Rare Case of Raoultella planticola Infective Endocarditis after Mitral Valve Replacement Surgery
Abstract
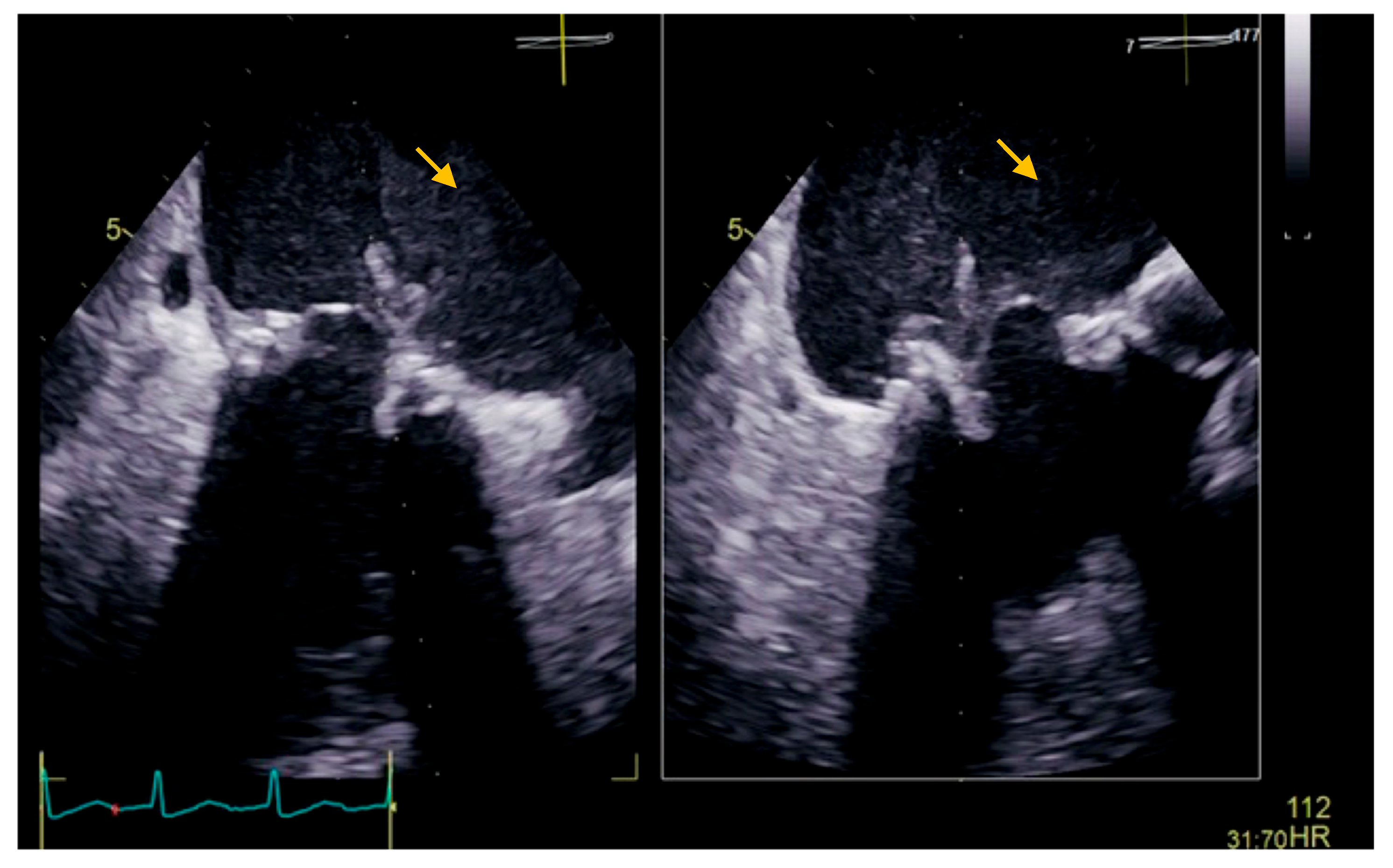
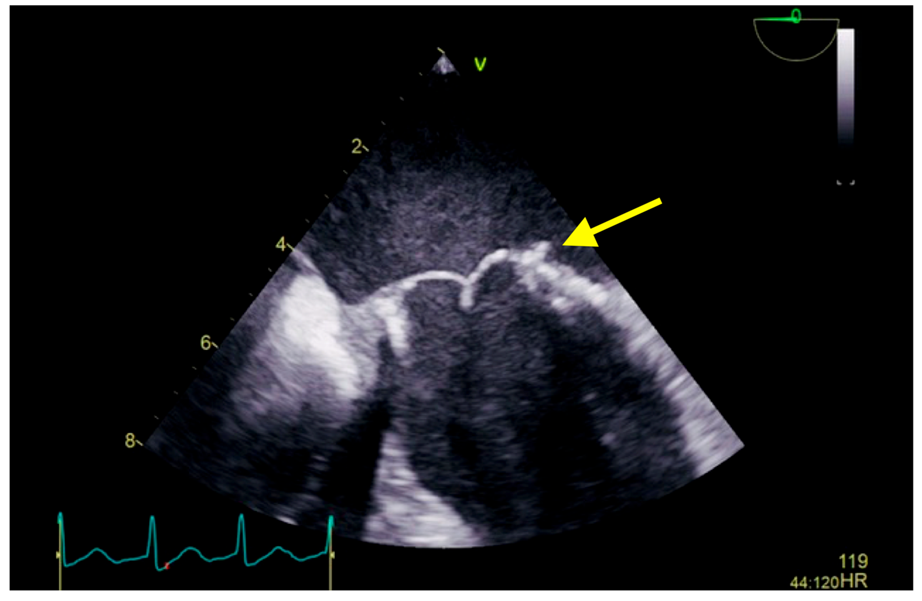
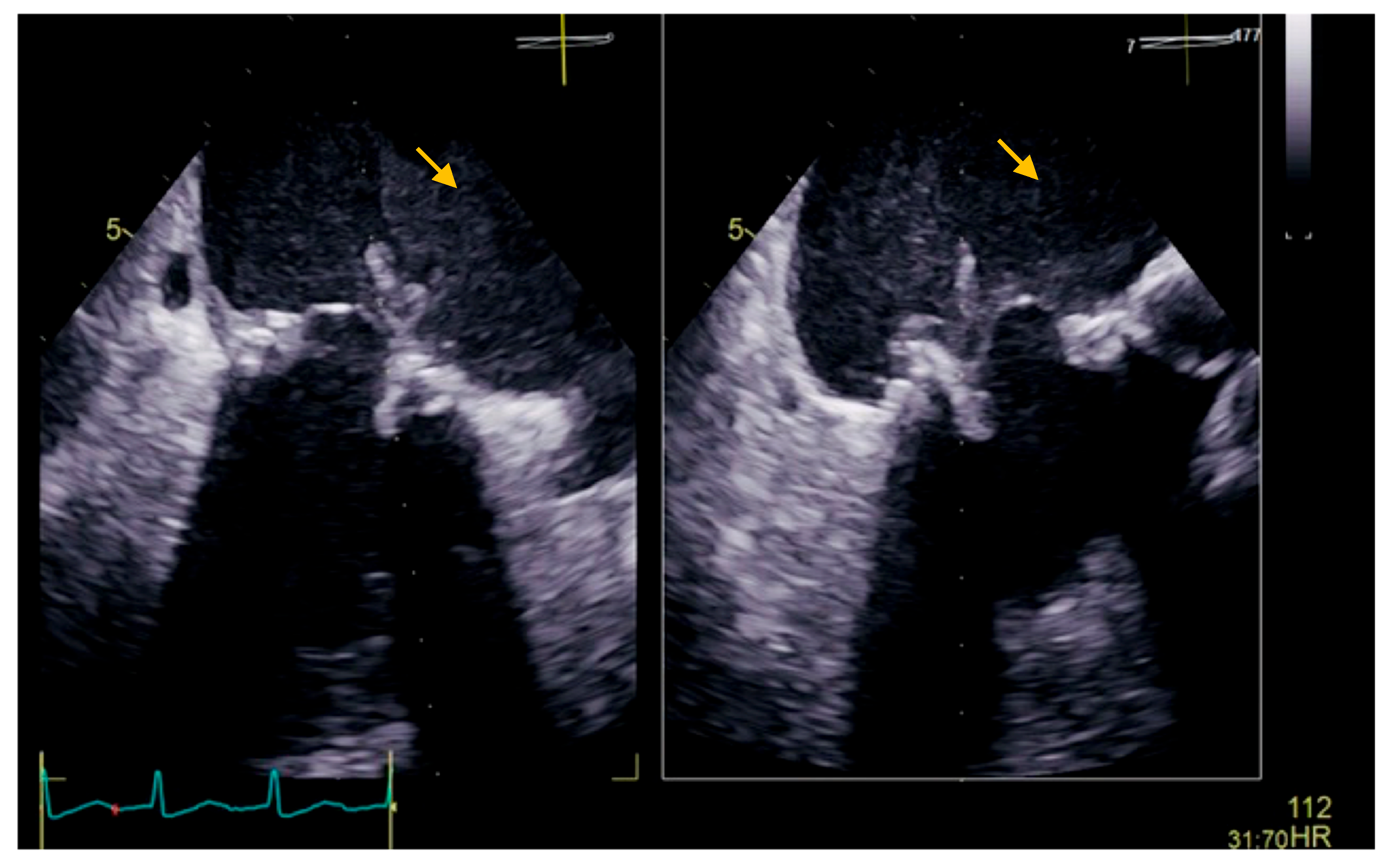
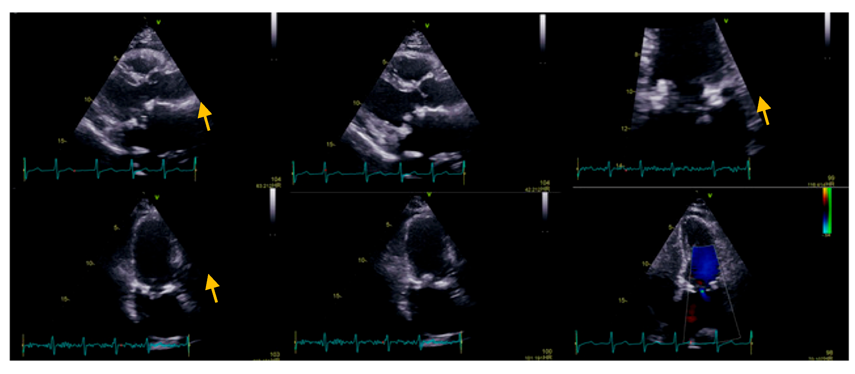
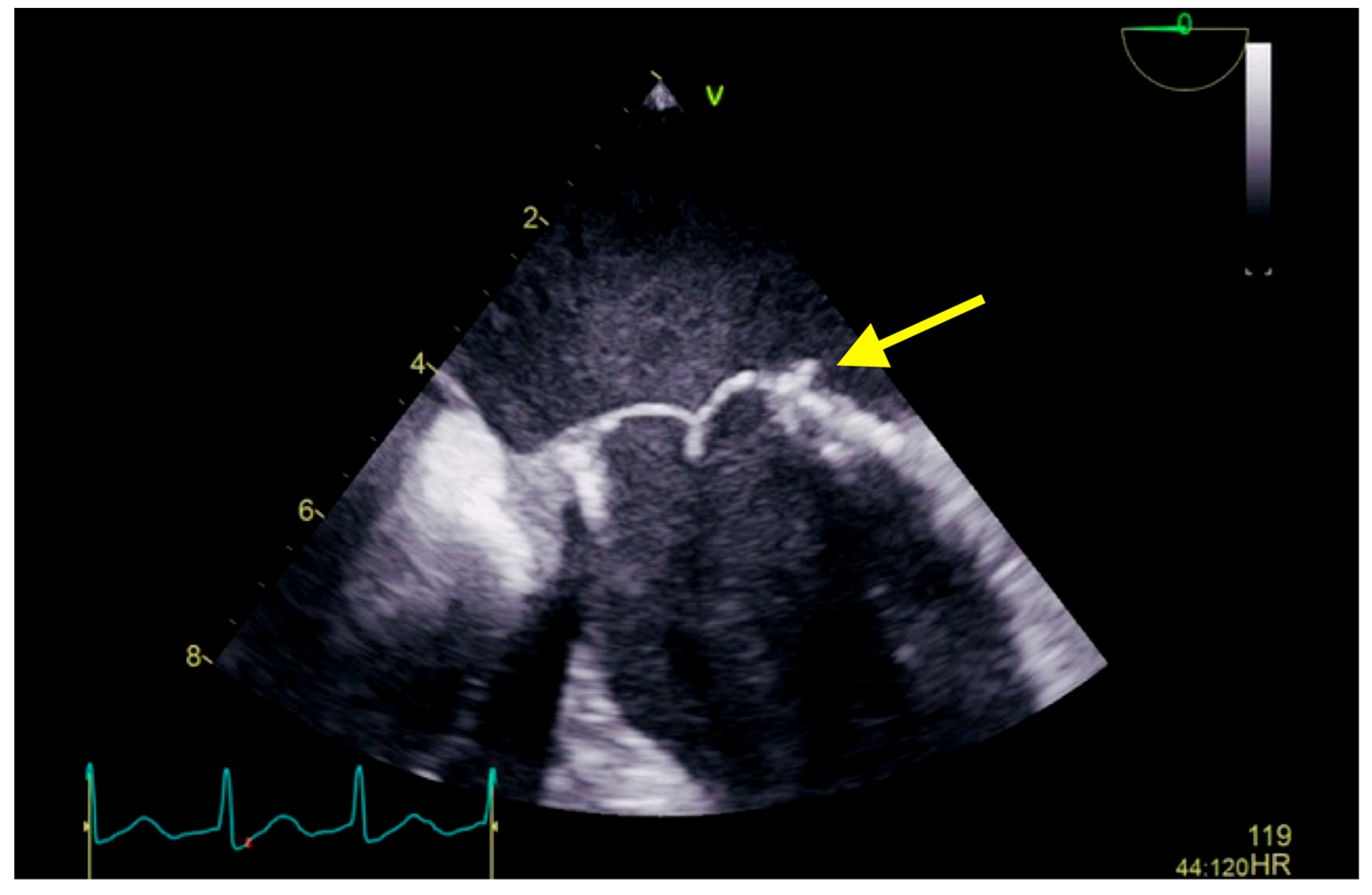
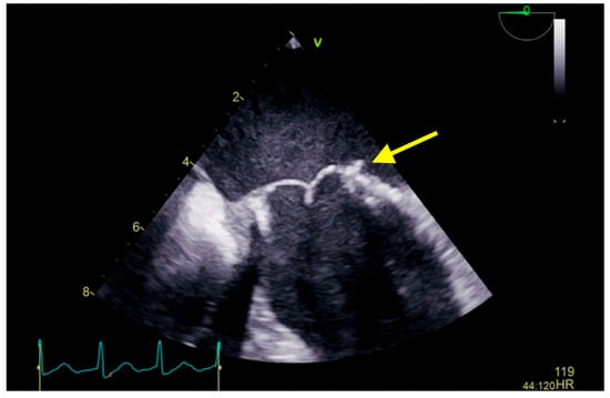
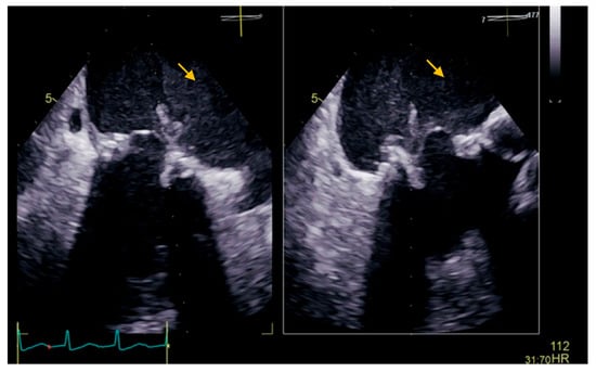
:1. Case Presentation
2. Discussion
3. Conclusions
Author Contributions
Funding
Institutional Review Board Statement
Informed Consent Statement
Data Availability Statement
Acknowledgments
Conflicts of Interest
References
- A Scientific Statement for Healthcare Professionals from the American Heart Association. Infective endocarditis in adults: Diagnosis, antimicrobial therapy, and management of complications. Circulation 2015, 132, 1435–1486. [Google Scholar] [CrossRef] [PubMed]
- Zipes, D.P.; Libby, P.; Bonow, R.O.; Mann, D.L.; Tomaselli, G.F. Braunwald’s Heart Disease, 11th ed.; Elsevier: Amsterdam, The Netherlands, 2019. [Google Scholar]
- Habib, G.; Casalta, J.P.; Iung, B.; Thuny, F.; Aboyans, V.; Dean, V.; Lancellotti, P.; Dulgheru, R.; El Khoury, G.; Kolh, P.; et al. 2015 ESC Guidelines for the management of infective endocarditis. Eur. Heart J. 2015, 36, 343–405. [Google Scholar] [CrossRef] [PubMed]
