Repeated Injection of Very Small Superparamagnetic Iron Oxide Particles (VSOPs) in Murine Atherosclerosis: A Safety Study
Abstract
1. Introduction
2. Materials and Methods
2.1. Reagents and Nanoparticles
2.2. Ex Vivo MRI
2.3. In Vivo MRI
2.4. Animals and Dosing Regimen
2.5. Histology
2.6. Magnetic Particle Spectroscopy
2.7. Tissue Iron Content
2.8. Serum Cholesterol and Triglyceride Measurement
2.9. Western Blot Analyses of Hepatic Proteins of Iron Storage and Transport
2.10. Statistics
3. Results
3.1. VSOP-T Characterization and Vascular Imaging
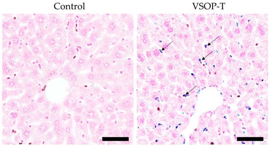
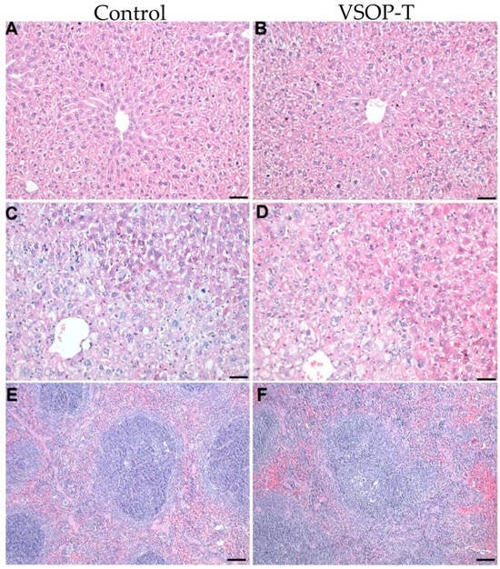
3.2. Iron Distribution and Pathology
3.3. Impact on Atherosclerotic Plaques
4. Discussion
Limitations
5. Conclusions
Author Contributions
Funding
Data Availability Statement
Conflicts of Interest
Appendix A

Appendix B

Appendix C

References
- FDA Drug Safety Communication: FDA Warns That Gadolinium-Based Contrast Agents (GBCAs) Are Retained in the Body; Requires New Class Warnings. Available online: https://www.fda.gov/drugs/drug-safety-and-availability/fda-drug-safety-communication-fda-warns-gadolinium-based-contrast-agents-gbcas-are-retained-body (accessed on 16 May 2018).
- Leyba, K.; Wagner, B. Gadolinium-based contrast agents: Why nephrologists need to be concerned. Curr. Opin. Nephrol. Hypertens. 2019, 28, 154–162. [Google Scholar] [CrossRef] [PubMed]
- Calcagno, C.; Ramachandran, S.; Millon, A.; Robson, P.M.; Mani, V.; Fayad, Z. Gadolinium-Based Contrast Agents for Vessel Wall Magnetic Resonance Imaging (MRI) of Atherosclerosis. Curr. Cardiovasc. Imaging Rep. 2013, 6, 11–24. [Google Scholar] [CrossRef]
- Citrate-coated (184(th) variant) very small superparamagnetic iron oxide particles. In Molecular Imaging and Contrast Agent Database (MICAD); National Center for Biotechnology Information (US): Bethesda, MD, USA, 2004.
