Biofilm and Spore Formation of Clostridium perfringens and Its Resistance to Disinfectant and Oxidative Stress
Abstract
1. Introduction
2. Results
2.1. Biofilm Formation, Sporulation, and Toxin Gene Profiles of C. perfringens Strains
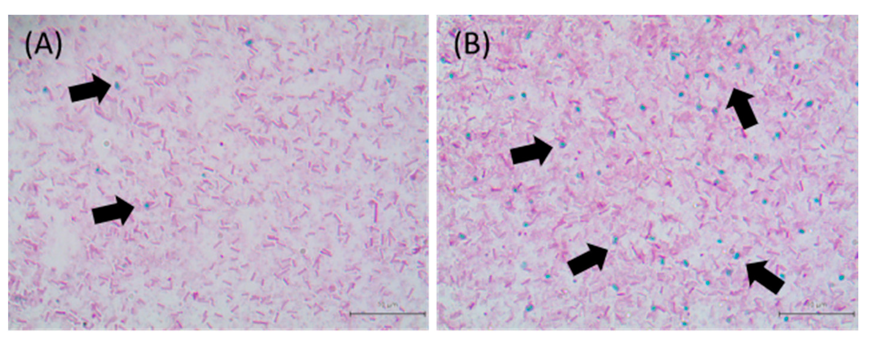
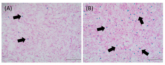
2.2. Sporulation Efficiency during Biofilm Formation
2.3. Resistance of C. perfringens Vegetative Cells and Spores to Oxidative Stress
2.4. Resistance of C. perfringens Vegetative Cells and Spores to Disinfectants
2.5. SNP Discovery Analysis
2.6. Expression Changes in C. perfringens Planktonic and Sessile Cells
3. Discussion
4. Materials and Methods
4.1. Bacterial Strains and Growth Conditions
4.2. Spore Quantification
4.3. Microscopy Analysis of Spores
4.4. Oxidative Stress and Disinfectant Treatments
4.5. Whole-Genome Sequencing and Variant Calling Analysis
4.6. Nonsynonymous Substitution
4.7. Extraction of RNA and RT-PCR
4.8. Statistical Analysis
5. Conclusions
Supplementary Materials
Author Contributions
Funding
Institutional Review Board Statement
Informed Consent Statement
Data Availability Statement
Acknowledgments
Conflicts of Interest
References
- Navarro, M.A.; McClane, B.A.; Uzal, F.A. Mechanisms of action and cell death associated with Clostridium perfringens toxins. Toxins 2018, 10, 212. [Google Scholar] [CrossRef] [PubMed]
- Uzal, F.A.; Freedman, J.C.; Shrestha, A.; Theoret, J.R.; Garcia, J.; Awad, M.M.; Adams, V.; Moore, R.J.; Rood, J.I.; Mcclane, B.A. Towards an understanding of the role of Clostridium perfringens toxins in human and animal disease. Future Microbiol. 2014, 9, 361–377. [Google Scholar] [CrossRef]
- Uzal, F.A.; Navarro, M.A.; Li, J.; Freedman, J.C.; Shrestha, A.; McClane, B.A. Comparative pathogenesis of enteric clostridial infections in humans and animals. Anaerobe 2018, 53, 11–20. [Google Scholar] [CrossRef]
- Shrestha, A.; Uzal, F.A.; McClane, B.A. Enterotoxic clostridia: Clostridium perfringens enteric diseases. Microbiol. Spectr. 2018, 6, 1–17. [Google Scholar] [CrossRef] [PubMed]
- Charlebois, A.; Jacques, M.; Boulianne, M.; Archambault, M. Tolerance of Clostridium perfringens biofilms to disinfectants commonly used in the food industry. Food Microbiol. 2017, 62, 32–38. [Google Scholar] [CrossRef]
- Hu, W.S.; Kim, H.; Koo, O.K. Molecular genotyping, biofilm formation and antibiotic resistance of enterotoxigenic Clostridium perfringens isolated from meat supplied to school cafeterias in South Korea. Anaerobe 2018, 52, 115–121. [Google Scholar] [CrossRef] [PubMed]
- Majed, R.; Faille, C.; Kallassy, M.; Gohar, M. Bacillus cereus biofilms-same, only different. Front. Microbiol. 2016, 7, 1–16. [Google Scholar] [CrossRef] [PubMed]
- Li, J.; Ma, M.; Sarker, M.R.; McClane, B.A. CodY is a global regulator of virulence-associated properties for Clostridium perfringens type D strain CN3718. mBio 2013, 4, e00770-13. [Google Scholar] [CrossRef] [PubMed]
- Ohtani, K.; Hirakawa, H.; Paredes-Sabja, D.; Tashiro, K.; Kuhara, S.; Sarker, M.R.; Shimizu, T. Unique regulatory mechanism of sporulation and enterotoxin production in Clostridium perfringens. J. Bacteriol. 2013, 195, 2931–2936. [Google Scholar] [CrossRef] [PubMed]
