Intermediate and Transitory Inflammation Mediate Proper Alveolar Bone Healing Outcome in Contrast to Extreme Low/High Responses: Evidence from Mice Strains Selected for Distinct Inflammatory Phenotypes
Simple Summary
Abstract
1. Introduction
2. Materials and Methods
2.1. Animals
2.2. Experimental Protocol and Mice Tooth Extraction Model
2.3. Micro-Computed Tomography (μCT) Assessment
2.4. Histological Analysis
2.5. Picrosirius-Polarization Method
2.6. Immunohistochemistry Analysis
2.7. RealTime PCR Array Reactions
2.8. Statistical Analysis
3. Results
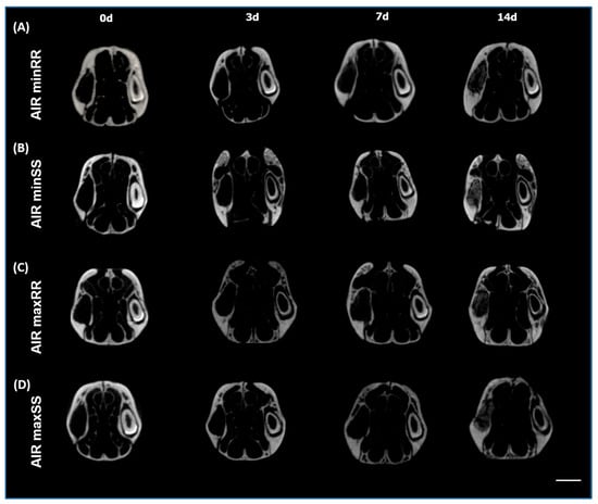
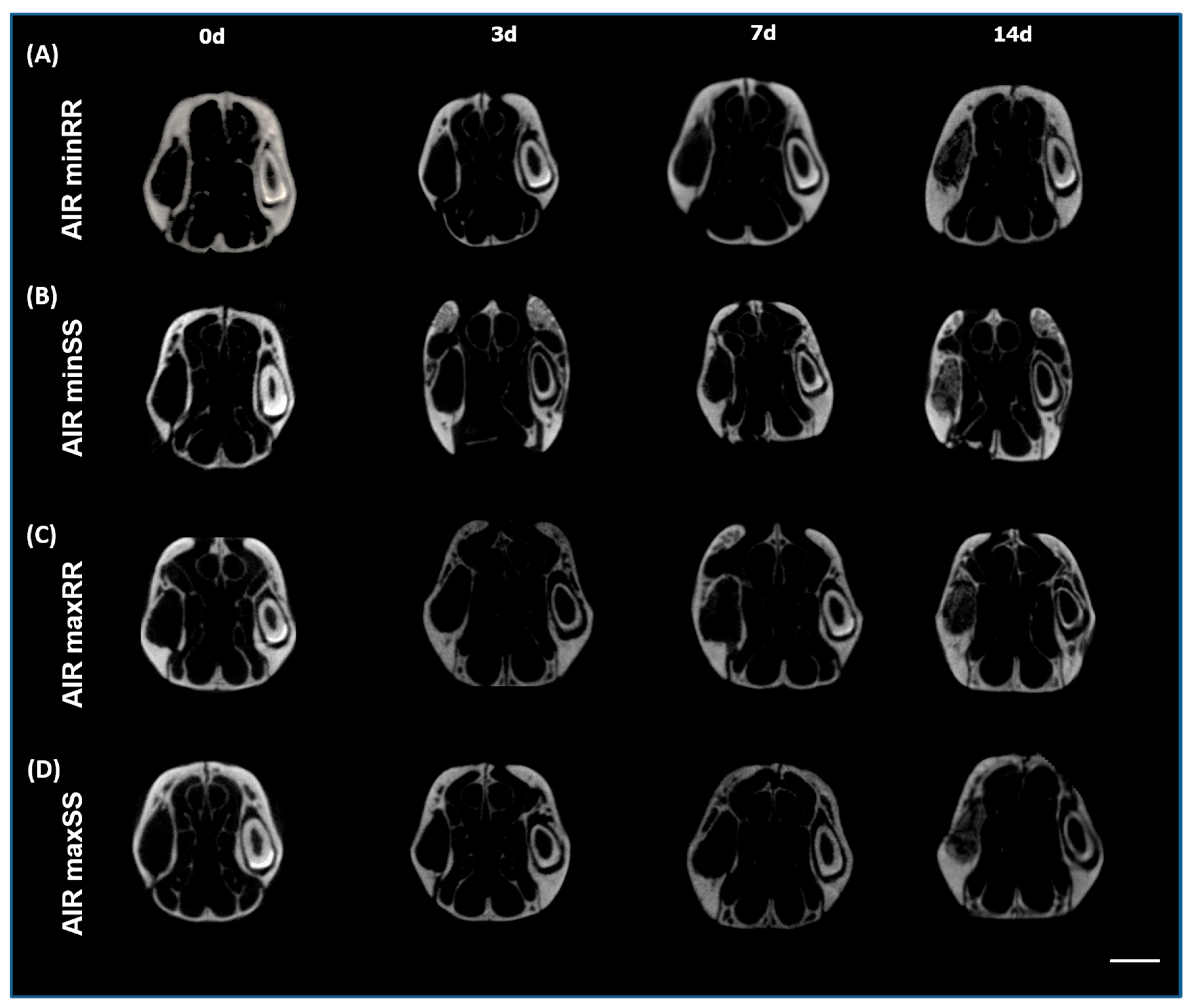
3.1. Micro-Computed Tomography μCT Analysis
3.2. Histological and Histomorphometrical Evaluation
3.3. Collagen Birefringence Analysis
3.4. Immunohistochemistry Analysis of Ly6g-GR1+, F4/80+, CD80+, CD206+
3.5. Molecular Analysis Using Realtime PCRArray
4. Discussion
5. Conclusions
Author Contributions
Funding
Institutional Review Board Statement
Informed Consent Statement
Data Availability Statement
Acknowledgments
Conflicts of Interest
References
- Tsiridis, E.; Morgan, E.F.; Bancroft, J.M.; Song, M.; Kain, M.; Gerstenfeld, L.; Einhorn, T.A.; Bouxsein, M.L.; Tornetta, P., 3rd. Effects of OP-1 and PTH in a new experimental model for the study of metaphyseal bone healing. J. Orthop. Res. 2007, 25, 1193–1203. [Google Scholar] [CrossRef] [PubMed]
- Yan, Y.; Lin, X.; Dai, X.; Wang, G.; Zhang, L.; Zou, H. Research progress of regulation of osteoclast formation and function. Chin. J. Reparative Reconstr. Surg. 2014, 28, 1435–1440. [Google Scholar]
- Ai-Aql, Z.S.; Alagl, A.S.; Graves, D.T.; Gerstenfeld, L.C.; Einhorn, T.A. Molecular mechanisms controlling bone formation during fracture healing and distraction osteogenesis. J. Dent. Res. 2008, 87, 107–118. [Google Scholar] [CrossRef] [PubMed]
- Biozzi, G.; Ribeiro, O.G.; Saran, A.; Araujo, M.L.; Maria, D.A.; De Franco, M.; Cabrera, W.K.; Sant’anna, O.A.; Massa, S.; Covelli, V.; et al. Effect of genetic modification of acute inflammatory responsiveness on tumorigenesis in the mouse. Carcinogenesis 1998, 19, 337–346. [Google Scholar] [CrossRef]
- Eming, S.A.; Hammerschmidt, M.; Krieg, T.; Roers, A. Interrelation of immunity and tissue repair or regeneration. Semin. Cell Dev. Biol. 2009, 20, 517–527. [Google Scholar] [CrossRef]
- Konnecke, I.; Serra, A.; El Khassawna, T.; Schlundt, C.; Schell, H.; Hauser, A.; Ellinghaus, A.; Volk, H.D.; Radbruch, A.; Duda, G.N.; et al. T and B cells participate in bone repair by infiltrating the fracture callus in a two-wave fashion. Bone 2014, 64, 155–165. [Google Scholar] [CrossRef]
