Measuring Contamination Levels and Incubation Results of Hatching Eggs Sanitized with Essential Oils
Abstract
1. Introduction
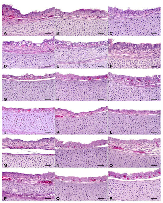
2. Results and Discussion
3. Materials and Methods
3.1. Characteristics of Essential Oils (EOs)
3.2. In Vitro Test of the Antibacterial Activity of Essential Oils (EOs)
3.3. Poultry Sanitizers and Applications
3.4. Microbiological Analysis of Eggshell
3.5. Scanning Microscopy Analysis of Eggshell
3.6. Incubation and Hatching
3.7. Microbiological Analysis of the Yolk Sac
3.8. Histological Analysis of the Trachea
3.9. Micronuclei Tests
3.10. Hen’s Egg Test Chorioallantoic Membrane (HET-CAM) of Sanitizers
3.11. Statistical Analysis
4. Conclusions
Author Contributions
Funding
Institutional Review Board Statement
Informed Consent Statement
Data Availability Statement
Acknowledgments
Conflicts of Interest
References
- Fouad, W.; Abdelfattah, M.G.; Abdelnabi, M.A. Effect of Spraying Hatching Eggs by Different Levels of Vinegar on Embryological Development, Hatchability and Physiological Performance of Dandarwi Chicks. Egypt. Poult. Sci. J. 2019, 39, 291–309. [Google Scholar] [CrossRef]
- Eroglu, M.; Erisir, Z.; Simsek, U.G.; Mutlu, S.I.; Baykalir, Y.; Gungoren, A.; Adiyaman, G.J. Effects of washing dirty eggs of geese with boric acid and vinegar on hatchability and microbial loads. Anim. Plant Sci. 2025, 35, 354–363. [Google Scholar] [CrossRef]
- dos Santos, I.P.; Rieger, G.; Garcia, R.G.; Valentim, J.K.; Caldara, F.R.; de Oliveira Troguilho, A.; Sgavioli, S. Optimal paraformaldehyde levels for disinfection of eggs used in vaccine production. Poult. Sci. 2025, 104, 104614. [Google Scholar] [CrossRef] [PubMed]
- Williams, J.E. Effect of High-Level Formaldehyde Fumigation on Bacterial Populations on the Surface of Chicken Hatching Eggs. Avian Dis. 1970, 14, 386–392. [Google Scholar] [CrossRef]
- Magras, I.N. Formaldehyde vapour effects in chicken embryo. Anat. Histol. Embryol. 1996, 25, 197–200. [Google Scholar] [CrossRef] [PubMed]
- Cadirci, S. Disinfection of Hatching Eggs by Formaldehyde Fumigation—A Review. Eur. Poult. Sci. 2009, 73, 116–123. [Google Scholar] [CrossRef]
- Casteel, J.H.; Vernon, R.J.; Bayley, E.M.J. Formaldehyde: Toxicology and hazards. Vet. Hum. Toxicol. 1987, 20, 31–33. [Google Scholar]
- Oliveira, G.D.S.; McManus, C.; de Araújo, M.V.; de Sousa, D.E.R.; de Macêdo, I.L.; de Castro, M.B.; dos Santos, V.M. Sanitizing hatching eggs with essential oils: Avian and microbiological safety. Microorganisms 2023, 11, 1890. [Google Scholar] [CrossRef]
- Oliveira, G.d.S.; McManus, C.; Salgado, C.B.; dos Santos, V.M. Effects of Sanitizers on Microbiological Control of Hatching Eggshells and Poultry Health during Embryogenesis and Early Stages after Hatching in the Last Decade. Animals 2022, 12, 2826. [Google Scholar] [CrossRef]
- Ayuningtyas, G.; Martini, R.; Yulianti, W. The role of dipping duck hatching eggs with cherry leaf extract as natural sanitizers on hatching performance and eggshell bacterial counts. E3S Web Conf. 2022, 348, 00023. [Google Scholar] [CrossRef]
