Duplex Recombinase-Aided Amplification–Lateral Flow Dipstick (dRAA-LFD) Assay for New Zealand Green-Lipped Mussel Authentication
Abstract
1. Introduction
2. Materials and Methods
2.1. Sample Preparation
2.2. DNA Extraction
2.3. Designing of RAA Primers
2.4. RAA-LFD Assay
2.5. Specificity and Sensitivity Tests
3. Results
3.1. COI Sequence Alignment and Duplex RAA-LFD Optimization
3.2. Specificity and Sensitivity Evaluation of the dRAA-LFD System
3.3. The dRAA-LFD Test of Cooked Samples
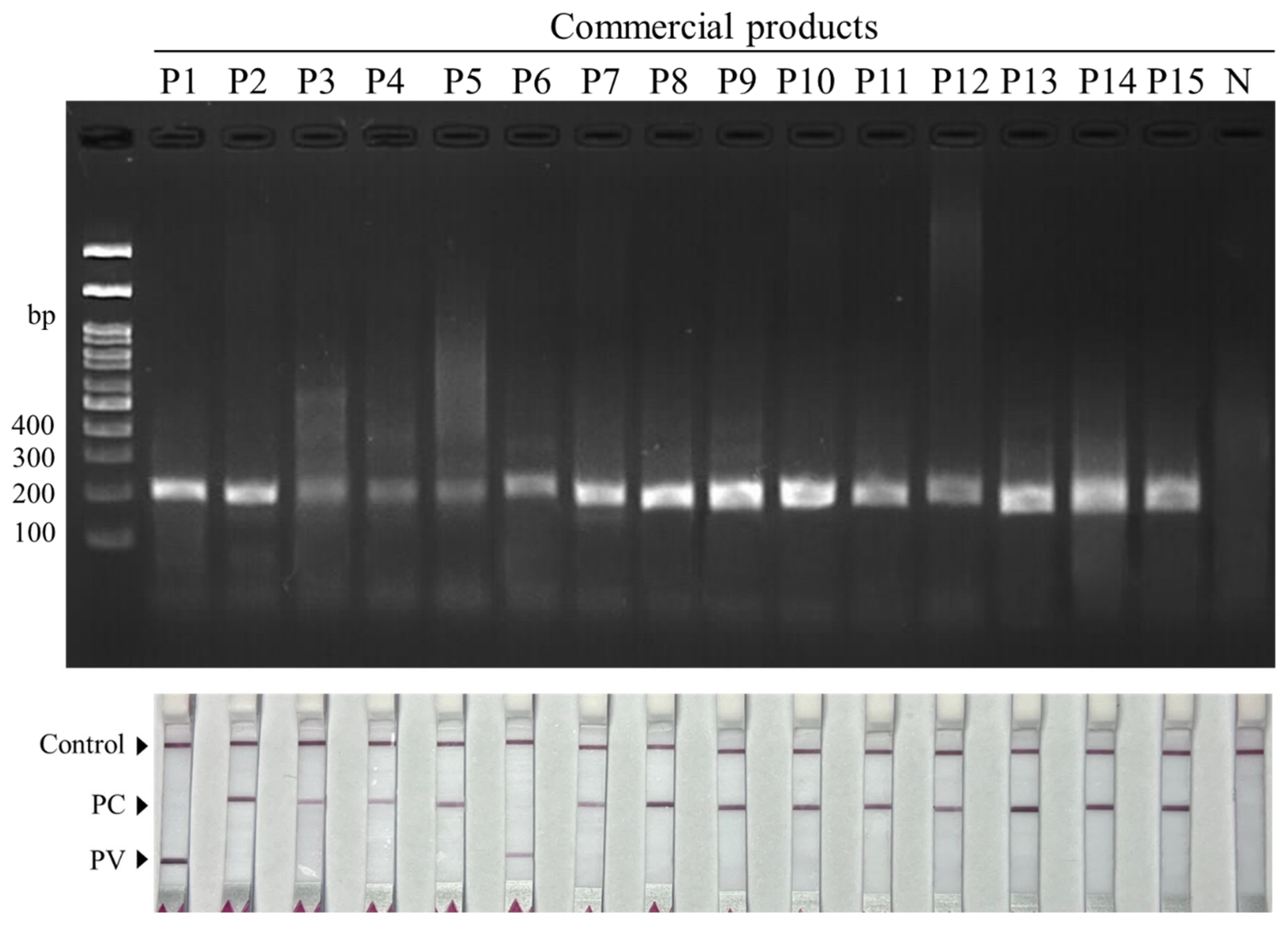
3.4. Application of the dRAA-LFD Method to Commercial Products
4. Discussion
5. Conclusions
Author Contributions
Funding
Institutional Review Board Statement
Informed Consent Statement
Data Availability Statement
Acknowledgments
Conflicts of Interest
References
- Chaput, R.; Quigley, C.N.; Weppe, S.B.; Jeffs, A.G.; de Souza, J.M.A.C.; Gardner, J.P.A. Identifying the Source Populations Supplying a Vital Economic Marine Species for the New Zealand Aquaculture Industry. Sci. Rep. 2023, 13, 9344. [Google Scholar] [CrossRef]
- Stenton-Dozey, J.M.E.; Heath, P.; Ren, J.S.; Zamora, L.N. New Zealand Aquaculture Industry: Research, Opportunities and Constraints for Integrative Multitrophic Farming. N. Z. J. Mar. Freshw. Res. 2021, 55, 265–285. [Google Scholar] [CrossRef]
- Miller, M.R.; Abshirini, M.; Wolber, F.M.; Tuterangiwhiu, T.R.; Kruger, M.C. Greenshell Mussel Products: A Comprehensive Review of Sustainability, Traditional Use, and Efficacy. Sustainability 2023, 15, 3912. [Google Scholar] [CrossRef]
- Giusti, A.; Tosi, F.; Tinacci, L.; Guardone, L.; Corti, I.; Arcangeli, G.; Armani, A. Mussels (Mytilus spp.) Products Authentication: A Case Study on the Italian Market Confirms Issues in Species Identification and Arises Concern on Commercial Names Attribution. Food Control 2020, 118, 107379. [Google Scholar] [CrossRef]
- Moorthy, G.; Benjakul, S.; Sukkapat, P.; Senathipathi, D.N.; Saetang, J. Development and Validation of Colorimetric LAMP Assay for Species Authentication of Economically Important Mytildae Mussels. Food Control 2024, 165, 110697. [Google Scholar] [CrossRef]
- Pardo, M.Á.; Jiménez, E.; Viðarsson, J.R.; Ólafsson, K.; Ólafsdóttir, G.; Daníelsdóttir, A.K.; Pérez-Villareal, B. DNA Barcoding Revealing Mislabeling of Seafood in European Mass Caterings. Food Control 2018, 92, 7–16. [Google Scholar] [CrossRef]
- Bénard-Capelle, J.; Guillonneau, V.; Nouvian, C.; Fournier, N.; Loët, K.L.; Dettai, A. Fish Mislabelling in France: Substitution Rates and Retail Types. PeerJ 2015, 2, e714. [Google Scholar] [CrossRef]
