Molecular Characterization Of Pathogenic Salmonella Spp From Raw Beef In Karachi, Pakistan
Abstract
1. Introduction
2. Results
2.1. Detection of Salmonella in Raw Beef Samples from Different Body Parts
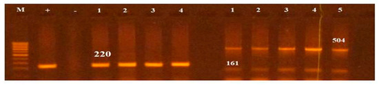
2.2. PCR Screening of Virulence and Resistance Genes in Salmonella Isolates
2.3. Antimicrobial Resistance in Salmonella Isolates
2.4. Morphological and Biochemical Characteristics
3. Discussion
4. Materials and Methods
4.1. Samples Collection and Processing
4.2. Isolation of Salmonella
4.3. Identification of Salmonella
4.4. Antibiotic Susceptibility Profiling
4.5. DNA Extraction and Purification
4.6. PCR Screening of Resistance and Virulence Genes
4.7. Statistical Analysis
5. Conclusions
Author Contributions
Funding
Conflicts of Interest
References
- Fung, F.; Wang, H.S.; Menon, S. Food safety in the 21st century. Biomed. J. 2018, 41, 88–95. [Google Scholar] [CrossRef]
- Käferstein, F. Foodborne diseases in developing countries: Aetiology, epidemiology and strategies for prevention. Int. J. Environ. Health Res. 2003, 13, S161–S168. [Google Scholar] [CrossRef]
- Bosilevac, J.M.; Guerini, M.N.; Kalchayanand, N.; Koohmaraie, M. Prevalence and characterization of Salmonella in commercial ground beef in the United States. Appl. Environ. Microbiol. 2009, 75, 1892–1900. [Google Scholar] [CrossRef]
- EFSA. The European Union summary report on trends and sources of zoonoses, zoonotic agents and food-borne outbreaks in 2014. Efsa J. 2014, 12, 3547. [Google Scholar]
- Mahmood, A.K.; Khan, M.S.; Khan, M.A.; Khan, M.A.; Bilal, M. Prevalence of Salmonella in diarrheic adult goats in field conditions. J. Anim. Plant Sci. 2014, 24, 98–102. [Google Scholar]
- Antunes, P.; Mourão, J.; Campos, J.; Peixe, L. Salmonellosis: The role of poultry meat. Clin. Microbiol. Infect. 2016, 22, 110–121. [Google Scholar] [CrossRef] [PubMed]
- Balasubramanian, R.; Im, J.; Lee, J.S.; Jeon, H.J.; Mogeni, O.D.; Kim, J.H.; Marks, F. The global burden and epidemiology of invasive non-typhoidal Salmonella infections. Hum. Vaccines Immunother. 2019, 15, 1421–1426. [Google Scholar] [CrossRef] [PubMed]
- Obeid, R.; Heil, S.G.; Verhoeven, M.M.; Van Den Heuvel, E.G.; De Groot, L.C.; Eussen, S.J. Vitamin B12 intake from animal foods, biomarkers, and health aspects. Front. Nutr. 2019, 6. [Google Scholar] [CrossRef]
- Carrie, D.; Cross, A.; Koebnick, C.; Sinha, R. Trends in meat consumption in the United States. Public Health Nutr. 2011, 14, 575–583. [Google Scholar]
- Sohaib, M.; Jamil, F. An insight of meat industry in Pakistan with special reference to halal meat: A comprehensive review. Korean J. Food Sci. Anim. Resour. 2017, 37, 329. [Google Scholar] [CrossRef] [PubMed]
- Guerin, M.T.; Martin, S.W.; Darlington, G.A.; Rajic, A. A temporal study of Salmonella serovars in animals in Alberta between 1990 and 2001. Can. J. Vet. Res. 2005, 69, 88. [Google Scholar]
- Gutema, F.D.; Agga, G.E.; Abdi, R.D.; Duchateau, L.; DeZutter, L.; Gabriël, S. Prevalence and Serotype Diversity of Salmonella in apparently healthy Cattle: Systematic Review and Meta-Analysis of Published Studies, 2000–2017. Front. Vet. Sci. 2019, 6, 102. [Google Scholar] [CrossRef]
