Localization and Tissue Tropism of Ostreid Herpesvirus 1 in Blood Clam Anadara broughtonii
Abstract
Simple Summary
Abstract
1. Introduction
2. Materials and Methods
2.1. Blood Clams and Acclimation
2.2. Virus Preparation
2.3. Experimental Infection and Sample Collection
2.3.1. Experimental Design
2.3.2. Virus Inoculation and Sample Collection
2.4. DNA Extraction and qPCR Analysis
2.5. Histology and In Situ Hybridization
3. Results
3.1. Clinical Signs and Mortality
3.2. Viral DNA Quantification by qPCR

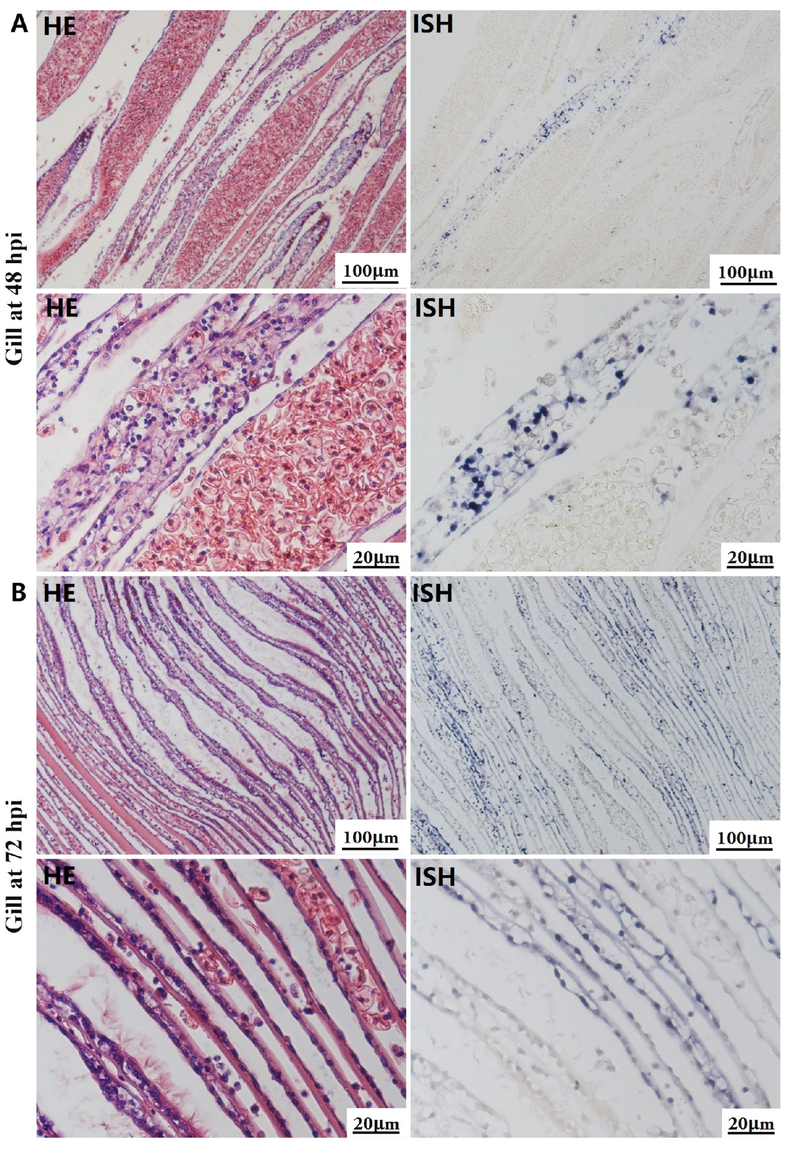
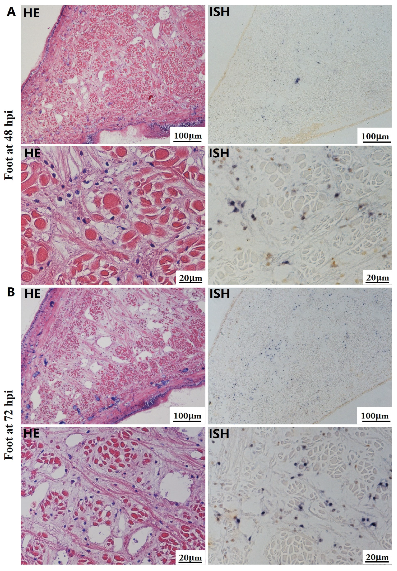
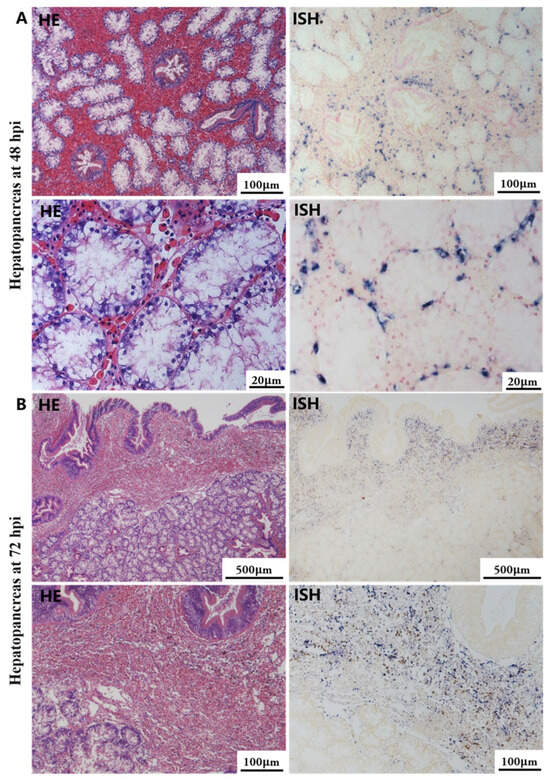
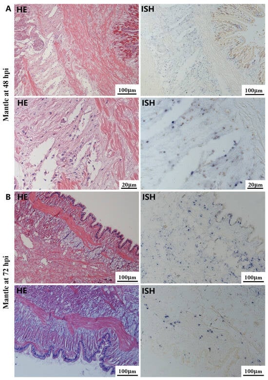
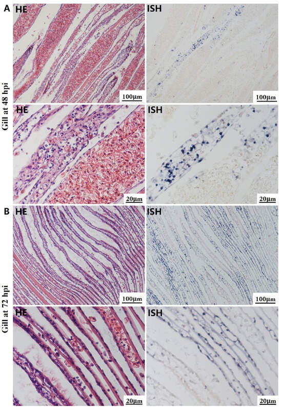
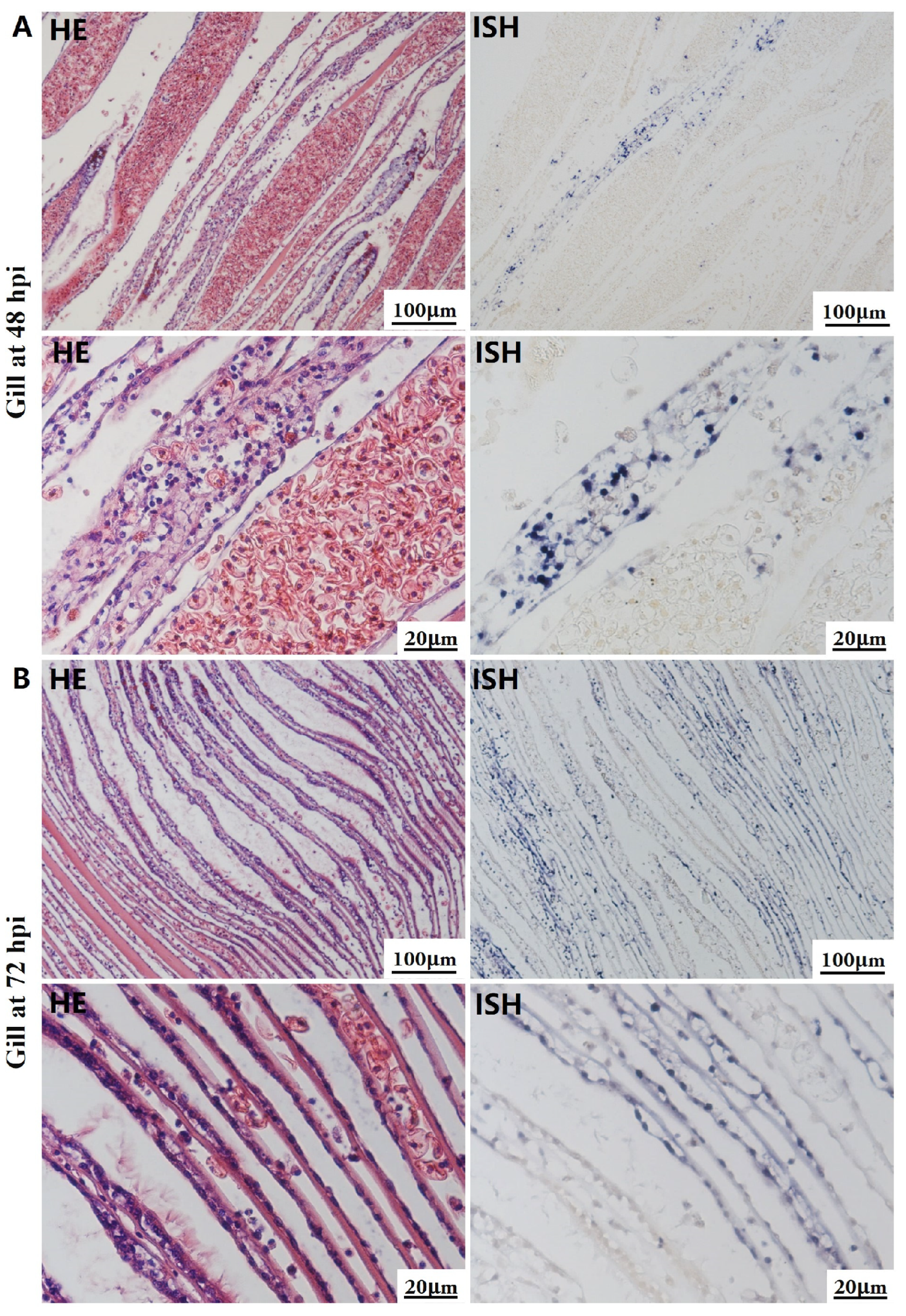
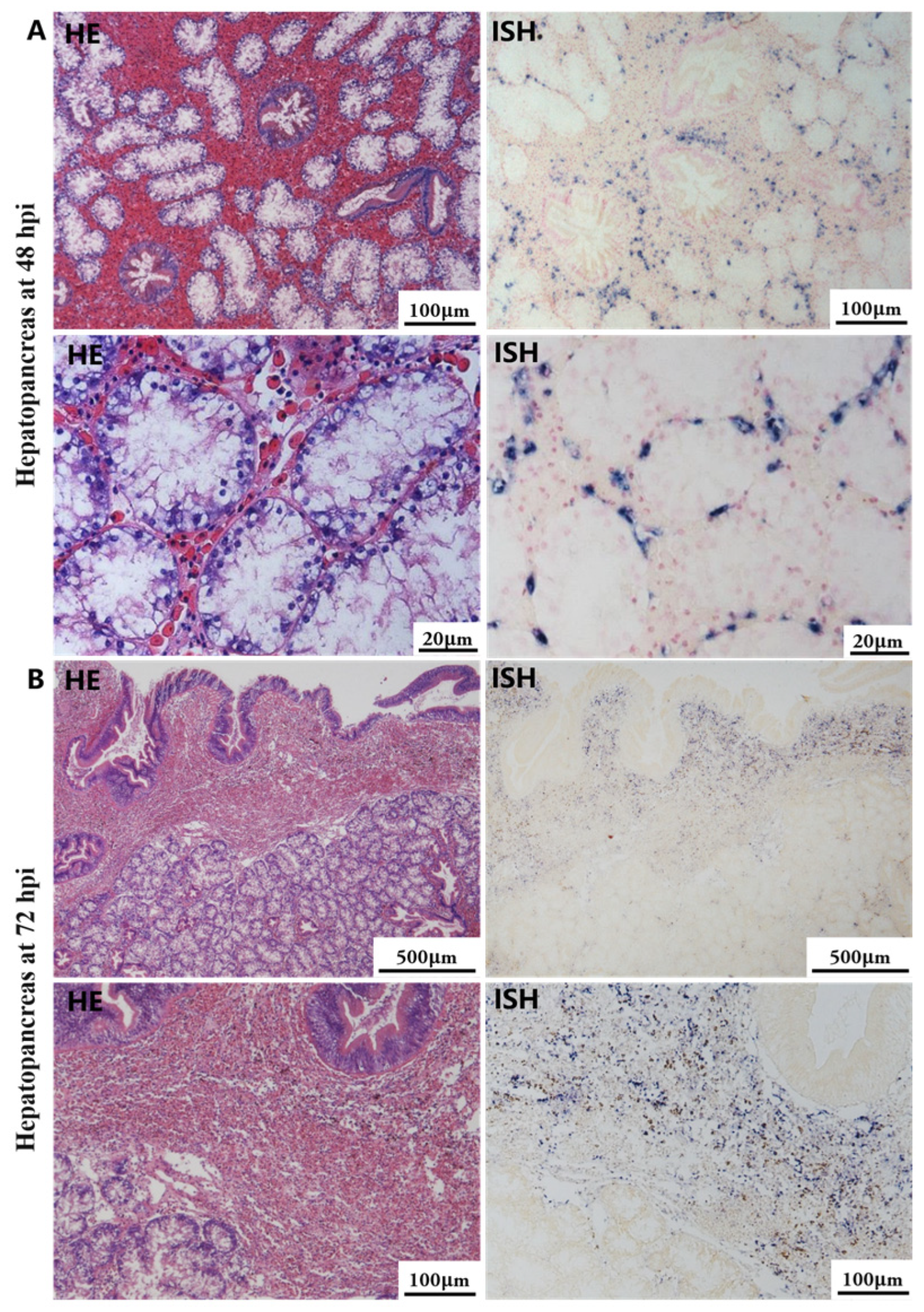
3.3. Histopathology and In Situ Hybridization
4. Discussion
5. Conclusions
Supplementary Materials
Author Contributions
Funding
Institutional Review Board Statement
Informed Consent Statement
Data Availability Statement
Acknowledgments
Conflicts of Interest
References
- Farley, C.A.; Banfield, W.G.; Kasnic, G., Jr.; Foster, W.S. Oyster herpes-type virus. Science 1972, 178, 759–760. [Google Scholar] [CrossRef] [PubMed]
- Farley, C.A. Viruses and virus-like lesions in marine mollusks. Mar. Fish. Rev. 1978, 40, 18–20. [Google Scholar]
- Nicolas, J.; Comps, M.; Cochennec, N. Herpes-like virus infecting Pacific-oyster larvae, Crassostrea gigas. Bull. Eur. Assoc. Fish. Pathol. 1992, 12, 11–13. [Google Scholar]
- Hine, P.; Wesney, B.; Hay, B. Herpesviruses associated with mortalities among hatchery-reared larval Pacific oysters, Crassostrea-gigas. Dis. Aquat. Organ. 1992, 12, 135–142. [Google Scholar] [CrossRef]
- Davison, A.J.; Trus, B.L.; Cheng, N.; Steven, A.C.; Watson, M.S.; Cunningham, C.; Le Deuff, R.M.; Renault, T. A novel class of herpesvirus with bivalve hosts. J. Gen. Virol. 2005, 86, 41–53. [Google Scholar] [CrossRef] [PubMed]
- Gatherer, D.; Depledge, D.P.; Hartley, C.A.; Szpara, M.L.; Vaz, P.K.; Benkő, M.; Brandt, C.R.; Bryant, N.A.; Dastjerdi, A.; Doszpoly, A.; et al. ICTV Virus Taxonomy Profile: Herpesviridae 2021. J. Gen. Virol. 2021, 102, 001763. [Google Scholar] [CrossRef]
- Barbosa Solomieu, V.; Renault, T.; Travers, M.A. Mass mortality in bivalves and the intricate case of the Pacific oyster, Crassostrea gigas. J. Invertebr. Pathol. 2015, 131, 2–10. [Google Scholar] [CrossRef]