- Senathipathi, D.N.; Benjakul, S.; Sukkapat, P.; Detcharoen, M.; Moorthy, G.; Saetang, J. DNA Barcoding Revealed Mislabeling of Imported Seafood Products in Thailand. Fishes 2024, 9, 215. [Google Scholar] [CrossRef]
- Willette, D.A.; Simmonds, S.E.; Cheng, S.H.; Esteves, S.; Kane, T.L.; Nuetzel, H.; Pilaud, N.; Rachmawati, R.; Barber, P.H. Using DNA barcoding to track seafood mislabeling in Los Angeles restaurants. Conserv. Biol. 2017, 31, 1076–1085. [Google Scholar] [CrossRef]
- Filonzi, L.; Ardenghi, A.; Rontani, P.M.; Voccia, A.; Ferrari, C.; Papa, R.; Bellin, N.; Marzano, F.N. Molecular Barcoding: A Tool to Guarantee Correct Seafood Labelling and Quality and Preserve the Conservation of Endangered Species. Foods 2023, 12, 2420. [Google Scholar] [CrossRef]
- Silva, A.J.; Hellberg, R.S. DNA-Based Techniques for Seafood Species Authentication. Adv. Food Nutr. Res. 2021, 95, 207–255. [Google Scholar] [CrossRef]
- Asaduzzaman, M.; Rahi Noor, A.; Rahman, M.M.; Akter, S.; Hoque, N.F.; Shakil, A.; Wahab, M.A. Reproductive Biology and Ecology of the Green Mussel Perna Viridis: A Multidisciplinary Approach. Biology 2019, 8, 88. [Google Scholar] [CrossRef] [PubMed]
- Soon, T.K.; Ransangan, J. A Review of Feeding Behavior, Growth, Reproduction and Aquaculture Site Selection for Green-Lipped Mussel, Perna Viridis. Adv. Biosci. Biotechnol. 2014, 5, 462–469. [Google Scholar] [CrossRef]
- Kumgumpol, H.; Liu, Y.; Pokavanich, T.; Alabia, I.D.; Yin, Z.; Saitoh, S.-I.; Tian, Y. Environmental Habitat Mapping of Green Mussel: A GIS-Based Approach for Sustainable Aquaculture in the Inner Gulf of Thailand. Sustainability 2020, 12, 10643. [Google Scholar] [CrossRef]
- Rejeki, S.; Debrot, A.O.; van den Brink, A.M.; Ariyati, R.W.; Lakshmi Widowati, L. Increased Production of Green Mussels (Perna viridis) Using Longline Culture and an Economic Comparison with Stake Culture on the North Coast of Java, Indonesia. Aquac. Res. 2021, 52, 373–380. [Google Scholar] [CrossRef]
- Sampantamit, T.; Ho, L.; Lachat, C.; Sutummawong, N.; Sorgeloos, P.; Goethals, P. Aquaculture Production and Its Environmental Sustainability in Thailand: Challenges and Potential Solutions. Sustainability 2020, 12, 2010. [Google Scholar] [CrossRef]
- Onyeaka, H.; Ukwuru, M.; Anumudu, C.; Anyogu, A. Food Fraud in Insecure Times: Challenges and Opportunities for Reducing Food Fraud in Africa. Trends Food Sci. Technol. 2022, 125, 26–32. [Google Scholar] [CrossRef]
