Immunomodulatory Effect of Rivaroxaban Nanoparticles Alone and in Combination with Sitagliptin on Diabetic Rat Model
Abstract
1. Introduction
2. Materials and Methods
2.1. Materials and Chemicals
2.1.1. Drugs and Chemicals
2.1.2. ELISA Kits
2.1.3. Nanoparticle Materials
2.2. Ethical Approval
2.3. Animals and Experimental Groups
2.3.1. Animals and Housing Conditions
2.3.2. Animal Groups
2.4. Methods
2.4.1. Fabrication and Characterization of RX/PLGA Nanoparticles
2.4.2. Induction of Type 2 Diabetes Mellitus
2.4.3. Evaluation of the Behavioral Activity
2.4.4. Coagulation Profile Tests
2.4.5. Animal Sacrifice and Sample Preparation
2.4.6. Evaluation of Pro-Inflammatory and Anti-Inflammatory Cytokines in Serum
2.4.7. Histopathological Examination
2.4.8. Immunohistochemical Evaluation of Hepatic NF-κB
2.5. Statistical Analysis
3. Results
3.1. Fabrication and Characterization of RX/PLGA Nanoparticles
3.2. Evaluation of Blood Glucose Level
3.3. Evaluation of Behavioral Activities
3.4. Coagulation Profile Tests
3.5. Evaluation of Pro-Inflammatory and Anti-Inflammatory Cytokines in Serum
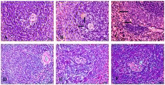
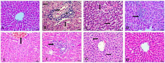
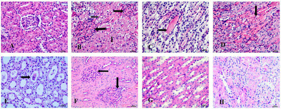
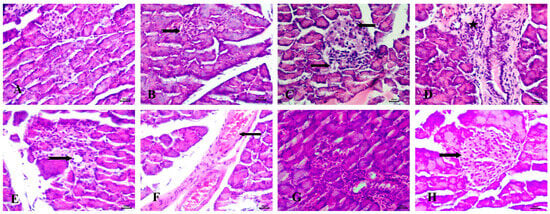
3.6. Histopathological Examination
3.6.1. Effect of the Tested Drugs on Histopathology of the Liver
3.6.2. Effect of the Tested Drugs on Kidney Histopathology
3.6.3. Effect of the Tested Drugs on Pancreas Histopathology
3.6.4. Effect of the Tested Drugs on Spleen Histopathology
3.6.5. Histopathological Scoring Results
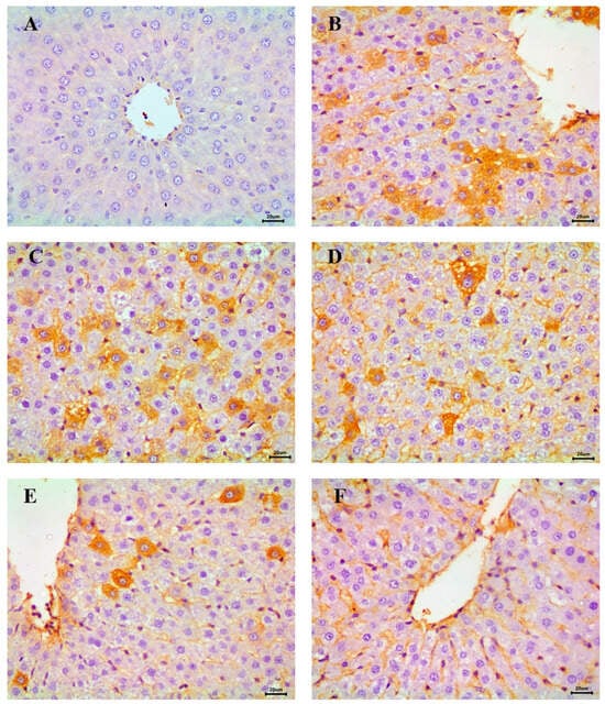
3.7. Immunohistochemical Evaluation of Hepatic NF-κB
4. Discussion
5. Limitations of the Study
6. Conclusions
Author Contributions
Funding
Institutional Review Board Statement
Informed Consent Statement
Data Availability Statement
Acknowledgments
Conflicts of Interest
References
- Vazzana, N.; Ranalli, P.; Cuccurullo, C.; Davì, G. Diabetes mellitus and thrombosis. Thromb. Res. 2012, 129, 371–377. [Google Scholar] [CrossRef] [PubMed]
- Iba, T.; Aihara, K.; Yamada, A.; Nagayama, M.; Tabe, Y.; Ohsaka, A. Rivaroxaban attenuates leukocyte adhesion in the microvasculature and thrombus formation in an experimental mouse model of type 2 diabetes mellitus. Thromb. Res. 2014, 133, 276–280. [Google Scholar] [CrossRef] [PubMed]
- Maedler, K.; Sergeev, P.; Ris, F.; Oberholzer, J.; Joller-Jemelka, H.I.; Spinas, G.A.; Kaiser, N.; Halban, P.A.; Donath, M.Y. Glucose-induced β cell production of IL-1β contributes to glucotoxicity in human pancreatic islets. J. Clin. Investig. 2002, 110, 851–860. [Google Scholar] [CrossRef] [PubMed]
- Wu, T.C.; Chan, J.S.; Lee, C.Y.; Leu, H.B.; Huang, P.H.; Chen, J.S.; Lin, S.J.; Chen, J.W. Rivaroxaban, a factor Xa inhibitor, improves neovascularization in the ischemic hindlimb of streptozotocin-induced diabetic mice. Cardiovasc. Diabetol. 2015, 14, 81. [Google Scholar] [CrossRef]
