Catalytic Nanomedicine as a Therapeutic Approach to Brain Tumors: Main Hypotheses for Mechanisms of Action
Abstract
1. Introduction
2. Traditional Nanomedicine in Brain Tumors: Enhanced Drug Delivery
3. Catalytic Nanomedicine in Brain Tumors
3.1. Bionanocatalysts
3.2. Structure of Onco-Bionanocatalysts
3.3. Selectivity through Receptor-Recognition
3.4. Transport towards Mitochondria
3.5. Catalytic Bond-Breakage in Nucleic Acids
3.6. Apoptosis-like Death
3.7. Biocompatibility of Onco-Bionanocatalysts
4. Clinical Case of GBM Treated with Onco-Bionanocatalysts
4.1. Clinical Story
4.2. Treatment
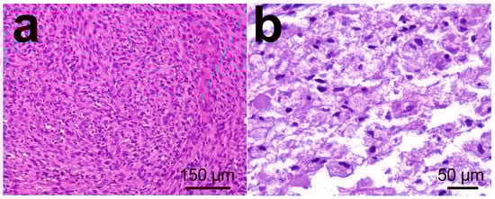
4.3. Histology Analysis
4.4. Results and Prognosis
4.5. Other Evidences in Solid Tumors
5. Perspectives and Challenges
6. Conclusions
Author Contributions
Funding
Institutional Review Board Statement
Informed Consent Statement
Data Availability Statement
Acknowledgments
Conflicts of Interest
References
- Miller, K.D.; Ostrom, Q.T.; Kruchko, C.; Patil, N.; Tihan, T.; Cioffi, G.; Fuchs, H.E.; Waite, K.A.; Jemal, A.; Siegel, R.L.; et al. Brain and Other Central Nervous System Tumor Statistics, 2021. CA Cancer J. Clin. 2021, 71, 381–406. [Google Scholar] [CrossRef]
- Pellerino, A.; Caccese, M.; Padovan, M.; Cerretti, G.; Lombardi, G. Epidemiology, Risk Factors, and Prognostic Factors of Gliomas. Clin. Transl. Imaging 2022, 10, 467–475. [Google Scholar] [CrossRef]
- Molinaro, A.M.; Taylor, J.W.; Wiencke, J.K.; Wrensch, M.R. Genetic and Molecular Epidemiology of Adult Diffuse Glioma. Nat. Rev. Neurol. 2019, 15, 405–417. [Google Scholar] [CrossRef]
- WHO Classification of Tumours Editorial Board. Central Nervous System Tumours: WHO Classification of Tumours, 5th ed.; World Health Organization: Lyon, France, 2021; Volume 6. [Google Scholar]
- Grochans, S.; Cybulska, A.M.; Simińska, D.; Korbecki, J.; Kojder, K.; Chlubek, D.; Baranowska-Bosiacka, I. Epidemiology of Glioblastoma Multiforme–Literature Review. Cancers 2022, 14, 2412. [Google Scholar] [CrossRef]
- Ostrom, Q.T.; Gittleman, H.; Farah, P.; Ondracek, A.; Chen, Y.; Wolinsky, Y.; Stroup, N.E.; Kruchko, C.; Barnholtz-Sloan, J.S. CBTRUS Statistical Report: Primary Brain and Central Nervous System Tumors Diagnosed in the United States in 2006–2010. Neuro-Oncology 2013, 15, ii1–ii56. [Google Scholar] [CrossRef]
- Grech, N.; Dalli, T.; Mizzi, S.; Meilak, L.; Calleja, N.; Zrinzo, A. Rising Incidence of Glioblastoma Multiforme in a Well-Defined Population. Cureus 2020, 12, e8195. [Google Scholar] [CrossRef] [PubMed]
- Leo, R.J.; Frodey, J.N.; Ruggieri, M.L. Subtle Neuropsychiatric Symptoms of Glioblastoma Multiforme Misdiagnosed as Depression. BMJ Case Rep. 2020, 13, e233208. [Google Scholar] [CrossRef]
- Wen, P.Y.; Kesari, S. Malignant Gliomas in Adults. N. Engl. J. Med. 2008, 359, 492–507. [Google Scholar] [CrossRef]
- Alifieris, C.; Trafalis, D.T. Glioblastoma Multiforme: Pathogenesis and Treatment. Pharmacol. Ther. 2015, 152, 63–82. [Google Scholar] [CrossRef] [PubMed]
