Is Lung Disease a Risk Factor for Sudden Cardiac Death? A Comparative Case–Control Histopathological Study
Abstract
1. Introduction
2. Materials and Methods
Statistical Analysis
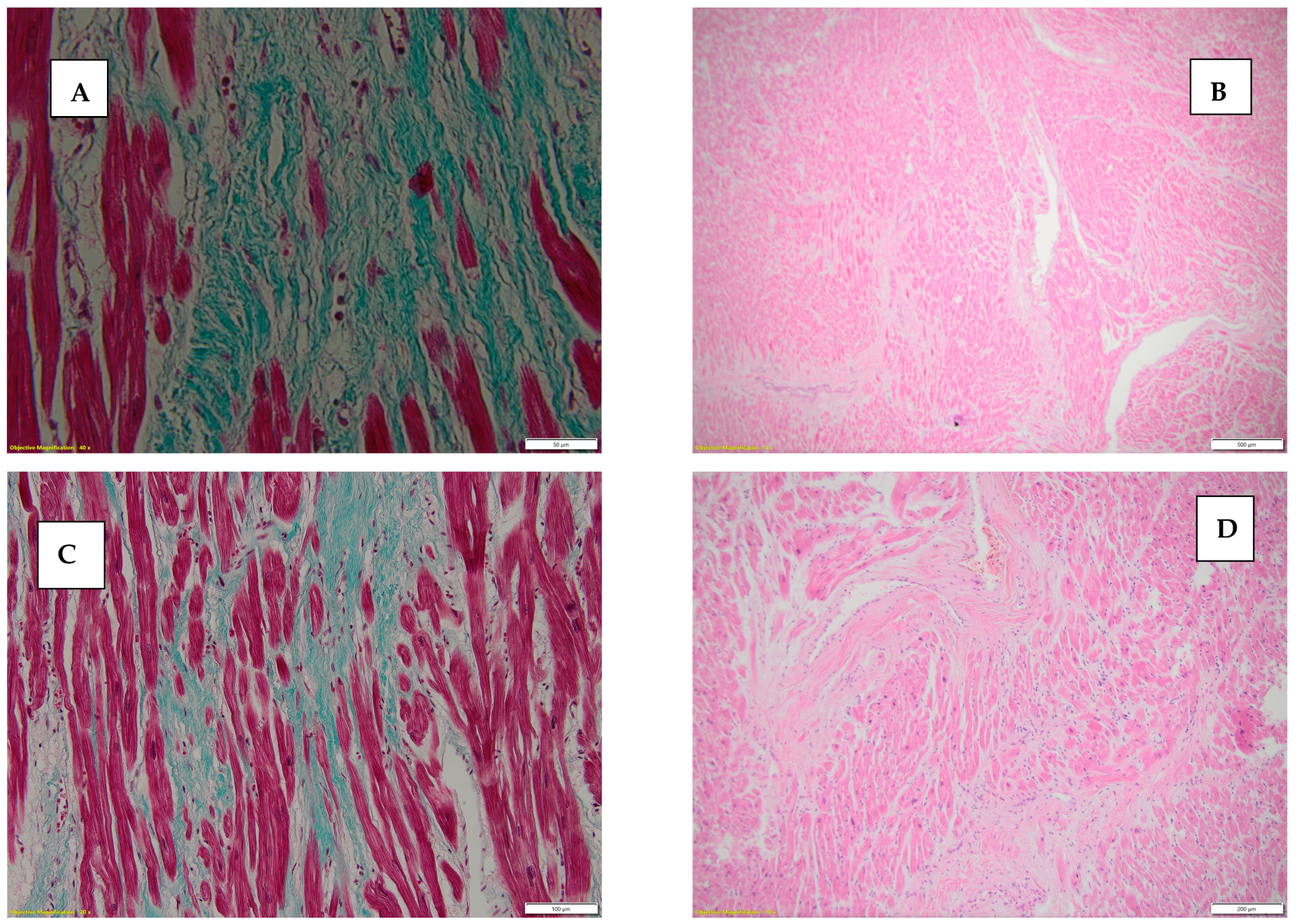
3. Results
4. Discussion
5. Conclusions
Author Contributions
Funding
Institutional Review Board Statement
Informed Consent Statement
Data Availability Statement
Acknowledgments
Conflicts of Interest
References
- Chugh, S.S.; Reinier, K.; Teodorescu, C.; Evanado, A.; Kehr, E.; Al Samara, M.; Mariani, R.; Gunson, K.; Jui, J. Epidemiology of sudden cardiac death: Clinical and research implications. Prog. Cardiovasc. Dis. 2008, 51, 213–228. [Google Scholar] [CrossRef] [PubMed] [PubMed Central]
- Perju-Dumbrava, D.; Chiroban, O.; Radu, C.C. Obesity and Overweight Risk Factors in Sudden Death Due to Cardiovascular Causes: A Case Series. Iran. J. Public. Health 2017, 46, 856–857. [Google Scholar] [PubMed] [PubMed Central]
- Cheng, Y.J.; Chen, Z.G.; Yao, F.J.; Liu, L.J.; Zhang, M.; Wu, S.H. Airflow obstruction, impaired lung function and risk of sudden cardiac death: A prospective cohort study. Thorax 2022, 77, 652–662. [Google Scholar] [CrossRef] [PubMed]
- Sheppard, M.N.; Westaby, J.; Zullo, E.; Fernandez, B.V.E.; Cox, S.; Cox, A. Sudden arrhythmic death and cardiomyopathy are important causes of sudden cardiac death in the UK: Results from a national coronial autopsy database. Histopathology 2023, 82, 1056–1066. [Google Scholar] [CrossRef] [PubMed]
- Radu, I.; Farcas, A.O.; Nyulas, V.; Radu, C.C.; Brinzaniuc, K. Sudden Cardiac Death-Etiology, Risk Factors and Demographic Characteristics: An Extensive Study of 1618 Forensic Autopsies. Diseases 2024, 12, 168. [Google Scholar] [CrossRef] [PubMed] [PubMed Central]
- Upadhyay, P.; Wu, C.W.; Pham, A.; Zeki, A.A.; Royer, C.M.; Kodavanti, U.P.; Takeuchi, M.; Bayram, H.; Pinkerton, K.E. Animal models and mechanisms of tobacco smoke-induced chronic obstructive pulmonary disease (COPD). J. Toxicol. Environ. Health B Crit. Rev. 2023, 26, 275–305. [Google Scholar] [CrossRef] [PubMed] [PubMed Central]
- van den Berg, M.E.; Stricker, B.H.; Brusselle, G.G.; Lahousse, L. Chronic obstructive pulmonary disease and sudden cardiac death: A systematic review. Trends Cardiovasc. Med. 2016, 26, 606–613. [Google Scholar] [CrossRef] [PubMed]
- Barnes, P.J. Chronic obstructive pulmonary disease: Effects beyond the lungs. PLoS Med. 2010, 7, e1000220. [Google Scholar] [CrossRef] [PubMed] [PubMed Central]
