Central Nervous System Vasculitis for Cryptococcosis in an Immunocompetent Patient
Abstract
1. Introduction
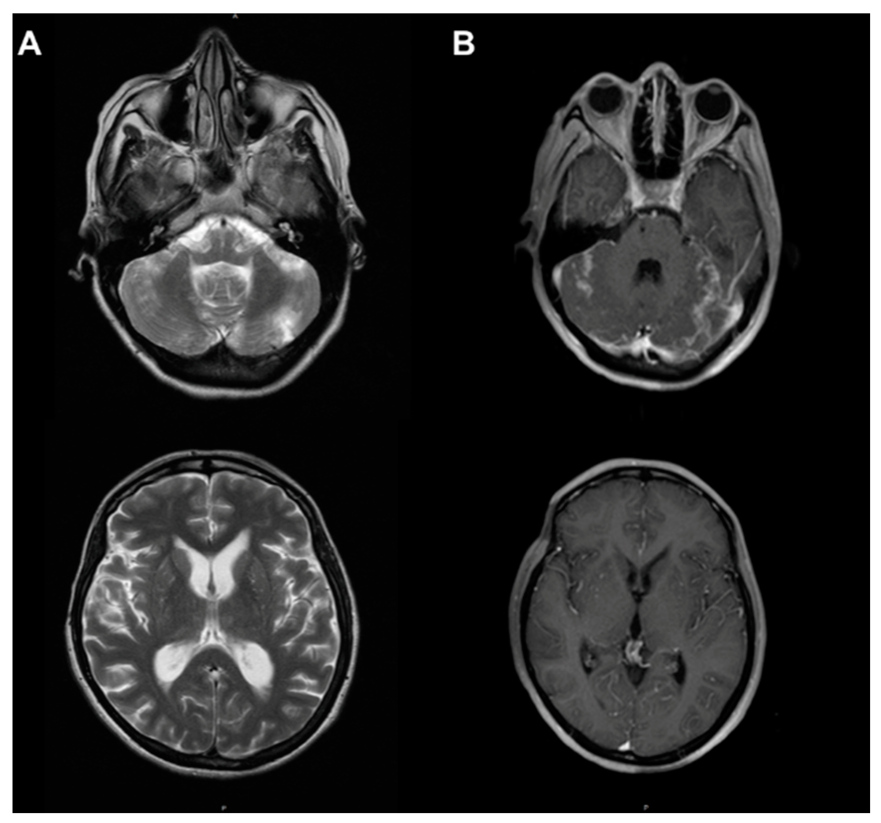
2. Case Report
3. Discussion
4. Conclusions
Author Contributions
Funding
Conflicts of Interest
References
- Rajasingham, R.; Smith, R.M.; Park, B.J.; Jarvis, J.N.; Govender, N.P.; Chiller, T.M.; Denning, D.W.; Loyse, A.; Boulware, D.R. Global burden of disease of HIV-associated cryptococcal meningitis: An updated analysis. Lancet Infect Dis. 2017, 17, 873–881. [Google Scholar] [CrossRef]
- Wilson, L.S.; Reyes, C.M.; Stolpman, M.; Speckman, J.; Allen, K.; Beney, J. The Direct Cost and Incidence of Systemic Fungal Infections. Value Health 2002, 5, 26–34. [Google Scholar] [CrossRef] [PubMed]
- Lui, G.; Lee, N.; Ip, M.; Choi, K.W.; Tso, Y.K.; Lam, E.; Chau, S.; Lai, R.; Cockram, C.S. Cryptococcosis in apparently immunocompetent patients. QJM 2006, 99, 143–151. [Google Scholar] [CrossRef] [PubMed]
- Zhou, Q.; Murphy, W.J. Immune response and immunotherapy to Cryptococcus infections. Immunol Res. 2006, 35, 191–208. [Google Scholar] [CrossRef]
- Awasthi, M.; Patankar, T.; Shah, P.; Castillo, M. Cerebral cryptococcosis: Atypical appearances on CT. Br. J. Radiol. 2001, 74, 83–85. [Google Scholar] [CrossRef] [PubMed]
- Saigal, G.; Judith Donovan Post, M.; Lolayekar, S.; Murtaza, A. Unusual Presentation of Central Nervous System Cryptococcal Infection in an Immunocompetent Patient. AJNR Am. J. Neuroradiol. 2005, 26, 2522–2526. [Google Scholar] [PubMed]
- Mishra, A.K.; Arvind, V.H.; Muliyil, D.; Kuriakose, C.K.; George, A.A.; Karuppusami, R.; Carey, R.A.B.; Mani, S.; Hansdak, S.G. Cerebrovascular injury in cryptococcal meningitis. Int. J. Stroke 2018, 13, 57–65. [Google Scholar] [CrossRef] [PubMed]
- Tjia, T.L.; Yeow, Y.K.; Tan, C.B. Cryptococcal meningitis. J. Neurol. Neurosurg. Psychiatry. 1985, 48, 853–858. [Google Scholar] [CrossRef] [PubMed]
- Leite, A.G.B.; Vidal, J.E.; Filho, F.B.; Nogueira, R.S.; de Oliveira, A.C.P. Cerebral infarction related to cryptococcal meningitis in an HIV-infected patient: Case report and literature review. Braz. J. Infect. Dis. 2004, 8. [Google Scholar] [CrossRef]
- Severo, C.B.; Xavier, M.O.; Gazzoni, A.F.; Severo, L.C. Cryptococcosis in children. Paediatr. Respir Rev. 2009, 10, 166–171. [Google Scholar] [CrossRef] [PubMed]
- Patel, C.; Rabindra, R.; Hashemi, N.; Ward, M.; Mannan, J.M. Chronic meningitis: A diagnostic challenge highlighted in a case of cryptococcal meningoencephalitis in an apparently immunocompetent older woman. Case Rep. 2011, 2011, bcr0820114724. [Google Scholar] [CrossRef] [PubMed]
- Patel, A.K.; Patel, K.K.; Ranjan, R.; Shah, S.; Patel, J.K. Management of cryptococcal meningitis in HIV-infected patients: Experience from western India. Indian J. Sex Transm. Dis. AIDS 2010, 31, 22–26. [Google Scholar] [CrossRef] [PubMed]