- Wu, W.; Klockow, J.L.; Zhang, M.; Lafortune, F.; Chang, E.; Jin, L.; Wu, Y.; Daldrup-Link, H.E. Glioblastoma Multiforme (GBM): An Overview of Current Therapies and Mechanisms of Resistance. Pharm. Res. 2021, 171, 105780. [Google Scholar] [CrossRef]
- Montemurro, N. Glioblastoma Multiforme and Genetic Mutations: The Issue Is Not Over Yet. An Overview of the Current Literature. J. Neurol. Surg. A Cent. Eur. Neurosurg. 2020, 81, 64–70. [Google Scholar] [CrossRef] [PubMed]
- Quader, S.; Kataoka, K.; Cabral, H. Nanomedicine for Brain Cancer. Adv. Drug Deliv. Rev. 2022, 182, 114115. [Google Scholar] [CrossRef]
- Mi, P.; Miyata, K.; Kataoka, K.; Cabral, H. Self-Assembled Nanomedicines: Clinical Translation of Self-Assembled Cancer Nanomedicines (Adv. Therap. 1/2021). Adv. Ther. 2021, 4, 2170001. [Google Scholar] [CrossRef]
- Mitchell, M.J.; Billingsley, M.M.; Haley, R.M.; Wechsler, M.E.; Peppas, N.A.; Langer, R. Engineering Precision Nanoparticles for Drug Delivery. Nat. Rev. Drug Discov. 2021, 20, 101–124. [Google Scholar] [CrossRef] [PubMed]
- Quader, S.; Kataoka, K. Nanomaterial-Enabled Cancer Therapy. Mol. Ther. 2017, 25, 1501–1513. [Google Scholar] [CrossRef] [PubMed]
- Jena, L.; McErlean, E.; McCarthy, H. Delivery across the Blood-Brain Barrier: Nanomedicine for Glioblastoma Multiforme. Drug Deliv. Transl. Res. 2020, 10, 304–318. [Google Scholar] [CrossRef]
- López-Goerne, T.M.; Padilla-Godínez, F.J.; Castellanos, M.; Perez-Davalos, L.A. Catalytic Nanomedicine: A Brief Review of Bionanocatalysts. Nanomedicine 2022, 17, 1131–1156. [Google Scholar] [CrossRef]
- Tam, V.H.; Sosa, C.; Liu, R.; Yao, N.; Priestley, R.D. Nanomedicine as a Non-Invasive Strategy for Drug Delivery across the Blood Brain Barrier. Int. J. Pharm. 2016, 515, 331–342. [Google Scholar] [CrossRef]
- Narum, S.M.; Le, T.; Le, D.P.; Lee, J.C.; Donahue, N.D.; Yang, W.; Wilhelm, S. Passive Targeting in Nanomedicine: Fundamental Concepts, Body Interactions, and Clinical Potential. In Nanoparticles for Biomedical Applications; Elsevier: Amsterdam, The Netherlands, 2020; pp. 37–53. [Google Scholar]
- Cianfrocca, M.; Kaklamani, V.; Rosen, S.; von Roenn, J.; Rademaker, A.; Rubin, S.; Friedman, R.; Uthe, R.; Gradishar, W. A Phase I Trial of a Pegylated Liposomal Anthracycline (DoxilTM) and Lapatinib Combination in the Treatment of Metastatic Breast Cancer: Dose-Escalation Results of an Anthracycline and Lapatinib Combination Trial. Cancer Res. 2009, 69, 3096. [Google Scholar] [CrossRef]
- McMenemin, R.; Macdonald, G.; Moffat, L.; Bissett, D. A Phase II Study of CaelyxTM (Liposomal Doxorubicin) in Metastatic Carcinoma of the Prostate: Tolerability and Efficacy Modification by Liposomal Encapsulation. Investig. New Drugs 2002, 20, 331–337. [Google Scholar] [CrossRef]
- Federico, M.; Dyer, M.J.S.; Caballero, M.D.; Reilly, C.; Thiel, E. The MYOCAN Study. A Phase II Study of Cyclophosphamide, Oncovin, MyocetTM, and Prednisone Plus Rituximab (R-COMP) in the Treatment of Elderly Patients with Diffuse Large B-Cell Non-Hodgkin Lymphoma (DLBCL). Blood 2004, 104, 4586. [Google Scholar] [CrossRef]