- Colihueque, N.; Espinoza, R.; Parraguez, M. Authentication of Frozen Chilean Blue Mussel (Mytilus Chilensis) Commercialized in the Town of Osorno, Southern Chile, Using PCR-RFLP Analysis. Recent Pat. Food Nutr. Agric. 2020, 11, 49–55. [Google Scholar] [CrossRef]
- Fernandes, T.J.R.; Amaral, J.S.; Mafra, I. DNA Barcode Markers Applied to Seafood Authentication: An Updated Review. Crit. Rev. Food Sci. Nutr. 2021, 61, 3904–3935. [Google Scholar] [CrossRef]
- Gorini, T.; Mezzasalma, V.; Deligia, M.; De Mattia, F.; Campone, L.; Labra, M.; Frigerio, J. Check Your Shopping Cart: DNA Barcoding and Mini-Barcoding for Food Authentication. Foods 2023, 12, 2392. [Google Scholar] [CrossRef]
- Del Sambro, L.; Ali, A.; Normanno, G.; Capozzi, L.; Castellana, S.; Di Taranto, P.; Petruzzi, F.; Belluscio, D.; Parisi, A.; Bianco, A. A Retail Market Survey on Fish Fraud from Southern Italy Using DNA Barcoding. Ital. J. Food Saf. 2025, 14, 13376. [Google Scholar] [CrossRef]
- Blanco-Fernandez, C.; Ardura, A.; Masiá, P.; Rodriguez, N.; Voces, L.; Fernandez-Raigoso, M.; Roca, A.; Machado-Schiaffino, G.; Dopico, E.; Garcia-Vazquez, E. Fraud in Highly Appreciated Fish Detected from DNA in Europe May Undermine the Development Goal of Sustainable Fishing in Africa. Sci. Rep. 2021, 11, 11423. [Google Scholar] [CrossRef]
- Calosso, M.C.; Claydon, J.A.B.; Mariani, S.; Cawthorn, D.-M. Global Footprint of Mislabelled Seafood on a Small Island Nation. Biol. Conserv. 2020, 245, 108557. [Google Scholar] [CrossRef]
- Giusti, A.; Malloggi, C.; Tinacci, L.; Nucera, D.; Armani, A. Mislabeling in Seafood Products Sold on the Italian Market: A Systematic Review and Meta-Analysis. Food Control 2023, 145, 109395. [Google Scholar] [CrossRef]
- Fernández-Tajes, J.; Longa, A.; García-Gil, J.; Chiu, Y.-W.; Huang, Y.-S.; Méndez, J.; Lee, R.-S. Alternative PCR–RFLP Methods for Mussel Mytilus Species Identification. Eur. Food Res. Technol. 2011, 233, 791–796. [Google Scholar] [CrossRef]
- Santaclara, F.J.; Espiñeira, M.; Cabado, A.G.; Aldasoro, A.; Gonzalez-Lavín, N.; Vieites, J.M. Development of a Method for the Genetic Identification of Mussel Species Belonging to Mytilus, Perna, Aulacomya, and Other Genera. J. Agric. Food Chem. 2006, 54, 8461–8470. [Google Scholar] [CrossRef] [PubMed]
- Kim, K.-R.; Kim, H.-J.; Bang, I.-C. Development of a Multiplex PCR Assay for Simultaneous Identification of Six Commercially Important Bivalves. Foods 2025, 14, 3881. [Google Scholar] [CrossRef] [PubMed]