- Zhou, Q.; Bea, F.; Preusch, M.; Wang, H.; Isermann, B.; Shahzad, K.; Katus, H.A.; Blessing, E. Evaluation of plaque stability of advanced atherosclerotic lesions in apo E-deficient mice after treatment with the oral factor Xa inhibitor rivaroxaban. Mediat. Inflamm. 2011, 2011, 432080. [Google Scholar] [CrossRef]
- Fredman, D.; McNeil, R.; Eldar, O.; Leader, A.; Gafter-Gvili, A.; Avni, T. Efficacy and safety of rivaroxaban versus apixaban for venous thromboembolism: A systematic review and meta-analysis of observational studies. J. Thromb. Thrombolysis 2024, 57, 453–465. [Google Scholar] [CrossRef]
- Abd Ellah, N.H.; Ahmed, E.A.; Abd-Ellatief, R.B.; Ali, M.F.; Zahran, A.M.; Hetta, H.F. Metoclopramide nanoparticles modulate immune response in a diabetic rat model: Association with regulatory T cells and proinflammatory cytokines. Int. J. Nanomed. 2019, 14, 2383–2395. [Google Scholar] [CrossRef]
- Yusuf, A.; Almotairy, A.R.Z.; Henidi, H.; Alshehri, O.Y.; Aldughaim, M.S. Nanoparticles as drug delivery systems: A review of the implication of nanoparticles’ physicochemical properties on responses in biological systems. Polymers 2023, 15, 1596. [Google Scholar] [CrossRef]
- Nabrdalik, K.; Kwiendacz, H.; Lip, G.Y.H. Antidiabetic drugs and hypoglycaemia risk in patients with atrial fibrillation treated with non-vitamin K antagonist oral anticoagulants. Eur. Heart J.—Cardiovasc. Pharmacother. 2023, 9, 435–436. [Google Scholar] [CrossRef]
- Huang, H.-K.; Liu, P.P.-S.; Lin, S.-M.; Yeh, J.-I.; Hsu, J.-Y.; Peng, C.C.-H.; Munir, K.M.; Loh, C.-H.; Tu, Y.-K. Risk of serious hypoglycaemia in patients with atrial fibrillation and diabetes concurrently taking antidiabetic drugs and oral anticoagulants: A nationwide cohort study. Eur. Heart J.—Cardiovasc. Pharmacother. 2023, 9, 427–434. [Google Scholar] [CrossRef]
- Scott, L.J. Sitagliptin: A review in type 2 diabetes. Drugs 2017, 77, 209–224. [Google Scholar] [CrossRef] [PubMed]
- Gurgel Penaforte-Saboia, J.; Couri, C.E.B.; Vasconcelos Albuquerque, N.; Lauanna Lima Silva, V.; Bitar da Cunha Olegario, N.; Oliveira Fernandes, V.; Montenegro Junior, R.M. Emerging roles of dipeptidyl peptidase-4 inhibitors in delaying the progression of type 1 diabetes mellitus. Diabetes Metab. Syndr. Obes. 2021, 14, 565–573. [Google Scholar] [CrossRef] [PubMed]
- Daci, A.; Da Dalt, L.; Alaj, R.; Shurdhiqi, S.; Neziri, B.; Ferizi, R.; Danilo Norata, G.; Krasniqi, S. Rivaroxaban improves vascular response in LPS-induced acute inflammation in experimental models. PLoS ONE 2020, 15, e0240669. [Google Scholar] [CrossRef] [PubMed]
- Masiello, P. Animal models of type 2 diabetes with reduced pancreatic β-cell mass. Int. J. Biochem. Cell Biol. 2006, 38, 873–893. [Google Scholar] [CrossRef]
- Maheshwari, R.; Balaraman, R.; Sen, A.K.; Shukla, D.; Seth, A. Effect of concomitant administration of coenzyme Q10 with sitagliptin on experimentally induced diabetic nephropathy in rats. Ren. Fail. 2017, 39, 130–139. [Google Scholar] [CrossRef]