- Hoeger, C.W.; Turissini, C.; Asnani, A. Doxorubicin Cardiotoxicity: Pathophysiology Updates. Curr. Treat. Options Cardiovasc. Med. 2020, 22, 52. [Google Scholar] [CrossRef]
- O’Brien, M.E.R.; Wigler, N.; Inbar, M.; Rosso, R.; Grischke, E.; Santoro, A.; Catane, R.; Kieback, D.G.; Tomczak, P.; Ackland, S.P.; et al. Reduced Cardiotoxicity and Comparable Efficacy in a Phase IIItrial of Pegylated Liposomal Doxorubicin HCl(CAELYXTM/Doxil®) versus Conventional Doxorubicin Forfirst-Line Treatment of Metastatic Breast Cancer. Ann. Oncol. 2004, 15, 440–449. [Google Scholar] [CrossRef]
- Carvalho, C.; Santos, R.; Cardoso, S.; Correia, S.; Oliveira, P.; Santos, M.; Moreira, P. Doxorubicin: The Good, the Bad and the Ugly Effect. Curr. Med. Chem. 2009, 16, 3267–3285. [Google Scholar] [CrossRef]
- Xu, M.F.; Tang, P.L.; Qian, Z.M.; Ashraf, M. Effects by Doxorubicin on the Myocardium Are Mediated by Oxygen Free Radicals. Life Sci. 2001, 68, 889–901. [Google Scholar] [CrossRef] [PubMed]
- Gabizon, A.; Papahadjopoulos, D. Liposome Formulations with Prolonged Circulation Time in Blood and Enhanced Uptake by Tumors. Proc. Natl. Acad. Sci. USA 1988, 85, 6949–6953. [Google Scholar] [CrossRef]
- Wibroe, P.P.; Ahmadvand, D.; Oghabian, M.A.; Yaghmur, A.; Moghimi, S.M. An Integrated Assessment of Morphology, Size, and Complement Activation of the PEGylated Liposomal Doxorubicin Products Doxil®, Caelyx®, DOXOrubicin, and SinaDoxosome. J. Control. Release 2016, 221, 1–8. [Google Scholar] [CrossRef] [PubMed]
- Leonard, R.C.F.; Williams, S.; Tulpule, A.; Levine, A.M.; Oliveros, S. Improving the Therapeutic Index of Anthracycline Chemotherapy: Focus on Liposomal Doxorubicin (MyocetTM). Breast 2009, 18, 218–224. [Google Scholar] [CrossRef]
- Perez, A.T.; Domenech, G.H.; Frankel, C.; Vogel, C.L. Pegylated Liposomal Doxorubicin (Doxil ®) for Metastatic Breast Cancer: The Cancer Research Network, Inc., Experience. Cancer Investig. 2002, 20, 22–29. [Google Scholar] [CrossRef]
- Tejada-Berges, T.; Granai, C.; Gordinier, M.; Gajewski, W. Caelyx/Doxil for the Treatment of Metastatic Ovarian and Breast Cancer. Expert Rev. Anticancer 2002, 2, 143–150. [Google Scholar] [CrossRef]
- Batist, G.; Barton, J.; Chaikin, P.; Swenson, C.; Welles, L. Myocet (Liposome-Encapsulated Doxorubicin Citrate): A New Approach in Breast Cancer Therapy. Expert Opin. Pharm. 2002, 3, 1739–1751. [Google Scholar] [CrossRef]
- Forssen, E.A. The Design and Development of DaunoXome® for Solid Tumor Targeting In Vivo. Adv. Drug Deliv. Rev. 1997, 24, 133–150. [Google Scholar] [CrossRef]
- Laurent, G.; Jaffrézou, J.-P. Signaling Pathways Activated by Daunorubicin. Blood 2001, 98, 913–924. [Google Scholar] [CrossRef]
- Ax, W.; Soldan, M.; Koch, L.; Maser, E. Development of Daunorubicin Resistance in Tumour Cells by Induction of Carbonyl Reduction. Biochem. Pharm. 2000, 59, 293–300. [Google Scholar] [CrossRef]
