A Fast and Efficient Semi-Unsupervised Segmentation and Feature-Extraction Methodology for Artificial Intelligence and Radiomics Applications: A Preliminary Study Applied to Glioblastoma
Abstract
1. Introduction
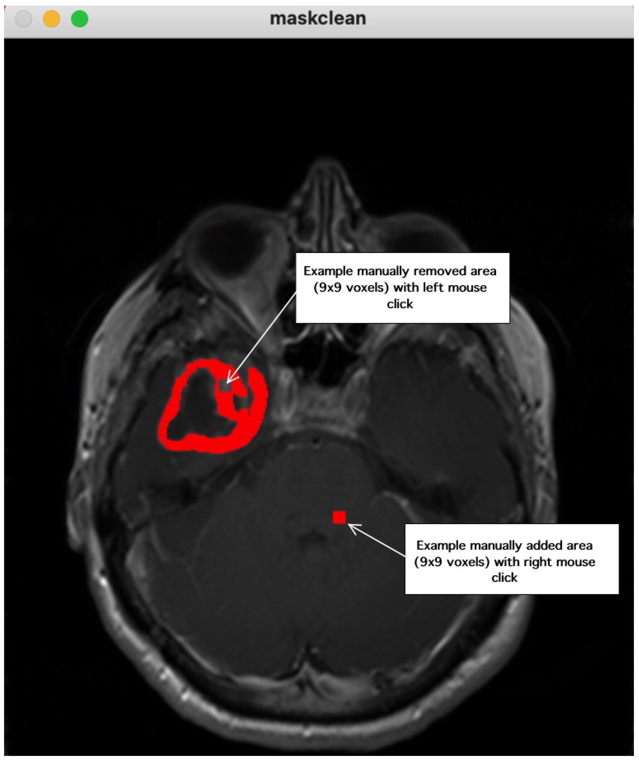
2. Method Description
3. Database Description
4. Experimental Assessment
5. Conclusions
Author Contributions
Funding
Data Availability Statement
Acknowledgments
Conflicts of Interest
References
- Bauer, S.; Wiest, R.; Nolte, L.-P.; Reyes, M. A survey of MRI-based medical image analysis for brain tumor studies. Phys. Med. Biol. 2013, 58, R97. [Google Scholar] [CrossRef] [PubMed]
- Isin, A.; Direkoglu, C.; Şah, M. Review of MRI-based brain tumor image segmentation using deep learning methods. Procedia Comput. Sci. 2016, 102, 317–324. [Google Scholar] [CrossRef]
- Mukherjee, S.; Osuna, E.; Girosi, F. Nonlinear prediction of chaotic time series using support vector machines. In Proceedings of the Neural Networks for Signal Processing VII. Proceedings of the 1997 IEEE Signal Processing Society Workshop, Amelia Island, FL, USA, 24–26 September 1997; pp. 511–520. [Google Scholar] [CrossRef]
- Tan, Y.; Wang, J. A support vector machine with a hybrid kernel and minimal Vapnik-Chervonenkis dimension. IEEE Trans. Knowl. Data Eng. 2004, 16, 385–395. [Google Scholar] [CrossRef]
- Donelli, M.; Benedetti, M.; Rocca, P.; Melgani, F.; Massa, A. Three dimensional electromagnetic sub-surface sensing by means of a multi-step SVM-based classification technique. In Proceedings of the 2007 IEEE Antennas and Propagation Society International Symposium, Honolulu, HI, USA, 9–15 June 2007; pp. 1801–1804. [Google Scholar] [CrossRef]
- Rocca, P.; Viani, F.; Donelli, M.; Benedetti, M.; Massa, A. An integration between SVM classifiers and multi-resolution techniques for early breast cancer detection. In Proceedings of the 2008 IEEE Antennas and Propagation Society International Symposium, San Diego, CA, USA, 5–11 July 2008; pp. 1–4. [Google Scholar] [CrossRef]
- Viani, F.; Meaney, P.; Rocca, P.; Azaro, R.; Donelli, M.; Oliveri, G.; Massa, A. Numerical validation and experimental results of a multi-resolution SVM-based classification procedure for breast imaging. In Proceedings of the 2009 IEEE Antennas and Propagation Society International Symposium, North Charleston, SC, USA, 1–5 June 2009; pp. 1–4. [Google Scholar] [CrossRef]
- Parihar, A.S. A Study on Brain Tumor Segmentation Using Convolution Neural Network. In Proceedings of the 2017 International Conference on Inventive Computing and Informatics (ICICI), Coimbatore, India, 23–24 November 2017; pp. 198–201. [Google Scholar]
- Hu, K.; Gan, Q.; Zhang, Y.; Deng, S.; Xiao, F.; Huang, W.; Cao, C.; Gao, X. Brain Tumor Segmentation Using Multi-Cascaded Convolutional Neural Networks and Conditional Random Field. IEEE Access 2019, 7, 92615–92629. [Google Scholar] [CrossRef]
