.0;4.0] | 21.50 * [14.0;28.5] 19.50 [13.0;31.0] 13.50 [9.5;17.0] | 37.00 [31.5;44.5} 30.50 * [25.0;41.0] 42.00 [35.0;45.0] | 1.50 [1.0;3.0] 1.00 [0.0;1.0] 1.00 [0.0;1.0] |
| Subcutaneous vaccine (s) | 5 day 10 day 30 day | 35.00 [32.0;38.5] 45.50 [42.0;48.0] 39.50 [36.0;47.5] | 8.00 + [6.0;12.5] 8.00 [8.30;13.0] 3.00 □ [1.5;4.0] | 17.00 [12.0;21.5] 17.50 [17.0;23.0] 16.50 [15.5;22.5] | 39.50 [34.5;42.5] 25.50 * [24.0;29.0] 37.50 □ [32.5;41.0] | 1.00 [1.0;2.0] 2.00 [2.0;3.0] 1.00 [1.0;1.0] |
| SARS modeling without treatment (c) | 5 day 10 day 30 day | 40.50 [37.5;46.5] 43.50 [38.0;50.0] x | 5.00 [4.0;8.5] 8.00 [5.0;10.0] x | 15.00 [11.0;27.0] 25.00 [21.0;28.0] x | 32.50 [22.0;41.5] 20.00 * [19.0;25.0] x | 1.00 [0.0;1.5] 1.50 [1.0;2.0] x |
Disclaimer/Publisher’s Note: The statements, opinions and data contained in all publications are solely those of the individual author(s) and contributor(s) and not of MDPI and/or the editor(s). MDPI and/or the editor(s) disclaim responsibility for any injury to people or property resulting from any ideas, methods, instructions or products referred to in the content. |
© 2023 by the authors. Licensee MDPI, Basel, Switzerland. This article is an open access article distributed under the terms and conditions of the Creative Commons Attribution (CC BY) license (https://creativecommons.org/licenses/by/4.0/).
Share and Cite
Oberemok, V.V.; Laikova, K.V.; Yurchenko, K.A.; Novikov, I.A.; Makalish, T.P.; Kubyshkin, A.V.; Andreeva, O.A.; Bilyk, A.I. Adjuvant Oligonucleotide Vaccine Increases Survival and Improves Lung Tissue Condition of B6.Cg-Tg (K18-ACE2)2 Transgenic Mice. Sci. Pharm. 2023, 91, 35. https://doi.org/10.3390/scipharm91030035
Oberemok VV, Laikova KV, Yurchenko KA, Novikov IA, Makalish TP, Kubyshkin AV, Andreeva OA, Bilyk AI. Adjuvant Oligonucleotide Vaccine Increases Survival and Improves Lung Tissue Condition of B6.Cg-Tg (K18-ACE2)2 Transgenic Mice. Scientia Pharmaceutica. 2023; 91(3):35. https://doi.org/10.3390/scipharm91030035
Chicago/Turabian StyleOberemok, Volodymyr V., Kateryna V. Laikova, Kseniya A. Yurchenko, Ilya A. Novikov, Tatyana P. Makalish, Anatolii V. Kubyshkin, Oksana A. Andreeva, and Anastasiya I. Bilyk. 2023. "Adjuvant Oligonucleotide Vaccine Increases Survival and Improves Lung Tissue Condition of B6.Cg-Tg (K18-ACE2)2 Transgenic Mice" Scientia Pharmaceutica 91, no. 3: 35. https://doi.org/10.3390/scipharm91030035
APA StyleOberemok, V. V., Laikova, K. V., Yurchenko, K. A., Novikov, I. A., Makalish, T. P., Kubyshkin, A. V., Andreeva, O. A., & Bilyk, A. I. (2023). Adjuvant Oligonucleotide Vaccine Increases Survival and Improves Lung Tissue Condition of B6.Cg-Tg (K18-ACE2)2 Transgenic Mice. Scientia Pharmaceutica, 91(3), 35. https://doi.org/10.3390/scipharm91030035

