Eravacycline as Salvage Therapy for Severe Intra-Abdominal Infections Caused by Multidrug-Resistant Acinetobacter baumannii: A Case Series
Abstract
1. Introduction
2. Case Presentation
2.1. Case 1
2.1.1. Past Medical History
2.1.2. Admission to Emergency Unit and First Hospitalization
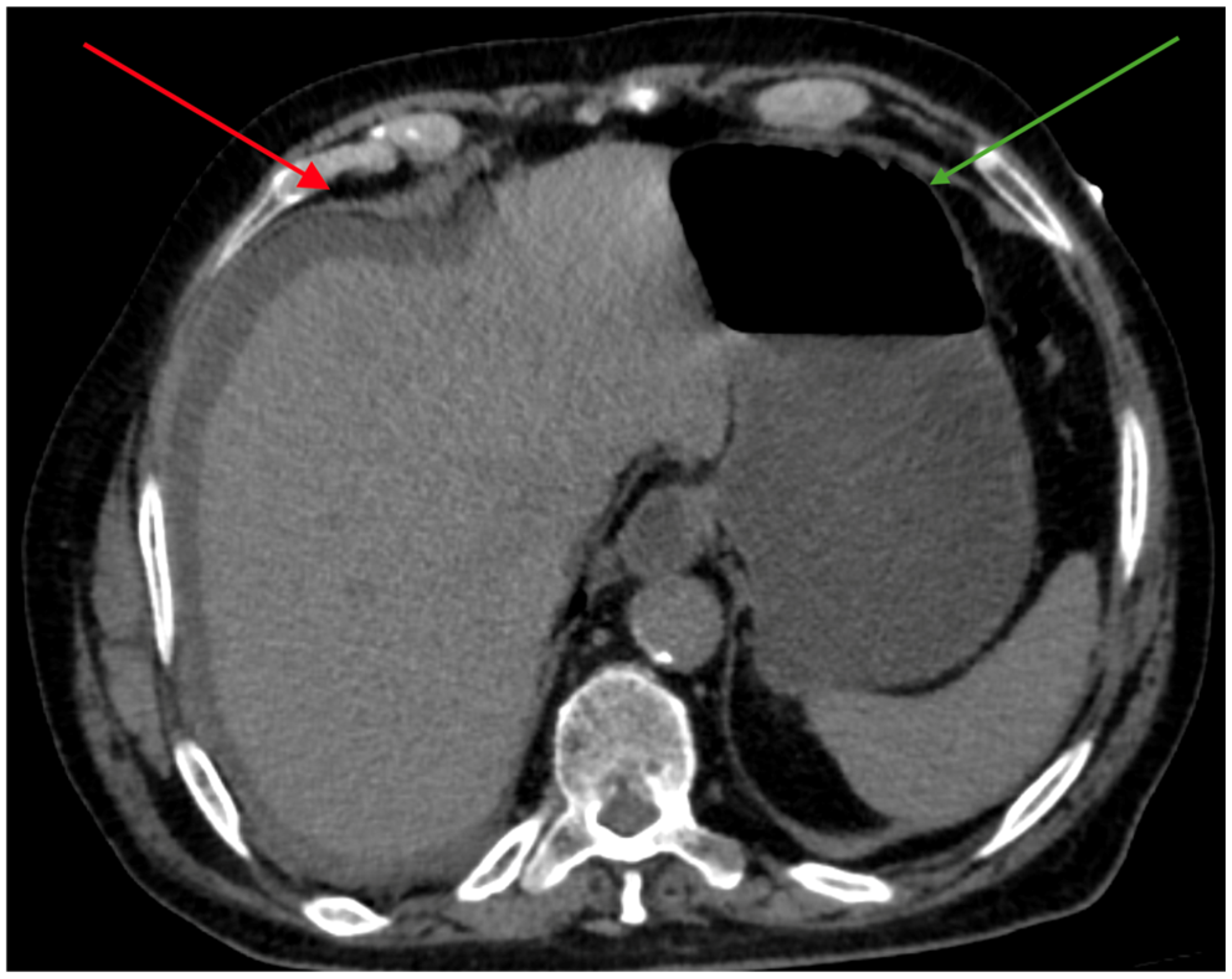
2.1.3. Second Hospitalization and Bile Peritonitis
2.1.4. Isolation of Acinetobacter baumannii and Eravacycline Therapy
2.2. Case 2
2.2.1. Past Medical History and Disease Course
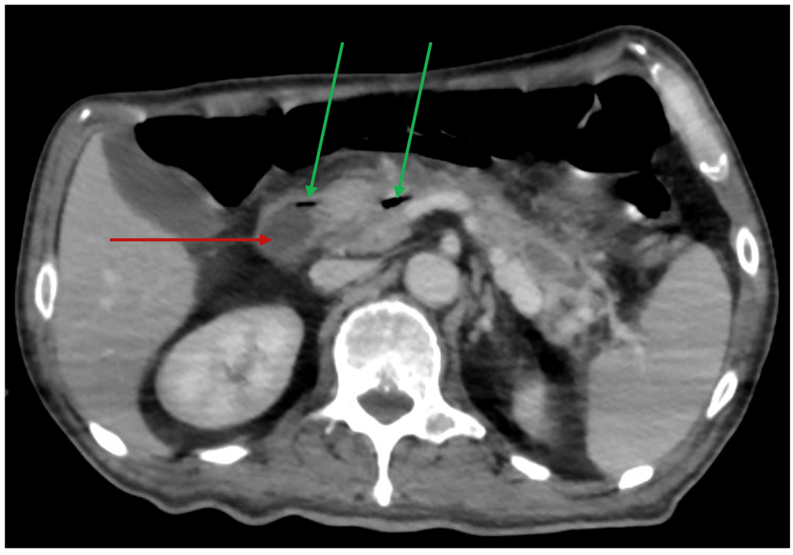
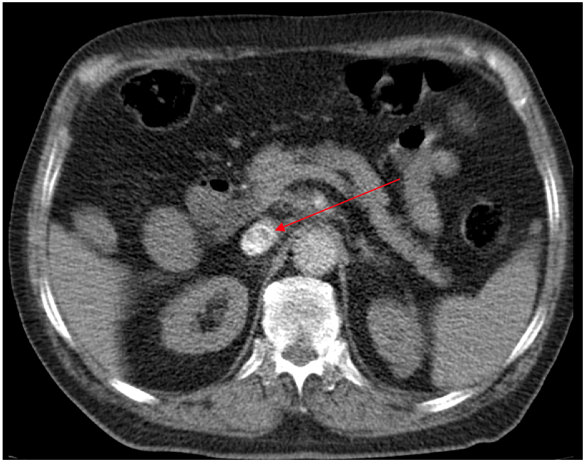
2.2.2. Admission and Clinical Deterioration
2.2.3. Isolation of Acinetobacter baumannii and Eravacycline Therapy
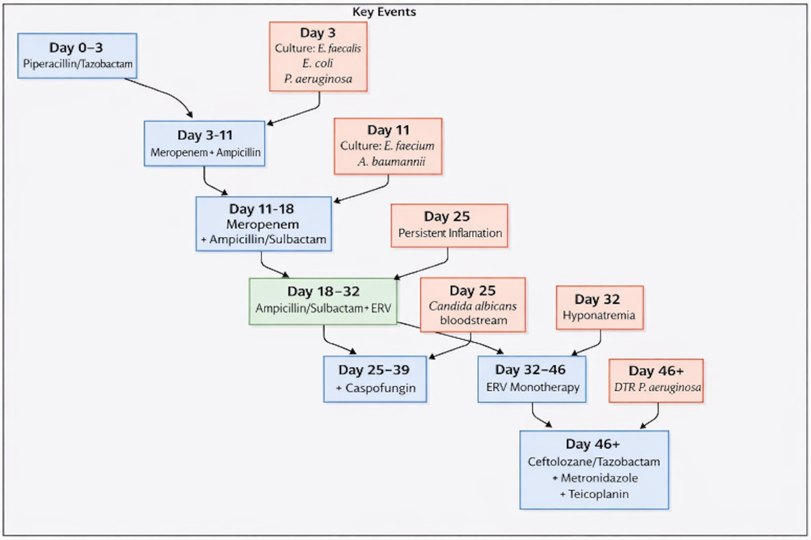
3. Discussion
4. Conclusions
Author Contributions
Funding
Institutional Review Board Statement
Informed Consent Statement
Data Availability Statement
Conflicts of Interest
Abbreviations
| ALT | alanine aminotransferase |
| AST | aspartate aminotransferase |
| CBA | colistin base activity |
| cIAI/cIAIs | complicated intra-abdominal infection(s) |
| CRAB | carbapenem-resistant Acinetobacter baumannii |
| CRP | C-reactive protein |
| CT | computed tomography |
| DTR | difficult-to-treat resistant |
| ELF | epithelial lining fluid |
| ERCP | endoscopic retrograde cholangiopancreatography |
| ERV | eravacycline |
| ESBL | extended-spectrum β-lactamase |
| EUS | endoscopic ultrasound |
| FNB | fine-needle biopsy |
| HAP | hospital-acquired pneumonia |
| IAIs | intra-abdominal infections |
| ICU | intensive care unit |
| IDSA | Infectious Diseases Society of America |
| IV | intravenous |
| LVEF | left ventricular ejection fraction |
| MBL | metallo-β-lactamase |
| MDR | multidrug-resistant |
| MIC | minimum inhibitory concentration |
| MIU | million international units |
| MSSA | methicillin-susceptible Staphylococcus aureus |
| OXA | class D carbapenem-hydrolyzing oxacillinase β-lactamase |
| PCT | procalcitonin |
| PK | pharmacokinetics/pharmacokinetic |
| VAP | ventilator-associated pneumonia |
