Effects of Extended Treatment with Protium heptaphyllum Liposomes on Metabolic Parameters of Obese Rats
Abstract
Simple Summary
Abstract
1. Introduction
2. Material and Methods
2.1. Extract Preparation and Liposome Development
2.2. Experimental
2.2.1. Animals
2.2.2. Characterization of Obesity, Calorie, Food and Water Consumption
2.2.3. Intraperitoneal Insulin Tolerance Test (IPITT) and Oral Glucose Tolerance Test (OGTT)
2.2.4. Metabolic Parameters in Liver, Adipose Tissue and Plasma
2.2.5. Histological Analyses of Liver Tissue
2.2.6. Immunological Evaluation
2.3. Data Analysis
3. Results
3.1. Anthropometric Measurements and Food Intake
3.2. Analysis of Plasma Parameters
3.3. Analysis of Redox Status Parameters in Adipose and Liver Tissue
3.4. Evaluation of Metabolic Parameters in Adipose and Hepatic Tissue
3.5. Analysis of Cytokines in Adipose and Hepatic Tissues
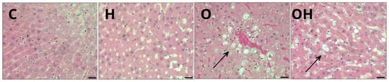
3.6. Histopathological Evaluation in Liver
4. Discussion
5. Final Considerations
Author Contributions
Funding
Institutional Review Board Statement
Informed Consent Statement
Data Availability Statement
Acknowledgments
Conflicts of Interest
References
- Islam, R.; Kabir, M.F.; Alam, R.; Dahr, R.; Rana, M.N.; Islam, E.; Parvin, S.; Hossain, A. Sedative, membrane stability, cytotoxic and antioxidant properties of methanol extract of leaves of Protium serratum Wall. Asian Pac. J. Trop. Dis. 2014, 4, 928–933. [Google Scholar] [CrossRef]
- Marques, D.D.; Sartori, R.A.; Lemos, T.L.G.; Machado, L.L.; Souza, J.S.N.D.; Monte, F.J.Q. Composição química dos óleos essenciais de duas subespécies de Protium heptaphyllum. Acta Amaz. 2010, 40, 227–230. [Google Scholar] [CrossRef]
- Tafurt-García, G.; Muñoz-Acevedo, A. Metabolitos volátiles presentes en Protium heptaphyllum (Aubl.) March. colectado en Tame (Arauca-Colombia). Boletín Latinoam. Caribe Plantas Med. Aromát. 2012, 11, 223–232. Available online: https://pesquisa.bvsalud.org/portal/resource/pt/lil-647661 (accessed on 24 June 2024).
- Patias, N.S.; Sinhorin, V.D.G.; Moura, F.R.; Cunha, A.P.F.; Lima, R.R.S.; Costa, R.J.; Costa, T.B.; Cavalheiro, L.; Bicudo, R.C.; Sinhorin, A.P. Identification of flavonoids by LC-MS/MS in leaves extract from Protium heptaphyllum (Aubl.) March and antioxidant activity in mice. Nat. Prod. J. 2021, 11, 715–727. [Google Scholar] [CrossRef]
- Anmol, A.; Aggarwal, G.; Sharma, M.; Singh, S.; Sharma, U. Journey of plants natural products from plants to bioactive products. ChemRxiv 2022. preprint. [Google Scholar] [CrossRef]
- Chopra, B.; Dhingra, A.K. Natural products: A lead for drug discovery and development. Phytother. Res. PTR 2021, 35, 4660–4702. [Google Scholar] [CrossRef]
- Shen, Y.; Hao, X. Natural product sciences: An integrative approach to the innovations of plant natural products. Sci. China Life Sci. 2020, 63, 1634–1650. [Google Scholar] [CrossRef]
- Voronkova, Y.S.; Voronkova, O.S.; Gorban, V.A.; Holoborodko, K.K. Oxidative stress, reactive oxygen species, antioxidants: A review. Ecol. Noospherology 2018, 29, 52–55. [Google Scholar] [CrossRef]
- Cai, Y.; Liu, P.; Xu, Y.; Xia, Y.; Peng, X.; Zhao, H.; Chen, Q. Biomarkers of obesity-mediated insulin resistance: Focus on microRNAs. Diabetol. Metab. Syndr. 2023, 15, 167. [Google Scholar] [CrossRef]
- Hanson, P.; Weickert, M.O.; Barber, T.M. Obesity: Novel and unusual predisposing factors. Ther. Adv. Endocrinol. Metab. 2020, 11, 2042018820922018. [Google Scholar] [CrossRef]
- Razzoli, M.; Pearson, C.; Crow, S.; Bartolomucci, A. Stress, overeating, and obesity: Insights from human studies and preclinical models. Neurosci. Biobehav. Rev. 2017, 76, 154–162. [Google Scholar] [CrossRef] [PubMed]
- Morera, L.P.; Marchiori, G.N.; Medrano, L.A.; Defagó, M.D. Stress, Dietary Patterns and Cardiovascular Disease: A Mini-Review. Front. Neurosci. 2019, 13, 1226. [Google Scholar] [CrossRef]
- Spencer, S.J.; Korosi, A.; Layé, S.; Shukitt-Hale, B.; Barrientos, R.M. Food for thought: How nutrition impacts cognition and emotion. npj Sci. Food 2017, 1, 7. [Google Scholar] [CrossRef] [PubMed]
- Goodarzi, M.O. Genetics of obesity: What genetic association studies have taught us about the biology of obesity and its complications. Lancet Diabetes Endocrinol. 2018, 6, 223–236. [Google Scholar] [CrossRef] [PubMed]
- Marques, D.O.; Quintilio, M.S.V. Pharmacology of obesity and risks of weight loss drugs. Rev. Col. Cient. 2021, 5, 38–49. [Google Scholar] [CrossRef]
- Unamuno, X.; Gómez-Ambrosi, J.; Rodríguez, A.; Becerril, S.; Frühbeck, G.; Catalán, V. Adipokine dysregulation and adipose tissue inflammation in human obesity. Eur. J. Clin. Investig. 2018, 48, e12997. [Google Scholar] [CrossRef]
