Regressions of Breast Carcinoma Syngraft Following Treatment with Piperine in Combination with Thymoquinone
Abstract
:1. Introduction
2. Materials and Methods
2.1. Mice
2.2. Chemicals, Cell Line and Culture Conditions
2.3. MTT Cell Viability Assay
2.4. Calculation of Combination Index and Data Analysis
2.5. Anticancer Therapy on Experimental Animals
2.6. Histological Examination of Tumor Sections
2.7. Measuring Vascular Endothelial Growth Factor Expression in EMT6/P Cells
2.8. DeadEnd TUNEL Colorimetric Assay to Detect Apoptosis
2.9. Induction of Caspase-3 Activity in EMT6/P Cells
2.10. Detection of IFN-γ, IL-2, IL-4 and IL-10 Serum Levels
2.11. Determination of Aspartate Transaminase (AST) alanine Transaminase (ALT), and Creatinine Serum Levels
2.12. Statistical Analysis
3. Results
3.1. Cytotoxic Effect of Piperine and/or Thymoquinone on Mouse Breast Cancer Cells
3.2. Inhibition of Vascular Endothelial Growth Factor Expression by Different Treatments
3.3. Antitumor Effect of Thymoquinone, Piperine, and Their Combination against Breast Cancer Implanted in Mice
3.4. Induction of Apoptosis in Tumor Sections
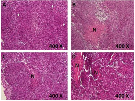
3.5. Histological Examination of Tumor Sections
3.6. Effect of Piperine and/or Thymoquinone on the Immune System
3.7. Effect of Different Treatments on Serum Levels of AST, ALT, and Creatinine
4. Discussion
5. Conclusions
Acknowledgments
Conflicts of Interest
References
- Ferlay, J.; Soerjomataram, I.; Dikshit, R.; Eser, S.; Mathers, C.; Rebelo, M.; Parkin, D.; Forman, D.; Bray, F. Cancer incidence and mortality worldwide: Sources, methods and major patterns in GLOBOCAN 2012. Int. J. Cancer 2014, 136, E359–E386. [Google Scholar] [CrossRef] [PubMed]
- Torino, F.; Barnabei, A.; De Vecchis, L.; Appetecchia, M.; Strigari, L.; Corsello, S. Recognizing menopause in women with amenorrhea induced by cytotoxic chemotherapy for endocrine-responsive early breast cancer. Endocr. Relat. Cancer 2012, 19, R21–R33. [Google Scholar] [CrossRef] [PubMed]
- Kumaraguruparan, R.; Seshagiri, P.B.; Hara, Y.; Nagini, S. Chemoprevention of rat mammary carcinogenesis by black tea polyphenols: Modulation of xenobiotic-metabolizing enzymes, oxidative stress, cell proliferation apoptosis, and angiogenesis. Mol. Carcinog. 2007, 46, 797–806. [Google Scholar] [CrossRef] [PubMed]
- Palumbo, M.O.; Kavan, P.; Miller, W.H.; Panasci, L.; Assouline, S.; Johnson, N.; Cohen, V.; Patenaude, F.; Pollak, M.; Jagoe, R.T.; et al. Systemic cancer therapy: Achievements and challenges that lie ahead. Front. Pharmacol. 2013, 4, 57. [Google Scholar] [CrossRef] [PubMed]
- Schover, L.R. Premature ovarian failure and its consequences: Vasomotor symptoms, sexuality, and fertility. J. Clin. Oncol. 2008, 26, 753–758. [Google Scholar] [CrossRef] [PubMed]
- Talib, W.H. Anticancer and Antimicrobial Potential of Plant-Derived Natural Products; INTECH Open Access Publisher: Rijeka, Croatia, 2011. [Google Scholar]
- Ganji-Harsini, S.; Khazaei, M.; Rashidi, Z.; Ghanbari, A. Thymoquinone could increase the efficacy of tamoxifen induced apoptosis in human breast cancer cells: An in vitro study. Cell J. 2016, 18, 245–254. [Google Scholar] [PubMed]
- Gali-Muhtasib, H.; Roessner, A.; Schneider-Stock, R. Thymoquinone: A promising anti-cancer drug from natural sources. Int. J. Biochem. Cell Biol. 2006, 38, 1249–1253. [Google Scholar] [CrossRef] [PubMed]