- Raut, G.; Raut, A.; Bhagade, J.; Bhagade, J.; Gavhane, S. Deep Learning Approach for Brain Tumor Detection and Segmentation. In Proceedings of the 2020 International Conference on Convergence to Digital World—Quo Vadis (ICCDW), Mumbai, India, 18 February 2020; pp. 1–5. [Google Scholar]
- Sobhaninia, Z.; Rezaei, S.; Karimi, N.; Emami, A.; Samavi, S. Brain Tumor Segmentation by Cascaded Deep Neural Networks Using Multiple Image Scales. In Proceedings of the 2020 28th Iranian Conference on Electrical Engineering (ICEE), Tabriz, Iran, 4 August 2020; pp. 1–4. [Google Scholar]
- Wu, P.; Chang, Q. Brain Tumor Segmentation on Multimodal 3D-MRI Using Deep Learning Method. In Proceedings of the 2020 13th International Congress on Image and Signal Processing, BioMedical Engineering and Informatics (CISP-BMEI), Chengdu, China, 17 October 2020; pp. 635–639. [Google Scholar]
- Muhammad, K.; Khan, S.; Ser, J.D.; Albuquerque, V.H.C. de Deep Learning for Multigrade Brain Tumor Classification in Smart Healthcare Systems: A Prospective Survey. IEEE Trans. Neural Netw. Learning Syst. 2021, 32, 507–522. [Google Scholar] [CrossRef]
- Rastogi, D.; Johri, P.; Tiwari, V. Brain Tumor Segmentation and Tumor Prediction Using 2D-VNet Deep Learning Architecture. In Proceedings of the 2021 10th International Conference on System Modeling & Advancement in Research Trends (SMART), Moradabad, India, 10 December 2021; pp. 723–732. [Google Scholar]
- Karayegen, G.; Aksahin, M.F. Brain Tumor Prediction with Deep Learning and Tumor Volume Calculation. In Proceedings of the 2021 Medical Technologies Congress (TIPTEKNO), Antalya, Turkey, 4 November 2021; pp. 1–4. [Google Scholar]
- Hao, Q.; Pei, Y.; Zhou, R.; Sun, B.; Sun, J.; Li, S.; Kang, X. Fusing Multiple Deep Models for In Vivo Human Brain Hyperspectral Image Classification to Identify Glioblastoma Tumor. IEEE Trans. Instrum. Meas. 2021, 70, 1–14. [Google Scholar] [CrossRef]
- Huang, B.; Lin, X.; Shen, J.; Chen, X.; Chen, J.; Li, Z.-P.; Wang, M.; Yuan, C.; Diao, X.-F.; Luo, Y.; et al. Accurate and Feasible Deep Learning Based Semi-Automatic Segmentation in CT for Radiomics Analysis in Pancreatic Neuroendocrine Neoplasms. IEEE J. Biomed. Health Inform. 2021, 25, 3498–3506. [Google Scholar] [CrossRef] [PubMed]
- Peng, Z.; Wang, Y.; Wang, Y.; Jiang, S.; Fan, R.; Zhang, H.; Jiang, W. Application of Radiomics and Machine Learning in Head and Neck Cancers. Int. J. Biol. Sci. 2021, 17, 475–486. [Google Scholar] [CrossRef]
- Ottom, M.A.; Rahman, H.A.; Dinov, I.D. Znet: Deep Learning Approach for 2D MRI Brain Tumor Segmentation. IEEE J. Transl. Eng. Health Med. 2022, 10, 1–8. [Google Scholar] [CrossRef]
- Sekhar, A.; Biswas, S.; Hazra, R.; Sunaniya, A.K.; Mukherjee, A.; Yang, L. Brain Tumor Classification Using Fine-Tuned GoogLeNet Features and Machine Learning Algorithms: IoMT Enabled CAD System. IEEE J. Biomed. Health Inform. 2022, 26, 983–991. [Google Scholar] [CrossRef]