- Devi, S.; Kumar, V.; Singh, S.K.; Dubey, A.K.; Kim, J.J. Flavonoids: Potential Candidates for the Treatment of Neurodegenerative Disorders. Biomedicines 2021, 9, 99. [Google Scholar] [CrossRef]
- Nani, A.; Murtaza, B.; Sayed Khan, A.; Khan, N.A.; Hichami, A. Potencial antioxidante e anti-inflamatório dos polifenóis contidos na dieta mediterrânea na obesidade: Mecanismos moleculares. Molecules 2021, 26, 985. [Google Scholar] [CrossRef]
- Martín, M.Á.; Ramos, S. Flavonoides dietéticos e sinalização de insulina em diabetes e obesidade. Cells 2021, 10, 1474. [Google Scholar] [CrossRef]
- Shabrova, E.V.; Tarnopolsky, O.; Singh, A.P.; Plutzky, J.; Vorsa, N.; Quadro, L. Insights into the Molecular Mechanisms of the Anti-Atherogenic Actions of Flavonoids in Normal and Obese Mice. PLoS ONE 2011, 6, e24634. [Google Scholar] [CrossRef]
- Pires, J.; Cargnin, S.T.; Costa, S.A.; Sinhorin, V.D.G.; Damazo, A.S.; Sinhorin, A.P.; Bicudo, R.C.; Cavalheiro, L.; Valladão, D.M.S.; Pohlmann, A.R.; et al. Healing of dermal wounds property of Caryocar brasiliense oil loaded polymeric lipid-core nanocapsules: Formulation and in vivo evaluation. Eur. J. Pharm. Sci. 2020, 150, 105356. [Google Scholar] [CrossRef] [PubMed]
- Chaves, J.B.; de Moraes, B.P.T.; Ferrarini, S.R.; Fonseca, F.N.; Silva, A.R.; Albuquerque, C.F.G. Potential of nanoformulations in malaria treatment. Front. Pharmacol. 2022, 13, 999300. [Google Scholar] [CrossRef] [PubMed]
- Tong, Y.; Xu, S.; Huang, L.; Chen, C. Obesity and insulin resistance: Pathophysiology and treatment. Drug Discov. Today 2022, 27, 822–830. [Google Scholar] [CrossRef]
- Zanco, P.; Ferrarini, S.R.; Cruz, L.; Ferreira, L.M.; Bicudo, R.D.C.; Cavalheiro, L.; Vieira Júnior, G.M.; Sugui, M.M. Improved antimutagenic effect of Pyrostegia venusta (Ker Gawl.) Miers nanostructured extract in liposome and polymeric nanoparticle. Braz. J. Pharm. Sci. 2022, 58, e20234. [Google Scholar] [CrossRef]
- Chaves, M.A.; Ferreira, L.S.; Baldino, L.; Pinho, S.C.; Reverchon, E. Current Applications of Liposomes for the Delivery of Vitamins: A Systematic Review. Nanomaterials 2023, 13, 1557. [Google Scholar] [CrossRef]
- Quadros, C.C.; Carvalho, A.S.A.; Machado, J.L.; Michelon, M.; Salas-Mellado, M.d.L.M. Lipid Nanocarriers as an Alternative for the Delivery of Bioactive Compounds Beneficial to Health. Curr. Bioact. Compd. 2023, 19, e060323214403. [Google Scholar] [CrossRef]
- Dutt, Y.; Pandey, R.P.; Dutt, M.; Gupta, A.; Vibhuti, A.; Raj, V.S.; Chang, C.; Priyadarshini, A. Liposomes and phytosomes: Nanocarrier systems and their applications for the delivery of phytoconstituents. Coord. Chem. Rev. 2023, 491, 0010–8545. [Google Scholar] [CrossRef]
- Patias, N.S.; Queiroz, E.A.I.F.; Ferrarini, S.R.; Bomfim, G.F.; Aguiar, D.H.; Sinhorin, A.P.; Bello, A.A.; Silva, G.V.F.; Cavalheiro, L.; Sinhorin, V.D.G. Effect of liposomal extract of Protium heptaphyllum (Alb.) March in the treatment of obesity induced by a high-calorie diet. Biology 2024, 13, 535. [Google Scholar] [CrossRef]
- Nascimento, A.F.; Sugizaki, M.M.; Leopoldo, A.S.; Lima-Leopoldo, A.P.; Luvizotto, R.A.; Nogueira, C.R.; Cicogna, A.C. A hypercaloric pellet-diet cycle induces obesity and co-morbidities in Wistar rats. Arq. Bras. Endocrinol. Metabol. 2008, 52, 968–974. [Google Scholar] [CrossRef]
- Comiran, P.K.; Ribeiro, M.C.; Silva, J.H.G.; Martins, K.O.; Santos, I.A.; Chiaradia, A.E.F.; Silva, A.Z.; Dekker, R.F.H.; Barbosa-Dekker, A.M.; Alegranci, P.; et al. Botryosphaeran Attenuates Tumor Development and the Cancer Cachexia Syndrome in Walker-256 Tumor-Bearing Obese Rats and Improves the Metabolic and Hematological Profiles of These Rats. Nutr. Cancer 2021, 73, 1175–1192. [Google Scholar] [CrossRef]
- Malone, M.H. The pharmacological evaluation of natural products--general and specific approaches to screening ethnopharmaceuticals. J. Ethnopharmacol. 1983, 8, 127–147. [Google Scholar] [CrossRef] [PubMed]
- Dubois, M.; Gilles, K.A.; Hamilton, J.K.; Roberts, P.A.; Smith, F. Colorimetric method for determination of sugars and related substances. Anal. Chem. 1956, 28, 350–358. [Google Scholar] [CrossRef]
- Bidinotto, P.M.; Souza, R.H.S.; Moraes, G. Hepatic glycogen in eight tropical freshwater teleost fish: A procedure for field determinations of micro samples. Bol. Técnico CEPTA 1997, 10, 53–60. Available online: https://www.icmbio.gov.br/cepta/images/stories/producao_cientifica/hepatic_1997_01.pdf (accessed on 26 August 2024).
