Effects of Different Sediment Improvers on the Growth Environment, Innate Immune Responses, and Intestinal Health of Procambarus clarkii
Simple Summary
Abstract
1. Introduction
2. Materials and Methods
2.1. Experimental Crayfish and Sediment Improvers
2.2. Experimental Design and Feeding Management
2.3. Determination of Growth Performance
2.4. Sample Collection
2.5. Determination of Water Quality
2.6. Determination of Immune Enzyme Activity
2.7. Detection of Immune-Related Gene Expression
2.8. Histological Examination of Intestine and Hepatopancreas
2.9. 16S rRNA Gene Sequence Analysis
2.10. Statistical Analysis
3. Results
3.1. Effects of Different Sediment Amendments on Water Quality
3.2. Effects of Different Sediment Amendments on Growth and Survival of Crayfish
3.3. The Activity of Antioxidant Enzymes in the Blood and Hepatopancreas of Crayfish Was Affected by Sediment Amendments
3.4. Sediment Amendments Affect Variation in the Expression of Immune-Related Genes in Hepatopancreas and Blood
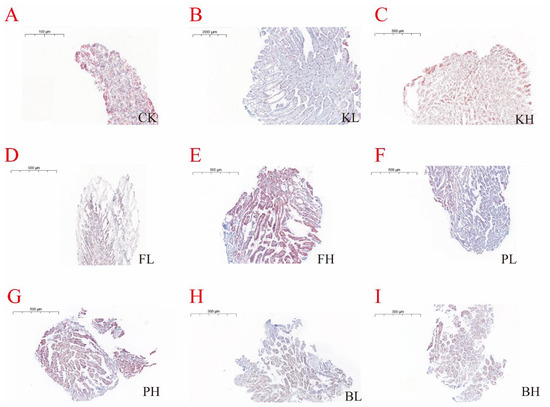
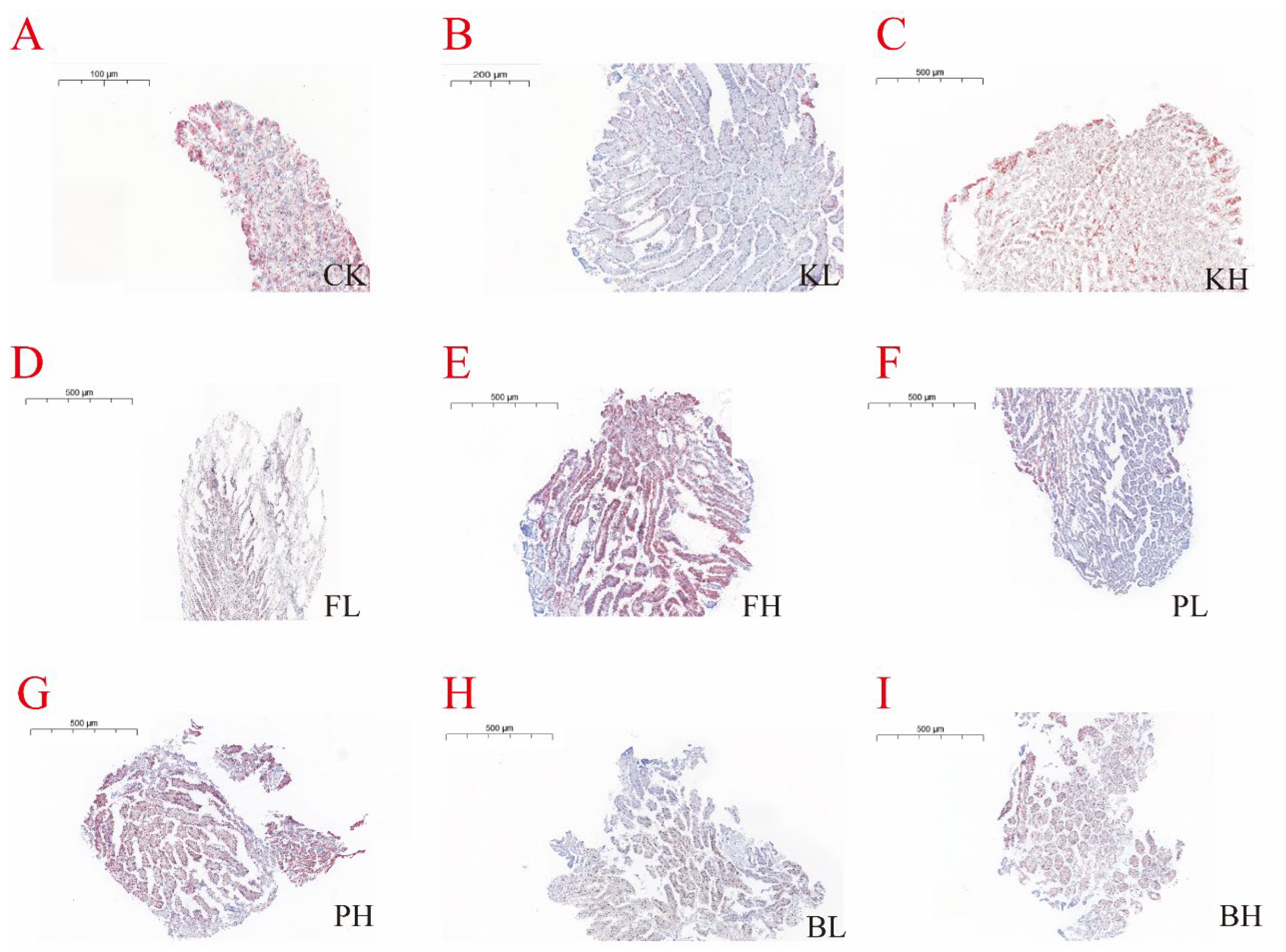
3.5. Sediment Amendments Affect Intestinal and Hepatopancreas Morphological Changes
3.6. Sediment Amendments Alter the Composition of Intestinal Microbial Communities
4. Discussion
5. Conclusions
Supplementary Materials
Author Contributions
Funding
Institutional Review Board Statement
Informed Consent Statement
Data Availability Statement
Acknowledgments
Conflicts of Interest
References
- Subasinghe, R.; Soto, D.; Jia, J. Global Aquaculture and Its Role in Sustainable Development. Rev. Aquac. 2009, 1, 2–9. [Google Scholar] [CrossRef]
- Chen, B.; Xu, X.; Chen, Y.; Xie, H.; Zhang, T.; Mao, X. Red Swamp Crayfish (Procambarus clarkii) as a Growing Food Source: Opportunities and Challenges in Comprehensive Research and Utilization. Foods 2024, 13, 3780. [Google Scholar] [CrossRef] [PubMed]
- Peruzza, L.; Piazza, F.; Manfrin, C.; Bonzi, L.C.; Battistella, S.; Giulianini, P.G. Reproductive Plasticity of a Procambarus clarkii Population Living 10 °C below Its Thermal Optimum. Aquat. Invasions 2015, 10, 199–208. [Google Scholar] [CrossRef]
- Graham, Z.A.; Stubbs, M.B.; Loughman, Z.J. Digging Ability and Digging Performance in a Hyporheic Gravel-Dwelling Crayfish, the Hairy Crayfish Cambarus friaufi (Hobbs 1953) (Decapoda: Astacidae: Cambaridae). J. Crustac. Biol. 2022, 42, ruac002. [Google Scholar] [CrossRef]
- Feng, J.; Pan, R.; Hu, H.-W.; Huang, Q.; Zheng, J.; Tan, W.; Liu, Y.-R.; Delgado-Baquerizo, M. Effects of Integrated Rice-Crayfish Farming on Soil Biodiversity and Functions. Sci. Bull. 2023, 68, 2311–2315. [Google Scholar] [CrossRef]