- Arzul, I.; Corbeil, S.; Morga, B.; Renault, T. Viruses infecting marine molluscs. J. Invertebr. Pathol. 2017, 147, 118–135. [Google Scholar] [CrossRef]
- Bookelaar, B.E.; O’Reilly, A.J.; Lynch, S.A.; Culloty, S.C. Role of the intertidal predatory shore crab Carcinus maenas in transmission dynamics of ostreid herpesvirus-1 microvariant. Dis. Aquat. Organ. 2018, 130, 221–233. [Google Scholar] [CrossRef]
- Prado-Alvarez, M.; García-Fernández, P.; Faury, N.; Azevedo, C.; Morga, B.; Gestal, C. First detection of OsHV-1 in the cephalopod Octopus vulgaris. Is the octopus a dead-end for OsHV-1? J. Invertebr. Pathol. 2021, 183, 107553. [Google Scholar] [CrossRef]
- Botta, R.; Asche, F.; Borsum, J.S.; Camp, E.V. A review of global oyster aquaculture production and consumption. Mar. Policy 2020, 117, 103952. [Google Scholar] [CrossRef]
- FAO. Fishery and Aquaculture Statistics. In Global Aquaculture Production 1950–2021 (FishstatJ); FAO: Rome, Italy, 2023. [Google Scholar]
- Fisheries Administration Bureau, M.o.A. China Fishery Statistics Yearbook (2022); China Agriculture Press: Beijing, China, 2022. [Google Scholar]
- Bai, C.M.; Xin, L.S.; Rosani, U.; Wu, B.; Wang, Q.C.; Duan, X.K.; Liu, Z.H.; Wang, C.M. Chromosomal-level assembly of the blood clam, Scapharca (Anadara) broughtonii, using long sequence reads and Hi-C. Gigascience 2019, 8, giz067. [Google Scholar] [CrossRef] [PubMed]
- An, H.Y.; Park, J.Y. Ten new highly polymorphic microsatellite loci in the blood clam Scapharca broughtonii. Mol. Ecol. Notes 2005, 5, 896–898. [Google Scholar] [CrossRef]
- Nishida, K.; Ishimura, T.; Suzuki, A.; Sasaki, T. Seasonal changes in the shell microstructure of the bloody clam, Scapharca broughtonii (Mollusca: Bivalvia: Arcidae). Palaeogeogr. Palaeocl. 2012, 363, 99–108. [Google Scholar] [CrossRef]
- Tang, Q.; Qiu, X.; Wang, J.; Guo, X.; Yang, A. Resource enhancement of arkshell (Scapharca (Anadara) broughtonii) in Shandong offshore waters. Chin. J. Appl. Ecol. 1994, 5, 396–402. [Google Scholar]
- Wang, Q.; Li, W. Study of the artificial breeding of blood clam, Scapharca broughtonii Schrenck. Chin. J. Zool. 1986, 1986, 1–3. [Google Scholar]
