Polymerase Chain Reaction-Lateral Flow Strip for Detecting Escherichia coli and Salmonella enterica Harboring blaCTX-M
Abstract
1. Introduction
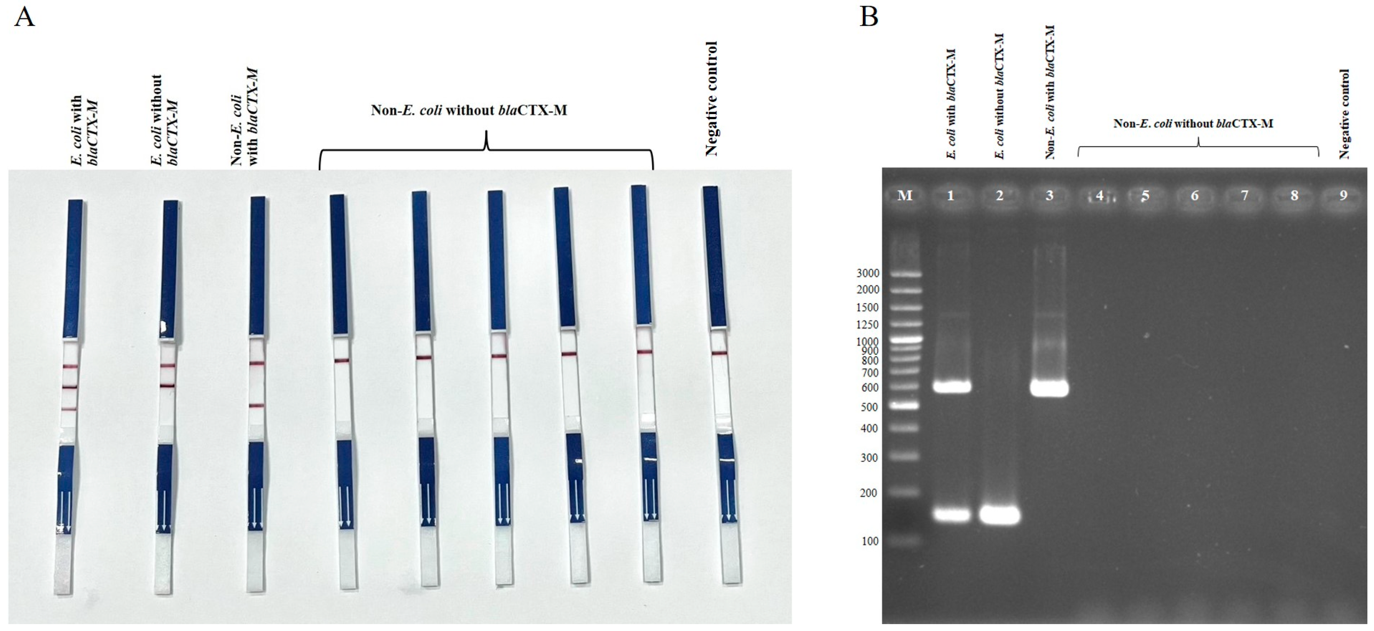
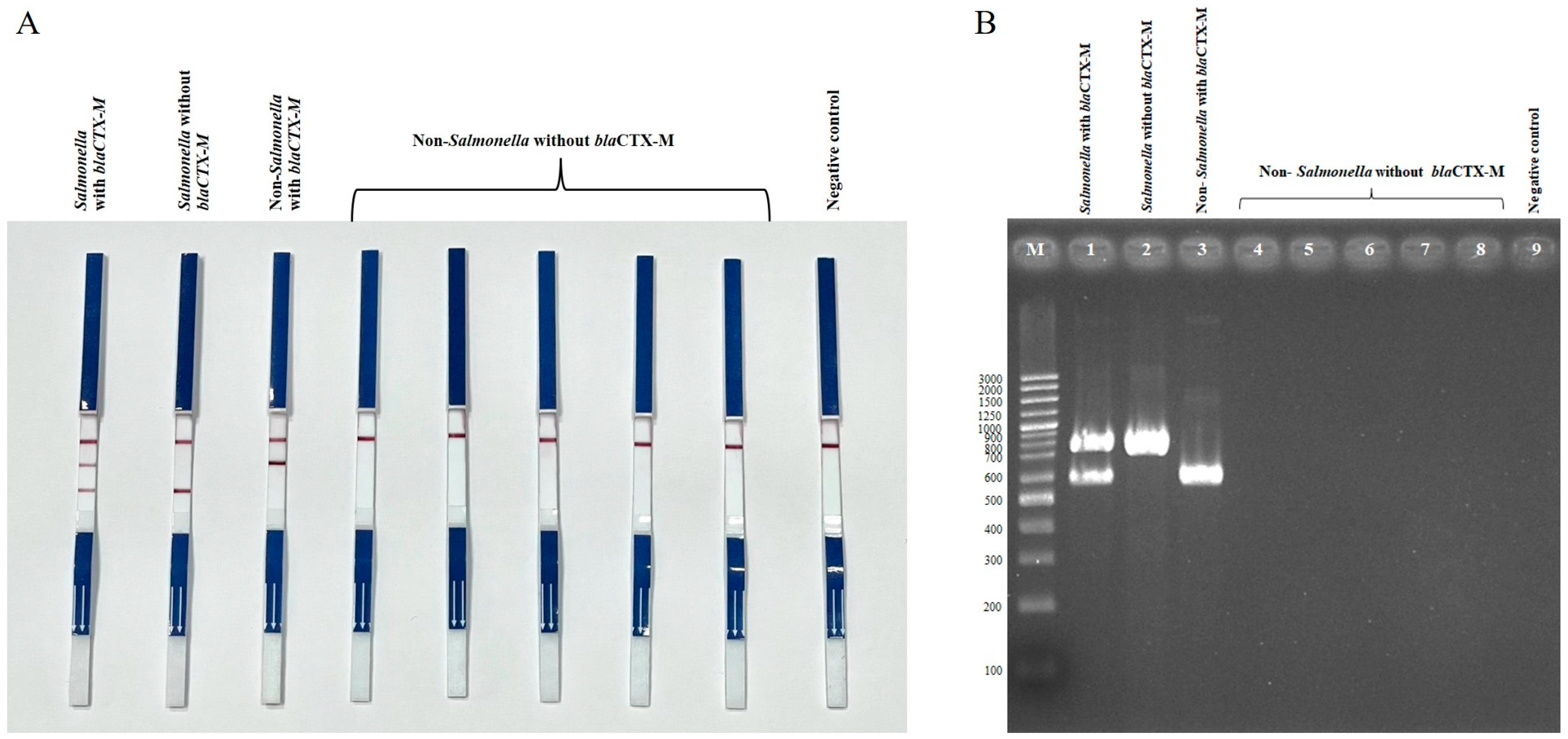
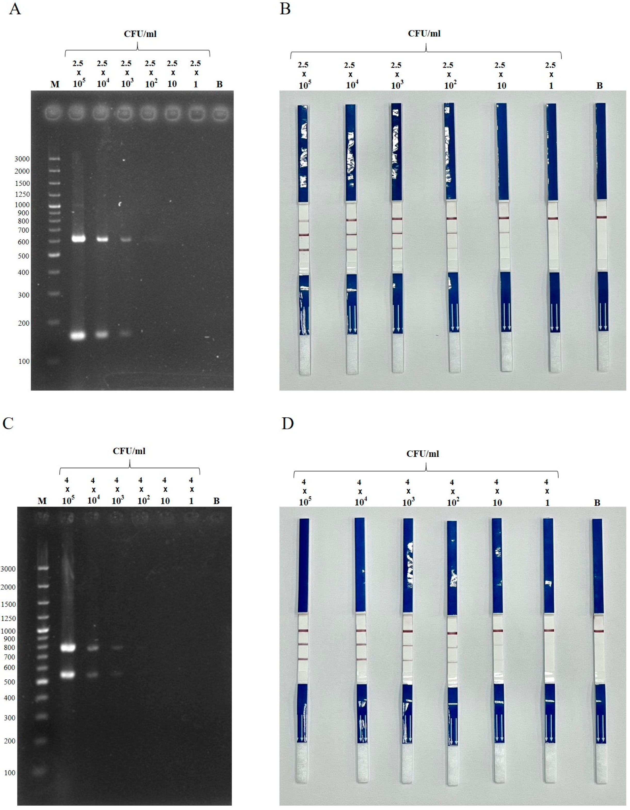
2. Results
3. Discussion
4. Materials and Methods
4.1. Bacteria
4.2. DNA Extraction
4.3. PCR Reaction
4.4. Lateral-Flow Strip (LFS)
4.5. Confirmation of PCR Products by DNA Sequencing
4.6. Detection Limit
4.7. Artificially Spiked Raw Pork Mince Sample
4.8. Statistical Analysis
4.9. Data Availability
5. Conclusions
Author Contributions
Funding
Institutional Review Board Statement
Informed Consent Statement
Data Availability Statement
Conflicts of Interest
References
- Bintsis, T. Foodborne pathogens. AIMS Microbiol. 2017, 3, 529–563. [Google Scholar] [CrossRef]
- Law, J.W.; Ab Mutalib, N.S.; Chan, K.G.; Lee, L.H. Rapid methods for the detection of foodborne bacterial pathogens: Principles, applications, advantages and limitations. Front. Microbiol. 2015, 5, 770. [Google Scholar] [CrossRef]
- Mangal, M.; Bansal, S.; Sharma, S.K.; Gupta, R.K. Molecular detection of foodborne pathogens: A rapid and accurate answer to food safety. Crit. Rev. Food Sci. Nutr. 2016, 56, 1568–1584. [Google Scholar] [CrossRef]
- Umesha, S.; Manukumar, H.M. Advanced molecular diagnostic techniques for detection of food-borne pathogens: Current applications and future challenges. Crit. Rev. Food Sci. Nutr. 2018, 58, 84–104. [Google Scholar] [CrossRef]