- Kumwenda, J.J.; Mateyu, G.; Kampondeni, S.; van Dam, A.P.; van Lieshout, L.; Zijlstra, E.E. Differential Diagnosis of Stroke in a Setting of High HIV Prevalence in Blantyre, Malawi. Stroke 2005, 36, 960–964. [Google Scholar] [CrossRef] [PubMed]
- Engstrom, J.W.; Lowenstein, D.H.; Bredesen, D.E. Cerebral infarctions and transient neurologic deficits associated with acquired immunodeficiency syndrome. Am. J. Med. 1989, 86, 528–532. [Google Scholar] [CrossRef]
- Rosario, M.; Song, S.X.; McCullough, L.D. An Unusual Case of Stroke. Neurologist 2012, 18, 229–232. [Google Scholar] [CrossRef] [PubMed]
- Lan, S.H.; Chang, W.N.; Lu, C.H.; Lui, C.C.; Chang, H.W. Cerebral infarction in chronic meningitis: A comparison of tuberculous meningitis and cryptococcal meningitis. QJM 2001, 94, 247–253. [Google Scholar] [CrossRef] [PubMed]
- Rigi, M.; Khan, K.; Smith, S.V.; Suleiman, A.O.; Lee, A.G. Evaluation and management of the swollen optic disk in cryptococcal meningitis. Surv. Ophthalmol. 2017, 62, 150–160. [Google Scholar] [CrossRef] [PubMed]
- Kanaly, C.W.; Selznick, L.A.; Cummings, T.J.; Cory Adamson, D. Cerebellar Cryptococcoma in A Patient with Undiagnosed Sarcoidosis. Neurosurgery 2007, 60, E571. [Google Scholar] [CrossRef] [PubMed]
- Bourke, C.D.; Berkley, J.A.; Prendergast, A.J. Immune Dysfunction as a Cause and Consequence of Malnutrition. Trends Immunol. 2016, 37, 386–398. [Google Scholar] [CrossRef] [PubMed]
- Brouwer, A.E.; Rajanuwong, A.; Chierakul, W.; Griffin, G.E.; Larsen, R.A.; White, N.J.; Harrison, T.S. Combination antifungal therapies for HIV-associated cryptococcal meningitis: A randomised trial. Lancet 2004, 363, 1764–1767. [Google Scholar] [CrossRef]
- Day, J.N.; Chau, T.T.H.; Wolbers, M.; Mai, P.P.; Dung, N.T.; Mai, N.H.; Phu, N.H.; Nghia, H.D.; Phong, N.D.; Thai, C.Q.; et al. Combination Antifungal Therapy for Cryptococcal Meningitis. N. Engl. J. Med. 2013, 368, 2522–2523. [Google Scholar] [CrossRef] [PubMed]


© 2018 by the authors. Licensee MDPI, Basel, Switzerland. This article is an open access article distributed under the terms and conditions of the Creative Commons Attribution (CC BY) license (http://creativecommons.org/licenses/by/4.0/).
Share and Cite
Zimelewicz Oberman, D.; Patrucco, L.; Cuello Oderiz, C. Central Nervous System Vasculitis for Cryptococcosis in an Immunocompetent Patient. Diseases 2018, 6, 75. https://doi.org/10.3390/diseases6030075
Zimelewicz Oberman D, Patrucco L, Cuello Oderiz C. Central Nervous System Vasculitis for Cryptococcosis in an Immunocompetent Patient. Diseases. 2018; 6(3):75. https://doi.org/10.3390/diseases6030075
Chicago/Turabian StyleZimelewicz Oberman, Dan, Liliana Patrucco, and Carolina Cuello Oderiz. 2018. "Central Nervous System Vasculitis for Cryptococcosis in an Immunocompetent Patient" Diseases 6, no. 3: 75. https://doi.org/10.3390/diseases6030075
APA StyleZimelewicz Oberman, D., Patrucco, L., & Cuello Oderiz, C. (2018). Central Nervous System Vasculitis for Cryptococcosis in an Immunocompetent Patient. Diseases, 6(3), 75. https://doi.org/10.3390/diseases6030075

