Ophthalmic Complications After Dental Procedures: Scoping Review
Abstract
1. Introduction
2. Materials and Methods
- Articles published in English.
- Studies involving human subjects.
- Articles discussing any ophthalmic complications following dental procedures.
- Study type.
- Dental procedures associated with complications.
- Time of onset from procedure to complication.
- Proposed mechanisms.
- Treatments and outcomes.
- Number of cases.
- Other significant details.
3. Results and Discussion
3.1. Epidemiology and Case Statistics
3.2. Anatomical and Physiological Connections
3.2.1. Vascular Connections
3.2.2. Venous Connections
3.2.3. Neurological and Pathological Pathways
3.2.4. Additional Pathways
3.3. Neuro–Ophthalmic Complications
3.3.1. Diplopia
3.3.2. Ptosis and Loss of Accommodation
3.3.3. Vision Loss
3.3.4. Cervical Artery Dissection
3.4. Orbital and Periorbital Complications
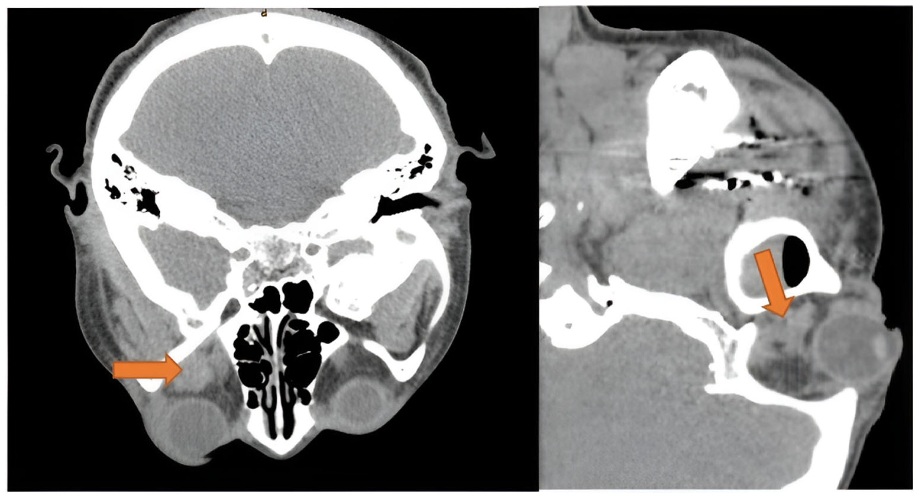
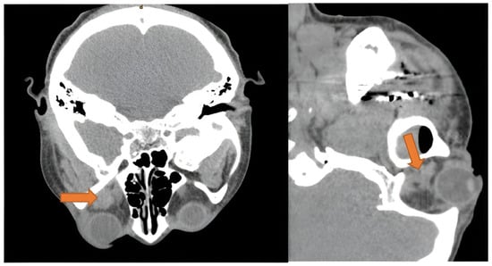
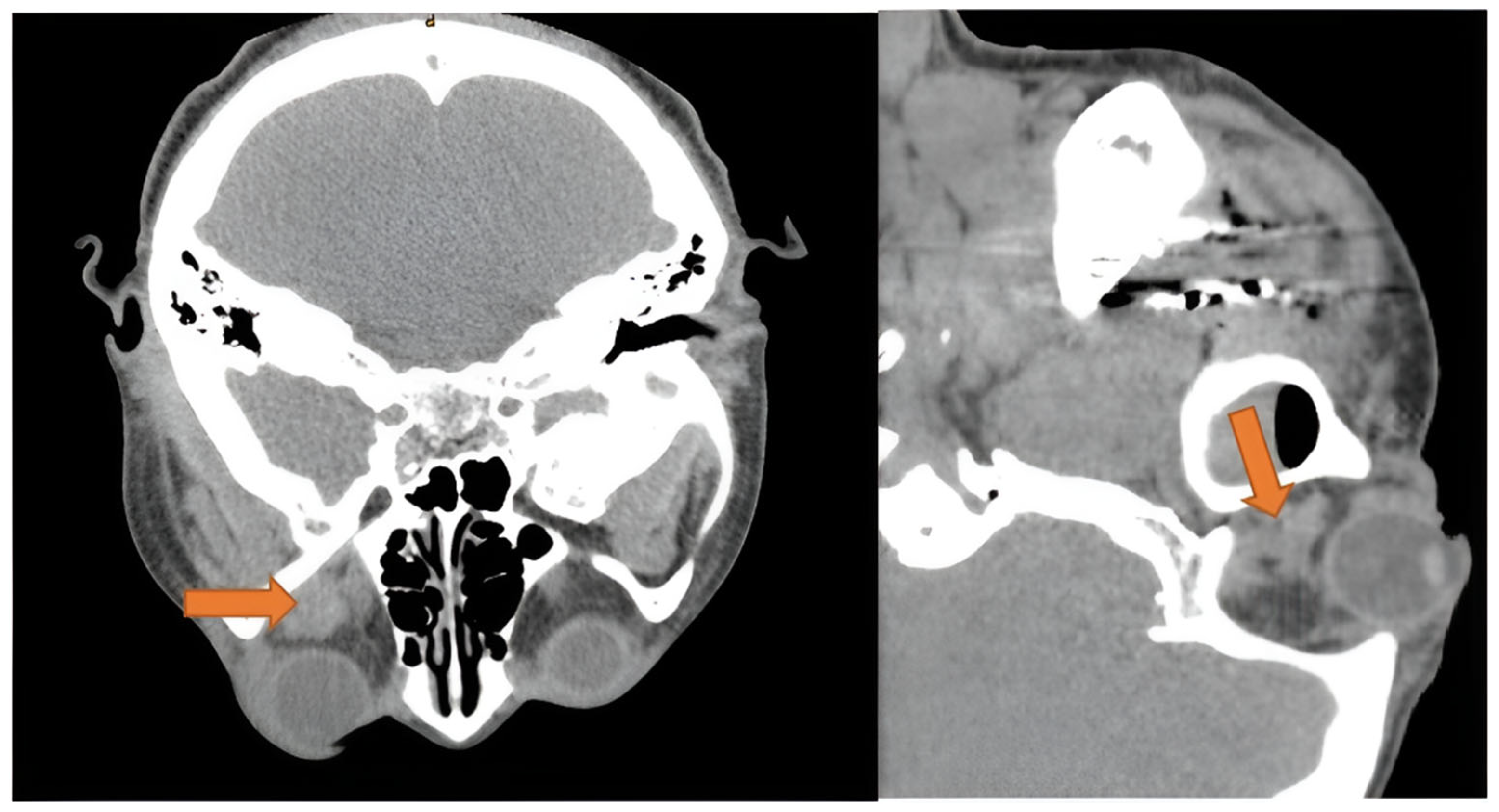
3.4.1. Orbital Cellulitis and Abscess
3.4.2. Orbital and Subcutaneous Emphysema
Orbital Emphysema
Subcutaneous Emphysema
3.4.3. Periocular Necrotizing Fasciitis
3.5. Vascular Complications
Retrobulbar and Subretinal Hemorrhage
3.6. Orbital Trauma and Injury
4. Future Directions and Research Gaps
Supplementary Materials
Author Contributions
Funding
Conflicts of Interest
Abbreviations
| NAION | Nonarteritic anterior ischemic optic neuropathy |
| AION | Anterior ischemic optic neuropathy |
| BRAO | Branch retinal artery occlusion |
| CRVO | Central retinal venous occlusion |
| EOM | Extraocular muscle |
| URTI | Upper respiratory tract infection |
| PSA | Posterior superior alveolar |
References
- Joshi, A.; Jain, A.; Chimote, M.M. Etiology and Pathophysiological Pathways of Ocular Complications Associated with Local Dental Anesthesia and Odontogenic Infections: A Systematic Review. J. Maxillofac. Oral Surg. 2022, 21, 648–667. [Google Scholar] [CrossRef] [PubMed]