- Patel, A.R.; Hurst, J.R. Extrapulmonary comorbidities in chronic obstructive pulmonary disease: State of the art. Expert. Rev. Respir. Med. 2011, 5, 647–662. [Google Scholar] [CrossRef] [PubMed]
- Decramer, M.; Janssens, W. Chronic obstructive pulmonary disease and comorbidities. Lancet Respir. Med. 2013, 1, 73–83. [Google Scholar] [CrossRef] [PubMed]
- van Suylen, R.J.; Wouters, E.F.; Pennings, H.J.; Cheriex, E.C.; van Pol, P.E.; Ambergen, A.W.; Vermelis, A.M.; Daemen, M.J. The DD genotype of the angiotensin converting enzyme gene is negatively associated with right ventricular hypertrophy in male patients with chronic obstructive pulmonary disease. Am. J. Respir. Crit. Care Med. 1999, 159, 1791–1795. [Google Scholar] [CrossRef] [PubMed]
- Halbert, R.J.; Natoli, J.L.; Gano, A.; Badamgarav, E.; Buist, A.S.; Mannino, D.M. Global burden of COPD: Systematic review and meta-analysis. Eur. Respir. J. 2006, 28, 523–532. [Google Scholar] [CrossRef] [PubMed]
- López-Campos, J.L.; Ruiz-Ramos, M.; Soriano, J.B. Mortality trends in chronic obstructive pulmonary disease in Europe, 1994-2010: A joinpoint regression analysis. Lancet Respir. Med. 2014, 2, 54–62. [Google Scholar] [CrossRef] [PubMed]
- Gibson, G.J.; Loddenkemper, R.; Lundbäck, B.; Sibille, Y. Respiratory health and disease in Europe: The new European Lung White Book. Eur. Respir. J. 2013, 42, 559–563. [Google Scholar] [CrossRef] [PubMed]
- Garrison, D.M.; Pendela, V.S.; Memon, J. Cor Pulmonale. 2023 August 8. In StatPearls [Internet]; StatPearls Publishing: Treasure Island, FL, USA, 2024. [Google Scholar] [PubMed]
- Vestbo, J. COPD: Definition and phenotypes. Clin. Chest Med. 2014, 35, 1–6. [Google Scholar] [CrossRef] [PubMed]
- Barnes, P.J.; Burney, P.G.; Silverman, E.K.; Celli, B.R.; Vestbo, J.; Wedzicha, J.A.; Wouters, E.F. Chronic obstructive pulmonary disease. Nat. Rev. Dis. Primers 2015, 1, 15076. [Google Scholar] [CrossRef] [PubMed]
- Spurzem, J.R.; Rennard, S.I. Pathogenesis of COPD. Semin. Respir. Crit. Care Med. 2005, 26, 142–153. [Google Scholar] [CrossRef] [PubMed]
- Barnes, P.J. Inflammatory mechanisms in patients with chronic obstructive pulmonary disease. J. Allergy Clin. Immunol. 2016, 138, 16–27. [Google Scholar] [CrossRef] [PubMed]
- Barnes, P.J. Cellular and molecular mechanisms of chronic obstructive pulmonary disease. Clin. Chest Med. 2014, 35, 71–86. [Google Scholar] [CrossRef] [PubMed]