- Batkowska, J.; Wlazlo, L.; Drabik, K.; Nowakowicz-Debek, B.; Al-Shammari, K.I.A.; Gryzinska, M. Evaluation of Grapefruit Juice (Citrus paradisi) as an Alternative Disinfectant for Hatching Eggs. Pak. J. Zool. 2018, 50, 647–653. [Google Scholar] [CrossRef]
- Baylan, M.; Akpınar, G.C.; Canogullari, S.D.; Ayasan, T. The Effects of Using Garlic Extract for Quail Hatching Egg Disinfection on Hatching Results and Performance. Rev. Bras. Cienc. Avic. 2018, 20, 343–350. [Google Scholar] [CrossRef]
- Al-Shammari, K.I.A.; Batkowska, J.; Gryzińska, M.; Wlazło, Ł.; Ossowski, M.; Nowakowicz-Dębek, B. The use of selected herbal preparations for the disinfection of japanese quail hatching eggs. Poult. Sci. 2022, 101, 102066. [Google Scholar] [CrossRef]
- Vale, I.R.R.; Oliveira, G.d.S.; de Jesus, L.M.; de Castro, M.B.; McManus, C.; dos Santos, V.M. Sustainable Bacterial Control of Hatching Eggshells Using Essential Oils. Antibiotics 2024, 13, 1025. [Google Scholar] [CrossRef]
- Oliveira, G.D.S.; McManus, C.; Santos, P.H.; de Sousa, D.E.; Jivago, J.L.; de Castro, M.B.; Dos Santos, V.M. Hatching egg sanitizers based on essential oils: Microbiological parameters, hatchability, and poultry health. Antibiotics 2024, 13, 1066. [Google Scholar] [CrossRef]
- Iraqi, E.E.; El-Sahn, A.A.; El-Barbary, A.M.; Ahmed, M.M.; Elkomy, A.E. Antimicrobial activity of tea tree and lavender essential oils and their effects on hatching performance and eggshell bacterial count of Japanese quail eggs. BMC Vet. Res. 2025, 21, 176. [Google Scholar] [CrossRef] [PubMed]
- Bekhet, G.; Khalifa, A.Y.Z. Essential Oil Sanitizers to Sanitize Hatching Eggs. J. Appl. Anim. Res. 2022, 50, 695–701. [Google Scholar] [CrossRef]
- Prasetyo, F.D.; Muztahidin, N.I.; Fatmawaty, A.A.; Laila, A.; Nurfadilah, M. Analysis of the diversity of local ginger (Zingiber officinale Rosc.) in Pandeglang Regency, Banten Province based on morphological characteristics. In IOP Conference Series: Earth and Environmental Science; IOP Publishing: Bristol, UK, 2022; Volume 978, p. 012025. [Google Scholar]
- Anargha, T.; Sreekala, G.S.; Nair, D.S.; Abraham, M. Genetic variability, correlation and path analysis in ginger (Zingiber officinale Rosc.) genotypes. J. Trop. Agric. 2020, 58, 168–178. [Google Scholar]
- Amiri, H.R.; Mohammadi, M.; Sadatmand, S.; Taheri, E. Study the chemical composition of essential oil of ginger (Zingiber officinale) and antioxidant and cell toxicity. J. Med. Plants 2016, 15, 89–98. [Google Scholar]
- Barkhordari, P.; Bazargani-Gilani, B. Effect of Apple Peel Extract and Zein Coating Enriched with Ginger Essential Oil on the Shelf Life of Chicken Thigh Meat. J. Food Meas. Charact. 2021, 15, 2727–2742. [Google Scholar] [CrossRef]
- Oliveira, G.D.S.; McManus, C.; Pires, P.G.D.S.; dos Santos, V.M. Combination of Cassava Starch Biopolymer and Essential Oils for Coating Table Eggs. Front. Sustain. Food Syst. 2022, 6, 957229. [Google Scholar] [CrossRef]
- Dutta, S.; Munda, S.; Chikkaputtaiah, C.; Lal, M. Assessment of selection criteria for development of high yielding genoptypes using variability parameters in Lemongrass Cymbopogon flexuosus L. J. Essent. Oil-Bear. Plants 2017, 20, 1450–1460. [Google Scholar] [CrossRef]