- Lo, C.; Kim, A.H.S.; Hieawy, A.; Nathoo, N.A. Acute Vision Loss as an Ophthalmic Complication of Dental Procedures. Semin. Ophthalmol. 2021, 36, 75–81. [Google Scholar] [CrossRef]
- Yigit, Y.; Helvacioglu-Yigit, D.; Kan, B.; Ilgen, C.; Yilmaz, S. Dentofacial Traumatic Injuries: A Survey of Knowledge and Attitudes among Emergency Medicine Physicians in Turkey. Dent. Traumatol. 2019, 35, 20–26. [Google Scholar] [CrossRef]
- Steenen, S.A.; Dubois, L.; Saeed, P.; de Lange, J. Ophthalmologic Complications after Intraoral Local Anesthesia: Case Report and Review of Literature. Oral Surg. Oral Med. Oral Pathol. Oral Radiol. 2012, 113, e1–e5. [Google Scholar] [CrossRef]
- Biousse, V.; Touboul, P.-J.; D’Anglejan-Chatillon, J.; Lévy, C.; Schaison, M.; Bousser, M.-G. Ophthalmologic Manifestions of Internal Carotid Artery Dissection. Am. J. Ophthalmol. 1998, 126, 565–577. [Google Scholar] [CrossRef]
- Alamanos, C.; Raab, P.; Gamulescu, A.; Behr, M. Ophthalmologic Complications after Administration of Local Anesthesia in Dentistry: A Systematic Review. Oral Surg. Oral Med. Oral Pathol. Oral Radiol. 2016, 121, e39–e50. [Google Scholar] [CrossRef]
- Pandey, R.; Dixit, N.; Dixit, K.K.; Roy, S.; Gaba, C. Amaurosis, an Unusual Complication Secondary to Inferior Alveolar Nerve Anesthesia: A Case Report and Literature Review. J. Endod. 2018, 44, 1442–1444. [Google Scholar] [CrossRef] [PubMed]
- Barodiya, A.; Thukral, R.; Agrawal, S.M.; Rai, A.; Singh, S. Temporary Blindness after Inferior Alveolar Nerve Block. J. Clin. Diagn. Res. JCDR 2017, 11, ZD24. [Google Scholar] [CrossRef]
- Cole, J.K. Ocular Complications Resulting from Intra-Arterial Injection during Inferior Alveolar Nerve Anesthesia. Anesth. Prog. 1982, 29, 9. [Google Scholar]
- Rishiraj, B.; Epstein, J.B.; Fine, D.; Nabi, S.; Wade, N.K. Permanent Vision Loss in One Eye Following Administration of Local Anesthesia for a Dental Extraction. Int. J. Oral Maxillofac. Surg. 2005, 34, 220–223. [Google Scholar] [CrossRef] [PubMed]
- Tasioudi, C.A.; Chrysikos, D.; Tasioudis, P.; Demesticha, T.; Troupis, T. A Case Report on Contralateral Transient Diplopia After Regional Dental Anaesthesia: Do Anatomical Variations Play a Key Role? Cureus 2022, 14, e31629. [Google Scholar] [CrossRef]