- Thomas, M.V.; Puleo, D.A. Infection, inflammation, and bone regeneration: A paradoxical relationship. J. Dent. Res. 2011, 90, 1052–1061. [Google Scholar] [CrossRef]
- Hajishengallis, G.; Lambris, J.D. More than complementing Tolls: Complement-Toll-like receptor synergy and crosstalk in innate immunity and inflammation. Immunol. Rev. 2016, 274, 233–244. [Google Scholar] [CrossRef]
- Colavite, P.M.; Vieira, A.E.; Palanch Repeke, C.E.; de Araujo Linhari, R.P.; De Andrade, R.; Borrego, A.; De Franco, M.; Trombone, A.P.F.; Garlet, G.P. Alveolar bone healing in mice genetically selected in the maximum (AIRmax) or minimum (AIRmin) inflammatory reaction. Cytokine 2019, 114, 47–60. [Google Scholar] [CrossRef]
- Ibanez, O.M.; Stiffel, C.; Ribeiro, O.G.; Cabrera, W.K.; Massa, S.; de Franco, M.; Sant’Anna, O.A.; Decreusefond, C.; Mouton, D.; Siqueira, M.; et al. Genetics of nonspecific immunity: I. Bidirectional selective breeding of lines of mice endowed with maximal or minimal inflammatory responsiveness. Eur. J. Immunol. 1992, 22, 2555–2563. [Google Scholar] [CrossRef]
- Ribeiro, O.G.; Maria, D.A.; Adriouch, S.; Pechberty, S.; Cabrera, W.H.; Morisset, J.; Ibanez, O.M.; Seman, M. Convergent alteration of granulopoiesis, chemotactic activity, and neutrophil apoptosis during mouse selection for high acute inflammatory response. J. Leukoc. Biol. 2003, 74, 497–506. [Google Scholar] [CrossRef] [PubMed]
- Araujo, L.M.; Ribeiro, O.G.; Siqueira, M.; De Franco, M.; Starobinas, N.; Massa, S.; Cabrera, W.H.; Mouton, D.; Seman, M.; Ibanez, O.M. Innate resistance to infection by intracellular bacterial pathogens differs in mice selected for maximal or minimal acute inflammatory response. Eur. J. Immunol. 1998, 28, 2913–2920. [Google Scholar] [CrossRef]
- Borrego, A.; Peters, L.C.; Jensen, J.R.; Ribeiro, O.G.; Koury Cabrera, W.H.; Starobinas, N.; Seman, M.; Ibanez, O.M.; De Franco, M. Genetic determinants of acute inflammation regulate Salmonella infection and modulate Slc11a1 gene (formerly Nramp1) effects in selected mouse lines. Microbes Infect. 2006, 8, 2766–2771. [Google Scholar] [CrossRef] [PubMed]
- De Franco, M.; Carneiro Pdos, S.; Peters, L.C.; Vorraro, F.; Borrego, A.; Ribeiro, O.G.; Starobinas, N.; Cabrera, W.K.; Ibanez, O.M. Slc11a1 (Nramp1) alleles interact with acute inflammation loci to modulate wound-healing traits in mice. Mamm. Genome 2007, 18, 263–269. [Google Scholar] [CrossRef]
- Peters, L.C.; Jensen, J.R.; Borrego, A.; Cabrera, W.H.; Baker, N.; Starobinas, N.; Ribeiro, O.G.; Ibanez, O.M.; De Franco, M. Slc11a1 (formerly NRAMP1) gene modulates both acute inflammatory reactions and pristane-induced arthritis in mice. Genes. Immun. 2007, 8, 51–56. [Google Scholar] [CrossRef]