- McDonough, P.L.; Fogelman, D.; Shin, S.J.; Brunner, M.A.; Lein, D.H. Salmonella enterica serotype Dublin infection: An emerging infectious disease for the Northeaster United States. J. Clin. Microbiol. 1999, 37, 2418–2427. [Google Scholar] [CrossRef] [PubMed]
- Molla, B.; Alemayehu, D.; Salah, W. Sources and distribution of Salmonella serotypes isolated from food animals, slaughterhouse personnel and retail meat products in Ethiopia: 1997–2002. Ethiop. J. Health Dev. 2003, 17, 63–70. [Google Scholar]
- Garedew, L.; Hagos, Z.; Addis, Z.; Tesfaye, R.; Zegeye, B. Prevalence and antimicrobial susceptibility patterns of Salmonella isolates in association with hygienic status from butcher shops in Gondar town, Ethiopia. Antimicrob. Resist. Infect. Control 2015, 4, 1. [Google Scholar] [CrossRef] [PubMed]
- Kamboh, A.A.; Shoaib, M.; Abro, S.H.; Khan, M.A.; Malhi, K.K.; Yu, S. Antimicrobial Resistance in Enterobacteriaceae Isolated from Liver of Commercial Broilers and Backyard Chickens. J. Appl. Poult. Res. 2018, 27, 627–634. [Google Scholar] [CrossRef]
- Monte, D.F.; Lincopan, N.; Fedorka-Cray, P.J.; Landgraf, M. Current insights on high priority antibiotic-resistant Salmonella enterica in food and foodstuffs: A review. Curr. Opin. Food Sci. 2019, 26, 35–46. [Google Scholar] [CrossRef]
- Cuypers, W.L.; Jacobs, J.; Wong, V.; Klemm, E.J.; Deborggraeve, S.; Van Puyvelde, S. Fluoroquinolone resistance in Salmonella: Insights by whole-genome sequencing. Microb. Genom. 2018, 4. [Google Scholar] [CrossRef]
- Fernández, J.; Guerra, B.; Rodicio, M.R. Resistance to carbapenems in non-typhoidal Salmonella enterica Serovars from humans, animals and food. Vet. Sci. 2018, 5, 40. [Google Scholar] [CrossRef]
- MacDonald, E.; White, R.; Mexia, R.; Bruun, T.; Kapperud, G.; Brandal, L.T.; Vold, L. The role of domestic reservoirs in domestically acquired Salmonella infections in Norway: Epidemiology of salmonellosis, 2000–2015, and results of a national prospective case–control study, 2010–2012. Epidemiol. Infect. 2019, 147. [Google Scholar]
- Rotimi, V.O.; Jamal, W.; Pal, T.; Sonnevend, A.; Dimitrov, T.S.; Albert, M.J. Emergence of multidrug-resistant Salmonella spp. and isolates with reduced susceptibility to ciprofloxacin in Kuwait and the United Arab Emirates. Diagn. Microbiol. Infect. Dis. 2008, 60, 71–77. [Google Scholar] [CrossRef]
- Kariuki, S.; Gordon, M.A.; Feasey, N.; Parry, C.M. Antimicrobial resistance and management of invasive Salmonella disease. Vaccine 2015, 33, C21–C29. [Google Scholar] [CrossRef] [PubMed]
- Munir, S.; Ali, S.; Ali, S. A systematic review on shifting trends of foodborne diseases in Pakistan. Abasyn J. Life Sci. 2019. [Google Scholar] [CrossRef]
- Van, T.T.H.; Moutafis, G.; Istivan, T.; Tran, L.T.; Coloe, P.J. Detection of Salmonella spp. in retail raw food samples from Vietnam and characterization of their antibiotic resistance. Appl. Environ. Microbiol. 2007, 73, 6885–6890. [Google Scholar] [CrossRef] [PubMed]
