Pigment Epithelium-Derived Factor Inhibits Cell Motility and p-ERK1/2 Signaling in Intrahepatic Cholangiocarcinoma Cell Lines
Simple Summary
Abstract
1. Introduction
2. Materials and Methods
2.1. Cell Culture
2.2. RNA Isolation and Real-Time qPCR
2.3. Cell Proliferation Assay
2.4. Adhesion Assay
2.5. Transwell Assays
2.6. Western Blot Analysis
2.7. Statistical Analysis
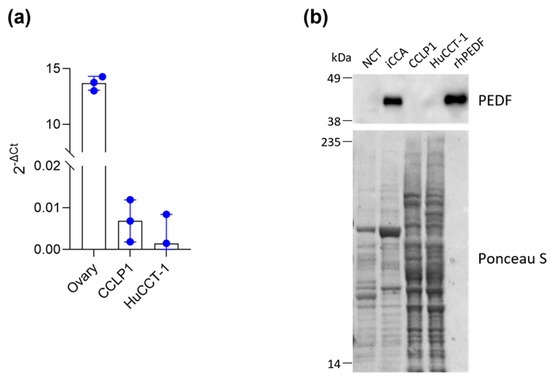
3. Results
3.1. rhPEDF Does Not Affect CCLP1 and HuCCT-1 Cell Growth In Vitro
3.2. rhPEDF Inhibits Cell Adhesion of the HuCCT-1 Cell Line
3.3. rhPEDF Inhibits CCLP1 and HuCCT-1 Cell Migration, Invasion and p-ERK1/2 Signaling
4. Discussion
5. Conclusions
Supplementary Materials
Author Contributions
Funding
Institutional Review Board Statement
Informed Consent Statement
Data Availability Statement
Acknowledgments
Conflicts of Interest
References
- Steele, F.R.; Chader, G.J.; Johnson, L.V.; Tombran-Tink, J. Pigment epithelium-derived factor: Neurotrophic activity and identification as a member of the serine protease inhibitor gene family. Proc. Natl. Acad. Sci. USA 1993, 90, 1526–1530. [Google Scholar] [CrossRef] [PubMed]
- Tombran-Tink, J.; Barnstable, C.J. PEDF: A multifaceted neurotrophic factor. Nat. Rev. Neurosci. 2003, 4, 628–636. [Google Scholar] [CrossRef] [PubMed]
- Tombran-Tink, J.; Mazuruk, K.; Rodriguez, I.R.; Chung, D.; Linker, T.; Englander, E.; Chader, G.J. Organization, evolutionary conservation, expression and unusual Alu density of the human gene for pigment epithelium-derived factor, a unique neurotrophic serpin. Mol. Vis. 1996, 2, 11. [Google Scholar] [PubMed]
- Akiba, J.; Yoshida, T.; Sadashima, E.; Murata, K.; Matsui, T.; Yamagishi, S.I.; Kusano, H.; Mihara, Y.; Mizuochi, S.; Kinjou, Y.; et al. The Expression of PEDF and its Putative Receptors in Hepatocellular Carcinoma and Background Liver Tissue. Anticancer. Res. 2021, 41, 1203–1212. [Google Scholar] [CrossRef] [PubMed]
- Petersen, S.V.; Valnickova, Z.; Enghild, J.J. Pigment-epithelium-derived factor (PEDF) occurs at a physiologically relevant concentration in human blood: Purification and characterization. Biochem. J. 2003, 374, 199–206. [Google Scholar] [CrossRef]
- Filleur, S.; Nelius, T.; de Riese, W.; Kennedy, R.C. Characterization of PEDF: A multi-functional serpin family protein. J. Cell Biochem. 2009, 106, 769–775. [Google Scholar] [CrossRef]
- Kim, G.; Chen, Z.; Li, J.; Luo, J.; Castro-Martinez, F.; Wisniewski, J.; Cui, K.; Wang, Y.; Sun, J.; Ren, X.; et al. Gut-liver axis calibrates intestinal stem cell fitness. Cell 2024, 187, 914–930.e20. [Google Scholar] [CrossRef]
- Dawson, D.W.; Volpert, O.V.; Gillis, P.; Crawford, S.E.; Xu, H.; Benedict, W.; Bouck, N.P. Pigment epithelium-derived factor: A potent inhibitor of angiogenesis. Science 1999, 285, 245–248. [Google Scholar] [CrossRef]
- Becerra, S.P.; Notario, V. The effects of PEDF on cancer biology: Mechanisms of action and therapeutic potential. Nat. Rev. Cancer 2013, 13, 258–271. [Google Scholar] [CrossRef]
