Nerve Sheath Myxoma in Pregnancy: A Case Report
Abstract
1. Introduction
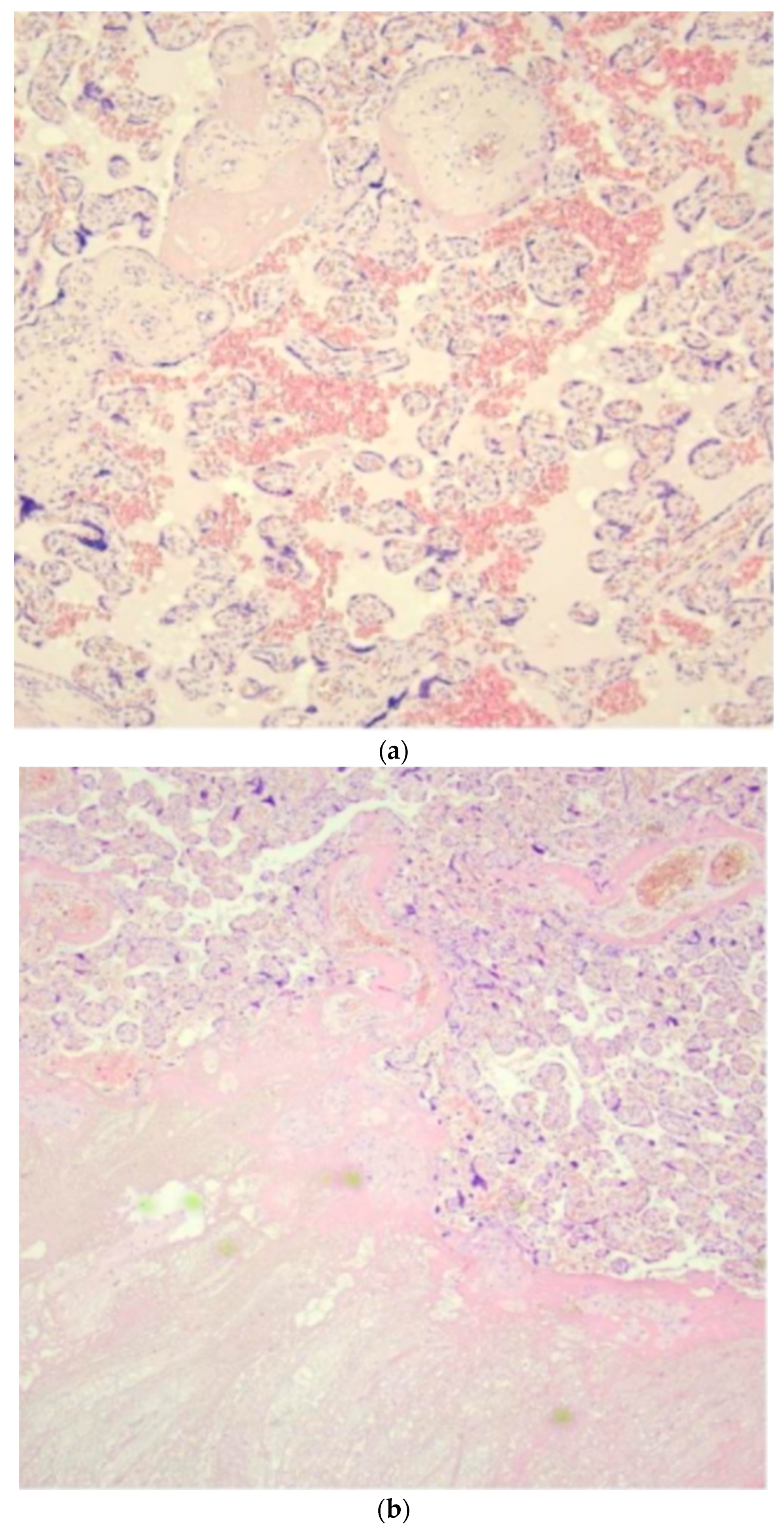
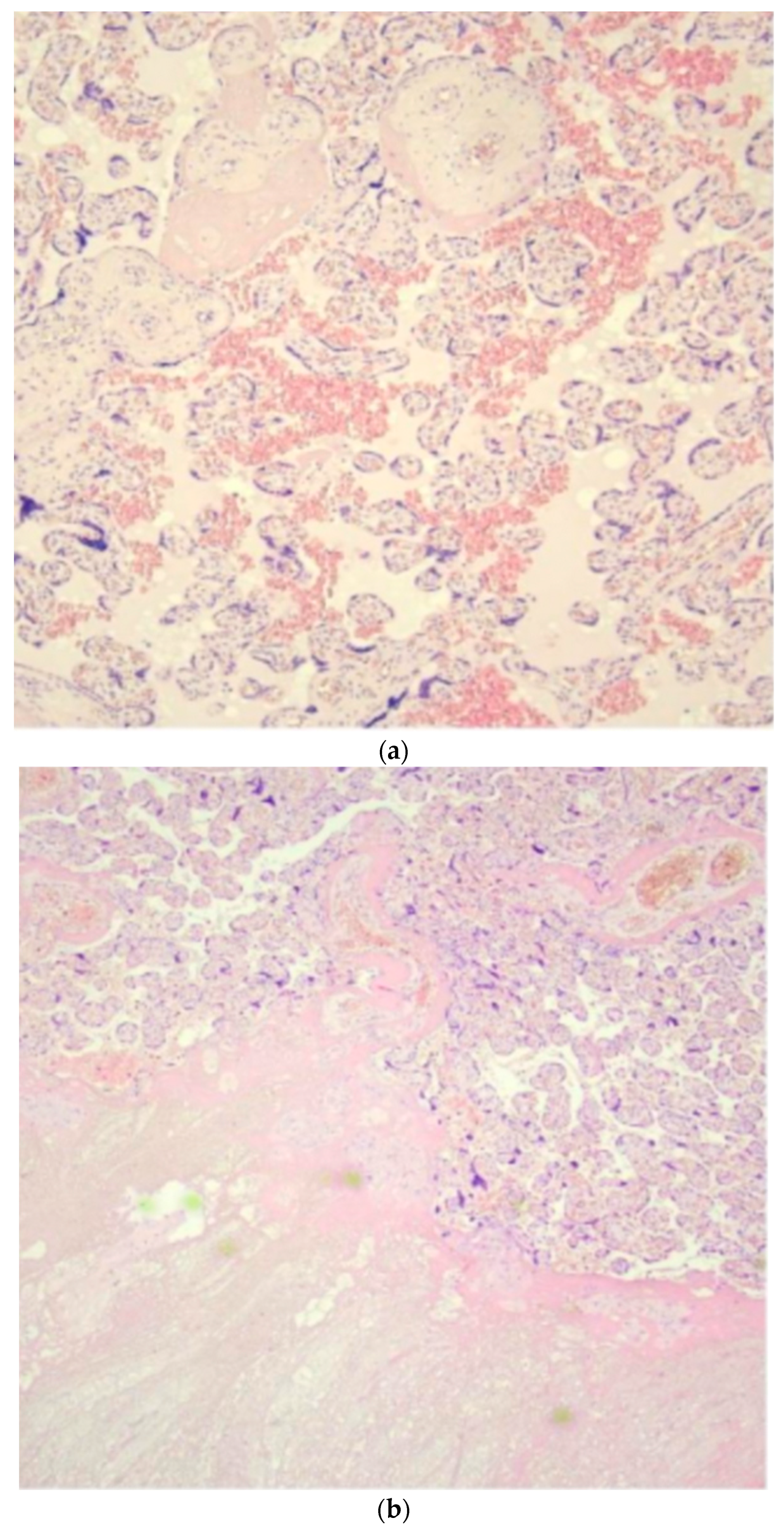
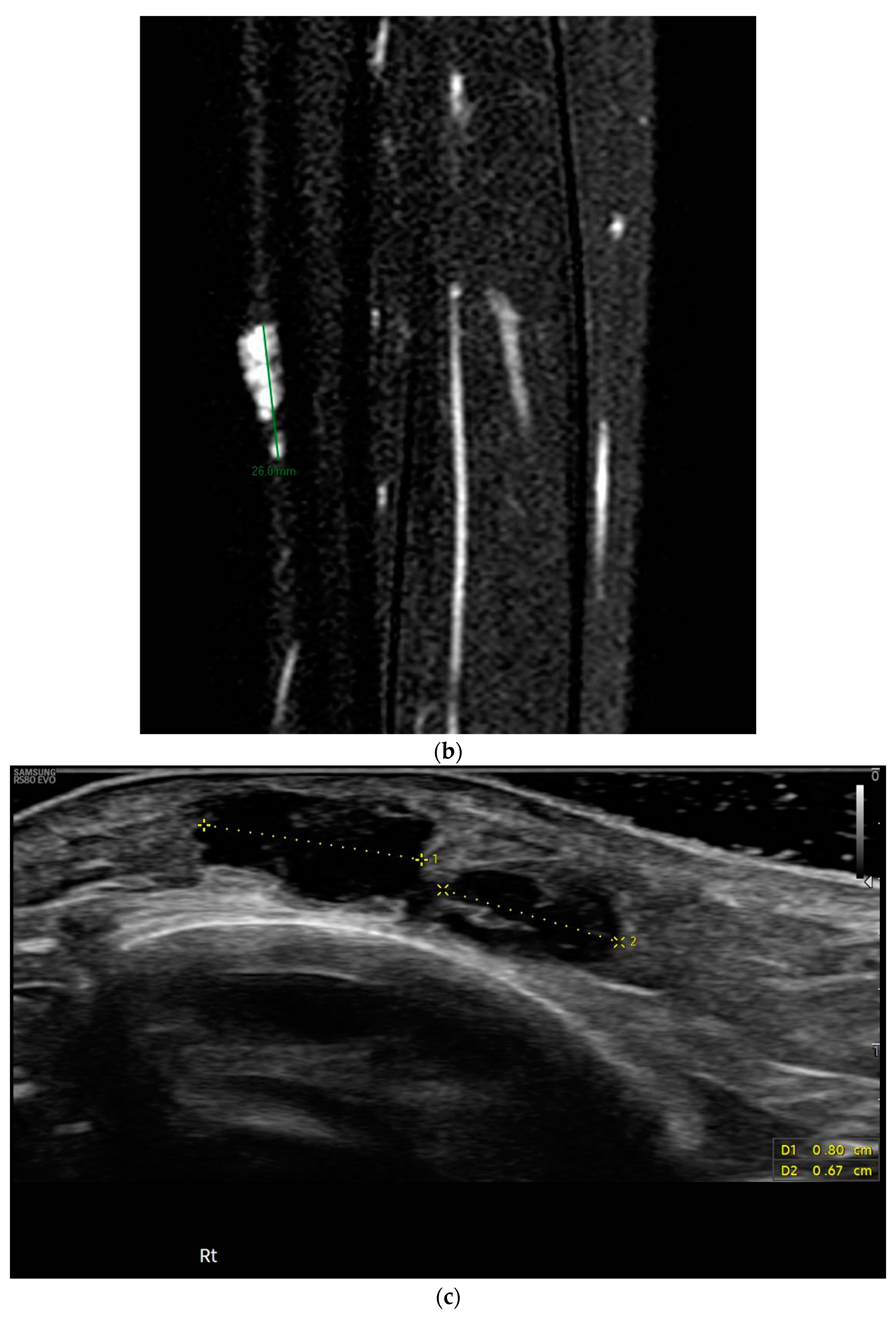
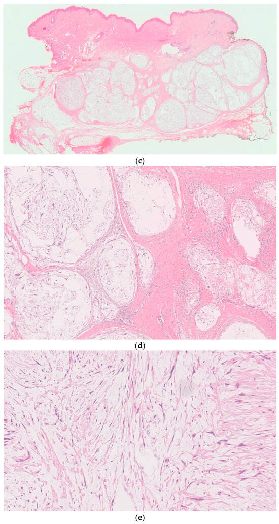
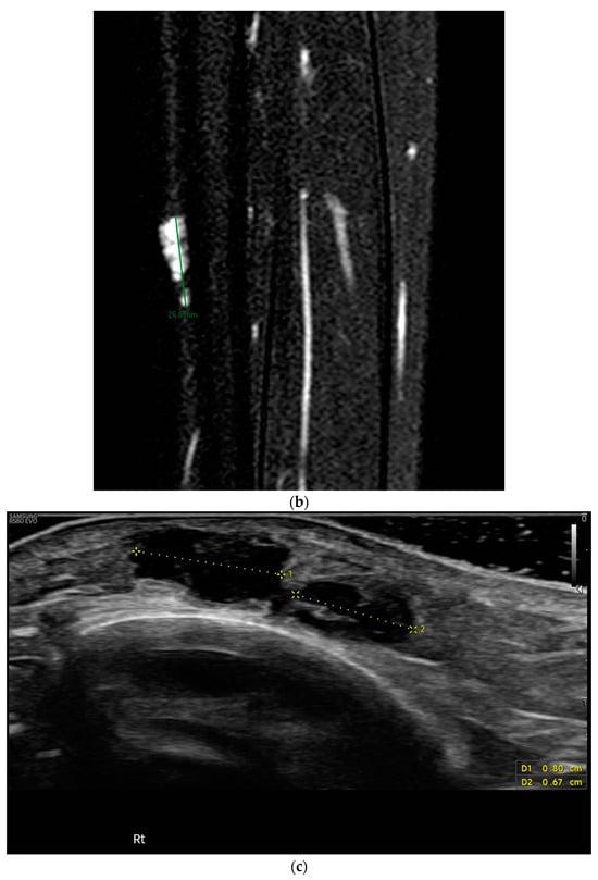
2. Case Report
3. Discussion
4. Conclusions
Author Contributions
Funding
Institutional Review Board Statement
Informed Consent Statement
Data Availability Statement
Conflicts of Interest
References
- Harkin, J.C.; Reed, R.J. Tumors of the Peripheral Nervous System. Atlas of Tumo Pathology; Second Series, Fascicle 3; Armed Forces Institute of Pathology: Washington, DC, USA, 1969; pp. 60–64. [Google Scholar]
- von Mehren, M.; Randall, R.L.; Benjamin, R.S.; Boles, S.; Bui, M.M.; Ganjoo, K.N.; George, S.; Gonzalez, R.J.; Heslin, M.J.; Kane, J.M.; et al. Soft Tissue Sarcoma, Version 2.2018, NCCN Clinical Practice Guidelines in Oncology. J. Natl. Compr. Canc Netw. 2018, 16, 536–563. [Google Scholar] [CrossRef] [PubMed]
- The WHO Classification of Tumours Editorial Board. Soft tissue and bone tumours. In WHO Classification of Tumours, 5th ed.; IARC Press: Lyon, France, 2020. [Google Scholar]
