Durable Response after Repeat Cytoreductive Surgery (CRS) and Hyperthermic Intraperitoneal Chemotherapy (HIPEC) in a Patient with Extensive Mucinous Adenocarcinoma of the Appendix
Abstract
1. Introduction
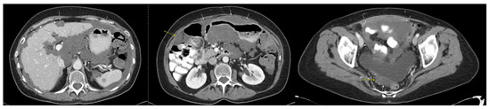
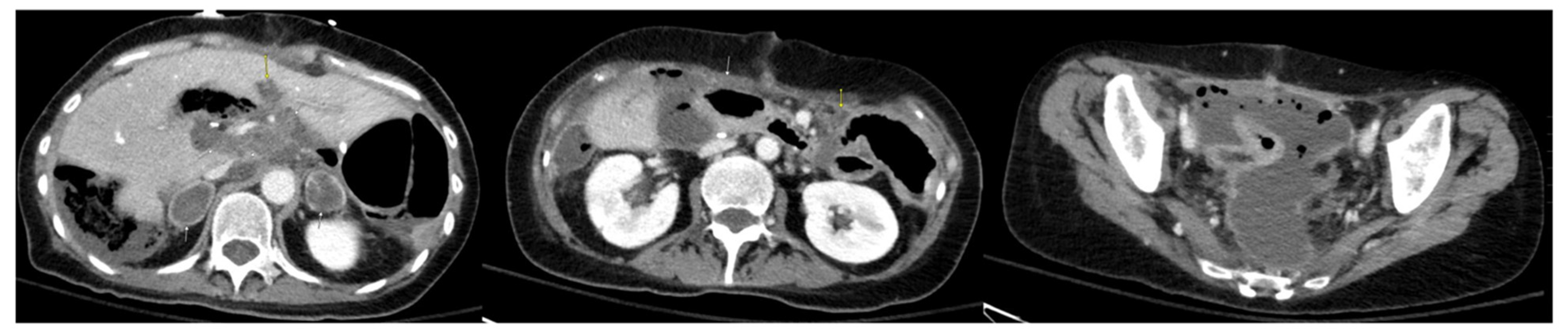
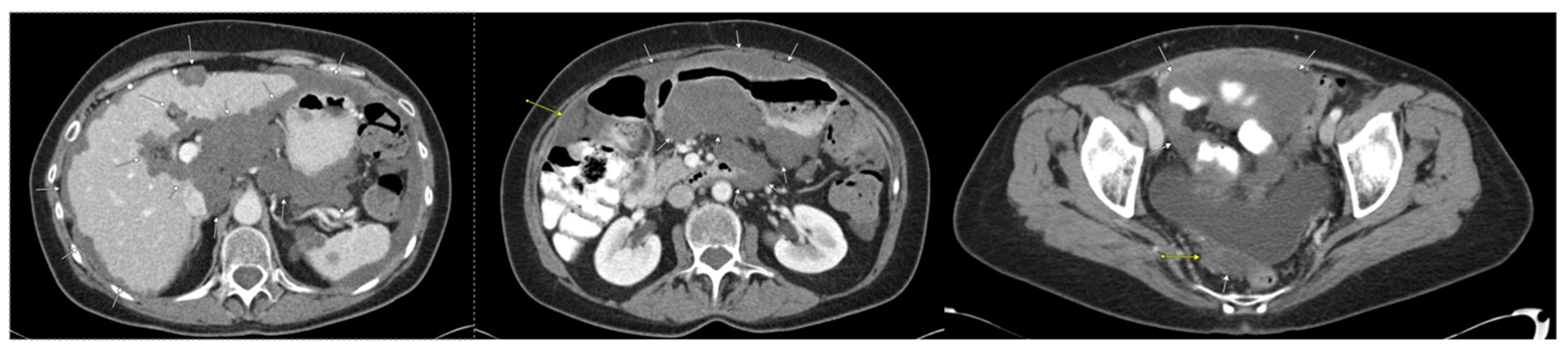
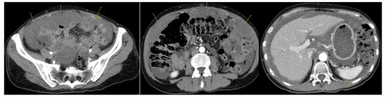
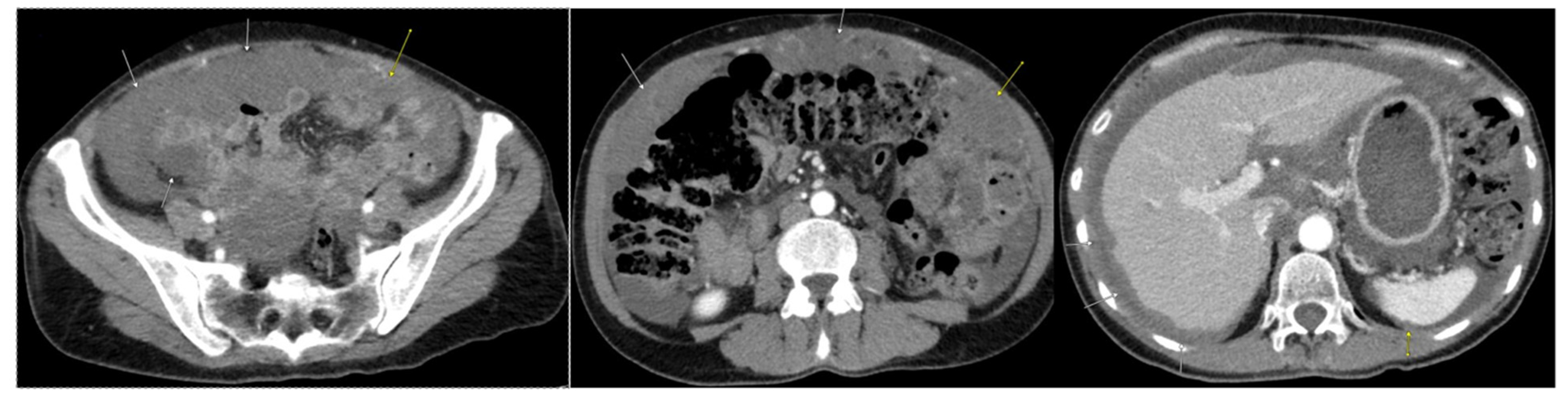
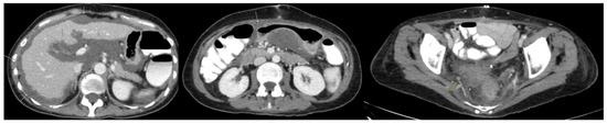
2. Case
3. Discussion
4. Conclusions
Author Contributions
Funding
Institutional Review Board Statement
Informed Consent Statement
Data Availability Statement
Conflicts of Interest
References
- Chen, W.; Ye, J.W.; Tan, X.P.; Peng, X.; Zhang, Y.; Liang, J.L.; Huang, M.J. A case report of appendix mucinous adenocarcinoma that recurred after additional surgery and a brief literature review. BMC Surg. 2020, 20, 182. [Google Scholar] [CrossRef]
- Xie, G.D.; Liu, Y.R.; Jiang, Y.Z.; Shao, Z.M. Epidemiology and survival outcomes of mucinous adenocarcinomas: A SEER population-based study. Sci. Rep. 2018, 8, 6117. [Google Scholar] [CrossRef]
- Lu, P.; Fields, A.C.; Meyerhardt, J.A.; Davids, J.S.; Shabat, G.; Bleday, R.; Goldberg, J.E.; Nash, G.M.; Melnitchouk, N. Systemic chemotherapy and survival in patients with metastatic low-grade appendiceal mucinous adenocarcinoma. J. Surg. Oncol. 2019, 120, 446–451. [Google Scholar] [CrossRef]
- Davison, J.M.; Choudry, H.A.; Pingpank, J.F.; Ahrendt, S.A.; Holtzman, M.P.; Zureikat, A.H.; Zeh, H.J.; Ramalingam, L.; Zhu, B.; Nikiforova, M.; et al. Clinicopathologic and molecular analysis of disseminated appendiceal mucinous neoplasms: Identification of factors predicting survival and proposed criteria for a three-tiered assessment of tumor grade. Mod. Pathol. 2014, 27, 1521–1539. [Google Scholar] [CrossRef]
- Choudry, H.A.; Pai, R.K. Management of Mucinous Appendiceal Tumors. Ann. Surg. Oncol. 2018, 25, 2135–2144. [Google Scholar] [CrossRef]
- Blackham, A.U.; Swett, K.; Eng, C.; Sirintrapun, J.; Bergman, S.; Geisinger, K.R.; Votanopoulos, K.; Stewart, J.H.; Shen, P.; Levine, E.A. Perioperative systemic chemotherapy for appendiceal mucinous carcinoma peritonei treated with cytoreductive surgery and hyperthermic intraperitoneal chemotherapy. J. Surg. Oncol. 2014, 109, 740–745. [Google Scholar] [CrossRef]