- Food and Agriculture Organization. Monitoring and surveillance of antimicrobial resistance in bacteria from healthy food animals intended for consumption. In Regional Antimicrobial Resistance Monitoring and Surveillance Guidelines—Volume 1; Food and Agriculture Organization: Rome, Italy, 2019. [Google Scholar]
- World Health Organization. Integrated Surveillance of Antimicrobial Resistance in Foodborne Bacteria: Application of a One Health Approach; World Health Organization: Geneva, Switzerland, 2017. [Google Scholar]
- World Health Organization. WHO Integrated Global Surveillance on ESBL-Producing E. coli Using a “One Health” Approach: Implementation and Opportunities; World Health Organization: Geneva, Switzerland, 2021. [Google Scholar]
- Paterson, D.L.; Bonomo, R.A. Extended-spectrum beta-lactamases: A clinical update. Clin. Microbiol. Rev. 2005, 18, 657–686. [Google Scholar] [CrossRef] [PubMed]
- Talebi Bezmin Abadi, A.; Rizvanov, A.A.; Haertlé, T.; Blatt, N.L. World health organization report: Current crisis of antibiotic resistance. BioNanoSci 2019, 9, 778–788. [Google Scholar] [CrossRef]
- Saechue, B.; Atwill, E.R.; Jeamsripong, S. Occurrence and molecular characteristics of antimicrobial resistance, virulence factors, and extended-spectrum β-lactamase (ESBL) producing Salmonella enterica and Escherichia coli isolated from the retail produce commodities in Bangkok, Thailand. Heliyon 2024, 10, e26811. [Google Scholar] [CrossRef] [PubMed]
