A Fast Image Guide Registration Supported by Single Direction Projected CBCT
Abstract
:1. Introduction
2. Background and Related Work
2.1. Background
2.2. Related Work and New Challenges
3. The Proposed HQCS-Based Registration Method
3.1. Superimposition Match
3.1.1. Alignment on Projection Plane
- Property 1: The cross-section is quantifiable, and always could be encoded by the images in sequence;
- Property 2: The cross-section could be inverse mapped back to the order of image slices;
- Property 3: The cross-section should be able to reflect a variation process occurring in the z-axis direction, and this process should be based on the same type of features existing in both the CT and CBCT sequence.
3.1.2. Superimposition Match
3.1.3. Reconstruction of CT image
3.2. High-Quality Curved Section
3.2.1. Motivation and Principles of HQCS
3.2.2. High-Quality Curved Section for Registration
4. Experiments and Analysis
4.1. Experimental Setups
4.2. Performance Analysis
5. Conclusions
Author Contributions
Funding
Institutional Review Board Statement
Informed Consent Statement
Data Availability Statement
Conflicts of Interest
References
- Mattes, D.; Haynor, D.R.; Vesselle, H.; Lewellen, T.K.; Eubank, W. PET-CT image registration in the chest using free-form deformations. IEEE Trans. Med. Imaging 2003, 22, 120–128. [Google Scholar] [CrossRef] [PubMed]
- Hu, H.; He, H.D.; Foley, W.D.; Fox, S.H. Four multidetector-row helical CT: Image quality and volume coverage speed. Radiology 2000, 215, 55–62. [Google Scholar] [CrossRef] [PubMed]
- Hsieh, J.; Nett, B.; Yu, Z.; Sauer, K.; Thibault, J.B.; Bouman, C.A. Recent advances in CT image reconstruction. Curr. Radiol. Rep. 2013, 1, 39–51. [Google Scholar] [CrossRef] [Green Version]
- Liang, X.; Jacobs, R.; Hassan, B.; Li, L.; Pauwels, R.; Corpas, L.; Souza, P.C.; Martens, W.; Shahbazian, M.; Alonso, A.; et al. A comparative evaluation of cone beam computed tomography (CBCT) and multi-slice CT (MSCT): Part I. On subjective image quality. Eur. J. Radiol. 2010, 75, 265–269. [Google Scholar] [CrossRef] [PubMed]
- Landry, G.; Dedes, G.; Zöllner, C.; Handrack, J.; Janssens, G.; de Xivry, J.O.; Reiner, M.; Paganelli, C.; Riboldi, M.; Kamp, F.; et al. Phantom based evaluation of CT to CBCT image registration for proton therapy dose recalculation. Phys. Med. Biol. 2014, 60, 595. [Google Scholar] [CrossRef]
- Welch, T.J.; Sheedy, P.F., II; Johnson, C.D.; Johnson, C.M.; Stephens, D.H. CT-guided biopsy: Prospective analysis of 1000 procedures. Radiology 1989, 171, 493–496. [Google Scholar] [CrossRef]
- Sarti, M.; Brehmer, W.P.; Gay, S.B. Low-dose techniques in CT-guided interventions. Radiographics 2012, 32, 1109–1119. [Google Scholar] [CrossRef]
- Kwoh, Y.S.; Hou, J.; Jonckheere, E.A.; Hayati, S. A robot with improved absolute positioning accuracy for CT guided stereotactic brain surgery. IEEE Trans. Biomed. Eng. 1988, 35, 153–160. [Google Scholar] [CrossRef]
- Létourneau, D.; Wong, J.W.; Oldham, M.; Gulam, M.; Watt, L.; Jaffray, D.A.; Siewerdsen, J.H.; Martinez, A.A. Cone-beam-CT guided radiation therapy: Technical implementation. Radiother. Oncol. 2005, 75, 279–286. [Google Scholar] [CrossRef]
- Cazzato, R.L.; Battistuzzi, J.B.; Catena, V.; Grasso, R.F.; Zobel, B.B.; Schena, E.; Buy, X.; Palussiere, J. Cone-beam computed tomography (CBCT) versus CT in lung ablation procedure: Which is faster? Cardiovasc. Interv. Radiol. 2015, 38, 1231–1236. [Google Scholar] [CrossRef]
- Barney, B.M.; Lee, R.J.; Handrahan, D.; Welsh, K.T.; Cook, J.T.; Sause, W.T. Image-guided radiotherapy (IGRT) for prostate cancer comparing kV imaging of fiducial markers with cone beam computed tomography (CBCT). Int. J. Radiat. Oncol. Biol. Phys. 2011, 80, 301–305. [Google Scholar] [CrossRef] [PubMed]
