Case Report: Two Case Reports of Pulmonary Hypertension after mRNA COVID-19 Vaccination
Abstract
:1. Introduction
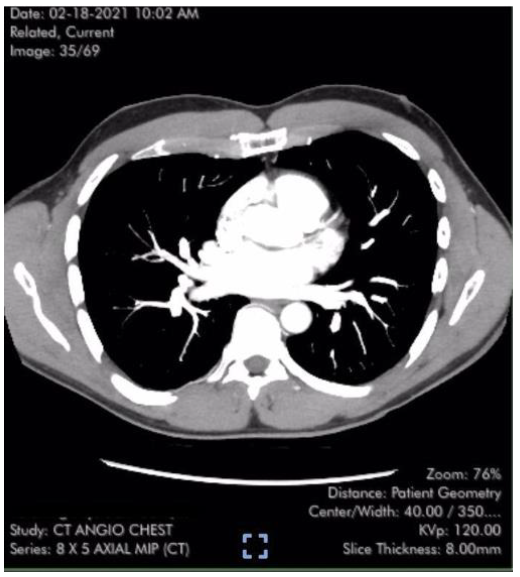
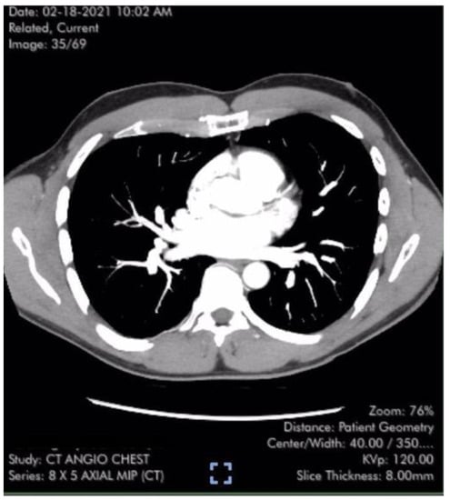
2. Case Description
3. Discussion
4. Conclusions
Author Contributions
Funding
Institutional Review Board Statement
Informed Consent Statement
Data Availability Statement
Conflicts of Interest
References
- Suzuki, Y.J.; Nikolaienko, S.I.; Dibrova, V.A.; Dibrova, Y.V.; Vasylyk, V.M.; Novikov, M.Y.; Shults, N.V.; Gychka, S.G. SARS-CoV-2 spike protein-mediated cell signaling in lung vascular cells. Vascul. Pharmacol. 2021, 137, 106823. [Google Scholar] [CrossRef]
- Oktaviono, Y.H.; Mulia, E.P.B.; Luke, K.; Nugraha, D.; Maghfirah, I.; Subagjo, A. Right ventricular dysfunction and pulmonary hypertension in COVID-19: A meta-analysis of prevalence and its association with clinical outcome. Arch. Med. Sci. 2022, 18, 1169–1180. [Google Scholar] [CrossRef]
- Norderfeldt, J.; Liliequist, A.; Frostell, C.; Adding, C.; Agvald, P.; Eriksson, M.; Lönnqvist, P.A. Acute pulmonary hypertension and short-term outcomes in severe COVID-19 patients needing intensive care. Acta Anaesthesiol. Scand. 2021, 65, 761–769. [Google Scholar] [CrossRef]
- Rossi, R.; Coppi, F.; Monopoli, D.E.; Sgura, F.A.; Arrotti, S.; Boriani, G. Pulmonary arterial hypertension and right ventricular systolic dysfunction in COVID-19 survivors. Cardiol. J. 2022, 29, 163–165. [Google Scholar] [CrossRef]
- Suresh, S.J.; Suzuki, Y.J. SARS-CoV-2 spike protein and lung vascular cells. J. Respir. 2021, 1, 40–48. [Google Scholar] [CrossRef]
- Moore, A.J.E.; Wachsmann, J.; Chamarthy, M.R.; Panjikaran, L.; Tanabe, Y.; Rajiah, P. Imaging of acute pulmonary embolism: An update. Cardiovasc. Diagn. Ther. 2018, 8, 225–243. [Google Scholar] [CrossRef]
- Wiener, R.S.; Schwartz, L.M.; Woloshin, S. When a test is too good: How CT pulmonary angiograms find pulmonary emboli that do not need to be found. BMJ 2013, 347, f3368. [Google Scholar] [CrossRef]
- Synn, A.J.; Li, W.; Estépar, R.S.J.; Washko, G.R.; O’Connor, G.T.; Tsao, C.W.; Mittleman, M.A.; Rice, M.B. Pulmonary vascular pruning on computed tomography and risk of death in the Framingham Heart Study. Am. J. Respir. Crit. Care Med. 2021, 203, 251–254. [Google Scholar] [CrossRef]
- Pahuja, M.; Burkhoff, D. Right ventricular afterload sensitivity has been on my mind. Circ. Heart Fail. 2019, 12, e006345. [Google Scholar] [CrossRef]
- Bryce, Y.C.; Perez-Johnston, R.; Bryce, E.B.; Homayoon, B.; Santos-Martin, E.G. Pathophysiology of right ventricular failure in acute pulmonary embolism and chronic thromboembolic pulmonary hypertension: A pictorial essay for the interventional radiologist. Insights Imaging 2019, 10, 18. [Google Scholar] [CrossRef]
- Foroulis, C.N.; Kotoulas, C.S.; Kakouros, S.; Evangelatos, G.; Chassapis, C.; Konstantinou, M.; Lioulias, A.G. Study on the late effect of pneumonectomy on right heart pressures using Doppler echocardiography. Eur. J. Cardiothorac. Surg. 2004, 26, 508–514. [Google Scholar] [CrossRef]