- Saad, M.I.; Kamel, M.A.; Hanafi, M.Y. Modulation of adipocytokines production and serum NEFA level by metformin, glimepiride, and sitagliptin in HFD/STZ diabetic rats. Biochem. Res. Int. 2015, 2015, 138134. [Google Scholar] [CrossRef]
- Shawky, L.M.; Morsi, A.A.; El Bana, E.; Hanafy, S.M. The biological impacts of sitagliptin on the pancreas of a rat model of type 2 diabetes mellitus: Drug interactions with metformin. Biology 2019, 9, 6. [Google Scholar] [CrossRef]
- Hetta, H.F.; Ahmed, E.A.; Hemdan, A.G.; El-Deek, H.E.; Abd-Elregal, S.; Abd Ellah, N.H. Modulation of rifampicin-induced hepatotoxicity using poly (lactic-co-glycolic acid) nanoparticles: A study on rat and cell culture models. Nanomedicine 2020, 15, 1375–1390. [Google Scholar] [CrossRef]
- Uddandrao, V.S.; Parim, B.; Ramavat, R.; Pothani, S.; Vadivukkarasi, S.; Ponmurugan, P.; Chandrasekaran, P.; Ganapathy, S. Effect of S-allylcysteine against diabetic nephropathy via inhibition of MEK1/2-ERK1/2-RSK2 signalling pathway in streptozotocin-nicotinamide-induced diabetic rats. Arch. Physiol. Biochem. 2023, 129, 213–221. [Google Scholar] [CrossRef]
- Cartmell, S.M.; Gelgor, L.; Mitchell, D. A revised rotarod procedure for measuring the effect of antinociceptive drugs on motor function in the rat. J. Pharmacol. Methods 1991, 26, 149–159. [Google Scholar] [CrossRef]
- Bukowska, A.; Zacharias, I.; Weinert, S.; Skopp, K.; Hartmann, C.; Huth, C.; Goette, A. Coagulation factor Xa induces an inflammatory signalling by activation of protease-activated receptors in human atrial tissue. Eur. J. Pharmacol. 2013, 718, 114–123. [Google Scholar] [CrossRef]
- ElBadre, H.M.; ElBadre, M.M.; Mostafa, M.A.; Sedeek, M.H. Neuroprotective Effect of Combined Therapy of Liraglutide with Vitamin D on Streptozotocin-Induced Diabetic Neuropathy in Rats. Sohag Med. J. 2020, 24, 118–136. [Google Scholar] [CrossRef]
- Sharma, A.K.; Sharma, A.; Kumari, R.; Kishore, K.; Sharma, D.; Srinivasan, B.P.; Sharma, A.; Singh, S.K.; Gaur, S.; Jatav, V.S. Sitagliptin, sitagliptin and metformin, or sitagliptin and amitriptyline attenuate streptozotocin-nicotinamide induced diabetic neuropathy in rats. J. Biomed. Res. 2012, 26, 200–210. [Google Scholar] [PubMed]
- Hunskaar, S.; Berge, O.-G.; Hole, K. A modified hot-plate test sensitivie to mild analgesics. Behav. Brain Res. 1986, 21, 101–108. [Google Scholar] [CrossRef] [PubMed]
- Kamble, M.; Gupta, R.; Rehan, H.S.; Gupta, L.K. Neurobehavioral effects of liraglutide and sitagliptin in experimental models. Eur. J. Pharmacol. 2016, 774, 64–70. [Google Scholar] [CrossRef]
- ElGendy, A.A.; Abbas, A.M. Effects of warfarin and L-carnitine on hemostatic function and oxidative stress in streptozotocin-induced diabetic rats. J. Physiol. Biochem. 2014, 70, 535–546. [Google Scholar] [CrossRef] [PubMed]
