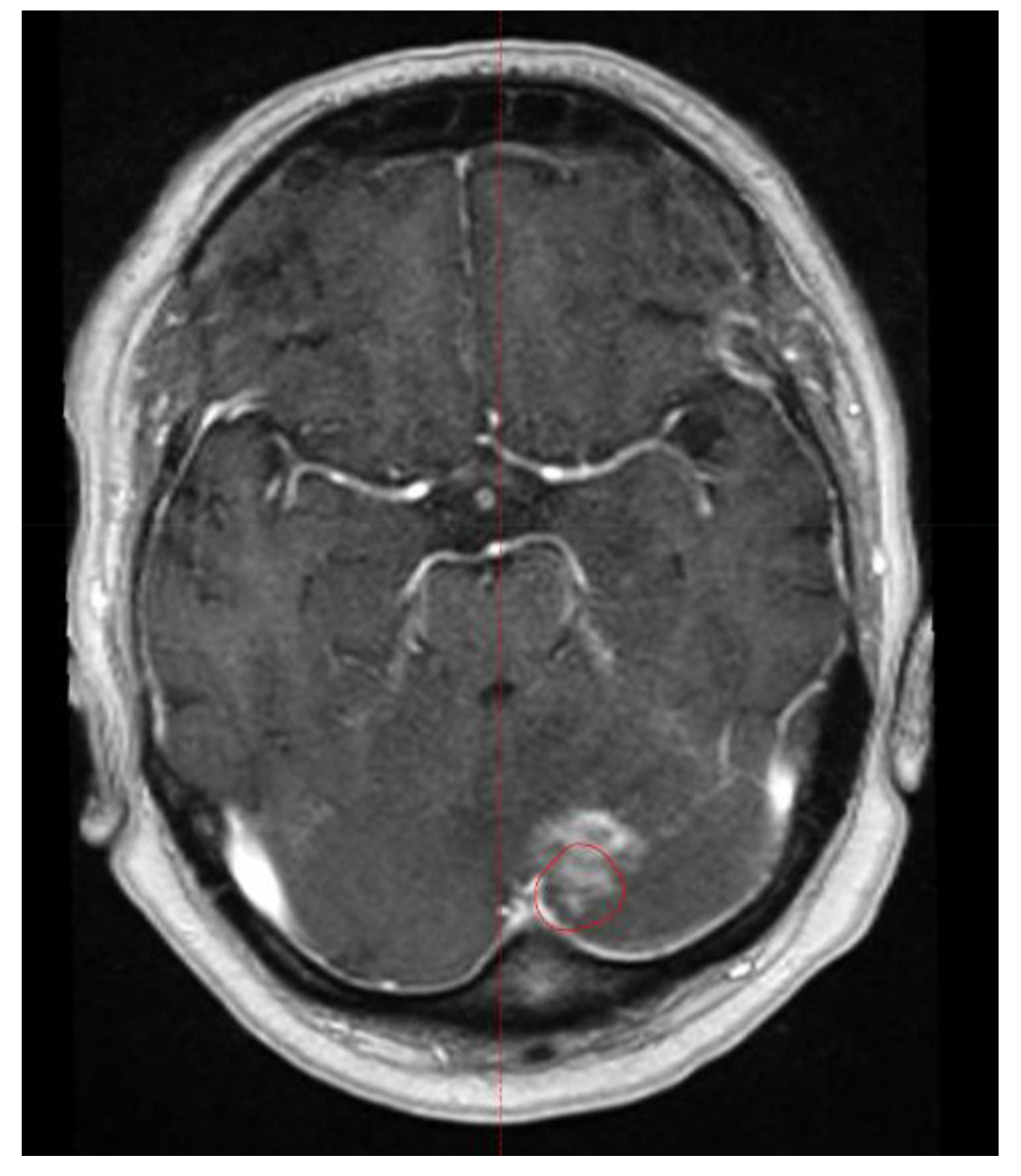
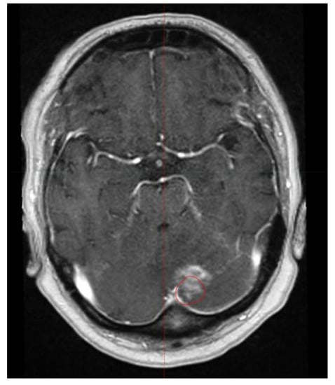
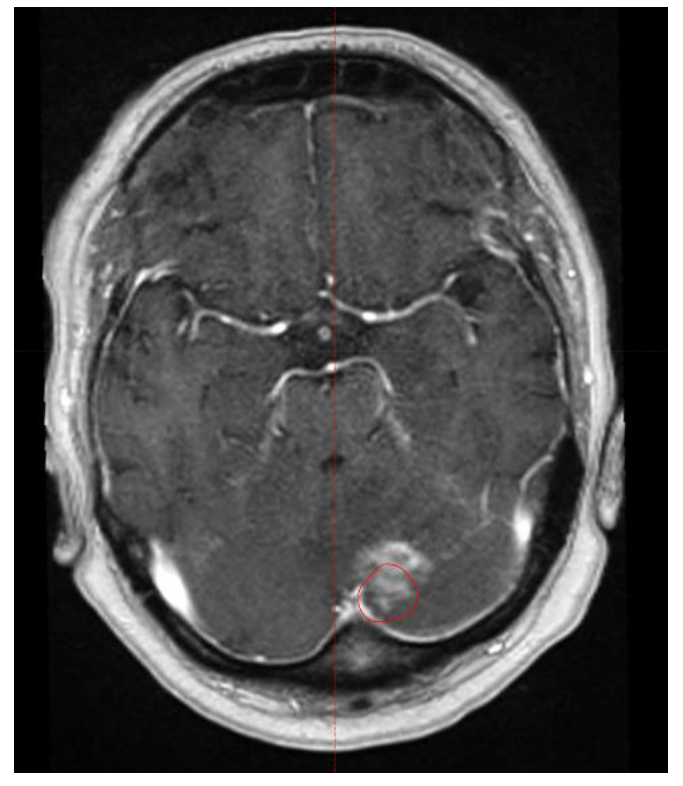
Radiation Necrosis Following Stereotactic Radiosurgery or Fractionated Stereotactic Radiotherapy with High Biologically Effective Doses for Large Brain Metastases
Abstract
Simple Summary
Abstract
1. Introduction
2. Patients and Methods
3. Results
| Characteristic | Radiation Necrosis Rate | p-Value | |
|---|---|---|---|
| At 1 Year (in %) | At 2 Years (in %) | ||
| Type of radiotherapy | 0.73 | ||
| Stereotactic radiosurgery | 8 | 8 | |
| Fractionated stereotactic radiotherapy | 2 | 13 | |
| Biologically effective dose | 0.14 | ||
| 49–57 Gy12 | 5 | 5 | |
| 63–67 Gy12 | 5 | 26 | |
| Year of treatment | 0.082 | ||
| 2011–2016 | 7 | 14 | |
| 2017–2022 | 4 | 7 | |
| Pre-RT systemic treatment | 0.37 | ||
| No | 5 | 15 | |
| Yes | 6 | 6 | |
| Age at RT | 0.35 | ||
| ≤66 years | 6 | 14 | |
| ≥67 years | 5 | 5 | |
| Gender | 0.75 | ||
| Female | 4 | 10 | |
| Male | 7 | 11 | |
| Karnofsky performance score | 0.63 | ||
| ≤80 | 0 | 13 | |
| ≥90 | 8 | 10 | |
| Type of primary tumor | 0.53 | ||
| Lung cancer | 8 | 18 | |
| Melanoma | 3 | 6 | |
| Other types | 4 | 4 | |
| Number of brain metastases | 0.99 | ||
| 1 | 5 | 10 | |
| 2–4 | 6 | 13 | |
| Main metastatic site(s) | 0.65 | ||
| Supratentorial–peripheral | 6 | 9 | |
| Supratentorial–central | 20 | 20 | |
| Infratentorial | 0 | 8 | |
| Maximum size of brain metastases | 0.0495 | ||
| ≤20 mm | 2 | 9 | |
| >20 mm | 20 | 20 | |
| Metastases outside the brain | 0.92 | ||
| No | 5 | 10 | |
| Yes | 5 | 10 | |
| Subgroup | Radiation Necrosis Rate | p-Value | |
|---|---|---|---|
| At 1 Year (in %) | At 2 Years (in %) | ||
| Patients with ≥1 metastasis >20 mm | 0.012 | ||
| Stereotactic radiosurgery | 50 | 50 | |
| Fractionated stereotactic radiotherapy | 9 | 9 | |
| Patients with all metastases ≤ 20 mm | 0.60 | ||
| Stereotactic radiosurgery | 4 | 4 | |
| Fractionated stereotactic radiotherapy | 0 | 15 | |
| Stereotactic radiosurgery | <0.001 | ||
| Size of metastases ≤ 20 mm | 4 | 4 | |
| Size of ≥1 metastasis >20 mm | 50 | 50 | |
| Fractionated stereotactic radiotherapy | 0.93 | ||
| Size of metastases ≤ 20 mm | 0 | 15 | |
| Size of ≥1 metastasis >20 mm | 9 | 9 | |
| Group | Radiation Necrosis Rate | p-Value | |
|---|---|---|---|
| At 1 Year (in %) | At 2 Years (in %) | ||