- Badary, O.; Nagi, M.; Al-Shabanah, O.; Al-Sawaf, H.; Al-Sohaibani, M.; Al-Bekairi, A. Thymoquinone ameliorates the nephrotoxicity induced by cisplatin in rodents and potentiates its antitumor activity. Can. J. Physiol. Pharmacol. 1997, 75, 1356–1361. [Google Scholar] [CrossRef] [PubMed]
- Chinta, G.; Syed, S.B.; Coumar, M.; Periyasamy, L. Piperine: A Comprehensive Review of Pre-Clinical and Clinical Investigations. Curr. Bioact. Compd. 2015, 11, 156–169. [Google Scholar] [CrossRef]
- Pradeep, C.R.; Kuttan, G. Effect of piperine on the inhibition of lung metastasis induced B16F-10 melanoma cells in mice. Clin. Exp. Metastasis. 2002, 19, 703–708. [Google Scholar] [CrossRef] [PubMed]
- Hwang, Y.; Yun, H.; Kim, H.; Han, E.; Choi, J.; Chung, Y.; Jeong, H. Suppression of phorbol-12-myristate-13-acetate-induced tumor cell invasion by piperine via the inhibition of PKCα/ERK1/2-dependent matrix metalloproteinase-9 expression. Toxicol. Lett. 2011, 203, 9–19. [Google Scholar] [CrossRef] [PubMed]
- Lin, Y.; Xu, J.; Liao, H.; Li, L.; Pan, L. Piperine induces apoptosis of lung cancer A549 cells via p53-dependent mitochondrial signaling pathway. Tumour Biol. 2013, 35, 3305–3310. [Google Scholar] [CrossRef] [PubMed]
- Talib, W.H.; AbuKhader, M.M. Combinatorial effects of thymoquinone on the anticancer activity and hepatotoxicity of the prodrug CB 1954. Sci. Pharm. 2013, 81, 519–530. [Google Scholar] [CrossRef] [PubMed]
- Ichite, N.; Chougule, M.; Jackson, T.; Fulzele, S.; Safe, S.; Singh, M. Enhancement of Docetaxel Anticancer Activity by a Novel Diindolylmethane Compound in Human Non-Small Cell Lung Cancer. Clin. Cancer Res. 2009, 15, 543–552. [Google Scholar] [CrossRef] [PubMed]
- Agrawal, N.; Bettegowda, C.; Cheong, I.; Geschwind, J.; Drake, C.; Hipkiss, E.; Tatsumi, M.; Dang, L.; Diaz, L.; Pomper, M.; et al. Bacteriolytic therapy can generate a potent immune response against experimental tumors. Proc. Natl. Acad. Sci. USA 2004, 101, 15172–15177. [Google Scholar] [CrossRef] [PubMed]
- Dastjerdi, M.; Mehdiabady, E.; Iranpour, F.; Bahramian, H. Effect of thymoquinone on p53 gene expression and consequence apoptosis in breast cancer cell line. Int. J. Prev. Med. 2016, 7, 66. [Google Scholar] [CrossRef] [PubMed]
- Khalife, R.; Hodroj, M.; Fakhoury, R.; Rizk, S. Thymoquinone from Nigella sativa Seeds Promotes the Antitumor Activity of Noncytotoxic Doses of Topotecan in Human Colorectal Cancer Cells in Vitro. Planta Med. 2016, 82, 312–321. [Google Scholar] [CrossRef] [PubMed]
- Parbin, S.; Shilpi, A.; Kar, S.; Pradhan, N.; Sengupta, D.; Deb, M.; Rath, S.; Patra, S. Insights into the molecular interactions of thymoquinone with histone deacetylase: evaluation of the therapeutic intervention potential against breast cancer. Mol. Biosyst. 2016, 12, 48–58. [Google Scholar] [CrossRef] [PubMed]
- Zhang, J.; Zhu, X.; Li, H.; Li, B.; Sun, L.; Xie, T.; Zhu, T.; Zhou, H.; Ye, Z. Piperine inhibits proliferation of human osteosarcoma cells via G2/M phase arrest and metastasis by suppressing MMP-2/-9 expression. Int. Immunopharmacol. 2015, 24, 50–58. [Google Scholar] [CrossRef] [PubMed]