- Forbes, G.C.; Kenley, F.R.; Kennedy, A.R.; Mulvey, R.E.; O’Hara, C.T.; Parkinson, J.A. Synthesis of the mixed lithium-potassium-(bis)magnesium N-metallated/N, C-dimetallated amide [Li2K2Mg4[But(Me3Si)N]4[But[Me2(H2C)Si]N]4]: An inverse crown molecule with an atomless cavity. Chem. Commun. 2003, 10, 1140–1141. [Google Scholar] [CrossRef]
- Fritsche, G.; Nairz, M.; Theurl, I.; Mair, S.; Bellmann-Weiler, R.; Barton, H.C.; Weiss, G. Modulation of macrophage iron transport by Nramp1 (Slc11a1). Immunobiology 2007, 212, 751–757. [Google Scholar] [CrossRef]
- Barton, C.H.; Whitehead, S.H.; Blackwell, J.M. Nramp transfection transfers Ity/Lsh/Bcg-related pleiotropic effects on macrophage activation: Influence on oxidative burst and nitric oxide pathways. Mol. Med. 1995, 1, 267–279. [Google Scholar] [CrossRef]
- Kita, E.; Nishikawa, F.; Kamikaidou, N.; Nakano, A.; Katsui, N.; Kashiba, S. Mononuclear cell response in the liver of mice infected with hepatotoxigenic Campylobacter jejuni. J. Med. Microbiol. 1992, 37, 326–331. [Google Scholar] [CrossRef]
- Rajarathnam, K.; Schnoor, M.; Richardson, R.M.; Rajagopal, S. How do chemokines navigate neutrophils to the target site: Dissecting the structural mechanisms and signaling pathways. Cell Signal 2019, 54, 69–80. [Google Scholar] [CrossRef]
- Canhamero, T.; Reines, B.; Peters, L.C.; Borrego, A.; Carneiro, P.S.; Albuquerque, L.L.; Cabrera, W.H.; Ribeiro, O.G.; Jensen, J.R.; Starobinas, N.; et al. Distinct early inflammatory events during ear tissue regeneration in mice selected for high inflammation bearing Slc11a1 R and S alleles. Inflammation 2011, 34, 303–313. [Google Scholar] [CrossRef] [PubMed]
- Correa, M.A.; Canhamero, T.; Borrego, A.; Katz, I.S.S.; Jensen, J.R.; Guerra, J.L.; Cabrera, W.H.K.; Starobinas, N.; Fernandes, J.G.; Ribeiro, O.G.; et al. Slc11a1 (Nramp-1) gene modulates immune-inflammation genes in macrophages during pristane-induced arthritis in mice. Inflamm. Res. 2017, 66, 969–980. [Google Scholar] [CrossRef] [PubMed]
- Vieira, A.E.; Repeke, C.E.; Ferreira Junior Sde, B.; Colavite, P.M.; Biguetti, C.C.; Oliveira, R.C.; Assis, G.F.; Taga, R.; Trombone, A.P.; Garlet, G.P. Intramembranous bone healing process subsequent to tooth extraction in mice: Micro-computed tomography, histomorphometric and molecular characterization. PLoS ONE 2015, 10, e0128021. [Google Scholar] [CrossRef]
- Bouxsein, M.L.; Boyd, S.K.; Christiansen, B.A.; Guldberg, R.E.; Jepsen, K.J.; Muller, R. Guidelines for assessment of bone microstructure in rodents using micro-computed tomography. J. Bone Min. Res. 2010, 25, 1468–1486. [Google Scholar] [CrossRef]