- Smitsmans, M.H.; Pos, F.J.; de Bois, J.; Heemsbergen, W.D.; Sonke, J.J.; Lebesque, J.V.; van Herk, M. The influence of a dietary protocol on cone beam CT–guided radiotherapy for prostate cancer patients. Int. J. Radiat. Oncol. Biol. Phys. 2008, 71, 1279–1286. [Google Scholar] [CrossRef] [PubMed]
- Fontana, F.; Piacentino, F.; Ierardi, A.M.; Carrafiello, G.; Coppola, A.; Muollo, A.; Beneventi, A.; Floridi, C.; Imperatori, A.S.; Carcano, G.; et al. Comparison between CBCT and fusion PET/CT-CBCT guidance for lung biopsies. Cardiovasc. Interv. Radiol. 2021, 44, 73–79. [Google Scholar] [CrossRef]
- Dhasarathan, C.; Kumar, M.; Srivastava, A.K.; Al-Turjman, F.; Shankar, A.; Kumar, M. A bio-inspired privacy-preserving framework for healthcare systems. J. Supercomput. 2021, 77, 11099–11134. [Google Scholar] [CrossRef]
- Kumar, M.; Aggarwal, J.; Rani, A.; Stephan, T.; Shankar, A.; Mirjalili, S. Secure video communication using firefly optimization and visual cryptography. Artif. Intell. Rev. 2021, 1–21. [Google Scholar] [CrossRef]
- Viola, P.; Wells, W.M., III. Alignment by maximization of mutual information. Int. J. Comput. Vis. 1997, 24, 137–154. [Google Scholar] [CrossRef]
- Brauer, H.; Narayana, P.A.; Yan, W.; Liu, S.; Rao, L.; He, R. The method of maximum mutual information for biomedical electromagnetic inverse problems. IEEE Trans. Magn. 2016, 36, 1741–1744. [Google Scholar] [CrossRef]
- Wang, Z.; Bovik, A.C.; Sheikh, H.R.; Simoncelli, E.P. Image quality assessment: From error visibility to structural similarity. IEEE Trans. Image Process. 2004, 13, 600–612. [Google Scholar] [CrossRef] [PubMed] [Green Version]
- Beylkin, G. Imaging of discontinuities in the inverse scattering problem by inversion of a generalized radon transform. J. Math. Phys. 1985, 26, 99–108. [Google Scholar] [CrossRef]
- Trad, D.; Ulrych, T.; Sacchi, M. Latest view of sparse radon transforms. Geophysics 2003, 68, 386–399. [Google Scholar] [CrossRef] [Green Version]
- Kamphuis, C.; Beekman, F.J. Accelerated iterative transmission CT reconstruction using an ordered subsets convex algorithm. IEEE Trans. Med. Imaging 1998, 17, 1101–1105. [Google Scholar] [CrossRef] [PubMed]
- Clark, D.P.; Lee, C.-L.; Kirsch, D.G.; Badea, C.T. Spectrotemporal CT data acquisition and reconstruction at low dose. Med. Phys. 2015, 42, 6317–6336. [Google Scholar] [CrossRef] [PubMed] [Green Version]
- Hechler, S.L. Cone-beam CT: Applications in orthodontics. Dent. Clin. N. Am. 2008, 52, 809–823. [Google Scholar] [CrossRef]
- Xun, J.; Lou, Y.; Li, R.; Song, W.Y.; Jiang, S.B. Gpu-based fast cone beam CT reconstruction from undersampled and noisy projection data via total variation. Med. Phys. 2010, 37, 1757–1760. [Google Scholar]
- Omer, O.A.; Tanaka, T. Robust image registration based on local standard deviation and image intensity. In Proceedings of the 2007 6th International Conference on Information, Communications & Signal Processing, Singapore, 10–13 December 2007; pp. 1–5. [Google Scholar]
- Yoo, J.C.; Han, T.H. Fast normalized cross-correlation. Circuits Syst. Signal Process. 2009, 28, 819–843. [Google Scholar] [CrossRef]
- Diwakar, C.M.; Patil, N.; Sunny, M.R. Structural damage detection using vibration response through cross-correlation analysis: Experimental study. AIAA J. 2018, 56, 2455–2465. [Google Scholar] [CrossRef]
- Alley, S.; Fedorov, A.; Menard, C.; Kadoury, S. Evaluation of intensity-based deformable registration of multi-parametric MRI for radiomics analysis of the prostate. In Proceedings of the Medical Imaging 2020: Biomedical Applications in Molecular, Structural, and Functional Imaging, Houston, TX, USA, 18–20 February 2020. [Google Scholar]
- Raheja, S.; Kasturia, S.; Cheng, X.; Kumar, M. Machine learning-based diffusion model for prediction of coronavirus-19 outbreak. Neural Comput. Appl. 2021, 1–20. [Google Scholar] [CrossRef]












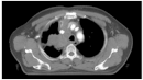
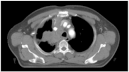
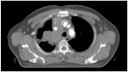