- Habib, G.; Erba, P.A.; Iung, B.; Donal, E.; Cosyns, B.; Laroche, C.; Popescu, B.A.; Prendergast, B.; Tornos, P.; Sadeghpour, A.; et al. Clinical presentation, aetiology and outcome of infective endocarditis. Results of the ESC-EORP EURO-ENDO (European infective endocarditis) registry: A prospective cohort study. Eur. Heart J. 2019, 40, 3222–3232. [Google Scholar] [CrossRef] [PubMed]
- Hoen, B.; Alla, F.; Selton-Suty, C.; Béguinot, I.; Bouvet, A.; Briançon, S.; Casalta, J.P.; Danchin, N.; Delahaye, F.; Etienne, J.; et al. Changing profile of infective endocarditis: Results of a 1-year survey in France. JAMA 2002, 288, 75–81. [Google Scholar] [CrossRef] [PubMed]
- San Román, J.A.; López, J.; Vilacosta, I.; Luaces, M.; Sarriá, C.; Revilla, A.; Ronderos, R.; Stoermann, W.; Gómez, I.; Fernández-Avilés, F. Prognostic Stratification of Patients with Left-Sided Endocarditis Determined at Admission. Am. J. Med. 2007, 120, 369-e1. [Google Scholar] [CrossRef]
- Chu, V.H.; Cabell, C.H.; Benjamin, D.K., Jr.; Kuniholm, E.F.; Fowler, V.G., Jr.; Engemann, J.; Sexton, D.J.; Corey, G.R.; Wang, A. Early Predictors of In-Hospital Death in Infective Endocarditis. Circulation 2004, 109, 1745–1749. [Google Scholar] [CrossRef]