- Cho, E.-S.; Jung, C.-G.; Sohn, S.-G.; Kim, C.-W.; Han, S.-J. Population genetic structure of the ark shell Scapharca broughtonii Schrenck from Korea, China, and Russia based on COI gene sequences. Mar. Biotechnol. 2007, 9, 203–216. [Google Scholar] [CrossRef]
- Roh, S.W.; Lee, H.W.; Yim, K.J.; Shin, N.R.; Lee, J.; Whon, T.W.; Lim, N.L.; Kim, D.; Bae, J.W. Rhodopirellula rosea sp. nov., a novel bacterium isolated from an ark clam Scapharca broughtonii. J. Microbiol. 2013, 51, 301–304. [Google Scholar] [CrossRef]
- Zhao, Q.; Wu, B.; Liu, Z.; Sun, X.; Zhou, L.; Yang, A.; Zhang, G. Molecular cloning, expression and biochemical characterization of hemoglobin gene from ark shell Scapharca broughtonii. Fish. Shellfish. Immunol. 2018, 78, 60–68. [Google Scholar] [CrossRef]
- Bai, C.M.; Gao, W.H.; Wang, C.M.; Yu, T.; Zhang, T.W.; Qiu, Z.X.; Wang, Q.C.; Huang, J. Identification and characterization of ostreid herpesvirus 1 associated with massive mortalities of Scapharca broughtonii broodstocks in China. Dis. Aquat. Organ. 2016, 118, 65–75. [Google Scholar] [CrossRef]
- Bai, C.M.; Wang, Q.C.; Morga, B.; Shi, J.; Wang, C.M. Experimental infection of adult Scapharca broughtonii with Ostreid herpesvirus SB strain. J. Invertebr. Pathol. 2017, 143, 79–82. [Google Scholar] [CrossRef] [PubMed]
- Xia, J.; Bai, C.; Wang, C.; Song, X.; Huang, J. Complete genome sequence of Ostreid herpesvirus-1 associated with mortalities of Scapharca broughtonii broodstocks. Virol. J. 2015, 12, 110. [Google Scholar] [CrossRef] [PubMed]
- Bai, C.M.; Morga, B.; Rosani, U.; Shi, J.; Li, C.; Xin, L.S.; Wang, C.M. Long-range PCR and high-throughput sequencing of Ostreid herpesvirus 1 indicate high genetic diversity and complex evolution process. Virology 2019, 526, 81–90. [Google Scholar] [CrossRef]
- Bai, C.M.; Rosani, U.; Xin, L.S.; Li, G.Y.; Li, C.; Wang, Q.C.; Wang, C.M. Dual transcriptomic analysis of Ostreid herpesvirus 1 infected Scapharca broughtonii with an emphasis on viral anti-apoptosis activities and host oxidative bursts. Fish. Shellfish. Immun. 2018, 82, 554–564. [Google Scholar] [CrossRef] [PubMed]
- Zheng, L.; Liu, Z.; Wu, B.; Dong, Y.; Zhou, L.; Tian, J.; Sun, X.; Yang, A. Ferritin has an important immune function in the ark shell Scapharca broughtonii. Dev. Comp. Immunol. 2016, 59, 15–24. [Google Scholar] [CrossRef] [PubMed]