| VRE | vancomycin-resistant Enterococcus |
| WBC | white blood cell (count) |
| WON | walled-off necrosis |
| WHO | World Health Organization |
References
- Wong, D.; Nielsen, T.B.; Bonomo, R.A.; Pantapalangkoor, P.; Luna, B.; Spellberg, B. Clinical and Pathophysiological Overview of Acinetobacter Infections: A Century of Challenges. Clin. Microbiol. Rev. 2017, 30, 409–447. [Google Scholar] [CrossRef] [PubMed]
- Tacconelli, E.; Carrara, E.; Savoldi, A.; Harbarth, S.; Mendelson, M.; Monnet, D.L.; Pulcini, C.; Kahlmeter, G.; Kluytmans, J.; Carmeli, Y.; et al. Discovery, research, and development of new antibiotics: The WHO priority list of antibiotic-resistant bacteria and tuberculosis. Lancet Infect. Dis. 2018, 18, 318–327. [Google Scholar] [CrossRef] [PubMed]
- Nelson, R.E.; Hyun, D.; Jezek, A.; Samore, M.H. Mortality, Length of Stay, and Healthcare Costs Associated with Multidrug-Resistant Bacterial Infections Among Elderly Hospitalized Patients in the United States. Clin. Infect. Dis. 2022, 74, 1090–1099. [Google Scholar] [CrossRef] [PubMed]
- Doi, Y. Treatment Options for Carbapenem-resistant Gram-negative Bacterial Infections. Clin. Infect. Dis. 2019, 69, S565–S575. [Google Scholar] [CrossRef]
- Karaiskos, I.; Antoniadou, A.; Giamarellou, H. Combination therapy for extensively-drug resistant gram-negative bacteria. Expert Rev. Anti-Infect. Ther. 2017, 15, 1123–1140. [Google Scholar] [CrossRef]
- Karruli, A.; Migliaccio, A.; Pournaras, S.; Durante-Mangoni, E.; Zarrilli, R. Cefiderocol and Sulbactam-Durlobactam against Carbapenem-Resistant Acinetobacter baumannii. Antibiotics 2023, 12, 1729. [Google Scholar] [CrossRef] [PubMed] [PubMed Central]
- Cai, Y.; Chai, D.; Wang, R.; Liang, B.; Bai, N. Colistin resistance of Acinetobacter baumannii: Clinical reports, mechanisms and antimicrobial strategies. J. Antimicrob. Chemother. 2012, 67, 1607–1615. [Google Scholar] [CrossRef]