- Elmi, M.; Dass, J.H.; Dass, C.R. The Various Roles of PEDF in Cancer. Cancers 2024, 16, 510. [Google Scholar] [CrossRef]
- Yang, Y.; Wen, W.; Chen, F.L.; Zhang, Y.J.; Liu, X.C.; Yang, X.Y.; Hu, S.S.; Jiang, Y.; Yuan, J. Expression and significance of pigment epithelium-derived factor and vascular endothelial growth factor in colorectal adenoma and cancer. World J. Gastrointest. Oncol. 2024, 16, 670–686. [Google Scholar] [CrossRef] [PubMed]
- Ueno, S.; Sudo, T.; Saya, H.; Sugihara, E. Pigment epithelium-derived factor promotes peritoneal dissemination of ovarian cancer through induction of immunosuppressive macrophages. Commun. Biol. 2022, 5, 904. [Google Scholar] [CrossRef] [PubMed]
- Guan, M.; Yam, H.F.; Su, B.; Chan, K.P.; Pang, C.P.; Liu, W.W.; Zhang, W.Z.; Lu, Y. Loss of pigment epithelium derived factor expression in glioma progression. J. Clin. Pathol. 2003, 56, 277–282. [Google Scholar] [CrossRef] [PubMed][Green Version]
- Guan, M.; Pang, C.P.; Yam, H.F.; Cheung, K.F.; Liu, W.W.; Lu, Y. Inhibition of glioma invasion by overexpression of pigment epithelium-derived factor. Cancer Gene Ther. 2004, 11, 325–332. [Google Scholar] [CrossRef] [PubMed]
- Cai, J.; Parr, C.; Watkins, G.; Jiang, W.G.; Boulton, M. Decreased pigment epithelium-derived factor expression in human breast cancer progression. Clin. Cancer Res. 2006, 12, 3510–3517. [Google Scholar] [CrossRef]
- Hong, H.; Zhou, T.; Fang, S.; Jia, M.; Xu, Z.; Dai, Z.; Li, C.; Li, S.; Li, L.; Zhang, T.; et al. Pigment epithelium-derived factor (PEDF) inhibits breast cancer metastasis by down-regulating fibronectin. Breast Cancer Res. Treat. 2014, 148, 61–72. [Google Scholar] [CrossRef]
- Ansari, D.; Althini, C.; Ohlsson, H.; Bauden, M.; Andersson, R. The Role of PEDF in Pancreatic Cancer. Anticancer. Res. 2019, 39, 3311–3315. [Google Scholar] [CrossRef]
- Gong, J.; Belinsky, G.; Sagheer, U.; Zhang, X.; Grippo, P.J.; Chung, C. Pigment Epithelium-derived Factor (PEDF) Blocks Wnt3a Protein-induced Autophagy in Pancreatic Intraepithelial Neoplasms. J. Biol. Chem. 2016, 291, 22074–22085. [Google Scholar] [CrossRef]
- Li, C.; Huang, Z.; Zhu, L.; Yu, X.; Gao, T.; Feng, J.; Hong, H.; Yin, H.; Zhou, T.; Qi, W.; et al. The contrary intracellular and extracellular functions of PEDF in HCC development. Cell Death Dis. 2019, 10, 742. [Google Scholar] [CrossRef]
- Carpino, G.; Cardinale, V.; Di Giamberardino, A.; Overi, D.; Donsante, S.; Colasanti, T.; Amato, G.; Mennini, G.; Franchitto, M.; Conti, F.; et al. Thrombospondin 1 and 2 along with PEDF inhibit angiogenesis and promote lymphangiogenesis in intrahepatic cholangiocarcinoma. J. Hepatol. 2021, 75, 1377–1386. [Google Scholar] [CrossRef]
- Corbella, E.; Fara, C.; Covarelli, F.; Porreca, V.; Palmisano, B.; Mignogna, G.; Corsi, A.; Riminucci, M.; Maras, B.; Mancone, C. THBS1 and THBS2 Enhance the In Vitro Proliferation, Adhesion, Migration and Invasion of Intrahepatic Cholangiocarcinoma Cells. Int. J. Mol. Sci. 2024, 25, 1782. [Google Scholar] [CrossRef] [PubMed]
