In Vitro Effects of Some Antibiotics on Purified β-Glucosidases from Rat Liver and Kidney Tissues
Abstract
1. Introduction
2. Results
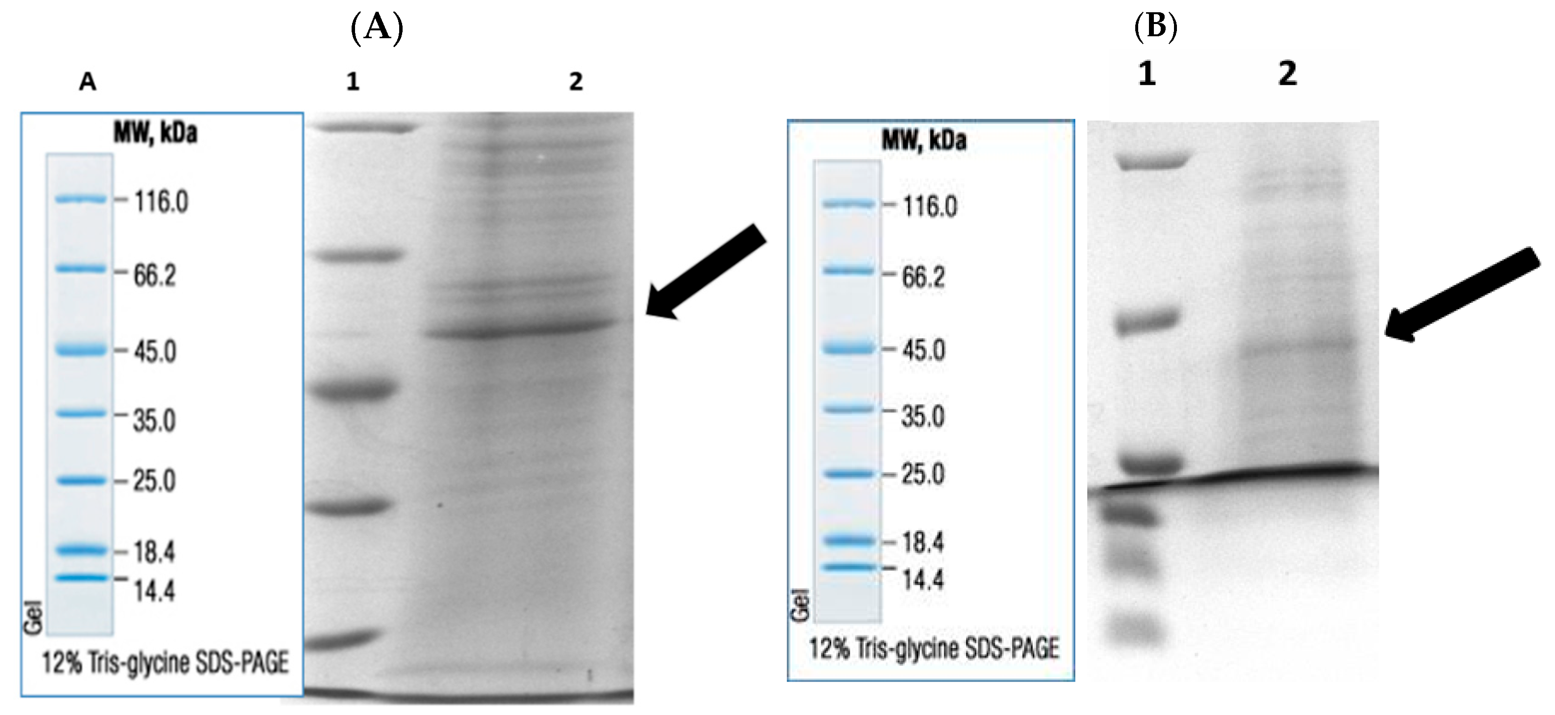
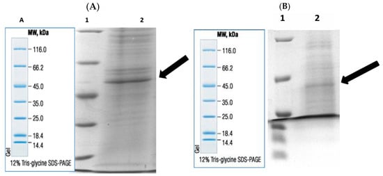
2.1. Purification of BGLs from Rat Liver and Kidney Tissues by Hydrophobic Interaction Chromatography
2.2. In Vitro Effects of Antibiotics on Rat Liver and Kidney BGLs
3. Discussion
4. Materials and Methods
4.1. Chemicals
4.2. Animals
4.3. Enzyme Extraction
4.4. Purification of BGLs from the Rat Liver and Kidney by Hydrophobic Interaction Chromatography with Sepharose 4B-L-Tirozin 1-Naphtylamine
4.5. SDS–PAGE Analysis
4.6. Enzyme Assay and Protein Determination
4.7. Determination of In Vitro Effects of Antibiotics
5. Conclusions
Supplementary Materials
Author Contributions
Funding
Institutional Review Board Statement
Informed Consent Statement
Data Availability Statement
Acknowledgments
Conflicts of Interest
Disclaimer
Abbreviations
| BGL | β-glucosidase |
| GR | glutathione reductase |
| G6PD | glucose-6-phosphate dehydrogenase |
| p-NP | para-nitrophenol |
| p-NPG | para-nitrophenyl-β-D-glucopyranoside |
References
- Henrissat, B.; Bairoch, A. Updating the sequence-based classification of glycosyl hidrolases. Biochem. J. 1996, 316, 695–696. [Google Scholar] [CrossRef] [PubMed]
- Tiwari, P.; Misra, B.N.; Sangwan, N.S. β-glucosidases from the fungus Trichoderma: An efficient cellulase machinery in biotechnological applications. BioMed Res. Int. 2013, 2013, 203735. [Google Scholar] [CrossRef] [PubMed]
- Kannan, P.; Shafreen, M.M.; Achudhan, A.B.; Gupta, A.; Saleena, L.M. A review on applications of β-glucosidase in food, brewery, pharmaceutical and cosmetic industries. Carbohydr. Res. 2023, 530, 108855. [Google Scholar] [CrossRef] [PubMed]
- Daniels, L.B.; Coyle, P.J.; Chiao, Y.B.; Glew, R.H.; Labow, R.S. Purification and characterization of a cytosolic broad specificity beta-glucosidase from hu man liver. J. Biol. Chem. 1981, 256, 13004–13013. [Google Scholar] [CrossRef]
- Berrin, J.G.; McLauchlan, W.R.; Needs, P.; Williamson, G.; Puigserver, A.; Kroon, P.A.; Juge, N. Functional expression of human liver cytosolic beta glucosidase in Pichia pastoris. Insights into its role in the metabolism of dietary glucosides. Eur. J. Biochem. 2002, 269, 249–258. [Google Scholar] [CrossRef]
- Astudillo, L.; Therville, N.; Colacios, C.; Ségui, B.; Andrieu-Abadie, N.; Levade, T. Glucosylceramidases and malignancies in mammals. Biochimie 2016, 125, 267–280. [Google Scholar] [CrossRef]
- Swanton, C.; Marani, M.; Pardo, O.; Warne, P.H.; Kelly, G.; Sahai, E.; Elustondo, F.; Chang, J.; Temple, J.; Ahmed, A.A.; et al. Regu lators of mitotic arrest and ceramide metabolism are determinants of sensitivity to paclitaxel and other chemotherapeutic drugs. Cancer Cell 2007, 11, 498–512. [Google Scholar] [CrossRef]