| Entire cohort | 0.59 | ||
| Stereotactic radiosurgery (118 lesions) | 7 | 7 | |
| Fractionated stereotactic RT (100 lesions) | 2 | 10 | |
| Entire cohort | 0.020 | ||
| Size of metastases ≤ 20 mm (185 lesions) | 2 | 7 | |
| Size of ≥1 metastasis >20 mm (33 lesions) | 20 | 20 | |
| At least 1 lesion >20 mm | 0.012 | ||
| Stereotactic radiosurgery (11 lesions) | 50 | 50 | |
| Fractionated stereotactic RT (22 lesions) | 9 | 9 | |
| All lesions ≤ 20 mm | 0.80 | ||
| Stereotactic radiosurgery (107 lesions) | 3 | 3 | |
| Fractionated stereotactic RT (78 lesions) | 0 | 11 | |
| Stereotactic radiosurgery | <0.001 | ||
| Size of metastases ≤ 20 mm (107 lesions) | 3 | 3 | |
| Size of ≥1 metastasis >20 mm (11 lesions) | 50 | 50 | |
| Fractionated stereotactic RT | 0.86 | ||
| Size of metastases ≤ 20 mm (78 lesions) | 0 | 11 | |
| Size of ≥1 metastasis >20 mm (22 lesions) | 9 | 9 | |
4. Discussion
5. Conclusions
Author Contributions
Funding
Institutional Review Board Statement
Informed Consent Statement
Data Availability Statement
Conflicts of Interest
References
- Schiff, D.; Messersmith, H.; Brastianos, P.K.; Brown, P.D.; Burri, S.; Dunn, I.F.; Gaspar, L.E.; Gondi, V.; Jordan, J.T.; Maues, J.; et al. Radiation therapy for brain metastases: ASCO guideline endorsement of ASTRO guideline. J. Clin. Oncol. 2022, 40, 2271–2276. [Google Scholar] [CrossRef]
- Gondi, V.; Bauman, G.; Bradfield, L.; Burri, S.H.; Cabrera, A.R.; Cunningham, D.A.; Eaton, B.R.; Hattangadi-Gluth, J.A.; Kim, M.M.; Kotecha, R.; et al. Radiation therapy for brain metastases: An ASTRO clinical practice guideline. Pract. Radiat. Oncol. 2022, 12, 265–282. [Google Scholar] [CrossRef]
- Vogelbaum, M.A.; Brown, P.D.; Messersmith, H.; Brastianos, P.K.; Burri, S.; Cahill, D.; Dunn, I.F.; Gaspar, L.E.; Gatson, N.T.N.; Gondi, V.; et al. Treatment for brain metastases: ASCO-SNO-ASTRO guideline. J. Clin. Oncol. 2022, 40, 492–516. [Google Scholar] [CrossRef]
- Tsao, M.N.; Rades, D.; Wirth, A.; Lo, S.S.; Danielson, B.L.; Gaspar, L.E.; Sperduto, P.W.; Vogelbaum, M.A.; Radawski, J.D.; Wang, J.Z.; et al. Radiotherapeutic and surgical management for newly diagnosed brain metastasis(es): An American Society for Radiation Oncology evidence-based guideline. Pract. Radiat. Oncol. 2012, 2, 210–225. [Google Scholar] [CrossRef]
