Endovascular Treatment of a Symptomatic Vertebral Artery Aneurysm in a Puerperal Patient with Neurofibromatosis Type 1—A Case Report and Review of the Literature
Abstract
1. Introduction
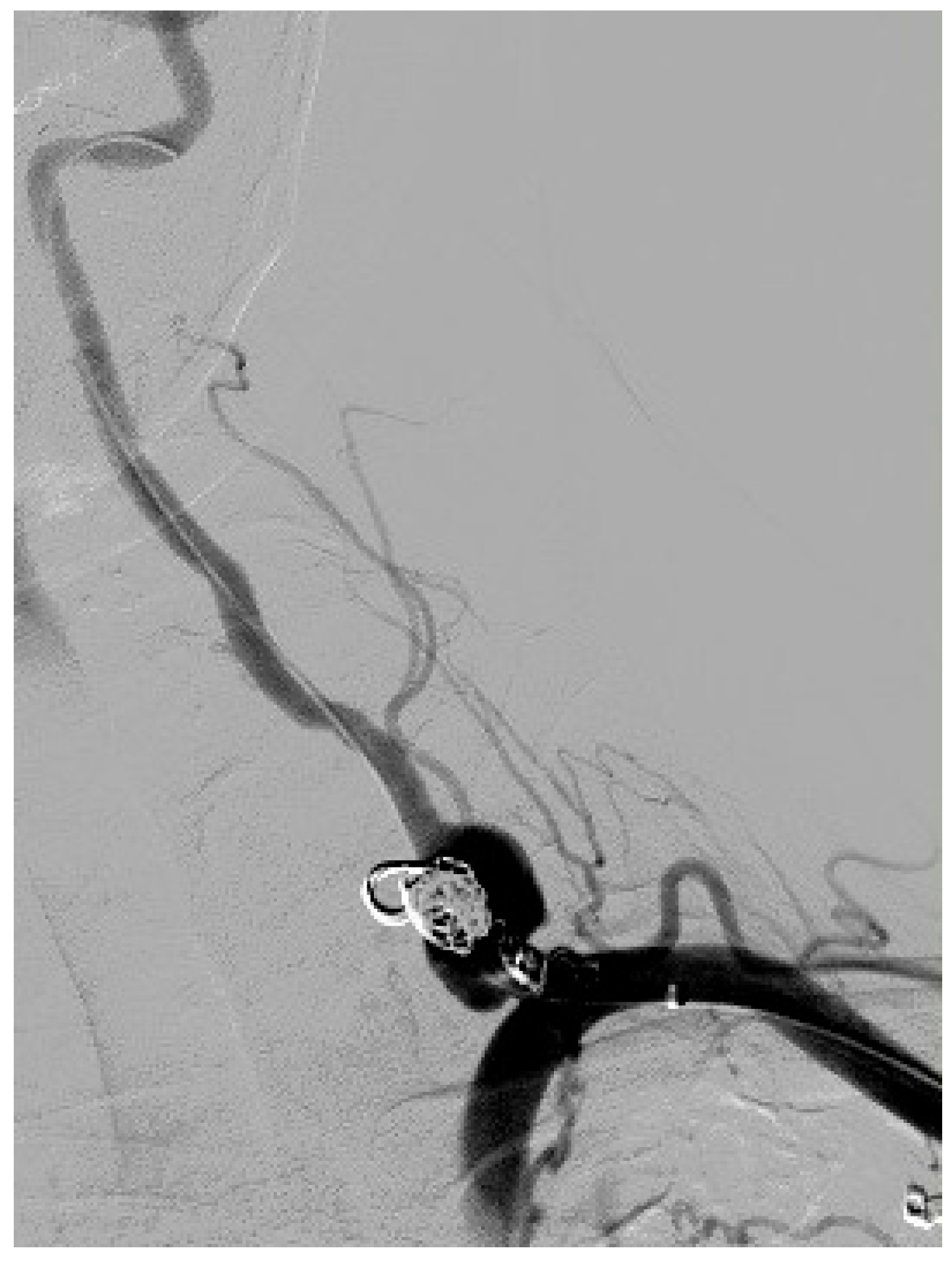
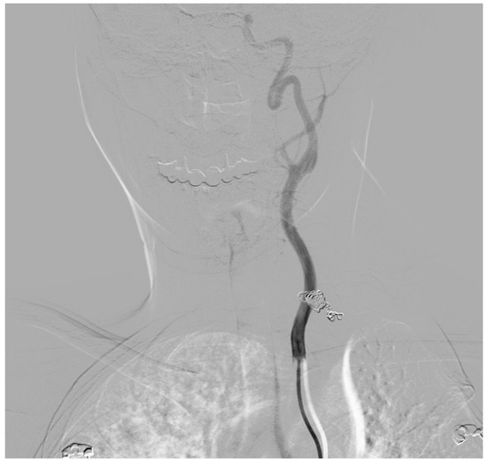
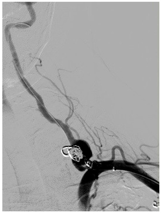
2. Case Presentation
3. Discussion
4. Conclusions
Author Contributions
Funding
Institutional Review Board Statement
Informed Consent Statement
Data Availability Statement
Conflicts of Interest
References
- Wang, Y.; Jiao, L. Endovascular Treatment of a Primary Extracranial Vertebral Artery Aneurysm Causing Ischemic Stroke. Neurol. India 2021, 69, 184–186. [Google Scholar] [CrossRef] [PubMed]
- Uneda, A.; Suzuki, K.; Okubo, S.; Hirashita, K.; Yunoki, M.; Yoshino, K. Neurofibromatosis Type 1–Associated Extracranial Vertebral Artery Aneurysm Complicated by Vertebral Arteriovenous Fistula After Rupture: Case Report and Literature Review. World Neurosurg. 2016, 96, 609.e13–609.e18. [Google Scholar] [CrossRef] [PubMed]
- Elamurugan, E.; Ram, D. A tale of two bleeds—An uncommon manifestation in neurofibromatosis-1. Interact. Cardiovasc. Thorac. Surg. 2019, 29, 152–153. [Google Scholar] [CrossRef] [PubMed]
- Föhrding, L.Z.; Sellmann, T.; Angenendt, S.; Kindgen-Milles, D.; Topp, S.A.; Korbmacher, B.; Lichtenberg, A.; Knoefel, W.T. A case of lethal spontaneous massive hemothorax in a patient with neurofibromatosis 1. J. Cardiothorac. Surg. 2014, 9, 172. [Google Scholar] [CrossRef]
- Degbelo, F.D.; Cito, G.; Guendil, B.; Christodoulou, M.; Abbassi, Z. Spontaneous Hemothorax in a Patient with von Recklinghausen’s Disease: A Case Report and Review of the Literature. Am. J. Case Rep. 2019, 20, 674–678. [Google Scholar] [CrossRef]
- D’eRrico, S.; Martelloni, M.; Cafarelli, F.P.; Guglielmi, G. Neurofibromatosis 1 and massive hemothorax: A fatal combination. Forensic Sci. Med. Pathol. 2018, 14, 377–380. [Google Scholar] [CrossRef]
- Hirbe, A.C.; Gutmann, D.H. Neurofibromatosis type 1: A multidisciplinary approach to care. Lancet Neurol. 2014, 13, 834–843. [Google Scholar] [CrossRef]
- Morasch, M.D.; Phade, S.V.; Naughton, P.; Garcia-Toca, M.; Escobar, G.; Berguer, R. Primary Extracranial Vertebral Artery Aneurysms. Ann. Vasc. Surg. 2013, 27, 418–423. [Google Scholar] [CrossRef]