- Soomro, A.H.; Khaskheli, M.; Bhutto, M.B.; Shah, G.; Memon, A.; Dewani, P. Prevalence and antimicrobial resistance of Salmonella serovars isolated from poultry meat in Hyderabad, Pakistan. Turk. J. Vet. Anim. Sci. 2011, 34, 455–460. [Google Scholar]
- Samad, A.; Abbas, F.; Tanveer, Z.U.; Ahmad, Z.A.; Raziq, A.B.; Zahid, M. Prevalence of Salmonella spp. in chicken meat from Quetta retail outlets and typing through multiplex PCR. Rom. Biotechnol. Lett. 2018, 10, 1–11. [Google Scholar] [CrossRef]
- Almeida, C.; Cerqueira, L.; Azevedo, N.F.; Vieira, M.J. Detection of Salmonella enterica serovar Enteritidis using real time PCR, immunocapture assay, PNA FISH and standard culture methods in different types of food samples. Int. J. Food Microbiol. 2013, 161, 16–22. [Google Scholar] [CrossRef]
- Siala, M.; Barbana, A.; Smaoui, S.; Hachicha, S.; Marouane, C.; Kammoun, S.; Messadi-Akrout, F. Screening and detecting Salmonella in different food matrices in southern Tunisia using a combined enrichment/real-time PCR method: Correlation with conventional culture method. Front. Microbiol. 2017, 8, 2416. [Google Scholar] [CrossRef]
- Barkocy-Gallagher, G.A.; Arthur, T.M.; Rivera-Betancourt, M.; Nou, X.; Shackelford, S.D.; Wheeler, T.L.; Koohmaraie, M. Seasonal prevalence of Shiga toxin–producing Escherichia coli, including O157: H7 and non-O157 serotypes, and Salmonella in commercial beef processing plants. J. Food Prot. 2003, 66, 1978–1986. [Google Scholar] [CrossRef]
- Sallam, K.I.; Mohammed, M.A.; Hassan, M.A.; Tamura, T. Prevalence, molecular identification and antimicrobial resistance profile of Salmonella serovars isolated from retail beef products in Mansoura, Egypt. Food Control 2014, 38, 209–214. [Google Scholar] [CrossRef]
- El-Sharkaway, M.S.; Samaha, I.A.; Abd El Galil, H.I. Prevalence of Pathogenic Microorganisms in Raw Meat Products from Retail Outlets in Alexandria Province. AJVS 2016, 51, 374–380. [Google Scholar]
- Dallal, M.M.S.; Yazdi, M.S.; Mirzaei, N.; Kalantar, E. Prevalence of Salmonella spp. in packed and unpacked red meat and chicken in south of Tehran. Jundishapur J. Microbiol. 2014, 7. [Google Scholar]
- Hyeon, J.Y.; Chon, J.W.; Hwang, I.G.; Kwak, H.S.; Kim, M.S.; Kim, S.K.; Seo, K.H. Prevalence, antibiotic resistance, and molecular characterization of Salmonella serovars in retail meat products. J. Food Prot. 2011, 74, 161–166. [Google Scholar] [CrossRef] [PubMed]
- Jalali, M.; Abedi, D.; Pourbakhsh, S.A.; Ghoukasin, K. Prevalence of Ssalmonella spp. in raw and cooked foods in Isfahan-Iran. J. Food Saf. 2008, 28, 442–452. [Google Scholar] [CrossRef]
- Abouzeed, Y.M.; Hariharan, H.; Poppe, C.; Kibenge, F.S. Characterization of Salmonella isolates from beef cattle, broiler chickens and human sources on Prince Edward Island. Comp. Immunol. Microbiol. Infect. Dis. 2000, 23, 253–266. [Google Scholar] [CrossRef][Green Version]