- Ragab, S.M.; Safan, M.A.; Obeid, O.M.; Sherief, A.S. Lipoprotein-associated phospholipase A2 (Lp-PLA2) and tumor necrosis factor-alpha (TNF-α) and their relation to premature atherosclerosis in β-thalassemia children. Hematology 2015, 20, 228–238. [Google Scholar] [CrossRef] [PubMed]
- Zhang, X.; Cui, L.; Chen, B.; Xiong, Q.; Zhan, Y.; Ye, J.; Yin, Q. Effect of chromium supplementation on hs-CRP, TNF-α and IL-6 as risk factor for cardiovascular diseases: A meta-analysis of randomized-controlled trials. Complement. Ther. Clin. Pract. 2021, 42, 101291. [Google Scholar] [CrossRef] [PubMed]
- Thomsen, M.; Dahl, M.; Lange, P.; Vestbo, J.; Nordestgaard, B.G. Inflammatory biomarkers and comorbidities in chronic obstructive pulmonary disease. Am. J. Respir. Crit. Care Med. 2012, 186, 982–988. [Google Scholar] [CrossRef] [PubMed]
- Murtha, L.A.; Schuliga, M.J.; Mabotuwana, N.S.; Hardy, S.A.; Waters, D.W.; Burgess, J.K.; Knight, D.A.; Boyle, A.J. The Processes and Mechanisms of Cardiac and Pulmonary Fibrosis. Front. Physiol. 2017, 8, 777. [Google Scholar] [CrossRef] [PubMed] [PubMed Central]
- Hinderer, S.; Schenke-Layland, K. Cardiac fibrosis—A short review of causes and therapeutic strategies. Adv. Drug Deliv. Rev. 2019; 146, 77–82. [Google Scholar] [CrossRef] [PubMed]
- Del Monte-Nieto, G.; Fischer, J.W.; Gorski, D.J.; Harvey, R.P.; Kovacic, J.C. Basic Biology of Extracellular Matrix in the Cardiovascular System, Part 1/4: JACC Focus Seminar. J. Am. Coll. Cardiol. 2020, 75, 2169–2188. [Google Scholar] [CrossRef] [PubMed] [PubMed Central]
- Frangogiannis, N.G.; Kovacic, J.C. Extracellular Matrix in Ischemic Heart Disease, Part 4/4: JACC Focus Seminar. J. Am. Coll. Cardiol. 2020, 75, 2219–2235. [Google Scholar] [CrossRef] [PubMed] [PubMed Central]
- Nauffal, V.; Di Achille, P.; Klarqvist, M.D.R.; Cunningham, J.W.; Hill, M.C.; Pirruccello, J.P.; Weng, L.C.; Morrill, V.N.; Choi, S.H.; Khurshid, S.; et al. Genetics of myocardial interstitial fibrosis in the human heart and association with disease. Nat. Genet. 2023, 55, 777–786. [Google Scholar] [CrossRef] [PubMed] [PubMed Central]
- Aljakna, A.; Fracasso, T.; Sabatasso, S. Molecular tissue changes in early myocardial ischemia: From pathophysiology to the identification of new diagnostic markers. Int. J. Legal Med. 2018, 132, 425–438. [Google Scholar] [CrossRef] [PubMed]