- Chang, E.L.; Wefel, J.S.; Hess, K.R.; Allen, P.K.; Lang, F.F.; Kornguth, D.G.; Arbuckle, R.B.; Swint, J.M.; Shiu, A.S.; Maor, M.H.; et al. Neurocognition in patients with brain metastases treated with radiosurgery or radiosurgery plus whole-brain irradiation: A randomised controlled trial. Lancet Oncol. 2009, 10, 1037–1044. [Google Scholar] [CrossRef]
- Brown, P.D.; Jaeckle, K.; Ballman, K.V.; Farace, E.; Cerhan, J.H.; Anderson, S.K.; Carrero, X.W.; Barker, F.G., 2nd; Deming, R.; Burri, S.H.; et al. Effect of radiosurgery alone vs radiosurgery with whole brain radiation therapy on cognitive function in patients with 1 to 3 brain metastases: A randomized clinical trial. JAMA 2016, 316, 401–409. [Google Scholar] [CrossRef]
- Shaw, E.; Scott, C.; Souhami, L.; Dinapoli, R.; Kline, R.; Loeffler, J.; Farnan, N. Single dose radiosurgical treatment of recurrent previously irradiated primary brain tumors and brain metastases: Final report of RTOG protocol 90-05. Int. J. Radiat. Oncol. Biol. Phys. 2000, 47, 291–298. [Google Scholar] [CrossRef]
- Joiner, M.C.; Van der Kogel, A.J. The linear-quadratic approach to fractionation and calculation of isoeffect relationships. In Basic Clinical Radiobiology; Steel, G.G., Ed.; Oxford University Press: New York, NY, USA, 1997; pp. 106–112. [Google Scholar]
- Putz, F.; Weissmann, T.; Oft, D.; Schmidt, M.A.; Roesch, J.; Siavooshhaghighi, H.; Filimonova, I.; Schmitter, C.; Mengling, V.; Bert, C.; et al. FSRT vs. SRS in brain metastases—Differences in local control and radiation necrosis—A volumetric study. Front. Oncol. 2020, 10, 559193. [Google Scholar] [CrossRef]
- Wiggenraad, R.; Verbeek-de Kanter, A.; Kal, H.B.; Taphoorn, M.; Vissers, T.; Struikmans, H. Dose-effect relation in stereotactic radiotherapy for brain metastases. A systematic review. Radiother. Oncol. 2011, 98, 292–297. [Google Scholar] [CrossRef]
- Vellayappan, B.; Tan, C.L.; Yong, C.; Khor, L.K.; Koh, W.Y.; Yeo, T.T.; Detsky, J.; Lo, S.; Sahgal, A. Diagnosis and management of radiation necrosis in patients with brain metastases. Front. Oncol. 2018, 8, 395. [Google Scholar] [CrossRef]
- Minniti, G.; Clarke, E.; Lanzetta, G.; Osti, M.F.; Trasimeni, G.; Bozzao, A.; Romano, A.; Enrici, R.M. Stereotactic radiosurgery for brain metastases: Analysis of outcome and risk of brain radionecrosis. Radiat. Oncol. 2011, 6, 48. [Google Scholar] [CrossRef]
