Analysis of the Oral Microbiome in a Patient with Cardiofaciocutaneous Syndrome and Severe Periodontal Disease: Impact of Systemic Antibiotic Therapy
Abstract
1. Introduction
2. Materials and Methods
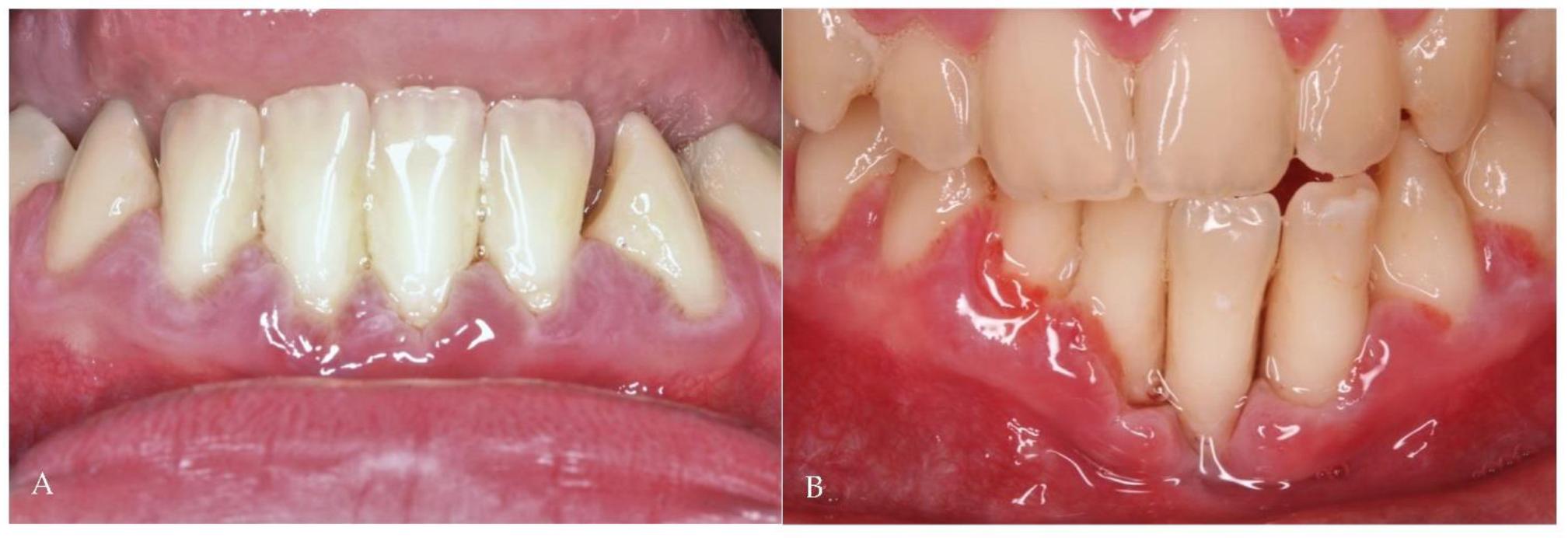
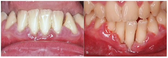
2.1. Case Report
2.2. Sampling and Extraction of Bacterial DNA
2.3. Gene Sequencing of rRNA 16S with Illumina Sequencing
2.4. Taxonomic Assignment
2.5. Statistical and Bioinformatic Analysis
3. Results
3.1. Subgingival Samples
3.2. Saliva Samples
3.3. Sample Analysis by Clusters
4. Discussion
5. Conclusions
Supplementary Materials
Author Contributions
Funding
Institutional Review Board Statement
Informed Consent Statement
Data Availability Statement
Conflicts of Interest
References
- Kinane, D.F.; Stathopoulou, P.G.; Papapanou, P.N. Periodontal diseases. Nat. Rev. Dis. Prim. 2017, 3, 17038. [Google Scholar] [CrossRef]
- Kassebaum, N.J.; Bernabe, E.; Dahiya, M.; Bhandari, B.; Murray, C.J.; Marcenes, W. Global burden of severe periodontitis in 1990–2010: A systematic review and meta-regression. J. Dent. Res. 2014, 93, 1045–1053. [Google Scholar] [CrossRef]
- Eke, P.I.; Borgnakke, W.S.; Genco, R.J. Recent epidemiologic trends in periodontitis in the USA. Periodontol. 2000 2020, 82, 257–267. [Google Scholar] [CrossRef] [PubMed]
- Sgolastra, F.; Petrucci, A.; Ciarrocchi, I.; Masci, C.; Spadaro, A. Adjunctive systemic antimicrobials in the treatment of chronic periodontitis: A systematic review and network meta-analysis. J. Periodontal Res. 2021, 56, 236–248. [Google Scholar] [CrossRef]
- Rajendra, A.; Spivakovsky, S. Antibiotics in aggressive periodontitis, is there a clinical benefit? Evid. Based Dent. 2016, 17, 100. [Google Scholar] [CrossRef]
- Guentsch, A. Antibiotics against Periodontal Biofilms. Monogr. Oral Sci. 2021, 29, 119–132. [Google Scholar] [CrossRef]
- Tonetti, M.S.; Greenwell, H.; Kornman, K.S. Staging and grading of periodontitis: Framework and proposal of a new classification and case definition. J. Periodontol. 2018, 89, S159–S172. [Google Scholar] [CrossRef] [PubMed]