- Cardinale, V.; Renzi, A.; Carpino, G.; Torrice, A.; Bragazzi, M.C.; Giuliante, F.; DeRose, A.M.; Fraveto, A.; Onori, P.; Napoletano, C.; et al. Profiles of cancer stem cell subpopulations in cholangiocarcinomas. Am. J. Pathol. 2015, 185, 1724–1739. [Google Scholar] [CrossRef] [PubMed]
- Wang, F.H.; Sun, X.D.; Zhang, X.; Xu, X.; Zhu, Q.; Huang, J.N.; Fan, Y.; Gu, Q.; Liu, H.Y. Role of pigment epithelium-derived factor on proliferation and migration of choroidal capillary endothelium induced by vascular endothelial growth factor in vitro. Chin. Med. J. 2007, 120, 1534–1538. [Google Scholar] [CrossRef] [PubMed]
- Fagerberg, L.; Hallstrom, B.M.; Oksvold, P.; Kampf, C.; Djureinovic, D.; Odeberg, J.; Habuka, M.; Tahmasebpoor, S.; Danielsson, A.; Edlund, K.; et al. Analysis of the human tissue-specific expression by genome-wide integration of transcriptomics and antibody-based proteomics. Mol. Cell Proteom. 2014, 13, 397–406. [Google Scholar] [CrossRef]
- Dus-Szachniewicz, K.; Drobczynski, S.; Wozniak, M.; Zduniak, K.; Ostasiewicz, K.; Ziolkowski, P.; Korzeniewska, A.K.; Agrawal, A.K.; Kolodziej, P.; Walaszek, K.; et al. Differentiation of single lymphoma primary cells and normal B-cells based on their adhesion to mesenchymal stromal cells in optical tweezers. Sci. Rep. 2019, 9, 9885. [Google Scholar] [CrossRef]
- Beri, P.; Popravko, A.; Yeoman, B.; Kumar, A.; Chen, K.; Hodzic, E.; Chiang, A.; Banisadr, A.; Placone, J.K.; Carter, H.; et al. Cell Adhesiveness Serves as a Biophysical Marker for Metastatic Potential. Cancer Res. 2020, 80, 901–911. [Google Scholar] [CrossRef]
- Zhang, T.; Yin, P.; Zhang, Z.; Xu, B.; Che, D.; Dai, Z.; Dong, C.; Jiang, P.; Hong, H.; Yang, Z.; et al. Deficiency of pigment epithelium-derived factor in nasopharyngeal carcinoma cells triggers the epithelial-mesenchymal transition and metastasis. Cell Death Dis. 2017, 8, e2838. [Google Scholar] [CrossRef]
- Hirsch, J.; Johnson, C.L.; Nelius, T.; Kennedy, R.; Riese, W.; Filleur, S. PEDF inhibits IL8 production in prostate cancer cells through PEDF receptor/phospholipase A2 and regulation of NFkappaB and PPARgamma. Cytokine 2011, 55, 202–210. [Google Scholar] [CrossRef]
- Notari, L.; Arakaki, N.; Mueller, D.; Meier, S.; Amaral, J.; Becerra, S.P. Pigment epithelium-derived factor binds to cell-surface F(1)-ATP synthase. FEBS J. 2010, 277, 2192–2205. [Google Scholar] [CrossRef]
- Deshpande, M.; Notari, L.; Subramanian, P.; Notario, V.; Becerra, S.P. Inhibition of tumor cell surface ATP synthesis by pigment epithelium-derived factor: Implications for antitumor activity. Int. J. Oncol. 2012, 41, 219–227. [Google Scholar]
- Miao, H.; Hui, H.; Li, H.; Lin, Y.; Li, D.; Luo, M.; Jiang, B.; Zhang, Y. PEDF inhibits non-small cell lung cancer proliferation by suppressing autophagy through downregulation of AMPK-ULK1 signaling. Oncol. Rep. 2022, 48, 219. [Google Scholar] [CrossRef] [PubMed]
- Guo, T.; Gu, C.; Li, B. PEDF inhibits growth and invasiveness of endometrial cancer cells in vitro. Panminerva Med. 2012, 54, 299–304. [Google Scholar] [PubMed]