- Hechtman, J.; Bahary, N. Current Management of Appendiceal Neoplasms. Am. Soc. Clin. Oncol. Educ. Book 2021, 41, 118–132. [Google Scholar]
- Misdraji, J. Mucinous epithelial neoplasms of the appendix and pseudomyxoma peritonei. Mod. Pathol. 2015, 28 (Suppl. S1), S67–S79. [Google Scholar] [CrossRef]
- Gonzalez-Moreno, S.; Sugarbaker, P.H. Right hemicolectomy does not confer a survival advantage in patients with mucinous carcinoma of the appendix and peritoneal seeding. Br. J. Surg. 2004, 91, 304–311. [Google Scholar] [CrossRef]
- Smeenk, R.M.; Verwaal, V.J.; Antonini, N.; Zoetmulder, F.A. Survival analysis of pseudomyxoma peritonei patients treated by cytoreductive surgery and hyperthermic intraperitoneal chemotherapy. Ann. Surg. 2007, 245, 104–109. [Google Scholar] [CrossRef]
- Elias, D.; Gilly, F.; Quenet, F.; Bereder, J.M.; Sidéris, L.; Mansvelt, B.; Lorimier, G.; Glehen, O.; Association Française de Chirurgie. Pseudomyxoma peritonei: A French multicentric study of 301 patients treated with cytoreductive surgery and intraperitoneal chemotherapy. Eur. J. Surg. Oncol. 2010, 36, 456–462. [Google Scholar] [CrossRef]
- Gough, D.B.; Donohue, J.H.; Schutt, A.J.; Gonchoroff, N.; Goellner, J.R.; Wilson, T.O.; Naessens, J.M.; O’Brien, P.C.; Van Heerden, J.A. Pseudomyxoma peritonei. Long-term patient survival with an aggressive regional approach. Ann. Surg. 1994, 219, 112–119. [Google Scholar] [CrossRef]
- Votanopoulos, K.I. Repeat CRS/HIPEC: It Comes Down to Tumor Biology and Ability to Achieve a Complete CRS. Ann. Surg. Oncol. 2022, 29, 3366–3368. [Google Scholar] [CrossRef]
- Esquivel, J.; Sugarbaker, P.H. Second-look surgery in patients with peritoneal dissemination from appendiceal malignancy: Analysis of prognostic factors in 98 patients. Ann. Surg. 2001, 234, 198–205. [Google Scholar] [CrossRef]
- Lopez-Ramirez, F.; Gushchin, V.; Sittig, M.; King, M.C.; Baron, E.; Nikiforchin, A.; Nieroda, C.; Sardi, A. Iterative Cytoreduction and Hyperthermic Intraperitoneal Chemotherapy for Recurrent Mucinous Adenocarcinoma of the Appendix. Ann. Surg. Oncol. 2022, 29, 3390–3401. [Google Scholar] [CrossRef]