- Yahata, K.; Mori, K.; Arai, H.; Koide, S.; Ogawa, Y.; Mukoyama, M.; Sugawara, A.; Ozaki, S.; Tanaka, I.; Nabeshima, Y.; et al. Molecular cloning and expression of a novel klotho-related protein. J. Mol. Med. Berl. 2000, 78, 389–394. [Google Scholar] [CrossRef]
- Lee, H.J.; Nam, K.T.; Park, H.S.; Kim, M.A.; Lafleur, B.J.; Aburatani, H.; Yang, H.K.; Kim, W.H.; Goldenring, J.R. Gene expression profiling of metaplastic lineages identifies CDH17 as a prognostic marker in early stage gastric cancer. Gastroenterology 2010, 139, 213–225. [Google Scholar] [CrossRef]
- Mohr, K.I. History of Antibiotics Research. Curr. Top. Microbiol. Immunol. 2016, 398, 237–272. [Google Scholar]
- Hutchings, M.I.; Truman, A.W.; Wilkinson, B. Antibiotics: Past, present and future. Curr. Opin. Microbiol. 2019, 51, 72–80. [Google Scholar] [CrossRef] [PubMed]
- Stocco, G.; Lucafò, M.; Decorti, G. Pharmacogenomics of Antibiotics. Int. J. Mol. Sci. 2020, 21, 5975. [Google Scholar] [CrossRef] [PubMed]
- Bruns, N.; Dohna-Schwake, C. Antibiotics in critically ill children-a narrative review on different aspects of a rational approach. Pediatr. Res. 2022, 91, 440–446. [Google Scholar] [CrossRef] [PubMed]
- Carson, M.D.; Warner, A.J.; Geiser, V.L.; Hathaway-Schrader, J.D.; Alekseyenko, A.V.; Marshall, J.; Westwater, C.; Novince, C.M. Prolonged Antibiotic Exposure during Adolescence Dysregulates Liver Metabolism and Promotes Adiposity in Mice. Am. J. Pathol. 2023, 193, 796–812. [Google Scholar] [CrossRef]
- Eyler, R.F.; Shvets, K. Clinical Pharmacology of Antibiotics. Clin. J. Am. Soc. Nephrol. 2019, 14, 1080–1090. [Google Scholar] [CrossRef]
- Gu, S.; Rajendiran, G.; Forest, K.; Tran, T.C.; Denny, J.C.; Larson, E.A.; Wilke, R.A. Drug-Induced Liver Injury with Commonly Used Antibiotics in the All of Us Research Program. Clin. Pharmacol. Ther. 2023, 114, 404–412. [Google Scholar] [CrossRef]
- Björnsson, E.S. Drug-induced liver injury due to antibiotics. Scand. J. Gastroenterol. 2017, 52, 617–623. [Google Scholar] [CrossRef]
- Etebu, E.; Arikekpar, I. Antibiotics: Classification and mechanisms of action with emphasis on molecular perspectives. Int. J. Appl. Microbiol. Biotechnol. Res. 2016, 4, 90–101. [Google Scholar]
- Vilvanathan, S. Penicillins, Cephalosporins, and Other β-Lactam Antibiotics. In Introduction to Basics of Pharmacology and Toxicology; Paul, A., Anandabaskar, N., Mathaiyan, J., Raj, G.M., Eds.; Springer: Singapore, 2021; p. 821. [Google Scholar]
- Brunton, L.L.; Hilal-Dandan, R.; Knollmann, B.C. (Eds.) Goodman & Gilman’s: The Pharmacological Basis of Therapeutics; McGraw-Hill Education: New York, NY, USA, 2017. [Google Scholar]
- Sinan, S.; Kockar, F.; Arslan, O. Novel purification strategy for human PON1 and inhibition of the activity by cephalosporin and aminoglikozide derived antibiotics. Biochimie 2006, 88, 565–574. [Google Scholar] [CrossRef]