- Xin, L.; Huang, B.; Zhang, H.; Li, C.; Bai, C.; Wang, C. OsHV-1 infection leads to mollusc tissue lesion and iron redistribution, revealing a strategy of iron limitation against pathogen. Metallomics 2019, 11, 822–832. [Google Scholar] [CrossRef] [PubMed]
- Martenot, C.; Oden, E.; Travaille, E.; Malas, J.P.; Houssin, M. Comparison of two real-time PCR methods for detection of ostreid herpesvirus 1 in the Pacific oyster Crassostrea gigas. J. Virol. Methods 2010, 170, 86–89. [Google Scholar] [CrossRef]
- Corbeil, S.; Faury, N.; Segarra, A.; Renault, T. Development of an in situ hybridization assay for the detection of ostreid herpesvirus type 1 mRNAs in the Pacific oyster, Crassostrea gigas. J. Virol. Methods 2015, 211, 43–50. [Google Scholar] [CrossRef]
- Lipart, C.; Renault, T. Herpes-like virus detection in infected Crassostrea gigas spat using DIG-labelled probes. J. Virol. Methods 2002, 101, 1–10. [Google Scholar] [CrossRef]
- Bueno, R.; Perrott, M.; Dunowska, M.; Brosnahan, C.; Johnston, C. In situ hybridization and histopathological observations during ostreid herpesvirus-1-associated mortalities in Pacific oysters Crassostrea gigas. Dis. Aquat. Organ. 2016, 122, 43–55. [Google Scholar] [CrossRef]
- Bai, C.M.; Li, Y.N.; Chang, P.H.; Jiang, J.Z.; Xin, L.S.; Li, C.; Wang, J.Y.; Wang, C.M. In situ hybridization revealed wide distribution of Haliotid herpesvirus 1 in infected small abalone, Haliotis diversicolor supertexta. J. Invertebr. Pathol. 2020, 173, 107356. [Google Scholar] [CrossRef] [PubMed]
- Pernet, F.; Browman, H.I. The future is now: Marine aquaculture in the anthropocene. ICES J. Mar. Sci. 2021, 78, 315–322. [Google Scholar] [CrossRef]
- Naylor, R.L.; Hardy, R.W.; Buschmann, A.H.; Bush, S.R.; Cao, L.; Klinger, D.H.; Little, D.C.; Lubchenco, J.; Shumway, S.E.; Troell, M. A 20-year retrospective review of global aquaculture. Nature 2021, 591, 551–563. [Google Scholar] [CrossRef] [PubMed]
- Rodgers, C.J.; Carnegie, R.B.; Chavez-Sanchez, M.C.; Martinez-Chavez, C.C.; Furones Nozal, M.D.; Hine, P.M. Legislative and regulatory aspects of molluscan health management. J. Invertebr. Pathol. 2015, 131, 242–255. [Google Scholar] [CrossRef] [PubMed]
- Carnegie, R.B.; Arzul, I.; Bushek, D. Managing marine mollusc diseases in the context of regional and international commerce: Policy issues and emerging concerns. Philos. Trans. R. Soc. Lond. B Biol. Sci. 2016, 371, 20150215. [Google Scholar] [CrossRef]