- Hugen, N.; Brown, G.; Glynne-Jones, R.; de Wilt, J.H.; Nagtegaal, I.D. Advances in the care of patients with mucinous colorectal cancer. Nat. Rev. Clin. Oncol. 2016, 13, 361–369. [Google Scholar] [CrossRef]
- Passot, G.; Bakrin, N.; Roux, A.S.; Vaudoyer, D.; Gilly, F.N.; Glehen, O.; Cotte, E. Quality of life after cytoreductive surgery plus hyperthermic intraperitoneal chemotherapy: A prospective study of 216 patients. Eur. J. Surg. Oncol. 2014, 40, 529–535. [Google Scholar] [CrossRef]
- McQuellon, R.P.; Loggie, B.W.; Fleming, R.A.; Russell, G.B.; Lehman, A.B.; Rambo, T.D. Quality of life after intraperitoneal hyperthermic chemotherapy (IPHC) for peritoneal carcinomatosis. Eur. J. Surg. Oncol. 2001, 27, 65–73. [Google Scholar] [CrossRef]
- Macrì, A.; Maugeri, I.; Trimarchi, G.; Caminiti, R.; Saffioti, M.C.; Incardona, S.; Sinardi, A.; Irato, S.; Altavilla, G.; Adamo, V.; et al. Evaluation of quality of life of patients submitted to cytoreductive surgery and hyperthermic intraperitoneal chemotherapy for peritoneal carcinosis of gastrointestinal and ovarian origin and identification of factors influencing outcome. In Vivo 2009, 23, 147–150. [Google Scholar]
- Alves, S.; Mohamed, F.; Yadegarfar, G.; Youssef, H.; Moran, B.J. Prospective longitudinal study of quality of life following cytoreductive surgery and intraperitoneal chemotherapy for pseudomyxoma peritonei. Eur. J. Surg. Oncol. 2010, 36, 1156–1161. [Google Scholar] [CrossRef]
- Lim, C.; Tordjmann, D.; Gornet, J.M.; Nemeth, J.; Valleur, P.; Pocard, M. Prospective study of quality of life after cytoreductive surgery and hyperthermic intraperitoneal chemotherapy using oxaliplatin for peritoneal carcinomatosis. Bull. Cancer 2010, 97, 1053–1060. [Google Scholar] [CrossRef]
- Chia, C.S.; Tan, W.J.; Wong, J.S.; Tan, G.C.; Lim, C.; Wang, W.; Tham, C.K.; Soo, K.C.; Teo, M.C. Quality of life in patients with peritoneal surface malignancies after cytoreductive surgery and hyperthermic intraperitoneal chemotherapy. Eur. J. Surg. Oncol. 2014, 40, 909–916. [Google Scholar] [CrossRef]
- Tan, W.J.; Wong, J.F.; Chia, C.S.; Tan, G.H.; Soo, K.C.; Teo, M.C. Quality of life after cytoreductive surgery and hyperthermic intraperitoneal chemotherapy: An Asian perspective. Ann. Surg. Oncol. 2013, 20, 4219–4223. [Google Scholar] [CrossRef]