- Kuroshima, S.; Kovacic, B.L.; Kozloff, K.M.; McCauley, L.K.; Yamashita, J. Intra-oral PTH administration promotes tooth extraction socket healing. J. Dent. Res. 2013, 92, 553–559. [Google Scholar] [CrossRef]
- Cardoso, B.B.; Amorim, C.; Franco-Duarte, R.; Alves, J.I.; Barbosa, S.G.; Silverio, S.C.; Rodrigues, L.R. Epilactose as a Promising Butyrate-Promoter Prebiotic via Microbiota Modulation. Life 2024, 14, 643. [Google Scholar] [CrossRef]
- Rodrigues, T.; Ferreira, K.C.; Isquibola, G.; Franco, D.F.; Anderson, J.L.; Merib, J.O.; Lima Gomes, P.C.F. Investigating a new approach for magnetic ionic liquids: Dispersive liquid-liquid microextraction coupled to pyrolysis gas-chromatography-mass spectrometry to determine flame retardants in sewage sludge samples. J. Chromatogr. A 2024, 1730, 465038. [Google Scholar] [CrossRef]
- Scala, A.; Lang, N.P.; Schweikert, M.T.; de Oliveira, J.A.; Rangel-Garcia, I., Jr.; Botticelli, D. Sequential healing of open extraction sockets. An experimental study in monkeys. Clin. Oral. Implant. Res. 2014, 25, 288–295. [Google Scholar] [CrossRef]
- Canhamero, T.; Garcia, L.V.; De Franco, M. Acute Inflammation Loci Are Involved in Wound Healing in the Mouse Ear Punch Model. Adv. Wound Care 2014, 3, 582–591. [Google Scholar] [CrossRef]
- Das, A.; Sinha, M.; Datta, S.; Abas, M.; Chaffee, S.; Sen, C.K.; Roy, S. Monocyte and macrophage plasticity in tissue repair and regeneration. Am. J. Pathol. 2015, 185, 2596–2606. [Google Scholar] [CrossRef]
- Park, J.E.; Barbul, A. Understanding the role of immune regulation in wound healing. Am. J. Surg. 2004, 187, 11S–16S. [Google Scholar] [CrossRef] [PubMed]
- Taddei, S.R.; Andrade, I., Jr.; Queiroz-Junior, C.M.; Garlet, T.P.; Garlet, G.P.; Cunha Fde, Q.C.; Teixeira, M.M.; da Silva, T.A. Role of CCR2 in orthodontic tooth movement. Am. J. Orthod. Dentofac. Orthop. 2012, 141, 153–160. [Google Scholar] [CrossRef] [PubMed]
- Taddei, S.R.; Queiroz-Junior, C.M.; Moura, A.P.; Andrade, I., Jr.; Garlet, G.P.; Proudfoot, A.E.; Teixeira, M.M.; da Silva, T.A. The effect of CCL3 and CCR1 in bone remodeling induced by mechanical loading during orthodontic tooth movement in mice. Bone 2013, 52, 259–267. [Google Scholar] [CrossRef] [PubMed]
- Ferrante, C.J.; Leibovich, S.J. Regulation of Macrophage Polarization and Wound Healing. Adv. Wound Care 2012, 1, 10–16. [Google Scholar] [CrossRef]
- Hume, D.A. The Many Alternative Faces of Macrophage Activation. Front. Immunol. 2015, 6, 370. [Google Scholar] [CrossRef]