- Kohutek, Z.A.; Yamada, Y.; Chan, T.A.; Brennan, C.W.; Tabar, V.; Gutin, P.H.; Yang, T.J.; Rosenblum, M.K.; Ballangrud, Å.; Young, R.J.; et al. Long-term risk of radionecrosis and imaging changes after stereotactic radiosurgery for brain metastases. J. Neurooncol. 2015, 125, 149–156. [Google Scholar] [CrossRef]
- Minniti, G.; Scaringi, C.; Paolini, S.; Lanzetta, G.; Romano, A.; Cicone, F.; Osti, M.; Enrici, R.M.; Esposito, V. Single-fraction versus multifraction (3 × 9 Gy) stereotactic radiosurgery for large (>2 cm) brain metastases: A comparative analysis of local control and risk of radiation-induced brain necrosis. Int. J. Radiat. Oncol. Biol. Phys. 2016, 95, 1142–1148. [Google Scholar] [CrossRef]
- Sivananthan, A.P.; Korpics, M.C.; Katipally, R.R.; Pathmarajah, T.; Campbell, N.; Rosenberg, D.M.; Connell, P.P.; Chmura, S.J.; Juloori, A.; Pitroda, S. Clinical factors associated with radionecrosis following stereotactic radiosurgery in the era of modern systemic therapy. Int. J. Radiat. Oncol. Biol. Phys. 2022, 114 (Suppl. S1), e63. [Google Scholar] [CrossRef]
- Fang, P.; Jiang, W.; Allen, P.; Glitza, I.; Guha, N.; Hwu, P.; Ghia, A.; Phan, J.; Mahajan, A.; Tawbi, H.; et al. Radiation necrosis with stereotactic radiosurgery combined with CTLA-4 blockade and PD-1 inhibition for treatment of intracranial disease in metastatic melanoma. J. Neurooncol. 2017, 133, 595–602. [Google Scholar] [CrossRef]
- Kim, J.M.; Miller, J.A.; Kotecha, R.; Xiao, R.; Juloori, A.; Ward, M.C.; Ahluwalia, M.S.; Mohammadi, A.M.; Peereboom, D.M.; Murphy, E.S.; et al. The risk of radiation necrosis following stereotactic radiosurgery with concurrent systemic therapies. J. Neurooncol. 2017, 133, 357–368. [Google Scholar] [CrossRef]
- Lehrer, E.J.; Gurewitz, J.; Bernstein, K.; Patel, D.; Kondziolka, D.; Niranjan, A.; Wie, Z.; Lunsford, L.D.; Malouff, T.D.; Ruiz-Garcia, H.; et al. Radiation necrosis in renal cell carcinoma brain metastases treated with checkpoint inhibitors and radiosurgery: An international multicenter study. Cancer 2022, 128, 1429–1438. [Google Scholar] [CrossRef]
- Lehrer, E.J.; Gurewitz, J.; Bernstein, K.; Kondziolka, D.; Fakhoury, K.R.; Rusthoven, C.G.; Niranjan, A.; Wei, Z.; Lunsford, L.D.; Malouff, T.D.; et al. Concurrent administration of immune checkpoint inhibitors and stereotactic radiosurgery is well-tolerated in patients with melanoma brain metastases: An international multicenter study of 203 patients. Neurosurgery 2022, 91, 872–882. [Google Scholar] [CrossRef]