- Husna, A.; Rahman, M.M.; Badruzzaman, A.T.M.; Sikder, M.H.; Islam, M.R.; Rahman, M.T.; Alam, J.; Ashour, H.M. Extended-spectrum β-lactamases (ESBL): Challenges and opportunities. Biomedicines 2023, 11, 2937. [Google Scholar] [CrossRef]
- Bevan, E.R.; Jones, A.M.; Hawkey, P.M. Global epidemiology of CTX-M β-lactamases: Temporal and geographical shifts in genotype. J. Antimicrob. Chemother. 2017, 72, 2145–2155. [Google Scholar] [CrossRef]
- Rossolini, G.M.; D’Andrea, M.M.; Mugnaioli, C. The spread of CTX-M-type extended-spectrum beta-lactamases. Clin. Microbiol. Infect. 2008, 14, 33–41. [Google Scholar] [CrossRef]
- Yu, K.; Huang, Z.; Xiao, Y.; Gao, H.; Bai, X.; Wang, D. Global spread characteristics of CTX-M-type extended-spectrum β-lactamases: A genomic epidemiology analysis. Drug Resist. Updat. 2024, 73, 101036. [Google Scholar] [CrossRef] [PubMed]
- Amelia, A.; Nugroho, A.; Harijanto, P.N. Diagnosis and management of infections caused by Enterobacteriaceae producing extended-spectrum β -lactamase. Acta Med. Indones. 2016, 48, 156–166. [Google Scholar] [PubMed]
- CLSI M100; Performance Standards for Antimicrobial Susceptibility Testing. Clinical and Laboratory Standards Institute: Wayne, PA, USA, 2012.
