Clodronate Liposome-Mediated Phagocytic Hemocyte Depletion Affects the Regeneration of the Cephalic Tentacle of the Invasive Snail, Pomacea canaliculata
Abstract
Simple Summary
Abstract
1. Introduction
2. Materials and Methods
2.1. Snail Maintenance
2.2. Hemolymph Withdrawal
2.3. Clodronate Liposome Treatment
2.4. Flow Cytometry Analysis of Clodronate Liposome Effects
2.5. Collection of Cephalic Tentacles for Histological and Gene Expression Analyses
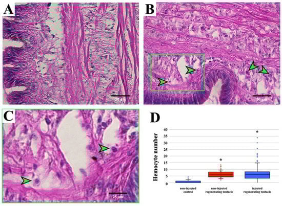
2.6. Histological Analysis of Cephalic Tentacle Regeneration and Semi-Automatic Hemocyte Count
2.7. Total RNA Extraction and Reverse Transcription (RT)
2.8. Primer Design
2.9. RT-Quantitative PCR (RT-qPCR)
2.10. Statistical Analysis
3. Results
3.1. Clodronate Liposomes Transiently Reduced the Number of Large Circulating Hemocytes
3.2. Granular Hemocytes were still Recognized in Regenerating Tentacles after Clodronate Liposome Injection
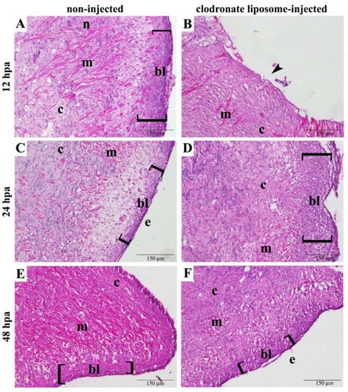
3.3. Clodronate Liposomes Affected the Timing of Cephalic Tentacle Regeneration
3.4. Clodronate Liposomes Affected the Expression of Hemocyte-associated Genes
4. Discussion
5. Conclusions
Supplementary Materials
Author Contributions
Funding
Institutional Review Board Statement
Informed Consent Statement
Data Availability Statement
Acknowledgments
Conflicts of Interest
References
- Mehta, A.S.; Singh, A. Insights into Regeneration Tool Box: An Animal Model Approach. Dev. Biol. 2019, 453, 111–129. [Google Scholar] [CrossRef]
- Bely, A.E. Evolutionary Loss of Animal Regeneration: Pattern and Process. Integr. Comp. Biol. 2010, 50, 515–527. [Google Scholar] [CrossRef] [PubMed]
- Costa, A.; Cushman, S.; Haubner, B.J.; Derda, A.A.; Thum, T.; Bär, C. Neonatal Injury Models: Integral Tools to Decipher the Molecular Basis of Cardiac Regeneration. Basic. Res. Cardiol. 2022, 117, 26. [Google Scholar] [CrossRef] [PubMed]
- Alvarado Sánchez, A.; Tsonis, P.A. Bridging the Regeneration Gap: Genetic Insights from Diverse Animal Models. Nat. Rev. Genet. 2006, 7, 873–884. [Google Scholar] [CrossRef] [PubMed]
- Slack, J.M. Animal Regeneration: Ancestral Character or Evolutionary Novelty? Embo Rep. 2017, 18, 1497–1508. [Google Scholar] [CrossRef]
- van der Burg, C.A.; Prentis, P.J. The Tentacular Spectacular: Evolution of Regeneration in Sea Anemones. Genes 2021, 12, 1072. [Google Scholar] [CrossRef]
- Gómez, C.M.A.; Sabin, K.Z.; Echeverri, K. Wound Healing across the Animal Kingdom: Crosstalk between the Immune System and the Extracellular Matrix. Dev. Dyn. 2020, 249, 834–846. [Google Scholar] [CrossRef]
- Ballarin, L.; Karahan, A.; Salvetti, A.; Rossi, L.; Manni, L.; Rinkevich, B.; Rosner, A.; Voskoboynik, A.; Rosental, B.; Canesi, L.; et al. Stem Cells and Innate Immunity in Aquatic Invertebrates: Bridging Two Seemingly Disparate Disciplines for New Discoveries in Biology. Front. Immunol. 2021, 12, 688106. [Google Scholar] [CrossRef]
- Goldstein, O.; Mandujano-Tinoco, E.A.; Levy, T.; Talice, S.; Raveh, T.; Gershoni-Yahalom, O.; Voskoboynik, A.; Rosental, B. Botryllus schlosseri as a Unique Colonial Chordate Model for the Study and Modulation of Innate Immune Activity. Mar. Drugs 2021, 19, 454. [Google Scholar] [CrossRef]
