An Immunochromatographic Test Strip and Its Application in Rapid Screening of Pepper Mild Mottle Virus
Abstract
1. Introduction
2. Materials and Methods
2.1. Materials
2.1.1. Materials Related to PROTEIN EXPRESSION
2.1.2. Materials Related to Antibody Screening
2.1.3. Materials Related to the Preparation of Test Strips
2.1.4. Source of Virus
2.1.5. Primers Involved in the Experiment
2.2. Construction of pET28a-CP System
2.3. Induced Expression of PMMoV Recombinant Protein
2.4. Preparation of the Monoclonal Antibody Against PMMoV
2.5. Preparation of Colloidal Gold Immunochromatography Strip
2.5.1. Preparation of Colloidal Gold
2.5.2. Preparation of Colloidal Gold-Labeled Monoclonal Antibodies
2.5.3. Assembly of Test Strips
2.6. Optimization of Working Conditions for Test Strips
3. Results
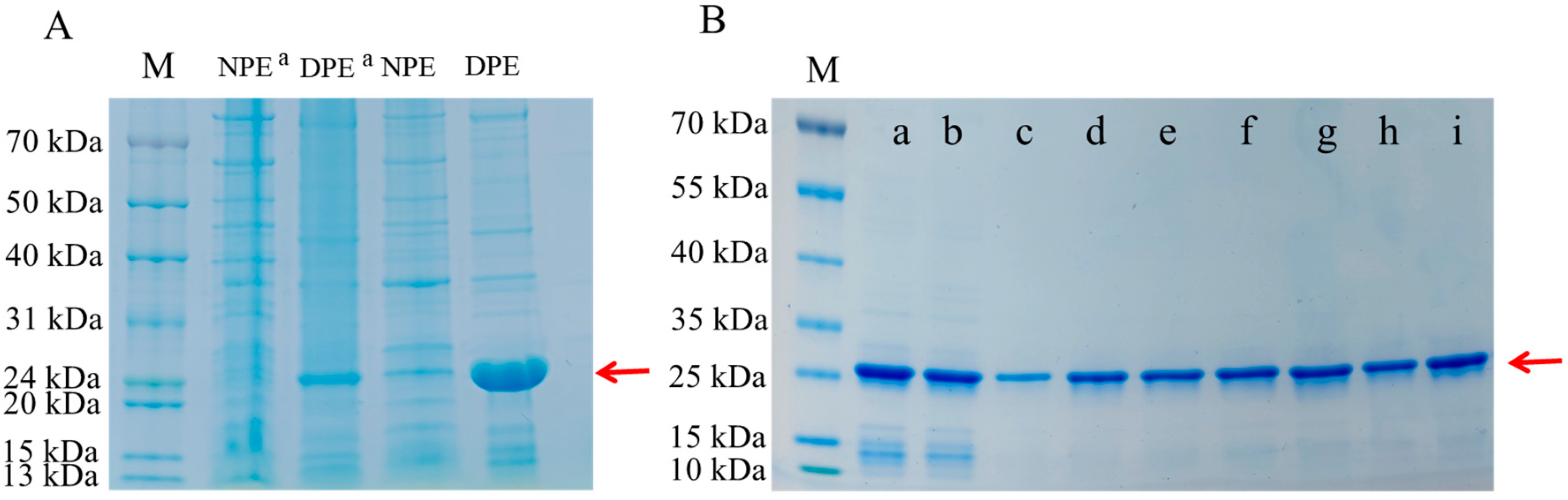
3.1. Induced Expression of PMMoV Recombinant Protein
3.2. Pairing of the Monoclonal Antibodies
3.3. Optimization of the Immunochromatographic Test Strip
3.3.1. Optimization of the Nitrocellulose Membrane
3.3.2. Optimization of the Test Line
3.3.3. Optimization of Surfactants
3.4. Analytical Evaluation of the Immunochromatographic Test Strip
3.4.1. Sensitivity of the Immunochromatographic Test Strip
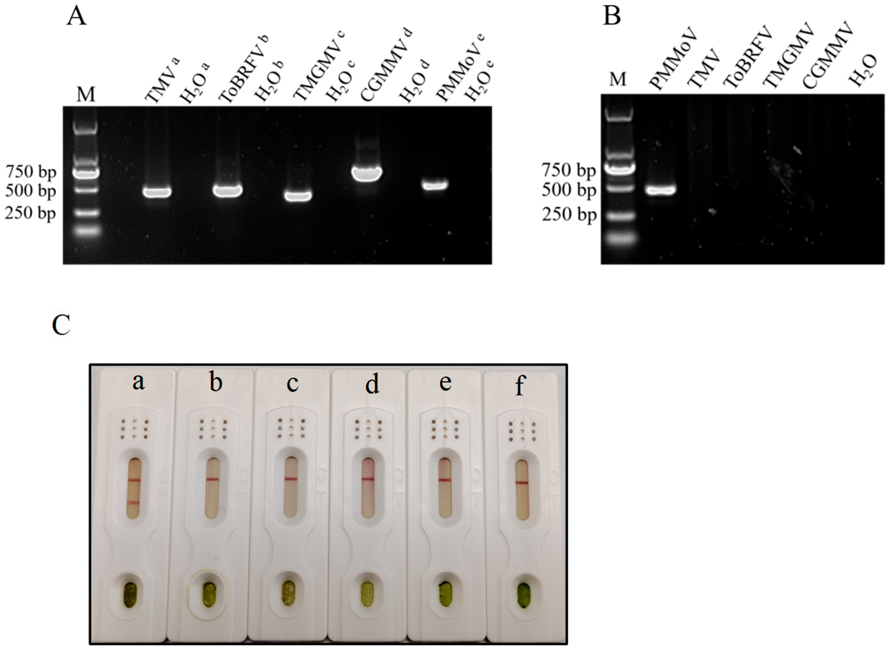
3.4.2. Specificity of the Immunochromatographic Test Strip
3.4.3. Stability of the Immunochromatographic Test Strip
3.4.4. Evaluation of Leaf Effects on Test Strips
3.5. Sample Testing
3.5.1. Inoculated Samples Testing
3.5.2. Field Sample Testing
4. Conclusions
Supplementary Materials
Author Contributions
Funding
Institutional Review Board Statement
Data Availability Statement
Conflicts of Interest
References
- Ganguly, S.; Praveen, P.K.; Para, P.A.; Sharma, V.J.A.J. Medicinal properties of chilli pepper in human diet: An editorial. J. Public Health Community Med. 2017, 2, 6–7. [Google Scholar]
- Kim, M.S.; Kim, S.; Jeon, J.; Kim, K.T.; Lee, H.A.; Lee, H.Y.; Park, J.; Seo, E.; Kim, S.B.; Yeom, S.I.; et al. Global gene expression profiling for fruit organs and pathogen infections in the pepper, Capsicum annuum L. Sci. Data 2018, 5, 180103. [Google Scholar] [CrossRef]
- Parisi, M.; Alioto, D.; Tripodi, P. Overview of biotic stresses in pepper (Capsicum spp.): Sources of genetic resistance, molecular breeding and genomics. Int. J. Mol. Sci. 2020, 21, 2587. [Google Scholar] [CrossRef] [PubMed]
- Peng, J.; Shi, B.; Zheng, H.; Lu, Y.; Lin, L.; Jiang, T.; Chen, J.; Yan, F. Detection of pepper mild mottle virus in pepper sauce in China. Arch. Virol. 2015, 160, 2079–2082. [Google Scholar] [CrossRef] [PubMed]
- Kenyon, L.; Kumar, S.; Tsai, W.S.; Hughes, J. Virus diseases of peppers (Capsicum spp.) and their control. Adv. Virus Res. 2014, 90, 297–354. [Google Scholar] [CrossRef]