- Dewi, G.; Nair, D.V.T.; Peichel, C.; Johnson, T.J.; Noll, S.; Johny, A.K. Effect of lemongrass essential oil against multidrug-resistant Salmonella Heidelberg and its attachment to chicken skin and meat. Poult. Sci. 2021, 100, 101116. [Google Scholar] [CrossRef] [PubMed]
- De Mastro, G.; Ruta, C.; Mincione, A.; Poiana, M. Bio-Morphological and chemical characterization of Rosemary (Rosmarinus officinalis L.) biotypes. ISHS Acta Hortic. 2004, 629, 471–842. [Google Scholar] [CrossRef]
- Kačániová, M.; Terentjeva, M.; Kántor, A.; Tokár, M.; Puchalski, C.; Ivanišová, E. Antimicrobial Effect of Sage (Salvia officinalis L.) and Rosemary (Rosmarinus officinalis L.) Essential Oils on Microbiota of Chicken Breast. Proc. Latv. Acad. Sci. 2017, 71, 461–467. [Google Scholar]
- Yadav, S.K.; Kumar, V.; Ranjan, A.K. Physicochemical and Antibacterial Variability of Ginger (Zingiber officinale L.) Essential Oil grown at Various Geographical Areas in India. Chem. Biol. Interface 2025, 15, 1–10. [Google Scholar]
- Zhang, C.; Xie, Y.; Qiu, W.; Mei, J.; Xie, J. Antibacterial and antibiofilm efficacy and mechanism of ginger (Zingiber officinale) essential oil against Shewanella putrefaciens. Plants 2023, 12, 1720. [Google Scholar] [CrossRef]
- Vaz, M.S.M.; Simionatto, E.; de Souza, G.H.D.A.; Fraga, T.L.; de Oliveira, G.G.; Coutinho, E.J.; dos Santos, M.V.O.; Simionatto, S. Zingiber officinale Roscoe essential oil: An alternative strategy in the development of novel antimicrobial agents against MDR bacteria. Ind. Crops Prod. 2022, 185, 115065. [Google Scholar] [CrossRef]
- Machado, L.d.O.; Beber, S.C.; Bertoldi, G.M.; Krause, L.S.; Fell, A.P.W.; Andres, A.T.G.; Fachinetto, J.M.; da Silva, J.A.G.; Carvalho, I.R.; Colet, C.d.F. In vitro antibacterial activity of essential oils from Cymbopogon flexuosus and Cymbopogon winterianus. Rev. De Gestão E Secr. 2024, 15, e4335. [Google Scholar] [CrossRef]
- Raghuvanshi, N.; Gupta, B.; Joshi, V.; Bisht, S.S.; Manikpuri, M.; Shukla, K.; Khokhar, D.; Singh, N.; Ghosh, K.K. Influence of Essential Oil Composition on Antioxidant and Antibacterial Activities of Three Cultivars of Cymbopogon Flexuosus: In Vitro and In Silico Study. Chem. Biodivers. 2025, 22, e202400966. [Google Scholar] [CrossRef]
- Marques, M.J.; Serrano, S.; Selmi, H.; Cotovio, P.G.; Semedo-Lemsaddek, T. Antimicrobial and antibiofilm potential of Thymus vulgaris and Cymbopogon flexuosus essential oils against pure and mixed cultures of foodborne bacteria. Antibiotics 2023, 12, 565. [Google Scholar] [CrossRef]
- Becer, E.; Altundag, E.M.; Güran, M.; Vatansever, H.S.; Ustürk, S.; Hanoglu, D.Y.; Baser, K.H.C. Composition and antibacterial, anti-inflammatory, antioxidant, and anticancer activities of Rosmarinus officinalis L. essential oil. S. Afr. J. Bot. 2023, 160, 437–445. [Google Scholar] [CrossRef]
- Walid, Y.; Majdi, H.; Saber, K.; Taycir, G.A.; Wissem, A.W.; Moufida, S. Antibacterial activities of rosemary (Rosmarinus officinalis L.) essential oil and ethanol extract. Open Access Res. J. Multidiscip. Stud. 2022, 3, 001–008. [Google Scholar] [CrossRef]