- Harrower, J.R.; Brown, C.H. Blood lactic acid. A micromethod adapted to field collection of microliter samples. J. Appl. Physiol. 1972, 32, 709–711. [Google Scholar] [CrossRef] [PubMed]
- Bradford, M.M. A rapid and sensitive method for the quantification of microgram quantities of protein utilizing the principle of protein-dye binding. Anal. Biochem. 1976, 72, 248–254. [Google Scholar] [CrossRef] [PubMed]
- Spies, J.R. Colorimetric procedures for amino acids. Methods Enzymol. 1957, 3, 467–477. [Google Scholar]
- Gentzkow, C.J.; Masen, J.M. An accurate method for the determination of blood urea nitrogen by direct nesslerization. J. Biol. Chem. 1942, 143, 531–544. [Google Scholar] [CrossRef]
- Misra, H.P.; Fridovich, I. The role of superoxide anion in the auto-oxidation of epinephrine and a simple assay for superoxide dismutase. J. Biol. Chem. 1972, 247, 3170–3175. Available online: https://pubmed.ncbi.nlm.nih.gov/4623845/ (accessed on 10 August 2024). [CrossRef]
- Nelson, D.P.; Kiesow, L.A. Enthalphy of decomposition of hydrogen peroxide by catalase at 25 °C (with molar extinction coefficients of H2O2 solution in the UV). Anal. Biochem. 1972, 49, 474–478. [Google Scholar] [CrossRef]
- Habig, W.H.; Pabst, M.J.; Jacoby, W.B. Glutathione S-transferase, the first enzymatic step in mercapturic acid formation. J. Biol. Chem. 1974, 249, 7130–7139. Available online: https://pubmed.ncbi.nlm.nih.gov/4436300/ (accessed on 15 July 2024). [CrossRef]
- Paglia, D.E.; Valentine, W.N. Studies on the quantitative and qualitative characterization of glutathione peroxidase. J. Lab. Clin. Med. 1987, 70, 158–165. Available online: https://pubmed.ncbi.nlm.nih.gov/6066618/ (accessed on 15 July 2024).
- Sedlack, J.; Lindsay, R.H. Estimation of total, protein-bound, and nonprotein sulfhydryl groups in tissue with Ellman’s reagent. Anal. Biochem. 1968, 25, 192–205. [Google Scholar] [CrossRef] [PubMed]
- Roe, J.H. Chemical determination of ascorbic, dehydroascorbic, and diketogulonic acids. Methods Biochem. Anal. 1954, 1, 115–139. [Google Scholar] [CrossRef] [PubMed]
- Buege, J.A.; Aust, S.D. Microsomal lipid peroxidation. Methods Enzymol. 1978, 52, 302–309. [Google Scholar]
- Colombo, G.; Marco, C.; Garavaglia, M.E.; Giustarini, D.; Rossi, R.; Milzani, A.; Dalle-Donne, I. A step-by-step protocol for assaying protein carbonylation in biological samples. J. Chromatogr. B 2016, 1019, 178–190. [Google Scholar] [CrossRef]
- Kim, D.; Hanzawa, F.; Shimizu, H.; Sun, S.; Umeki, M.; Ikeda, S.; Mochizuki, S.; Oda, H. Delayed feeding of a high-sucrose diet led to increased body weight by affecting the circadian rhythm of body temperature and hepatic lipid-metabolism genes in rats. J. Nutr. Biochem. 2023, 111, 109185. [Google Scholar] [CrossRef]
- Adeoye, B.K.; Oduko, A.O.; Adeoye, A.O.; Ayodele, K.; Uwannah, N.C.; Ani, I.F.; Oyerinde, O.O.; Oyinloye, C. Feeding behaviour, weight gain and blood sugar of male wistar rats fed on a high-calorie diet and vegetables. Afric. J. Food Agric. Nutr. Dev. 2022, 22, 21127–21145. [Google Scholar] [CrossRef]
- Melo, B.F.; Sacramento, J.F.; Ribeiro, M.J.; Prego, C.S.; Correia, M.C.; Coelho, J.C.; Cunha-Guimaraes, J.P.; Rodrigues, T.; Martins, I.B.; Guarino, M.P.; et al. Evaluating the Impact of Different Hypercaloric Diets on Weight Gain, Insulin Resistance, Glucose Intolerance, and its Comorbidities in Rats. Nutrients 2019, 11, 1197. [Google Scholar] [CrossRef] [PubMed]