- Choi, H.S.; Liu, W.; Misra, P.; Tanaka, E.; Zimmer, J.P.; Itty Ipe, B.; Bawendi, M.G.; Frangioni, J.V. Renal clearance of quantum dots. Nat. Biotechnol. 2007, 25, 1165–1170. [Google Scholar] [CrossRef]
- Wagner, S.; Schnorr, J.; Ludwig, A.; Stangl, V.; Ebert, M.; Hamm, B.; Taupitz, M. Contrast-enhanced MR imaging of atherosclerosis using citrate-coated superparamagnetic iron oxide nanoparticles: Calcifying microvesicles as imaging target for plaque characterization. Int. J. Nanomed. 2013, 8, 767–779. [Google Scholar] [CrossRef][Green Version]
- Berndt, D.; Millward, J.M.; Schnorr, J.; Taupitz, M.; Stangl, V.; Paul, F.; Wagner, S.; Wuerfel, J.T.; Sack, I.; Ludwig, A.; et al. Inflammation-induced brain endothelial activation leads to uptake of electrostatically stabilized iron oxide nanoparticles via sulfated glycosaminoglycans. Nanomedicine 2017, 13, 1411–1421. [Google Scholar] [CrossRef]
- Poller, W.C.; Pieber, M.; Boehm-Sturm, P.; Ramberger, E.; Karampelas, V.; Moller, K.; Schleicher, M.; Wiekhorst, F.; Lowa, N.; Wagner, S.; et al. Very small superparamagnetic iron oxide nanoparticles: Long-term fate and metabolic processing in atherosclerotic mice. Nanomedicine 2018, 14, 2575–2586. [Google Scholar] [CrossRef] [PubMed]
- Rocha, J.M.V.; de Souza, V.B.; Panunto, P.C.; Nicolosi, J.S.; da Silva, E.D.N.; Cadore, S.; Londono, O.M.; Muraca, D.; Tancredi, P.; de Brot, M.; et al. In vitro and in vivo acute toxicity of a novel citrate-coated magnetite nanoparticle. PLoS ONE 2022, 17, e0277396. [Google Scholar] [CrossRef]
- Kempf, T.; Wollert, K.C. Iron and atherosclerosis: Too much of a good thing can be bad. Eur. Heart J. 2020, 41, 2696–2698. [Google Scholar] [CrossRef] [PubMed]
- Rund, D. Intravenous iron: Do we adequately understand the short- and long-term risks in clinical practice? Br. J. Haematol. 2021, 193, 466–480. [Google Scholar] [CrossRef]
- Segers, F.M.E.; Ruder, A.V.; Westra, M.M.; Lammers, T.; Dadfar, S.M.; Roemhild, K.; Lam, T.S.; Kooi, M.E.; Cleutjens, K.; Verheyen, F.K.; et al. Magnetic resonance imaging contrast-enhancement with superparamagnetic iron oxide nanoparticles amplifies macrophage foam cell apoptosis in human and murine atherosclerosis. Cardiovasc. Res. 2023, 118, 3346–3359. [Google Scholar] [CrossRef]
- Sullivan, J.L. Iron in arterial plaque: Modifiable risk factor for atherosclerosis. Biochim. Biophys. Acta 2009, 1790, 718–723. [Google Scholar] [CrossRef] [PubMed]
- de Schellenberger, A.A.; Hauptmann, R.; Millward, J.M.; Schellenberger, E.; Kobayashi, Y.; Taupitz, M.; Infante-Duarte, C.; Schnorr, J.; Wagner, S. Synthesis of europium-doped VSOP, customized enhancer solution and improved microscopy fluorescence methodology for unambiguous histological detection. J. Nanobiotechnol. 2017, 15, 71. [Google Scholar] [CrossRef] [PubMed]
- Lowa, N.; Wiekhorst, F.; Metzkow, S.; Ludwig, A.; Trahms, L. Magnetic Particle Spectroscopy for the Quantification of Magnetic Nanoparticles in Living Cells. Biomed. Tech. 2013, 58 (Suppl. 1). [Google Scholar] [CrossRef] [PubMed]
- Fish, W.W. Rapid colorimetric micromethod for the quantitation of complexed iron in biological samples. Methods Enzymol. 1988, 158, 357–364. [Google Scholar] [CrossRef] [PubMed]
- Camargo, F.N.; Matos, S.L.; Araujo, L.C.C.; Carvalho, C.R.O.; Amaral, A.G.; Camporez, J.P. Western Diet-Fed ApoE Knockout Male Mice as an Experimental Model of Non-Alcoholic Steatohepatitis. Curr. Issues Mol. Biol. 2022, 44, 4692–4703. [Google Scholar] [CrossRef] [PubMed]
- Schaffer, S.; Kim, H.W. Effects and Mechanisms of Taurine as a Therapeutic Agent. Biomol. Ther. 2018, 26, 225–241. [Google Scholar] [CrossRef] [PubMed]