- Varga, J.J.; Therit, B.; Melville, S.B. Type IV pili and the CcpA protein are needed for maximal biofilm formation by the gram-positive anaerobic pathogen Clostridium perfringens. Infect. Immun. 2008, 76, 4944–4951. [Google Scholar] [CrossRef]
- Li, J.; McClane, B.A. Evaluating the involvement of alternative sigma factors SigF and SigG in Clostridium perfringens sporulation and enterotoxin synthesis. Infect. Immun. 2010, 78, 4286–4293. [Google Scholar] [CrossRef]
- García, T.G.; Ventroux, M.; Derouiche, A.; Bidnenko, V.; Santos, S.C.; Henry, C.; Mijakovic, I.; Noirot-Gros, M.F.; Poncet, S. Phosphorylation of the Bacillus subtilis replication controller YabA plays a role in regulation of sporulation and biofilm formation. Front. Microbiol. 2018, 9, 1–14. [Google Scholar] [CrossRef] [PubMed]
- Charlebois, A.; Jacques, M.; Archambault, M. Comparative transcriptomic analysis of Clostridium perfringens biofilms and planktonic cells. Avian Pathol. 2016, 45, 593–601. [Google Scholar] [CrossRef]
- Sanchez-Salas, J.L.; Setlow, B.; Zhang, P.; Li, Y.; Setlow, P. Maturation of released spores is necessary for acquisition of full spore heat resistance during Bacillus subtilis sporulation. Appl. Environ. Microbiol. 2011, 77, 6746–6754. [Google Scholar] [CrossRef] [PubMed]
- Vidal, J.E.; Shak, J.R.; Canizalez-Roman, A. The CpAL quorum sensing system regulates production of hemolysins CPA and PFO to build Clostridium perfringens biofilms. Insect Infect. Immun. 2015, 83, 2430–2442. [Google Scholar] [CrossRef] [PubMed]
- Dapa, T.; Leuzzi, R.; Ng, Y.K.; Baban, S.T.; Adamo, R.; Kuehne, S.A.; Scarselli, M.; Minton, N.P.; Serruto, D.; Unnikrishnan, M. Multiple factors modulate biofilm formation by the anaerobic pathogen Clostridium difficile. J. Bacteriol. 2013, 195, 545–555. [Google Scholar]
- Mi, E.; Li, J.; McClane, B.A. NanR regulates sporulation and enterotoxin production by Clostridium perfringens type F strain F4969. Infect. Immun. 2018, 86, e00416–e00418. [Google Scholar] [CrossRef]
- Hamon, M.A.; Lazazzera, B.A. The sporulation transcription factor Spo0A is required for biofilm development in Bacillus subtilis. Mol. Microbiol. 2001, 42, 1199–1209. [Google Scholar] [CrossRef] [PubMed]
- Simões, M.; Simões, L.C.; Vieira, M.J. A review of current and emergent biofilm control strategies. LWT Food Sci. Technol. 2010, 43, 573–583. [Google Scholar] [CrossRef]
- Talukdar, P.K.; Udompijitkul, P.; Hossain, A.; Sarker, M.R. Inactivation strategies for Clostridium perfringens spores and vegetative cells. Appl. Environ. Microb. 2017, 83, e02731-16. [Google Scholar] [CrossRef]
- Zhao, Y.; Melville, S.B. Identification and characterization of sporulation-dependent promoters upstream of the enterotoxin gene (cpe) of Clostridium perfringens. J. Bacteriol. 1998, 180, 136–142. [Google Scholar] [CrossRef] [PubMed]
- Castro, M.G.; Icazatti, A.; Divizia, J.; Vega, A.E.; Cortiñas, T.I.; Stagnitta, P.V. Effect of sanitizers and glucose on Clostridium perfringens biofilm formation and growth. Int. J. Curr. Microbiol. Appl. Sci. 2016, 5, 210–223. [Google Scholar]
- Li, J.; Paredes-Sabja, D.; Sarker, M.R.; McClane, B.A. Clostridium perfringens sporulation and sporulation-associated toxin production. Microbiol. Spectrum 2016, 4, 331–347. [Google Scholar] [CrossRef]
- Pantaleon, V.; Bouttier, S.; Soavelomandroso, A.P.; Janoir, C.; Candela, T. Biofilms of Clostridium species. Anaerobe 2014, 30, 193–198. [Google Scholar] [CrossRef]