- Gual-Grau, A.; Guirro, M.; Mayneris-Perxachs, J.; Arola, L.; Boqué, N. Impact of different hypercaloric diets on obesity features in rats: A metagenomics and metabolomics integrative approach. J. Nutrients Biochem. 2019, 71, 122–131. [Google Scholar] [CrossRef]
- Silva, A.Z.; Costa, F.P.L.; Souza, I.L.; Ribeiro, M.C.; Giordani, M.A.; Queiroz, D.A.; Luvizotto, R.A.M.; Nascimento, A.F.; Bomfim, G.F.; Sugizaki, M.M.; et al. Botryosphaeran reduces obesity, hepatic steatosis, dyslipidemia, insulin resistance and glucose intolerance in diet-induced obese rats. Life Sci. 2018, 211, 147–156. [Google Scholar] [CrossRef]
- Ribeiro, M.C.; Silva, A.Z.D.; Giordani, M.A.; Lira, C.; Luviz, M.; Nascimento, A.F.; Queiroz, D.A.; Dekker, R.F.H.; Barbosa-Dekker, A.M.; de Queiroz, E.A.I.F. Extended treatment with (1→3)(1→6)-β-d-glucan (Botryosphaeran) reduces obesity and its comorbidities in high-fat/high-sugar diet-fed rats. Cell Biochem. Funct. 2022, 40, 773–783. [Google Scholar] [CrossRef] [PubMed]
- Carvalho, K.M.; Melo, T.S.; Melo, K.M.; Quinderé, A.L.; Oliveira, F.T.; Viana, A.F.; Nunes, P.I.; Quetz, J.D.; Viana, D.A.; Silva, A.A.; et al. Amyrins from Protium heptaphyllum Reduce High-Fat Diet-Induced Obesity in Mice via Modulation of Enzymatic, Hormonal and Inflammatory Responses. Plant Medica 2017, 83, 285–291. [Google Scholar] [CrossRef] [PubMed]
- Carvalho, K.M.; Marinho Filho, J.D.; Melo, T.S.; Araújo, A.J.; Quetz, J.d.S.; da Cunha, M.D.P.S.S.; de Melo, K.M.; Silva, A.A.d.C.A.d.; Tomé, A.R.; Havt, A.; et al. The Resin from Protium heptaphyllum Prevents High-Fat Diet-Induced Obesity in Mice: Scientific Evidence and Potential Mechanisms. Evid. Based Complement. Altern. Med. 2015, 2015, 106157. [Google Scholar] [CrossRef] [PubMed]
- Santos, F.A.; Frota, J.T.; Arruda, B.R.; Melo, T.S.; Silva, A.A.; Brito, G.A.; Chaves, M.H.; Rao, V.S. Antihyperglycemic and hypolipidemic effects of α, β-amyrin, a triterpenoid mixture from Protium heptaphyllum in mice. Lipids Health Dis. 2012, 11, 98. [Google Scholar] [CrossRef]
- Patias, N.S.; Sinhorin, V.D.G.; Sinhorin, A.P. Potential antioxidants and other biological activities of Protium heptaphyllum (Aubl.). March: Mini-Review. Nat. Prod. J. 2023, 13, e090223213549. [Google Scholar] [CrossRef]
- Rufino, A.T.; Costa, V.M.; Carvalho, F.; Fernandes, E. Flavonoids as antiobesity agents: A review. Med. Res. Rev. 2021, 41, 556–585. [Google Scholar] [CrossRef]
- Espírito-Santo, D.A.; Cordeiro, G.S.; Santos, L.S.; Silva, R.T.; Pereira, M.U.; Matos, R.J.B.; Boaventura, G.T.; Barreto-Medeiros, J.M. Cardioprotective effect of the quercetin on cardiovascular remodeling and atherosclerosis in rodents fed a high-fat diet: A systematic review. Chem. Biol. Interact. 2023, 384, 110700. [Google Scholar] [CrossRef]
- Smout, D.; Joergensen, H.; Meijers, B.; Dejongh, S.; Haarhaus, M.; Cavalier, E.; Craenenbroeck, A.H.V.; Evenepoel, P. #4346 Serum nonskeletal alkaline phosphatase as a marker of metabolic endotoxinemia and predictor of adverse outcome in patients with ckd. Nephrol. Dial. Transplant. 2023, 38, gfad063c_4346. [Google Scholar] [CrossRef]
- Kohli, R.; Harris, D.C.; Whitington, P.F. Relative elevations of serum alanine and aspartate aminotransferase in muscular dystrophy. J. Pediatr. Gastroenterol. Nutr. 2005, 41, 121–124. [Google Scholar] [CrossRef]
- Nelson, D.L.; Cox, M.M. Princípios de Bioquímica de Lehninger, 6th ed.; Artmed: São Paulo, Brazil, 2014. [Google Scholar]