- Jepsen, S.; Caton, J.G.; Albandar, J.M.; Bissada, N.F.; Bouchard, P.; Cortellini, P.; Demirel, K.; de Sanctis, M.; Ercoli, C.; Fan, J.; et al. Periodontal manifestations of systemic diseases and developmental and acquired conditions: Consensus report of workgroup 3 of the 2017 World Workshop on the Classification of Periodontal and Peri-Implant Diseases and Conditions. J. Periodontol. 2018, 89, S237–S248. [Google Scholar] [CrossRef] [PubMed]
- Kavamura, M.I. Cardiofaciocutaneous Syndrome. Available online: https://www.orpha.net/consor/cgi-bin/Disease_Search.php?lng=ES&data_id=1559&MISSING%20CONTENT=S-ndrome-cardio-facio-cut-neo&search=Disease_Search_Simple&title=S%EDndrome%20cardio-facio-cut%E1neo (accessed on 10 September 2022).
- Cao, H.; Alrejaye, N.; Klein, O.D.; Goodwin, A.F.; Oberoi, S. A review of craniofacial and dental findings of the RASopathies. Orthod. Craniofac. Res. 2017, 20, 32–38. [Google Scholar] [CrossRef] [PubMed]
- Biard, J.M.; Steenhaut, P.; Bernard, P.; Race, V.; Sznajer, Y. Antenatal diagnosis of cardio-facio-cutaneous syndrome: Prenatal characteristics and contribution of fetal facial dysmorphic signs in utero. About a case and review of literature. Eur. J. Obstet. Gynecol. Reprod. Biol. 2019, 240, 232–241. [Google Scholar] [CrossRef]
- Navazesh, M.; Christensen, C.M. A comparison of whole mouth resting and stimulated salivary measurement procedures. J. Dent. Res. 1982, 61, 1158–1162. [Google Scholar] [CrossRef]
- Mombelli, A.; McNabb, H.; Lang, N.P. Black-pigmenting gram-negative bacteria in periodontal disease. II. Screening strategies for detection of P. gingivalis. J. Periodontal Res. 1991, 26, 308–313. [Google Scholar] [PubMed]
- Klindworth, A.; Pruesse, E.; Schweer, T.; Peplies, J.; Quast, C.; Horn, M.; Glöckner, F.O. Evaluation of general 16S ribosomal RNA gene PCR primers for classical and next-generation sequencing-based diversity studies. Nucleic Acids Res. 2013, 41, e1. [Google Scholar] [CrossRef] [PubMed]
- Schmieder, R.; Edwards, R. Quality control and preprocessing of metagenomic datasets. Bioinformatics 2011, 27, 863–864. [Google Scholar] [CrossRef] [PubMed]
- R Core Team. A Language and Environment for Statistical Computing; R Foundation for Statistical Computing: Vienna, Austria, 2012; ISBN 3-900051-07-0. Available online: http://www.R-project.org/ (accessed on 1 August 2021).