- Alves, A.C.; Ribeiro, D.; Horta, M.; Lima, J.L.F.C.; Nunes, C.; Reis, S. A Biophysical Approach to Daunorubicin Interaction with Model Membranes: Relevance for the Drug’s Biological Activity. J. R. Soc. Interface 2017, 14, 20170408. [Google Scholar] [CrossRef]
- Rosenthal, E.; Poizot-Martin, I.; Saint-Marc, T.; Spano, J.-P.; Cacoub, P. Phase IV Study of Liposomal Daunorubicin (DaunoXome) in AIDS-Related Kaposi Sarcoma. Am. J. Clin. Oncol. 2002, 25, 57–59. [Google Scholar] [CrossRef]
- Anderson, P.M.; Tomaras, M.; McConnell, K. Mifamurtide in Osteosarcoma—A Practical Review. Drugs Today 2010, 46, 327. [Google Scholar] [CrossRef]
- Reinhold, U.; Dirschka, T.; Ostendorf, R.; Aschoff, R.; Berking, C.; Philipp-Dormston, W.G.; Hahn, S.; Lau, K.; Jäger, A.; Schmitz, B.; et al. A Randomized, Double-blind, Phase III, Multicentre Study to Evaluate the Safety and Efficacy of BF-200 ALA (Ameluz®) vs. Placebo in the Field-directed Treatment of Mild-to-moderate Actinic Keratosis with Photodynamic Therapy (PDT) When Using the BF-Rhodo LED® Lamp. Br. J. Dermatol. 2016, 175, 696–705. [Google Scholar] [CrossRef] [PubMed]
- Bai-Habelski, J.C.; Medrano, K.; Palacio, A.; Reinhold, U. No Room for Pain: A Prospective Study Showing Effective and Nearly Pain-Free Treatment of Actinic Keratosis with Simulated Daylight Photodynamic Therapy (SDL-PDT) Using the IndoorLux® System in Combination with BF-200 ALA (Ameluz®). Photodiagnosis Photodyn. 2022, 37, 102692. [Google Scholar] [CrossRef]
- Silverman, J.A.; Deitcher, S.R. Marqibo® (Vincristine Sulfate Liposome Injection) Improves the Pharmacokinetics and Pharmacodynamics of Vincristine. Cancer Chemother. Pharm. 2013, 71, 555–564. [Google Scholar] [CrossRef] [PubMed]
- Rodriguez, M.A.; Pytlik, R.; Kozak, T.; Chhanabhai, M.; Gascoyne, R.; Lu, B.; Deitcher, S.R.; Winter, J.N. Vincristine Sulfate Liposomes Injection (Marqibo) in Heavily Pretreated Patients with Refractory Aggressive Non-Hodgkin Lymphoma. Cancer 2009, 115, 3475–3482. [Google Scholar] [CrossRef]
- Shah, N.N.; Merchant, M.S.; Cole, D.E.; Jayaprakash, N.; Bernstein, D.; Delbrook, C.; Richards, K.; Widemann, B.C.; Wayne, A.S. Vincristine Sulfate Liposomes Injection (VSLI, Marqibo®): Results from a Phase I Study in Children, Adolescents, and Young Adults with Refractory Solid Tumors or Leukemias. Pediatr. Blood Cancer 2016, 63, 997–1005. [Google Scholar] [CrossRef]
- Passero, F.C.; Grapsa, D.; Syrigos, K.N.; Saif, M.W. The Safety and Efficacy of Onivyde (Irinotecan Liposome Injection) for the Treatment of Metastatic Pancreatic Cancer Following Gemcitabine-Based Therapy. Expert Rev. Anticancer 2016, 16, 697–703. [Google Scholar] [CrossRef]
- Tzogani, K.; Penttilä, K.; Lapveteläinen, T.; Hemmings, R.; Koenig, J.; Freire, J.; Márcia, S.; Cole, S.; Coppola, P.; Flores, B.; et al. EMA Review of Daunorubicin and Cytarabine Encapsulated in Liposomes (Vyxeos, CPX-351) for the Treatment of Adults with Newly Diagnosed, Therapy-Related Acute Myeloid Leukemia or Acute Myeloid Leukemia with Myelodysplasia-Related Changes. Oncologist 2020, 25, e1414–e1420. [Google Scholar] [CrossRef]