- Hwang, P.F.; Rice, D.C.; Patel, S.V.; Mukherjee, D. Successful management of renal artery aneurysm rupture after cesarean section. J. Vasc. Surg. 2011, 54, 519–521. [Google Scholar] [CrossRef][Green Version]
- Coulon, C. Thoracic aortic aneurysms and pregnancy. Presse Med. 2015, 44, 1126–1135. [Google Scholar] [CrossRef]
- Trajkovski, A.V.; Reiner, K.; Džaja, N.; Mamić, G.; Mažar, M.; Peršec, J.; Gluncic, V.; Lukic, A. Anesthetic management for cesarean section in two parturient with ascending aortic aneurysm: A case-based discussion. BMC Anesthesiol. 2024, 24, 169. [Google Scholar] [CrossRef]
- Matsuoka, M.; Suto, T.; Hio, S.; Saito, S. Cesarean section following idiopathic rupture of renal artery aneurysm leading to fetal dysfunction. JA Clin. Rep. 2019, 5, 17. [Google Scholar] [CrossRef] [PubMed]
- Shibahara, M.; Kondo, E.; Shibata, E.; Fukumitsu, S.; Anai, K.; Ishikawa, S.; Hayashida, Y.; Araki, M.; Yoshino, K. Spontaneous rupture of an ovarian artery aneurysm complicated by postpartum hypertensive disorders of pregnancy after caesarean section: A case report and literature review. J. Med. Case Rep. 2024, 18, 553. [Google Scholar] [CrossRef] [PubMed]
- Abdulrazeq, H.F.; Goldstein, I.M.; Elsamna, S.T.; Pletcher, B.A. Vertebral artery aneurysm rupture and hemothorax in a patient with neurofibromatosis Type-1: A case report and review of the literature. Heliyon 2019, 5, e02201. [Google Scholar] [CrossRef] [PubMed]
- Higa, G.; Pacanowski, J.P., Jr.; Jeck, D.T.; Goshima, K.R.; León, L.R., Jr. Vertebral artery aneurysms and cervical arteriovenous fistulae in patients with neurofibromatosis 1. Vascular 2010, 18, 166–177. [Google Scholar] [CrossRef]
- Oderich, G.S.; Sullivan, T.M.; Bower, T.C.; Gloviczki, P.; Miller, D.V.; Babovic-Vuksanovic, D.; Macedo, T.A.; Stanson, A. Vascular abnormalities in patients with neurofibromatosis syndrome type I: Clinical spectrum, management, and results. J. Vasc. Surg. 2007, 46, 475–484.e1. [Google Scholar] [CrossRef]
- Han, K.S.; Lee, K.M.; Kim, B.J.; Kwun, B.D.; Choi, S.K.; Lee, S.H. Life-Threatening Hemothorax Caused by Spontaneous Extracranial Vertebral Aneurysm Rupture in Neurofibromatosis Type 1. World Neurosurg. 2019, 130, 157–159. [Google Scholar] [CrossRef]