- Fa, B.A.; Speaker, S.R.; Budenz, A.W. Temporary Diplopia After Gow-Gates Injection: Case Report and Review. Anesth. Prog. 2016, 63, 139. [Google Scholar] [CrossRef]
- Sved, A.M.; Wong, J.D.; Donkor, P.; Horan, J.; Rix, L.; Curtin, J.; Vickers, R. Complications Associated with Maxillary Nerve Block Anaesthesia via the Greater Palatine Canal. Aust. Dent. J. 1992, 37, 340–345. [Google Scholar] [CrossRef] [PubMed]
- Muñoz-Guerra, M.F.; González-García, R.; Capote, A.L.; Escorial, V.; Gías, L.N. Subperiosteal Abscess of the Orbit: An Unusual Complication of the Third Molar Surgery. Oral Surg. Oral Med. Oral Pathol. Oral Radiol. Endodontology 2006, 102, e9–e13. [Google Scholar] [CrossRef] [PubMed]
- Youssef, O.H.; Stefanyszyn, M.A.; Bilyk, J.R. Odontogenic Orbital Cellulitis. Ophthalmic Plast. Reconstr. Surg. 2008, 24, 29–35. [Google Scholar] [CrossRef]
- Kravitz, E.; Foroozan, R. Anterior Ischemic Optic Neuropathy After Dental Extraction. J. Neuroophthalmol. 2019, 39, 14–17. [Google Scholar] [CrossRef]
- Balaji, S.M. Transient Diplopia in Dental Outpatient Clinic: An Uncommon Iatrogenic Event. Indian J. Dent. Res. 2010, 21, 132. [Google Scholar] [CrossRef]
- Parkar, A.; Medhurst, C.; Irbash, M.; Philpott, C. Periorbital Oedema and Surgical Emphysema, an Unusual Complication of a Dental Procedure: A Case Report. Cases J. 2009, 2, 8108. [Google Scholar] [CrossRef] [PubMed]
- Roelofs, K.A.; Starks, V.; Yoon, M.K. Orbital Emphysema: A Case Report and Comprehensive Review of the Literature. Ophthalmic Plast. Reconstr. Surg. 2019, 35, 1–6. [Google Scholar] [CrossRef]
- Seres, L.; Petho, G.; Peto, Z.; Peto, T. A Case of Transient Diplopia and Ophthalmoplegia Following Dental Anesthesia. Niger. J. Clin. Pract. 2019, 22, 1172. [Google Scholar] [CrossRef]
- Kapiris, E.; Kosma, K.K.; Kremastinou, F. Diplopia Due to Local Anesthesia. A Very Rare Complication. Available online: https://www.signavitae.com/articles/10.22514/sv.2021.185 (accessed on 31 December 2024).