- Robledo, J.A.F.; Marquis, N.D.; Countway, P.D.; Record, N.R.; Irish, E.L.; Schuldt, M.M.; Kingston, S.E.; Bishop, T.J.; Messerman, N.A.; Bowden, T.J. Pathogens of marine bivalves in Maine (USA): A historical perspective. Aquaculture 2018, 493, 9–17. [Google Scholar] [CrossRef]
- Bai, C.M.; Xin, L.S.; Wang, C.M. Malacoherpesviruses and their associated damages to mollusk aquaculture industry. Progress. Fish. Sci. 2021, 42, 214–226. [Google Scholar]
- Mazaleyrat, A.; Normand, J.; Dubroca, L.; Fleury, E. A 26-year time series of mortality and growth of the Pacific oyster C. gigas recorded along French coasts. Sci. Data 2022, 9, 392. [Google Scholar] [CrossRef]
- Oyanedel, D.; Lagorce, A.; Bruto, M.; Haffner, P.; Morot, A.; Labreuche, Y.; Dorant, Y.; de La Forest Divonne, S.; Delavat, F.; Inguimbert, N.; et al. Cooperation and cheating orchestrate Vibrio assemblages and polymicrobial synergy in oysters infected with OsHV-1 virus. Proc. Natl. Acad. Sci. USA 2023, 120, e2305195120. [Google Scholar] [CrossRef]
- Song, W.-B.; Wang, C.-M.; Wang, X.-H.; Li, Y.; Li, J. New research progress on massive mortality of cultured scallop Chlamys farreri. Mar. Sci. 2001, 25, 23–26. [Google Scholar]
- Bai, C.M.; Wang, C.M.; Xia, J.Y.; Sun, H.L.; Zhang, S.; Huang, J. Emerging and endemic types of Ostreid herpesvirus 1 were detected in bivalves in China. J. Invertebr. Pathol. 2015, 124, 98–106. [Google Scholar] [CrossRef] [PubMed]
- Batista, F.M.; Arzul, I.; Pepin, J.F.; Ruano, F.; Friedman, C.S.; Boudry, P.; Renault, T. Detection of ostreid herpesvirus 1 DNA by PCR in bivalve molluscs: A critical review. J. Virol. Methods 2007, 139, 1–11. [Google Scholar] [CrossRef] [PubMed]
- Ren, W.C.; Renault, T.; Cai, Y.Y.; Wang, C.M. Development of a loop-mediated isothermal amplification assay for rapid and sensitive detection of ostreid herpesvirus 1 DNA. J. Virol. Methods 2010, 170, 30–36. [Google Scholar] [CrossRef]
- Renault, T.; Faury, N.; Morga, B. Propidium monoazide PCR, a method to determine OsHV-1 undamaged capsids and to estimate virus Lethal Dose 50. Virus Res. 2024, 340, 199307. [Google Scholar] [CrossRef] [PubMed]