- De Pascale, G.; Montini, L.; Pennisi, M.A.; Bernini, V.; Maviglia, R.; Bello, G.; Spanu, T.; Tumbarello, M.; Antonelli, M. High dose tigecycline in critically ill patients with severe infections due to multidrug-resistant bacteria. Crit. Care 2014, 18, R90. [Google Scholar] [CrossRef]
- Tamma, P.D.; Heil, E.L.; Justo, J.A.; Mathers, A.J.; Satlin, M.J.; Bonomo, R.A. Infectious Diseases Society of America 2024 Guidance on the Treatment of Antimicrobial-Resistant Gram-Negative Infections. Clin. Infect. Dis. 2024, ciae403. [Google Scholar] [CrossRef]
- Zhanel, G.G.; Cheung, D.; Adam, H.; Zelenitsky, S.; Golden, A.; Schweizer, F.; Gorityala, B.; Lagacé-Wiens, P.R.; Walkty, A.; Gin, A.S.; et al. Review of Eravacycline, a Novel Fluorocycline Antibacterial Agent. Drugs 2016, 76, 567–588. [Google Scholar] [CrossRef]
- Scott, L.J. Eravacycline: A Review in Complicated Intra-Abdominal Infections. Drugs 2019, 79, 315–324. [Google Scholar] [CrossRef] [PubMed]
- Livermore, D.M.; Mushtaq, S.; Warner, M.; Woodford, N. In vitro activity of eravacycline against carbapenem-resistant Enterobacteriaceae and Acinetobacter baumannii. Antimicrob. Agents Chemother. 2016, 60, 3840–3844. [Google Scholar] [CrossRef] [PubMed]
- Seifert, H.; Stefanik, D.; Sutcliffe, J.A.; Higgins, P.G. In-vitro activity of the novel fluorocycline eravacycline against carbapenem non-susceptible Acinetobacter baumannii. Int. J. Antimicrob. Agents 2018, 51, 62–64. [Google Scholar] [CrossRef] [PubMed]
- Solomkin, J.; Evans, D.; Slepavicius, A.; Lee, P.; Marsh, A.; Tsai, L.; Sutcliffe, J.A.; Horn, P. Assessing the Efficacy and Safety of Eravacycline vs Ertapenem in Complicated Intra-Abdominal Infections in the Investigating Gram-Negative Infections Treated with Eravacycline (IGNITE 1) Trial: A Randomized Clinical Trial. JAMA Surg. 2017, 152, 224–232. [Google Scholar] [CrossRef]
- Mimram, L.; Timsit, J.F.; Rondinaud, E.; Le, M.; Thy, M. Eravacycline as a last resort for difficult-to- treat resistant Acinetobacter baumannii infections in critically ill patients: Three case reports with pharmacokinetic insights. JAC Antimicrob. Resist. 2025, 7, dlaf095. [Google Scholar] [CrossRef]