- Greenshields, A.; Doucette, C.; Sutton, K.; Madera, L.; Annan, H.; Yaffe, P.; Knickle, A.; Dong, Z.; Hoskin, D. Piperine inhibits the growth and motility of triple-negative breast cancer cells. Cancer Lett. 2015, 357, 129–140. [Google Scholar] [CrossRef] [PubMed]
- Dirican, A.; Atmaca, H.; Bozkurt, E.; Erten, C.; Karaca, B.; Uslu, R. Novel combination of docetaxel and thymoquinone induces synergistic cytotoxicity and apoptosis in DU-145 human prostate cancer cells by modulating PI3K–AKT pathway. Clin. Transl. Oncol. 2014, 17, 145–151. [Google Scholar] [CrossRef] [PubMed]
- Das, S.; Dey, K.; Dey, G.; Pal, I.; Majumder, A.; MaitiChoudhury, S.; Kundu, S.; Mandal, M. Antineoplastic and Apoptotic Potential of Traditional Medicines Thymoquinone and Diosgenin in Squamous Cell Carcinoma. PLoS ONE 2012, 7, e46641. [Google Scholar] [CrossRef] [PubMed]
- Patial, V.; S, M.; Sharma, S.; Pratap, K.; Singh, D.; Padwad, Y. Synergistic effect of curcumin and piperine in suppression of DENA-induced hepatocellular carcinoma in rats. Environ. Toxicol. Pharmacol. 2015, 40, 445–452. [Google Scholar] [CrossRef] [PubMed]
- Makhov, P.; Golovine, K.; Canter, D.; Kutikov, A.; Simhan, J.; Corlew, M.; Uzzo, R.; Kolenko, V. Co-administration of piperine and docetaxel results in improved anti-tumor efficacy via inhibition of CYP3A4 activity. Prostate 2011, 72, 661–667. [Google Scholar] [CrossRef] [PubMed]
- Poleszczuk, J.; Hahnfeldt, P.; Enderling, H. Therapeutic Implications from Sensitivity Analysis of Tumor Angiogenesis Models. PLoS ONE 2015, 10, e0120007. [Google Scholar] [CrossRef] [PubMed]
- Su, X.; Ren, Y.; Yu, N.; Kong, L.; Kang, J. Thymoquinone inhibits inflammation, neoangiogenesis and vascular remodeling in asthma mice. Int. Immunopharmacol. 2016, 38, 70–80. [Google Scholar] [CrossRef] [PubMed]
- Doucette, C.; Hilchie, A.; Liwski, R.; Hoskin, D. Piperine, a dietary phytochemical, inhibits angiogenesis. J. Nutr. Biochem. 2013, 24, 231–239. [Google Scholar] [CrossRef] [PubMed]
- Ma, J.; Waxman, D. Combination of antiangiogenesis with chemotherapy for more effective cancer treatment. Mol. Cancer Ther. 2008, 7, 3670–3684. [Google Scholar] [CrossRef] [PubMed]
- Zivny, J.; Klener, P., Jr.; Pytlik, R.; Andera, L. The Role of Apoptosis in Cancer Development and Treatment: Focusing on the Development and Treatment of Hematologic Malignancies. Curr. Pharm. Des. 2010, 16, 11–33. [Google Scholar] [CrossRef] [PubMed]
- Chae, I.; Chun, K. Abstract 4844: Thymoquinone induces apoptosis through inhibition of JAK2/STAT3 signaling via production of ROS in human renal cancer Caki cells. Cancer Res. 2016, 76 (Suppl. S14), 4844. [Google Scholar] [CrossRef]
- Alobaedi, O.H.; Talib, W.H.; Basheti, I.A. Antitumor effect of thymoquinone combined with resveratrol on mice transplanted with breast cancer. Asian Pac. J. Trop. Med. 2017, 10, 400–408. [Google Scholar] [CrossRef] [PubMed]
- Giannoulia-Karantana, A.; Vlachou, A.; Polychronopoulou, S.; Papassotiriou, I.; Chrousos, G. Melatonin and Immunomodulation: Connections and Potential Clinical Applications. Neuroimmunomodulation 2006, 13, 133–144. [Google Scholar] [CrossRef] [PubMed]
- Gholamnezhad, Z.; Rafatpanah, H.; Sadeghnia, H.; Boskabady, M. Immunomodulatory and cytotoxic effects of Nigella sativa and thymoquinone on rat splenocytes. Food Chem. Toxicol. 2015, 86, 72–80. [Google Scholar] [CrossRef] [PubMed]