- Alwala, A.M.; Ellapakurthi, P.; Mudhireddy, S.; Boyapati, R. Diplopia Following Posterior Superior Alveolar Nerve Block: A Case Report and Review of Literature. J. Dent. Anesth. Pain Med. 2022, 22, 71. [Google Scholar] [CrossRef]
- Horowitz, J.; Almog, Y.; Wolf, A.; Buckman, G.; Geyer, O. Ophthalmic Complications of Dental Anesthesia: Three New Cases. J. Neuro-Ophthalmol. 2005, 25, 95–100. [Google Scholar]
- Simsek, I.B.; Kiziloglu, O.Y.; Ziylan, S. Painful Ophthalmoplegia Following Dental Procedure. Neuro-Ophthalmology 2013, 37, 165–168. [Google Scholar] [CrossRef] [PubMed][Green Version]
- Choi, E.-H.; Seo, J.-Y.; Jung, B.-Y.; Park, W. Diplopia after Inferior Alveolar Nerve Block Anesthesia: Report of 2 Cases and Literature Review. Oral Surg. Oral Med. Oral Pathol. Oral Radiol. Endodontology 2009, 107, e21–e24. [Google Scholar] [CrossRef]
- Sargunam, E.; Ganesan, A.; Chandrasekaran, D.; Siroraj, P. Transient Diplopia: A Loco Regional Complication of Inferior Alveolar Nerve Block. Indian J. Dent. Res. 2019, 30, 639–642. [Google Scholar] [CrossRef]
- You, T.M. Diplopia after Inferior Alveolar Nerve Block: Case Report and Related Physiology. J. Dent. Anesth. Pain Med. 2015, 15, 93–96. [Google Scholar] [CrossRef] [PubMed][Green Version]
- Pragasm, M.; Managutti, A. Diplopia with Local Anesthesia. Natl. J. Maxillofac. Surg. 2011, 2, 82. [Google Scholar] [CrossRef]
- Chisci, G.; Chisci, C.; Chisci, V.; Chisci, E. Ocular Complications after Posterior Superior Alveolar Nerve Block: A Case of Trochlear Nerve Palsy. Int. J. Oral Maxillofac. Surg. 2013, 42, 1562–1565. [Google Scholar] [CrossRef] [PubMed]
- Williams, J.V.; Williams, L.R.; Colbert, S.D.; Revington, P.J. Amaurosis, Ophthalmoplegia, Ptosis, Mydriasis and Periorbital Blanching Following Inferior Alveolar Nerve Anaesthesia. Oral Maxillofac. Surg. 2011, 15, 67–70. [Google Scholar] [CrossRef]
- Hyams, S.W. Oculomotor Palsy Following Dental Anesthesia. Arch. Ophthalmol. 1976, 94, 1281–1282. [Google Scholar] [CrossRef]
- Dubey, P.; Bansal, V.; Arun Kumar, K.V.; Mowar, A.; Khare, G.; Singh, S. Non-Traumatic Occulomotor Nerve Palsy: A Rare Case Report and Discussion on Etiopathogenesis. J. Maxillofac. Oral Surg. 2015, 14, 313–316. [Google Scholar] [CrossRef] [PubMed][Green Version]
- Scarano, A.; Sinjari, B.; Lorusso, F.; Mortellaro, C.; D’Ovidio, C.; Carinci, F. Intense, Instantaneous, and Shooting Pain During Local Anesthesia for Implant Surgery. J. Craniofacial Surg. 2018, 29, 2287–2290. [Google Scholar] [CrossRef] [PubMed]
- Blaxter, P.L.; Britten, M.J. Transient Amaurosis after Mandibular Nerve Block. Br. Med. J. 1967, 1, 681. [Google Scholar] [CrossRef][Green Version]
- Lee, J.S.; Kim, J.Y.; Jung, C.; Woo, S.J. Iatrogenic Ophthalmic Artery Occlusion and Retinal Artery Occlusion. Prog. Retin. Eye Res. 2020, 78, 100848. [Google Scholar] [CrossRef]
- Baba, J.; Iwai, T.; Endo, H.; Aoki, N.; Tohnai, I. Maxillary Tuberosity Fracture and Ophthalmologic Complications Following Removal of Maxillary Third Molar. Oral Surg. 2017, 10, 43–47. [Google Scholar] [CrossRef]
- Campbell, R.L.; Mercuri, L.G.; Van Sickels, J. Cervical Sympathetic Block Following Intraoral Local Anesthesia. Oral Surg. Oral Med. Oral Pathol. 1979, 47, 223–226. [Google Scholar] [CrossRef]