- Ilyas, R.; McCullough, K.; Badar, T.; Patnaik, M.M.; Alkhateeb, H.; Mangaonkar, A.; Pardanani, A.; Tefferi, A.; Gangat, N. CPX-351 (VyxeosTM) Treatment in Blast-Phase Myeloproliferative Neoplasm (MPN-BP): Real-World Experience in 12 Consecutive Cases. Blood Cancer J. 2023, 13, 26. [Google Scholar] [CrossRef]
- Wicki, A.; Witzigmann, D.; Balasubramanian, V.; Huwyler, J. Nanomedicine in Cancer Therapy: Challenges, Opportunities, and Clinical Applications. J. Control. Release 2015, 200, 138–157. [Google Scholar] [CrossRef]
- Al-Hatamleh, M.A.I.; Ahmad, S.; Boer, J.C.; Lim, J.; Chen, X.; Plebanski, M.; Mohamud, R. A Perspective Review on the Role of Nanomedicine in the Modulation of TNF-TNFR2 Axis in Breast Cancer Immunotherapy. J. Oncol. 2019, 2019, 1–13. [Google Scholar] [CrossRef]
- López Goerne, T.M. Nanomedicina Catalítica: Ciencia y Cáncer, 1st ed.; Arkhé Ediciones: Ciudad de México, México, 2013. [Google Scholar]
- Manríquez, M.E.; López, T.; Gomez, R.; Picquart, M.; Hernández-Cortez, J.G. Sol-Gel Silica Modified with Phosphate and Sulfate Ions. J. Non Cryst. Solids 2004, 345–346, 643–646. [Google Scholar] [CrossRef]
- López, T.; Cuevas, J.L.; Ilharco, L.; Ramírez, P.; Rodríguez Reinoso, F.; Rodríguez-Castelleón, E. XPS Characterization and E. Coli DNA Degradation Using Functionalized Cu/TiO2 Nanobiocatalysts. Mol. Catal. 2018, 449, 52–71. [Google Scholar] [CrossRef]
- López Goerne, T.M.; Alvarez Lemus, M.A.; Angeles Morales, V.; Gómez López, E.; Castillo Ocampo, P. Study of Bacterial Sensitivity to Ag-TiO2 Nanoparticles. J. Nanomed. Nanotechnol. 2012, S5, 1–7. [Google Scholar] [CrossRef]
- López Goerne, T.M. Nanotecnología y Nanomedicina: La. Ciencia Del. Futuro... Hoy, 1st ed.; Arkhé Ediciones: Ciudad de México, Mexico, 2011; ISBN 978-607-7781-20-2. [Google Scholar]
- López, T.; Asomoza, M.; Razo, L.; Gómez, R. Study of the Formation of Silicoaluminates by the Sol-Gel Method, by Means of IR, DTA and TGA. J. Non Cryst. Solids 1989, 108, 45–48. [Google Scholar] [CrossRef]
- López, T.; Ortiz, E.; Guevara, P.; Gómez, E.; Novaro, O. Physicochemical Characterization of Functionalized-Nanostructured-Titania as a Carrier of Copper Complexes for Cancer Treatment. Mater. Chem. Phys. 2014, 146, 37–49. [Google Scholar] [CrossRef]
- Peterson, A.; López, T.; Islas, E.O.; Gonzalez, R.D. Pore Structures in an Implantable Sol-Gel Titania Ceramic Device Used in Controlled Drug Release Applications: A Modeling Study. Appl. Surf. Sci. 2007, 253, 5767–5771. [Google Scholar] [CrossRef]
- Wilke, K.; Breuer, H.D. The Influence of Transition Metal Doping on the Physical and Photocatalytic Properties of Titania. J. Photochem. Photobiol. A Chem. 1999, 121, 49–53. [Google Scholar] [CrossRef]