- Fu, M.; Zhang, Q.; Zhou, X.; Liu, B. Recombinase Polymerase Amplification Based Multiplex Lateral Flow Dipstick for Fast Identification of Duck Ingredient in Adulterated Beef. Animals 2020, 10, 1765. [Google Scholar] [CrossRef] [PubMed]
- Velasco, A.; Ramilo-Fernández, G.; Denis, F.; Oliveira, L.; Shum, P.; Silva, H.; Sotelo, C.G. A New Rapid Method for the Authentication of Common Octopus (Octopus vulgaris) in Seafood Products Using Recombinase Polymerase Amplification (RPA) and Lateral Flow Assay (LFA). Foods 2021, 10, 1825. [Google Scholar] [CrossRef]
- Yusop, M.H.M.; Bakar, M.F.A.; Kamarudin, K.R.; Mokhtar, N.F.K.; Hossain, M.A.M.; Johan, M.R.; Noor, N.Q.I.M. Rapid Detection of Porcine DNA in Meatball Using Recombinase Polymerase Amplification Couple with Lateral Flow Immunoassay for Halal Authentication. Molecules 2022, 27, 8122. [Google Scholar] [CrossRef]
- Zeng, J.; Wang, W.; Zhou, L.; Ge, X.; Han, J.; Guo, X.; Chen, Y.; Zhang, Y.; Yang, H. A Nucleic Acid Detection Assay Combining Reverse Transcription Recombinase-Aided Amplification with a Lateral Flow Dipstick for the Rapid Visual Detection of Porcine Deltacoronavirus. Virulence 2022, 13, 1471–1485. [Google Scholar] [CrossRef] [PubMed]
- Zheng, Y.-Z.; Chen, J.-T.; Li, J.; Wu, X.-J.; Wen, J.-Z.; Liu, X.-Z.; Lin, L.-Y.; Liang, X.-Y.; Huang, H.-Y.; Zha, G.-C.; et al. Reverse Transcription Recombinase-Aided Amplification Assay With Lateral Flow Dipstick Assay for Rapid Detection of 2019 Novel Coronavirus. Front. Cell. Infect. Microbiol. 2021, 11, 613304. [Google Scholar] [CrossRef] [PubMed]
- Li, X.; Zhu, S.; Zhang, X.; Ren, Y.; He, J.; Zhou, J.; Yin, L.; Wang, G.; Zhong, T.; Wang, L.; et al. Advances in the Application of Recombinase-Aided Amplification Combined with CRISPR-Cas Technology in Quick Detection of Pathogenic Microbes. Front. Bioeng. Biotechnol. 2023, 11, 1215466. [Google Scholar] [CrossRef] [PubMed]
- Lin, L.; Zheng, Y.; Huang, H.; Zhuang, F.; Chen, H.; Zha, G.; Yang, P.; Wang, Z.; Kong, M.; Wei, H.; et al. A Visual Method to Detect Meat Adulteration by Recombinase Polymerase Amplification Combined with Lateral Flow Dipstick. Food Chem. 2021, 354, 129526. [Google Scholar] [CrossRef] [PubMed]
- Luque, G.M.; Donlan, C.J. The Characterization of Seafood Mislabeling: A Global Meta-Analysis. Biol. Conserv. 2019, 236, 556–570. [Google Scholar] [CrossRef]
- Asorey, C.M.; Jilberto, F.; Haase, I.; Schubbert, R.; Angélica Larraín, M.; Araneda, C. Comparison of Two Commercial Methods for Smooth-Shelled Mussels (Mytilus spp.) Species Identification. Food Chem. 2022, 5, 100121. [Google Scholar] [CrossRef]