- Hemwaranon, P.; Srisrattakarn, A.; Lulitanond, A.; Tippayawat, P.; Tavichakorntrakool, R.; Wonglakorn, L.; Daduang, J.; Chanawong, A. Recombinase polymerase amplification combined with lateral flow strip for rapid detection of OXA-48-like carbapenemase genes in Enterobacterales. Antibiotics 2022, 11, 1499. [Google Scholar] [CrossRef]
- Kanokudom, S.; Assawakongkarat, T.; Akeda, Y.; Ratthawongjirakul, P.; Chuanchuen, R.; Chaichanawongsaroj, N. Rapid detection of extended spectrum β-lactamase producing Escherichia coli isolated from fresh pork meat and pig cecum samples using multiplex recombinase polymerase amplification and lateral flow strip analysis. PLoS ONE 2021, 16, e0248536. [Google Scholar] [CrossRef]
- Najomtien, P.; Phoksawat, W.; Khammanthoon, S.; Klasuk, W.; Srisurat, N.; Chattagul, S.; Photisap, C.; Pipattanaboon, C.; Sermswan, R.W.; Wongratanacheewin, S. PCR combined with lateral flow dipstick assay (PCR-LFD) for a rapid diagnosis of melioidosis. Asian Pac. J. Allergy Immunol 2024. ahead of print. [Google Scholar] [CrossRef]
- Saetang, J.; Sukkapat, P.; Palamae, S.; Singh, P.; Senathipathi, D.N.; Buatong, J.; Benjakul, S. Multiplex PCR-lateral flow dipstick method for detection of thermostable direct hemolysin (TDH) producing V. parahaemolyticus. Biosensors 2023, 13, 698. [Google Scholar] [CrossRef]
- Wang, Y.; Liu, A.; Fu, M.; Guo, J.; Wang, L.; Zuo, X.; Ma, F. Establishment and clinical application of a RPA-LFS assay for detection of capsulated and non-capsulated Haemophilus influenzae. Front. Cell Infect. Microbiol. 2022, 12, 878813. [Google Scholar] [CrossRef]
- Yin, R.; Sun, Y.; Wang, K.; Feng, N.; Zhang, H.; Xiao, M. Development of a PCR-based lateral flow strip assay for the simple, rapid, and accurate detection of pork in meat and meat products. Food Chem. 2020, 318, 126541. [Google Scholar] [CrossRef]
- Wang, Z.; Zhao, J.; Xu, X.; Guo, L.; Xu, L.; Sun, M.; Hu, S.; Kuang, H.; Xu, C.; Li, A. An overview for the nanoparticles-based quantitative lateral flow assay. Small Methods 2022, 6, e2101143. [Google Scholar] [CrossRef]
- Nihonyanagi, S.; Kanoh, Y.; Okada, K.; Uozumi, T.; Kazuyama, Y.; Yamaguchi, T.; Nakazaki, N.; Sakurai, K.; Hirata, Y.; Munekata, S.; et al. Clinical usefulness of multiplex PCR lateral flow in MRSA detection: A novel, rapid genetic testing method. Inflammation 2012, 35, 927–934. [Google Scholar] [CrossRef]
- Lalzampuia, H.; Dutta, T.K.; Warjri, I.; Chandra, R. PCR-based detection of extended-spectrum β-lactamases (bla CTX-M-1 and bla TEM) in Escherichia coli, Salmonella spp. and Klebsiella pneumoniae isolated from pigs in North Eastern India (Mizoram). Indian J. Microbiol. 2013, 53, 291–296. [Google Scholar] [CrossRef][Green Version]
- Wittum, T.E.; Mollenkopf, D.F.; Erdman, M.M. Detection of Salmonella enterica isolates producing CTX-M Cephalosporinase in U.S. livestock populations. Appl. Environ. Microbiol. 2012, 78, 7487–7491. [Google Scholar] [CrossRef]
- Bian, Z.; Liu, W.; Jin, J.; Hao, Y.; Jiang, L.; Xie, Y.; Zhang, H. Development of a recombinase polymerase amplification assay with lateral flow dipstick (RPA-LFD) for rapid detection of Shigella spp. and enteroinvasive Escherichia coli. PLoS ONE 2022, 17, e0278869. [Google Scholar] [CrossRef] [PubMed]
- Boutal, H.; Vogel, A.; Bernabeu, S.; Devilliers, K.; Creton, E.; Cotellon, G.; Plaisance, M.; Oueslati, S.; Dortet, L.; Jousset, A.; et al. A multiplex lateral flow immunoassay for the rapid identification of NDM-, KPC-, IMP- and VIM-type and OXA-48-like carbapenemase-producing Enterobacteriaceae. J. Antimicrob. Chemother. 2018, 73, 909–915. [Google Scholar] [CrossRef] [PubMed]