- Accorsi, A.; Bucci, L.; de Eguileor, M.; Ottaviani, E.; Malagoli, D. Comparative Analysis of Circulating Hemocytes of the Freshwater Snail Pomacea canaliculata. Fish Shellfish. Immunol. 2013, 34, 1260–1268. [Google Scholar] [CrossRef]
- Bergamini, G.; Ahmad, M.; Cocchi, M.; Malagoli, D. A New Protocol of Computer-Assisted Image Analysis Highlights the Presence of Hemocytes in the Regenerating Cephalic Tentacles of Adult Pomacea canaliculata. Int. J. Mol. Sci. 2021, 22, 5023. [Google Scholar] [CrossRef] [PubMed]
- Boraldi, F.; Lofaro, F.D.; Bergamini, G.; Ferrari, A.; Malagoli, D. Pomacea canaliculata Ampullar Proteome: A Nematode-Based Bio-Pesticide Induces Changes in Metabolic and Stress-Related Pathways. Biology 2021, 10, 1049. [Google Scholar] [CrossRef]
- Montanari, A.; Bergamini, G.; Ferrari, A.; Ferri, A.; Nasi, M.; Simonini, R.; Malagoli, D. The Immune Response of the Invasive Golden Apple Snail to a Nematode-Based Molluscicide Involves Different Organs. Biology 2020, 9, 371. [Google Scholar] [CrossRef] [PubMed]
- Boraldi, F.; Lofaro, F.D.; Accorsi, A.; Ross, E.; Malagoli, D. Toward the Molecular Deciphering of Pomacea canaliculata Immunity: First Proteomic Analysis of Circulating Hemocytes. Proteomics 2019, 19, 1800314. [Google Scholar] [CrossRef] [PubMed]
- Accorsi, A.; Benatti, S.; Ross, E.; Nasi, M.; Malagoli, D. A Prokineticin-like Protein Responds to Immune Challenges in the Gastropod Pest Pomacea canaliculata. Dev. Comp. Immunol. 2017, 72, 37–43. [Google Scholar] [CrossRef]
- Rodriguez, C.; Vega, I.A.; Castro-Vazquez, A. A Dissenters’ View on Apple Snail Immunobiology. Front. Immunol. 2022, 13, 879122. [Google Scholar] [CrossRef]
- Liu, C.; Zhang, Y.; Ren, Y.; Wang, H.; Li, S.; Jiang, F.; Yin, L.; Qiao, X.; Zhang, G.; Qian, W.; et al. The Genome of the Golden Apple Snail Pomacea canaliculata Provides Insight into Stress Tolerance and Invasive Adaptation. Gigascience 2018, 7, giy101. [Google Scholar] [CrossRef]
- Gilioli, G.; Pasquali, S.; Martín, P.R.; Carlsson, N.; Mariani, L. A Temperature-Dependent Physiologically Based Model for the Invasive Apple Snail Pomacea canaliculata. Int. J. Biometeorol. 2017, 61, 1899–1911. [Google Scholar] [CrossRef]
- Shozawa, A.; Suto, C. Hemocytes of Pomacea canaliculata: I. Reversible Aggregation Induced by Ca2+. Dev. Comp. Immunol. 1990, 14, 175–184. [Google Scholar] [CrossRef]
- Rodriguez, C.; Prieto, G.I.; Vega, I.A.; Castro-Vazquez, A. Assessment of the Kidney and Lung as Immune Barriers and Hematopoietic Sites in the Invasive Apple Snail Pomacea canaliculata. PeerJ 2018, 6, e5789. [Google Scholar] [CrossRef]
- Accorsi, A.; Box, A.C.; Peuß, R.; Wood, C.; Alvarado Sánchez, A.; Rohner, N. Image3C, a Multimodal Image-Based and Label-Independent Integrative Method for Single-Cell Analysis. Elife 2021, 10, e65372. [Google Scholar] [CrossRef] [PubMed]
- Malagoli, D. Going beyond a Static Picture: The Apple Snail Pomacea canaliculata Can Tell Us the Life History of Molluscan Hemocytes. ISJ-Invertebr. Surv. J. 2018, 15, 61–65. [Google Scholar]