- Oliveira, F.A.; Vieira-Júnior, G.M.; Chaves, M.H.; Almeida, F.R.; Florêncio, M.G.; Lima, R.C.; Silva, R.M.; Santos, F.A.; Rao, V.S. Gastroprotective and anti-inflammatory effects of resin from Protium heptaphyllum in mice and rats. Pharmacol. Res. 2004, 49, 105–111. [Google Scholar] [CrossRef]
- Huidobro, E.J.P.; Tagle, R.; Guzmán, A.M. Creatinina y su uso para la estimación de la velocidad de filtración glomerular [Estimation of glomerular filtration rate with creatinine]. Rev. Med. Chil. 2018, 146, 344–350. [Google Scholar] [CrossRef] [PubMed]
- Marseglia, L.; Manti, S.; D’Angelo, G.; Nicotera, A.; Parisi, E.; Di Rosa, G.; Gitto, E.; Arrigo, T. Oxidative stress in obesity: A critical component in human diseases. Int. J. Mol. Sci. 2014, 16, 378–400. [Google Scholar] [CrossRef]
- Manna, P.; Jain, S.K. Obesity, Oxidative Stress, Adipose Tissue Dysfunction, and the Associated Health Risks: Causes and Therapeutic Strategies. Metab. Syndr. Relat. Disord. 2015, 13, 423–444. [Google Scholar] [CrossRef] [PubMed]
- Masenga, S.K.; Kabwe, L.S.; Chakulya, M.; Kirabo, A. Mechanisms of Oxidative Stress in Metabolic Syndrome. Int. J. Mol. Sci. 2023, 24, 7898. [Google Scholar] [CrossRef]
- Sinhorin, V.D.G.; Braga, A.J.L.; Rosa, A.P.; Ferneda, J.M.A.; Moura, F.R.; Ferreira, C.M.; Abreu, J.S.; Hoshiba, M.A.; Fontinhas Netto, G.V. Protective effect of hydroxy-selenomethionine supplementation in the diet of tambaqui (Colossoma macropomum) subjected to transportation stress. Acta Amaz. 2024, 54, e54af23091. [Google Scholar] [CrossRef]
- Mahboob, A.; Samuel, S.M.; Mohamed, A.; Wani, M.Y.; Ghorbel, S.; Miled, N.; Büsselberg, D.; Chaari, A. Role of flavonoids in controlling obesity: Molecular targets and mechanisms. Front. Nutr. 2023, 10, 1177897. [Google Scholar] [CrossRef]
- Raut, S.K.; Khullar, M. Oxidative stress in metabolic diseases: Current scenario and therapeutic relevance. Mol. Cell. Biochem. 2023, 478, 185–196. [Google Scholar] [CrossRef]
- Cavaliere, G.; Catapano, A.; Trinchese, G.; Cimmino, F.; Menale, C.; Petrella, L.; Mollica, M.P. Crosstalk between Adipose Tissue and Hepatic Mitochondria in the Development of the Inflammation and Liver Injury during Ageing in High-Fat Diet Fed Rats. Int. J. Mol. Sci. 2023, 24, 2967. [Google Scholar] [CrossRef]
- Sandoval, V.; Sanz-Lamora, H.; Arias, G.; Marrero, P.F.; Haro, D.; Relat, J. Metabolic Impact of Flavonoids Consumption in Obesity: From Central to Peripheral. Nutrients 2020, 12, 2393. [Google Scholar] [CrossRef]
- Siani, A.C.; Ramos, M.F.; Menezes-de-Lima, O.; Ribeiro-dos-Santos, R.; Fernadez-Ferreira, E.; Soares, R.O.; Rosas, E.C.; Susunaga, G.S.; Guimarães, A.C.; Zoghbi, M.G.; et al. Evaluation of anti-inflammatory-related activity of essential oils from the leaves and resin of species of Protium. J. Ethnopharmacol. 1999, 66, 57–69. [Google Scholar] [CrossRef]
- Van Der Heijden, R.A.; Morrison, M.C.; Sheedfar, F.; Mulder, P.; Schreurs, M.; Hommelberg, P.P.; Hofker, M.H.; Schalkwijk, C.; Kleemann, R.; Tietge, U.J.; et al. Effects of Anthocyanin and Flavanol Compounds on Lipid Metabolism and Adipose Tissue Associated Systemic Inflammation in Diet-Induced Obesity. Mediat. Inflamm. 2016, 2016, 2042107. [Google Scholar] [CrossRef] [PubMed]
- Kaushik, S.; Kaur, J. Chronic cold exposure affects the antioxidant defense system in various rat tissues. Clin. Chim. Acta 2003, 333, 69–77. [Google Scholar] [CrossRef] [PubMed]