- Fetsch, J.F.; Laskin, W.B.; Miettinen, M. Nerve sheath myxoma: A clinicopathologic and immunohistochemical analysis of 57 morphologically distinctive, S-100 protein- and GFAP-positive, myxoid peripheral nerve sheath tumors with a predilection for the extremities and a high local recurrence rate. Am. J. Surg. Pathol. 2005, 29, 1615–1624. [Google Scholar] [CrossRef] [PubMed]
- Safadi, R.A.; Hellstein, J.W.; Diab, M.M.; Hammad, H.M. Nerve Sheath Myxoma (Neurothekeoma) of the Gingiva, A Case Report and Review of the Literature. Head Neck Pathol. 2010, 4, 242–245. [Google Scholar] [CrossRef] [PubMed][Green Version]
- Peñarrocha, M.; Bonet, J.; Minguez, J.M.; Vera, F. Nerve sheath myxoma (neurothekeoma) in the tongue of a newborn. Oral. Surg. Oral. Med. Oral. Pathol. Oral. Radiol. Endod. 2000, 90, 74–77. [Google Scholar] [CrossRef] [PubMed]
- Walker, J.L.; Wang, A.R.; Kroumpouzos, G.; Weinstock, M.A. Cutaneous tumors in pregnancy. Clin. Dermatol. 2016, 34, 359–367. [Google Scholar] [CrossRef] [PubMed]
- Tafti, D.A.; Dearborn, M.C.; Ornoff, A.; Moeck, A.R.; Cecava, N.D. Nerve Sheath Myxoma in the Lower Extremity: A Rare Case with Description of Magnetic Resonance Imaging and Sonographic Findings. Am. J. Case Rep. 2021, 22, e927922. [Google Scholar] [CrossRef] [PubMed]