- Li, J.; Ma, B.; Fang, J.; Zhi, A.; Chen, E.; Xu, Y.; Yu, X.; Sun, C.; Zhang, M. Recombinase polymerase amplification (RPA) combined with lateral flow immunoassay for rapid detection of Salmonella in food. Foods 2019, 9, 27. [Google Scholar] [CrossRef] [PubMed]
- Anjum, M.F.; Zankari, E.; Hasman, H. Molecular methods for detection of antimicrobial resistance. Microbiol. Spectr. 2017, 5, 33–50. [Google Scholar] [CrossRef]
- Guliy, O.I.; Evstigneeva, S.S.; Karavaeva, O.A. Antimicrobial resistance and current methods for its detection. Front. Biosci. (Elite Ed). 2023, 15, 19. [Google Scholar] [CrossRef]
- Jorgensen, J.H.; Ferraro, M.J. Antimicrobial susceptibility testing: A review of general principles and contemporary practices. Clin. Infect. Dis. 2009, 49, 1749–1755. [Google Scholar] [CrossRef]
- Vasala, A.; Hytönen, V.P.; Laitinen, O.H. Modern tools for rapid diagnostics of antimicrobial resistance. Front. Cell Infect. Microbiol. 2020, 10, 308. [Google Scholar] [CrossRef]
- Dallenne, C.; Da Costa, A.; Decré, D.; Favier, C.; Arlet, G. Development of a set of multiplex PCR assays for the detection of genes encoding important beta-lactamases in Enterobacteriaceae. J. Antimicrob. Chemother. 2010, 65, 490–495. [Google Scholar] [CrossRef]
- Monstein, H.J.; Ostholm-Balkhed, A.; Nilsson, M.V.; Nilsson, M.; Dornbusch, K.; Nilsson, L.E. Multiplex PCR amplification assay for the detection of blaSHV, blaTEM and blaCTX-M genes in Enterobacteriaceae. APMIS 2007, 115, 1400–1408. [Google Scholar] [CrossRef]
- Roschanski, N.; Fischer, J.; Guerra, B.; Roesler, U. Development of a multiplex real-time PCR for the rapid detection of the predominant beta-lactamase genes CTX-M, SHV, TEM and CIT-type AmpCs in Enterobacteriaceae. PLoS ONE 2014, 9, e100956. [Google Scholar] [CrossRef]
- Ullah, N.; Assawakongkarat, T.; Akeda, Y.; Chaichanawongsaroj, N. Detection of extended-spectrum β-lactamase-producing Escherichia coli isolates by isothermal amplification and association of their virulence genes and phylogroups with extraintestinal infection. Sci. Rep. 2023, 13, 12022. [Google Scholar] [CrossRef]
- Amalina, Z.N.; Khalid, M.F.; Rahman, S.F.; Ahmad, M.N.; Ahmad Najib, M.; Ismail, A.; Aziah, I. Nucleic acid-based lateral flow biosensor for Salmonella typhi and Salmonella paratyphi: A detection in stool samples of suspected carriers. Diagnostics 2021, 11, 700. [Google Scholar] [CrossRef]
- Banger, S.; Pal, V.; Tripathi, N.K.; Goel, A.K. Development of a PCR lateral flow assay for rapid detection of Bacillus anthracis, the causative agent of anthrax. Mol. Biotechnol. 2021, 63, 702–709. [Google Scholar] [CrossRef]
- Hu, J.; Huang, R.; Sun, Y.; Wei, X.; Wang, Y.; Jiang, C.; Geng, Y.; Sun, X.; Jing, J.; Gao, H.; et al. Sensitive and rapid visual detection of Salmonella Typhimurium in milk based on recombinase polymerase amplification with lateral flow dipsticks. J. Microbiol. Methods 2019, 158, 25–32. [Google Scholar] [CrossRef] [PubMed]
- Jin, B.; Ma, B.; Li, J.; Hong, Y.; Zhang, M. Simultaneous detection of five foodborne pathogens using a mini automatic nucleic acid extractor combined with recombinase polymerase amplification and lateral flow immunoassay. Microorganisms 2022, 10, 1352. [Google Scholar] [CrossRef] [PubMed]
