T Helper and Cytotoxic T Cells Play an Important Role in Acute Gastric Injury
Abstract
1. Introduction
2. Materials and Methods
2.1. Animals
2.2. Induction of Gastric Injury
2.3. Evaluation of Gastric Mucosal Damage
2.4. Measurement of Cytokines in Tissue Homogenates
2.5. RNA Extraction and Real-Time PCR Assessment
2.6. Isolation and Flow Cytometric Analysis of Gastric Tissue–Infiltrating Immune Cells
2.7. Statistical Analysis
3. Results
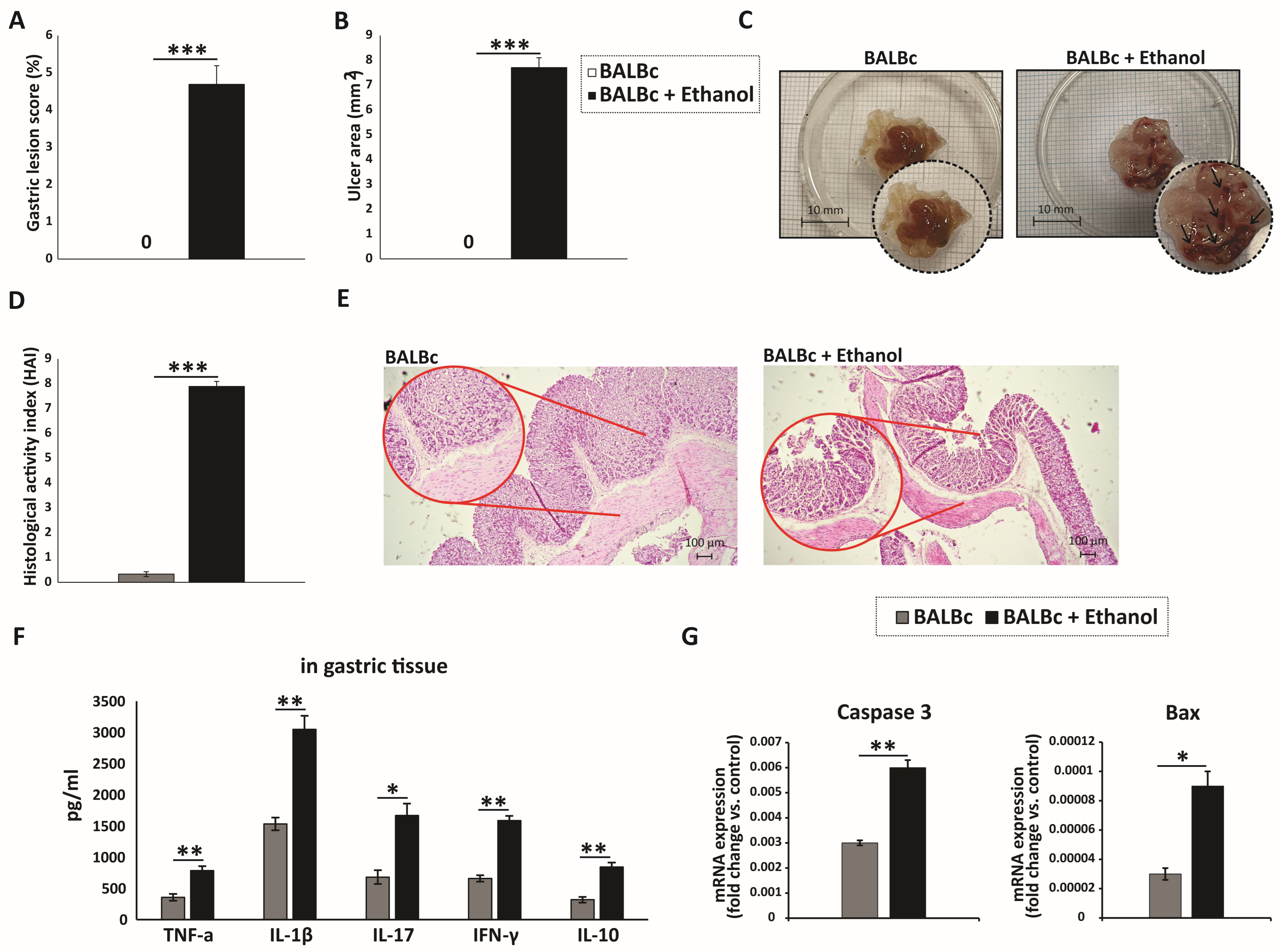
3.1. Ethanol Exacerbates Gastric Mucosal Injury Through Inflammation and Apoptosis
3.2. Ethanol Induces an Accumulation and Functional Activation of Dendritic Cells (DCs)
3.3. Ethanol Administration Enhances the Infiltration and Activation of T Lymphocytes
4. Discussion
5. Conclusions
Author Contributions
Funding
Institutional Review Board Statement
Informed Consent Statement
Data Availability Statement
Conflicts of Interest
Abbreviations
| NSAID | Nonsteroidal anti-inflammatory drug |
| CD | Cluster of differentiation |
| PBS | Phosphate-buffered saline |
| HAI | Histological activity index |
| ELISA | Enzyme-linked immunosorbent assay |
| TNF-α | Tumor necrosis factor alpha |
| IL-1β | Interleukin 1 beta |
| IL-17 | Interleukin 17 |
| IFN-γ | Interferon gamma |
| IL-10 | Interleukin 10 |
| RNA | Ribonucleic acid |
| cDNA | Complementary deoxyribonucleic acid |
| PCR | Polymerase chain reaction |
| Ct | Cycle threshold |
| FBS | Fetal bovine serum |
| HBSS | Hank’s balanced salt solution |
| EDTA | Ethylenediaminetetraacetic acid |
| DTT | Dithiothreitol |
| FITC | Fluorescein isothiocyanate |
| PE | Phycoerythrin |
| PerCP | Peridinin–chlorophyll protein |
| APC | Allophycocyanin |
| SEM | Standard error of the mean |
| DC | Dendritic cell |
| Th1 | T helper 1 cell |
| CagA | Cytotoxin-associated gene A |
| PAMPs | Pathogen-associated molecular patterns |
| DAMPs | Damage-associated molecular patterns |
| ROS | Reactive oxygen species |
| NLRP-3 | NOD-like receptor family pyrin domain-containing 3 |
References
- Yadav, S.; Pandey, A.; Mali, S.N. From lab to nature: Recent advancements in the journey of gastroprotective agents from medicinal chemistry to phytotherapy. Eur. J. Med. Chem. 2024, 272, 116436. [Google Scholar] [CrossRef]
- Lanas, A.; Chan, F.K.L. Peptic ulcer disease. Lancet 2017, 390, 613–624. [Google Scholar] [CrossRef]
- Yoshikawa, T.; Naito, Y. The role of neutrophils and inflammation in gastric mucosal injury. Free Radic. Res. 2000, 33, 785–794. [Google Scholar] [CrossRef]
- Hou, Y.; Wang, W.; Ye, J.; Sun, L.; Zhou, S.; Zheng, Q.; Shi, Y.; Chen, Y.; Yao, J.; Wang, L.; et al. The crucial role of neutrophil extracellular traps and IL-17 signaling in indomethacin-induced gastric injury in mice. Sci. Rep. 2025, 15, 12109. [Google Scholar] [CrossRef]