- Kara, H.E.; Sinan, S.; Turan, Y. Purification of beta-glucosidase from olive (Olea europaea L.) fruit tissue with specifically designed hydrophobic interaction chromatography and characterization of the purified enzyme. J. Chromatogr. B. Analyt. Technol. Biomed. Life Sci. 2011, 879, 1507–1512. [Google Scholar] [CrossRef]
- Tarantino, G.; Citro, V. Could adverse effects of antibiotics due to their use/misuse be linked to some mechanisms related to nonalcoholic fatty liver disease? Int. J. Mol. Sci. 2024, 25, 1993. [Google Scholar] [CrossRef] [PubMed]
- Rong, M.; Huang, Y.; Lin, C.; Lai, L.; Wu, Y.; Niu, L. Recent advances in optical sensing for tetracycline antibiotics. TrAC. Trends. Anal. Chem. 2024, 178, 117839. [Google Scholar] [CrossRef]
- Ma, J.; Björnsson, E.S.; Chalasani, N. Hepatotoxicity of Antibiotics and Antifungals and Their Safe Use in Hepatic Impairment. Semin Liver Dis. 2024, 44, 239–257. [Google Scholar] [CrossRef] [PubMed]
- Reuben, A.; Koch, D.G.; Lee, W.M. Drug-induced acute liver failure: Results of a U.S. multicenter, prospective study. Hepatology 2010, 52, 2065–2076. [Google Scholar] [CrossRef]
- Wei, G.; Bergquist, A.; Broome, U.; Lindgren, S.; Wallerstedt, S.; Almer, S.; Sangfelt, P.; Danielsson, A.; Sandberg-Gertzén, H.; Lööf, L.; et al. Acute liver failure in Sweden: Etiology and outcome. J. Intern. Med. 2007, 262, 392–401. [Google Scholar] [CrossRef]
- Morales-Alvarez, M.C. Nephrotoxicity of antimicrobials and antibiotics. Adv. Chronic. Kidney. Dis. 2020, 27, 31–37. [Google Scholar] [CrossRef]
- Güller, P.; Budak, H.; Şişecioğlu, M.; Çiftci, M. An in vivo and in vitro comparison of the effects of amoxicillin, gentamicin, and cefazolin sodium antibiotics on the mouse hepatic and renal glutathione reductase enzyme. J. Biochem. Mol. Toxicol. 2020, 34, e22496. [Google Scholar] [CrossRef]
- Ying, J.F.; Zhang, Y.N.; Song, S.S.; Hu, Z.M.; He, X.L.; Pan, H.Y.; Zhang, C.W.; Wang, H.J.; Li, W.F.; Mou, X.Z. Decreased expression of GBA3 correlates with a poor prognosis in hepatocellular carcinoma patients. Neoplasma 2020, 67, 1139–1145. [Google Scholar] [CrossRef]
- Li, J.; Ni, Y.; Zhang, Y.; Liu, H. GBA3 promotes fatty acid oxidation and alleviates non-alcoholic fatty liver by increasing CPT2 transcription. Aging 2024, 16, 4591–4608. [Google Scholar] [CrossRef]
- Pelkonen, O.; Turpeinen, M.; Uusitalo, J.; Rautio, A.; Raunio, H. Prediction of drug metabolism and interactions on the basis of in vitro investigations. Basic Clin. Pharmacol. Toxicol. 2005, 96, 167–175. [Google Scholar] [CrossRef]
- Mehta, A.; Grover, C.; Gupta, R. Purification of lipase from Aspergillus fumigatus using Octyl Sepharose column chromatography and its characterization. J. Basic Microbiol. 2018, 58, 857–866. [Google Scholar] [CrossRef]
- Costa-Barbosa, A.; Ferreira, D.; Pacheco, M.I.; Casal, M.; Duarte, H.O.; Gomes, C.; Barbosa, A.M.; Torrado, E.; Sampaio, P.; Collins, T. Candida albicans chitinase 3 with potential as a vaccine antigen: Production, purification, and characterisation. Biotechnol. J. 2024, 19, e2300219. [Google Scholar] [CrossRef]