- Ayodele, O.; Onajobi, F.; Osoniyi, O. Modulation of blood coagulation and hematological parameters by Crassocephalum crepidioides leaf methanol extract and fractions in STZ-induced diabetes in the rat. Sci. World J. 2020, 2020, 1036364. [Google Scholar] [CrossRef]
- Elbadr, M.; Sabra, M.; Ahmed, D.H.; Hassanein, K.; Saber, E. The role of nuclear factor kappa B signaling in the therapeutic effect of tadalafil against dexamethasone-induced gastric ulcer in rats. J. Adv. Vet. Res. 2024, 14, 996–1003. [Google Scholar]
- Ivy, A.; Nelson, D.; Bucher, G. The standardization of certain factors in the cutaneous “venostasis” bleeding time technique. J. Lab. Clin. Med. 1941, 26, 1812–1822. [Google Scholar]
- Takenaka, K.; Yamagishi, S.-i.; Matsui, T.; Nakamura, K.; Imaizumi, T. Role of advanced glycation end products (AGEs) in thrombogenic abnormalities in diabetes. Curr. Neurovascular Res. 2006, 3, 73–77. [Google Scholar] [CrossRef]
- Bayat, E.; Dastgheib, S.; Egdar, S.; Mokarram, P. Effect of the aquatic extract of stevia on the serum level of interleukin-6 in streptozotocin-nicotinamide induced diabetic rats. Shiraz E-Med. J. 2017, 18, e45015. [Google Scholar] [CrossRef]
- Mahfouz, M.K.M. Curcumin improves insulin sensitivity and ameliorates serum proinflammatory cytokines levels in diabetes rat model irrespective of type of diabetes. J Am Sci 2011, 7, 794–799. [Google Scholar]
- Kose, E.; Sapmaz, H.I.; Sarihan, E.; Vardi, N.; Turkoz, Y.; Ekinci, N. Beneficial effects of montelukast against methotrexate-induced liver toxicity: A biochemical and histological study. Sci. World J. 2012, 2012, 987508. [Google Scholar] [CrossRef]
- ÇAKIR, T.; Polat, C.; Baştürk, A.; GÜL, M.; Aslaner, A.; Durgut, H.; Şehirli, A.; Aykac, A.; Bahar, L.; Sabuncuoglu, M. The effect of alpha lipoic acid on rat kidneys in methotrexate induced oxidative injury. Eur. Rev. Med. Pharmacol. Sci. 2015, 19, 2132–2139. [Google Scholar]
- Zhang, H.; Li, Y.; Li, L.; Liu, H.; Hu, L.; Dai, Y.; Chen, J.; Xu, S.; Chen, W.; Xu, X. Propylene glycol alginate sodium sulfate alleviates cerulein-induced acute pancreatitis by modulating the MEK/ERK pathway in mice. Mar. Drugs 2017, 15, 45. [Google Scholar] [CrossRef]
- Hafez, H.M.; Ibrahim, M.A.; Ibrahim, S.A.; Amin, E.F.; Goma, W.; Abdelrahman, A.M. Potential protective effect of etanercept and aminoguanidine in methotrexate-induced hepatotoxicity and nephrotoxicity in rats. Eur. J. Pharmacol. 2015, 768, 1–12. [Google Scholar] [CrossRef] [PubMed]
- Abd El-Aziz, F.E.-Z.A.; Hetta, H.F.; Abdelhamid, B.N.; Abd Ellah, N.H. Antibacterial and wound-healing potential of PLGA/spidroin nanoparticles: A study on earthworms as a human skin model. Nanomedicine 2022, 17, 353–365. [Google Scholar] [CrossRef]
- Bukhari, A.; Fatima, Z.; Atta, M.; Nazir, A.; Alshawwa, S.Z.; Alotaibi, H.F.; Iqbal, M. Poly lactic-co-glycolic acid nano-carriers for encapsulation and controlled release of hydrophobic drug to enhance the bioavailability and antimicrobial properties. Dose-Response 2023, 21, 15593258231152117. [Google Scholar] [CrossRef]