- Wiencek, K.M.; Klapes, N.A.; Foegeding, P.M. Hydrophobicity of Bacillus and Clostridium spores. Appl. Environ. Microb. 1990, 56, 2600–2605. [Google Scholar] [CrossRef]
- Semenyuk, E.G.; Laning, M.L.; Foley, J.; Johnston, P.F.; Knight, K.L.; Gerding, D.N.; Driks, A. Spore formation and toxin production in Clostridium difficile biofilms. PLoS ONE 2014, 9, e87757. [Google Scholar] [CrossRef] [PubMed]
- Briolat, V.; Reysset, G. Identification of the Clostridium perfringens genes involved in the adaptive response to oxidative stress. J. Bacteriol. 2002, 184, 2333–2343. [Google Scholar] [CrossRef]
- Jean, D.; Briolat, V.; Reysset, G. Oxidative stress response in Clostridium perfringens. Microbiology 2004, 150, 1649–1659. [Google Scholar] [CrossRef]
- Chen, J.; Wang, Y. Genetic determinants of Salmonella enterica critical for attachment and biofilm formation. Int. J. Food Microbiol. 2020, 320, 108524. [Google Scholar] [CrossRef]
- Charlebois, A.; Jacques, M.; Archambault, M. Biofilm formation of Clostridium perfringens and its exposure to low-dose antimicrobials. Front. Microbiol. 2014, 5, 1–11. [Google Scholar] [CrossRef]
- Beuchat, L.R.; Pettigrew, C.A.; Tremblay, M.E.; Roselle, B.J.; Scouten, A.J. Lethality of chlorine, chlorine dioxide, and a commercial fruit and vegetable sanitizer to vegetative cells and spores of Bacillus cereus and spores of Bacillus thuringiensis. J. Ind. Microbiol. Biot. 2005, 32, 301–308. [Google Scholar] [CrossRef]
- Behnke, S.; Parker, A.E.; Woodall, D.; Camper, A.K. Comparing the chlorine disinfection of detached biofilm clusters with sessile biofilms and planktonic cells in single and dual species cultures. Appl. Environ. Microb. 2011, 77, 99–117. [Google Scholar] [CrossRef]
- Edwards, A.N.; Karim, S.T.; Pascual, R.A.; Jowhar, L.M.; Anderson, S.E.; McBride, S.M. Chemical and stress resistances of Clostridium difficile spores and vegetative cells. Front. Microbiol. 2016, 7, 1–13. [Google Scholar] [CrossRef] [PubMed]
- Paredes-Sabja, D.; Sarker, N.; Setlow, B.; Setlow, P.; Sarker, M.R. Roles of DacB and Spm proteins in Clostridium perfringens spore resistance to moist heat, chemicals, and UV radiation. Appl. Environ. Microb. 2008, 74, 3730–3738. [Google Scholar] [CrossRef]
- Paredes-Sabja, D.; Setlow, B.; Setlow, P.; Sarker, M.R. Characterization of Clostridium perfringens spores that lack SpoVA proteins and dipicolinic acid. J. Bacteriol. 2008, 190, 4648–4659. [Google Scholar] [CrossRef]
- Elzain, A.M.; Elsanousi, S.M.; Ibrahim, M.E.A. Effectiveness of ethanol and methanol alcohols on different isolates of staphylococcus species. J. Bacteriol. Mycol. 2019, 7, 71–73. [Google Scholar]
- Walter, B.M.; Cartman, S.T.; Minton, N.P.; Butala, M.; Rupnik, M. The SOS response master regulator LexA is associated with sporulation, motility and biofilm formation in Clostridium difficile. PLoS ONE 2015, 10, e0144763. [Google Scholar] [CrossRef]
- Kampf, J.; Gerwig, J.; Kruse, K.; Cleverley, R.; Dormeyer, M.; Grünberger, A.; Kohlheyer, D.; Commichau, F.M.; Lewis, R.J.; Stülke, J. Selective pressure for biofilm formation in Bacillus subtilis: Differential effect of mutations in the master regulator SinR on bistability. mBio 2018, 9, 1–15. [Google Scholar] [CrossRef]