- Iber, B.T.; Kasan, N.A. Recent Advances in Shrimp Aquaculture Wastewater Management. Heliyon 2021, 7, e08283. [Google Scholar] [CrossRef]
- Vandecasteele, B.; Amery, F.; Ommeslag, S.; Vanhoutte, K.; Visser, R.; Robbens, J.; De Tender, C.; Debode, J. Chemically versus Thermally Processed Brown Shrimp Shells or Chinese Mitten Crab as a Source of Chitin, Nutrients or Salts and as Microbial Stimulant in Soilless Strawberry Cultivation. Sci. Total Environ. 2021, 771, 145263. [Google Scholar] [CrossRef]
- Henares, M.N.P.; Medeiros, M.V.; Camargo, A.F.M. Overview of Strategies That Contribute to the Environmental Sustainability of Pond Aquaculture: Rearing Systems, Residue Treatment, and Environmental Assessment Tools. Rev. Aquac. 2020, 12, 453–470. [Google Scholar] [CrossRef]
- Hu, Y.; Wu, G.; Li, R.; Xiao, L.; Zhan, X. Iron Sulphides Mediated Autotrophic Denitrification: An Emerging Bioprocess for Nitrate Pollution Mitigation and Sustainable Wastewater Treatment. Water Res. 2020, 179, 115914. [Google Scholar] [CrossRef]
- Zhang, D.; He, J.; Xu, W.; Li, S.; Liu, H.; Chai, X. Carbon Dioxide and Methane Fluxes from Mariculture Ponds: The Potential of Sediment Improvers to Reduce Carbon Emissions. Sci. Total Environ. 2022, 829, 154610. [Google Scholar] [CrossRef]
- Hou, D.; Lin, Z.; Zhou, J.; Xue, Y.; Sun, C. Germicidal Effect of Hydrogen Peroxide Nano-Silver Ion Composite Disinfectant and Its Effect on the Microbial Community of Shrimp Intestine and Rearing Water. Front. Mar. Sci. 2023, 10, 1189013. [Google Scholar] [CrossRef]
- Drobac Backović, D.; Tokodi, N. Blue Revolution Turning Green? A Global Concern of Cyanobacteria and Cyanotoxins in Freshwater Aquaculture: A Literature Review. J. Environ. Manag. 2024, 360, 121115. [Google Scholar] [CrossRef] [PubMed]
- Mališová, E.; Fašková, L.; Pavúková, D.; Híveš, J.; Benköová, M. Removal of Cyanobacteria and Cyanotoxins by Ferrate from Polluted Lake Water. Environ. Sci. Pollut. Res. 2021, 28, 27084–27094. [Google Scholar] [CrossRef] [PubMed]
- Luan, Y.; Wang, Y.; Liu, C.; Lv, L.; Xu, A.; Song, Z. Effects of Potassium Monopersulfate on Nitrification Activity and Bacterial Community Structure of Sponge Biocarrier Biofilm in Litopenaeus vannamei Aquaculture System. Environ. Technol. 2024, 45, 3354–3366. [Google Scholar] [CrossRef]
- Zhao, Z.; Wang, B.; Liu, M.; Jiang, K.; Wang, L. Effects of the Non-Chlorine Oxidizer Potassium Monopersulfate on the Water Quality, Growth Performance and Microbial Community of Pacific White Shrimp (Penaeus vannamei) Culture Systems with Limited Water Exchange. Aquac. Res. 2022, 53, 3555–3567. [Google Scholar] [CrossRef]