- Kostopoulou, E.; Varemmenou, A.; Kalaitzopoulou, E.; Papadea, P.; Skipitari, M.; Rojas Gil, A.P.; Spiliotis, B.E.; Fouzas, S.; Georgiou, C.D. New Clinical Markers of Oxidized Lipid-Associated Protein Damage in Children and Adolescents with Obesity. Children 2024, 11, 314. [Google Scholar] [CrossRef]
- Zhang, M.; Yuan, W.G.; Li, C.; Liu, X.; Ma, Z.L.; Xian, Y.F.; Chen, Z.S.; Wang, C.X.; Li, L.; Xu, Z.; et al. Antioxidants Accelerate Hepatocellular Carcinoma Initiation and Progression by Inhibiting Gst-Pi-Mapk Axis. Cell Biosci. 2023. [Google Scholar] [CrossRef]
- Kitamura, Y.; Oikawa, S.; Chang, J.; Mori, Y.; Ichihara, G.; Ichihara, S. Carbonylated Proteins as Key Regulators in the Progression of Metabolic Syndrome. Antioxidants 2023, 12, 844. [Google Scholar] [CrossRef]
- Oliveira, F.A.; Chaves, M.H.; Almeida, F.R.; Lima, R.C.; Silva, R.M.; Maia, J.L.; Brito, G.A.A.; Santos, F.A.; Rao, V.S. Protective effect of alpha- and beta-amyrin, a triterpene mixture from Protium heptaphyllum (Aubl.) March. trunk wood resin, against acetaminophen-induced liver injury in mice. J. Ethnopharmacol. 2005, 98, 103–108. [Google Scholar] [CrossRef]
- Awodele, O.; Yemitan, O.; Ise, P.U.; Ikumawoyi, V.O. Modulatory potentials of aqueous leaf and unripe fruit extracts of Carica papaya Linn. (Caricaceae) against carbon tetrachloride and acetaminophen-induced hepatotoxicity in rats. J. Intercult. Ethnopharmacol. 2016, 5, 27–35. [Google Scholar] [CrossRef]
- Sarkar, S.; Das, M.; Nanjappan, S. Exploration of the Pharmacological Mechanism of Herbal Medicines against Hepatic Disorder: A Systematic Review and Network Pharmacological Analysis. Pharmacol. Res. Nat. Prod. 2024, 3, 100048. [Google Scholar] [CrossRef]
- Oliveira, A.; Augustin, S.; Benlloch, S.; Ampuero, J.; Suárez-Pérez, J.A.; Armesto, S.; Vilarrasa, E.; Belinchón-Romero, I.; Herranz, P.; Crespo, J.; et al. The Essential Role of IL-17 as the Pathogenetic Link between Psoriasis and Metabolic-Associated Fatty Liver Disease. Life 2023, 13, 419. [Google Scholar] [CrossRef]
- Li, N.; Yamamoto, G.; Fuji, H.; Kisseleva, T. Interleukin-17 in Liver Disease Pathogenesis. Semin. Liver Dis. 2021, 41, 507–515. [Google Scholar] [CrossRef]
- Barrón, J.C.S.; González, C.C.; Parrilla, E.Á.; De la Rosa, L.A. Nanoparticle-Mediated Delivery of Flavonoids: Impact on Proinflammatory Cytokine Production: A Systematic Review. Biomolecules 2023, 3, 1158. [Google Scholar]





| Negative Control (C) | Liposomes (H) | Obese (O) | Obese + Liposomes (OH) | |
|---|---|---|---|---|
| Initial body weight (g) (1st day) | 163.12 ± 9.85 | 178.28 ± 35.56 | 170.12 ± 42.22 | 174.12 ± 29.48 |
| Body weight (g) (31st day) | 194.31 ± 37.63 | 198.51 ± 34.42 | 200.62 ± 36.98 | 197.95 ± 29.89 |
| Final body weight (g) (60th day) | 349.48 ± 29.85 | 355.25 ± 32.09 | 413.58 ± 38.85 ** | 406.22 ± 48.57 * |
| Weight gain (g) | 162.21 ± 13.81 | 148.51 ± 19.08 | 195.21 ± 12.66 * | 201.60 ± 37.12 * |
| Feed consumption (g day−1rat−1) | 23.33 ± 1.68 | 24.06 ± 1.59 | 17.55 ± 1.93 **** | 18.06 ± 1.79 **** |
| Water intake (mL day−1rat−1) | 36.61 ± 2.28 | 38.99 ± 2.43 | 55.31 ± 5.11 **** | 52.74 ± 7.27 ****/#### |
| Calorie intake (kcal day−1rat−1) | 96.04 ± 15.36 | 94.03 ± 11.64 | 157.70 ± 22.29 **** | 150.60 ± 36.22 **** |
| Periepididymal adipose tissue (g) | 4.42 ± 0.69 | 5.07 ± 0.60 | 9.12 ± 1.15 **** | 9.08 ± 1.58 **** |