- Moury, B.; Verdin, E. Viruses of pepper crops in the Mediterranean basin: A remarkable stasis. Adv. Virus Res. 2012, 84, 127–162. [Google Scholar] [CrossRef]
- Jiao, Y.; An, M.; Li, X.; Yu, M.; Zhao, X.; Xia, Z.; Wu, Y. Transcriptomic and functional analyses reveal an antiviral role of autophagy during pepper mild mottle virus infection. BMC Plant Biol. 2020, 20, 495. [Google Scholar] [CrossRef]
- Rialch, N.; Sharma, V.; Sharma, A.; Sharma, P.N. Characterization and complete nucleotide sequencing of Pepper Mild Mottle Virus infecting Bell Pepper in India. Phytoparasitica 2015, 43, 327–337. [Google Scholar] [CrossRef]
- Alonso, I.E.; Luque, G.; MAvila-Rincón, J.; Wicke, B.; Serra, M.T.; Díaz-Ruiz, J.R. A tobamovirus causing heavy losses in protected pepper crops in Spain. J. Phytopathol. 1989, 125, 67–76. [Google Scholar] [CrossRef]
- Petrov, N. Effect of pepper mild mottle virus infection on pepper and tomato plants. Sci. Technol. 2014, 4, 61–64. [Google Scholar]
- Colson, P.; Richet, H.; Desnues, C.; Balique, F.; Moal, V.; Grob, J.J.; Berbis, P.; Lecoq, H.; Harle, J.R.; Berland, Y.; et al. Pepper mild mottle virus, a plant virus associated with specific immune responses, Fever, abdominal pains, and pruritus in humans. PLoS ONE 2010, 5, e10041. [Google Scholar] [CrossRef]
- Wang, Y.; Li, X.; Liu, Y.; Wang, X.; Zhou, G. Development of a simple and effective method for specific detection of pepper mild mottle virus. Acta Virol. 2009, 53, 21–27. [Google Scholar] [CrossRef] [PubMed]
- Kumari, N.; Sharma, V.; Patel, P.; Sharma, P.N. Pepper mild mottle virus: A formidable foe of capsicum production—A review. Front. Virol. 2023, 3, 1208853. [Google Scholar] [CrossRef]
- Filipic, A.; Dobnik, D.; Tusek Znidaric, M.; Zegura, B.; Stern, A.; Primc, G.; Mozetic, M.; Ravnikar, M.; Zel, J.; Gutierrez Aguirre, I. Inactivation of pepper mild mottle virus in water by cold atmospheric plasma. Front. Microbiol. 2021, 12, 618209. [Google Scholar] [CrossRef] [PubMed]
- Patel, P.; Kumari, N.; Sharma, P.N. RT-PCR based detection of Pepper mild mottle virus from capsicum seeds and seed transmission assay. VirusDisease 2023, 34, 50–55. [Google Scholar] [CrossRef]
- Cao, Y.; Yan, D.; Zhou, H.; Han, K.; Wan, Q.; Peng, J.; Zheng, H.; Lin, L.; Yan, F.; Song, X. Achieving precise dual detection: One-tube reverse transcription-recombinase aided amplification (RT-RAA) combined with lateral flow strip (LFS) assay for RNA and DNA target genes from pepper mild mottle virus and Colletotrichum species in crude plant samples. Talanta 2025, 281, 126908. [Google Scholar] [CrossRef]
- Donoso, A.; Valenzuela, S. In-field molecular diagnosis of plant pathogens:recent trends and future perspectives. Plant Pathol. 2018, 67, 1451–1461. [Google Scholar] [CrossRef]