- Gerni, S.; Özdemir, H. Development of a new affinity chromatography method for purification of horseradish peroxidase enzyme. Biotechnol. Appl. Biochem. 2024, 71, 202–212. [Google Scholar] [CrossRef]
- Çiftçi, B.; Koçak Mutlu, A.; Akkemik, E. Purification of glutathione S-transferase enzyme from liver tissue of shabout (Barbus grypus Heckel) and investigation of the inhibition effect of some metal ions under in vitro conditions. Fish. Physiol. Biochem. 2025, 51, 28. [Google Scholar] [CrossRef]
- Matern, H.; Heinemann, H.; Legler, G.; Matern, S. Purification and characterization of a microsomal bile acid β-glucosidase from human liver. J. Biol. Chem. 1997, 272, 11261–11267. [Google Scholar] [CrossRef]
- Bause, E.; Schweden, J.; Gross, A.; Orthen, B. Purification and characterization of trimming glucosidase I from pig liver. Eur. J. Biochem. 1989, 183, 661–669. [Google Scholar] [CrossRef]
- Gençer, N.; Yavuz, E. An alternative purification method for human serum paraoxonase 1 and its interaction with methidathion. Arch. Physiol. Biochem. 2017, 123, 159–164. [Google Scholar] [CrossRef]
- Dedeoğlu, N.; Arslan, M.; Erzengin, M. Purification of Holstein bull semen paraoxonase 1 (PON1) by hydrophobic interaction chromatography and investigation of its inhibition kinetics by heavy metals. Biol. Trace. Elem. Res. 2014, 158, 29–35. [Google Scholar] [CrossRef]
- Ašić, A.; Bešić, L.; Muhović, I.; Dogan, S.; Turan, Y. Purification and Characterization of β-Glucosidase from Agaricus bisporus (White Button Mushroom). Protein J. 2015, 34, 453–461. [Google Scholar] [CrossRef]
- Acar, M.; Turan, Y.; Sinan, O.; Sinan, S. Immobilization of beta-glucosidase purified from mandarin (Citrus reticulata) fruit to superparamagnetic nanoparticles and its aroma quality enhancing effect. Nova Biotechnol. Chim. 2023, 22, e1452. [Google Scholar] [CrossRef]
- Kara, H.E.; Turan, Y.; Er, A.; Acar, M.; Tümay, S.; Sinan, S. Purification and characterization of β-glucosidase from greater wax moth Galleria mellonella L. (lepidoptera: Pyralidae). Arch. Insect. Biochem. Physiol. 2014, 86, 209–219. [Google Scholar] [CrossRef]
- Kara, H.; Akşit, D.; Hasan, A.; Yıldız, O.; Seyrek, K.; Turan, Y. Kuzu Karaciğerinden Saflaştırılan Sitozolik Glukozidaz Aktivitesine Albendazol Rikobendazol ve Eprinomektinin in vitro İnhibisyon Etkileri. F.Ü. Sağlık Bilim. Vet. Dergisi. 2016, 30, 33–39. [Google Scholar]
- Lambert, N.; Kroon, P.A.; Faulds, C.B.; Plumb, G.W.; McLauchlan, W.R.; Day, A.J.; Williamson, G. Purification of cytosolic beta-glucosidase from pig liver and its reactivity towards flavonoid glycosides. Biochim. Biophys. Acta 1999, 1435, 110–116. [Google Scholar] [CrossRef]
- Pierce, R.J.; Price, R.G. The separation and characterization of marmoset kidney β-d-galactosidase and β-d-glucosidase. Biochem. J. 1977, 167, 765–773. [Google Scholar] [CrossRef]