- Sayer, G.; Semigran, M.J. Acute and chronic right ventricular failure. Heart Fail. 2017, 22, 65–84. [Google Scholar]
- McIntyre, K.M.; Sasahara, A.A. The hemodynamic response to pulmonary embolism in patients without prior cardiopulmonary disease. Am. J. Cardiol. 1971, 28, 288–294. [Google Scholar] [CrossRef]
- Venkateshvaran, A.; Seidova, N.; Tureli, H.O.; Kjellström, B.; Lund, L.H.; Tossavainen, E.; Lindquist, P. Accuracy of echocardiographic estimates of pulmonary artery pressures in pulmonary hypertension: Insights from the KARUM hemodynamic database. Int. J. Cardiovasc. Imaging 2021, 37, 2637–2645. [Google Scholar] [CrossRef]
- Currie, P.J.; Seward, J.B.; Chan, K.L.; Fyfe, D.A.; Hagler, D.J.; Mair, D.D.; Reeder, G.S.; Nishimura, R.A.; Tajik, A.J. Continuous wave Doppler determination of right ventricular pressure: A simultaneous Doppler-catheterization study in 127 patients. J. Am. Coll. Cardiol. 1985, 6, 750–756. [Google Scholar] [CrossRef]
- Parasuraman, S.; Walker, S.; Loudon, B.L.; Gollop, N.D.; Wilson, A.M.; Lowery, C.; Frenneaux, M.P. Assessment of pulmonary artery pressure by echocardiography—A comprehensive review. Int. J. Cardiol. Heart Vasc. 2016, 12, 45–51. [Google Scholar] [CrossRef]
- Costa, G.O.S.; Ramos, R.P.; Oliveira, R.K.F.; Cepêda, A.; Vieira, E.B.; Ivanaga, I.T.; Ferreira, E.V.; Ota-Arakaki, J.S. Prognostic value of six-minute walk distance at a South American pulmonary hypertension referral center. Pulm. Circ. 2020, 10, 2045894019888422. [Google Scholar] [CrossRef]
- Casserly, B.; Klinger, J.R. Brain natriuretic peptide in pulmonary arterial hypertension: Biomarker and potential therapeutic agent. Drug Des. Devel. Ther. 2009, 3, 269–287. [Google Scholar]
- Frantz, R.P.; Farber, H.W.; Badesch, D.B.; Elliott, C.G.; Frost, A.E.; McGoon, M.D.; Zhao, C.; Mink, D.R.; Selej, M.; Benza, R.L. Baseline and serial brain natriuretic peptide level predicts 5-year overall survival in patients with pulmonary arterial hypertension. Data from the REVEAL Registry. Chest 2018, 154, 126–135. [Google Scholar] [CrossRef]
- Kopeć, G.; Waligóra, M.; Tyrka, A.; Jonas, K.; Pencina, M.J.; Zdrojewski, T.; Moertl, D.; Stokwiszewski, J.; Zagożdżon, P.; Podolec, P. Low-density lipoprotein cholesterol and survival in pulmonary arterial hypertension. Sci. Rep. 2017, 7, 41650. [Google Scholar] [CrossRef]
- Nakagawa, A.; Nakamura, N.; Torii, S.; Goto, S. Acute pulmonary hypertension due to microthrombus formation following COVID-19 vaccination: A case report. Eur. Heart J. Case Rep. 2023, 7, ytad353. [Google Scholar] [CrossRef] [PubMed]
- Suzuki, Y.J.; Gychka, S.G. SARS-CoV-2 spike protein elicits cell signaling in human host cells: Implications for possible consequences of COVID-19 vaccines. Vaccines 2021, 9, 36. [Google Scholar] [CrossRef] [PubMed]
- Lei, Y.; Zhang, J.; Schiavon, C.R.; He, M.; Chen, L.; Shen, H.; Zhang, Y.; Yin, Q.; Cho, Y.; Andrade, L.; et al. SARS-CoV-2 Spike Protein Impairs Endothelial Function via Downregulation of ACE 2. Circ. Res. 2021, 128, 1323–1326. [Google Scholar] [CrossRef] [PubMed]