- Lopez, T.; Romero, A.; Gomez, R. Metal-Support Interaction in Pt/SiO2 Catalysts Prepared by the Sol-Gel Method. J. Non Cryst. Solids 1991, 127, 105–113. [Google Scholar] [CrossRef]
- Hayes, R.E.; Mukadi, L.S.; Votsmeier, M.; Gieshoff, J. Three-Way Catalytic Converter Modelling with Detailed Kinetics and Washcoat Diffusion. Top. Catal. 2004, 30–31, 411–415. [Google Scholar] [CrossRef]
- Lopez, T.; Gomez, R.; Romero, E.; Schifter, I. Phenylacetylene Hydrogenation on Pt/TiO2 Sol-Gel Catalysts. React. Kinet. Catal. Lett. 1993, 49, 95–101. [Google Scholar] [CrossRef]
- Collado-Pérez, M.S.; Ramos-Ramírez, E.; Lopez, T.; Pérez-Robles, J.F. Sol-Gel Zirconia: Phosphate Addition Effect. In Emerging Fields in Sol-Gel Science and Technology; López, T.M., Avnir, D., Aegerter, M., Eds.; Springer: Boston, MA, USA, 2003; pp. 211–218. [Google Scholar]
- López-Goerne, T.M.; Padilla-Godínez, F.J.; Álvarez, D.; Gómez, E.; Ramírez, P.; Barragán, E.; Chico-Ponce de León, F.; González-Carranza, V.; García-Beristain, J.C.; Dies-Suárez, P.; et al. Titania-Platinum Nanobiocatalyst as Treatment for Central Nervous System Tumors: A Case Report on a Pediatric Ependymoma. J. Neurol. Neurocritical Care 2020, 3, 1–8. [Google Scholar] [CrossRef]
- Hu, Y.-B.; Dammer, E.B.; Ren, R.-J.; Wang, G. The Endosomal-Lysosomal System: From Acidification and Cargo Sorting to Neurodegeneration. Transl. Neurodegener. 2015, 4, 18. [Google Scholar] [CrossRef] [PubMed]
- Huotari, J.; Helenius, A. Endosome Maturation. EMBO J. 2011, 30, 3481–3500. [Google Scholar] [CrossRef] [PubMed]
- Laifenfeld, D.; Patzek, L.J.; McPhie, D.L.; Chen, Y.; Levites, Y.; Cataldo, A.M.; Neve, R.L. Rab5 Mediates an Amyloid Precursor Protein Signaling Pathway That Leads to Apoptosis. J. Neurosci. 2007, 27, 7141–7153. [Google Scholar] [CrossRef] [PubMed]
- Li, X.; DiFiglia, M. The Recycling Endosome and Its Role in Neurological Disorders. Prog. Neurobiol. 2012, 97, 127–141. [Google Scholar] [CrossRef] [PubMed]
- Hsu, V.W.; Prekeris, R. Transport at the Recycling Endosome. Curr. Opin. Cell. Biol. 2010, 22, 528–534. [Google Scholar] [CrossRef]
- Poteryaev, D.; Datta, S.; Ackema, K.; Zerial, M.; Spang, A. Identification of the Switch in Early-to-Late Endosome Transition. Cell 2010, 141, 497–508. [Google Scholar] [CrossRef]
- López, T.; Gómez, R.; Hernández, J.G.; López-Salinas, E.; Bokhimi, X.; Morales, A.; Boldú, J.L.; Muñoz, E.; Novaro, O. Acidity of Tungstophosphoric Acid−Zirconia Catalysts Prepared by the Sol−Gel Method. Langmuir 1999, 15, 5820–5824. [Google Scholar] [CrossRef]
- Manríquez, M.E.; López, T.; Gómez, R.; Navarrete, J. Preparation of TiO2–ZrO2 Mixed Oxides with Controlled Acid–Basic Properties. J. Mol. Catal. A Chem. 2004, 220, 229–237. [Google Scholar] [CrossRef]
- Navarrete, J.; Lopez, T.; Gomez, R.; Figueras, F. Surface Acidity of Sulfated TiO2−SiO2 Sol-Gels. Langmuir 1996, 12, 4385–4390. [Google Scholar] [CrossRef]
- López, T.; Bosch, P.; Tzompantzi, F.; Gómez, R.; Navarrete, J.; López-Salinas, E.; Llanos, M.E. Effect of Sulfation Methods on TiO2–SiO2 Sol–Gel Catalyst Acidity. Appl. Catal. A Gen. 2000, 197, 107–117. [Google Scholar] [CrossRef]