- Dogan, E.A.; Dora, B. Transient Partial Ophthalmoplegia and Horner’s Syndrome after Intraoral Local Anesthesia. J. Clin. Neurosci. 2005, 12, 696–697. [Google Scholar] [CrossRef]
- Prakasm, M.; Managutti, A.; Dolas, R.S.; Agrawal, M.G. Temporary Pupillary Dilatation and Ptosis: Complications of PSA Nerve Block: A Case Report and Review of Literature. J. Maxillofac. Oral Surg. 2009, 8, 181–183. [Google Scholar] [CrossRef]
- Peñarrocha-Diago, M.; Sanchis-Bielsa, J.M. Ophthalmologic Complications after Intraoral Local Anesthesia with Articaine. Oral Surg. Oral Med. Oral Pathol. Oral Radiol. Endodontology 2000, 90, 21–24. [Google Scholar] [CrossRef] [PubMed]
- Singh, S.; Dass, R. The Central Artery of the Retina. I. Origin and Course. Br. J. Ophthalmol. 1960, 44, 193–212. [Google Scholar] [CrossRef] [PubMed]
- Ngeow, W.C.; Shim, C.K.; Chai, W.L. Transient Loss of Power of Accommodation in 1 Eye Following Inferior Alveolar Nerve Block: Report of 2 Cases. J. Can. Dent. Assoc. 2006, 72, 927–931. [Google Scholar]
- Kim, J.H.; Paik, H.; Ku, J.-K.; Chang, N.-H. A Rare Case Report of Pseudomyopia after Impacted Teeth Extraction under General Anesthesia. J. Korean Assoc. Oral Maxillofac. Surg. 2022, 48, 309–314. [Google Scholar] [CrossRef]
- Verma, D.K.; Rajan, R.; Prabhu, S. Ipsilateral, Isolated Amaurosis after Inferior Alveolar Nerve Block: Report of Two Rare Cases. Oral Maxillofac. Surg. 2013, 17, 73–75. [Google Scholar] [CrossRef]
- Parc, C.; Allali, J.; Patel, S.V.; Brézin, A.P. Ischémie Du Nerf Optique Compliquant Une Extraction Dentaire. J. Français D’ophtalmologie 2004, 27, 921–923. [Google Scholar] [CrossRef] [PubMed]
- Oğurel, T.; Onaran, Z.; Oğurel, R.; Örnek, N.; Gökçınar, N.B.; Örnek, K. Branch Retinal Artery Occlusion Following Dental Extraction. Case Rep. Ophthalmol. Med. 2014, 2014, 202834. [Google Scholar] [CrossRef]
- Zas, M.; Mendaro, M.O.; Schiantarelli, P.V.; Cotic, M.I.; Chiaradía, P.A. Unilateral Visual Impairment after a Dental Procedure: Case Report. Arch. De La Soc. Española De Oftalmol. (Engl. Ed.) 2021, 96, 649–652. [Google Scholar] [CrossRef]
- Khattab, M.H.; Wiegand, A.; Storch, M.; Hoerauf, H.; Feltgen, N. Unilateral Vision Loss after a Dental Visit. Case Rep. Ophthalmol. 2018, 9, 209–214. [Google Scholar] [CrossRef] [PubMed]
- Ko, I.-C.; Park, K.-S.; Shin, J.-M.; Baik, J.-S. Visual Loss After Intraoral Local Anesthesia for the Removal of Circumzygomatic and Circum-Mandibular Wires: A Case Report. J. Oral Maxillofac. Surg. 2015, 73, 1918.e1–1918.e6. [Google Scholar] [CrossRef] [PubMed]
- Uckan, S.; Cilasun, U.; Erkman, O. Rare Ocular and Cutaneous Complication of Inferior Alveolar Nerve Block. J. Oral Maxillofac. Surg. 2006, 64, 719–721. [Google Scholar] [CrossRef]
- Al-Sandook, T.; Al-Saraj, A. Ocular Complications after Inferior Alveolar Nerve Block: A Case Report. J. Calif. Dent. Assoc. 2010, 38, 57–59. [Google Scholar] [CrossRef]
- Wilkie, G.J. Temporary Uniocular Blindness and Ophthalmoplegia Associated with a Mandibular Block Injection. A Case Report. Aust. Dent. J. 2000, 45, 131–133. [Google Scholar] [CrossRef]
- Harvey, J.P. Anterior Ischemic Optic Neuropathy After Dental Extraction: Comment. J. Neuro-Ophthalmol. 2019, 39, 288. [Google Scholar] [CrossRef]
- Walsh & Hoyt’s Clinical Neuro-Ophthalmology. Available online: https://www.wolterskluwer.com/en/solutions/ovid/walsh--hoyts-clinical-neuroophthalmology-3314 (accessed on 8 January 2025).