- Tun, S.; Eng, O.S.; Malec, M. Health-Related Quality of Life After Cytoreductive Surgery/HIPEC for Mucinous Appendiceal Cancer: Results of a Multicenter Randomized Trial Comparing Oxaliplatin and Mitomycin. Ann. Surg. Oncol. 2020, 27, 630–631. [Google Scholar] [CrossRef]
- Glockzin, G.; Schlitt, H.J.; Piso, P. Peritoneal carcinomatosis: Patients selection, perioperative complications and quality of life related to cytoreductive surgery and hyperthermic intraperitoneal chemotherapy. World J. Surg. Oncol. 2009, 7, 5. [Google Scholar] [CrossRef]
- Ashvin, R.; Nikhilesh, J. Preoperative Preparation and Patient Selection for Cytoreductive Surgery and HIPEC. Indian J. Surg. Oncol. 2016, 7, 208–214. [Google Scholar] [CrossRef]
- Naumann, F.; Martin, E.; Philpott, M.; Smith, C.; Groff, D.; Battaglini, C. Can counseling add value to an exercise intervention for improving quality of life in breast cancer survivors? A feasibility study. J. Support. Oncol. 2012, 10, 188–194. [Google Scholar] [CrossRef]
- Cheng, K.K.; Lim, Y.T.; Koh, Z.M.; San Tam, W.W. Home-based multidimensional survivorship programmes for breast cancer survivors. Cochrane Database Syst. Rev. 2017, 8, CD011152. [Google Scholar] [CrossRef]
- Gao, Q.; Li, H.; Zou, Y.; Hou, B.; Liu, L. Effectiveness of a comprehensive post-operative health education program in improving quality of life after gastric cancer surgery. Ann. Palliat. Med. 2020, 9, 921–926. [Google Scholar] [CrossRef]
- Wu, Z.; Li, Z.; Ji, J. Morbidity and mortality of cytoreductive surgery with hyperthermic intraperitoneal chemotherapy in advanced gastric cancer. Transl. Gastroenterol. Hepatol. 2016, 1, 63. [Google Scholar] [CrossRef]
- Newton, A.D.; Bartlett, E.K.; Karakousis, G.C. Cytoreductive surgery and hyperthermic intraperitoneal chemotherapy: A review of factors contributing to morbidity and mortality. J. Gastrointest. Oncol. 2016, 7, 99–111. [Google Scholar] [CrossRef]
- Smeenk, R.M.; Verwaal, V.J.; Zoetmulder, F.A. Learning curve of combined modality treatment in peritoneal surface disease. Br. J. Surg. 2007, 94, 1408–1414. [Google Scholar] [CrossRef]
- Turrini, O.; Lambaudie, E.; Faucher, M.; Viret, F.; Blache, J.L.; Houvenaeghel, G.; Delpero, J.R. Initial experience with hyperthermic intraperitoneal chemotherapy. Arch. Surg. 2012, 147, 919–923. [Google Scholar] [CrossRef]