- Murdoch, D.R.; Corey, G.R.; Hoen, B.; Miró, J.M.; Fowler, V.G.; Bayer, A.S.; Karchmer, A.W.; Olaison, L.; Pappas, P.A.; Moreillon, P.; et al. Clinical presentation, etiology, and outcome of infective endocarditis in the 21st century the international collaboration on Endocarditis-prospective cohort study. Arch. Intern. Med. 2009, 169, 463–473. [Google Scholar] [CrossRef]
- Selton-Suty, C.; Célard, M.; Le Moing, V.; Doco-Lecompte, T.; Chirouze, C.; Iung, B.; Strady, C.; Revest, M.; Vandenesch, F.; Bouvet, A.; et al. Preeminence of staphylococcus aureus in infective endocarditis: A 1-year population-based survey. Clin. Infect. Dis. 2012, 54, 1230–1239. [Google Scholar] [CrossRef]
- Sękowska, A. Raoultella spp.—Clinical significance, infections and susceptibility to antibiotics. Folia Microbiol. 2017, 62, 221–227. [Google Scholar] [CrossRef]
- Lam, P.W.; Salit, I.E. Raoultella planticola bacteremia following consumption of seafood. Can. J. Infect. Dis. Med. Microbiol. 2014, 25, 221–227. [Google Scholar] [CrossRef]
- Ershadi, A.; Weiss, E.; Verduzco, E.; Chia, D.; Sadigh, M. Emerging pathogen: A case and review of Raoultella planticola. Infection 2014, 42, 1043–1046. [Google Scholar] [CrossRef] [PubMed]