- Kumar, J.R.; Smith, J.P.; Kwon, H.; Smith, R.C. Use of Clodronate Liposomes to Deplete Phagocytic Immune Cells in Drosophila melanogaster and Aedes aegypti. Front. Cell Dev. Biol. 2021, 9, 627976. [Google Scholar] [CrossRef] [PubMed]
- van Rooijen, N.; Hendrikx, E. Liposomes, Methods and Protocols, Volume 1: Pharmaceutical Nanocarriers. Methods Mol. Biol. 2009, 605, 189–203. [Google Scholar] [CrossRef]
- Chiumiento, I.R.; Ituarte, S.; Sun, J.; Qiu, J.W.; Heras, H.; Dreon, M.S. Hemocyanin of the Caenogastropod Pomacea canaliculata Exhibits Evolutionary Differences among Gastropod Clades. PLoS ONE 2020, 15, e0228325. [Google Scholar] [CrossRef]
- Hart, C.E.; Lauth, M.J.; Hunter, C.S.; Krasny, B.R.; Hardy, K.M. Effect of 4-Nonylphenol on the Immune Response of the Pacific Oyster Crassostrea gigas Following Bacterial Infection with Vibrio campbellii. Fish Shellfish. Immunol. 2016, 58, 449–461. [Google Scholar] [CrossRef]
- Vizioli, J.; Verri, T.; Pagliara, P. Allograft Inflammatory Factor-1 in Metazoans: Focus on Invertebrates. Biology 2020, 9, 355. [Google Scholar] [CrossRef]
- Cueto, J.A.; Rodriguez, C.; Vega, I.A.; Castro-Vazquez, A. Immune Defenses of the Invasive Apple Snail Pomacea canaliculata (Caenogastropoda, Ampullariidae): Phagocytic Hemocytes in the Circulation and the Kidney. PLoS ONE 2015, 10, e0123964. [Google Scholar] [CrossRef]
- Accorsi, A.; Ottaviani, E.; Malagoli, D. Effects of Repeated Hemolymph Withdrawals on the Hemocyte Populations and Hematopoiesis in Pomacea canaliculata. Fish Shellfish. Immunol. 2014, 38, 56–64. [Google Scholar] [CrossRef]
- Rodriguez, C.; Simon, V.; Conget, P.; Vega, I.A. Both Quiescent and Proliferating Cells Circulate in the Blood of the Invasive Apple Snail Pomacea canaliculata. Fish Shellfish. Immunol. 2020, 107, 95–103. [Google Scholar] [CrossRef]
- Sun, J.; Mu, H.; Ip, J.C.H.; Li, R.; Xu, T.; Accorsi, A.; Alvarado Sánchez, S.; Ross, E.; Lan, Y.; Sun, Y.; et al. Signatures of Divergence, Invasiveness and Terrestralization Revealed by Four Apple Snail Genomes. Mol. Biol. Evol. 2019, 36, 1507–1520. [Google Scholar] [CrossRef] [PubMed]
- Lehenkari, P.P.; Kellinsalmi, M.; Näpänkangas, J.P.; Ylitalo, K.V.; Mönkkönen, J.; Rogers, M.J.; Azhayev, A.; Väänänen, H.K.; Hassinen, I.E. Further Insight into Mechanism of Action of Clodronate: Inhibition of Mitochondrial ADP/ATP Translocase by a Nonhydrolyzable, Adenine-Containing Metabolite. Mol. Pharmacol. 2002, 61, 1255–1262. [Google Scholar] [CrossRef] [PubMed]
- Jordan, M.B.; van Rooijen, N.; Izui, S.; Kappler, J.; Marrack, P. Liposomal Clodronate as a Novel Agent for Treating Autoimmune Hemolytic Anemia in a Mouse Model. Blood 2003, 101, 594–601. [Google Scholar] [CrossRef] [PubMed]
- Adegoke, A.; Ribeiro, J.M.C.; Brown, S.; Smith, R.C.; Karim, S. Rickettsia parkeri Hijacks Tick Hemocytes to Manipulate Cellular and Humoral Transcriptional Responses. Front. Immunol. 2023, 14, 1094326. [Google Scholar] [CrossRef] [PubMed]