- Lam, R.S.; O’Brien-Simpson, N.M.; Lenzo, J.C.; Holden, J.A.; Brammar, G.C.; Walsh, K.A.; McNaughtan, J.E.; Rowler, D.K.; Van Rooijen, N.; Reynolds, E.C. Macrophage depletion abates Porphyromonas gingivalis-induced alveolar bone resorption in mice. J. Immunol. 2014, 193, 2349–2362. [Google Scholar] [CrossRef]
- Martinez, F.O.; Gordon, S. The M1 and M2 paradigm of macrophage activation: Time for reassessment. F1000Prime Rep. 2014, 6, 13. [Google Scholar] [CrossRef]
- Pappas, K.; Papaioannou, A.I.; Kostikas, K.; Tzanakis, N. The role of macrophages in obstructive airways disease: Chronic obstructive pulmonary disease and asthma. Cytokine 2013, 64, 613–625. [Google Scholar] [CrossRef]
- He, D.; Kou, X.; Luo, Q.; Yang, R.; Liu, D.; Wang, X.; Song, Y.; Cao, H.; Zeng, M.; Gan, Y.; et al. Enhanced M1/M2 macrophage ratio promotes orthodontic root resorption. J. Dent. Res. 2015, 94, 129–139. [Google Scholar] [CrossRef]
- Lam, R.S.; O’Brien-Simpson, N.M.; Holden, J.A.; Lenzo, J.C.; Fong, S.B.; Reynolds, E.C. Unprimed, M1 and M2 Macrophages Differentially Interact with Porphyromonas gingivalis. PLoS ONE 2016, 11, e0158629. [Google Scholar] [CrossRef]
- Palomino, D.C.; Marti, L.C. Chemokines and immunity. Einstein 2015, 13, 469–473. [Google Scholar] [CrossRef] [PubMed]
- Sima, C.; Glogauer, M. Macrophage subsets and osteoimmunology: Tuning of the immunological recognition and effector systems that maintain alveolar bone. Periodontology 2013, 63, 80–101. [Google Scholar] [CrossRef] [PubMed]
- Bashir, S.; Sharma, Y.; Elahi, A.; Khan, F. Macrophage polarization: The link between inflammation and related diseases. Inflamm. Res. 2016, 65, 1–11. [Google Scholar] [CrossRef] [PubMed]
- Ye, L.; Wen, Z.; Li, Y.; Chen, B.; Yu, T.; Liu, L.; Zhang, J.; Ma, Y.; Xiao, S.; Ding, L.; et al. Interleukin-10 attenuation of collagen-induced arthritis is associated with suppression of interleukin-17 and retinoid-related orphan receptor gammat production in macrophages and repression of classically activated macrophages. Arthritis Res. Ther. 2014, 16, R96. [Google Scholar] [CrossRef]
- Motwani, M.P.; Gilroy, D.W. Macrophage development and polarization in chronic inflammation. Semin. Immunol. 2015, 27, 257–266. [Google Scholar] [CrossRef]
- de Oliveira, S.; Rosowski, E.E.; Huttenlocher, A. Neutrophil migration in infection and wound repair: Going forward in reverse. Nat. Rev. Immunol. 2016, 16, 378–391. [Google Scholar] [CrossRef]
- Jorch, S.K.; Kubes, P. An emerging role for neutrophil extracellular traps in noninfectious disease. Nat. Med. 2017, 23, 279–287. [Google Scholar] [CrossRef]
- Sollberger, G. Approaching Neutrophil Pyroptosis. J. Mol. Biol. 2022, 434, 167335. [Google Scholar] [CrossRef]