- Chen, J.; Qian, X.; Yue, B.; Lin, H.; Ding, S.; Chen, J.; Huang, M. Eravacycline Treatment for Carbapenem-Resistant Acinetobacter baumannii in Lung Transplant Recipients: A Real-World Retrospective Study. Infect. Drug Resist. 2025, 18, 4125–4139. [Google Scholar] [CrossRef]
- Connors, K.P.; Housman, S.T.; Pope, J.S.; Russomanno, J.; Salerno, E.; Shore, E.; Redican, S.; Nicolau, D.P. Phase I, open-label, safety and pharmacokinetic study to assess bronchopulmonary disposition of intravenous eravacycline in healthy men and women. Antimicrob. Agents Chemother. 2014, 58, 2113–2118. [Google Scholar] [CrossRef] [PubMed] [PubMed Central]
- Luo, Z.; Zhang, L.; Liu, Z.; Lu, M.; Xu, Y.; Zhou, M. The efficacy and safety of eravacycline in the treatment of patients with pneumonia in respiratory departments: A real-world multicenter retrospective study. J. Glob. Antimicrob. Resist. 2025, 45, 196–201. [Google Scholar] [CrossRef] [PubMed]
- Bassetti, M.; Magnè, F.; Giacobbe, D.R.; Bini, L.; Vena, A. New antibiotics for Gram-negative pneumonia. Eur. Respir. Rev. 2022, 31, 220119. [Google Scholar] [CrossRef] [PubMed] [PubMed Central]
- Buckley, V.; Tran, M.; Price, T.; Singh, S.; Stramel, S. Use of Eravacycline for Acinetobacter baumannii Infections: A Case Series. J Pharm Pract. 2024, 37, 1021–1025. [Google Scholar] [CrossRef] [PubMed]
- Alosaimy, S.; Morrisette, T.; Lagnf, A.M.; Rojas, L.M.; King, M.A.; Pullinger, B.M.; Hobbs, A.L.V.; Perkins, N.B., 3rd; Veve, M.P.; Bouchard, J.; et al. Clinical outcomes of eravacycline in patients treated predominately for carbapenem-resistant Acinetobacter baumannii. Microbiol. Spectr. 2022, 10, e00479-22. [Google Scholar] [CrossRef]




| Antibiotic | MIC | Sensitivity |
|---|---|---|
| Amikacin | >32 µg/mL | R |
| Ciprofloxacin | >1 µg/mL | R |
| Colistin | ≤1 µg/mL | S |
| Gentamicin | >4 µg/mL | R |
| Imipenem | >8 µg/mL | R |
| Levofloxacin | >8 µg/mL | R |
| Meropenem | >8 µg/mL | R |
| Tobramycin | >8 µg/mL | R |
| Trimethoprim/Sulfamethoxazole | >8/152 µg/mL | R |