- Huang, W.T.; Chong, I.W.; Chen, H.L.; Li, C.Y.; Hsieh, C.C.; Kuo, H.F.; Chang, C.Y.; Chen, Y.H.; Liu, Y.P.; Lu, C.Y.; et al. Pigment epithelium-derived factor inhibits lung cancer migration and invasion by upregulating exosomal thrombospondin 1. Cancer Lett. 2019, 442, 287–298. [Google Scholar] [CrossRef] [PubMed]
- Konson, A.; Pradeep, S.; D’Acunto, C.W.; Seger, R. Pigment Epithelium-Derived Factor and its Phosphomimetic Mutant Induce JNK-Dependent Apoptosis and P38-Mediated Migration Arrest. Cell Physiol. Biochem. 2018, 49, 512–529. [Google Scholar] [CrossRef]
- Orgaz, J.L.; Ladhani, O.; Hoek, K.S.; Fernandez-Barral, A.; Mihic, D.; Aguilera, O.; Seftor, E.A.; Bernad, A.; Rodriguez-Peralto, J.L.; Hendrix, M.J.; et al. Loss of pigment epithelium-derived factor enables migration, invasion and metastatic spread of human melanoma. Oncogene 2009, 28, 4147–4161. [Google Scholar] [CrossRef]
- Ridley, A.J.; Schwartz, M.A.; Burridge, K.; Firtel, R.A.; Ginsberg, M.H.; Borisy, G.; Parsons, J.T.; Horwitz, A.R. Cell migration: Integrating signals from front to back. Science 2003, 302, 1704–1709. [Google Scholar] [CrossRef]
- Te Boekhorst, V.; Preziosi, L.; Friedl, P. Plasticity of Cell Migration In Vivo and In Silico. Annu. Rev. Cell Dev. Biol. 2016, 32, 491–526. [Google Scholar] [CrossRef]
- Mita, R.; Beaulieu, M.J.; Field, C.; Godbout, R. Brain fatty acid-binding protein and omega-3/omega-6 fatty acids: Mechanistic insight into malignant glioma cell migration. J. Biol. Chem. 2010, 285, 37005–37015. [Google Scholar] [CrossRef]
- Abooshahab, R.; Al-Salami, H.; Dass, C.R. Synergy between PEDF and Doxorubicin in Breast Cancer Cells: Effects on Metastatic and Metabolic Pathways. Int. J. Mol. Sci. 2024, 25, 2755. [Google Scholar] [CrossRef]
- Boulton, T.G.; Nye, S.H.; Robbins, D.J.; Ip, N.Y.; Radziejewska, E.; Morgenbesser, S.D.; DePinho, R.A.; Panayotatos, N.; Cobb, M.H.; Yancopoulos, G.D. ERKs: A family of protein-serine/threonine kinases that are activated and tyrosine phosphorylated in response to insulin and NGF. Cell 1991, 65, 663–675. [Google Scholar] [CrossRef]
- Lavoie, H.; Gagnon, J.; Therrien, M. ERK signalling: A master regulator of cell behaviour, life and fate. Nat. Rev. Mol. Cell Biol. 2020, 21, 607–632. [Google Scholar] [CrossRef] [PubMed]
- Fang, Y.; Liu, L.; Liu, S.; Hu, L.; Cai, W.; Wan, X.; Liu, D.; He, Y.; Zhu, Z. Calcium-sensing receptor promotes tumor proliferation and migration in human intrahepatic cholangiocarcinoma by targeting ERK signaling pathway. Eur. J. Pharmacol. 2020, 872, 172915. [Google Scholar] [CrossRef] [PubMed]
- Xu, Y.F.; Liu, H.D.; Liu, Z.L.; Pan, C.; Yang, X.Q.; Ning, S.L.; Zhang, Z.L.; Guo, S.; Yu, J.M. Sprouty2 suppresses progression and correlates to favourable prognosis of intrahepatic cholangiocarcinoma via antagonizing FGFR2 signalling. J. Cell Mol. Med. 2018, 22, 5596–5606. [Google Scholar] [CrossRef] [PubMed]