- Kwon, H.; Smith, R.C. Chemical Depletion of Phagocytic Immune Cells in Anopheles gambiae Reveals Dual Roles of Mosquito Hemocytes in Anti-Plasmodium Immunity. Proc. Natl. Acad. Sci. USA 2019, 116, 14119–14128. [Google Scholar] [CrossRef]
- Cueto, J.A.; Vega, I.A.; Castro-Vazquez, A. Multicellular Spheroid Formation and Evolutionary Conserved Behaviors of Apple Snail Hemocytes in Culture. Fish Shellfish. Immunol. 2013, 34, 443–453. [Google Scholar] [CrossRef]
- Gordon, S.; Martinez-Pomares, L. Physiological Roles of Macrophages. Pflügers Archiv Eur. J. Physiol. 2017, 469, 365–374. [Google Scholar] [CrossRef]
- Bando, T.; Okumura, M.; Bando, Y.; Hagiwara, M.; Hamada, Y.; Ishimaru, Y.; Mito, T.; Kawaguchi, E.; Inoue, T.; Agata, K.; et al. Toll Signalling Promotes Blastema Cell Proliferation during Cricket Leg Regeneration via Insect Macrophages. Development 2022, 149, dev199916. [Google Scholar] [CrossRef]
- Godwin, J.W.; Pinto, A.R.; Rosenthal, N.A. Macrophages Are Required for Adult Salamander Limb Regeneration. Proc. Natl. Acad. Sci. USA 2013, 110, 9415–9420. [Google Scholar] [CrossRef]
- Lai, S.-L.; Marín-Juez, R.; Moura, P.L.; Kuenne, C.; Lai, J.K.H.; Tsedeke, A.T.; Guenther, S.; Looso, M.; Stainier, D.Y. Reciprocal Analyses in Zebrafish and Medaka Reveal That Harnessing the Immune Response Promotes Cardiac Regeneration. Elife 2017, 6, e25605. [Google Scholar] [CrossRef]
- Godwin, J.W.; Pinto, A.R.; Rosenthal, N.A. Chasing the Recipe for a Pro-Regenerative Immune System. Semin. Cell Dev. Biol. 2017, 61, 71–79. [Google Scholar] [CrossRef] [PubMed]
- Pila, E.A.; Sullivan, J.T.; Wu, X.Z.; Fang, J.; Rudko, S.P.; Gordy, M.A.; Hanington, P.C. Haematopoiesis in Molluscs: A Review of Haemocyte Development and Function in Gastropods, Cephalopods and Bivalves. Dev. Comp. Immunol. 2016, 58, 119–128. [Google Scholar] [CrossRef] [PubMed]
- Marrec-Croq, F.L.; Drago, F.; Vizioli, J.; Sautière, P.-E.; Lefebvre, C. The Leech Nervous System: A Valuable Model to Study the Microglia Involvement in Regenerative Processes. Clin. Dev. Immunol. 2013, 2013, 274019. [Google Scholar] [CrossRef] [PubMed]
- Drago, F.; Sautière, P.; Marrec-Croq, F.; Accorsi, A.; Camp, C.; Salzet, M.; Lefebvre, C.; Vizioli, J. Microglia of Medicinal Leech (Hirudo medicinalis) Express a Specific Activation Marker Homologous to Vertebrate Ionized Calcium-binding Adapter Molecule 1 (Iba1/Alias Aif-1). Dev. Neurobiol. 2014, 74, 987–1001. [Google Scholar] [CrossRef]
- Hermann, P.M.; Nicol, J.J.; Bulloch, A.G.M.; Wildering, W.C. RGD-Dependent Mechanisms in the Endoneurial Phagocyte Response and Axonal Regeneration in the Nervous System of the Snail Lymnaea stagnalis. J. Exp. Biol. 2008, 211, 491–501. [Google Scholar] [CrossRef]
- Coates, C.J.; Nairn, J. Diverse Immune Functions of Hemocyanins. Dev. Comp. Immunol. 2014, 45, 43–55. [Google Scholar] [CrossRef]
- Yuan, C.; Zheng, X.; Liu, K.; Yuan, W.; Zhang, Y.; Mao, F.; Bao, Y. Functional Characterization, Antimicrobial Effects, and Potential Antibacterial Mechanisms of NpHM4, a Derived Peptide of Nautilus pompilius Hemocyanin. Mar. Drugs 2022, 20, 459. [Google Scholar] [CrossRef]