- Tos, S.M.; Radaydeh, A.; Giacaman, N.; Ibdah, M.G.; Ass’ad, O.M.; Ibaidi, N.M.M.; Abuaita, M.A.A.; Abu Rub, S. Nerve sheath myxoma masqueraded as intramuscular myxoma: An extremely rare tumor with unusual location—A case report and literature review. Ann. Med. Surg. 2023, 85, 2953–2957. [Google Scholar] [CrossRef] [PubMed]
- Sambri, A.; Caldari, E.; Fiore, M.; Zucchini, R.; Giannini, C.; Pirini, M.G.; Spinnato, P.; Cappelli, A.; Donati, D.M.; De Paolis, M. Margin Assessment in Soft Tissue Sarcomas: Review of the Literature. Cancers 2021, 13, 1687. [Google Scholar] [CrossRef] [PubMed]
- De Simone, C.; Calabrese, L.; Balato, A.; Cannavò, S.P.; Dattola, A.; Esposito, M.; Fargnoli, M.C.; Giuffrida, R.; Hansel, K.; Musumeci, M.L.; et al. SIDeMaST “Psoriasis in Women of Childbearing Age” Task Force. Psoriasis and its management in women of childbearing age: Tools to increase awareness in dermatologists and patients. G. Ital. Dermatol. Venereol. 2020, 155, 434–440. [Google Scholar] [CrossRef] [PubMed]
- McLaughlin, M.E.; Jacks, T. Progesterone receptor expression in neurofibromas. Cancer Res. 2003, 63, 752–755. [Google Scholar]