- Casale, R.; Lavrova, E.; Suleanu, S.; Woodruff, H.C.; Lambin, P. Development and external validation of a non-invasive molecular status predictor of chromosome 1p/19q co-deletion based on MRI radiomics analysis of Low Grade Glioma patients. Eur. J. Radiol. 2021, 139, 109678. [Google Scholar] [CrossRef] [PubMed]
- Pinto dos Santos, D.; Dietzel, M.; Baessler, B. A decade of radiomics research: Are images really data or just patterns in the noise? Eur. Radiol. 2021, 31, 1–4. [Google Scholar] [CrossRef] [PubMed]
- Upadhaya, T.; Vallieres, M.; Chatterjee, A.; Lucia, F.; Bonaffini, P.A.; Masson, I.; Mervoyer, A.; Reinhold, C.; Schick, U.; Seuntjens, J.; et al. Comparison of Radiomics Models Built Through Machine Learning in a Multicentric Context With Independent Testing: Identical Data, Similar Algorithms, Different Methodologies. IEEE Trans. Radiat. Plasma Med. Sci. 2019, 3, 192–200. [Google Scholar] [CrossRef]
- Chung, A.G.; Khalvati, F.; Shafiee, M.J.; Haider, M.A.; Wong, A. Prostate Cancer Detection via a Quantitative Radiomics-Driven Conditional Random Field Framework. IEEE Access 2015, 3, 2531–2541. [Google Scholar] [CrossRef]
- Altazi, B.A.; Zhang, G.G.; Fernandez, D.C.; Montejo, M.E.; Hunt, D.; Werner, J.; Biagioli, M.C.; Moros, E.G. Reproducibility of F18-FDG PET radiomic features for different cervical tumor segmentation methods, gray-level discretization, and reconstruction algorithms. J. Appl. Clin. Med. Phys. 2017, 18, 32–48. [Google Scholar] [CrossRef]
- Cui, X.; Che, F.; Wang, N.; Liu, X.; Zhu, Y.; Zhao, Y.; Bi, J.; Li, Z.; Zhang, G. Preoperative Prediction of Infection Stones Using Radiomics Features From Computed Tomography. IEEE Access 2019, 7, 122675–122683. [Google Scholar] [CrossRef]
- Germanese, D.; Mercatelli, L.; Colantonio, S.; Miele, V.; Pascali, M.A.; Caudai, C.; Zoppetti, N.; Carpi, R.; Barucci, A.; Bertelli, E.; et al. Radiomics to Predict Prostate CancerAggressiveness: A Preliminary Study. In Proceedings of the 2019 IEEE 19th International Conference on Bioinformatics and Bioengineering (BIBE), Athens, Greece, 28–30 October 2019; pp. 972–976. [Google Scholar] [CrossRef]
- Cheng, J.; Liu, J.; Yue, H.; Bai, H.; Pan, Y.; Wang, J. Prediction of Glioma Grade using Intratumoral and Peritumoral Radiomic Features from Multiparametric MRI Images. IEEE/ACM Trans. Comput. Biol. Bioinform. 2020, 19, 1084–1095. [Google Scholar] [CrossRef] [PubMed]
- Zheng, R.; Wang, Q.; Lv, S.; Li, C.; Wang, C.; Chen, W.; Wang, H. Automatic Liver Tumor Segmentation on Dynamic Contrast Enhanced MRI Using 4D Information: Deep Learning Model Based on 3D Convolution and Convolutional LSTM. IEEE Trans. Med. Imaging 2022, 41, 2965–2976. [Google Scholar] [CrossRef]
- Donelli, M.; Espa, G.; Feraco, P. A Semi-Unsupervised Segmentation Methodology Based on Texture Recognition for Radiomics: A Preliminary Study on Brain Tumours. Electronics 2022, 11, 1573. [Google Scholar] [CrossRef]