- Delgado, M.G.; Riesco, N.; Murias, E.; Calleja, S. Acute Cervical Artery Dissection after a Dental Procedure Due to a Second Inferior Molar Infection. Case Rep. 2015, 2015, bcr2015210348. [Google Scholar] [CrossRef]
- Siwiec, R.M.; Solomon, G.D. Bilateral Carotid Artery Dissection After Dental Work. Headache J. Head. Face Pain 2007, 47, 1449–1450. [Google Scholar] [CrossRef] [PubMed]
- De Santis, F.; Martini, G.; Thüringen, P.; Thaler, M.; Mani, G.; Steckholzer, K. Internal Carotid Artery Dissection After Inferior Alveolar Nerve Block for Third Molar Dental Care Presented as Hypoglossal Nerve Palsy. Vasc. Endovasc. Surg. 2012, 46, 591–595. [Google Scholar] [CrossRef]
- Molad, J.A.; Findler, M.; Bornstein, N.M.; Auriel, E. Symptomatogenic Acute Cervical Artery Dissection Following Dental Procedure—Case Series. J. Neurol. Sci. 2016, 368, 184–186. [Google Scholar] [CrossRef] [PubMed]
- Stübinger, S.; Leiggener, C.; Sader, R.; Kunz, C. Intraorbital Abscess. J. Am. Dent. Assoc. 2005, 136, 921–925. [Google Scholar] [CrossRef]
- Mahmood, H.; Flora, H.; Murphy, C.; Sutton, D. Retrobulbar Abscess: Rare Complication after Repair of an Oroantral Communication. Br. J. Oral Maxillofac. Surg. 2018, 56, 227–229. [Google Scholar] [CrossRef] [PubMed]
- Bullock, J.D.; Fleishman, J.A. Orbital Cellulitis Following Dental Extraction. Trans. Am. Ophthalmol. Soc. 1984, 82, 111–133. [Google Scholar]
- Arora, N.; Juneja, R.; Meher, R. Complication of an Odontogenic Infection to an Orbital Abscess: The Role of a Medical Fraudster (“Quack”). Iran. J. Otorhinolaryngol. 2018, 30, 181–184. [Google Scholar]
- Remington, L.A. Orbital Blood Supply. In Clinical Anatomy and Physiology of the Visual System; Elsevier: St. Louis, MO, USA, 2012; pp. 202–217. ISBN 978-1-4377-1926-0. [Google Scholar]
- Behrens, A.; Wang, H.; Pemberton, J.; Kumar, M. A Rare Case of Odontogenic Orbital Cellulitis Leading to Septic Cavernous Sinus Thrombosis and Review of Literature. J. Clin. Ophthalmol. Optom. 2018, 2, 104. [Google Scholar]
- Allegrini, D.; Reposi, S.; Nocerino, E.; Pece, A. Odontogenic Orbital Cellulitis Associated with Cavernous Sinus Thrombosis and Pulmonary Embolism: A Case Report. J. Med. Case Rep. 2017, 11, 164. [Google Scholar] [CrossRef]
- Tsai, T.-H.; Yang, C.-H.; Yang, C.-M.; Chen, M.-S. Endogenous Endophthalmitis with Subretinal Abscess after Dental Procedures. J. Formos. Med. Assoc. 2005, 104, 47–49. [Google Scholar]
- Lodi, G.; Azzi, L.; Varoni, E.M.; Pentenero, M.; Del Fabbro, M.; Carrassi, A.; Sardella, A.; Manfredi, M. Antibiotics to Prevent Complications Following Tooth Extractions. Cochrane Database Syst. Rev. 2021, 2, CD003811. [Google Scholar] [CrossRef] [PubMed]
- Fleischman, D.; Davis, R.M.; Lee, L.B. Subcutaneous and Periorbital Emphysema Following Dental Procedure. Ophthalmic Plast. Reconstr. Surg. 2014, 30, e43–e45. [Google Scholar] [CrossRef]
- Arai, I.; Aoki, T.; Yamazaki, H.; Ota, Y.; Kaneko, A. Pneumomediastinum and Subcutaneous Emphysema after Dental Extraction Detected Incidentally by Regular Medical Checkup: A Case Report. Oral Surg. Oral Med. Oral Pathol. Oral Radiol. Endodontology 2009, 107, e33–e38. [Google Scholar] [CrossRef] [PubMed]