- Wang, L.-G.; Liu, M.-Q.; Xie, X.-D.; Sun, Y.-B.; Zhang, M.-L.; Zhao, Y.; Chen, Q.; Ding, Y.-Q.; Yu, M.-L.; Liang, Z.-M.; et al. Effects of Different Water Quality Regulators on Growth Performance, Immunologic Function, and Domestic Water Quality of GIFT Tilapia. PLoS ONE 2023, 18, e0290854. [Google Scholar] [CrossRef]
- Chumpol, S.; Kantachote, D.; Nitoda, T.; Kanzaki, H. Administration of Purple Nonsulfur Bacteria as Single Cell Protein by Mixing with Shrimp Feed to Enhance Growth, Immune Response and Survival in White Shrimp (Litopenaeus vannamei) Cultivation. Aquaculture 2018, 489, 85–95. [Google Scholar] [CrossRef]
- Lee, S.-K.; Lur, H.-S.; Liu, C.-T. From Lab to Farm: Elucidating the Beneficial Roles of Photosynthetic Bacteria in Sustainable Agriculture. Microorganisms 2021, 9, 2453. [Google Scholar] [CrossRef]
- Alloul, A.; Wille, M.; Lucenti, P.; Bossier, P.; Van Stappen, G.; Vlaeminck, S.E. Purple Bacteria as Added-Value Protein Ingredient in Shrimp Feed: Penaeus vannamei Growth Performance, and Tolerance against Vibrio and Ammonia Stress. Aquaculture 2021, 530, 735788. [Google Scholar] [CrossRef]
- Miyasaka, H.; Koga, A.; Maki, T. Recent Progress in the Use of Purple Non-Sulfur Bacteria as Probiotics in Aquaculture. World J. Microbiol. Biotechnol. 2023, 39, 145. [Google Scholar] [CrossRef]
- Li, S.P.; Dong, J.; Yang, Y.B.; Song, Y.; Liu, S.C.; Ai, X.H. Killing effect of compound peroxymonosulfate powder on four common aquaculture pathogenic microorganisms. South China Fish. Sci. 2023, 19, 148–157. [Google Scholar]
- Chen, Z.; Li, J.; Zhai, Q.; Chang, Z.; Li, J. Nitrogen Cycling Process and Application in Different Prawn Culture Modes. Rev. Aquac. 2024, 16, 1580–1602. [Google Scholar] [CrossRef]
- Yue, C.-F.; Wang, T.-T.; Wang, Y.-F.; Peng, Y. Effect of Combined Photoperiod, Water Calcium Concentration and pH on Survival, Growth, and Moulting of Juvenile Crayfish (Procambarus clarkii) Cultured under Laboratory Conditions. Aquac. Res. 2009, 40, 1243–1250. [Google Scholar] [CrossRef]
- Tu, J.C.; Zhu, M.L.; Lin, Z.; Jiang, H.; Han, Y.L. Comparative Study on the Removal Effect of Cyanobacteria by Two Algae Removal Schemes Using New Environmental Protection Oxidant. In Proceedings of the 4th International Conference on Resources and Environmental Research—ICRER 2022; Yuan, C., Huang, S., Wang, X., Chen, Z., Eds.; Springer International Publishing: Cham, Switzerland, 2023; pp. 23–34. [Google Scholar] [CrossRef]
- Zhang, D.X.; Liu, Q.; Zhang, Y.M. Treating Effect of Potassium Ferrate to Aquaculture Recirculating Water. Adv. Mater. Res. 2014, 1004–1005, 1005–1007. [Google Scholar] [CrossRef]