- Al-Maharik, N.; Jaradat, N.; Hawash, M.; Al-Lahham, S.; Qadi, M.; Shoman, I.; Jaber, S.; Rahem, R.A.; Hussein, F.; Issa, L. Chemical Composition, Antioxidant, Antimicrobial and Anti-Proliferative Activities of Essential Oils of Rosmarinus Officinalis from Five Different Sites in Palestine. Separations 2022, 9, 339. [Google Scholar] [CrossRef]
- Ghanima, M.A.; Esadek, M.; Taha, A.; Abd El-Hack, M.E.; Alagawany, M.; Ahmed, B.; Elshafie, M.; El-Sabrout, K. Effect of housing system and rosemary and cinnamon essential oils on layers performance, egg quality, haematological traits, blood chemistry, immunity, and antioxidant. Animals 2020, 10, 245. [Google Scholar] [CrossRef]
- Noori, S.; Zeynali, F.; Almasi, H. Antimicrobial and antioxidant efficiency of nanoemulsion-based edible coating containing ginger (Zingiber officinale) essential oil and its effect on safety and quality attributes of chicken breast fillets. Food Control. 2018, 84, 312–320. [Google Scholar] [CrossRef]
- Samouh, K.F.; Zinedine, A.; Rocha, J.M.; Chadli, N.; Raoui, S.M.; Errachidi, F. Effect of powdered rosemary (Rosmarinus officinalis) essential oil and phenolic compounds on broiler chickens zootechnical parameters. Notulae Sci. Biol. 2024, 16, 11793. [Google Scholar]
- Youssef, I.M.I.; Männer, K.; Zentek, J. Effect of essential oils or saponins alone or in combination on productive performance, intestinal morphology and digestive enzymes’ activity of broiler chickens. J. Anim. Physiol. Anim. Nutr. 2021, 105, 99–107. [Google Scholar] [CrossRef]
- Hosseinzadeh, S.; Shariatmadari, F.; Karimi Torshizi, M.A.; Ahmadi, H.; Scholey, D. Plectranthus amboinicus and rosemary (Rosmarinus officinalis L.) essential oils effects on performance, antioxidant activity, intestinal health, immune response, and plasma biochemistry in broiler chickens. Food Sci. Nutr. 2023, 11, 3939–3948. [Google Scholar] [CrossRef]
- Santi, F.; Zulli, R.; Lincetti, E.; Zambon, A.; Spilimbergo, S. Investigating the effect of rosemary essential oil, supercritical CO2 processing and their synergism on the quality and microbial inactivation of chicken breast meat. Foods 2023, 12, 1786. [Google Scholar] [CrossRef] [PubMed]
- El-Hamid, M.I.A.; El-Malt, R.M.; Al-Khalaifah, H.; Al-Nasser, A.; Elazab, S.T.; Basiony, A.; Ali, A.M.; Mohamed, D.I.; Nassan, M.A.; Ibrahim, D. Exploring the interactive impacts of citronellol, thymol, and trans-cinnamaldehyde in broilers: Moving toward an improved performance, immunity, gastrointestinal integrity, and Clostridium perfringens resistance. J. Appl. Microbiol. 2024, 135, lxae206. [Google Scholar] [CrossRef]
- Khaskheli, A.A.; Niknafs, S.; Meijer, M.M.; Tan, X.; Ferket, P.R.; Roura, E. The in ovo screening of 27 single essential oils showed selective effects on hatchability, performance and gene expression relevant to gut functions in broilers at hatch. Poult. Sci. 2025, 104, 104670. [Google Scholar] [CrossRef] [PubMed]
- Hou, T.; Sana, S.S.; Li, H.; Xing, Y.; Nanda, A.; Netala, V.R.; Zhang, Z. Essential oils and its antibacterial, antifungal, and antioxidant activity applications: A review. Food Biosci. 2022, 47, 101716. [Google Scholar] [CrossRef]
- Hassan, A.S.I.; Morsy, E.A.; El Moustafa, K.M.; Ibrahim, F.A.; Elmenawey, M.A. Effects of clove essential oil on eggshell bacterial load, antibacterial sensitivity, and hatchability. Egypt. Pharm. J. 2023, 22, 650–658. [Google Scholar] [CrossRef]