- Forman, L.; Estilow, S.; Lewis, M.; Vasilenko, P. Streptozocin diabetes alters immunoreactive β-endorphin levels and pain perception after 8 wk in female rats. Diabetes 1986, 35, 1309–1313. [Google Scholar] [CrossRef]
- Herman, G.A.; Stevens, C.; Van Dyck, K.; Bergman, A.; Yi, B.; De Smet, M.; Snyder, K.; Hilliard, D.; Tanen, M.; Tanaka, W. Pharmacokinetics and pharmacodynamics of sitagliptin, an inhibitor of dipeptidyl peptidase IV, in healthy subjects: Results from two randomized, double-blind, placebo-controlled studies with single oral doses. Clin. Pharmacol. Ther. 2005, 78, 675–688. [Google Scholar] [CrossRef]
- Clausen, T.; Kohn, P. The effect of insulin on the transport of sodium and potassium in rat soleus muscle. J. Physiol. 1977, 265, 19–42. [Google Scholar] [CrossRef] [PubMed]
- Keskin, E.; Uluışık, D. The effect of melatonin on some coagulation parameters in streptozotocin-induced diabetic rats. Kocatepe Vet. J. 2019, 12, 130–134. [Google Scholar] [CrossRef]
- Yeom, E.; Byeon, H.; Lee, S.J. Effect of diabetic duration on hemorheological properties and platelet aggregation in streptozotocin-induced diabetic rats. Sci. Rep. 2016, 6, 21913. [Google Scholar] [CrossRef]
- Liu, F.-D.; Zhao, R.; Feng, X.-Y.; Shi, Y.-H.; Wu, Y.-L.; Shen, X.-L.; Li, G.-F.; Liu, Y.-S.; Zhao, Y.; He, X.-W. Rivaroxaban does not influence hemorrhagic transformation in a diabetes ischemic stroke and endovascular thrombectomy model. Sci. Rep. 2018, 8, 7408. [Google Scholar] [CrossRef] [PubMed]
- Tinel, H.; Huetter, J.; Perzborn, E. Partial Reversal of the Anticoagulant Effect of High-Dose Rivaroxaban-An Oral, Direct Factor Xa Inhibitor-by Recombinant Factor VIIa in Rats. Blood 2006, 108, 915. [Google Scholar] [CrossRef]
- Gulseth, M.P.; Michaud, J.; Nutescu, E.A. Rivaroxaban: An oral direct inhibitor of factor Xa. Am. J. Health-Syst. Pharm. 2008, 65, 1520–1529. [Google Scholar] [CrossRef]
- Bauersachs, R.; Zeymer, U.; Brière, J.-B.; Marre, C.; Bowrin, K.; Huelsebeck, M. Burden of coronary artery disease and peripheral artery disease: A literature review. Cardiovasc. Ther. 2019, 2019, 8295054. [Google Scholar] [CrossRef]
- Testa, A.; Morello, A.; Corcione, N.; Biondi-Zoccai, G. Dual pathway inhibition of coagulation and inflammation with rivaroxaban: A new therapy paradigm against atherosclerosis. J. Cardiovasc. Pharmacol. 2023, 81, 117–119. [Google Scholar] [CrossRef]
- Kirchhof, P.; Ezekowitz, M.D.; Purmah, Y.; Schiffer, S.; Meng, I.L.; Camm, A.J.; Hohnloser, S.H.; Schulz, A.; Wosnitza, M.; Cappato, R. Effects of rivaroxaban on biomarkers of coagulation and inflammation: A post hoc analysis of the X-VeRT trial. TH Open 2020, 4, e20–e32. [Google Scholar] [CrossRef]