- Lopez, T.; Navarrete, J.; Gomez, R.; Novaro, O.; Figueras, F.; Armendariz, H. Preparation of Sol-Gel Sulfated ZrO2SiO2 and Characterization of Its Surface Acidity. Appl. Catal. A Gen. 1995, 125, 217–232. [Google Scholar] [CrossRef]
- Cupic, K.I.; Rennick, J.J.; Johnston, A.P.; Such, G.K. Controlling Endosomal Escape Using Nanoparticle Composition: Current Progress and Future Perspectives. Nanomedicine 2019, 14, 215–223. [Google Scholar] [CrossRef]
- Rehman, Z.U.; Hoekstra, D.; Zuhorn, I.S. Mechanism of Polyplex- and Lipoplex-Mediated Delivery of Nucleic Acids: Real-Time Visualization of Transient Membrane Destabilization without Endosomal Lysis. ACS Nano 2013, 7, 3767–3777. [Google Scholar] [CrossRef] [PubMed]
- Uma, B.; Swaminathan, T.N.; Radhakrishnan, R.; Eckmann, D.M.; Ayyaswamy, P.S. Nanoparticle Brownian Motion and Hydrodynamic Interactions in the Presence of Flow Fields. Phys. Fluids 2011, 23, 073602. [Google Scholar] [CrossRef] [PubMed]
- Chen, J.I.L.; Chen, Y.; Ginger, D.S. Plasmonic Nanoparticle Dimers for Optical Sensing of DNA in Complex Media. J. Am. Chem. Soc. 2010, 132, 9600–9601. [Google Scholar] [CrossRef]
- Santiago, I.; Jiang, L.; Foord, J.; Turberfield, A.J. Self-propulsion of catalytic nanomotors synthesized by seeded growth of asymmetric platinum-gold nanoparticles. Chem. Commun. 2018, 54, 1901–1904. [Google Scholar] [CrossRef]
- Berg, H.C.; Brown, D.A. Chemotaxis in Escherichia Coli Analysed by Three-Dimensional Tracking. Nature 1972, 239, 500–504. [Google Scholar] [CrossRef] [PubMed]
- Berg, H.C.E. Coli in Motion; Springer: New York, NY, USA, 2004; ISBN 978-0-387-00888-2. [Google Scholar]
- Paxton, W.F.; Kistler, K.C.; Olmeda, C.C.; Sen, A.; St. Angelo, S.K.; Cao, Y.; Mallouk, T.E.; Lammert, P.E.; Crespi, V.H. Catalytic Nanomotors: Autonomous Movement of Striped Nanorods. J. Am. Chem. Soc. 2004, 126, 13424–13431. [Google Scholar] [CrossRef] [PubMed]
- Howse, J.R.; Jones, R.A.L.; Ryan, A.J.; Gough, T.; Vafabakhsh, R.; Golestanian, R. Self-Motile Colloidal Particles: From Directed Propulsion to Random Walk. Phys. Rev. Lett. 2007, 99, 048102. [Google Scholar] [CrossRef]
- Anderson, J.L. Colloid Transport by Interfacial Forces. Annu. Rev. Fluid. Mech. 1989, 21, 61–99. [Google Scholar] [CrossRef]
- Golestanian, R.; Liverpool, T.B.; Ajdari, A. Designing Phoretic Micro- and Nano-Swimmers. New J. Phys. 2007, 9, 126. [Google Scholar] [CrossRef]
- Moran, J.L.; Posner, J.D. Phoretic Self-Propulsion. Annu. Rev. Fluid. Mech. 2017, 49, 511–540. [Google Scholar] [CrossRef]
- Lennicke, C.; Rahn, J.; Lichtenfels, R.; Wessjohann, L.A.; Seliger, B. Hydrogen Peroxide—Production, Fate and Role in Redox Signaling of Tumor Cells. Cell Commun. Signal. 2015, 13, 39. [Google Scholar] [CrossRef] [PubMed]
- Nandi, A.; Yan, L.-J.; Jana, C.K.; Das, N. Role of Catalase in Oxidative Stress- and Age-Associated Degenerative Diseases. Oxid. Med. Cell. Longev. 2019, 2019, 1–19. [Google Scholar] [CrossRef] [PubMed]