- Desai, K.V.; Laine, G.A.; Stewart, R.H.; Cox, C.S., Jr.; Quick, C.M.; Allen, S.J.; Fischer, U.M. Mechanics of the left ventricular myocardial interstitium: Effects of acute and chronic myocardial edema. Am. J. Physiol. Heart Circ. Physiol. 2008, 294, H2428–H2434. [Google Scholar] [CrossRef] [PubMed]
- Vasques-Nóvoa, F.; Angélico-Gonçalves, A.; Alvarenga, J.M.G.; Nobrega, J.; Cerqueira, R.J.; Mancio, J.; Leite-Moreira, A.F.; Roncon-Albuquerque, R., Jr. Myocardial oedema: Pathophysiological basis and implications for the failing heart. ESC Heart Fail. 2022, 9, 958–976. [Google Scholar] [CrossRef] [PubMed] [PubMed Central]
- Dongaonkar, R.M.; Stewart, R.H.; Geissler, H.J.; Laine, G.A. Myocardial microvascular permeability, interstitial oedema, and compromised cardiac function. Cardiovasc. Res. 2010, 87, 331–339. [Google Scholar] [CrossRef] [PubMed] [PubMed Central]
- Lafuse, W.P.; Wozniak, D.J.; Rajaram, M.V.S. Role of Cardiac Macrophages on Cardiac Inflammation, Fibrosis and Tissue Repair. Cells. 2020, 10, 51. [Google Scholar] [CrossRef] [PubMed] [PubMed Central]
- Steffens, S.; Nahrendorf, M.; Madonna, R. Immune cells in cardiac homeostasis and disease: Emerging insights from novel technologies. Eur. Heart J. 2022, 43, 1533–1541. [Google Scholar] [CrossRef] [PubMed] [PubMed Central]
- Tschöpe, C.; Ammirati, E.; Bozkurt, B.; Caforio, A.L.P.; Cooper, L.T.; Felix, S.B.; Hare, J.M.; Heidecker, B.; Heymans, S.; Hübner, N.; et al. Myocarditis and inflammatory cardiomyopathy: Current evidence and future directions. Nat. Rev. Cardiol. 2021, 18, 169–193. [Google Scholar] [CrossRef] [PubMed] [PubMed Central]
- Algoet, M.; Janssens, S.; Himmelreich, U.; Gsell, W.; Pusovnik, M.; Van den Eynde, J.; Oosterlinck, W. Myocardial ischemia-reperfusion injury and the influence of inflammation. Trends Cardiovasc. Med. 2023, 33, 357–366. [Google Scholar] [CrossRef] [PubMed]
- Packer, M. Epicardial Adipose Tissue May Mediate Deleterious Effects of Obesity and Inflammation on the Myocardium. J. Am. Coll. Cardiol. 2018, 71, 2360–2372. [Google Scholar] [CrossRef] [PubMed]
- Basso, C.; Thiene, G. Adipositas cordis, fatty infiltration of the right ventricle, and arrhythmogenic right ventricular cardiomyopathy. Just a matter of fat? Cardiovasc. Pathol. 2005, 14, 37–41. [Google Scholar] [CrossRef] [PubMed]
- Corrado, D.; Link, M.S.; Calkins, H. Arrhythmogenic Right Ventricular Cardiomyopathy. N. Engl. J. Med. 2017, 376, 61–72. [Google Scholar] [CrossRef] [PubMed]