- Bidad, R.; Hall, C.; Blohm, E. Fatal Tension Hemothorax Combined with Exanguination: A Rare Complication of Neurofibromatosis. Clin. Pract. Cases Emerg. Med. 2019, 3, 364–368. [Google Scholar]
- Anpalakhan, S.; Alluri, R.; Douglas, J.G.; Kurban, L. An unusual cause of a mediastinal mass. BMJ Case Rep. 2013, 2013, bcr-2012-007978. [Google Scholar] [CrossRef]
- Hiramatsu, H.; Matsui, S.; Yamashita, S.; Kamiya, M.; Yamashita, T.; Akai, K.; Watanabe, K.; Namba, H. Ruptured extracranial vertebral artery aneurysm associated with neurofibromatosis type 1. Neurol. Med. Chir. 2012, 52, 446–449. [Google Scholar] [CrossRef]
- Tateishi, A.; Okada, M.; Nakai, M.; Yokota, Y.; Miyamoto, Y. Spontaneous ascending aortic rupture in a pregnant woman with neurofibromatosis type 1. Gen. Thorac. Cardiovasc. Surg. 2018, 67, 979–981. [Google Scholar] [CrossRef]
- Ishizu, A.; Ooka, T.; Murakami, T.; Yoshiki, T. Rupture of the thyrocervical trunk branch from the subclavian artery in a patient with neurofibromatosis: A case report. Cardiovasc. Pathol. 2006, 15, 153–156. [Google Scholar] [CrossRef]
- Al-Jundi, W.; Matheiken, S.; Abdel-Rehim, S.; Insall, R. Ruptured thyrocervical trunk aneurysm in a patient with type I neurofibromatosis. J. Vasc. Endovasc. Surg. Extra 2011, 21, e10–e12. [Google Scholar]
- Fuga, M.; Tanaka, T.; Tachi, R.; Nogami, R.; Teshigawara, A.; Ishibashi, T.; Hasegawa, Y.; Murayama, Y. Successful Endovascular Trapping for Symptomatic Thrombosed Giant Unruptured Aneurysms of the V1 and V2 Segments of the Vertebral Artery: Case Report and Literature Review. NMC Case Rep. J. 2021, 8, 681–690. [Google Scholar] [CrossRef] [PubMed]


| Timeline | Patient’s Clinical Course | Intervention |
|---|---|---|
| 0 day | Admission to Gynecology and Obstetrics Clinic | Cesarean section (CS) |
| 3 days after CS | Admission to Centre for Vascular Surgery | Left sided ipsilateral thyrocervical trunk ruptured aneurysm |
| 3 days after CS | Centre for Vascular Surgery | emergency endovascular coiling intervention |
| 2 months after CS | Admission to Centre for Vascular Surgery | Left sided endovascular treatment (ET) of the ipsilateral VAA |