- Lehrer, E.J.; Kowalchuk, R.O.; Gurewitz, J.; Bernstein, K.; Kondziolka, D.; Niranjan, A.; Wei, Z.; Lunsford, L.D.; Fakhoury, K.R.; Rusthoven, C.G.; et al. Concurrent administration of immune checkpoint inhibitors and single fraction stereotactic radiosurgery in patients with non-small cell lung cancer, melanoma, and renal cell carcinoma brain metastases is not associated with an increased risk of radiation necrosis over nonconcurrent treatment: An international multicenter study of 657 patients. Int. J. Radiat. Oncol. Biol. Phys. 2023. ahead of print. [Google Scholar] [CrossRef]
- Jeong, W.J.; Park, J.H.; Lee, E.J.; Kim, J.H.; Kim, C.J.; Cho, Y.H. Efficacy and safety of fractionated stereotactic radiosurgery for large brain metastases. J. Korean Neurosurg. Soc. 2015, 58, 217–224. [Google Scholar] [CrossRef]
- Hirata, M.; Yasui, K.; Oota, N.; Ogawa, H.; Onoe, T.; Maki, S.; Ito, Y.; Hayashi, K.; Asakura, H.; Murayama, S.; et al. Feasibility of linac-based fractionated stereotactic radiotherapy and stereotactic radiosurgery for patients with up to ten brain metastases. Radiat. Oncol. 2022, 17, 213. [Google Scholar] [CrossRef]
- Colaco, R.J.; Martin, P.; Kluger, H.M.; Yu, J.B.; Chiang, V.L. Does immunotherapy increase the rate of radiation necrosis after radiosurgical treatment of brain metastases? J. Neurosurg. 2016, 125, 17–23. [Google Scholar] [CrossRef]
- Tallet, A.V.; Dhermain, F.; Le Rhun, E.; Noël, G.; Kirova, Y.M. Combined irradiation and targeted therapy or immune checkpoint blockade in brain metastases: Toxicities and efficacy. Ann. Oncol. 2017, 28, 2962–2976. [Google Scholar] [CrossRef]
- Kotecha, R.; Kim, J.M.; Miller, J.A.; Juloori, A.; Chao, S.T.; Murphy, E.S.; Peereboom, D.M.; Mohammadi, A.M.; Barnett, G.H.; Vogelbaum, M.A.; et al. The impact of sequencing PD-1/PD-L1 inhibitors and stereotactic radiosurgery for patients with brain metastasis. Neuro Oncol. 2019, 21, 1060–1068. [Google Scholar] [CrossRef]
- Lehrer, E.J.; Peterson, J.L.; Zaorsky, N.G.; Brown, P.D.; Sahgal, A.; Chiang, V.L.; Chao, S.T.; Sheehan, J.P.; Trifiletti, D.M. Single versus Multifraction Stereotactic Radiosurgery for Large Brain Metastases: An International Meta-analysis of 24 Trials. Int. J. Radiat. Oncol. Biol. Phys. 2019, 103, 618–630. [Google Scholar] [CrossRef]