- Yan, F.; Yu, Y.; Wang, L.; Luo, Y.; Guo, J.H.; Chai, Y. The comER gene plays an important role in biofilm formation and sporulation in both Bacillus subtilis and Bacillus cereus. Front. Microbiol. 2016, 7, 1–16. [Google Scholar] [CrossRef]
- Pagedar, A.; Singh, J. Influence of physiological cell stages on biofilm formation by Bacillus cereus of dairy origin. Int. Dairy J. 2012, 23, 30–35. [Google Scholar] [CrossRef]
- Burton, B.M.; Marquis, K.A.; Sullivan, N.L.; Rapoport, T.A.; Rudner, D.Z. The ATPase SpoIIIE transports DNA across fused septal membranes during sporulation in Bacillus subtilis. Cell 2007, 131, 1301–1312. [Google Scholar] [CrossRef]
- Jones, S.W.; Paredes, C.J.; Tracy, B.; Cheng, N.; Sillers, R.; Senger, R.S.; Papoutsakis, E.T. The transcriptional program underlying the physiology of clostridial sporulation. Genome Biol. 2008, 9, 1–21. [Google Scholar] [CrossRef]
- Hardie, K.R.; Heurlier, K. Establishing bacterial communities by ‘word of mouth’: LuxS and autoinducer 2 in biofilm development. Nat. Rev. Microbiol. 2008, 6, 635–643. [Google Scholar] [CrossRef] [PubMed]
- Zhao, X.; Liu, R.; Tang, H.; Osei-Adjei, G.; Xu, S.; Zhang, Y.; Huang, X. A 3’ UTR-derived non-coding RNA RibS increases expression of cfa and promotes biofilm formation of Salmonella enterica serovar Typhi. Res. Microbiol. 2018, 169, 279–288. [Google Scholar] [CrossRef] [PubMed]
- Stasiewicz, M.J.; Oliver, H.F.; Wiedmann, M.; den Bakker, H.C. Whole-genome sequencing allows for improved identification of persistent Listeria monocytogenes in food-associated environments. Appl. Environ. Microb. 2015, 81, 6024–6037. [Google Scholar] [CrossRef]
- Quainoo, S.; Coolen, J.P.M.; van Hijum, S.A.F.T.; Huynen, M.A.; Melchers, W.J.G.; van Schaik, W.; Wertheim, H.F.L. Whole-genome sequencing of bacterial pathogens: The future of nosocomial outbreak analysis. Clin. Microbiol. Rev. 2017, 30, 1015–1064. [Google Scholar] [CrossRef]
- Mac Aogáin, M.; Moloney, G.; Kilkenny, S.; Kelleher, M.; Kelleghan, M.; Boyle, B.; Rogers, T.R. Whole-genome sequencing improves discrimination of relapse from reinfection and identifies transmission events among patients with recurrent Clostridium difficile infections. J. Hosp. Infect. 2015, 90, 108–116. [Google Scholar] [CrossRef]
- Ronco, T.; Stegger, M.; Ng, K.L.; Lilje, B.; Lyhs, U.; Andersen, P.S.; Pedersen, K. Genome analysis of Clostridium perfringens isolates from healthy and necrotic enteritis infected chickens and turkeys. BMC Res. Notes 2017, 10, 270–275. [Google Scholar] [CrossRef] [PubMed]
- Sokurenko, E.V.; Hasty, D.L.; Dykhuizen, D.E. Pathoadaptive mutations: Gene loss and variation in bacterial pathogens. Trends Microbiol. 1999, 7, 191–195. [Google Scholar] [CrossRef]
- Myers, G.S.A.; Rasko, D.A.; Cheung, J.K.; Ravel, J.; Seshadri, R.; DeBoy, R.T.; Ren, Q.; Varga, J.; Awad, M.M.; Brinkac, L.M.; et al. Skewed genomic variability in strains of the toxigenic bacterial pathogen, Clostridium perfringens. Genome Res. 2006, 16, 1031–1040. [Google Scholar] [CrossRef]
). The presented values are the averages of at least three replicates. Different lowercase alphabets indicate significant differences between groups at the time-points (p < 0.05).
). The presented values are the averages of at least three replicates. Different lowercase alphabets indicate significant differences between groups at the time-points (p < 0.05).