- Kim, J.M.; Park, J.S.; Yoon, T.H.; Park, J.; Park, K.S. Nucleic acid lateral flow assay for simultaneous detection of hygiene indicator bacteria. Anal. Bioanal. Chem. 2021, 413, 5003–5011. [Google Scholar] [CrossRef] [PubMed]
- Luo, K.; Kim, H.Y.; Oh, M.H.; Kim, Y.R. Paper-based lateral flow strip assay for the detection of foodborne pathogens: Principles, applications, technological challenges and opportunities. Crit. Rev. Food Sci. Nutr. 2020, 60, 157–170. [Google Scholar] [CrossRef]
- Singh, R.; Pal, V.; Kumar, M.; Tripathi, N.K.; Goel, A.K. Development of a PCR-lateral flow assay for rapid detection of Yersinia pestis, the causative agent of plague. Acta Trop. 2021, 220, 105958. [Google Scholar] [CrossRef]
- Kim, J.H.; Oh, S.W. A colorimetric lateral flow assay based on multiplex PCR for the rapid detection of viable Escherichia coli O157:H7 and Salmonella typhimurium without enrichment. LWT 2021, 152, 112242. [Google Scholar] [CrossRef]
- Kim, J.H.; Oh, S.W. Lateral flow biosensor based on LAMP-CRISPR/Cas12a for sensitive and visualized detection of Salmonella spp. Food Control. 2023, 145, 109494. [Google Scholar]
- Lu, C.; Wang, J.; Pan, L.; Gu, X.; Lu, W.; Chen, D.; Zhang, C.; Ye, Q.; Xiao, C.; Liu, P.; et al. Rapid detection of multiple resistance genes to last-resort antibiotics in Enterobacteriaceae pathogens by recombinase polymerase amplification combined with lateral flow dipstick. Front. Microbiol. 2023, 13, 1062577. [Google Scholar] [CrossRef] [PubMed]
- Yang, J.W.; Kim, H.; Hyeon, L.S.; Yoo, J.S.; Kang, S. Development of a recombinase polymerase amplification-coupled CRISPR/Cas12a platform for rapid detection of antimicrobial-resistant genes in carbapenem-resistant Enterobacterales. Biosensors 2024, 14, 536. [Google Scholar] [CrossRef] [PubMed]
- Lai, W.; Xu, Y.; Liu, L.; Cao, H.; Yang, B.; Luo, J.; Fei, Y. Simultaneous and visual detection of KPC and NDM carbapenemase-encoding genes using asymmetric PCR and multiplex lateral flow strip. J. Anal. Methods Chem. 2023, 2023, 9975620. [Google Scholar] [CrossRef] [PubMed]
- Mei, X.; Zhai, X.; Lei, C.; Ye, X.; Kang, Z.; Wu, X.; Xiang, R.; Wang, Y.; Wang, H. Development and application of a visual loop-mediated isothermal amplification combined with lateral flow dipstick (LAMP-LFD) method for rapid detection of Salmonella strains in food samples. Food Control 2019, 104, 9–19. [Google Scholar] [CrossRef]
- Wang, L.; Zhao, P.; Si, X.; Li, J.; Dai, X.; Zhang, K.; Gao, S.; Dong, J. Rapid and specific detection of Listeria monocytogenes with an isothermal amplification and lateral flow strip combined method that eliminates false-positive signals from primer-dimers. Front. Microbiol. 2020, 10, 2959. [Google Scholar] [CrossRef]
- Zeng, D.; Chen, S.; Jiang, L.; Ren, J.; Ling, N.; Su, J.; Zhao, Y.; Jiang, Y.; Xue, F.; Tang, F.; et al. A polymerase chain reaction based lateral flow test strip with propidium monoazide for detection of viable Vibrio parahaemolyticus in codfish. Microchem. J. 2020, 159, 105418. [Google Scholar] [CrossRef]
- Zhang, H.; Ma, L.; Ma, L.; Hua, M.Z.; Wang, S.; Lu, X. Rapid detection of methicillin-resistant Staphylococcus aureus in pork using a nucleic acid-based lateral flow immunoassay. Int. J. Food Microbiol. 2017, 243, 64–69. [Google Scholar] [CrossRef]
- Liu, L.; Coenye, T.; Burns, J.L.; Whitby, P.W.; Stull, T.L.; LiPuma, J.J. Ribosomal DNA-directed PCR for identification of Achromobacter (Alcaligenes) xylosoxidans recovered from sputum samples from cystic fibrosis patients. J. Clin. Microbiol. 2002, 40, 1210–1213. [Google Scholar] [CrossRef]