| Retroperitoneal adipose tissue (g) | 6.00 ± 1.22 | 5.10 ± 0.93 | 12.01 ± 2.91 *** | 15.82 ± 3.39 ****/# |
| Liver (g) | 10.77 ± 0.84 | 10.96 ± 1.19 | 13.23 ± 0.63 **** | 11.58 ± 0.80 ## |
| Negative Control (C) | Liposomes (H) | Obese (O) | Obese + Liposomes (OH) | |
|---|---|---|---|---|
| Glucose (mg dL−1) | 117.00; 53.00 | 121.50; 17.00 | 188.00; 21.00 **** | 154.00 ± 55.00 ****/## |
| Total proteins (mg dL−1) | 6.56; 7.68 | 6.55; 2.48 | 6.14; 3.79 | 63; 3.54 |
| ALT (U L−1) | 71.50; 40.00 | 60.50; 11.00 | 44.50; 11.00 ** | 40.00; 19.00 **** |
| AST (U L−1) | 188.00 ± 53.37 | 133.90 ± 27.65 | 118.10 ± 43.22 * | 125.30 ± 41.62 * |
| ALP (U L−1) | 176.10 ± 28.29 | 162.50 ± 18.30 | 110.10 ± 14.89 **** | 111.80 ± 17.89 **** |
| Creatinine (U L−1) | 1.30 ± 0.19 | 0.86 ± 0.12 ** | 1.06 ± 0.31 | 0.65 ± 0.16 ****/## |
| Amylase (U L−1) | 623.80 ± 117.30 | 644.50 ± 78.89 | 680.40 ± 61.02 | 713.18 ± 58.05 |
| Lipase (U L−1) | 25.00 ± 5.90 | 19.75 ± 2.65 | 21.63 ± 6.18 | 25.88 ± 3.52 |
| Cholesterol (mg dL−1) | 149.60 ± 17.20 | 130.00 ± 19.49 | 135.90 ± 20.67 | 116.10 ± 16.36 ** |
| HDL (mg dL−1) | 46.38 ± 6.18 | 40.75 ± 7.20 | 40.88 ± 3.27 | 36.38 ± 3.88 * |
| LDL (mg dL−1) | 94.68 ± 20.57 | 73.46 ± 10.07 * | 78.28 ± 11.76 | 73.10 ± 12.11 * |
| VLDL (mg dL−1) | 21.43 ± 6.26 | 13.78 ± 3.18 ** | 13.20 ± 3.09 ** | 15.88 ± 2.44 ** |
| Triglycerides (mg dL−1) | 74.00; 93.00 | 72.00; 46.00 | 69.00; 48.00 | 53.00; 38.00 |
| TG/HDL (mg dL−1) | 1.67; 1.93 | 1.50; 0.67 | 1.75; 0.44 | 1.51; 1.14 |
| Negative Control (C) | Liposomes (H) | Obese (O) | Obese + Liposomes (OH) | ||
|---|---|---|---|---|---|
| Adipose tissue | GSH (µmol mg protein−1) | 34.95 ± 10.42 | 31.42 ± 10.83 | 32.48 ± 11.60 | 21.34 ± 6.40 |
| ASA (μmol g tissue−1) | 0.37 ± 0.07 | 0.34 ± 0.08 | 0.32 ± 0.05 | 0.32 ± 0.06 | |
| TBARS (nmol mg protein−1) | 0.64; 0.48 | 1.43; 1.56 ** | 1.38; 0.78 ** | 1.43; 1.03 ** | |
| Carbonyl (nmol mg protein−1) | 238.38 ± 90.30 | 149.77 ± 48.27 | 170.73 ± 78.59 | 157.08 ± 56.79 | |
| Liver | GSH (µmol mg protein−1) | 19.68 ± 4.20 | 25.85 ± 6.48 | 20.26 ± 5.55 | 15.52 ± 6.83 |
| ASA (μmol g tissue−1) | 3.05 ± 0.55 | 2.89 ± 0.52 | 2.70 ± 0.27 | 3.24 ± 0.52 | |
| TBARS (nmol mg protein−1) | 0.14; 0.05 | 0.19; 0.13 | 0.24; 0.04 ** | 0.10; 0.12 #### | |
| Carbonyl (nmol mg protein−1) | 15.65; 2.48 | 13.26; 6.54 | 12.58; 9.08 * | 13.57; 4.63 |
| Negative Control (C) | Liposomes (H) | Obese (O) | Obese + Liposomes (OH) | ||
|---|---|---|---|---|---|
| Adipose Tissue | Glucose (μmol g tissue−1) | 5.28 ± 1.71 | 2.93 ± 1.87 | 3.73 ± 2.25 | 2.69 ± 1.57 * |
| Glycogen (μmol g tissue−1) | 11.44 ± 2.16 | 6.59 ± 1.85 *** | 6.15 ± 1.40 *** | 5.52 ± 2.93 **** | |
| Lactate (μmol g tissue−1) | 1.59; 1.32 | 1.25; 1.77 | 1.74; 1.25 | 2.24; 0.90 | |
| Total Proteins (mg mL−1) | 0.55 ± 0.33 | 0.64 ± 0.32 | 0.62 ± 0.35 | 0.61 ± 0.37 | |
| Aminoacids (mmol g tissue−1) | 0.002 ± 0.001 | 0.002 ± 0.001 | 0.002 ± 0.001 | 0.002 ± 0.001 | |
| Ammonia (μmol g tissue−1) | 0.38; 0.55 | 1.28; 0.25 *** | 1.22; 0.33 ** | 0.50; 0.46 # | |
| Liver | Glucose (μmol g tissue−1) | 33.93 ± 10.17 | 69.96 ± 15.80 ** | 87.22 ± 22.29 **** | 69.59 ± 20.00 ** |
| Glycogen (μmol g tissue−1) | 1.58; 0.54 | 1.89; 1.37 | 1.68; 0.83 | 2.06; 1,40 | |
| Lactate (μmol g tissue−1) | 1.62; 0.87 | 1.73; 1.66 | 0.89; 0.85 * | 1.29; 0.37 | |
| Total Proteins (mg mL−1) | 6.67; 0.72 | 7.08; 7.28 | 6.84; 4.77 | 8.14; 8.57 | |