- Azevedo, M.C.S.; Fonseca, A.C.; Colavite, P.M.; Melchiades, J.L.; Tabanez, A.P.; Codo, A.C.; de Medeiros, A.I.; Trombone, A.P.F.; Garlet, G.P. Macrophage Polarization and Alveolar Bone Healing Outcome: Despite a Significant M2 Polarizing Effect, VIP and PACAP Treatments Present a Minor Impact in Alveolar Bone Healing in Homeostatic Conditions. Front. Immunol. 2021, 12, 782566. [Google Scholar] [CrossRef]
- Myers, T.J.; Longobardi, L.; Willcockson, H.; Temple, J.D.; Tagliafierro, L.; Ye, P.; Li, T.; Esposito, A.; Moats-Staats, B.M.; Spagnoli, A. BMP2 Regulation of CXCL12 Cellular, Temporal, and Spatial Expression is Essential During Fracture Repair. J. Bone Min. Res. 2015, 30, 2014–2027. [Google Scholar] [CrossRef]
- Buck, D.W., 2nd; Dumanian, G.A. Bone biology and physiology: Part II. Clinical correlates. Plast. Reconstr. Surg. 2012, 129, 950e–956e. [Google Scholar] [CrossRef] [PubMed]
- Datta, H.K.; Ng, W.F.; Walker, J.A.; Tuck, S.P.; Varanasi, S.S. The cell biology of bone metabolism. J. Clin. Pathol. 2008, 61, 577–587. [Google Scholar] [CrossRef] [PubMed]
- Ono, T.; Takayanagi, H. Osteoimmunology in Bone Fracture Healing. Curr. Osteoporos. Rep. 2017, 15, 367–375. [Google Scholar] [CrossRef] [PubMed]
- Tabanez, A.P.; de Campos Soriani Azevedo, M.; Melchiades, J.L.; Fonseca, A.C.; Francisconi, C.F.; Colavite, P.M.; Biguetti, C.C.; de Oliveira Rodini Pegoraro, C.; Trombone, A.P.F.; Garlet, G.P. FTY720 administration results in a M2 associated immunoregulatory effect that positively influences the outcome of alveolar bone repair outcome in mice. Bone 2022, 163, 116506. [Google Scholar] [CrossRef] [PubMed]
- Garlet, G.P. Destructive and protective roles of cytokines in periodontitis: A re-appraisal from host defense and tissue destruction viewpoints. J. Dent. Res. 2010, 89, 1349–1363. [Google Scholar] [CrossRef]
- Garlet, G.P.; Cardoso, C.R.; Silva, T.A.; Ferreira, B.R.; Avila-Campos, M.J.; Cunha, F.Q.; Silva, J.S. Cytokine pattern determines the progression of experimental periodontal disease induced by Actinobacillus actinomycetemcomitans through the modulation of MMPs, RANKL, and their physiological inhibitors. Oral. Microbiol. Immunol. 2006, 21, 12–20. [Google Scholar] [CrossRef]
- Garlet, G.P.; Horwat, R.; Ray, H.L., Jr.; Garlet, T.P.; Silveira, E.M.; Campanelli, A.P.; Trombone, A.P.; Letra, A.; Silva, R.M. Expression analysis of wound healing genes in human periapical granulomas of progressive and stable nature. J. Endod. 2012, 38, 185–190. [Google Scholar] [CrossRef]