- Caporaso, J.G.; Kuczynski, J.; Stombaugh, J.; Bittinger, K.; Bushman, F.D.; Costello, E.K.; Fierer, N.; Gonzalez Peña, A.; Goodrich, J.K.; Gordon, J.I.; et al. QIIME allows analysis of high-throughput community sequencing data. Nat. Methods 2010, 7, 335–336. [Google Scholar] [CrossRef]
- Callahan, B.J.; McMurdie, P.J.; Rosen, M.J.; Han, A.W.; Johnson, A.J.; Holmes, S.P. DADA2: High-resolution sample inference from Illumina amplicon data. Nat. Methods 2016, 13, 581–583. [Google Scholar] [CrossRef]
- Ondov, B.D.; Bergman, N.H.; Phillippy, A.M. Interactive metagenomic visualization in a Web browser. BMC Bioinform. 2011, 12, 385. [Google Scholar] [CrossRef]
- Aboh, I.V.; Chisci, G.; Gennaro, P.; Gabriele, G.; Cascino, F.; Ginori, A.; Giovannetti, F.; Iannetti, G. LEOPARD syndrome: Maxillofacial care. J. Craniofac. Surg. 2014, 25, 1094–1105. [Google Scholar] [CrossRef]
- Giovannetti, F.; Aboh, I.V.; Chisci, G.; Gennaro, P.; Gabriele, G.; Cascino, F.; Di Curzio, P.; Iannetti, G. Langerhans cell histiocytosis: Treatment strategies. J. Craniofac. Surg. 2014, 2, 1134–1136. [Google Scholar] [CrossRef]
- Fadda, M.T.; Saverio De Ponte, F.; Bottini, D.J.; Iannetti, G. Study and planning of the surgical procedure for the orbital district in patients affected by craniofacial malformations. J. Craniofac. Surg. 1999, 7, 207–223. [Google Scholar] [CrossRef] [PubMed]
- Guida, V.; Sinibaldi, L.; Pagnoni, M.; Bernardini, L.; Loddo, S.; Margiotti, K.; Digilio, M.C.; Fadda, M.T.; Dallapiccola, B.; Iannetti, G.; et al. A de novo proximal 3q29 chromosomemicroduplication in a patientwithoculo auriculo vertebral spectrum. Am. J. Med. Genet. A 2015, 167A, 797–801. [Google Scholar] [CrossRef] [PubMed]
- Jurcă, M.C.; Iuhas, O.A.; Puiu, M.; Chiriţă-Emandi, A.; Andreescu, N.I.; Petcheşi, C.D. Cardiofaciocutaneoussyndrome—A longitudinal study of a case over 33 years: Case report and review of the literature. Rom. J. Morphol. Embryol. 2021, 62, 563–568. [Google Scholar] [CrossRef] [PubMed]
- Pierpont, E.I.; Kenney-Jung, D.L.; Shanley, R.; Zatkalik, A.L.; Whitmarsh, A.E.; Kroening, S.J. Neurologic and neurodevelopmental complications in cardiofaciocutaneous syndrome are associated with genotype: A multinational cohort study. Genet. Med. 2022, 24, 1556–1566. [Google Scholar] [CrossRef] [PubMed]
- Torres-Carmona, M.A.; Arenas-Sordo, M.L.; Saavedra-Ontiveros, D.; Sánchez-Guerrero, M.C. Periodontal disease in Noonan’ssyndrome. Bol. Med. Hosp. Infant. Mex. 1991, 48, 271–274. [Google Scholar] [PubMed]
- Valencic, E.; Da Lozzo, P.; Tornese, G.; Ghirigato, E.; Facca, F.; Piscianz, E.; Faletra, F.; Taddio, A.; Tommasini, A.; Magnolato, A. Clinical and Cytometric Study of Immune Involvement in a Heterogeneous Cohort of Subjects WithRASopathies and mTORopathies. Front. Pediatr. 2021, 9, 703613. [Google Scholar] [CrossRef]
- Siano, M.A.; Marchetti, V.; Pagano, S.; Di Candia, F.; Alessio, M.; De Brasi, D.; de Luca, A.; Pinna, V.; Sestito, S.; Concolino, D.; et al. Risk of autoimmune diseases in patients with RASopathies: Systematic study of humoral and cellular immunity. Orphanet J. Rare Dis. 2021, 16, 410. [Google Scholar] [CrossRef]
- Leoni, C.; Viscogliosi, G.; Onesimo, R.; Bisanti, C.; Massese, M.; Giorgio, V.; Corbo, F.; Tedesco, M.; Acampora, A.; Cipolla, C.; et al. Characterization of bone homeostasis in individuals affected by cardio-facio-cutaneous syndrome. Am. J. Med. Genet. A 2022, 188, 414–421. [Google Scholar] [CrossRef]
- Penoni, D.C.; Fidalgo, T.K.; Torres, S.R.; Varela, V.M.; Masterson, D.; Leão, A.T.; Maia, L.C. Bone density and clinical periodontal attachment in postmenopausal women: A systematic review and meta-analysis. J. Dent. Res. 2017, 96, 261–269. [Google Scholar] [CrossRef]