- Lee, E.J.; Choi, K.S.; Park, E.S.; Cho, Y.H. Single- and hypofractionated stereotactic radiosurgery for large (>2 cm) brain metastases: A systematic review. J. Neurooncol. 2021, 154, 25–34. [Google Scholar] [CrossRef]
- Feuvret, L.; Vinchon, S.; Martin, V.; Lamproglou, I.; Halley, A.; Calugaru, V.; Chea, M.; Valér, C.A.; Simon, J.M.; Mazeron, J.J. Stereotactic radiotherapy for large solitary brain metastases. Cancer Radiother. 2014, 18, 97–106. [Google Scholar] [CrossRef]
- Wiggenraad, R.; Verbeek-de Kanter, A.; Mast, M.; Molenaar, R.; Kal, H.B.; Lycklama à Nijeholt, G.; Vecht, C.; Struikmans, H. Local progression and pseudo progression after single fraction or fractionated stereotactic radiotherapy for large brain metastases. A single centre study. Strahlenther. Onkol. 2012, 188, 696–701. [Google Scholar] [CrossRef]
- Sayan, M.; Şahin, B.; Mustafayev, T.Z.; Kefelioğlu, E.Ş.S.; Vergalasova, I.; Gupta, A.; Balmuk, A.; Güngör, G.; Ohri, N.; Weiner, J.; et al. Risk of symptomatic radiation necrosis in patients treated with stereotactic radiosurgery for brain metastases. Neurocirugia 2021, 32, 261–267. [Google Scholar] [CrossRef]

| Characteristic | Number of Patients and Proportion (%) | p-Value | |
|---|---|---|---|
| SRS (n = 100) | FSRT (n = 69) | ||
| Biologically effective dose | <0.001 | ||
| 49–57 Gy12 | 100 (100) | 39 (57) | |
| 63–67 Gy12 | 0 (0) | 30 (43) | |
| Year of treatment | 0.92 | ||
| 2011–2016 | 37 (37) | 25 (36) | |
| 2017–2022 | 63 (63) | 44 (64) | |
| Pre-RT systemic treatment | 0.004 | ||
| No | 33 (33) | 38 (55) | |
| Yes | 67 (67) | 31 (45) | |
| Age at RT | 0.84 | ||
| ≤66 years | 52 (52) | 37 (54) | |
| ≥67 years | 48 (48) | 32 (46) | |
| Gender | 0.33 | ||
| Female | 54 (54) | 32 (46) | |
| Male | 46 (46) | 37 (54) | |
| Karnofsky performance score | <0.001 | ||
| ≤80 | 27 (27) | 41 (59) | |
| ≥90 | 73 (73) | 28 (41) | |
| Type of primary tumor | 0.24 | ||
| Lung cancer | 38 (38) | 33 (48) | |
| Melanoma | 34 (34) | 24 (35) | |
| Other types | 28 (28) | 12 (17) | |
| Number of brain metastases | <0.001 | ||
| 1 | 87 (87) | 42 (61) | |
| 2–4 | 13 (13) | 27 (39) | |
| Main metastatic site(s) | 0.18 | ||
| Supratentorial–peripheral | 60 (60) | 50 (72) | |
| Supratentorial–central | 15 (15) | 5 (7) | |