- Kavitt, R.T.; Lipowska, A.M.; Anyane-Yeboa, A.; Gralnek, I.M. Diagnosis and Treatment of Peptic Ulcer Disease. Am. J. Med. 2019, 132, 447–456. [Google Scholar] [CrossRef] [PubMed]
- Li, W.S.; Lin, S.C.; Chu, C.H.; Chang, Y.K.; Zhang, X.; Lin, C.C.; Tung, Y.T. The Gastroprotective Effect of Naringenin against Ethanol-Induced Gastric Ulcers in Mice through Inhibiting Oxidative and Inflammatory Responses. Int. J. Mol. Sci. 2021, 22, 11985. [Google Scholar] [CrossRef] [PubMed]
- Gugliandolo, E.; Cordaro, M.; Fusco, R.; Peritore, A.F.; Siracusa, R.; Genovese, T.; D’Amico, R.; Impellizzeri, D.; Di Paola, R.; Cuzzocrea, S.; et al. Protective effect of snail secretion filtrate against ethanol-induced gastric ulcer in mice. Sci. Rep. 2021, 11, 3638. [Google Scholar] [CrossRef] [PubMed]
- Heidari, M.; Maleki Vareki, S.; Yaghobi, R.; Karimi, M.H. Microbiota activation and regulation of adaptive immunity. Front. Immunol. 2024, 15, 1429436. [Google Scholar] [CrossRef]
- Guan, Q. A Comprehensive Review and Update on the Pathogenesis of Inflammatory Bowel Disease. J. Immunol. Res. 2019, 2019, 7247238. [Google Scholar] [CrossRef]
- Paydarnia, N.; Mansoori, B.; Esmaeili, D.; Kazemi, T.; Aghapour, M.; Hajiasgharzadeh, K.; Alizadeh, N.; Baradaran, B. Helicobacter pylori Recombinant CagA Regulates Th1/Th2 Balance in a BALB/c Murine Model. Adv. Pharm. Bull. 2020, 10, 264–270. [Google Scholar] [CrossRef]
- Xia, T.; Zhang, Z.; Xie, J.; Yuan, H.; Ren, Y.; Xu, Y.; Ning, J.; Li, B.; Wu, C. Gastric mucosal CD8+TRM cells are recruited through CXCR5-CXCL13 axis in Helicobacter pylori infected subjects. Cytokine 2025, 190, 156904. [Google Scholar] [CrossRef]
- Nguyen, T.L.; Khurana, S.S.; Bellone, C.J.; Capoccia, B.J.; Sagartz, J.E.; Kesman, R.A., Jr.; Mills, J.C.; DiPaolo, R.J. Autoimmune gastritis mediated by CD4+ T cells promotes the development of gastric cancer. Cancer Res. 2013, 73, 2117–2126. [Google Scholar] [CrossRef]
- Yuan, L.; Xu, B.; Yuan, P.; Zhou, J.; Qin, P.; Han, L.; Chen, G.; Wang, Z.; Run, Z.; Zhao, P.; et al. Tumor-infiltrating CD4+ T cells in patients with gastric cancer. Cancer Cell Int. 2017, 17, 114. [Google Scholar] [CrossRef]
- Kang, G.D.; Kim, D.H. Ponciretin attenuates ethanol-induced gastric damage in mice by inhibiting inflammatory responses. Int. Immunopharmacol. 2017, 43, 179–186. [Google Scholar] [CrossRef]
- Yoo, C.Y.; Son, H.U.; Kim, S.K.; Kim, S.O.; Lee, S.H. Improved Image Analysis for Measuring Gastric Ulcer Index in Animal Models and Clinical Diagnostic Data. Diagnostics 2022, 12, 1233. [Google Scholar] [CrossRef]