- Trombone, A.P.; Ferreira, S.B., Jr.; Raimundo, F.M.; de Moura, K.C.; Avila-Campos, M.J.; Silva, J.S.; Campanelli, A.P.; De Franco, M.; Garlet, G.P. Experimental periodontitis in mice selected for maximal or minimal inflammatory reactions: Increased inflammatory immune responsiveness drives increased alveolar bone loss without enhancing the control of periodontal infection. J. Periodontal Res. 2009, 44, 443–451. [Google Scholar] [CrossRef]
- Eby, J.M.; Sharieh, F.; Callaci, J.J. Impact of Alcohol on Bone Health, Homeostasis and Fracture repair. Curr. Pathobiol. Rep. 2020, 8, 75–86. [Google Scholar] [CrossRef]
- Jung, M.K.; Callaci, J.J.; Lauing, K.L.; Otis, J.S.; Radek, K.A.; Jones, M.K.; Kovacs, E.J. Alcohol exposure and mechanisms of tissue injury and repair. Alcohol. Clin. Exp. Res. 2011, 35, 392–399. [Google Scholar] [CrossRef]
- Perrien, D.S.; Liu, Z.; Wahl, E.C.; Bunn, R.C.; Skinner, R.A.; Aronson, J.; Fowlkes, J.; Badger, T.M.; Lumpkin, C.K., Jr. Chronic ethanol exposure is associated with a local increase in TNF-alpha and decreased proliferation in the rat distraction gap. Cytokine 2003, 23, 179–189. [Google Scholar] [CrossRef] [PubMed]
- Korpi, J.T.; Astrom, P.; Lehtonen, N.; Tjaderhane, L.; Kallio-Pulkkinen, S.; Siponen, M.; Sorsa, T.; Pirila, E.; Salo, T. Healing of extraction sockets in collagenase-2 (matrix metalloproteinase-8)-deficient mice. Eur. J. Oral. Sci. 2009, 117, 248–254. [Google Scholar] [CrossRef] [PubMed]
- Ohira, T.; Myokai, F.; Shiomi, N.; Yamashiro, K.; Yamamoto, T.; Murayama, Y.; Arai, H.; Nishimura, F.; Takashiba, S. Identification of genes differentially regulated in rat alveolar bone wound healing by subtractive hybridization. J. Dent. Res. 2004, 83, 546–551. [Google Scholar] [CrossRef]
- Cardoso, C.L.; Ferreira Junior, O.; Carvalho, P.S.; Dionisio, T.J.; Cestari, T.M.; Garlet, G.P. Experimental dry socket: Microscopic and molecular evaluation of two treatment modalities. Acta Cir. Bras. 2011, 26, 365–372. [Google Scholar] [CrossRef]
- Kanyama, M.; Kuboki, T.; Akiyama, K.; Nawachi, K.; Miyauchi, F.M.; Yatani, H.; Kubota, S.; Nakanishi, T.; Takigawa, M. Connective tissue growth factor expressed in rat alveolar bone regeneration sites after tooth extraction. Arch. Oral. Biol. 2003, 48, 723–730. [Google Scholar] [CrossRef]
- Okamoto, T.; Vasconcelos Fialho, A.C. Comparative histological study of two methods of obtaining alveolar sections in rats. Rev. Odontol. UNESP 1990, 19, 63–74. [Google Scholar]
- Cardaropoli, G.; Araujo, M.; Lindhe, J. Dynamics of bone tissue formation in tooth extraction sites. An experimental study in dogs. J. Clin. Periodontol. 2003, 30, 809–818. [Google Scholar] [CrossRef]
- Rodrigues, M.T.; Cardoso, C.L.; Carvalho, P.S.; Cestari, T.M.; Feres, M.; Garlet, G.P.; Ferreira, O., Jr. Experimental alveolitis in rats: Microbiological, acute phase response and histometric characterization of delayed alveolar healing. J. Appl. Oral. Sci. 2011, 19, 260–268. [Google Scholar] [CrossRef]