- King, P.T. Inflammation in chronic obstructive pulmonary disease and its role in cardiovascular disease and lung cancer. Clin. Transl. Med. 2015, 4, 68. [Google Scholar] [CrossRef] [PubMed] [PubMed Central]
- Obling, N.; Backer, V.; Hurst, J.R.; Bodtger, U. Nasal and systemic inflammation in Chronic Obstructive Pulmonary Disease (COPD). Respir. Med. 2022, 195, 106774. [Google Scholar] [CrossRef] [PubMed]
- Bhatt, S.P.; Dransfield, M.T. Chronic obstructive pulmonary disease and cardiovascular disease. Transl. Res. 2013, 162, 237–251. [Google Scholar] [CrossRef] [PubMed]
- Roversi, S.; Fabbri, L.M.; Sin, D.D.; Hawkins, N.M.; Agustí, A. Chronic Obstructive Pulmonary Disease and Cardiac Diseases. An Urgent Need for Integrated Care. Am. J. Respir. Crit. Care Med. 2016, 194, 1319–1336. [Google Scholar] [CrossRef] [PubMed]
- Criner, G.J.; Agusti, A.; Borghaei, H.; Friedberg, J.; Martinez, F.J.; Miyamoto, C.; Vogelmeier, C.F.; Celli, B.R. Chronic Obstructive Pulmonary Disease and Lung Cancer: A Review for Clinicians. Chronic Obstr. Pulm. Dis. 2022, 9, 454–476. [Google Scholar] [CrossRef] [PubMed] [PubMed Central]
- Voelkel, N.F.; Gomez-Arroyo, J.; Mizuno, S. COPD/emphysema: The vascular story. Pulm. Circ. 2011, 1, 320–326. [Google Scholar] [CrossRef] [PubMed] [PubMed Central]
- Rabe, K.F.; Hurst, J.R.; Suissa, S. Cardiovascular disease and COPD: Dangerous liaisons? Eur. Respir. Rev. 2018, 27, 180057. [Google Scholar] [CrossRef] [PubMed] [PubMed Central]
- Ghafouri-Fard, S.; Abak, A.; Talebi, S.F.; Shoorei, H.; Branicki, W.; Taheri, M.; Dilmaghani, N.A. Role of miRNA and lncRNAs in organ fibrosis and aging. Biomed. Pharmacother. 2021, 143, 112132. [Google Scholar] [CrossRef]
- Königshoff, M.; Kramer, M.; Balsara, N.; Wilhelm, J.; Amarie, O.V.; Jahn, A.; Rose, F.; Fink, L.; Seeger, W.; Schaefer, L.; et al. WNT1-inducible signaling protein-1 mediates pulmonary fibrosis in mice and is upregulated in humans with idiopathic pulmonary fibrosis. J. Clin. Investig. 2009, 119, 772–787. [Google Scholar] [CrossRef] [PubMed] [PubMed Central]
- Gibb, A.A.; Lazaropoulos, M.P.; Elrod, J.W. Myofibroblasts and Fibrosis: Mitochondrial and Metabolic Control of Cellular Differentiation. Circ. Res. 2020, 127, 427–447. [Google Scholar] [CrossRef] [PubMed] [PubMed Central]
- Parrot, A.; Fartoukh, M.; Cadranel, J. Hémorragie intra-alvéolaire [Alveolar hemorrhage]. Rev. Mal. Respir. 2015, 32, 394–412. (In French) [Google Scholar] [CrossRef] [PubMed]