- Fernández-Real, J.-M.; Broch, M.; Ricart, W.; Casamitjana, R.; Gutierrez, C.; Vendrell, J.; Richart, C. Plasma levels of the soluble fraction of tumor necrosis factor receptor 2 and insulin resistance. Diabetes 1998, 47, 1757–1762. [Google Scholar] [CrossRef]
- Jager, J.; Grémeaux, T.; Cormont, M.; Le Marchand-Brustel, Y.; Tanti, J.-F. Interleukin-1β-induced insulin resistance in adipocytes through down-regulation of insulin receptor substrate-1 expression. Endocrinology 2007, 148, 241–251. [Google Scholar] [CrossRef] [PubMed]
- Jain, S.K.; Rains, J.; Croad, J.; Larson, B.; Jones, K. Curcumin supplementation lowers TNF-α, IL-6, IL-8, and MCP-1 secretion in high glucose-treated cultured monocytes and blood levels of TNF-α, IL-6, MCP-1, glucose, and glycosylated hemoglobin in diabetic rats. Antioxid. Redox Signal. 2009, 11, 241–249. [Google Scholar] [CrossRef] [PubMed]
- Sindhughosa, D.A.; Pranamartha, A.G.M.K. The involvement of proinflammatory cytokines in diabetic nephropathy: Focus on interleukin 1 (IL-1), interleukin 6 (IL-6), and tumor necrosis factor-alpha (TNF-α) signaling mechanism. Bali Med. J. 2017, 6, 44–51. [Google Scholar] [CrossRef]
- Ferreira, L.; Teixeira-de-Lemos, E.; Pinto, F.; Parada, B.; Mega, C.; Vala, H.; Pinto, R.; Garrido, P.; Sereno, J.; Fernandes, R. Effects of sitagliptin treatment on dysmetabolism, inflammation, and oxidative stress in an animal model of type 2 diabetes (ZDF rat). Mediat. Inflamm. 2010, 2010, 592760. [Google Scholar] [CrossRef]
- Gouda, W.; Mageed, L.; Abd El Dayem, S.M.; Ashour, E.; Afify, M. Evaluation of pro-inflammatory and anti-inflammatory cytokines in type 1 diabetes mellitus. Bull. Natl. Res. Cent. 2018, 42, 14. [Google Scholar] [CrossRef]
- Scarpelli, D.; Cardellini, M.; Andreozzi, F.; Laratta, E.; Hribal, M.L.; Marini, M.A.; Tassi, V.; Lauro, R.; Perticone, F.; Sesti, G. Variants of the interleukin-10 promoter gene are associated with obesity and insulin resistance but not type 2 diabetes in Caucasian Italian subjects. Diabetes 2006, 55, 1529–1533. [Google Scholar] [CrossRef] [PubMed]
- Jiang, Y.; Wang, J.; Li, H.; Xia, L. IL-35 alleviates inflammation progression in a rat model of diabetic neuropathic pain via inhibition of JNK signaling. J. Inflamm. 2019, 16, 19. [Google Scholar] [CrossRef]
- Hussain, G.; Rizvi, S.A.A.; Singhal, S.; Zubair, M.; Ahmad, J. Serum levels of TGF-β1 in patients of diabetic peripheral neuropathy and its correlation with nerve conduction velocity in type 2 diabetes mellitus. Diabetes Metab. Syndr. Clin. Res. Rev. 2016, 10, S135–S139. [Google Scholar] [CrossRef]
- Kikuchi, S.; Tsukahara, K.; Sakamaki, K.; Morita, Y.; Takamura, T.; Fukui, K.; Endo, T.; Shimizu, M.; Sawada, R.; Sugano, T. Comparison of anti-inflammatory effects of rivaroxaban vs. dabigatran in patients with non-valvular atrial fibrillation (RIVAL-AF study): Multicenter randomized study. Heart Vessel. 2019, 34, 1002–1013. [Google Scholar] [CrossRef]