- Tafida, S.Y.; Kabir, J.; Kwaga, J.K.P.; Bello, M.; Umoh, V.J.; Yakubu, S.E.; Hendriksen, R. Occurrence of Salmonella in retail beef and related meat products in Zaria, Nigeria. Food Control 2013, 32, 119–124. [Google Scholar] [CrossRef]
- Thai, T.H.; Yamaguchi, R. Molecular characterization of antibiotic-resistant Salmonella isolates from retail meat from markets in Northern Vietnam. J. Food Prot. 2012, 75, 1709–1714. [Google Scholar] [CrossRef]
- Thai, T.H.; Hirai, T.; Lan, N.T.; Shimada, A.; PHAM, T.N.; Yamaguchi, R. Antimicrobial resistance of Salmonella serovars isolated from beef at retail markets in the north Vietnam. J. Vet. Med. Sci. 2012, 12-0053. [Google Scholar] [CrossRef]
- Ur Rahman, S.; Mohsin, M. The under reported issue of antibiotic-resistance in food-producing animals in Pakistan. Pak. Vet. J. 2019, 1, 1–16. [Google Scholar]
- Ekli, R.; Adzitey, F.; Huda, N. Prevalence of resistant Salmonella spp. isolated from raw meat and liver of cattle in the Wa Municipality of Ghana. In IOP Conference Series: Earth and Environmental Science; IOP Publishing: Bristol, UK, 2019; Volume 287, p. 012006. [Google Scholar] [CrossRef]
- Maharjan, M.; Joshi, V.; Joshi, D.D.; Manandhar, P. Prevalence of Salmonella species in various raw meat samples of a local market in Kathmandu. Ann. N. Y. Acad. Sci. 2006, 1081, 249–256. [Google Scholar] [CrossRef]
- Nhung, N.T.; Van, N.T.B.; Van Cuong, N.; Duong, T.T.Q.; Nhat, T.T.; Hang, T.T.T.; Campbell, J. Antimicrobial residues and resistance against critically important antimicrobials in non-typhoidal Salmonella from meat sold at wet markets and supermarkets in Vietnam. Int. J. Food Microbiol. 2018, 266, 301–309. [Google Scholar] [CrossRef] [PubMed]
- Yang, X.; Wu, Q. Prevalence, bacterial load, and antimicrobial resistance of Salmonella serovars isolated from retail meat and meat products in China. Front. Microbiol. 2019, 10, 2121. [Google Scholar] [CrossRef] [PubMed]
- Kebede, A.; Kemal, J.; Alemayehu, H.; Habte Mariam, S. Isolation, identification, and antibiotic susceptibility testing of Salmonella from slaughtered bovines and ovines in Addis Ababa Abattoir Enterprise, Ethiopia: A cross-sectional study. Int. J. Bacteriol. 2016. [Google Scholar] [CrossRef] [PubMed]
- McEvoy, J.M.; Doherty, A.M.; Finnerty, M.; Sheridan, J.J.; McGuire, L.; Blair, I.S.; Harrington, D. The relationship between hide cleanliness and bacterial numbers on beef carcasses at a commercial abattoir. Lett. Appl. Microbiol. 2000, 30, 390–395. [Google Scholar] [CrossRef] [PubMed]
- Reid, C.A.; Small, A.; Avery, S.M.; Buncic, S. Presence of food-borne pathogens on cattle hides. Food Control 2002, 13, 411–415. [Google Scholar] [CrossRef]
- Zhang, L.; Fu, Y.; Xiong, Z.; Ma, Y.; Wei, Y.; Qu, X.; Liao, M. Highly prevalent multidrug-resistant Salmonella from chicken and pork meat at retail markets in Guangdong, China. Front. Microbiol. 2018, 9, 2104. [Google Scholar] [CrossRef]
- D’Aoust, J.Y. Salmonella pecies. In Food Microbiology Fundamentals and Frontiers; Doyle, M.P., Beuchat, L.R., Montville, T.J., Eds.; American Society for Microbiology: Washington, DC, USA, 1997; Volume 5, pp. 129–158. [Google Scholar]