- Carella, F.; Feist, S.W.; Bignell, J.P.; De Vico, G. Comparative pathology in bivalves: Aetiological agents and disease processes. J. Invertebr. Pathol. 2015, 131, 107–120. [Google Scholar] [CrossRef] [PubMed]
- Dantan, L.; Toulza, E.; Petton, B.; Montagnani, C.; Degremont, L.; Morga, B.; Fleury, Y.; Mitta, G.; Gueguen, Y.; Vidal-Dupiol, J.; et al. Microbial education for marine invertebrate disease prevention in aquaculture. Rev. Aquacult. 2024, 16, 1229–1243. [Google Scholar] [CrossRef]
- Aranguren, R.; Figueras, A. Moving from Histopathology to Molecular Tools in the Diagnosis of Molluscs Diseases of Concern under EU Legislation. Front. Physiol. 2016, 7, 538. [Google Scholar] [CrossRef]
- Charuruks, N.; Voravud, N. In situ hybridization: A new tool in molecular medicine. J. Med. Assoc. Thai 1996, 79, 374–381. [Google Scholar]
- Segarra, A.; Baillon, L.; Faury, N.; Tourbiez, D.; Renault, T. Detection and distribution of ostreid herpesvirus 1 in experimentally infected Pacific oyster spat. J. Invertebr. Pathol. 2016, 133, 59–65. [Google Scholar] [CrossRef]
- Lopez-Sanmartin, M.; Lopez-Fernandez, J.R.; Cunha, M.E.; De la Herran, R.; Navas, J.I. Ostreid herpesvirus in wild oysters from the Huelva coast (SW Spain). Dis. Aquat. Organ. 2016, 120, 231–240. [Google Scholar] [CrossRef]
- Martenot, C.; Segarra, A.; Baillon, L.; Faury, N.; Houssin, M.; Renault, T. In situ localization and tissue distribution of ostreid herpesvirus 1 proteins in infected Pacific oyster, Crassostrea gigas. J. Invertebr. Pathol. 2016, 136, 124–135. [Google Scholar] [CrossRef] [PubMed]
- Biesaga, B.; Szostek, S.; Klimek, M.; Jakubowicz, J.; Wysocka, J. Comparison of the sensitivity and specificity of real-time PCR and in situ hybridization in HPV16 and 18 detection in archival cervical cancer specimens. Folia Histochem. Et Cytobiol. 2012, 50, 239–247. [Google Scholar] [CrossRef] [PubMed]
- Segarra, A.; Faury, N.; Pepin, J.F.; Renault, T. Transcriptomic study of 39 ostreid herpesvirus 1 genes during an experimental infection. J. Invertebr. Pathol. 2014, 119, 5–11. [Google Scholar] [CrossRef] [PubMed]
- de Lorgeril, J.; Lucasson, A.; Petton, B.; Toulza, E.; Montagnani, C.; Clerissi, C.; Vidal-Dupiol, J.; Chaparro, C.; Galinier, R.; Escoubas, J.M.; et al. Immune-suppression by OsHV-1 viral infection causes fatal bacteraemia in Pacific oysters. Nat. Commun. 2018, 9, 4215. [Google Scholar] [CrossRef] [PubMed]