| 2 days after ET | Discharge from Centre for Vascular Surgery | Monitoring and dual antiplatelet therapy |
Disclaimer/Publisher’s Note: The statements, opinions and data contained in all publications are solely those of the individual author(s) and contributor(s) and not of MDPI and/or the editor(s). MDPI and/or the editor(s) disclaim responsibility for any injury to people or property resulting from any ideas, methods, instructions or products referred to in the content. |
© 2025 by the authors. Licensee MDPI, Basel, Switzerland. This article is an open access article distributed under the terms and conditions of the Creative Commons Attribution (CC BY) license (https://creativecommons.org/licenses/by/4.0/).
Share and Cite
Mirkovic, N.; Prokic, M.; Prodanovic, N.; Nikolic Turnic, T.; Andric, N.; Prodanovic, T.; Arsenijevic, N.; Simic, I.; Knezevic, D.; Matic, A. Endovascular Treatment of a Symptomatic Vertebral Artery Aneurysm in a Puerperal Patient with Neurofibromatosis Type 1—A Case Report and Review of the Literature. Diseases 2025, 13, 226. https://doi.org/10.3390/diseases13070226
Mirkovic N, Prokic M, Prodanovic N, Nikolic Turnic T, Andric N, Prodanovic T, Arsenijevic N, Simic I, Knezevic D, Matic A. Endovascular Treatment of a Symptomatic Vertebral Artery Aneurysm in a Puerperal Patient with Neurofibromatosis Type 1—A Case Report and Review of the Literature. Diseases. 2025; 13(7):226. https://doi.org/10.3390/diseases13070226
Chicago/Turabian StyleMirkovic, Nikola, Marko Prokic, Nikola Prodanovic, Tamara Nikolic Turnic, Nikola Andric, Tijana Prodanovic, Neda Arsenijevic, Ivan Simic, Dragan Knezevic, and Aleksandar Matic. 2025. "Endovascular Treatment of a Symptomatic Vertebral Artery Aneurysm in a Puerperal Patient with Neurofibromatosis Type 1—A Case Report and Review of the Literature" Diseases 13, no. 7: 226. https://doi.org/10.3390/diseases13070226
APA StyleMirkovic, N., Prokic, M., Prodanovic, N., Nikolic Turnic, T., Andric, N., Prodanovic, T., Arsenijevic, N., Simic, I., Knezevic, D., & Matic, A. (2025). Endovascular Treatment of a Symptomatic Vertebral Artery Aneurysm in a Puerperal Patient with Neurofibromatosis Type 1—A Case Report and Review of the Literature. Diseases, 13(7), 226. https://doi.org/10.3390/diseases13070226