| Infratentorial | 25 (25) | 14 (20) | |
| Maximum size of brain metastases | 0.002 | ||
| ≤20 mm | 89 (89) | 48 (70) | |
| >20 mm | 11 (11) | 21 (30) | |
| Metastases outside the brain | 0.46 | ||
| No | 22 (22) | 12 (17) | |
| Yes | 78 (78) | 57 (83) | |
| Characteristic | Number of Patients and Proportion (%) | p-Value | |
|---|---|---|---|
| SRS (n = 11) | FSRT (n = 21) | ||
| Biologically effective dose | 0.066 | ||
| 49–57 Gy12 | 11 (100) | 14 (67) | |
| 63–67 Gy12 | 0 (0) | 7 (33) | |
| Year of treatment | 0.37 | ||
| 2011–2016 | 8 (73) | 10 (48) | |
| 2017–2022 | 3 (27) | 11 (52) | |
| Pre-RT systemic treatment | 0.47 | ||
| No | 4 (36) | 11 (52) | |
| Yes | 7 (64) | 10 (48) | |
| Age at RT | 0.46 | ||
| ≤65 years | 4 (36) | 12 (57) | |
| ≥66 years | 7 (64) | 9 (43) | |
| Gender | 0.91 | ||
| Female | 5 (45) | 10 (48) | |
| Male | 6 (55) | 11 (52) | |
| Karnofsky performance score | 0.002 | ||
| ≤80 | 1 (9) | 15 (71) | |
| ≥90 | 10 (91) | 6 (29) | |
| Type of primary tumor | 0.095 | ||
| Lung cancer | 2 (18) | 12 (57) | |
| Melanoma | 5 (45) | 4 (19) | |
| Other types | 4 (36) | 5 (24) | |
| Number of brain metastases | >0.99 | ||
| 1 | 7 (64) | 12 (57) | |
| 2–4 | 4 (36) | 9 (43) | |
| Main metastatic site(s) | 0.10 | ||
| Supratentorial–peripheral | 5 (45) | 17 (81) | |
| Supratentorial–central | 4 (36) | 2 (10) | |
| Infratentorial | 2 (18) | 2 (10) | |
| Metastases outside the brain | 0.31 | ||
| No | 3 (27) | 2 (10) | |
| Yes | 8 (73) | 19 (90) | |
| Characteristic | Number of Patients and Proportion (%) | p-Value | |
|---|---|---|---|
| SRS (n = 89) | FSRT (n = 48) | ||
| Biologically effective dose | <0.001 | ||
| 49–57 Gy12 | 89 (100) | 25 (52) | |
| 63–67 Gy12 | 0 (0) | 23 (48) | |
| Year of treatment | 0.87 | ||
| 2011–2016 | 29 (33) | 15 (31) | |
| 2017–2022 | 60 (67) | 33 (69) | |
| Pre-RT systemic treatment | 0.007 | ||
| No | 29 (33) | 27 (56) | |
| Yes | 60 (67) | 21 (44) | |
| Age at RT | 0.75 | ||
| ≤66 years | 47 (53) | 24 (50) | |
| ≥67 years | 42 (47) | 24 (50) | |
| Gender | 0.30 | ||
| Female | 49 (55) | 22 (46) | |
| Male | 40 (45) | 26 (54) | |
| Karnofsky performance score | 0.004 | ||
| ≤80 | 26 (29) | 26 (54) | |
| ≥90 | 63 (71) | 22 (46) | |
| Type of primary tumor | 0.23 | ||
| Lung cancer | 36 (40) | 21 (44) | |
| Melanoma | 29 (33) | 20 (42) | |
| Other types | 24 (27) | 7 (15) | |