- Tremblay, A.J.; Lamarche, B.; Deacon, C.F.; Weisnagel, S.J.; Couture, P. Effects of sitagliptin therapy on markers of low-grade inflammation and cell adhesion molecules in patients with type 2 diabetes. Metabolism 2014, 63, 1141–1148. [Google Scholar] [CrossRef]
- Pratley, R.E.; Salsali, A. Inhibition of DPP-4: A new therapeutic approach for the treatment of type 2 diabetes. Curr. Med. Res. Opin. 2007, 23, 919–931. [Google Scholar] [CrossRef] [PubMed]
- Mistry, G.C.; Maes, A.L.; Lasseter, K.C.; Davies, M.J.; Gottesdiener, K.M.; Wagner, J.A.; Herman, G.A. Effect of sitagliptin, a dipeptidyl peptidase-4 inhibitor, on blood pressure in nondiabetic patients with mild to moderate hypertension. J. Clin. Pharmacol. 2008, 48, 592–598. [Google Scholar] [CrossRef] [PubMed]
- Shah, Z.; Kampfrath, T.; Deiuliis, J.A.; Zhong, J.; Pineda, C.; Ying, Z.; Xu, X.; Lu, B.; Moffatt-Bruce, S.; Durairaj, R. Long-term dipeptidyl-peptidase 4 inhibition reduces atherosclerosis and inflammation via effects on monocyte recruitment and chemotaxis. Circulation 2011, 124, 2338–2349. [Google Scholar] [CrossRef] [PubMed]
- Dobrian, A.D.; Ma, Q.; Lindsay, J.W.; Leone, K.A.; Ma, K.; Coben, J.; Galkina, E.V.; Nadler, J.L. Dipeptidyl peptidase IV inhibitor sitagliptin reduces local inflammation in adipose tissue and in pancreatic islets of obese mice. Am. J. Physiol.-Endocrinol. Metab. 2011, 300, E410–E421. [Google Scholar] [CrossRef]
- Donath, M.Y.; Schumann, D.M.; Faulenbach, M.; Ellingsgaard, H.; Perren, A.; Ehses, J.A. Islet inflammation in type 2 diabetes: From metabolic stress to therapy. Diabetes Care 2008, 31 (Suppl. S2), S161–S164. [Google Scholar] [CrossRef]
- Picatoste, B.; Ramírez, E.; Caro-Vadillo, A.; Iborra, C.; Egido, J.; Tuñón, J.; Lorenzo, Ó. Sitagliptin reduces cardiac apoptosis, hypertrophy and fibrosis primarily by insulin-dependent mechanisms in experimental type-II diabetes. Potential roles of GLP-1 isoforms. PLoS ONE 2013, 8, e78330. [Google Scholar] [CrossRef]
- Li, Y.; Zheng, M.; Sah, S.K.; Mishra, A.; Singh, Y. Neuroprotective influence of sitagliptin against cisplatin-induced neurotoxicity, biochemical and behavioral alterations in Wistar rats. Mol. Cell. Biochem. 2019, 455, 91–97. [Google Scholar] [CrossRef]
- Hu, Y.; Liu, H.; Simpson, R.W.; Dear, A.E.; Dear, A.E. Erratum to: GLP-1-dependent and independent effects and molecular mechanisms of a dipeptidyl peptidase 4 inhibitor in vascular endothelial cells. Mol. Biol. Rep. 2013, 2, 2059. [Google Scholar] [CrossRef]
- Ke, X.; Ke, B.; Wang, X.; Wu, S.; Yang, R.; Hu, C. Additive effects of atorvastatin combined with sitagliptin on rats with myocardial infarction: A pilot study. Arch. Med. Sci. 2017, 13, 956–961. [Google Scholar] [CrossRef]
- Regnell, S.E.; Lernmark, A. Hepatic steatosis in type 1 diabetes. Rev. Diabet. Stud. RDS 2011, 8, 454. [Google Scholar] [CrossRef]