- Popper, H.; Murer, B. Alveolar Hemorrhage. In Pulmonary Pathology; Springer: Cham, Switzerland, 2020; pp. 521–531. [Google Scholar] [CrossRef] [PubMed Central]
- Ahmed-Khan, M.; Moin, K.; Funk, C.; Sachdev, M.; Jiffry, M.Z.M. Sevoflurane-Induced Diffuse Alveolar Hemorrhage. Arch. Clin. Cases. 2023, 10, 29–31. [Google Scholar] [CrossRef] [PubMed] [PubMed Central]
- Voelkel, N.F.; Cool, C.D. Pulmonary vascular involvement in chronic obstructive pulmonary disease. Eur. Respir. J. Suppl. 2003, 46, 28s–32s. [Google Scholar] [CrossRef] [PubMed]
- Oprinca, G.C.; Oprinca-Muja, L.A.; Mihalache, M.; Birlutiu, R.M.; Birlutiu, V. Is SARS-CoV-2 Directly Responsible for Cardiac Injury? Clinical Aspects and Postmortem Histopathologic and Immunohistochemical Analysis. Microorganisms. 2022, 10, 1258. [Google Scholar] [CrossRef] [PubMed] [PubMed Central]
- Sabatasso, S.; Moretti, M.; Mangin, P.; Fracasso, T. Early markers of myocardial ischemia: From the experimental model to forensic pathology cases of sudden cardiac death. Int. J. Legal Med. 2018, 132, 197–203. [Google Scholar] [CrossRef] [PubMed]





| Group | Inflammation | p-Value | Fibrosis | p-Value | Hematic Extravasation | p-Value | Intimal Vascular Lesions | p-V alu e | Vascular Wall Thickening | Emphysema | ||||||||||
|---|---|---|---|---|---|---|---|---|---|---|---|---|---|---|---|---|---|---|---|---|
| Score 0 | Score 1 | Score 2 | Score 3 | Score 0 | Score 1 | Score 2 | Score 0 | Score 1 | Score 2 | Score 0 | Score 1 | Score 0 | Score 1 | Score 0 | Score1 | |||||
| Group 1 (SCD) | 42.5% (17) | 22.5% (9) | 30.0% (12) | 5.0% (2) | p = 0.002 | 37.5% (15) | 52.5% (21) | 10% (4) | p = 0.0001 | 55.0% (22) | 37.5% (15) | 7.5% (3) | p = 0.01 | 85.0% (34) | 15% (6) | p = 0.01 | 62.5% (25) | 37.5% (15) | 7.5% (3) | 92.5% (37) |
| Group 2 (control) | 80.0% (32) | 12.5% (5) | 7.5% (3) | 0.0% (0) | 77.5% (31) | 22.5% (9) | 0% (0) | 85.0% (34) | 12.5% (5) | 2.5% (1) | 100% (40) | 0% (0) | 90% (36) | 10% (4) | 15% (6) | 85% (34) | ||||
| Group | Fibrosis | p-Value | Hypereosinophilia | p-Value | Fiber Fragmentation | p-Value | Fiber Hypertrophy | p-Value | ||||||
|---|---|---|---|---|---|---|---|---|---|---|---|---|---|---|
| Score 0 | Score 1 | Score 2 | Score 3 | Score 0 | Score 1 | Score 0 | Score 1 | Score 0 | Score 1 | |||||