Disclaimer/Publisher’s Note: The statements, opinions and data contained in all publications are solely those of the individual author(s) and contributor(s) and not of MDPI and/or the editor(s). MDPI and/or the editor(s) disclaim responsibility for any injury to people or property resulting from any ideas, methods, instructions or products referred to in the content. |
© 2024 by the authors. Licensee MDPI, Basel, Switzerland. This article is an open access article distributed under the terms and conditions of the Creative Commons Attribution (CC BY) license (https://creativecommons.org/licenses/by/4.0/).
Share and Cite
Colavite, P.M.; Azevedo, M.d.C.S.; Francisconi, C.F.; Fonseca, A.C.; Tabanez, A.P.; Melchiades, J.L.; Passadori, D.C.; Borrego, A.; De Franco, M.; Trombone, A.P.F.; et al. Intermediate and Transitory Inflammation Mediate Proper Alveolar Bone Healing Outcome in Contrast to Extreme Low/High Responses: Evidence from Mice Strains Selected for Distinct Inflammatory Phenotypes. Biology 2024, 13, 972. https://doi.org/10.3390/biology13120972
Colavite PM, Azevedo MdCS, Francisconi CF, Fonseca AC, Tabanez AP, Melchiades JL, Passadori DC, Borrego A, De Franco M, Trombone APF, et al. Intermediate and Transitory Inflammation Mediate Proper Alveolar Bone Healing Outcome in Contrast to Extreme Low/High Responses: Evidence from Mice Strains Selected for Distinct Inflammatory Phenotypes. Biology. 2024; 13(12):972. https://doi.org/10.3390/biology13120972
Chicago/Turabian StyleColavite, Priscila Maria, Michelle de Campos Soriani Azevedo, Carolina Fávaro Francisconi, Angélica Cristina Fonseca, André Petenucci Tabanez, Jéssica Lima Melchiades, Daniela Carignatto Passadori, Andrea Borrego, Marcelo De Franco, Ana Paula Favaro Trombone, and et al. 2024. "Intermediate and Transitory Inflammation Mediate Proper Alveolar Bone Healing Outcome in Contrast to Extreme Low/High Responses: Evidence from Mice Strains Selected for Distinct Inflammatory Phenotypes" Biology 13, no. 12: 972. https://doi.org/10.3390/biology13120972
APA StyleColavite, P. M., Azevedo, M. d. C. S., Francisconi, C. F., Fonseca, A. C., Tabanez, A. P., Melchiades, J. L., Passadori, D. C., Borrego, A., De Franco, M., Trombone, A. P. F., & Garlet, G. P. (2024). Intermediate and Transitory Inflammation Mediate Proper Alveolar Bone Healing Outcome in Contrast to Extreme Low/High Responses: Evidence from Mice Strains Selected for Distinct Inflammatory Phenotypes. Biology, 13(12), 972. https://doi.org/10.3390/biology13120972