- Kooi, M.E.; Cappendijk, V.C.; Cleutjens, K.B.; Kessels, A.G.; Kitslaar, P.J.; Borgers, M.; Frederik, P.M.; Daemen, M.J.; van Engelshoven, J.M. Accumulation of ultrasmall superparamagnetic particles of iron oxide in human atherosclerotic plaques can be detected by in vivo magnetic resonance imaging. Circulation 2003, 107, 2453–2458. [Google Scholar] [CrossRef] [PubMed]
- Ruehm, S.G.; Corot, C.; Vogt, P.; Kolb, S.; Debatin, J.F. Magnetic resonance imaging of atherosclerotic plaque with ultrasmall superparamagnetic particles of iron oxide in hyperlipidemic rabbits. Circulation 2001, 103, 415–422. [Google Scholar] [CrossRef] [PubMed]
- Vazquez-Prada, K.X.; Lam, J.; Kamato, D.; Xu, Z.P.; Little, P.J.; Ta, H.T. Targeted Molecular Imaging of Cardiovascular Diseases by Iron Oxide Nanoparticles. Arterioscler. Thromb. Vasc. Biol. 2021, 41, 601–613. [Google Scholar] [CrossRef]
- Pang, J.H.; Jiang, M.J.; Chen, Y.L.; Wang, F.W.; Wang, D.L.; Chu, S.H.; Chau, L.Y. Increased ferritin gene expression in atherosclerotic lesions. J. Clin. Investig. 1996, 97, 2204–2212. [Google Scholar] [CrossRef]
- Schwartz, C.J.; Ardie, N.G.; Carter, R.F.; Paterson, J.C. Gross aortic sudanophilia and hemosiderin deposition. A study on infants, children, and young adults. Arch. Pathol. 1967, 83, 325–332. [Google Scholar] [PubMed]
- Smith, C.; Mitchinson, M.J.; Aruoma, O.I.; Halliwell, B. Stimulation of lipid peroxidation and hydroxyl-radical generation by the contents of human atherosclerotic lesions. Biochem. J. 1992, 286 Pt 3, 901–905. [Google Scholar] [CrossRef] [PubMed]
- Sullivan, J.L. Iron and the sex difference in heart disease risk. Lancet 1981, 1, 1293–1294. [Google Scholar] [CrossRef] [PubMed]
- Guo, Q.; Qian, C.; Qian, Z.M. Iron metabolism and atherosclerosis. Trends Endocrinol. Metab. 2023, 34, 404–413. [Google Scholar] [CrossRef] [PubMed]
- Liao, Y.; Cooper, R.S.; McGee, D.L. Iron status and coronary heart disease: Negative findings from the NHANES I epidemiologic follow-up study. Am. J. Epidemiol. 1994, 139, 704–712. [Google Scholar] [CrossRef]
- Sempos, C.T.; Looker, A.C.; Gillum, R.F.; Makuc, D.M. Body iron stores and the risk of coronary heart disease. N. Engl. J. Med. 1994, 330, 1119–1124. [Google Scholar] [CrossRef]
- Munoz-Bravo, C.; Gutierrez-Bedmar, M.; Gomez-Aracena, J.; Garcia-Rodriguez, A.; Navajas, J.F. Iron: Protector or risk factor for cardiovascular disease? Still controversial. Nutrients 2013, 5, 2384–2404. [Google Scholar] [CrossRef]
- Dabbagh, A.J.; Shwaery, G.T.; Keaney, J.F., Jr.; Frei, B. Effect of iron overload and iron deficiency on atherosclerosis in the hypercholesterolemic rabbit. Arterioscler. Thromb. Vasc. Biol. 1997, 17, 2638–2645. [Google Scholar] [CrossRef]
- Kirk, E.A.; Heinecke, J.W.; LeBoeuf, R.C. Iron overload diminishes atherosclerosis in apoE-deficient mice. J. Clin. Investig. 2001, 107, 1545–1553. [Google Scholar] [CrossRef]
- Vinchi, F.; Porto, G.; Simmelbauer, A.; Altamura, S.; Passos, S.T.; Garbowski, M.; Silva, A.M.N.; Spaich, S.; Seide, S.E.; Sparla, R.; et al. Atherosclerosis is aggravated by iron overload and ameliorated by dietary and pharmacological iron restriction. Eur. Heart J. 2020, 41, 2681–2695. [Google Scholar] [CrossRef]
- VanderLaan, P.A.; Reardon, C.A.; Getz, G.S. Site specificity of atherosclerosis: Site-selective responses to atherosclerotic modulators. Arterioscler. Thromb. Vasc. Biol. 2004, 24, 12–22. [Google Scholar] [CrossRef] [PubMed]








| Liver | Spleen | Lung | Kidney | |||||
|---|---|---|---|---|---|---|---|---|
| Control | VSOP-T | Control | VSOP-T | Control | VSOP-T | Control | VSOP-T | |