- Yao, T.; Zhao, M.-M.; He, J.; Han, T.; Peng, W.; Zhang, H.; Wang, J.-Y.; Jiang, J.-Z. Gene Expression and Phenoloxidase Activities of Hemocyanin Isoforms in Response to Pathogen Infections in Abalone Haliotis diversicolor. Int. J. Biol. Macromol. 2019, 129, 538–551. [Google Scholar] [CrossRef]
- Ip, J.C.H.; Mu, H.; Chen, Q.; Sun, J.; Ituarte, S.; Heras, H.; Bocxlaer, B.V.; Ganmanee, M.; Huang, X.; Qiu, J.-W. AmpuBase: A Transcriptome Database for Eight Species of Apple Snails (Gastropoda: Ampullariidae). BMC Genomics 2018, 19, 179. [Google Scholar] [CrossRef]
- Gueguen, Y.; Cadoret, J.-P.; Flament, D.; Barreau-Roumiguière, C.; Girardot, A.-L.; Garnier, J.; Hoareau, A.; Bachère, E.; Escoubas, J.-M. Immune Gene Discovery by Expressed Sequence Tags Generated from Hemocytes of the Bacteria-Challenged Oyster, Crassostrea gigas. Gene 2003, 303, 139–145. [Google Scholar] [CrossRef]
- Nozawa, H.; Mori, T.; Kimura, M.; Seki, N. Characterization of a Transglutaminase from Scallop Hemocyte and Identification of Its Intracellular Substrates. Comp. Biochem. Physiol. Part B Biochem. Mol. Biol. 2005, 140, 395–402. [Google Scholar] [CrossRef] [PubMed]
- Yao, D.; Wang, Z.; Wei, M.; Zhao, X.; Aweya, J.J.; Zhong, M.; Li, S.; Zhang, Y. Analysis of Litopenaeus vannamei Hemocyanin Interacting Proteins Reveals Its Role in Hemolymph Clotting. J. Proteom. 2019, 201, 57–64. [Google Scholar] [CrossRef] [PubMed]
- Zoysa, M.D.; Nikapitiya, C.; Kim, Y.; Oh, C.; Kang, D.-H.; Whang, I.; Kim, S.-J.; Lee, J.-S.; Choi, C.Y.; Lee, J. Allograft Inflammatory Factor-1 in Disk Abalone (Haliotis discus discus): Molecular Cloning, Transcriptional Regulation against Immune Challenge and Tissue Injury. Fish Shellfish. Immunol. 2010, 29, 319–326. [Google Scholar] [CrossRef]
- Gust, M.; Fortier, M.; Garric, J.; Fournier, M.; Gagné, F. Effects of Short-Term Exposure to Environmentally Relevant Concentrations of Different Pharmaceutical Mixtures on the Immune Response of the Pond Snail Lymnaea stagnalis. Sci. Total Environ. 2013, 445, 210–218. [Google Scholar] [CrossRef] [PubMed]
- Li, J.; Chen, J.; Zhang, Y.; Yu, Z. Expression of Allograft Inflammatory Factor-1 (AIF-1) in Response to Bacterial Challenge and Tissue Injury in the Pearl Oyster, Pinctada martensii. Fish Shellfish. Immunol. 2013, 34, 365–371. [Google Scholar] [CrossRef] [PubMed]
- Xu, T.; Xie, J.; Zhu, B.; Liu, X.; Wu, X. Allograft Inflammatory Factor 1 Functions as a Pro-Inflammatory Cytokine in the Oyster, Crassostrea ariakensis. PLoS ONE 2014, 9, e95859. [Google Scholar] [CrossRef] [PubMed]
- Kim, S.-H.; Nam, K.-W.; Allam, B.; Choi, K.; Park, K.-H.; Park, K.-I. Quantification of the Inflammatory Responses to Pro-and Anti-Inflammatory Agents in Manila Clam, Ruditapes philippinarum. Fish Shellfish. Immunol. 2021, 115, 22–26. [Google Scholar] [CrossRef]
- Parisi, M.G.; Baranzini, N.; Dara, M.; Corte, C.L.; Vizioli, J.; Cammarata, M. AIF-1 and RNASET2 Are Involved in the Inflammatory Response in the Mediterranean Mussel Mytilus galloprovincialis Following Vibrio Infection. Fish Shellfish. Immunol. 2022, 127, 109–118. [Google Scholar] [CrossRef]