- Shyu, R.H.; Shyu, H.F.; Liu, H.W.; Tang, S.S.J.T. Colloidal gold-based immunochromatographic assay for detection of ricin. Toxicon 2002, 40, 255–258. [Google Scholar] [CrossRef]
- Zhou, H.; He, C.; Li, Z.; Huo, J.; Xue, Y.; Xu, X.; Qi, M.; Chen, L.; Hammock, B.D.; Zhang, J. Development of a rapid gold nanoparticle immunochromatographic strip based on the nanobody for detecting 2,4-dichlorophenoxyacetic acid. Biosensors 2022, 12, 84. [Google Scholar] [CrossRef]
- Zhang, S.W.; Sun, Y.Y.; Sun, Y.M.; Wang, H.; Li, Z.F.; Xu, Z.L. Visual upconversion nanoparticle-based immunochromatographic assay for the semi-quantitative detection of sibutramine. Anal. Bioanal. Chem. 2020, 412, 8135–8144. [Google Scholar] [CrossRef]
- Luo, L.; Liang, R.; Chen, Z.-P.; Jia, B.-Z.; Ou, A.-F.; Zhan, R.-R.; Wang, H.; Lei, H.-T.; Xu, Z.-L. Monoclonal antibody-based lateral flow immunoassay:An alternative solution for the rapid detection of formaldehyde. Food Biosci. 2025, 63, 105812. [Google Scholar] [CrossRef]
- Huang, D.Q.; Chen, R.; Wang, Y.Q.; Hong, J.; Zhou, X.P.; Wu, J.X. Development of a colloidal gold-based immunochromatographic strip for rapid detection of Rice stripe virus. J. Zhejiang Univ. Sci. B 2019, 20, 343–354. [Google Scholar] [CrossRef] [PubMed]
- Lu, J.; He, W.; Liu, Y.; Li, S.; Huang, X.; Wang, H.; Cao, X. Development of a colloidal gold-based immunochromatographic strip for rapid detection of Areca palm velarivirus 1. Front. Microbiol. 2025, 16, 1533170. [Google Scholar] [CrossRef] [PubMed]
- Ren, R.; Wang, T.; Gao, L.; Song, P.; Yang, Y.; Zhi, H.; Li, K. Development of comprehensive serological techniques for sensitive, quantitative and rapid detection of soybean mosaic virus. Int. J. Mol. Sci. 2022, 23, 9457. [Google Scholar] [CrossRef] [PubMed]
- Selvarajan, R.; Kanichelvam, P.S.; Balasubramanian, V.; Sethurama Subramanian, S. A rapid and sensitive lateral flow immunoassay (LFIA) test for the on-site detection of banana bract mosaic virus in banana plants. J. Virol. Methods 2020, 284, 113929. [Google Scholar] [CrossRef]
- Zhao, Z.; Tian, Y.; Xu, C.; Xing, Y.; Yang, L.; Qian, G.; Hua, X.; Gong, W.; Hu, B.; Wang, L. A monoclonal antibody-based immunochromatographic test strip and its application in the rapid detection of cucumber green mottle mosaic virus. Biosensors 2023, 13, 199. [Google Scholar] [CrossRef]
- Jia, B.Z.; Liu, Y.Y.; Chen, F.Y.; Tongchai, P.; Yadoung, S.; Wongta, A.; Xu, Z.L.; Luo, L.; Hongsibsong, S. Lateral flow immunochromatographic assay for rapid detection of dichlorvos residue in fruits and vegetables. Food Chem. X 2025, 28, 102613. [Google Scholar] [CrossRef]
- Chen, Z.P.; Liu, J.; Luo, L.; Jia, B.Z.; Lu, B.; Wang, W.; Shuai, P.; Xu, Z.L. Development of an Ultrasensitive Monoclonal Antibody-Based Time-Resolved Fluorescence Immunochromatographic Assay for Mebendazole Detection. J. Agric. Food Chem. 2025, 73, 27059–27068. [Google Scholar] [CrossRef]