- Quintrel, M.; Jilberto, F.; Sepúlveda, M.; Marín, M.E.; Véliz, D.; Araneda, C.; Larraín, M.A. Development and Validation of a Multi-Locus PCR-HRM Method for Species Identification in Mytilus Genus with Food Authenticity Purposes. Foods 2021, 10, 1684. [Google Scholar] [CrossRef]
- Morris, M.R.J.; Summers, M.M.; Kwan, M.; Mee, J.A.; Rogers, S.M. Mislabeled and Ambiguous Market Names in Invertebrate and Finfish Seafood Conceal Species of Conservation Concern in Calgary, Alberta, Canada. PeerJ 2024, 12, e18113. [Google Scholar] [CrossRef]
- Tinacci, L.; Stratev, D.; Strateva, M.; Zhelyazkov, G.; Kyuchukova, R.; Armani, A. An Authentication Survey on Retail Seafood Products Sold on the Bulgarian Market Underlines the Need for Upgrading the Traceability System. Foods 2023, 12, 1070. [Google Scholar] [CrossRef]
- Antil, S.; Abraham, J.S.; Sripoorna, S.; Maurya, S.; Dagar, J.; Makhija, S.; Bhagat, P.; Gupta, R.; Sood, U.; Lal, R.; et al. DNA Barcoding, an Effective Tool for Species Identification: A Review. Mol. Biol. Rep. 2023, 50, 761–775. [Google Scholar] [CrossRef]
- Hebert, P.D.N.; Cywinska, A.; Ball, S.L.; deWaard, J.R. Biological Identifications through DNA Barcodes. Proc. Biol. Sci. 2003, 270, 313–321. [Google Scholar] [CrossRef] [PubMed]
- Harris, D.J.; Rosado, D.; Xavier, R. DNA Barcoding Reveals Extensive Mislabeling in Seafood Sold in Portuguese Supermarkets. J. Aquat. Food Prod. Technol. 2016, 25, 1375–1380. [Google Scholar] [CrossRef]
- Moorthy, G.; Buddhachat, K.; Benjakul, S.; Detcharoen, M.; Saetang, J. Development of RAA-Cas12a Assay for Rapid Species Authentication of Pacific Oyster (Crassostrea gigas). Food Control 2025, 175, 111302. [Google Scholar] [CrossRef]
- Ratnasingham, S.; Hebert, P.D.N. Bold: The Barcode of Life Data System (http://www.barcodinglife.org). Mol. Ecol. Notes 2007, 7, 355–364. [Google Scholar] [CrossRef]
- Xie, M.; Ma, J.; Zhou, X.; Wei, Y.; Zhao, Y.; Ye, C.; Liu, X.; Qing, J.; Chen, Z. Recombinase-Aided Amplification Technology: A Comprehensive Review of Innovations and Multi-Technology Integration for Rapid Infectious Disease Diagnosis. Anal. Chim. Acta 2025, 1387, 344932. [Google Scholar] [CrossRef]
- Lin, H.; Zhao, S.; Liu, Y.; Shao, L.; Ye, Y.; Jiang, N.; Yang, K. Rapid Visual Detection of Plasmodium Using Recombinase-Aided Amplification With Lateral Flow Dipstick Assay. Front. Cell. Infect. Microbiol. 2022, 12. [Google Scholar] [CrossRef]