| Iron (mg/g) | 0.10 ± 0.02 | 0.14 ± 0.03 * | 0.47 ± 0.07 | 0.78 ± 0.24 ** | 0.032 ± 0.003 | 0.029 ± 0.002 | 0.041 ± 0.006 | 0.042 ± 0.004 |
| VSOP (µg/g) | n.d. | 18.28 ± 16.26 | n.d. | 23.25 ± 21.59 | n.d. | 0.72 ± 2.29 | n.d. | n.d. |
| Steatohepatitis Score | ||
|---|---|---|
| Control | VSOP-T | |
| Macrovesicular Steatosis | 0.20 ± 0.42 | 0.10 ± 0.32 |
| Microvesicular Steatosis | 1.40 ± 1.17 | 2.00 ± 0.82 |
| Hypertrophy | 1.70 ± 1.16 | 1.70 ± 0.82 |
| Inflammatory foci | 1.10 ± 1.37 | 1.20 ± 1.14 |
| Brachiocephalic Trunk | Aortic Arch | Aortic Root | ||||
|---|---|---|---|---|---|---|
| Control | VSOP-T | Control | VSOP-T | Control | VSOP-T | |
| Lumen (mm2) | 0.04 ± 0.03 | 0.05 ± 0.01 | 0.73 ± 0.26 | 0.67 ± 0.2 | 0.41 ± 0.14 | 0.41 ± 0.17 |
| Neointima (mm2) | 0.14 ± 0.04 | 0.13 ± 0.06 | 0.24 ± 0.16 | 0.22 ± 0.09 | ||
| Media (mm2) | 0.09 ± 0.02 | 0.10 ± 0.01 | 0.51 ± 0.11 | 0.53 ± 0.16 | ||
| Neointima + Media (mm2) | 0.24 ± 0.05 | 0.23 ± 0.07 | 0.75 ± 0.25 | 0.74 ± 0.21 | 0.65 ± 0.21 | 0.63 ± 0.1 |
| Intima/Media Ratio | 1.53 ± 0.56 | 1.36 ± 0.67 | 0.46 ± 0.24 | 0.44 ± 0.13 | ||
| Lumen Loss (%) | 78.56 ± 13.75 | 70.65 ± 12.49 | 26.41 ± 13.47 | 25.71 ± 8.67 | ||
| Max. Neointima Thickness (mm) | 0.24 ± 0.06 | 0.24 ± 0.09 | 0.20 ± 0.09 | 0.22 ± 0.05 | ||
| Lipid Core (mm2) | 0.03 ± 0.02 | 0.03 ± 0.04 | 0.03 ± 0.03 | 0.03 ± 0.02 | 0.01 ± 0.01 | 0.01 ± 0.01 |
| Min. Fibrous Cap | 0.03 ± 0.02 | 0.02 ± 0.02 | 0.02 ± 0.01 | 0.02 ± 0.02 | 0.02 ± 0.02 | 0.014 ± 0.01 |
Disclaimer/Publisher’s Note: The statements, opinions and data contained in all publications are solely those of the individual author(s) and contributor(s) and not of MDPI and/or the editor(s). MDPI and/or the editor(s) disclaim responsibility for any injury to people or property resulting from any ideas, methods, instructions or products referred to in the content. |
© 2024 by the authors. Licensee MDPI, Basel, Switzerland. This article is an open access article distributed under the terms and conditions of the Creative Commons Attribution (CC BY) license (https://creativecommons.org/licenses/by/4.0/).
Share and Cite
Haase, T.; Ludwig, A.; Stach, A.; Mohtashamdolatshahi, A.; Hauptmann, R.; Mundhenk, L.; Kratz, H.; Metzkow, S.; Kader, A.; Freise, C.; et al. Repeated Injection of Very Small Superparamagnetic Iron Oxide Particles (VSOPs) in Murine Atherosclerosis: A Safety Study. Nanomaterials 2024, 14, 773. https://doi.org/10.3390/nano14090773
Haase T, Ludwig A, Stach A, Mohtashamdolatshahi A, Hauptmann R, Mundhenk L, Kratz H, Metzkow S, Kader A, Freise C, et al. Repeated Injection of Very Small Superparamagnetic Iron Oxide Particles (VSOPs) in Murine Atherosclerosis: A Safety Study. Nanomaterials. 2024; 14(9):773. https://doi.org/10.3390/nano14090773
Chicago/Turabian StyleHaase, Tobias, Antje Ludwig, Anke Stach, Azadeh Mohtashamdolatshahi, Ralf Hauptmann, Lars Mundhenk, Harald Kratz, Susanne Metzkow, Avan Kader, Christian Freise, and et al. 2024. "Repeated Injection of Very Small Superparamagnetic Iron Oxide Particles (VSOPs) in Murine Atherosclerosis: A Safety Study" Nanomaterials 14, no. 9: 773. https://doi.org/10.3390/nano14090773
APA StyleHaase, T., Ludwig, A., Stach, A., Mohtashamdolatshahi, A., Hauptmann, R., Mundhenk, L., Kratz, H., Metzkow, S., Kader, A., Freise, C., Mueller, S., Stolzenburg, N., Radon, P., Liebl, M., Wiekhorst, F., Hamm, B., Taupitz, M., & Schnorr, J. (2024). Repeated Injection of Very Small Superparamagnetic Iron Oxide Particles (VSOPs) in Murine Atherosclerosis: A Safety Study. Nanomaterials, 14(9), 773. https://doi.org/10.3390/nano14090773