- Wang, Q.; Tang, H.; Yin, S.; Dong, C. Downregulation of microRNA-138 enhances the proliferation, migration and invasion of cholangiocarcinoma cells through the upregulation of RhoC/p-ERK/MMP-2/MMP-9. Oncol. Rep. 2013, 29, 2046–2052. [Google Scholar] [CrossRef]
- Wang, Y.; Li, K.; Zhao, W.; Liu, Z.; Liu, J.; Shi, A.; Chen, T.; Mu, W.; Xu, Y.; Pan, C.; et al. Aldehyde dehydrogenase 3B2 promotes the proliferation and invasion of cholangiocarcinoma by increasing Integrin Beta 1 expression. Cell Death Dis. 2021, 12, 1158. [Google Scholar] [CrossRef]
- Chen, J.; Ye, L.; Zhang, L.; Jiang, W.G. The molecular impact of pigment epithelium-derived factor, PEDF, on lung cancer cells and the clinical significance. Int. J. Oncol. 2009, 35, 159–166. [Google Scholar]
- Tan, M.L.; Choong, P.F.; Dass, C.R. Anti-chondrosarcoma effects of PEDF mediated via molecules important to apoptosis, cell cycling, adhesion and invasion. Biochem. Biophys. Res. Commun. 2010, 398, 613–618. [Google Scholar] [CrossRef]
- Yilmaz, M.; Christofori, G. EMT, the cytoskeleton, and cancer cell invasion. Cancer Metastasis Rev. 2009, 28, 15–33. [Google Scholar] [CrossRef]
- Mina-Osorio, P.; Winnicka, B.; O’Conor, C.; Grant, C.L.; Vogel, L.K.; Rodriguez-Pinto, D.; Holmes, K.V.; Ortega, E.; Shapiro, L.H. CD13 is a novel mediator of monocytic/endothelial cell adhesion. J. Leukoc. Biol. 2008, 84, 448–459. [Google Scholar] [CrossRef]
- Mino, M.; Kanno, K.; Okimoto, K.; Sugiyama, A.; Kishikawa, N.; Kobayashi, T.; Ono, J.; Izuhara, K.; Kobayashi, T.; Ohigashi, T.; et al. Periostin promotes malignant potential by induction of epithelial-mesenchymal transition in intrahepatic cholangiocarcinoma. Hepatol. Commun. 2017, 1, 1099–1109. [Google Scholar] [CrossRef]
- Zheng, Y.; Zhou, C.; Yu, X.X.; Wu, C.; Jia, H.L.; Gao, X.M.; Yang, J.M.; Wang, C.Q.; Luo, Q.; Zhu, Y.; et al. Osteopontin promotes metastasis of intrahepatic cholangiocarcinoma through recruiting MAPK1 and mediating Ser675 phosphorylation of beta-Catenin. Cell Death Dis. 2018, 9, 179. [Google Scholar] [CrossRef] [PubMed]
- Miyata, T.; Yamashita, Y.I.; Yoshizumi, T.; Shiraishi, M.; Ohta, M.; Eguchi, S.; Aishima, S.; Fujioka, H.; Baba, H. CXCL12 expression in intrahepatic cholangiocarcinoma is associated with metastasis and poor prognosis. Cancer Sci. 2019, 110, 3197–3203. [Google Scholar] [CrossRef] [PubMed]
- Xu, M.; Chen, X.; Yu, Z.; Li, X. Receptors that bind to PEDF and their therapeutic roles in retinal diseases. Front. Endocrinol. 2023, 14, 1116136. [Google Scholar] [CrossRef] [PubMed]
- Uhlen, M.; Fagerberg, L.; Hallstrom, B.M.; Lindskog, C.; Oksvold, P.; Mardinoglu, A.; Sivertsson, A.; Kampf, C.; Sjostedt, E.; Asplund, A.; et al. Proteomics. Tissue-based map of the human proteome. Science 2015, 347, 1260419. [Google Scholar] [CrossRef]
- Pei, S.N.; Liao, C.K.; Chen, Y.S.; Tseng, C.H.; Hung, C.M.; Chiu, C.C.; Hsieh, M.C.; Tsai, Y.F.; Liao, H.Y.; Liu, W.C.; et al. A Novel Combination of Bevacizumab with Chemotherapy Improves Therapeutic Effects for Advanced Biliary Tract Cancer: A Retrospective, Observational Study. Cancers 2021, 13, 3831. [Google Scholar] [CrossRef]