- Sharma, S.; Kalia, N.; Suden, P.; Chauhan, P.; Kumar, M.; Ram, A.; Khajuria, A.; Bani, S.; Khan, I. Protective efficacy of piperine against Mycobacterium tuberculosis. Tuberculosis 2014, 94, 389–396. [Google Scholar] [CrossRef] [PubMed]
- Al-Ali, A.; Alkhawajah, A.; Randhawa, M.; Shaikh, N. Oral and intraperitoneal LD50 of thymoquinone, an active principle of Nigella sativa, in mice and rats. J. Ayub. Med. Coll. Abbottabad 2008, 20, 25–27. [Google Scholar] [PubMed]
- Piyachaturawat, P.; Glinsukon, T.; Toskulkao, C. Acute and subacute toxicity of piperine in mice, rats and hamsters. Toxicol. Lett. 1983, 16, 351–359. [Google Scholar] [CrossRef]



| Piperine IC50 | Thymoquinone (TQ) IC50 | Piperine IC50 in Combination | TQ IC50 in Combination | Combination Index (CI) | Interpretation |
|---|---|---|---|---|---|
| 870 ± 5.02 | 390 ± 3.16 | 425 ± 5.11 | 80 ± 7.11 | 0.788 | Synergism |
| Treatment | VEGF (pg/mL) |
|---|---|
| Negative control | 890.4 ± 1.50 |
| Thymoquinone (TQ) | 632.7 ± 2.50 * |
| Piperine | 177.5 ± 1. 90 ** |
| Combination (80 μM TQ + 425 μM Piperine) | 84.9 ± 0.97 ** |
| Treatment | Initial Tumor Size | Final Tumor Size | % Change in Tumor Size | % of Cured Mice | % Death |
|---|---|---|---|---|---|
| Control | 275.19 ± 28.4 | 492.41 ± 47.9 | 78.93 | 10% | 20% |
| Piperine | 186.99 ± 31.9 | 158.85 ± 54.3 | −15.05 * | 10% | 20% |
| Thymoquinone | 151.39 ± 30.6 | 110.62 ± 9.1 | −26.93 * | 30% | 10% |
| Combination | 145.04 ± 36.5 | 75.64 ± 19.2 | −47.84 *,#,€ | 60% | 0 |
| Treatment | INF-γ | IL-2 | IL-4 | IL-10 |
|---|---|---|---|---|
| Control | 29.8 ± 0.08 | 65.2 ± 0.06 | 61.1 ± 0.06 | 60 ± 0.04 |
| Thymoquinone (TQ) | 45.8 ± 0.02 * | 85 ± 0.02 * | 56.2 ± 0.02 * | 51.1 ± 0.05 * |
| Piperine | 68.2 ± 0. 18 * | 108.8 ± 0.08 * | 44.8 ± 0.04 * | 52.1 ± 0.52 * |
| Combination | 140.1 ± 0.02 *,#,€ | 158.1 ± 0.03 *,#,€ | 55.1 ± 0.04 *,€ | 54.2 ± 0.25 * |
| Treatment | ALT (IU/L) ± SEM | AST (IU/L) ± SEM | Creatinine (µmol/L) ± SEM |
|---|---|---|---|
| Thymoquinone (TQ) | 63.63 ± 0.025 * | 24.2 ± 1.84 * | 36.46 ± 1. 18 * |
| Piperine | 46.17 ± 0.018 * | 18.42 ± 2.62 * | 31.82 ± 2.23 * |
| Combination | 40.82 ± 0.007 *,#,€ | 21.15 ± 0.24 *,# | 31.76 ± 0.08 *,# |
| Control | 75.27 ± 0.029 | 48.15 ± 2.82 | 57.17 ± 1.63 |
© 2017 by the author. Licensee MDPI, Basel, Switzerland. This article is an open access article distributed under the terms and conditions of the Creative Commons Attribution (CC BY) license (http://creativecommons.org/licenses/by/4.0/).
Share and Cite
Talib, W.H. Regressions of Breast Carcinoma Syngraft Following Treatment with Piperine in Combination with Thymoquinone. Sci. Pharm. 2017, 85, 27. https://doi.org/10.3390/scipharm85030027
Talib WH. Regressions of Breast Carcinoma Syngraft Following Treatment with Piperine in Combination with Thymoquinone. Scientia Pharmaceutica. 2017; 85(3):27. https://doi.org/10.3390/scipharm85030027
Chicago/Turabian StyleTalib, Wamidh H. 2017. "Regressions of Breast Carcinoma Syngraft Following Treatment with Piperine in Combination with Thymoquinone" Scientia Pharmaceutica 85, no. 3: 27. https://doi.org/10.3390/scipharm85030027
APA StyleTalib, W. H. (2017). Regressions of Breast Carcinoma Syngraft Following Treatment with Piperine in Combination with Thymoquinone. Scientia Pharmaceutica, 85(3), 27. https://doi.org/10.3390/scipharm85030027