- He, Y.; Jouaux, A.; Ford, S.E.; Lelong, C.; Sourdaine, P.; Mathieu, M.; Guo, X. Transcriptome analysis reveals strong and complex antiviral response in a mollusc. Fish. Shellfish. Immunol. 2015, 46, 131–144. [Google Scholar] [CrossRef]
- Segarra, A.; Mauduit, F.; Faury, N.; Trancart, S.; Dégremont, L.; Tourbiez, D.; Haffner, P.; Barbosa-Solomieu, V.; Pepin, J.F.; Travers, M.A.; et al. Dual transcriptomics of virus-host interactions: Comparing two Pacific oyster families presenting contrasted susceptibility to ostreid herpesvirus 1. BMC Genom. 2014, 15, 580. [Google Scholar] [CrossRef]
- Schikorski, D.; Faury, N.; Pepin, J.F.; Saulnier, D.; Tourbiez, D.; Renault, T. Experimental ostreid herpesvirus 1 infection of the Pacific oyster Crassostrea gigas: Kinetics of virus DNA detection by q-PCR in seawater and in oyster samples. Virus Res. 2011, 155, 28–34. [Google Scholar] [CrossRef]
- Segarra, A.; Baillon, L.; Tourbiez, D.; Benabdelmouna, A.; Faury, N.; Bourgougnon, N.; Renault, T. Ostreid herpesvirus type 1 replication and host response in adult Pacific oysters, Crassostrea gigas. Vet. Res. 2014, 45, 103. [Google Scholar] [CrossRef]
- Arzul, I.; Renault, T.; Thebault, A.; Gerard, A. Detection of oyster herpesvirus DNA and proteins in asymptomatic Crassostrea gigas adults. Virus Res. 2002, 84, 151–160. [Google Scholar] [CrossRef]
- Jenkins, C.; Hick, P.; Gabor, M.; Spiers, Z.; Fell, S.A.; Gu, X.; Read, A.; Go, J.; Dove, M.; O’Connor, W.; et al. Identification and characterisation of an ostreid herpesvirus-1 microvariant (OsHV-1 μvar) in Crassostrea gigas (Pacific oysters) in Australia. Dis. Aquat. Organ. 2013, 105, 109–126. [Google Scholar] [CrossRef]
- Comps, M.; Cochennect, N. A herpes-like virus from the European oyster Ostrea edulis L. J. Invertebr. Pathol. 1993, 62, 201–203. [Google Scholar] [CrossRef]
- da Silva, P.M.; Renault, T.; Fuentes, J.; Villalba, A. Herpesvirus infection in European flat oysters Ostrea edulis obtained from brood stocks of various geographic origins and grown in Galicia (NW Spain). Dis. Aquat. Organ. 2008, 78, 181–188. [Google Scholar] [CrossRef] [PubMed]
- Hine, P.; Thorne, T. Replication of herpes-like viruses in haemocytes of adult flat oysters Ostrea angasi an ultrastructural study. Dis. Aquat. Organ. 1997, 29, 189–196. [Google Scholar] [CrossRef]