- Kwon, D.A.; Kim, Y.S.; Baek, S.H.; Kim, S.K.; Kim, H.K.; Jo, S.K.; Jung, U.; Park, H.R.; Lee, H.S. Protective effects of a standardized extract (HemoHIM) using indomethacin- and ethanol/HCl-induced gastric mucosal injury models. Pharm. Biol. 2019, 57, 543–549. [Google Scholar] [CrossRef] [PubMed]
- Mahmoud, Y.I.; Abd El-Ghffar, E.A. Spirulina ameliorates aspirin-induced gastric ulcer in albino mice by alleviating oxidative stress and inflammation. Biomed. Pharmacother. 2019, 109, 314–321. [Google Scholar] [CrossRef] [PubMed]
- Ghareeb, M.A.; Mohammed, H.S.; Aboushousha, T.; Lotfy, D.M.; El-Shazly, M.A.M.; Sobeh, M.; Taha, E.F.S. Ipomoea carnea mitigates ethanol-induced ulcers in irradiated rats via Nrf2/HO-1 pathway: An in vivo and in silico study. Sci. Rep. 2024, 14, 3469. [Google Scholar] [CrossRef] [PubMed]
- Zornić, S.; Simović Marković, B.; Franich, A.A.; Janjić, G.V.; Jadranin, M.B.; Avdalović, J.; Rajković, S.; Živković, M.D.; Arsenijević, N.N.; Radosavljević, G.D.; et al. Characterization, modes of interactions with DNA/BSA biomolecules and anti-tumor activity of newly synthesized dinuclear platinum(II) complexes with pyridazine bridging ligand. J. Biol. Inorg. Chem. JBIC 2024, 29, 51–73. [Google Scholar] [CrossRef]
- Ruiz, V.E.; Sachdev, M.; Zhang, S.; Wen, S.; Moss, S.F. Isolating, immunophenotyping and ex vivo stimulation of CD4+ and CD8+ gastric lymphocytes during murine Helicobacter pylori infection. J. Immunol. Methods 2012, 384, 157–163. [Google Scholar] [CrossRef]
- Arab, H.H.; Eid, A.H.; El-Sheikh, A.A.K.; Arafa, E.A.; Ashour, A.M. Irbesartan reprofiling for the amelioration of ethanol-induced gastric mucosal injury in rats: Role of inflammation, apoptosis, and autophagy. Life Sci. 2022, 308, 120939. [Google Scholar] [CrossRef]
- Mustafa, M.; Ahmad, R.; Tantry, I.Q.; Ahmad, W.; Siddiqui, S.; Alam, M.; Abbas, K.; Moinuddin Hassan, M.I.; Habib, S.; Islam, S. Apoptosis: A Comprehensive Overview of Signaling Pathways, Morphological Changes, and Physiological Significance and Therapeutic Implications. Cells 2024, 13, 1838. [Google Scholar] [CrossRef] [PubMed]
- Wu, X.; Gou, G.; Wen, M.; Wang, F.; Liu, Y.; Li, L.; Xu, J.; Xie, R. The immunoregulatory role of helper T cells in Helicobacter pylori infection. Front. Immunol. 2025, 16, 1593727. [Google Scholar] [CrossRef] [PubMed]
- Larussa, T.; Leone, I.; Suraci, E.; Imeneo, M.; Luzza, F. Helicobacter pylori and T Helper Cells: Mechanisms of Immune Escape and Tolerance. J. Immunol. Res. 2015, 2015, 981328. [Google Scholar] [CrossRef]