- Oliveira, G.d.S.; McManus, C.; dos Santos, V.M. Multivariate Analysis of Microbiological and Incubation Parameters in Hatching Eggs Sanitized with or Without Essential Oils. Vet. Sci. 2025, 12, 600. [Google Scholar] [CrossRef] [PubMed]
- Mustafa, A.A.; Mirza, R.A.; Aziz, H.I. Lavender Essential Oil in Sanitation on Fertile Egg. Passer J. Basic Appl. Sci. 2023, 5, 377–381. [Google Scholar] [CrossRef]
- Zeweil, H.S.; Rizk, R.E.; Bekhet, G.M.; Ahmed, M.R. Comparing the Effectiveness of Egg Disinfectants against Bacteria and Mitotic Indices of Developing Chick Embryos. J. Basic Appl. Zool. 2015, 70, 1–15. [Google Scholar] [CrossRef]
- Shahein, E.H.A.; Sedeek, E.K. Role of spraying hatching eggs with natural disinfectants on hatching characteristics and eggshell bacterial counts. Egypt. Poult. Sci. J. 2014, 34, 213–230. [Google Scholar] [CrossRef]
- Hayretdaǧ, S.; Kolankaya, D. Investigation of the Effects of Pre-Incubation Formaldehyde Fumigation on the Tracheal Epithelium of Chicken Embryos and Chicks. Turk. J. Vet. Anim. Sci. 2008, 32, 263–267. [Google Scholar]
- Di Matteo, A.M.; Soñez, M.C.; Plano, C.M.; von Lawzewitsch, I. Morphologic Observations on Respiratory Tracts of Chickens after after Hatchery Infectious Bronchitis Vaccination and Formaldehyde Fumigation. Avian Dis. 2000, 44, 507–518. [Google Scholar] [CrossRef]
- Sommer, S.; Buraczewska, I.; Kruszewski, M. Micronucleus Assay: The State of Art, and Future Directions. Int. J. Mol. Sci. 2020, 21, 1534. [Google Scholar] [CrossRef]
- Oliveira, G.d.S.; McManus, C.; dos Santos, V.M. Syzygium aromaticum Essential Oil as a Safe Natural Solution to Control Bacteria in Hatching Eggs. Pathogens 2025, 14, 422. [Google Scholar] [CrossRef]
- Dolghi, A.; Buzatu, R.; Dobrescu, A.; Olaru, F.; Popescu, G.A.; Marcovici, I.; Pinzaru, I.; Navolan, D.; Cretu, O.M.; Popescu, I.; et al. Phytochemical Analysis and In Vitro Cytotoxic Activity against Colorectal Adenocarcinoma Cells of Hippophae rhamnodies L., Cymbopogon citratus (D.C.) Stapf, and Ocimum basilicum L. Essential Oils. Plants 2021, 10, 2752. [Google Scholar] [CrossRef] [PubMed]
- Avram, Ș.; Bora, L.; Vlaia, L.L.; Muț, A.M.; Olteanu, G.E.; Olariu, I.; Magyari-Pavel, I.Z.; Minda, D.; Diaconeasa, Z.; Sfirloaga, P.; et al. Cutaneous Polymeric-Micelles-Based Hydrogel Containing Origanum Vulgare L. Essential Oil: In Vitro Release and Permeation, Angiogenesis, and Safety Profile In Ovo. Pharmaceuticals 2023, 16, 940. [Google Scholar] [CrossRef]
- Bauer, A.W.; Kirby, W.M.M.; Sherris, J.C.; Turck, M. Antibiotic Susceptibility Testing by a Standardized Single Disk Method. Am. J. Clin. Pathol. 1966, 45, 493–496. [Google Scholar] [CrossRef]
- Copur, G.; Arslan, M.; Duru, M.; Baylan, M.; Canogullari, S.; Aksan, E. Use of oregano (Origanum onites L.) essential oil as hatching egg disinfectant. Afr. J. Biotechnol. 2010, 9, 2531–2538. [Google Scholar]
- USDA. United States Departament of Agriculture. 2000. Available online: https://www.ams.usda.gov/sites/default/files/media/Egg%20Grading%20Manual.pdf (accessed on 10 July 2025).