- Appel, T.M.; Quijano-Martínez, N.; De La Cadena, E.; Mojica, M.F.; Villegas, M.V. Microbiological and Clinical Aspects of Raoultella spp. Front. Public Health 2021, 9, 686789. [Google Scholar] [CrossRef] [PubMed]
- Monnet, D.; Freney, J.; Brun, Y.; Boeufgras, J.M.; Fleurette, J. Difficulties in Identifying Klebsiella Strains of Clinical Origin. Zentralblatt Bakteriol. 1991, 274, 456–464. [Google Scholar] [CrossRef]
- Tseng, S.P.; Wang, J.T.; Liang, C.Y.; Lee, P.S.; Chen, Y.C.; Lu, P.L. First report of blaIMP-8 in Raoultella planticola. Antimicrob. Agents Chemother. 2014, 58, 593–595. [Google Scholar] [CrossRef] [PubMed]
- Castanheira, M.; Deshpande, L.M.; DiPersio, J.R.; Kang, J.; Weinstein, M.P.; Jones, R.N. First descriptions of blaKPC in Raoultella spp. (R. planticola and R. ornithinolytica): Report from the SENTRY antimicrobial surveillance program. J. Clin. Microbiol. 2009, 47, 4129–4130. [Google Scholar] [CrossRef]
- Demiray, T.; Koroglu, M.; Ozbek, A.; Altindis, M. A rare cause of infection, Raoultella planticola: Emerging threat and new reservoir for carbapenem resistance. Infection 2016, 44, 713–717. [Google Scholar] [CrossRef]
- Rodríguez-López, J.M.; Iglesias-González, J.L.; Lozano-Sánchez, F.S.; Palomero-Rodríguez M, Á.; Sánchez-Conde, P. Inflammatory Response, Immunosuppression and Arginase Activity after Cardiac Surgery Using Cardiopulmonary Bypass. J. Clin. Med. 2022, 11, 4187. [Google Scholar] [CrossRef]