Disclaimer/Publisher’s Note: The statements, opinions and data contained in all publications are solely those of the individual author(s) and contributor(s) and not of MDPI and/or the editor(s). MDPI and/or the editor(s) disclaim responsibility for any injury to people or property resulting from any ideas, methods, instructions or products referred to in the content. |
© 2026 by the authors. Licensee MDPI, Basel, Switzerland. This article is an open access article distributed under the terms and conditions of the Creative Commons Attribution (CC BY) license.
Share and Cite
Trizzino, M.; D’Agati, G.; Pipitò, L.; Conti, C.; Petrantoni, R.; Rubino, R.; Anastasia, A.; Urso, S.; Ganci, I.; Cappello, M.; et al. Eravacycline as Salvage Therapy for Severe Intra-Abdominal Infections Caused by Multidrug-Resistant Acinetobacter baumannii: A Case Series. Antibiotics 2026, 15, 93. https://doi.org/10.3390/antibiotics15010093
Trizzino M, D’Agati G, Pipitò L, Conti C, Petrantoni R, Rubino R, Anastasia A, Urso S, Ganci I, Cappello M, et al. Eravacycline as Salvage Therapy for Severe Intra-Abdominal Infections Caused by Multidrug-Resistant Acinetobacter baumannii: A Case Series. Antibiotics. 2026; 15(1):93. https://doi.org/10.3390/antibiotics15010093
Chicago/Turabian StyleTrizzino, Marcello, Giulio D’Agati, Luca Pipitò, Claudia Conti, Rossella Petrantoni, Raffaella Rubino, Antonio Anastasia, Sofia Urso, Irene Ganci, Maria Cappello, and et al. 2026. "Eravacycline as Salvage Therapy for Severe Intra-Abdominal Infections Caused by Multidrug-Resistant Acinetobacter baumannii: A Case Series" Antibiotics 15, no. 1: 93. https://doi.org/10.3390/antibiotics15010093
APA StyleTrizzino, M., D’Agati, G., Pipitò, L., Conti, C., Petrantoni, R., Rubino, R., Anastasia, A., Urso, S., Ganci, I., Cappello, M., & Cascio, A. (2026). Eravacycline as Salvage Therapy for Severe Intra-Abdominal Infections Caused by Multidrug-Resistant Acinetobacter baumannii: A Case Series. Antibiotics, 15(1), 93. https://doi.org/10.3390/antibiotics15010093