- Li, R.; Lai, J.; Wang, Y.; Liu, S.; Li, Y.; Liu, K.; Wu, C. Prevalence and characterization of Salmonella species isolated from pigs, ducks and chickens in Sichuan Province, China. Int. J. Food Microbiol. 2013, 163, 14–18. [Google Scholar] [CrossRef]
- Yanestria, S.M.; Rahmaniar, R.P.; Wibisono, F.J.; Effendi, M.H. Detection of invA gene of Salmonella from milkfish (Chanos chanos) at Sidoarjo wet fish market, Indonesia, using polymerase chain reaction technique. Vet. World 2019, 12, 170. [Google Scholar] [CrossRef]
- Rahn, K.; De Grandis, S.A.; Clarke, R.C.; McEwen, S.A.; Galan, J.E.; Ginocchio, C.; Gyles, C.L. Amplification of an invA gene sequence of Salmonella Typhimurium by polymerase chain reaction as a specific method of detection of Salmonella. Mol. Cell. Probes 1992, 6, 271–279. [Google Scholar] [CrossRef]
- Raffatellu, M.; Wilson, R.P.; Chessa, D.; Andrews-Polymenis, H.; Tran, Q.T.; Lawhon, S.; Bäumler, A.J. SipA, SopA, SopB, SopD, and SopE2 contribute to Salmonella enterica serotype Typhimurium invasion of epithelial cells. Infect. Immun. 2005, 73, 146–154. [Google Scholar] [CrossRef]
- Wajid, M.; Awan, A.B.; Saleemi, M.K.; Weinreich, J.; Schierack, P.; Sarwar, Y.; Ali, A. Multiple drug resistance and virulence profiling of Salmonella enterica serovars Typhimurium and Enteritidis from poultry farms of Faisalabad, Pakistan. Microb. Drug Resist. 2019, 25, 133–142. [Google Scholar] [CrossRef] [PubMed]
- Seyedjavadi, S.S.; Goudarzi, M.; Sabzehali, F. Relation between blaTEM, blaSHV and blaCTX-M genes and acute urinary tract infections. J. Acute Dis. 2016, 5, 71–76. [Google Scholar] [CrossRef]
- Van Boeckel, T.P.; Glennon, E.E.; Chen, D.; Gilbert, M.; Robinson, T.P.; Grenfell, B.T.; Laxminarayan, R. Reducing antimicrobial use in food animals. Science 2017, 357, 1350–1352. [Google Scholar] [CrossRef] [PubMed]
- Kiiru, J.; Kariuki, S.; Goddeeris, B.M.; Butaye, P. Analysis of β-lactamase phenotypes and carriage of selected β-lactamase genes among Escherichia coli strains obtained from Kenyan patients during an 18-year period. BMC Microbiol. 2006, 12, 155. [Google Scholar] [CrossRef]
- Miró, E.; Navarro, F.; Mirelis, B.; Sabaté, M.; Rivera, A.; Coll, P.; Prats, G. Prevalence of clinical isolates of Escherichia coli producing inhibitor-resistant β-lactamases at a University Hospital in Barcelona, Spain, over a 3-year period. Antimicrob. Agents Chemother. 2002, 46, 3991–3994. [Google Scholar] [CrossRef]
- Warjri, I.; Dutta, T.K.; Lalzampuia, H.; Chandra, R. Detection and characterization of extended-spectrum β-lactamases (blaCTX-M-1 and blaSHV) producing Escherichia coli, Salmonella spp. and Klebsiella pneumoniae isolated from humans in Mizoram. Vet. World 2015, 8, 599. [Google Scholar] [CrossRef]
- Skyberg, J.A.; Logue, C.M.; Nolan, L.K. Virulence genotyping of Salmonella spp. with multiplex PCR. Avian Dis. 2006, 50, 77–81. [Google Scholar] [CrossRef]






| Source | Sample Type | |||||||
|---|---|---|---|---|---|---|---|---|
| Muscles | Minced Beef | Lymph Nodes | Total Positive/Total Samples | % | ||||