- Contreras-Trigo, B.; Diaz-Garcia, V.; Guzman-Gutierrez, E.; Sanhueza, I.; Coelho, P.; Godoy, S.E.; Torres, S.; Oyarzun, P. Slight pH Fluctuations in the gold nanoparticle synthesis process influence the performance of the citrate reduction method. Sensors 2018, 18, 2246. [Google Scholar] [CrossRef]
- Li, J.; Sun, W.; Qin, Y.; Cui, P.; Song, G.; Hua, X.; Wang, L.; Wang, M. Inner filter effect-based immunoassay for the detection of acetamiprid using upconversion nanoparticles and gold nanoparticles. Food Agric. Immunol. 2021, 32, 740–753. [Google Scholar] [CrossRef]
- Wang, Y.; Wang, L.; Su, Z.; Xue, J.; Dong, J.; Zhang, C.; Hua, X.; Wang, M.; Liu, F. Multipath colourimetric assay for copper(II) ions utilizing MarR functionalized gold nanoparticles. Sci. Rep. 2017, 7, 41557. [Google Scholar] [CrossRef]
- Rivera, R.B.P.; Unabia, R.B.; Reazo, R.L.D.; Lapening, M.A.; Lumod, R.M.; Ruda, A.G.; Omping, J.L.; Magdadaro, M.R.D.; Sayson, N.L.B.; Latayada, F.S.; et al. Influence of the Gold Nanoparticle Size on the Colorimetric Detection of Histamine. ACS Omega 2024, 9, 33652–33661. [Google Scholar] [CrossRef]
- Sun, Y.; Wang, Y.; Li, Y.; Wang, J.; Cheng, L.; Deng, L. Effects of pH on the properties of colloidal gold labeling monoclonal antibody. Xi Bao Yu Fen Zi Mian Yi Xue Za Zhi 2014, 30, 1170–1173. [Google Scholar]
- Chen, Y.; Shen, Y.; Wang, H.; Zhang, J.; Zhu, J. A novel dual-channel immunochromatographic strip using up-conversion nanoparticles for simultaneous detection of AFB1 and ZEN in maize. Anal. Bioanal. Chem. 2023, 415, 4935–4947. [Google Scholar] [CrossRef]
- Charudattan, R.; Pettersen, M.S.; Hiebert, E. Use of Tobacco Mild Green Mosaic Virus (TMGMV) Mediated Lethal Hypersensitive Response (HR) as a Novel Method of Weed Control. U.S. Patent 6,689,718, 10 February 2004. [Google Scholar]
- Franke, C.E.; Czapar, A.E.; Patel, R.B.; Steinmetz, N.F.J.M.P. Tobacco mosaic virus-delivered cisplatin restores efficacy in platinum-resistant ovarian cancer cells. Mol. Pharm. 2017, 15, 2922–2931. [Google Scholar] [CrossRef]
- Rohde, M.J.; Niehl, A.; Ziebell, H. A novel ToBRFV cDNA full-length infectious clone provides insights on virus-host range and inoculation strategies. Plant Dis. 2025, 109, 2123–2134. [Google Scholar] [CrossRef]
- Gao, J.; Zhang, T.; Fang, Y.; Zhao, Y.; Yang, M.; Zhao, L.; Li, Y.; Huang, J.; Zhu, G.; Guo, Y. On-site rapid detection of multiple pesticide residues in tea leaves by lateral flow immunoassay. J. Pharm. Anal. 2024, 14, 276–283. [Google Scholar] [CrossRef] [PubMed]







| Method | Detection Time | Is Sample Processing Required ? | Sensitivity | Instrumentation | Is This Technique Laboratory Environment-Dependent? | Reference |