- Mineki, M.; Kobayashi, M. Microstructural changes in stored hen egg yolk. Jpn. Poult. Sci. 1998, 35, 285–294. [Google Scholar] [CrossRef]
- Mahato, P.L.; Weatherby, T.; Ewell, K.; Jha, R.; Mishra, B. Scanning Electron Microscope-Based Evaluation of Eggshell Quality. Poult. Sci. 2024, 103, 103428. [Google Scholar] [CrossRef]
- Boerjan, M. Chick Vitality and Uniformity. Int. Hatch. Pract. 2006, 20, 7–8. [Google Scholar]
- Upadhyaya, I.; Yin, H.B.; Nair, M.S.; Chen, C.H.; Upadhyay, A.; Darre, M.J.; Venkitanarayanan, K. Efficacy of Fumigation with Trans-Cinnamaldehyde and Eugenol in Reducing Salmonella enterica serovar Enteritidis on Embryonated Egg Shells. Poult. Sci. 2015, 94, 1685–1690. [Google Scholar] [CrossRef]
- Fenech, M.; Kirsch-Volders, M.; Natarajan, A.T.; Surralles, J.; Crott, J.W.; Parry, J.; Norppa, L.H.; Eastmond, D.A.; Tucker, J.D.; Thomas, P. Molecular mechanisms of micronucleus, nucleoplasmic bridge and nuclear bud formation in mammalian and human cells. Mutagenesis 2011, 26, 125–132. [Google Scholar] [CrossRef] [PubMed]
- Souto, H.N.; de Campos Júnior, E.O.; Campos, C.F.; Rodrigues, T.S.; Pereira, B.B.; Morelli, S. Biomonitoring birds: The use of a micronuclei test as a tool to assess environmental pollutants on coffee farms in southeast Brazil. Environ. Sci. Pollut. Res. 2018, 25, 24084–24092. [Google Scholar] [CrossRef] [PubMed]
- Baesse, C.Q.; De Magalhães, T.V.C.; Morelli, S.; Melo, C. Effect of urbanization on the micronucleus frequency in birds from forest fragments. Ecotoxicol. Environ. Saf. 2019, 171, 631–637. [Google Scholar] [CrossRef]
- Gonçalves, V.F.; Ribeiro, P.V.A.; de Souza Oliveira, C.F.; Pires, L.P.; Baesse, C.Q.; Paniago, L.P.M.; Toletino, V.C.G.; de Melo, C. Effects of urban proximity and the occurrence of erythroplastids in Antilophia galeata. Environ. Sci. Pollut. Res. 2020, 27, 44650–44655. [Google Scholar] [CrossRef]
- Gocke, E.; Tang, L.; Singer, T. Exposure to ethylating agents: Where do the thresholds for mutagenic/clastogenic effects arise? Genes Environ. 2012, 34, 171–178. [Google Scholar] [CrossRef]
- Jagetia, G.C.; Reddy, T.K. The grapefruit flavanone naringin protects against the radiation-induced genomic instability in the mice bone marrow: A micronucleus study. Mutat. Res. 2002, 519, 37–48. [Google Scholar] [CrossRef]
- Benvindo-Souza, M.; Oliveira, E.A.S.; Assis, R.A.; Santos, C.G.A.; Borges, R.E.; e Silva, D.D.M.; de Souza Santos, L.R. Micronucleus test in tadpole erythrocytes: Trends in studies and new paths. Chemosphere 2020, 240, 124910. [Google Scholar] [CrossRef]