- An, G.K.; Zats, B.; Kunin, M. Orbital, Mediastinal, and Cervicofacial Subcutaneous Emphysema after Endodontic Retreatment of a Mandibular Premolar: A Case Report. J. Endod. 2014, 40, 880–883. [Google Scholar] [CrossRef]
- Kim, Y.; Kim, M.-R.; Kim, S.-J. Iatrogenic Pneumomediastinum with Extensive Subcutaneous Emphysema after Endodontic Treatment: Report of 2 Cases. Oral Surg. Oral Med. Oral Pathol. Oral Radiol. Endodontology 2010, 109, e114–e119. [Google Scholar] [CrossRef]
- Chang, J.; Rajaii, F.; McCulley, T. Delayed Orbital Emphysema Mimicking Orbital Cellulitis: An Uncommon Complication of Dental Surgery. Middle East. Afr. J. Ophthalmol. 2019, 26, 175. [Google Scholar] [CrossRef]
- McKenzie, W.S.; Rosenberg, M. Iatrogenic Subcutaneous Emphysema of Dental and Surgical Origin: A Literature Review. J. Oral Maxillofac. Surg. 2009, 67, 1265–1268. [Google Scholar] [CrossRef]
- Kuno, R.; Robertson, W.D. Cavernous Sinus Air Following Orbital Trauma. Am. J. Roentgenol. 1995, 164, 980. [Google Scholar] [CrossRef] [PubMed]
- Almeida, S.I.; Faustino, J.; Duarte Armindo, R.; Mendonça, V. Subcutaneous Facial Emphysema Secondary to a Dental Procedure. BMJ Case Rep. 2021, 14, e242300. [Google Scholar] [CrossRef]
- Steiner, M.; Grau, M.J.; Wilson, D.L.; Snow, N.J. Odontogenic Infection Leading to Cervical Emphysema and Fatal Mediastinitis. J. Oral Maxillofac. Surg. 1982, 40, 600–604. [Google Scholar] [CrossRef]
- Pellat, A.; Zwetyenga, N.; Brie, A.; Gengler, C. From Face Cellulitis to Periorbital Necrotizing Fasciitis Induced by Streptococcus Pyogenese: A Case Report. J. Oral Med. Oral Surg. 2024, 30, 3. [Google Scholar] [CrossRef]
- Asmae, S.; Insaf, B.; Hind, H.; Badr, J.; Adil, M.; Leila, B.; Abderrahim, C.; Rayad, R.; Mohamed, E.B. Necrotizing Orbito-Palpebral Fasciitis Complicating Dental Extraction: About a Case. PAMJ Clin. Med. 2020, 3, 22744. [Google Scholar] [CrossRef]
- Bhaskaran, M.; Manappallil, R.G.; Manuel, R.; Gopi, J. Necrotizing Fasciitis of the Face and Neck Following a Dental Procedure. Saudi J. Oral Sci. 2019, 6, 113. [Google Scholar] [CrossRef]
- Marshall, D.H.; Jordan, D.R.; Gilberg, S.M.; Harvey, J.; Arthurs, B.P.; Nerad, J.A. Periocular Necrotizing Fasciitis: A Review of Five Cases. Ophthalmology 1997, 104, 1857–1862. [Google Scholar] [CrossRef]
- Miyazaki, H.; Takahashi, Y.; Kuruma, T.; Someda, S.K.; Kakizaki, H. Treatment Strategies for Orbital Gas-Producing Necrotizing Fasciitis Secondary to Odontogenic Maxillary Sinusitis: Technical Notes. J. Stomatol. Oral Maxillofac. Surg. 2024, 125, 101544. [Google Scholar] [CrossRef]
- Clement, C.I.; Hassall, M.E. Necrotizing Fasciitis of the Face and Orbit Following Complications with a Tooth Abscess. ANZ J. Surg. 2004, 74, 85–87. [Google Scholar] [CrossRef]
- Shindo, M.L.; Nalbone, V.P.; Dougherty, W.R. Necrotizing Fasciitis of the Face. Laryngoscope 1997, 107, 1071–1079. [Google Scholar] [CrossRef]
- Goshtasby, P.; Miremadi, R.; Warwar, R. Retrobulbar Hematoma After Third Molar Extraction: Case Report and Review. J. Oral Maxillofac. Surg. 2010, 68, 461–464. [Google Scholar] [CrossRef]
- Suhaym, O.; Alghamdi, O.; Pompura, J. Retrobulbar Hemorrhage Following Tooth Extraction: Case Report & Anatomical Correlation. Oral Maxillofac. Surg. Cases 2020, 6, 100142. [Google Scholar] [CrossRef]