- Aldulaijan, H.A.; Cohen, R.E.; Stellrecht, E.M.; Levine, M.J.; Yerke, L.M. Relationship between hypothyroidism and periodontitis: A scoping review. Clin. Exp. Dent. Res. 2020, 6, 147–157. [Google Scholar] [CrossRef]
- Karrabi, M.; Baghani, Z. Amoxicillin/Metronidazole Dose Impact as an Adjunctive Therapy for Stage II–III Grade C Periodontitis (Aggressive Periodontitis) at 3- And 6-Month Follow-Ups: A Systematic Review and Meta-Analysis. J. Oral Maxillofac. Res. 2022, 13, e2. [Google Scholar] [CrossRef]
- Schmidt, J.C.; Walter, C.; Rischewski, J.R.; Weiger, R. Treatment of periodontitis as a manifestation of neutropenia with or without systemic antibiotics: A systematic review. Pediatr. Dent. 2013, 35, E54–E63. [Google Scholar] [PubMed]
- López, N.J.; Socransky, S.S.; Da Silva, I.; Japlit, M.R.; Haffajee, A.D. Effects of metronidazole plus amoxicillin as the only therapy on the microbiological and clinical parameters of untreated chronic periodontitis. J. Clin. Periodontol. 2006, 33, 648–660. [Google Scholar] [CrossRef] [PubMed]
- Bono, A.; Brunotto, M. Amoxicillin/metronidazole or scaling and root planing in the treatment of chronic periodontitis. Acta Odontol. Latinoam. 2010, 23, 196–203. [Google Scholar] [PubMed]
- Faveri, M.; Retamal-Valdes, B.; Mestnik, M.J.; de Figueiredo, L.C.; Barão, V.A.R.; Souza, J.G.S.; Duarte, P.M.; Feres, M. Microbiological effects of amoxicillin plus metronidazole in the treatment of young patients with stages III and IV periodontitis: A secondary analysis from a 1-year double-blinded placebo-controlled randomized clinical trial. J. Periodontol. 2022; ahead of print. [Google Scholar] [CrossRef] [PubMed]
- Di Stefano, M.; Polizzi, A.; Santonocito, S.; Romano, A.; Lombardi, T.; Isola, G. Impact of Oral Microbiome in Periodontal Health and Periodontitis: A Critical Review on Prevention and Treatment. Int. J. Mol. Sci. 2022, 23, 5142. [Google Scholar] [CrossRef]
- Hajishengallis, G.; Lamont, R.J. Beyond the red complex and into more complexity: The polymicrobial synergy and dysbiosis (PSD) model of periodontal disease etiology. Mol. Oral Microbiol. 2012, 27, 409–419. [Google Scholar] [CrossRef]
- Griffen, A.L.; Beall, C.; Campbell, J.H.; Firestone, N.D.; Kumar, P.; Yang, Z.K.; Podar, M.; Leys, E.J. Distinct and complex bacterial profiles in human periodontitis and health revealed by 16S pyrosequencing. ISME J. 2012, 6, 1176–1185. [Google Scholar] [CrossRef]
- Abusleme, L.; Dupuy, A.K.; Dutzan, N.; Silva, N.; Burleson, J.A.; Strausbaugh, L.D.; Gamonal, J.; Diaz, P.I. The subgingival microbiome in health and periodontitis and its relationship with community biomass and inflammation. ISME J. 2013, 7, 1016–1025. [Google Scholar] [CrossRef]
- Cui, X.; Liu, J.; Xiao, W.; Chu, Y.; Ouyang, X. Subgingival microbiome in Chinese patients with generalized aggressive periodontitis compared to healthy controls. Arch. Oral Biol. 2019, 101, 92–99. [Google Scholar] [CrossRef]
- Nóvoa, L.; Sánchez, M.D.C.; Blanco, J.; Limeres, J.; Cuenca, M.; Marín, M.J.; Sanz, M.; Herrera, D.; Diz, P. The Subgingival Microbiome in Patients with Down Syndrome and Periodontitis. J.Clin. Med. 2020, 9, 2482. [Google Scholar] [CrossRef]
- Hagenfeld, D.; Koch, R.; Jünemann, S.; Prior, K.; Harks, I.; Eickholz, P.; Hoffmann, T.; Kim, T.-S.; Kocher, T.; Meyle, J.; et al. Do we treat our patients or rather periodontal microbes with adjunctive antibiotics in periodontal therapy? A 16S rDNA microbial community analysis. PLoS ONE 2018, 13, e0195534. [Google Scholar] [CrossRef] [PubMed]
- Feres, M.; Retamal-Valdes, B.; Fermiano, D.; Faveri, M.; Figueiredo, L.C.; Mayer, M.P.; Lee, J.; Bittinger, K.; Teles, F. Microbiome changes in young periodontitis patients treated with adjunctive metronidazole and amoxicillin. J. Periodontol. 2021, 92, 467–478. [Google Scholar] [CrossRef]