- Zhang, X.; Shu, M.; Wang, Y.; Fu, L.; Li, W.; Deng, B.; Liang, Q.; Shen, W. Effect of Photosynthetic Bacteria on Water Quality and Microbiota in Grass Carp Culture. World J. Microbiol. Biotechnol. 2014, 30, 2523–2531. [Google Scholar] [CrossRef]
- Hlordzi, V.; Kuebutornye, F.K.A.; Afriyie, G.; Abarike, E.D.; Lu, Y.; Chi, S.; Anokyewaa, M.A. The Use of Bacillus Species in Maintenance of Water Quality in Aquaculture: A Review. Aquac. Rep. 2020, 18, 100503. [Google Scholar] [CrossRef]
- Liu, J.; Sun, Y.; Han, W.; Li, J.; Wang, S.; Yang, Z.; Cheng, Y. Evaluation of the Inhibitory Effects of Four Different Microecological Preparations on Cladophora. Aquac. Int. 2022, 30, 1327–1340. [Google Scholar] [CrossRef]
- Alvanou, M.V.; Feidantsis, K.; Staikou, A.; Apostolidis, A.P.; Michaelidis, B.; Giantsis, I.A. For Crayfish, the Structure of the Gut Microbiota Can Serve as an Indicator of Host Health. Microorganisms 2023, 11, 1232. [Google Scholar] [CrossRef]
- Saejung, C.; Chaiyarat, A.; Sanoamuang, L. Optimization of Three Anoxygenic Photosynthetic Bacteria as Feed to Enhance Growth, Survival, and Water Quality in Fairy Shrimp (Streptocephalus sirindhornae) Cultivation. Aquaculture 2021, 534, 736288. [Google Scholar] [CrossRef]
- Pedersen, L.-F.; Pedersen, P.B.; Nielsen, J.L.; Nielsen, P.H. Peracetic Acid Degradation and Effects on Nitrification in Recirculating Aquaculture Systems. Aquaculture 2009, 296, 246–254. [Google Scholar] [CrossRef]
- Wang, W.; Sun, J.; Liu, C.; Xue, Z. Application of Immunostimulants in Aquaculture: Current Knowledge and Future Perspectives. Aquac. Res. 2017, 48, 1–23. [Google Scholar] [CrossRef]
- Patibandla, S.; Jiang, J.-Q. Preliminary Toxicity Assessment of Pharmaceutical Solutions with and without Ferrate Treatment. In Proceedings of the CEST2017 Proceedings, Rhodes, Greece, 31 August–2 September 2017. [Google Scholar]
- Zhang, Y.; Li, Z.; Kholodkevich, S.; Sharov, A.; Feng, Y.; Ren, N.; Sun, K. Cadmium-Induced Oxidative Stress, Histopathology, and Transcriptome Changes in the Hepatopancreas of Freshwater Crayfish (Procambarus clarkii). Sci. Total Environ. 2019, 666, 944–955. [Google Scholar] [CrossRef] [PubMed]
- Bouallegui, Y. A Comprehensive Review on Crustaceans’ Immune System With a Focus on Freshwater Crayfish in Relation to Crayfish Plague Disease. Front. Immunol. 2021, 12, 667787. [Google Scholar] [CrossRef] [PubMed]
- Li, R.; Leiva, C.; Lemer, S.; Kirkendale, L.; Li, J. Photosymbiosis Shaped Animal Genome Architecture and Gene Evolution as Revealed in Giant Clams. Commun. Biol. 2025, 8, 7. [Google Scholar] [CrossRef]