- Shi, Y.; Liu, X.F.; Zhuang, Y.; Zhang, J.Y.; Liu, T.; Yin, Z.; Wu, C.; Mao, X.H.; Jia, K.R.; Wang, F.J.; et al. Helicobacter pylori-induced Th17 responses modulate Th1 cell responses, benefit bacterial growth, and contribute to pathology in mice. J. Immunol. 2010, 184, 5121–5129. [Google Scholar] [CrossRef]
- Fan, X.; Shu, P.; Wang, Y.; Ji, N.; Zhang, D. Interactions between neutrophils and T-helper 17 cells. Front. Immunol. 2023, 14, 1279837. [Google Scholar] [CrossRef] [PubMed]
- Lauvau, G.; Boutet, M.; Williams, T.M.; Chin, S.S.; Chorro, L. Memory CD8(+) T Cells: Innate-Like Sensors and Orchestrators of Protection. Trends Immunol. 2016, 37, 375–385. [Google Scholar] [CrossRef]
- Koch, M.R.A.; Gong, R.; Friedrich, V.; Engelsberger, V.; Kretschmer, L.; Wanisch, A.; Jarosch, S.; Ralser, A.; Lugen, B.; Quante, M.; et al. CagA-specific Gastric CD8+ Tissue-Resident T Cells Control Helicobacter pylori During the Early Infection Phase. Gastroenterology 2023, 164, 550–566. [Google Scholar] [CrossRef]
- Volarevic, V.; Markovic, B.S.; Jankovic, M.G.; Djokovic, B.; Jovicic, N.; Harrell, C.R.; Fellabaum, C.; Djonov, V.; Arsenijevic, N.; Lukic, M.L. Galectin 3 protects from cisplatin-induced acute kidney injury by promoting TLR-2-dependent activation of IDO1/Kynurenine pathway in renal DCs. Theranostics 2019, 9, 5976–6001. [Google Scholar] [CrossRef]
- Volarevic, V.; Mitrovic, M.; Milovanovic, M.; Zelen, I.; Nikolic, I.; Mitrovic, S.; Pejnovic, N.; Arsenijevic, N.; Lukic, M.L. Protective role of IL-33/ST2 axis in Con A-induced hepatitis. J. Hepatol. 2012, 56, 26–33. [Google Scholar] [CrossRef]
- Srenathan, U.; Steel, K.; Taams, L.S. IL-17+ CD8+ T cells: Differentiation, phenotype and role in inflammatory disease. Immunol. Lett. 2016, 178, 20–26. [Google Scholar] [CrossRef] [PubMed]
- Zanna, M.Y.; Yasmin, A.R.; Omar, A.R.; Arshad, S.S.; Mariatulqabtiah, A.R.; Nur-Fazila, S.H.; Mahiza, M.I.N. Review of Dendritic Cells, Their Role in Clinical Immunology, and Distribution in Various Animal Species. Int. J. Mol. Sci. 2021, 22, 8044. [Google Scholar] [CrossRef] [PubMed]
- Ninomiya, T.; Matsui, H.; Akbar, S.M.; Murakami, H.; Onji, M. Localization and characterization of antigen-presenting dendritic cells in the gastric mucosa of murine and human autoimmune gastritis. Eur. J. Clin. Investig. 2000, 30, 350–358. [Google Scholar] [CrossRef] [PubMed]
- Bimczok, D.; Clements, R.H.; Waites, K.B.; Novak, L.; Eckhoff, D.E.; Mannon, P.J.; Smith, P.D.; Smythies, L.E. Human primary gastric dendritic cells induce a Th1 response to H. pylori. Mucosal Immunol. 2010, 3, 260–269. [Google Scholar] [CrossRef]
- Mellman, I.; Steinman, R.M. Dendritic cells: Specialized and regulated antigen processing machines. Cell 2001, 106, 255–258. [Google Scholar] [CrossRef]