- Trougakos, I.P.; Terpos, E.; Alexopoulos, H.; Politou, M.; Paraskevis, D.; Scorilas, A.; Kastritis, E.; Andreakos, E.; Dimopoulos, M.A. Adverse effects of COVID-19 mRNA vaccines: The spike hypothesis. Trends Mol. Med. 2022, 28, 542–554. [Google Scholar] [CrossRef] [PubMed]
- Parry, P.I.; Lefringhausen, A.; Turni, C.; Neil, C.J.; Cosford, R.; Hudson, N.J.; Gillespie, J. ‘Spikeopathy’: COVID-19 spike protein is pathogenic, from both virus and vaccine mRNA. Biomedicines 2023, 11, 2287. [Google Scholar] [CrossRef]

| Date | TRVmax (m/s) | RVSP (mmHg) | 
|---|---|---|
| 16 February 2021 | 3.09 | 42 | 
| 24 February 2021 | 3.1 | 42 | 
| 18 March 2021 | 3.0 | 39 | 
| 21 April 2021 | 2.9 | 38 | 
| 17 June 2021 | 3.1 | 42 | 
| 15 February 2022 | 3.2 | 45 | 
| Date | TRVmax (m/s) | RVSP (mmHg) | 
|---|---|---|
| September 2021 | 2.82 | 40 | 
| December 2021 | 3.22 | 46 | 
| July 2022 | 3.22 | 49 | 
| Case #1 | Case #2 | |
|---|---|---|
| Gender | Male | Male | 
| Age (yr) | 49 | 56 | 
| BMI | 23 | 25 | 
| Smoking | No | No | 
| Vaccine | BNT162b2 | BNT162b2 | 
| Vaccine Date (Dose 1) | December 2020 | April 2021 | 
| Vaccine Date (Dose 2) | January 2021 | April 2021 | 
| Onset of Symptoms | ~21 days after Dose 2 | 12 days after Dose 2 | 
| SARS-CoV-2 PCR Test | Negative | Negative | 
| TRVmax (m/s) | 2.9–3.2 | 2.8–3.2 | 
| Estimated RVSP (mmHg) | 38–45 | 40–49 | 
| BNP (pg/mL) | 22 | 99 | 
| Evidence of Pulmonary Clots | None | None | 
| NYHA Class | 3–4 | 2 | 
| Disclaimer/Publisher’s Note: The statements, opinions and data contained in all publications are solely those of the individual author(s) and contributor(s) and not of MDPI and/or the editor(s). MDPI and/or the editor(s) disclaim responsibility for any injury to people or property resulting from any ideas, methods, instructions or products referred to in the content. | 
© 2023 by the authors. Licensee MDPI, Basel, Switzerland. This article is an open access article distributed under the terms and conditions of the Creative Commons Attribution (CC BY) license (https://creativecommons.org/licenses/by/4.0/).
Share and Cite
Sullivan, R.D.; Shults, N.V.; Suzuki, Y.J. Case Report: Two Case Reports of Pulmonary Hypertension after mRNA COVID-19 Vaccination. Diseases 2023, 11, 114. https://doi.org/10.3390/diseases11030114
Sullivan RD, Shults NV, Suzuki YJ. Case Report: Two Case Reports of Pulmonary Hypertension after mRNA COVID-19 Vaccination. Diseases. 2023; 11(3):114. https://doi.org/10.3390/diseases11030114
Chicago/Turabian StyleSullivan, Robert D., Nataliia V. Shults, and Yuichiro J. Suzuki. 2023. "Case Report: Two Case Reports of Pulmonary Hypertension after mRNA COVID-19 Vaccination" Diseases 11, no. 3: 114. https://doi.org/10.3390/diseases11030114
APA StyleSullivan, R. D., Shults, N. V., & Suzuki, Y. J. (2023). Case Report: Two Case Reports of Pulmonary Hypertension after mRNA COVID-19 Vaccination. Diseases, 11(3), 114. https://doi.org/10.3390/diseases11030114
 
        

 
       