- Zhang, Y.; Qi, Y.; Lo, E.C.M.; McGrath, C.; Mei, M.L.; Dai, R. Using next-generation sequencing to detect oral microbiome change following periodontal interventions: A systematic review. Oral Dis. 2021, 27, 1073–1089. [Google Scholar] [CrossRef] [PubMed]
- Lu, H.; He, L.; Jin, D.; Zhu, Y.; Meng, H. Effect of adjunctive systemic antibiotics on microbial populations compared with scaling and root planing alone for the treatment of periodontitis: A pilot randomized clinical trial. J. Periodontol. 2022, 93, 570–583. [Google Scholar] [CrossRef] [PubMed]
- Laugisch, O.; Auschill, T.M.; Tumbrink, A.; Sculean, A.; Arweiler, N.B. Influence of Anti-Infective Periodontal Therapy on Subgingival Microbiota Evaluated by Chair-Side Test Compared to qPCR-A Clinical Follow-Up Study. Antibiotics 2022, 11, 577. [Google Scholar] [CrossRef] [PubMed]
- Retamal-Valdes, B.; Tavares, A.P.L.; Monique, S.; da Silva, H.D.P.; Mestnik, M.J.; Duarte, P.M.; Miranda, T.S.; Borges, I.; Soares, G.M.S.; Faveri, M.; et al. Adverse events of metronidazole and amoxicillin: Retrospective analysis of a large data set of five randomized clinical trials. J. Clin. Periodontol. 2022; ahead of print. [Google Scholar] [CrossRef] [PubMed]
- Ardila, C.M.; Bedoya-García, J.A.; Arrubla-Escobar, D.E. Antibiotic resistance in periodontitis patients: A systematic scoping review of randomized clinical trials. Oral Dis. 2022; ahead of print. [Google Scholar] [CrossRef] [PubMed]
- Slots, J.; Jorgensen, M.G. Effective, safe, practical and affordable periodontal antimicrobial therapy: Where are we going, and are we there yet? Periodontol. 2000 2002, 28, 298–312. [Google Scholar] [CrossRef] [PubMed]






Publisher’s Note: MDPI stays neutral with regard to jurisdictional claims in published maps and institutional affiliations. |
© 2022 by the authors. Licensee MDPI, Basel, Switzerland. This article is an open access article distributed under the terms and conditions of the Creative Commons Attribution (CC BY) license (https://creativecommons.org/licenses/by/4.0/).
Share and Cite
Muñoz Navarro, C.; del Carmen Sánchez Beltrán, M.; Arriagada Vargas, C.; Batalla Vázquez, P.; Diniz Freitas, M.; Limeres Posse, J.; Diz Dios, P.; García Mato, E. Analysis of the Oral Microbiome in a Patient with Cardiofaciocutaneous Syndrome and Severe Periodontal Disease: Impact of Systemic Antibiotic Therapy. Antibiotics 2022, 11, 1754. https://doi.org/10.3390/antibiotics11121754
Muñoz Navarro C, del Carmen Sánchez Beltrán M, Arriagada Vargas C, Batalla Vázquez P, Diniz Freitas M, Limeres Posse J, Diz Dios P, García Mato E. Analysis of the Oral Microbiome in a Patient with Cardiofaciocutaneous Syndrome and Severe Periodontal Disease: Impact of Systemic Antibiotic Therapy. Antibiotics. 2022; 11(12):1754. https://doi.org/10.3390/antibiotics11121754
Chicago/Turabian StyleMuñoz Navarro, Carolina, María del Carmen Sánchez Beltrán, Carolina Arriagada Vargas, Pilar Batalla Vázquez, Márcio Diniz Freitas, Jacobo Limeres Posse, Pedro Diz Dios, and Eliane García Mato. 2022. "Analysis of the Oral Microbiome in a Patient with Cardiofaciocutaneous Syndrome and Severe Periodontal Disease: Impact of Systemic Antibiotic Therapy" Antibiotics 11, no. 12: 1754. https://doi.org/10.3390/antibiotics11121754
APA StyleMuñoz Navarro, C., del Carmen Sánchez Beltrán, M., Arriagada Vargas, C., Batalla Vázquez, P., Diniz Freitas, M., Limeres Posse, J., Diz Dios, P., & García Mato, E. (2022). Analysis of the Oral Microbiome in a Patient with Cardiofaciocutaneous Syndrome and Severe Periodontal Disease: Impact of Systemic Antibiotic Therapy. Antibiotics, 11(12), 1754. https://doi.org/10.3390/antibiotics11121754