- Andrews, S.; Capen, C.V. Pelvic schwannoma in pregnancy. A case report. J. Reprod. Med. 1993, 38, 826–828. [Google Scholar] [PubMed]
- de Giorgi, V.; Alfaioli, B.; Franchi, A.; Gori, A.; Sestini, S.; Papi, F.; Lotti, T. Cellular neurothekeoma in a girl: Could oestrogens favour the development and growth of this rare tumour? J. Eur. Acad. Dermatol. Venereol. 2008, 22, 1149–1150. [Google Scholar] [CrossRef] [PubMed]
- Gullett, A.E.; Jimenez-Quintero, L.P.; Prieto, V.G.; Ivan, D. Atypical cellular neurothekeoma in a pregnant woman. Arch. Dermatol. 2011, 147, 1342–1343. [Google Scholar] [CrossRef] [PubMed]
- Cribier, B.; Baran, R.; Varini, J.P. Myxome des gaines nerveuses de l’hyponychium. Ann. Dermatol. Vénéréologie 2013, 140, 535–539. [Google Scholar] [CrossRef] [PubMed]




Disclaimer/Publisher’s Note: The statements, opinions and data contained in all publications are solely those of the individual author(s) and contributor(s) and not of MDPI and/or the editor(s). MDPI and/or the editor(s) disclaim responsibility for any injury to people or property resulting from any ideas, methods, instructions or products referred to in the content. |
© 2024 by the authors. Licensee MDPI, Basel, Switzerland. This article is an open access article distributed under the terms and conditions of the Creative Commons Attribution (CC BY) license (https://creativecommons.org/licenses/by/4.0/).