- Gupta, N.; Epstein, A.; Reed, D.; Homer, N.; Blaydon, S.; Alford, J.; Nakra, T. Acute Retrobulbar Hemorrhage after Tooth Extraction: Case Report and Treatment of a Rare Condition. Spec. Care Dent. 2022, 42, 304–307. [Google Scholar] [CrossRef]
- Krepler, K.; Wedrich, A.; Schranz, R. Intraocular Hemorrhage Associated With Dental Implant Surgery. Am. J. Ophthalmol. 1996, 122, 745–746. [Google Scholar] [CrossRef]
- Krauthammer, M.; Shuster, A.; Mezad-Koursh, D.; Shlomi, B.; Stolovitch, C.; Leibovitch, I. Extraocular Muscle Damage from Dental Implant Penetration to the Orbit. Am. J. Ophthalmol. Case Rep. 2017, 5, 94–96. [Google Scholar] [CrossRef]
- Kim, J.-W.; Chin, B.-R.; Park, H.-S.; Lee, S.-H.; Kwon, T.-G. Cranial Nerve Injury after Le Fort I Osteotomy. Int. J. Oral Maxillofac. Surg. 2011, 40, 327–329. [Google Scholar] [CrossRef]
- Nugent, G.; Nugent, G.; Chu, J.; Dhir, N.; Moar, K. 164. Ophthalmoplegia Following a Cleft Le Fort 1 Osteotomy: An Unlikely Cause with Review of the Literature. Br. J. Oral Maxillofac. Surg. 2022, 60, e68. [Google Scholar] [CrossRef]
- Jenyon, T.; Panthagani, J.; Green, D. Transient Facial Nerve Palsy Following Dental Local Anaesthesia. BMJ Case Rep. 2020, 13, e234753. [Google Scholar] [CrossRef]





| Complication | Cases * | Anatomy | Features | Treatment |
|---|---|---|---|---|
| Neuro–Ophthalmic | ||||
| Diplopia | 20 |
|
| |
| Ptosis and loss of accommodation | 6 |
|
| |
| Vision loss | 19 |
|
| |
| Cervical Artery Dissection | 4 |
|
|
|
| Orbital and Periorbital Complications | ||||
| Orbital Cellulitis and Abscess | 11 |
|
|
|
| Subretinal Abscess | 1 |
|
|
|
| Orbital Emphysema | 8 |
|
|
|
| Periocular Necrotizing Fasciitis | 7 |
|
|
|
| Vascular Complications | ||||
| Retrobulbar Hemorrhage | 3 |
|
| |
| Subretinal Hemorrhage | 1 |
|
|
|
| Others | ||||
| Ocular Trauma | 4 |
|
| |
| Facial Nerve Palsy | 1 |
|
|
|
Disclaimer/Publisher’s Note: The statements, opinions and data contained in all publications are solely those of the individual author(s) and contributor(s) and not of MDPI and/or the editor(s). MDPI and/or the editor(s) disclaim responsibility for any injury to people or property resulting from any ideas, methods, instructions or products referred to in the content. |
© 2025 by the authors. Licensee MDPI, Basel, Switzerland. This article is an open access article distributed under the terms and conditions of the Creative Commons Attribution (CC BY) license (https://creativecommons.org/licenses/by/4.0/).
Share and Cite
Wang, X.C.; Zhao, C.; Wu, K.Y.; Marchand, M. Ophthalmic Complications After Dental Procedures: Scoping Review. Diseases 2025, 13, 244. https://doi.org/10.3390/diseases13080244
Wang XC, Zhao C, Wu KY, Marchand M. Ophthalmic Complications After Dental Procedures: Scoping Review. Diseases. 2025; 13(8):244. https://doi.org/10.3390/diseases13080244
Chicago/Turabian StyleWang, Xingao C., Cindy Zhao, Kevin Y. Wu, and Michael Marchand. 2025. "Ophthalmic Complications After Dental Procedures: Scoping Review" Diseases 13, no. 8: 244. https://doi.org/10.3390/diseases13080244
APA StyleWang, X. C., Zhao, C., Wu, K. Y., & Marchand, M. (2025). Ophthalmic Complications After Dental Procedures: Scoping Review. Diseases, 13(8), 244. https://doi.org/10.3390/diseases13080244