| Group 1 (SCD) | 0% (0) | 12.5% (5) | 60% (24) | 27.5% (11) | p = 0.0001 | 27.5% (11) | 72.5% (29) | p = 0.001 | 42.5% (17) | 57.5% (23) | p = 0.0001 | 25% (10) | 75% (30) | p = 0.001 |
| Group 2 (control) | 52.5% (21) | 37.5% (15) | 7.5% (3) | 2.5% (1) | 95% (38) | 5% (2) | 95% (38) | 5% (2) | 92.5% (37) | 7.5% (3) | ||||
| Group | Interstitial Edema | p-Value | Perivascular Inflammatory Infiltrate | p-Value | Subepicardial Adipose Tissue | p-Value | Necrosis | p-Value | ||||||
| Score 0 | Score 1 | Score 0 | Score 1 | Score 0 | Score 1 | Score 0 | Score 1 | |||||||
| Group 1 (SCD) | 12.5% (5) | 87.5% (35) | p = 0.0001 | 40% (16) | 60% (24) | p = 0.0001 | 47.5% (19) | 52.5% (70) | p = 0.001 | 87.5% (35) | 12.5% (5) | p = 0.02 | ||
| Group 2 (control) | 70% (30) | 25% (10) | 97.5% (39) | 2.5% (1) | 77.5% (31) | 22.5% (9) | 100% (40) | 0.0% (0) | ||||||
Disclaimer/Publisher’s Note: The statements, opinions and data contained in all publications are solely those of the individual author(s) and contributor(s) and not of MDPI and/or the editor(s). MDPI and/or the editor(s) disclaim responsibility for any injury to people or property resulting from any ideas, methods, instructions or products referred to in the content. |
© 2025 by the authors. Licensee MDPI, Basel, Switzerland. This article is an open access article distributed under the terms and conditions of the Creative Commons Attribution (CC BY) license (https://creativecommons.org/licenses/by/4.0/).
Share and Cite
Radu, I.; Farcas, A.O.; Voidazan, S.; Radu, C.C.; Brinzaniuc, K. Is Lung Disease a Risk Factor for Sudden Cardiac Death? A Comparative Case–Control Histopathological Study. Diseases 2025, 13, 8. https://doi.org/10.3390/diseases13010008
Radu I, Farcas AO, Voidazan S, Radu CC, Brinzaniuc K. Is Lung Disease a Risk Factor for Sudden Cardiac Death? A Comparative Case–Control Histopathological Study. Diseases. 2025; 13(1):8. https://doi.org/10.3390/diseases13010008
Chicago/Turabian StyleRadu, Ioana, Anca Otilia Farcas, Septimiu Voidazan, Carmen Corina Radu, and Klara Brinzaniuc. 2025. "Is Lung Disease a Risk Factor for Sudden Cardiac Death? A Comparative Case–Control Histopathological Study" Diseases 13, no. 1: 8. https://doi.org/10.3390/diseases13010008
APA StyleRadu, I., Farcas, A. O., Voidazan, S., Radu, C. C., & Brinzaniuc, K. (2025). Is Lung Disease a Risk Factor for Sudden Cardiac Death? A Comparative Case–Control Histopathological Study. Diseases, 13(1), 8. https://doi.org/10.3390/diseases13010008