| Ground Truth | Local Peak in Figure 4. | Our Method | ||
|---|---|---|---|---|
| CT_15, CBCT_60 | CT_15, CBCT_56 | CT_15, CBCT_64 | Superposition | |
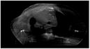
| CT | ![]() | ![]() | ![]() | ![]() |
| CBCT | ![]() | ![]() | ![]() | ![]() |
| Registration | ![]() | ![]() | ![]() | ![]() |
| Transformation matrix T | ||||
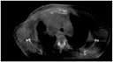
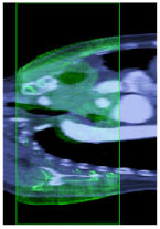
| Vertical Plane Section | Horizontal Plane Section | Horizontal Superposition | |
|---|---|---|---|
| CT | ![]() | ![]() | ![]() |
| CBCT | ![]() | ![]() | ![]() |
| Registration | ![]() | ![]() | ![]() |
| Spacing rate, ground truth = 5 | 6.0333 | 4.7 | Registration failed |
| Low Clarity | Incomplete Projection | |||
|---|---|---|---|---|
| Data set a | Data set b | Data set c | Data set d | |
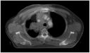
| CT sequence | ![]() | ![]() | ![]() | ![]() |
| #204 | #42 | #56 | #350 | |
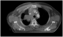
| CBCT sequence | ![]() | ![]() | ![]() | ![]() |
| #225 | #160 | #184 | #264 | |
| Dataset | MI | SSIM | NCC | SD | ||||
|---|---|---|---|---|---|---|---|---|
| No HQCS | HQCS | No HQCS | HQCS | No HQCS | HQCS | No HQCS | HQCS | |
| a | 4.87 | 5.046 | 5.08 | 5.0 | 4.74 | 4.73 | 5.046 | 5.015 |
| b | 5.2 | 4.97 | 5.15 | 5.025 | 4.7 | 4.90 | 6 | 5.5 |
| c | 5.08 | 4.95 | Failed | 4.93 | 4.58 | 4.57 | Failed | 4.90 |
| d | 5.95 | 4.98 | 6.75 | 5.35 | Failed | 4.8 | Failed | 5.67 |
| Avg deviation | 0.34 | 0.0378 | 0.858 | 0.113 | 0.328 | 0.21 | 0.523 | 0.321 |
| Time cost | 900 s–1200 s | 130 s–220 s | 800 s–1400 s | 130 s–220 s | 600 s–700 s | 42 s–180 s | 600 s–700 s | 30 s–120 s |
| Data\Ground Truth | MI | SSIM | NCC | SD | ||||
|---|---|---|---|---|---|---|---|---|
| No HQCS | HQCS | No HQCS | HQCS | No HQCS | HQCS | No HQCS | HQCS | |
| a\13 | 7.18 | 12.88 | 13.0 | 13.0 | 12.01 | 11.61 | 13.08 | 12.96 |
| b\3 | 4.23 | 2.98 | 4.27 | 3.18 | 3.40 | 3.6923 | 3.83 | 4.18 |
| c\4 | 3.94 | 3.36 | Failed | 4.67 | 3.49 | 3.49 | Failed | 3.26 |
| d\6 | 8.74 | 5.02 | 9.70 | 6.35 | Failed | 5.79 | Failed | 6.87 |
| Avg deviation | 2.462 | 0.437 | 1.655 | 0.302 | 0.635 | 0.699 | 0.456 | 0.707 |
| Deviation distance (mm) | 12.31 | 2.18 | 8.27 | 1.51 | 3.17 | 3.49 | 2.28 | 3.53 |
| Registration Method | Intensity Based (Single Image) | Intensity Based (The Sequence) | MI Based (No HQCS) | MI Base (HQCS) |
|---|---|---|---|---|
| Result Ground Truth: (CT_15, CBCT_60) | (CT_16.7, CBCT_60) | (CT_14.26, CBCT_60) | (CT_15.76, CBCT_60) | (CT_15.05, CBCT_60) |
| Visualization | ![]() | ![]() | ![]() | ![]() |
Publisher’s Note: MDPI stays neutral with regard to jurisdictional claims in published maps and institutional affiliations. |
© 2022 by the authors. Licensee MDPI, Basel, Switzerland. This article is an open access article distributed under the terms and conditions of the Creative Commons Attribution (CC BY) license (https://creativecommons.org/licenses/by/4.0/).
Share and Cite
Gong, J.; He, K.; Xie, L.; Xu, D.; Yang, T. A Fast Image Guide Registration Supported by Single Direction Projected CBCT. Electronics 2022, 11, 645. https://doi.org/10.3390/electronics11040645
Gong J, He K, Xie L, Xu D, Yang T. A Fast Image Guide Registration Supported by Single Direction Projected CBCT. Electronics. 2022; 11(4):645. https://doi.org/10.3390/electronics11040645
Chicago/Turabian StyleGong, Jian, Kangjian He, Lisiqi Xie, Dan Xu, and Tao Yang. 2022. "A Fast Image Guide Registration Supported by Single Direction Projected CBCT" Electronics 11, no. 4: 645. https://doi.org/10.3390/electronics11040645
APA StyleGong, J., He, K., Xie, L., Xu, D., & Yang, T. (2022). A Fast Image Guide Registration Supported by Single Direction Projected CBCT. Electronics, 11(4), 645. https://doi.org/10.3390/electronics11040645


