- Pócsi, I.; Kiss, L. Kinetic studies on the broad-specificity beta-D-glucosidase from pig kidney. Biochem. J. 1988, 56, 139–146. [Google Scholar] [CrossRef]
- Paez De La Cadena, M.; Rodriguez-Berrocal, J.; Cabezas, J.A.; Gonzalez, N.P. Properties and kinetics of a neutral β-galactosidase from rabbit kidney. Biochimie 1986, 68, 251–260. [Google Scholar] [CrossRef]
- Zi, D.; Song, Y.Y.; Lu, T.T.; Kise, M.; Kato, A.; Wang, J.Z.; Jia, Y.M.; Li, Y.X.; Fleet, G.W.J.; Yu, C.Y. Nanomolar β-glucosidase and β-galactosidase inhibition by enantiomeric α-1-C-alkyl-1,4-dideoxy-1,4-imino-arabinitol derivatives. Eur. J. Med. Chem. 2023, 247, 115056. [Google Scholar] [CrossRef]
- Grabowski, G.A.; Gatt, S.; Horowitz, M. Acid beta-glucosidase: Enzymology and molecular biology of Gaucher disease. Crit. Rev. Biochem. Mol. Biol. 1990, 25, 385–414. [Google Scholar] [CrossRef]
- Trevor, A.; Katzung, B.; Masters, S. Katzung ve Trevor Farmakoloji Sınav ve Gözden Geçirme. In Kemoterapötik İlaçlar; Altan, M., Ed.; Güneş Tıp Kitabevleri: Ankara, Turkey, 2010; pp. 377–382. [Google Scholar]
- Erat, M.; Sakiroğlu, H.; Ciftçi, M. Effects of some antibiotics on glutathione reductase activities from human erythrocytes in vitro and from rat erythrocytes in vivo. J. Enzyme Inhib. Med. Chem. 2005, 20, 69–74. [Google Scholar] [CrossRef][Green Version]
- Salvo, F.; De Sarro, A.; Caputi, A.P.; Polimeni, G. Amoxicillin and amoxicillin plus clavulanate: A safety review. Expert. Opin. Drug. Saf. 2009, 8, 111–118. [Google Scholar] [CrossRef]
- Ciftci, M.; Küfrevioglu, Ö.I.; Gündogdu, M.; Özmen, I.I. Effects of some antıbıotıcs on enzyme actıvıty of glucose-6-phosphate dehydrogenase from human erythrocytes. Pharmacol. Res. 2000, 41, 107–111. [Google Scholar] [CrossRef]
- Beydemir, S.; Ciftçi, M.; Küfrevioğlu, O.I. Purification and characterization of glucose 6-phosphate dehydrogenase from sheep erythrocytes and inhibitory effects of some antibiotics on enzyme activity. J. Enzyme Inhib. Med. Chem. 2002, 17, 271–277. [Google Scholar] [CrossRef]
- Sadeghi-Khomami, A.; Lumsden, M.D.; Jakeman, D.L. Glycosidase inhibition by macrolide antibiotics elucidated by STD-NMR spectroscopy. Chem. Biol. 2008, 15, 739–749. [Google Scholar] [CrossRef]
- Adem, S.; Ciftci, M. Purification and biochemical characterization of glucose 6-phosphate dehydrogenase, 6-phosphogluconate dehydrogenase and glutathione reductase from rat lung and inhibition effects of some antibiotics. J. Enzyme Inhib. Med. Chem. 2016, 31, 1342–1348. [Google Scholar] [CrossRef][Green Version]
- Laemmli, U.K. Cleavage of structural proteins during the assembly of the head of bacteriophage T4. Nature 1970, 227, 680–685. [Google Scholar] [CrossRef]
- Lowry, O.H.; Rosebrough, N.J.; Farr, A.L.; Randall, R.J. Protein measurement with the Folin. Phenol. Reagent. 1951, 93, 265–275. [Google Scholar]