| Positive/Total Samples | % | Positive/Total Samples | % | Positive/Total Samples | % | |||
| Butcher Shops | 3/25 | 12 | 7/25 | 28 | 6/25 | 24 | 16/75 | 21.3 |
| Supermarkets | 0/25 | Nil | 0/25 | Nil | 0/25 | Nil | 0/75 | Nil |
| Source | |||||||||
|---|---|---|---|---|---|---|---|---|---|
| Meat Type | Butcher Shops | Supermarkets | Total Strains in Each Sample (%) | ||||||
| S. Enteritidis | S. Typhimurium | S. Cholerasuis | S. Pullorum | S. Enteritidis | S. Typhimurium | S. Cholerasuis | S. Pullorum | ||
| Muscles | 7 (33.3) | 3 (42.8) | 4 (23.5) | 3 (27.3) | 0 | 0 | 0 | 0 | 30.4 |
| Minced Meat | 10 (47.6) | 4 (57.2) | 11 (64.7) | 8 (72.7) | 0 | 0 | 0 | 0 | 58.9 |
| Lymph Nodes | 4 (19.04) | 0 | 2 (11.8) | 0 | 0 | 0 | 0 | 0 | 10.7 |
| Total Serovars (%) | 37.5 | 12.5 | 30.4 | 19.6 | |||||
| Antibacterial Agent | Salmonella isolates | ||||||||||||||
|---|---|---|---|---|---|---|---|---|---|---|---|---|---|---|---|
| S. Enteritidis | S. Typhimurium | S. Cholerasuis | S. Pullorum | All Salmonella spp | |||||||||||
| R% | I% | S% | R% | I% | S% | R% | I% | S% | R% | I% | S% | R% | I% | S% | |
| Amoxicillin | 85.7 | 4.8 | 9.6 | 71.4 | - | 28.6 | 76.5 | - | 23.5 | 90.9 | - | 9.09 | 81.1 | 1.2 | 17.7 |
| Ampicillin | 90.6 | 4.7 | 4.7 | 100 | - | - | 88.2 | - | 17.6 | 90.9 | - | 9.09 | 90.9 | 1.2 | 7.8 |
| Cefipime | 57.1 | 14.2 | 28.7 | 42.7 | - | 57.1 | 23.5 | 11.76 | 64.7 | 30.7 | 27.2 | 42.1 | 38.5 | 13.3 | 48.2 |
| Cefixime | 47.6 | - | 52.4 | 42.8 | - | 57.2 | 41.2 | 11.7 | 47.03 | 72.7 | 9.09 | 18.2 | 51.7 | 5.2 | 43.2 |
| Cefoxitin | 52.4 | 19.04 | 28.6 | 28.5 | 14.2 | 57.3 | 35.3 | 23.5 | 41.2 | 27.8 | - | 72.2 | 36 | 14.2 | 49.8 |
| Ciprofloxacin | 61.9 | - | 38.1 | 71.4 | 28.6 | - | 64.7 | 5.88 | 29.4 | 63.6 | 36.4 | - | 61.4 | 10.7 | 27.7 |
| Enrofloxacin | 52.4 | 9.5 | 38.1 | 57.1 | 14.2 | 28.7 | 70.6 | - | 29.4 | 53.8 | 17.6 | 28.6 | 59.4 | 7.7 | 32.9 |
| Gentamicin | 66.6 | 14.4 | 19.04 | 71.4 | - | 28.6 | 76.5 | - | 23.5 | 72.7 | 36.4 | - | 68.8 | 10.7 | 20.7 |
| Kanamycin | 38.09 | 9.5 | 52.4 | 42.8 | 57.1 | 14.3 | 52.9 | 17.6 | 35.3 | 63.6 | 27.3 | 9.09 | 49.3 | 25.9 | 24.7 |
| Neomycin | 76.2 | 9.52 | 14.3 | 85.7 | - | 14.3 | 76.5 | - | 23.5 | 72.8 | - | 18.2 | 79.8 | 2.4 | 17.6 |
| Oxytetracycline | 95.2 | - | 4.8 | 85.7 | 14.3 | - | 88.2 | - | 11.8 | 90.9 | - | 9.09 | 90 | 3.5 | 7.6 |
| Tetracycline | 85.7 | 9.5 | 4.8 | 71.4 | - | 28.6 | 82.3 | 11.8 | 23.5 | 81.8 | - | 18.2 | 76 | 5.3 | 18.7 |
| No of isolates resistant to multiple classes of antibiotics | |||||||||||||||
| 0–1 | 7 | 2 | 5 | 3 | 17 | ||||||||||
| 2–3 | 5 | 3 | 7 | 4 | 19 | ||||||||||
| 4–5 | 6 | 2 | 3 | 2 | 13 | ||||||||||
| 5> | 3 | 0 | 2 | 2 | 7 | ||||||||||
| Genes | Oligonucleotide Sequences of Primers | Product Size | Annealing Temperature | References |
|---|---|---|---|---|
| TEM | 5′-TTCGCCTGTGTATTATCTCCCTG-3′ 5′-TTAGCGTTGCCAGTGYTCG-3′ | 854 | 54 °C | [56] |
| CTX-M | 5′-ATGTGCAGYACCAGTAARGTKATGGC-3′ 5′-TGGGTRAARTARGTSACCAGAAYCAGCGG-3′ | 593 | 62 °C | [57] |