- Urbach, E.R.; Wilkinson, M.H.F. Efficient 2-D Gray-Scale Dilations and Erosions with Arbitrary Flat Structuring Elements. In Proceedings of the 2006 International Conference on Image Processing, Atlanta, GA, USA, 8–11 October 2006; pp. 1573–1576. [Google Scholar]
- Liu, J.; Wang, C. An Algorithm for Image Binarization Based on Adaptive Threshold. In Proceedings of the 2009 Chinese Control and Decision Conference, Guilin, China, 17–19 June 2009; pp. 3958–3962. [Google Scholar]
- Wu, J.; Ye, F.; Ma, J.; Sun, X.; Xu, J.; Cui, Z. The Segmentation and Visualization of Human Organs Based on Adaptive Region Growing Method. In Proceedings of the 2008 IEEE 8th International Conference on Computer and Information Technology Workshops, Sydney, QLD, Australia, 8–11 July 2008; pp. 439–443. [Google Scholar]
- Malarvel, M.; Sethumadhavan, G.; Bhagi, P.C.R.; Thangavel, S.; Krishnan, A. Region Growing Based Segmentation with Automatic Seed Selection Using Threshold Techniques on X-Radiography Images. In Proceedings of the 2016 IEEE International Conference on Computational Intelligence and Computing Research (ICCIC), Chennai, India, 15–17 December 2016; pp. 1–4. [Google Scholar]
- Saini, H.; Sahni, V. Region Growing Segmentation Using De-Noising Algorithm for Medical Ultrasound Images. In Proceedings of the 2017 3rd International Conference on Computational Intelligence & Communication Technology (CICT), Ghaziabad, India, 9–10 February 2017; pp. 1–5. [Google Scholar]
- Aldosari, H.; Saddik, B.; Al Kadi, K. Impact of Picture Archiving and Communication System (PACS) on Radiology Staff. Inform. Med. Unlocked 2018, 10, 1–16. [Google Scholar] [CrossRef]
- Oliva, S.Z.; Felipe, J.C. Optimizing Public Healthcare Management Through a Data Warehousing Analytical Framework. IFAC-PapersOnLine 2018, 51, 407–412. [Google Scholar] [CrossRef]
- Amara, N.; Lamouchi, O.; Gattoufi, S. Design of a Breast Image Data Warehouse Framework. In Proceedings of the 2020 International Multi-Conference on “Organization of Knowledge and Advanced Technologies” (OCTA), Tunis, Tunisia, 6–8 February 2020; pp. 1–13. [Google Scholar]
- Agustin, H.P.; Hidayati, H.B.; Sooai, A.G.; Purnama, I.K.E.; Purnomo, M.H. Volumetric Analysis of Brain Tumor Magnetic Resonance Image. In Proceedings of the 2019 International Conference on Computer Engineering, Network, and Intelligent Multimedia (CENIM), Surabaya, Indonesia, 19–20 November 2019; pp. 1–6. [Google Scholar]

















| Scanner | Magnetic Field Strength [T] | Section Thickness [mm] | Pixels Spacing [mm] |
|---|---|---|---|
| Sigma HDxt | 1.5 | 4.0 | |
| Sigma Explorer | 1.5 | 3.0 | |
| Sigma HDxt | 3.0 | 4.0 | |
| Skyra | 3.0 | 4.0 | |
| Skyra | 3.0 | 4.0 |
| Patient | Sex | Age | MRI Scanner |
|---|---|---|---|
| 1 | M | 70 | Sigma HDxt |
| 2 | F | 47 | Sigma HDxt |
| 3 | F | 69 | Skyra |
| 6 | M | 61 | Sigma HDxt |
| 7 | M | 51 | Sigma HDxt |
| 9 | M | 72 | Sigma HDxt |
| 10 | M | 56 | Sigma HDxt |
| 15 | F | 56 | Skyra |