| Aminoacids (mmol g tissue−1) | 0.108 ± 0.014 | 0.103 ± 0.015 | 0.074 ± 0.008 *** | 0.061 ± 0.010 **** | |
| Ammonia (μmol g tissue−1) | 1.16 ± 0.24 | 0.74 ± 0.16 ** | 0.86 ± 0.21 * | 0.58 ± 0.24 **** |
| Negative Control (C) | Liposomes (H) | Obese (O) | Obese + Liposomes (OH) | ||
|---|---|---|---|---|---|
| Adipose Tissue | TNF-α (pg mL−1) | 3.20 ± 0.33 | 3.24 ± 0.37 | 3.10 ± 0.35 | 3.27 ± 0.25 |
| IFN-γ (pg mL−1) | 3.43 ± 0.20 | 3.39 ± 0.25 | 3.09 ± 0.35 | 3.13 ± 0.30 | |
| IL-6 (pg mL−1) | 3.69 ± 0.13 | 3.26 ± 0.25 * | 3.14 ± 0.29 ** | 3.22 ± 0.22 ** | |
| IL-10 (pg mL−1) | 2.65 ± 0.27 | 2.58 ± 0.27 | 2.55 ± 0.23 | 2.68 ± 0.36 | |
| IL-17 (pg mL−1) | 3.65 ± 0.17 | 3.58 ± 0.23 | 3.62 ± 0.16 | 3.68 ± 0.12 | |
| IL-1β (pg mL−1) | 2.59 ± 0.25 | 2.62 ± 0.42 | 2.61 ± 0.27 | 2.79 ± 0.23 | |
| Liver | TNF-α (pg mL−1) | 4.50 ± 0.05 | 4.47 ± 0.05 | 4.57 ± 0.07 | 4.51 ± 0.04 |
| INF-γ (pg mL−1) | 4.32 ± 0.09 | 4.37 ± 0.11 | 4.43 ± 0.09 | 4.46 ± 0.12 | |
| IL-6 (pg mL−1) | 4.32 ± 0.03 | 4.36 ± 0.05 | 4.37 ± 0.06 | 4.40 ± 0.10 | |
| IL-10 (pg mL−1) | 2.87 ± 0.31 | 3.17 ± 0.05 ** | 3.13 ± 0.03 | 3.20 ± 0.03 **** | |
| IL-17 (pg mL−1) | 5.62 ± 0.04 | 5.62 ± 0.02 | 5.66 ± 0.03 * | 5.66 ± 0.02 * | |
| IL-1β (pg mL−1) | 2.15 ± 0.32 | 2.44 ± 0.26 | 2.49 ± 0.38 | 2.44 ± 0.18 |
Disclaimer/Publisher’s Note: The statements, opinions and data contained in all publications are solely those of the individual author(s) and contributor(s) and not of MDPI and/or the editor(s). MDPI and/or the editor(s) disclaim responsibility for any injury to people or property resulting from any ideas, methods, instructions or products referred to in the content. |
© 2024 by the authors. Licensee MDPI, Basel, Switzerland. This article is an open access article distributed under the terms and conditions of the Creative Commons Attribution (CC BY) license (https://creativecommons.org/licenses/by/4.0/).
Share and Cite
Patias, N.S.; Maia, S.V.; Ferreira, Y.G.; de Oliveira, N.L.F.; Ferrarini, S.R.; Bomfim, G.F.; Sinhorin, A.P.; Aguiar, D.H.; de Queiroz, E.A.I.F.; Sinhorin, V.D.G. Effects of Extended Treatment with Protium heptaphyllum Liposomes on Metabolic Parameters of Obese Rats. Biology 2024, 13, 771. https://doi.org/10.3390/biology13100771
Patias NS, Maia SV, Ferreira YG, de Oliveira NLF, Ferrarini SR, Bomfim GF, Sinhorin AP, Aguiar DH, de Queiroz EAIF, Sinhorin VDG. Effects of Extended Treatment with Protium heptaphyllum Liposomes on Metabolic Parameters of Obese Rats. Biology. 2024; 13(10):771. https://doi.org/10.3390/biology13100771
Chicago/Turabian StylePatias, Naiéle Sartori, Sara Vieira Maia, Yasmin Gabriele Ferreira, Natalhya Letícia Ferreira de Oliveira, Stela Regina Ferrarini, Gisele Facholi Bomfim, Adilson Paulo Sinhorin, Danilo Henrique Aguiar, Eveline Aparecida Isquierdo Fonseca de Queiroz, and Valéria Dornelles Gindri Sinhorin. 2024. "Effects of Extended Treatment with Protium heptaphyllum Liposomes on Metabolic Parameters of Obese Rats" Biology 13, no. 10: 771. https://doi.org/10.3390/biology13100771
APA StylePatias, N. S., Maia, S. V., Ferreira, Y. G., de Oliveira, N. L. F., Ferrarini, S. R., Bomfim, G. F., Sinhorin, A. P., Aguiar, D. H., de Queiroz, E. A. I. F., & Sinhorin, V. D. G. (2024). Effects of Extended Treatment with Protium heptaphyllum Liposomes on Metabolic Parameters of Obese Rats. Biology, 13(10), 771. https://doi.org/10.3390/biology13100771