- Rastan, A.J.; Bittner, H.B.; Gummert, J.F.; Walther, T.; Schewick, C.V.; Girdauskas, E.; Mohr, F.W. On-pump beating heart versus off-pump coronary artery bypass surgery—Evidence of pump-induced myocardial injury. Eur. J. Cardio-Thoracic Surg. 2005, 27, 1057–1064. [Google Scholar] [CrossRef]
- Nesher, N.; Frolkis, I.; Vardi, M.; Sheinberg, N.; Bakir, I.; Caselman, F.; Pevni, D.; Ben-Gal, Y.; Sharony, R.; Bolotin, G.; et al. Higher levels of serum cytokines and myocardial tissue markers during on-pump versus off-pump coronary artery bypass surgery. J. Card. Surg. 2006, 21, 395–402. [Google Scholar] [CrossRef]
- Serrano, C.V., Jr.; Souza, J.A.; Lopes, N.H.; Fernandes, J.L.; Nicolau, J.C.; Blotta, M.H.; Ramires, J.A.; Hueb, W.A. Reduced expression of systemic proinflammatory and myocardial biomarkers after off-pump versus on-pump coronary artery bypass surgery: A prospective randomized study. J. Crit. Care 2010, 25, 305–312. [Google Scholar] [CrossRef]
- AlSweed, A.; Alghamdi, A.; Tufenkeji, H.; Al-Hajjar, S. The first case of Raoultella planticola infective endocarditis in a 4 year old child: A case report and review of literature. Int. J. Pediatr. Adolesc. Med. 2018, 5, 28–30. [Google Scholar] [CrossRef] [PubMed]