- Taboada, L.; Sánchez, A.; Pérez-Martín, R.I.; Sotelo, C.G. A New Method for the Rapid Detection of Atlantic Cod (Gadus Morhua), Pacific Cod (Gadus Macrocephalus), Alaska Pollock (Gadus Chalcogrammus) and Ling (Molva Molva) Using a Lateral Flow Dipstick Assay. Food Chem 2017, 233, 182–189. [Google Scholar] [CrossRef]
- Haunshi, S.; Basumatary, R.; Girish, P.S.; Doley, S.; Bardoloi, R.K.; Kumar, A. Identification of Chicken, Duck, Pigeon and Pig Meat by Species-Specific Markers of Mitochondrial Origin. Meat Sci. 2009, 83, 454–459. [Google Scholar] [CrossRef]
- Arslan, A.; Ilhak, O.I.; Calicioglu, M. Effect of Method of Cooking on Identification of Heat Processed Beef Using Polymerase Chain Reaction (PCR) Technique. Meat Sci. 2006, 72, 326–330. [Google Scholar] [CrossRef]
- Bitskinashvili, K.; Gabriadze, I.; Kutateladze, T.; Vishnepolsky, B.; Mikeladze, D.; Datukishvili, N. Influence of Heat Processing on DNA Degradation and PCR-Based Detection of Wild-Type and Transgenic Maize. J. Food Qual. 2019, 2019, 5657640. [Google Scholar] [CrossRef]
- Piskata, Z.; Servusova, E.; Babak, V.; Nesvadbova, M.; Borilova, G. The Quality of DNA Isolated from Processed Food and Feed via Different Extraction Procedures. Molecules 2019, 24, 1188. [Google Scholar] [CrossRef]
- Blaschke, V.; Hölling, V.; Dandal, M.; Winkel, M. Development and Validation of Two Real-Time PCR-Methods for the Rapid Detection of Commercially Available Mussels and Scallops in Food. Food Res. Int. 2025, 221, 117300. [Google Scholar] [CrossRef]
- Aslan, Ö.; Hamill, R.M.; Sweeney, T.; Reardon, W.; Mullen, A.M. Integrity of Nuclear Genomic Deoxyribonucleic Acid in Cooked Meat: Implications for Food Traceability. J. Anim. Sci. 2009, 87, 57–61. [Google Scholar] [CrossRef]






| Primer | Sequence (5′-3′) | Amplicon Size (bp) | |
|---|---|---|---|
| PC | F | 5′CY5 NHS Ester-AATGTAGTAGTAACTACGCATGCCCTTGTT | 165 |
| R | FAM-TAACGCATTTGGAGCTAACCAAAACCTAAGG | ||
| PV | F | Bio-GGGAATTGATTACTTCCATTATGTATTGGTGGT | 185 |
| R | FAM-GGCCCAGTATGGTACAACCCAGAAGATAAA |
| Sample Code | Commercial Name (on Label) | Scientific Name | dRAA-LFD Result |
|---|---|---|---|
| P1 | Baked New Zealand Mussels with Cheese | P. canaliculus | P. viridis |
| P2 | Baked New Zealand Mussels with Cheese | P. canaliculus | P. canaliculus |
| P3 | Spicy Kee Mao Spaghetti with New Zealand Mussels | P. canaliculus | P. canaliculus |
| P4 | Thai Spicy New Zealand Mussel Salad | P. canaliculus | P. canaliculus |