| Table (hpi) | Mantle | Hepatopancreas | Gill | Foot | Adductor Muscle | |||||
|---|---|---|---|---|---|---|---|---|---|---|
| ISH | qPCR | ISH | qPCR | ISH | qPCR | ISH | qPCR | ISH | qPCR | |
| 0 | - | 1.13 | - | 5.26 | - | 5.70 | - | 4.94 | - | 5.54 |
| 6 | - | 1.89 × 101 | - | 5.38 | - | 5.35 | - | 5.06 | - | 5.00 |
| 12 | - | 1.57 × 101 | - | 5.14 | - | 5.63 | - | 5.69 | - | 5.42 |
| 24 | - | 4.46 × 104 | - | 6.27 | - | 6.60 | - | 5.02 | - | 6.22 |
| 48 | + | 4.98 × 104 | ++ | 1.14 × 101 | + | 2.67 × 102 | ++ | 2.87 × 102 | ++ | 3.91 × 103 |
| 72 | ++ | 5.45 × 105 | ++ | 5.08 × 105 | ++ | 5.03 × 105 | ++ | 2.54 × 102 | + | 3.46 |
Disclaimer/Publisher’s Note: The statements, opinions and data contained in all publications are solely those of the individual author(s) and contributor(s) and not of MDPI and/or the editor(s). MDPI and/or the editor(s) disclaim responsibility for any injury to people or property resulting from any ideas, methods, instructions or products referred to in the content. |
© 2024 by the authors. Licensee MDPI, Basel, Switzerland. This article is an open access article distributed under the terms and conditions of the Creative Commons Attribution (CC BY) license (https://creativecommons.org/licenses/by/4.0/).
Share and Cite
Li, Y.-N.; Zhang, X.; Huang, B.-W.; Xin, L.-S.; Wang, C.-M.; Bai, C.-M. Localization and Tissue Tropism of Ostreid Herpesvirus 1 in Blood Clam Anadara broughtonii. Biology 2024, 13, 720. https://doi.org/10.3390/biology13090720
Li Y-N, Zhang X, Huang B-W, Xin L-S, Wang C-M, Bai C-M. Localization and Tissue Tropism of Ostreid Herpesvirus 1 in Blood Clam Anadara broughtonii. Biology. 2024; 13(9):720. https://doi.org/10.3390/biology13090720
Chicago/Turabian StyleLi, Ya-Nan, Xiang Zhang, Bo-Wen Huang, Lu-Sheng Xin, Chong-Ming Wang, and Chang-Ming Bai. 2024. "Localization and Tissue Tropism of Ostreid Herpesvirus 1 in Blood Clam Anadara broughtonii" Biology 13, no. 9: 720. https://doi.org/10.3390/biology13090720
APA StyleLi, Y.-N., Zhang, X., Huang, B.-W., Xin, L.-S., Wang, C.-M., & Bai, C.-M. (2024). Localization and Tissue Tropism of Ostreid Herpesvirus 1 in Blood Clam Anadara broughtonii. Biology, 13(9), 720. https://doi.org/10.3390/biology13090720