- Derouiche, M.T.T.; Abdennour, S. HET-CAM test. Application to Shampoos in Developing Countries. Toxicol. Vitr. 2017, 45, 393–396. [Google Scholar] [CrossRef]






| Sanitizer | Eggshells | |
| TAMB | ENT | |
| (log10 CFU/mL) | ||
| Control | 1.60 ± 0.30 a | <1 |
| GA | 1.13 ± 0.25 a | <1 |
| FA | <1 b | <1 |
| ZOEO | <1 b | <1 |
| CFEO | <1 b | <1 |
| ROEO | <1 b | <1 |
| p value | <0.0001 | |
| Sanitizer | Yolk Sacs | |
| TAMB | ENT | |
| (log10 CFU/mL) | ||
| Control | 2.58 ± 0.39 a | <1 |
| GA | 1.66 ± 0.48 ab | <1 |
| FA | 1.99 ± 0.10 ab | <1 |
| ZOEO | 1.06 ± 0.20 b | <1 |
| CFEO | 1.13 ± 0.99 b | <1 |
| ROEO | 1.00 ± 0.35 b | <1 |
| p value | 0.0137 | |
| Sanitizer | EWBS (g) | EWDT (g) | EWL (%) | CW (g) | HI (%) |
|---|---|---|---|---|---|
| Control | 66.25 ± 1.48 a | 57.71 ± 0.98 a | 12.87 ± 0.95 a | 45.97 ± 0.67 ab | 90.36 ± 4.88 a |
| GA | 66.98 ± 0.43 a | 59.21 ± 037 a | 11.59 ± 0.18 a | 46.28 ± 0.92 a | 92.02 ± 3.30 a |
| FA | 66.69 ± 0.43 a | 58.14 ± 0.57 a | 12.82 ± 0.61 a | 44.94 ± 0.42 b | 90.29 ± 2.28 a |
| ZOEO | 66.56 ± 0.63 a | 58.42 ± 0.75 a | 12.24 ± 0.61 a | 46.32 ± 0.33 a | 93.48 ± 3.60 a |
| CFEO | 66.26 ± 1.67 a | 57.79 ± 1.38 a | 12.77 ± 1.07 a | 46.50 ± 0.57 a | 93.16 ± 1.06 a |
| ROEO | 66.24 ± 0.61 a | 58.07 ± 0.68 a | 12.34 ± 0.43 a | 46.14 ± 0.31 ab | 94.66 ± 2.04 a |
| p value | 0.8704 | 0.1932 | 0.1374 | 0.0156 | 0.3124 |
| Sanitizer | Tracheal Lesion | |||
|---|---|---|---|---|
| ECN | GCH | LI | ECD | |
| Control | − | − | − | − |
| GA | − | − | − | + |
| FA | − | + | + | ++ |
| ZOEO | − | − | − | − |
| CFEO | − | − | − | − |
| ROEO | − | − | − | − |
| EO Treatment | Main Effects |
|---|---|
| ZOEO |
|
| CFEO |
|
| ROEO |
|
| EO | Extraction Method | Density (20 °C) | Refraction Index (20 °C) | Main Chemical Compound |
|---|---|---|---|---|
| ZOEO | Steam distillation of the rhizome | 0.873 | 1.486 | α-Zingiberene − 33.92% |
| CFEO | Steam distillation of the leaves | 0.888 | 1.483 | Geranial − 49.05% |
| ROEO | Steam distillation of the leaves | 0.899 | 1.466 | α-Pineno − 23.03% |
| Bacteria | AZ | T80 | ZOEO | CFEO | ROEO |
|---|---|---|---|---|---|
| ZOI (mm) ± SD (n = 3) | LEC (μL/mL) ± SD (n = 3) | ||||
| S. aureus | 21.15 ± 1.28 | no zone | 9 ± 0.44 | 6 ± 0.16 | 11 ± 0.35 |
| E. coli | 25.71 ± 0.93 | no zone | 8 ± 0.15 | 4 ± 0.27 | 10 ± 0.54 |
| Sanitizer | Concentration | Application Method | Sanitizer Amount (Approx.) | Sanitizer Temperature | Room Temperature | Number of Eggs |
|---|---|---|---|---|---|---|