- Tsai, Y.L.; Palmer, C.J.; Sangermano, L.R. Detection of Escherichia coli in sewage and sludge by polymerase chain reaction. Appl. Environ. Microbiol. 1993, 59, 353–357. [Google Scholar] [CrossRef]
- Radhika, M.; Saugata, M.; Murali, H.S.; Batra, H.V. A novel multiplex PCR for the simultaneous detection of Salmonella enterica and Shigella species. Braz. J. Microbiol. 2014, 45, 667–676. [Google Scholar] [CrossRef]
- Edelstein, M.; Pimkin, M.; Palagin, I.; Edelstein, I.; Stratchounski, L. Prevalence and molecular epidemiology of CTX-M extended-spectrum beta-lactamase-producing Escherichia coli and Klebsiella pneumoniae in Russian hospitals. Antimicrob. Agents. Chemother. 2003, 47, 3724–3732. [Google Scholar] [CrossRef]
- Šimundić, A.M. Measures of diagnostic accuracy: Basic definitions. EJIFCC 2009, 19, 203–211. [Google Scholar] [PubMed]
- McHugh, M.L. Interrater reliability: The kappa statistic. Biochem. Med. 2012, 22, 276–282. [Google Scholar] [CrossRef]
- Dodge, Y. Coefficient of Determination. In The Concise Encyclopedia of Statistics; Springer: New York, NY, USA, 2008. [Google Scholar] [CrossRef]
- Barrett, G.B. The coefficient of determination: Understanding r2 and R2. Math. Teach. 2000, 93, 230–234. [Google Scholar] [CrossRef]
- McFadden, D. Conditional logit analysis of qualitative choice behavior. In Frontiers in Econometrics; Zarembka, P., Ed.; Academic Press: New York, NY, USA, 1974; pp. 105–142. [Google Scholar]
- Zweig, M.H.; Campbell, G. Receiver-operating characteristic (ROC) plots: A fundamental evaluation tool in clinical medicine. Clin. Chem. 1993, 39, 561–577. [Google Scholar] [CrossRef]




| Species | N | Antimicrobial-Resistant Genotypes/Phenotypes | Ciprofloxacin Disk Diffusion | ESBL-Producing | PCR-LFS | |
|---|---|---|---|---|---|---|
| Species | blaCTX-M | |||||
| E. coli (N = 287) | 100 | blaCTX-M/blaTEM | R | + | + | + |
| 100 | blaCTX-M/blaNDM/blaOXA-48-like (CRE) | R | + | + | + | |
| 7 | blaNDM (CRE) | R | − | + | − | |
| 5 | blaOXA-48-like (CRE) | R | − | + | − | |
| 25 | blaTEM/blaSHV | ND | − | + | − | |
| 10 | blaTEM/blaSHV | ND | + | + | − | |
| 30 | Non-cephalosporins resistance | ND | − | + | − | |
| 10 | blaTEM | ND | − | + | − | |
| Salmonella sp. (N = 95) | 30 | blaCTX-M, Ciprofloxacin-susceptible | S | + | + | + |
| 50 | Ciprofloxacin-resistance | R | − | + | − | |
| 15 | Cephalosporins and Ciprofloxacin-susceptible | S | − | + | − | |
| Klebsiella pneumoniae (N = 95) | 45 | blaCTX-M/blaSHV | ND | + | − | + |
| 25 | blaCTX-M/blaNDM/blaOXA-48-like (CRE) | R | + | − | + | |
| 5 | blaNDM/blaOXA-48-like (CRE) | R | − | − | − | |
| 12 | blaTEM/blaSHV | ND | + | − | − | |
| 8 | blaSHV | ND | + | − | − | |
| Klebsiella oxytoca | 10 | blaCTX-M/blaSHV | ND | + | − | + |
| Klebsiella aerogenes | 5 | blaCTX-M/blaSHV | ND | + | − | + |
| Enterobacter asburiae | 10 | blaCTX-M/blaNDM/blaOXA-48-like (CRE) | R | + | − | + |
| Enterobacter cloacae complex (N = 25) | 10 | blaCTX-M | ND | + | − | + |
| 10 | blaCTX-M/blaNDM/blaOXA-48-like (CRE) | R | + | − | + | |
| 5 | blaNDM/blaOXA-48-like (CRE) | R | − | − | − | |
| Citrobacter freundii (N = 28) | 6 | blaCTX-M | ND | + | − | + |
| 14 | blaCTX-M/blaNDM/blaOXA-48-like (CRE) | ND | + | − | + | |
| 8 | Cephalosporins susceptible | ND | − | − | − | |
| Proteus mirabilis | 12 | blaCTX-M | ND | + | − | + |