| Gene | Functional Annotation | Fold Change | Total SNP Counts Compared with ATCC 13124 (Nonsynonymous Counts) | |||
|---|---|---|---|---|---|---|
| TYJAM-D-66 | CMM-C-80 | SDE-B-202 | ATCC 13124 | |||
| Biofilm formation | ||||||
| ctrAB | hypothetical protein | 3.04 | −3.43 | −5.64 | −1.99 | ND 1 |
| abrB | transcriptional regulator, AbrB family | 0.36 | −4.42 | −4.13 | −1.06 | ND |
| luxS | autoinducer-2 production protein | 17.06 | 6.60 | −3.50 | −3.58 | 10(1) |
| sigG | RNA polymerase sigma-G factor | 44.98 | −1.85 | −0.30 | 4.05 | ND |
| CPF_0368 | rubrerythrin family protein | 0.36 | −0.76 | −1.32 | 2.15 | 8(3) |
| argG | argininosuccinate synthase | 113.48 | 2.30 | 2.73 | 1.99 | 27(4) |
| ribD | 5-amino-6-(5-phosphoribosylamino) uracil reductase | 42.78 | −2.34 | −1.03 | 3.19 | 32(17) |
| ribE | riboflavin synthase, alpha subunit | 1.55 | −1.72 | −4.89 | 5.95 | 21(12) |
| lexA | transcriptional repressor | 1.51 | −1.11 | −3.85 | −1.95 | 14(3) |
| sleC | spore cortex-lytic enzyme | −4.66 | −2.77 | −3.83 | 5.49 | ND |
| Sporulation | ||||||
| codY | GTP-sensing transcriptional pleiotropic repressor | 9.47 | −1.79 | −1.95 | −2.89 | ND |
| sigE | RNA polymerase sigma-E factor | 23.20 | −0.35 | −4.27 | −3.00 | 10 |
| sigK | RNA polymerase sigma-70 factor family | 70.16 | −1.67 | −4.73 | 1.11 | ND |
| soj | sporulation initiation inhibitor | 3.21 | 1.01 | −3.40 | −1.22 | 5(1) |
| spo0A | sporulation master regulation | 2.16 | −3.02 | −4.77 | 1.96 | 3 |
| spollAA | sporulation master regulation | 22.14 | −2.09 | −4.47 | 3.31 | ND |
| spollE | anti-sigma F factor antagonist | 58.15 | −1.80 | −5.07 | 9.36 | ND |
| CPF_2417 | small, acid-soluble spore protein | 11.64 | −2.19 | −3.54 | 6.70 | 1 |
| ftsK | DNA translocase | 5.96 | −2.40 | −3.73 | −1.04 | 36(7) |
| minD | septum site-determining protein | 4.89 | −2.33 | −3.92 | −1.99 | 5 |
| spoVD | stage V sporulation protein D | 23.02 | 2.49 | −1.98 | 2.49 | ND |
| Strains | Toxin Gene | Toxinotype | |||
|---|---|---|---|---|---|
| cpa | cpe | cpb2 | netB | ||
| TYJAM-D-66 | + | + | − | − | F |
| CMM-C-80 | + | − | − | + | G |
| SDE-B-202 | + | + | − | − | F |
| ATCC 13124 | + | − | − | − | A |
Publisher’s Note: MDPI stays neutral with regard to jurisdictional claims in published maps and institutional affiliations. |
© 2021 by the authors. Licensee MDPI, Basel, Switzerland. This article is an open access article distributed under the terms and conditions of the Creative Commons Attribution (CC BY) license (https://creativecommons.org/licenses/by/4.0/).
Share and Cite
Hu, W.S.; Woo, D.U.; Kang, Y.J.; Koo, O.K. Biofilm and Spore Formation of Clostridium perfringens and Its Resistance to Disinfectant and Oxidative Stress. Antibiotics 2021, 10, 396. https://doi.org/10.3390/antibiotics10040396
Hu WS, Woo DU, Kang YJ, Koo OK. Biofilm and Spore Formation of Clostridium perfringens and Its Resistance to Disinfectant and Oxidative Stress. Antibiotics. 2021; 10(4):396. https://doi.org/10.3390/antibiotics10040396
Chicago/Turabian StyleHu, Wen Si, Dong U Woo, Yang Jae Kang, and Ok Kyung Koo. 2021. "Biofilm and Spore Formation of Clostridium perfringens and Its Resistance to Disinfectant and Oxidative Stress" Antibiotics 10, no. 4: 396. https://doi.org/10.3390/antibiotics10040396
APA StyleHu, W. S., Woo, D. U., Kang, Y. J., & Koo, O. K. (2021). Biofilm and Spore Formation of Clostridium perfringens and Its Resistance to Disinfectant and Oxidative Stress. Antibiotics, 10(4), 396. https://doi.org/10.3390/antibiotics10040396