- Xiao, Z.; Di, L.; Li, L. Prosthetic Valve Infection Caused by Raoultella planticola after Mitral Valve Replacement Surgery in a Patient Undergoing Hemodialysis: A Case Report. Ann. Clin. Case Rep. 2022, 7, 2338. [Google Scholar]



| Laboratory Test | Results | Reference Range | ||
|---|---|---|---|---|
| Admission | Before Discharge | 6 Months Follow-Up | ||
| White blood cell count | 7060 | 6800 | 7000 | 3600–10,000/uL |
| Hemoglobin | 9.5 | 10.5 | 12.6 | 11–15 g/dL |
| Platelet count | 246,000 | 317,000 | 300,000 | 150,000–450,000/uL |
| C-reactive protein | 1.35 | 0.47 | 0.27 | 0–0.5 mg/dL |
| Fibrinogen | 514 | 380 | 350 | 30–400 mg/dL |
| Erythrocyte sedimentation rate | 60 | 30 | 15 | 5–17 mm/h |
Disclaimer/Publisher’s Note: The statements, opinions and data contained in all publications are solely those of the individual author(s) and contributor(s) and not of MDPI and/or the editor(s). MDPI and/or the editor(s) disclaim responsibility for any injury to people or property resulting from any ideas, methods, instructions or products referred to in the content. |