| Proteus vulgaris | 3 | none | ND | − | − | − |
| Cronobacter sakazakii | 5 | none | ND | − | − | − |
| Shigella sonnei | 2 | none | ND | − | − | − |
| Edwardsiella tarda | 2 | none | ND | − | − | − |
| Morganella morganii | 6 | none | ND | − | − | − |
| Serratia marcescens | 15 | none | ND | − | − | − |
| Total | 600 | |||||
| PCR-LFS | Genotypic/Phenotypic Results | p-Value | |
|---|---|---|---|
| Positive | Negative | ||
| Positive | 200 (E. coli)/30 (Salmonella) | 0 | <0.001 |
| Negative | 0 | 71 | |
| Total | 230 | 71 | |
| PCR-LFS | Genotypic/Phenotypic Results | p-Value | |
| Positive | Negative | ||
| Positive | 287 (E. coli)/95 (Salmonella) | 0 | <0.001 |
| Negative | 0 | 218 | |
| Total | 382 | 218 | |
| PCR-LFS | Genotypic/Phenotypic Results | p-Value | |
|---|---|---|---|
| Positive | Negative | ||
| Positive | 377 | 0 | <0.001 |
| Negative | 0 | 223 | |
| Total | 377 | 223 | |
| Primer Name | Sequence (5′–3′) | Product Size (bp) | Target | PCR Set | Reference |
|---|---|---|---|---|---|
| uidA-F | 5′-FITC-AAAACGGCAAGCAAAAGCAG | 147 | E. coli | 1 | [55] |
| uidA-R | 5′-Digoxigenin-ACGCGTGGTTAACAGTCTTGCG | ||||
| CTX-M-U1 | 5′-FITC-ATGTGCAGYACCAGTAARGTKATGGC | 594 | blaCTX-M | [35] | |
| CTX-M-U2 | 5′-Biotin-TGGGTRAARTARGTSACCAGAAYCAGCGG | ||||
| invA-F | 5′-FITC-GAGGAAAAAGAAGGGTCG | 780 | Salmonella spp. | 2 | [56] |
| invA-R | 5′-Biotin-CTCAACTTCAGCAGATACCA | ||||
| CTX-M-F | 5′-FITC-TTTGCGATGTGCAGTACCAGTAA | 544 | blaCTX-M | [57] | |
| CTX-M-R | 5′-Digoxigenin-CGATATCGTTGGTGGTGCCATA |
Disclaimer/Publisher’s Note: The statements, opinions and data contained in all publications are solely those of the individual author(s) and contributor(s) and not of MDPI and/or the editor(s). MDPI and/or the editor(s) disclaim responsibility for any injury to people or property resulting from any ideas, methods, instructions or products referred to in the content. |
© 2025 by the authors. Licensee MDPI, Basel, Switzerland. This article is an open access article distributed under the terms and conditions of the Creative Commons Attribution (CC BY) license (https://creativecommons.org/licenses/by/4.0/).
Share and Cite
Hatrongjit, R.; Chaisaeng, S.; Sitthichotthumrong, K.; Boueroy, P.; Chopjitt, P.; Ungcharoen, R.; Kerdsin, A. Polymerase Chain Reaction-Lateral Flow Strip for Detecting Escherichia coli and Salmonella enterica Harboring blaCTX-M. Antibiotics 2025, 14, 745. https://doi.org/10.3390/antibiotics14080745
Hatrongjit R, Chaisaeng S, Sitthichotthumrong K, Boueroy P, Chopjitt P, Ungcharoen R, Kerdsin A. Polymerase Chain Reaction-Lateral Flow Strip for Detecting Escherichia coli and Salmonella enterica Harboring blaCTX-M. Antibiotics. 2025; 14(8):745. https://doi.org/10.3390/antibiotics14080745
Chicago/Turabian StyleHatrongjit, Rujirat, Sumontha Chaisaeng, Kulsatree Sitthichotthumrong, Parichart Boueroy, Peechanika Chopjitt, Ratchadaporn Ungcharoen, and Anusak Kerdsin. 2025. "Polymerase Chain Reaction-Lateral Flow Strip for Detecting Escherichia coli and Salmonella enterica Harboring blaCTX-M" Antibiotics 14, no. 8: 745. https://doi.org/10.3390/antibiotics14080745
APA StyleHatrongjit, R., Chaisaeng, S., Sitthichotthumrong, K., Boueroy, P., Chopjitt, P., Ungcharoen, R., & Kerdsin, A. (2025). Polymerase Chain Reaction-Lateral Flow Strip for Detecting Escherichia coli and Salmonella enterica Harboring blaCTX-M. Antibiotics, 14(8), 745. https://doi.org/10.3390/antibiotics14080745