- Bassat, E.; Tanaka, E.M. The Cellular and Signaling Dynamics of Salamander Limb Regeneration. Curr. Opin. Cell Biol. 2021, 73, 117–123. [Google Scholar] [CrossRef]
- Adler, M.; Moriel, N.; Goeva, A.; Avraham-Davidi, I.; Mages, S.; Adams, T.S.; Kaminski, N.; Macosko, E.Z.; Regev, A.; Medzhitov, R.; et al. Emergence of Division of Labor in Tissues through Cell Interactions and Spatial Cues. Cell Rep. 2023, 42, 112412. [Google Scholar] [CrossRef]
- Chiaranunt, P.; Tai, S.L.; Ngai, L.; Mortha, A. Beyond Immunity: Underappreciated Functions of Intestinal Macrophages. Front. Immunol. 2021, 12, 749708. [Google Scholar] [CrossRef] [PubMed]
- Zeng, C.-W. Macrophage–Neuroglia Interactions in Promoting Neuronal Regeneration in Zebrafish. Int. J. Mol. Sci. 2023, 24, 6483. [Google Scholar] [CrossRef] [PubMed]
- Shklyar, B.; Sellman, Y.; Shklover, J.; Mishnaevski, K.; Levy-Adam, F.; Kurant, E. Developmental Regulation of Glial Cell Phagocytic Function during Drosophila Embryogenesis. Dev. Biol. 2014, 393, 255–269. [Google Scholar] [CrossRef] [PubMed]




Disclaimer/Publisher’s Note: The statements, opinions and data contained in all publications are solely those of the individual author(s) and contributor(s) and not of MDPI and/or the editor(s). MDPI and/or the editor(s) disclaim responsibility for any injury to people or property resulting from any ideas, methods, instructions or products referred to in the content. |
© 2023 by the authors. Licensee MDPI, Basel, Switzerland. This article is an open access article distributed under the terms and conditions of the Creative Commons Attribution (CC BY) license (https://creativecommons.org/licenses/by/4.0/).
Share and Cite
Bergamini, G.; Sacchi, S.; Ferri, A.; Franchi, N.; Montanari, M.; Ahmad, M.; Losi, C.; Nasi, M.; Cocchi, M.; Malagoli, D. Clodronate Liposome-Mediated Phagocytic Hemocyte Depletion Affects the Regeneration of the Cephalic Tentacle of the Invasive Snail, Pomacea canaliculata. Biology 2023, 12, 992. https://doi.org/10.3390/biology12070992
Bergamini G, Sacchi S, Ferri A, Franchi N, Montanari M, Ahmad M, Losi C, Nasi M, Cocchi M, Malagoli D. Clodronate Liposome-Mediated Phagocytic Hemocyte Depletion Affects the Regeneration of the Cephalic Tentacle of the Invasive Snail, Pomacea canaliculata. Biology. 2023; 12(7):992. https://doi.org/10.3390/biology12070992
Chicago/Turabian StyleBergamini, Giulia, Sandro Sacchi, Anita Ferri, Nicola Franchi, Monica Montanari, Mohamad Ahmad, Chiara Losi, Milena Nasi, Marina Cocchi, and Davide Malagoli. 2023. "Clodronate Liposome-Mediated Phagocytic Hemocyte Depletion Affects the Regeneration of the Cephalic Tentacle of the Invasive Snail, Pomacea canaliculata" Biology 12, no. 7: 992. https://doi.org/10.3390/biology12070992
APA StyleBergamini, G., Sacchi, S., Ferri, A., Franchi, N., Montanari, M., Ahmad, M., Losi, C., Nasi, M., Cocchi, M., & Malagoli, D. (2023). Clodronate Liposome-Mediated Phagocytic Hemocyte Depletion Affects the Regeneration of the Cephalic Tentacle of the Invasive Snail, Pomacea canaliculata. Biology, 12(7), 992. https://doi.org/10.3390/biology12070992