| Control | . | . | . | 23–24 °C | 23–24 °C | 350 |
| GA | 93.8% | Spraying | 500 mL | 20–21 °C | 23–24 °C | 350 |
| FA | 5 g/m3 | Fumigation | 5 g | 24–26 °C | 23–24 °C | 350 |
| ZOEO | 0.9% | Spraying | 500 mL | 20–21 °C | 23–24 °C | 350 |
| CFEO | 0.6% | Spraying | 500 mL | 20–21 °C | 23–24 °C | 350 |
| ROEO | 1.1% | Spraying | 500 mL | 20–21 °C | 23–24 °C | 350 |
| Incubation Day | Activity |
|---|---|
| 0 |
|
| 18 |
|
| 21–22 |
|
Formulas used to calculate incubation parameters:
| |
Disclaimer/Publisher’s Note: The statements, opinions and data contained in all publications are solely those of the individual author(s) and contributor(s) and not of MDPI and/or the editor(s). MDPI and/or the editor(s) disclaim responsibility for any injury to people or property resulting from any ideas, methods, instructions or products referred to in the content. |
© 2025 by the authors. Licensee MDPI, Basel, Switzerland. This article is an open access article distributed under the terms and conditions of the Creative Commons Attribution (CC BY) license (https://creativecommons.org/licenses/by/4.0/).
Share and Cite
Santos, V.M.d.; Oliveira, G.d.S.; Santos, P.H.G.d.S.; Cerqueira, L.d.A.; Jivago, J.L.d.P.R.; Paixão, S.S.R.M.; de Castro, M.B.; McManus, C. Measuring Contamination Levels and Incubation Results of Hatching Eggs Sanitized with Essential Oils. Antibiotics 2025, 14, 1076. https://doi.org/10.3390/antibiotics14111076
Santos VMd, Oliveira GdS, Santos PHGdS, Cerqueira LdA, Jivago JLdPR, Paixão SSRM, de Castro MB, McManus C. Measuring Contamination Levels and Incubation Results of Hatching Eggs Sanitized with Essential Oils. Antibiotics. 2025; 14(11):1076. https://doi.org/10.3390/antibiotics14111076
Chicago/Turabian StyleSantos, Vinícius Machado dos, Gabriel da Silva Oliveira, Pedro Henrique Gomes de Sá Santos, Liz de Albuquerque Cerqueira, José Luiz de Paula Rôlo Jivago, Susana Suely Rodrigues Milhomem Paixão, Márcio Botelho de Castro, and Concepta McManus. 2025. "Measuring Contamination Levels and Incubation Results of Hatching Eggs Sanitized with Essential Oils" Antibiotics 14, no. 11: 1076. https://doi.org/10.3390/antibiotics14111076
APA StyleSantos, V. M. d., Oliveira, G. d. S., Santos, P. H. G. d. S., Cerqueira, L. d. A., Jivago, J. L. d. P. R., Paixão, S. S. R. M., de Castro, M. B., & McManus, C. (2025). Measuring Contamination Levels and Incubation Results of Hatching Eggs Sanitized with Essential Oils. Antibiotics, 14(11), 1076. https://doi.org/10.3390/antibiotics14111076