- Lineweaver, H.; Burk, D. The determination of enzyme dissociation constants. J. Am. Chem. Soc. 1934, 56, 658–666. [Google Scholar] [CrossRef]







| Tissue | Steps | Activity (EU/mL) | Total Activity (EU) | Protein (mg/mL) | Total Protein (mg) | Specific Activity (EU/mg) | Yield (%) | Purification Factor (Fold) |
|---|---|---|---|---|---|---|---|---|
| Liver | Crude extract | 1.65 | 9.95 | 2.59 | 15.56 | 0.63 | 100.00 | 1.0 |
| AS | 1.97 | 6.90 | 0.53 | 0.53 | 3.71 | 69.39 | 5.81 | |
| HIC | 2.16 | 4.32 | 0.11 | 0.22 | 19.32 | 43.43 | 30.23 | |
| Kidney | Crude extract | 4.09 | 24.56 | 1.89 | 11.39 | 2.15 | 100.00 | 1.0 |
| AS | 6.23 | 19.32 | 1.90 | 5.91 | 3.26 | 78.68 | 1.52 | |
| HIC | 1.50 | 3.01 | 0.13 | 0.27 | 10.94 | 12.21 | 5.08 |
| Enzymes | Antibiotics | IC50 (mM) | Ki (mM) | Inhibition Type |
|---|---|---|---|---|
| Liver BGL | Ampicillin | 69.56 | 14.30 ± 3.35 | Competitive |
| Cefuroxime | N/A | N/A | NI | |
| Amoxicillin–clavulanate | N/A | N/A | NI | |
| Cefazolin sodium | N/A | N/A | NI | |
| Gentamicin | N/A | N/A | NI | |
| Ceftriaxone | N/A | N/A | NI | |
| Kidney BGL | Ampicillin | 25.30 | 28.37 ± 6.35 | Noncompetitive |
| Cefuroxime | 76.88 | 18.65 ± 12.65 | Uncompetitive | |
| Amoxicillin–clavulanate | 41.32 | 27.19 ± 12.04 | Noncompetitive | |
| Cefazolin sodium | 98.81 | 101.90 ± 47.09 | Noncompetitive | |
| Gentamicin | N/A | N/A | NI | |
| Ceftriaxone | N/A | N/A | NI |
Disclaimer/Publisher’s Note: The statements, opinions and data contained in all publications are solely those of the individual author(s) and contributor(s) and not of MDPI and/or the editor(s). MDPI and/or the editor(s) disclaim responsibility for any injury to people or property resulting from any ideas, methods, instructions or products referred to in the content. |
© 2025 by the authors. Licensee MDPI, Basel, Switzerland. This article is an open access article distributed under the terms and conditions of the Creative Commons Attribution (CC BY) license (https://creativecommons.org/licenses/by/4.0/).
Share and Cite
Kara, H.; Turkmen Alemdar, N. In Vitro Effects of Some Antibiotics on Purified β-Glucosidases from Rat Liver and Kidney Tissues. Antibiotics 2025, 14, 563. https://doi.org/10.3390/antibiotics14060563
Kara H, Turkmen Alemdar N. In Vitro Effects of Some Antibiotics on Purified β-Glucosidases from Rat Liver and Kidney Tissues. Antibiotics. 2025; 14(6):563. https://doi.org/10.3390/antibiotics14060563
Chicago/Turabian StyleKara, Hatibe, and Nihal Turkmen Alemdar. 2025. "In Vitro Effects of Some Antibiotics on Purified β-Glucosidases from Rat Liver and Kidney Tissues" Antibiotics 14, no. 6: 563. https://doi.org/10.3390/antibiotics14060563
APA StyleKara, H., & Turkmen Alemdar, N. (2025). In Vitro Effects of Some Antibiotics on Purified β-Glucosidases from Rat Liver and Kidney Tissues. Antibiotics, 14(6), 563. https://doi.org/10.3390/antibiotics14060563