| P5 | Baked New Zealand Mussels with Cheese | P. canaliculus | P. canaliculus |
| P6 | New Zealand Mussel Sushi | P. canaliculus | P. viridis |
| P7 | New Zealand Mussel Steak | P. canaliculus | P. canaliculus |
| P8 | Baked New Zealand Mussels with Cheese | P. canaliculus | P. canaliculus |
| P9 | Pineapple Red Curry with New Zealand Mussels | P. canaliculus | P. canaliculus |
| P10 | Salt-Grilled New Zealand Mussels | P. canaliculus | P. canaliculus |
| P11 | Korean-Style Stir-Fried Noodles with New Zealand Mussels | P. canaliculus | P. canaliculus |
| P12 | Spicy Mixed Seafood Soup | P. canaliculus | P. canaliculus |
| P13 | New Zealand Mussel Omelette | P. canaliculus | P. canaliculus |
| P14 | Stir-Fried New Zealand Mussels with Chili Paste | P. canaliculus | P. canaliculus |
| P15 | Blanched New Zealand Mussels with Herbs | P. canaliculus | P. canaliculus |
Disclaimer/Publisher’s Note: The statements, opinions and data contained in all publications are solely those of the individual author(s) and contributor(s) and not of MDPI and/or the editor(s). MDPI and/or the editor(s) disclaim responsibility for any injury to people or property resulting from any ideas, methods, instructions or products referred to in the content. |
© 2026 by the authors. Licensee MDPI, Basel, Switzerland. This article is an open access article distributed under the terms and conditions of the Creative Commons Attribution (CC BY) license.
Share and Cite
Saetang, J.; Saengthong, M.; Benjakul, S.; Moorthy, G. Duplex Recombinase-Aided Amplification–Lateral Flow Dipstick (dRAA-LFD) Assay for New Zealand Green-Lipped Mussel Authentication. Biosensors 2026, 16, 138. https://doi.org/10.3390/bios16030138
Saetang J, Saengthong M, Benjakul S, Moorthy G. Duplex Recombinase-Aided Amplification–Lateral Flow Dipstick (dRAA-LFD) Assay for New Zealand Green-Lipped Mussel Authentication. Biosensors. 2026; 16(3):138. https://doi.org/10.3390/bios16030138
Chicago/Turabian StyleSaetang, Jirakrit, Maturada Saengthong, Soottawat Benjakul, and Gururaj Moorthy. 2026. "Duplex Recombinase-Aided Amplification–Lateral Flow Dipstick (dRAA-LFD) Assay for New Zealand Green-Lipped Mussel Authentication" Biosensors 16, no. 3: 138. https://doi.org/10.3390/bios16030138
APA StyleSaetang, J., Saengthong, M., Benjakul, S., & Moorthy, G. (2026). Duplex Recombinase-Aided Amplification–Lateral Flow Dipstick (dRAA-LFD) Assay for New Zealand Green-Lipped Mussel Authentication. Biosensors, 16(3), 138. https://doi.org/10.3390/bios16030138