| 18 | F | 76 | Sigma HDxt |
| 24 | M | 52 | Sigma HDxt |
| 26 | M | 66 | Sigma HDxt |
| 28 | M | 46 | Skyra |
| 29 | M | 71 | Skyra |
| 30 | M | 77 | Sigma HDxt |
| 37 | F | 71 | Sigma Explorer |
| 38 | M | 57 | Sigma HDxt |
| 40 | M | 75 | Sigma HDxt |
| 44 | M | 65 | Sigma HDxt |
| 45 | M | 75 | Sigma HDxt |
| 51 | M | 70 | Skyra |
| Patient | Actual VOI | Slicer 3D VOI | New Method VOI |
|---|---|---|---|
| 1 | 13.61 | 8.41 | 11.69 |
| 2 | 1.41 | 3.41 | 1.67 |
| 3 | 13.57 | 10.75 | 10.73 |
| 6 | 30.85 | 15.74 | 28.81 |
| 7 | 20.82 | 21.77 | 23.41 |
| 9 | 23.74 | 34.47 | 51.79 |
| 10 | 29.15 | 16.40 | 19.10 |
| 15 | 31.50 | 22.00 | 24.00 |
| 18 | 29.15 | 28.13 | 22.49 |
| 24 | 15.50 | 18.99 | 12.91 |
| 26 | 22.15 | 12.72 | 23.36 |
| 28 | 26.52 | 23.02 | 29.08 |
| 29 | 40.09 | 43.92 | 45.14 |
| 30 | 29.52 | 2.07 | 28.45 |
| 37 | 32.65 | 16.11 | 36.30 |
| 38 | 35.82 | 20.77 | 56.08 |
| 40 | 43.91 | 25.20 | 50.64 |
| 44 | 44.81 | 65.09 | 54.51 |
| 45 | 21.68 | 19.27 | 27.41 |
| 51 | 7.29 | 8.29 | 8.03 |
Disclaimer/Publisher’s Note: The statements, opinions and data contained in all publications are solely those of the individual author(s) and contributor(s) and not of MDPI and/or the editor(s). MDPI and/or the editor(s) disclaim responsibility for any injury to people or property resulting from any ideas, methods, instructions or products referred to in the content. |
© 2023 by the authors. Licensee MDPI, Basel, Switzerland. This article is an open access article distributed under the terms and conditions of the Creative Commons Attribution (CC BY) license (https://creativecommons.org/licenses/by/4.0/).
Share and Cite
Espa, G.; Feraco, P.; Donelli, M.; Dal Chiele, I. A Fast and Efficient Semi-Unsupervised Segmentation and Feature-Extraction Methodology for Artificial Intelligence and Radiomics Applications: A Preliminary Study Applied to Glioblastoma. Electronics 2023, 12, 1230. https://doi.org/10.3390/electronics12051230
Espa G, Feraco P, Donelli M, Dal Chiele I. A Fast and Efficient Semi-Unsupervised Segmentation and Feature-Extraction Methodology for Artificial Intelligence and Radiomics Applications: A Preliminary Study Applied to Glioblastoma. Electronics. 2023; 12(5):1230. https://doi.org/10.3390/electronics12051230
Chicago/Turabian StyleEspa, Giuseppe, Paola Feraco, Massimo Donelli, and Irene Dal Chiele. 2023. "A Fast and Efficient Semi-Unsupervised Segmentation and Feature-Extraction Methodology for Artificial Intelligence and Radiomics Applications: A Preliminary Study Applied to Glioblastoma" Electronics 12, no. 5: 1230. https://doi.org/10.3390/electronics12051230
APA StyleEspa, G., Feraco, P., Donelli, M., & Dal Chiele, I. (2023). A Fast and Efficient Semi-Unsupervised Segmentation and Feature-Extraction Methodology for Artificial Intelligence and Radiomics Applications: A Preliminary Study Applied to Glioblastoma. Electronics, 12(5), 1230. https://doi.org/10.3390/electronics12051230