- Argemi, J.; Ponz-Sarvise, M.; Sangro, B. Immunotherapies for hepatocellular carcinoma and intrahepatic cholangiocarcinoma: Current and developing strategies. Adv. Cancer Res. 2022, 156, 367–413. [Google Scholar]
- Shin, S.; Kim, C.H.; Son, S.; Lee, J.A.; Kwon, S.; You, D.G.; Lee, J.; Kim, J.; Jo, D.G.; Ko, H.; et al. PEDF-Enriched Extracellular Vesicle for Vessel Normalization to Potentiate Immune Checkpoint Blockade Therapy. Biomater. Res. 2024, 28, 0068. [Google Scholar] [CrossRef]
- Nelius, T.; Martinez-Marin, D.; Hirsch, J.; Miller, B.; Rinard, K.; Lopez, J.; de Riese, W.; Filleur, S. Pigment epithelium-derived factor expression prolongs survival and enhances the cytotoxicity of low-dose chemotherapy in castration-refractory prostate cancer. Cell Death Dis. 2014, 5, e1210. [Google Scholar] [CrossRef]





Disclaimer/Publisher’s Note: The statements, opinions and data contained in all publications are solely those of the individual author(s) and contributor(s) and not of MDPI and/or the editor(s). MDPI and/or the editor(s) disclaim responsibility for any injury to people or property resulting from any ideas, methods, instructions or products referred to in the content. |
© 2025 by the authors. Licensee MDPI, Basel, Switzerland. This article is an open access article distributed under the terms and conditions of the Creative Commons Attribution (CC BY) license (https://creativecommons.org/licenses/by/4.0/).
Share and Cite
Porreca, V.; Corbella, E.; Palmisano, B.; Peres, M.; Angelone, P.; Barbagallo, C.; Stella, M.; Mignogna, G.; Mennini, G.; Melandro, F.; et al. Pigment Epithelium-Derived Factor Inhibits Cell Motility and p-ERK1/2 Signaling in Intrahepatic Cholangiocarcinoma Cell Lines. Biology 2025, 14, 155. https://doi.org/10.3390/biology14020155
Porreca V, Corbella E, Palmisano B, Peres M, Angelone P, Barbagallo C, Stella M, Mignogna G, Mennini G, Melandro F, et al. Pigment Epithelium-Derived Factor Inhibits Cell Motility and p-ERK1/2 Signaling in Intrahepatic Cholangiocarcinoma Cell Lines. Biology. 2025; 14(2):155. https://doi.org/10.3390/biology14020155
Chicago/Turabian StylePorreca, Veronica, Eleonora Corbella, Biagio Palmisano, Marco Peres, Pietro Angelone, Cristina Barbagallo, Michele Stella, Giuseppina Mignogna, Gianluca Mennini, Fabio Melandro, and et al. 2025. "Pigment Epithelium-Derived Factor Inhibits Cell Motility and p-ERK1/2 Signaling in Intrahepatic Cholangiocarcinoma Cell Lines" Biology 14, no. 2: 155. https://doi.org/10.3390/biology14020155
APA StylePorreca, V., Corbella, E., Palmisano, B., Peres, M., Angelone, P., Barbagallo, C., Stella, M., Mignogna, G., Mennini, G., Melandro, F., Rossi, M., Ragusa, M., Corsi, A., Riminucci, M., Maras, B., & Mancone, C. (2025). Pigment Epithelium-Derived Factor Inhibits Cell Motility and p-ERK1/2 Signaling in Intrahepatic Cholangiocarcinoma Cell Lines. Biology, 14(2), 155. https://doi.org/10.3390/biology14020155