- Alqahtani, Q.H.; Alshehri, S.; Alhusaini, A.M.; Sarawi, W.S.; Alqarni, S.S.; Mohamed, R.; Kumar, M.N.; Al-Saab, J.; Hasan, I.H. Protective Effects of Sitagliptin on Streptozotocin-Induced Hepatic Injury in Diabetic Rats: A Possible Mechanisms. Diseases 2023, 11, 184. [Google Scholar] [CrossRef] [PubMed]
- Patel, S.; Santani, D. Role of NF-κB in the pathogenesis of diabetes and its associated complications. Pharmacol. Rep. 2009, 61, 595–603. [Google Scholar] [CrossRef] [PubMed]
- Indira, M.; Abhilash, P. Role of NF-Kappa B (NF-κB) in diabetes. Onco Ther. 2013, 4, 111–132. [Google Scholar] [CrossRef]
- King, G.L. The role of inflammatory cytokines in diabetes and its complications. J. Periodontol. 2008, 79, 1527–1534. [Google Scholar] [CrossRef]











| RX/PLGA (wt Ratio) | Particle Size (nm) | PDI | Entrapment Efficiency (%) |
|---|---|---|---|
| 1:1 | 995 ± 299 | 0.83 ± 0.16 | 96 ± 0.3 |
| 1:3 | 379 ± 15.0 | 0.43 ± 0.04 | 97 ± 0.3 |
| 1:5 | 1219 ± 182 | 1.00 ± 0.00 | 97 ± 0.4 |
Disclaimer/Publisher’s Note: The statements, opinions and data contained in all publications are solely those of the individual author(s) and contributor(s) and not of MDPI and/or the editor(s). MDPI and/or the editor(s) disclaim responsibility for any injury to people or property resulting from any ideas, methods, instructions or products referred to in the content. |
© 2025 by the authors. Licensee MDPI, Basel, Switzerland. This article is an open access article distributed under the terms and conditions of the Creative Commons Attribution (CC BY) license (https://creativecommons.org/licenses/by/4.0/).
Share and Cite
Elbadr, M.M.; Galal, H.A.; Hetta, H.F.; Elfadil, H.; Alanazi, F.E.; Fawzy, S.; Aljohani, H.M.; Abd Ellah, N.H.; Ali, M.F.; Dyab, A.K.; et al. Immunomodulatory Effect of Rivaroxaban Nanoparticles Alone and in Combination with Sitagliptin on Diabetic Rat Model. Diseases 2025, 13, 87. https://doi.org/10.3390/diseases13030087
Elbadr MM, Galal HA, Hetta HF, Elfadil H, Alanazi FE, Fawzy S, Aljohani HM, Abd Ellah NH, Ali MF, Dyab AK, et al. Immunomodulatory Effect of Rivaroxaban Nanoparticles Alone and in Combination with Sitagliptin on Diabetic Rat Model. Diseases. 2025; 13(3):87. https://doi.org/10.3390/diseases13030087
Chicago/Turabian StyleElbadr, Mohamed M., Heba A. Galal, Helal F. Hetta, Hassabelrasoul Elfadil, Fawaz E. Alanazi, Shereen Fawzy, Hashim M. Aljohani, Noura H. Abd Ellah, Marwa F. Ali, Ahmed K. Dyab, and et al. 2025. "Immunomodulatory Effect of Rivaroxaban Nanoparticles Alone and in Combination with Sitagliptin on Diabetic Rat Model" Diseases 13, no. 3: 87. https://doi.org/10.3390/diseases13030087
APA StyleElbadr, M. M., Galal, H. A., Hetta, H. F., Elfadil, H., Alanazi, F. E., Fawzy, S., Aljohani, H. M., Abd Ellah, N. H., Ali, M. F., Dyab, A. K., & Ahmed, E. A. (2025). Immunomodulatory Effect of Rivaroxaban Nanoparticles Alone and in Combination with Sitagliptin on Diabetic Rat Model. Diseases, 13(3), 87. https://doi.org/10.3390/diseases13030087