- Del Vecchio, M.; Bajetta, E.; Canova, S.; Lotze, M.T.; Wesa, A.; Parmiani, G.; Anichini, A. Interleukin-12: Biological properties and clinical application. Clin. Cancer Res. 2007, 13, 4677–4685. [Google Scholar] [CrossRef]
- Guiney, D.G.; Hasegawa, P.; Cole, S.P. Helicobacter pylori preferentially induces interleukin 12 (IL-12) rather than IL-6 or IL-10 in human dendritic cells. Infect. Immun. 2003, 71, 4163–4166. [Google Scholar] [CrossRef]
- Mescher, M.F.; Curtsinger, J.M.; Agarwal, P.; Casey, K.A.; Gerner, M.; Hammerbeck, C.D.; Popescu, F.; Xiao, Z. Signals required for programming effector and memory development by CD8+ T cells. Immunol. Rev. 2006, 211, 81–92. [Google Scholar] [CrossRef]
- D’Arcy, M.S. Cell death: A review of the major forms of apoptosis, necrosis and autophagy. Cell Biol. Int. 2019, 43, 582–592. [Google Scholar] [CrossRef]





Disclaimer/Publisher’s Note: The statements, opinions and data contained in all publications are solely those of the individual author(s) and contributor(s) and not of MDPI and/or the editor(s). MDPI and/or the editor(s) disclaim responsibility for any injury to people or property resulting from any ideas, methods, instructions or products referred to in the content. |
© 2025 by the authors. Licensee MDPI, Basel, Switzerland. This article is an open access article distributed under the terms and conditions of the Creative Commons Attribution (CC BY) license (https://creativecommons.org/licenses/by/4.0/).
Share and Cite
Corovic, I.F.; Pantic, J.M.; Stanisavljevic, I.A.; Pavlovic, S.M.; Jovicic, N.U.; Jovanovic, I.P.; Radosavljevic, G.D.; Markovic, B.J.S. T Helper and Cytotoxic T Cells Play an Important Role in Acute Gastric Injury. Diseases 2025, 13, 374. https://doi.org/10.3390/diseases13110374
Corovic IF, Pantic JM, Stanisavljevic IA, Pavlovic SM, Jovicic NU, Jovanovic IP, Radosavljevic GD, Markovic BJS. T Helper and Cytotoxic T Cells Play an Important Role in Acute Gastric Injury. Diseases. 2025; 13(11):374. https://doi.org/10.3390/diseases13110374
Chicago/Turabian StyleCorovic, Irfan F., Jelena M. Pantic, Isidora A. Stanisavljevic, Sladjana M. Pavlovic, Nemanja U. Jovicic, Ivan P. Jovanovic, Gordana D. Radosavljevic, and Bojana J. Simovic Markovic. 2025. "T Helper and Cytotoxic T Cells Play an Important Role in Acute Gastric Injury" Diseases 13, no. 11: 374. https://doi.org/10.3390/diseases13110374
APA StyleCorovic, I. F., Pantic, J. M., Stanisavljevic, I. A., Pavlovic, S. M., Jovicic, N. U., Jovanovic, I. P., Radosavljevic, G. D., & Markovic, B. J. S. (2025). T Helper and Cytotoxic T Cells Play an Important Role in Acute Gastric Injury. Diseases, 13(11), 374. https://doi.org/10.3390/diseases13110374