| SHV | 5′-GGGTTATTCTTATTTGTCGC -3′ 5′-TTAGCGTTGCCAGTGCTC -3′ | 615 | 60 °C | [58] |
| msgA | 5′-GCCAGGCGCACCCGAAATCATCC-3′ 5′-GCGACCAGCCAGATATCAGCCTCTTCAAAC-3′ | 190 | 65 °C | [59] |
| invA | 5′-CTGGCGGTGGCTTTTGTTGTCTTCTCTATT-3′ 5′-AGTTTCTCGCCCTCTTCATGCGTTACCC-3′ | 1070 | 65 °C | [59] |
| sipB | 5′-GGACGCCGCCGGGGAAAAACTCTC-3′ 5′-ACACTCCCGTCGGCGCCTTCACAA-3′ | 875 | 56 °C | [59] |
| tolC | 5′-TACCCAGGCGCCAAAAGAGGCTATC-3′ 5′-CCCGCGGTTATCCAGGGCTTGTTGC-3′ | 161 | 56 °C | [59] |
| iroN | 5′-ACTGGCACGGCTCGGTGTCGCTCTAT-3′ 5′-CGCTTTACCGCCCTTCTGCCACTGC-3′ | 1205 | 56 °C | [59] |
| sitC | 5′-CAGTATATGCTCAAGGCGATGTGGGTCTCC-3′ 5′-CGGGGCGAAAATAAGGGCTGTGATGAAC-3′ | 768 | 55 °C | [59] |
| lpfC | 5′-GCCCCGCCTGAAGCGTGTGTTGC-3′ 5′-AGGTCGCCGCTGTTGGAGGTTGGATA-3′ | 641 | 60 °C | [59] |
| spvB | 5′-CTATCAGCCCGGCACGGAGAGCAGTTTTTA-3′ 5′-GGAGGAGGCGGTGGCCGTGGCATCATA-3′ | 717 | 60 °C | [59] |
| spiA | 5′-CCAGGGCTCGTTAGTGTATTGCGTGAGATG-3′ 5′-CGCGTAACAAAGAACCGGTAGTGATGGATT-3′ | 550 | 54 °C | [59] |
| pagC | 5′-CGCCTTTTCCCTGGGGTATGC-3′ 5′-GAAGCGGTTTATTTTTGTAGAGGAGATGTT-3′ | 454 | 54 °C | [59] |
| cdtB | 5′-ACAACTGTCGGATCTCGCCCCGTCATT-3′ 5′-CAATTTGCGTGGCTTCTGTAGGTGCGAGT-3′ | 268 | 54 °C | [59] |
| sifA | 5′-TTTGCCGAACGCGGCCCCACACG-3′ 5′-GTTGCCTTTTCTTGCCCTTTCCACCCATCT-3′ | 440 | 65 °C | [59] |
| sopB | 5′-CGGACCGGCCAGCAACCAAACAAGAAGAAG-3′ 5′-TAGTGATGCCCGTTATCCGTGAGTGTATT-3′ | 220 | 54 °C | [59] |
| pefA | 5′-GCGCCGCTCAGCCGGACCAG-3′ 5′-GCAGCAGAAGCCCAGCAAACAGTG-3′ | 157 | 55 °C | [59] |
| prgH | 5′-GCCCGAGCAGGCTGAGAAGTTAGAAA-3′ 5′-TGAAATGAGCGGCCCTTGAGCCAGTC-3′ | 756 | 55 °C | [59] |
| SpaN | 5′-AAAAGCCCTGGAATCCGTTAGTGAAGT-3′ 5′-CAGCGCTGGGCATTACCGTTTTG-3′ | 504 | 60 °C | [59] |
| orgA | 5′-TTTTTGGCCATGCATCAGGGAACA-3′ 5′-GGCGAAAGCGGGCACGGTATT-3′ | 255 | 55 °C | [59] |
© 2020 by the authors. Licensee MDPI, Basel, Switzerland. This article is an open access article distributed under the terms and conditions of the Creative Commons Attribution (CC BY) license (http://creativecommons.org/licenses/by/4.0/).
Share and Cite
Altaf Hussain, M.; Wang, W.; Sun, C.; Gu, L.; Liu, Z.; Yu, T.; Ahmad, Y.; Jiang, Z.; Hou, J. Molecular Characterization Of Pathogenic Salmonella Spp From Raw Beef In Karachi, Pakistan. Antibiotics 2020, 9, 73. https://doi.org/10.3390/antibiotics9020073
Altaf Hussain M, Wang W, Sun C, Gu L, Liu Z, Yu T, Ahmad Y, Jiang Z, Hou J. Molecular Characterization Of Pathogenic Salmonella Spp From Raw Beef In Karachi, Pakistan. Antibiotics. 2020; 9(2):73. https://doi.org/10.3390/antibiotics9020073
Chicago/Turabian StyleAltaf Hussain, Muhammad, Wan Wang, Changbao Sun, Liya Gu, Zhijing Liu, Tong Yu, Yasin Ahmad, Zhanmei Jiang, and Juncai Hou. 2020. "Molecular Characterization Of Pathogenic Salmonella Spp From Raw Beef In Karachi, Pakistan" Antibiotics 9, no. 2: 73. https://doi.org/10.3390/antibiotics9020073
APA StyleAltaf Hussain, M., Wang, W., Sun, C., Gu, L., Liu, Z., Yu, T., Ahmad, Y., Jiang, Z., & Hou, J. (2020). Molecular Characterization Of Pathogenic Salmonella Spp From Raw Beef In Karachi, Pakistan. Antibiotics, 9(2), 73. https://doi.org/10.3390/antibiotics9020073