|---|---|---|---|---|---|---|
| RT-RAA-LFS a | 25 min | RNA extraction and cDNA synthesis | 0.32 copies/μL of target genes | portable toolbox: includes a metal bath, vortex oscillator, etc. | no | [16] |
| RT-PCR | more than 1 h | RNA extraction and cDNA synthesis | 0.008 µg of fresh infected tissue | vortex oscillator, the instrument about Polymerase Chain Reaction, etc. | yes | [12] |
| DAS-ELISA | more than 6 h | - | 39 µg of fresh infected tissue | washing instrument, constant-temperature incubator, etc. | yes | [12] |
| CGIS | 10 min b | - | 1 ng/mL of target protein | observation with the naked eye | no | this study |
| Factor | The Coloration Degree of the T Line | Chromatographic Speed | Background of Separation Technique | |
|---|---|---|---|---|
| Healthy Leaves | 0.05 g | − | fast | / |
| 0.1 g | − | fast | / | |
| 0.2 g | − | slow | * | |
| 0.3 g | − | slow | ** | |
| Diseased leaves | 0.05 g | ++ | fast | / |
| 0.1 g | +++ | fast | / | |
| 0.2 g | +++ | slow | * | |
| 0.3 g | +++ | slow | ** | |
Disclaimer/Publisher’s Note: The statements, opinions and data contained in all publications are solely those of the individual author(s) and contributor(s) and not of MDPI and/or the editor(s). MDPI and/or the editor(s) disclaim responsibility for any injury to people or property resulting from any ideas, methods, instructions or products referred to in the content. |
© 2026 by the authors. Licensee MDPI, Basel, Switzerland. This article is an open access article distributed under the terms and conditions of the Creative Commons Attribution (CC BY) license.
Share and Cite
Yang, X.; Han, K.; Zhang, W.; Zhang, C.; Fan, R.; Chen, T.; Jin, Y.; An, J.; Zhu, Z.; Shao, X.; et al. An Immunochromatographic Test Strip and Its Application in Rapid Screening of Pepper Mild Mottle Virus. Biosensors 2026, 16, 135. https://doi.org/10.3390/bios16030135
Yang X, Han K, Zhang W, Zhang C, Fan R, Chen T, Jin Y, An J, Zhu Z, Shao X, et al. An Immunochromatographic Test Strip and Its Application in Rapid Screening of Pepper Mild Mottle Virus. Biosensors. 2026; 16(3):135. https://doi.org/10.3390/bios16030135
Chicago/Turabian StyleYang, Xin, Kelei Han, Wenyao Zhang, Chen Zhang, Rui Fan, Tingtao Chen, Yan Jin, Jiashuo An, Zichen Zhu, Xiaolong Shao, and et al. 2026. "An Immunochromatographic Test Strip and Its Application in Rapid Screening of Pepper Mild Mottle Virus" Biosensors 16, no. 3: 135. https://doi.org/10.3390/bios16030135
APA StyleYang, X., Han, K., Zhang, W., Zhang, C., Fan, R., Chen, T., Jin, Y., An, J., Zhu, Z., Shao, X., Qian, G., Yan, D., & Wang, L. (2026). An Immunochromatographic Test Strip and Its Application in Rapid Screening of Pepper Mild Mottle Virus. Biosensors, 16(3), 135. https://doi.org/10.3390/bios16030135