Share and Cite
De Chiara, E.; Vellone, V.G.; Ferro, J.; Trambaiolo Antonelli, C.; Piro, L.; Avanzini, S.; Prono, V.; Beccaria, A.; Muraca, M.; Tallone, R. Nerve Sheath Myxoma in Pregnancy: A Case Report. Diseases 2024, 12, 164. https://doi.org/10.3390/diseases12070164
De Chiara E, Vellone VG, Ferro J, Trambaiolo Antonelli C, Piro L, Avanzini S, Prono V, Beccaria A, Muraca M, Tallone R. Nerve Sheath Myxoma in Pregnancy: A Case Report. Diseases. 2024; 12(7):164. https://doi.org/10.3390/diseases12070164
Chicago/Turabian StyleDe Chiara, Elena, Valerio Gaetano Vellone, Jacopo Ferro, Chiara Trambaiolo Antonelli, Liliana Piro, Stefano Avanzini, Valentina Prono, Andrea Beccaria, Monica Muraca, and Ramona Tallone. 2024. "Nerve Sheath Myxoma in Pregnancy: A Case Report" Diseases 12, no. 7: 164. https://doi.org/10.3390/diseases12070164
APA StyleDe Chiara, E., Vellone, V. G., Ferro, J., Trambaiolo Antonelli, C., Piro, L., Avanzini, S., Prono, V., Beccaria, A., Muraca, M., & Tallone, R. (2024). Nerve Sheath Myxoma in Pregnancy: A Case Report. Diseases, 12(7), 164. https://doi.org/10.3390/diseases12070164