© 2023 by the authors. Licensee MDPI, Basel, Switzerland. This article is an open access article distributed under the terms and conditions of the Creative Commons Attribution (CC BY) license (https://creativecommons.org/licenses/by/4.0/).
Share and Cite
Opriș, D.R.; Vacariu, V.; Ion, A.P.; Szigyarto, T.; Arbănași, E.M.; Russu, E.; Opriș, M.M. Rare Case of Raoultella planticola Infective Endocarditis after Mitral Valve Replacement Surgery. Diseases 2023, 11, 133. https://doi.org/10.3390/diseases11040133
Opriș DR, Vacariu V, Ion AP, Szigyarto T, Arbănași EM, Russu E, Opriș MM. Rare Case of Raoultella planticola Infective Endocarditis after Mitral Valve Replacement Surgery. Diseases. 2023; 11(4):133. https://doi.org/10.3390/diseases11040133
Chicago/Turabian StyleOpriș, Diana Roxana, Victor Vacariu, Alexandru Petru Ion, Timea Szigyarto, Emil Marian Arbănași, Eliza Russu, and Maria Mihaela Opriș. 2023. "Rare Case of Raoultella planticola Infective Endocarditis after Mitral Valve Replacement Surgery" Diseases 11, no. 4: 133. https://doi.org/10.3390/diseases11040133
APA StyleOpriș, D. R., Vacariu, V., Ion, A. P., Szigyarto, T., Arbănași, E. M., Russu, E., & Opriș, M. M. (2023). Rare Case of Raoultella planticola Infective Endocarditis after Mitral Valve Replacement Surgery. Diseases, 11(4), 133. https://doi.org/10.3390/diseases11040133