- Li, R.; Zarate, D.; Avila-Magaña, V.; Li, J. Comparative Transcriptomics Revealed Parallel Evolution and Innovation of Photosymbiosis Molecular Mechanisms in a Marine Bivalve. Proc. R. Soc. B 2024, 291, 20232408. [Google Scholar] [CrossRef]
- Moal, V.L.-L.; Servin, A.L. The Front Line of Enteric Host Defense against Unwelcome Intrusion of Harmful Microorganisms: Mucins, Antimicrobial Peptides, and Microbiota. Clin. Microbiol. Rev. 2006, 19, 315–337. [Google Scholar] [CrossRef]
- Rosa, R.D.; Barracco, M.A. Antimicrobial Peptides in Crustaceans. Invertebr. Surviv. J. 2010, 7, 262–284. [Google Scholar]
- De la Vega, E.; O’Leary, N.A.; Shockey, J.E.; Robalino, J.; Payne, C.; Browdy, C.L.; Warr, G.W.; Gross, P.S. Anti-Lipopolysaccharide Factor in Litopenaeus vannamei (LvALF): A Broad Spectrum Antimicrobial Peptide Essential for Shrimp Immunity against Bacterial and Fungal Infection. Mol. Immunol. 2008, 45, 1916–1925. [Google Scholar] [CrossRef]
- Chelombitko, M.A. Role of Reactive Oxygen Species in Inflammation: A Minireview. Mosc. Univ. Biol. Sci. Bull. 2018, 73, 199–202. [Google Scholar] [CrossRef]
- Akinsemolu, A.A.; Onyeaka, H.; Odion, S.; Adebanjo, I. Exploring Bacillus subtilis: Ecology, Biotechnological Applications, and Future Prospects. J. Basic Microbiol. 2024, 64, 2300614. [Google Scholar] [CrossRef]
- Mu, C.; Zheng, P.; Zhao, J.; Wang, L.; Qiu, L.; Zhang, H.; Gai, Y.; Song, L. A Novel Type III Crustin (CrusEs2) Identified from Chinese Mitten Crab Eriocheir sinensis. Fish Shellfish Immunol. 2011, 31, 142–147. [Google Scholar] [CrossRef] [PubMed]
- Tachibana, L.; Telli, G.S.; de Carla Dias, D.; Gonçalves, G.S.; Guimarães, M.C.; Ishikawa, C.M.; Cavalcante, R.B.; Natori, M.M.; Fernandez Alarcon, M.F.; Tapia-Paniagua, S.; et al. Bacillus subtilis and Bacillus licheniformis in Diets for Nile Tilapia (Oreochromis niloticus): Effects on Growth Performance, Gut Microbiota Modulation and Innate Immunology. Aquac. Res. 2021, 52, 1630–1642. [Google Scholar] [CrossRef]
- Wang, S.R.; Yi, L.Y.; Yang, H.J.; Xu, Q.; Yuan, Y.C. Effects of Glycinin on the Intestinal Microbiota and Antimicrobial-Related Genes of Procambarus clarkii. Acta Hydrobiol. Sin. 2024, 48, 1300–1314. [Google Scholar]
- Fang, H.; Wang, B.; Jiang, K.; Liu, M.; Wang, L. Effects of Lactobacillus pentosus HC-2 on the Growth Performance, Intestinal Morphology, Immune-Related Genes and Intestinal Microbiota of Penaeus Vannamei Affected by Aflatoxin B1. Aquaculture 2020, 525, 735289. [Google Scholar] [CrossRef]