- Chua, T.C.; Yan, T.D.; Smigielski, M.E.; Zhu, K.J.; Ng, K.M.; Zhao, J.; Morris, D.L. Long-term survival in patients with pseudomyxoma peritonei treated with cytoreductive surgery and perioperative intraperitoneal chemotherapy: 10 years of experience from a single institution. Ann. Surg. Oncol. 2009, 16, 1903–1911. [Google Scholar] [CrossRef]





Disclaimer/Publisher’s Note: The statements, opinions and data contained in all publications are solely those of the individual author(s) and contributor(s) and not of MDPI and/or the editor(s). MDPI and/or the editor(s) disclaim responsibility for any injury to people or property resulting from any ideas, methods, instructions or products referred to in the content. |
© 2023 by the authors. Licensee MDPI, Basel, Switzerland. This article is an open access article distributed under the terms and conditions of the Creative Commons Attribution (CC BY) license (https://creativecommons.org/licenses/by/4.0/).
Share and Cite
Kaakour, D.; Ward, G.; Senthil, M.; Dayyani, F. Durable Response after Repeat Cytoreductive Surgery (CRS) and Hyperthermic Intraperitoneal Chemotherapy (HIPEC) in a Patient with Extensive Mucinous Adenocarcinoma of the Appendix. Diseases 2023, 11, 60. https://doi.org/10.3390/diseases11020060
Kaakour D, Ward G, Senthil M, Dayyani F. Durable Response after Repeat Cytoreductive Surgery (CRS) and Hyperthermic Intraperitoneal Chemotherapy (HIPEC) in a Patient with Extensive Mucinous Adenocarcinoma of the Appendix. Diseases. 2023; 11(2):60. https://doi.org/10.3390/diseases11020060
Chicago/Turabian StyleKaakour, Dalia, Garrett Ward, Maheswari Senthil, and Farshid Dayyani. 2023. "Durable Response after Repeat Cytoreductive Surgery (CRS) and Hyperthermic Intraperitoneal Chemotherapy (HIPEC) in a Patient with Extensive Mucinous Adenocarcinoma of the Appendix" Diseases 11, no. 2: 60. https://doi.org/10.3390/diseases11020060
APA StyleKaakour, D., Ward, G., Senthil, M., & Dayyani, F. (2023). Durable Response after Repeat Cytoreductive Surgery (CRS) and Hyperthermic Intraperitoneal Chemotherapy (HIPEC) in a Patient with Extensive Mucinous Adenocarcinoma of the Appendix. Diseases, 11(2), 60. https://doi.org/10.3390/diseases11020060