| Number of brain metastases | <0.001 | ||
| 1 | 80 (90) | 30 (63) | |
| 2–4 | 9 (10) | 18 (38) | |
| Main metastatic site(s) | 0.50 | ||
| Supratentorial–peripheral | 55 (62) | 33 (69) | |
| Supratentorial–central | 23 (26) | 12 (25) | |
| Infratentorial | 11 (12) | 3 (6) | |
| Metastases outside the brain | 0.94 | ||
| No | 19 (21) | 10 (21) | |
| Yes | 70 (79) | 38 (79) | |
Disclaimer/Publisher’s Note: The statements, opinions and data contained in all publications are solely those of the individual author(s) and contributor(s) and not of MDPI and/or the editor(s). MDPI and/or the editor(s) disclaim responsibility for any injury to people or property resulting from any ideas, methods, instructions or products referred to in the content. |
© 2023 by the authors. Licensee MDPI, Basel, Switzerland. This article is an open access article distributed under the terms and conditions of the Creative Commons Attribution (CC BY) license (https://creativecommons.org/licenses/by/4.0/).
Share and Cite
Johannwerner, L.; Werner, E.M.; Blanck, O.; Janssen, S.; Cremers, F.; Yu, N.Y.; Rades, D. Radiation Necrosis Following Stereotactic Radiosurgery or Fractionated Stereotactic Radiotherapy with High Biologically Effective Doses for Large Brain Metastases. Biology 2023, 12, 655. https://doi.org/10.3390/biology12050655
Johannwerner L, Werner EM, Blanck O, Janssen S, Cremers F, Yu NY, Rades D. Radiation Necrosis Following Stereotactic Radiosurgery or Fractionated Stereotactic Radiotherapy with High Biologically Effective Doses for Large Brain Metastases. Biology. 2023; 12(5):655. https://doi.org/10.3390/biology12050655
Chicago/Turabian StyleJohannwerner, Leonie, Elisa M. Werner, Oliver Blanck, Stefan Janssen, Florian Cremers, Nathan Y. Yu, and Dirk Rades. 2023. "Radiation Necrosis Following Stereotactic Radiosurgery or Fractionated Stereotactic Radiotherapy with High Biologically Effective Doses for Large Brain Metastases" Biology 12, no. 5: 655. https://doi.org/10.3390/biology12050655
APA StyleJohannwerner, L., Werner, E. M., Blanck, O., Janssen, S., Cremers, F., Yu, N. Y., & Rades, D. (2023). Radiation Necrosis Following Stereotactic Radiosurgery or Fractionated Stereotactic Radiotherapy with High Biologically Effective Doses for Large Brain Metastases. Biology, 12(5), 655. https://doi.org/10.3390/biology12050655