- Ting-Lan, Z.; Yang-Fang, Y.E.; Chang-Kao, M.U.; Kai, W.; Rong-Hua, L.I.; Chun-Lin, W. Gut Microbiota and Metabolic Phenotype of Portunus trituberculatus. Chin. J. Anal. Chem. 2016, 44, 1867–1873. [Google Scholar]
- Cao, G.; Qiu, L.; Yang, G.; Chen, X.; Wang, X.; Gui, Y.; Fan, L.; Meng, S.; Song, C. Assessing the Usage Risk of the Emerging Green Chemical Potassium Ferrate in Aquaculture Environments in China: A Probabilistic Statistical Approach. J. Clean. Prod. 2022, 375, 134031. [Google Scholar] [CrossRef]








| Name | Forward Primer (5′–3′) | Reverse Primer (5′–3′) |
|---|---|---|
| PcALF1 | GCTCAAGCAATAGGAGTCTCTC | CACTGGCTGGTCTCTGTTTAT |
| PcALF4 | CGAGTGGTCCTTGAGTGTATG | CATCAGGCCTTCCGTATATGAG |
| PcALF12 | CCCAGTGTCCTATTTGCCTTAT | CGAGCTAGATGGTGTTGAGATT |
| PcCru3 | GAGCTTCTCTGCTCCAACAT | GGCTTGCATGTGTGTTGTT |
| PcCru6 | GTGGTAACCTCGCAGAATGTAG | GTTTCACTGTAGGCCGATTGA |
| PcCru10 | CACGTCCAGATGGTTGTAACT | CAGGTCTCACAGGAAGGTTTG |
| Pc18S | ACCGATTGAATGATTTAGTGAG | TACGGAAACCTTGTTACGAC |
Disclaimer/Publisher’s Note: The statements, opinions and data contained in all publications are solely those of the individual author(s) and contributor(s) and not of MDPI and/or the editor(s). MDPI and/or the editor(s) disclaim responsibility for any injury to people or property resulting from any ideas, methods, instructions or products referred to in the content. |
© 2025 by the authors. Licensee MDPI, Basel, Switzerland. This article is an open access article distributed under the terms and conditions of the Creative Commons Attribution (CC BY) license (https://creativecommons.org/licenses/by/4.0/).
Share and Cite
Wu, X.; Wu, H.; Wu, Y.; Xu, Z.; Shan, H.; Gao, T. Effects of Different Sediment Improvers on the Growth Environment, Innate Immune Responses, and Intestinal Health of Procambarus clarkii. Biology 2025, 14, 407. https://doi.org/10.3390/biology14040407
Wu X, Wu H, Wu Y, Xu Z, Shan H, Gao T. Effects of Different Sediment Improvers on the Growth Environment, Innate Immune Responses, and Intestinal Health of Procambarus clarkii. Biology. 2025; 14(4):407. https://doi.org/10.3390/biology14040407
Chicago/Turabian StyleWu, Xinyu, Hao Wu, Yifan Wu, Zhiqiang Xu, Hong Shan, and Tianheng Gao. 2025. "Effects of Different Sediment Improvers on the Growth Environment, Innate Immune Responses, and Intestinal Health of Procambarus clarkii" Biology 14, no. 4: 407. https://doi.org/10.3390/biology14040407
APA StyleWu, X., Wu, H., Wu, Y., Xu, Z., Shan, H., & Gao, T. (2025). Effects of Different Sediment Improvers on the Growth Environment, Innate Immune Responses, and Intestinal Health of Procambarus clarkii. Biology, 14(4), 407. https://doi.org/10.3390/biology14040407