- Tuzet, A.; Rahantaniaina, M.-S.; Noctor, G. Analyzing the Function of Catalase and the Ascorbate–Glutathione Pathway in H2O2 Processing: Insights from an Experimentally Constrained Kinetic Model. Antioxid. Redox Signal. 2019, 30, 1238–1268. [Google Scholar] [CrossRef] [PubMed]
- Guix, M.; Weiz, S.M.; Schmidt, O.G.; Medina-Sánchez, M. Self-Propelled Micro/Nanoparticle Motors. Part. Part. Syst. Charact. 2018, 35, 1700382. [Google Scholar] [CrossRef]
- Koltsakis, G.C.; Kandylas, I.P.; Stamatelos, A.M. Three-Way Catalytic Converter Modeling and Applications. Chem. Eng. Commun. 1998, 164, 153–189. [Google Scholar] [CrossRef]
- Martin, L.J. DNA Damage and Repair: Relevance to Mechanisms of Neurodegeneration. J. Neuropathol. Exp. Neurol. 2008, 67, 377–387. [Google Scholar] [CrossRef]
- Friedberg, E.C. DNA Damage and Repair. Nature 2003, 421, 436–440. [Google Scholar] [CrossRef]
- Hakem, R. DNA-Damage Repair; the Good, the Bad, and the Ugly. EMBO J. 2008, 27, 589–605. [Google Scholar] [CrossRef]
- Fas, S.C.; Fritzsching, B.; Suri-Payer, E.; Krammer, P.H. Death Receptor Signaling and Its Function in the Immune System. In Apoptosis and Its Relevance to Autoimmunity; KARGER: Basel, Switzerland, 2005; pp. 1–17. [Google Scholar]
- Wang, L.; Azad, N.; Kongkaneramit, L.; Chen, F.; Lu, Y.; Jiang, B.-H.; Rojanasakul, Y. The Fas Death Signaling Pathway Connecting Reactive Oxygen Species Generation and FLICE Inhibitory Protein Down-Regulation. J. Immunol. 2008, 180, 3072–3080. [Google Scholar] [CrossRef]
- Wang, C.; Youle, R.J. The Role of Mitochondria in Apoptosis. Annu. Rev. Genet. 2009, 43, 95–118. [Google Scholar] [CrossRef]
- López, T.; Herrera, L.; Gómez, R.; Zou, W.; Robinson, K.; González, R.D. Improved Mechanical Stability of Supported Ru Catalysts: Preparation by the Sol-Gel Method. J. Catal. 1992, 136, 621–625. [Google Scholar] [CrossRef]
- Gomez, R.; Lopez, T.; Herrera, L.; Castro, A.A.; Scelza, O.; Baronetti, G.; Lazzari, E.; Cuan, A.; Campos, M.; Poulain, E.; et al. Oxidative Coupling of Methane Over Sol-Gel Magnesium Oxide Catalysts: Effect on Selectivity to Olefin Formation. Stud. Surf. Sci. Catal. 1993, 75, 2213–2216. [Google Scholar] [CrossRef]
- Pecchi, G.; Reyes, P.; Gómez, R.; López, T.; Fierro, J.L.G. Methane Combustion on Rh/ZrO2 Catalysts. Appl. Catal. B 1998, 17, L7–L13. [Google Scholar] [CrossRef]
- Lopez, T.; Sanchez, E.; Gomez, R.; Ioffe, L.; Borodko, Y. Platinum Acetylacetonate Effect on Sol-Gel Derived Titania Catalysts. React. Kinet. Catal. Lett. 1997, 61, 289–295. [Google Scholar] [CrossRef]
- González-Larraza, P.G.; López-Goerne, T.M.; Padilla-Godínez, F.J.; González-López, M.A.; Hamdan-Partida, A.; Gómez, E. IC50Evaluation of Platinum Nanocatalysts for Cancer Treatment in Fibroblast, HeLa, and DU-145 Cell Lines. ACS Omega 2020, 5, 25381–25389. [Google Scholar] [CrossRef]
- Jiménez, E.; Hamdan-Partida, A.; Padilla-Godínez, F.J.; Arellano-Lara, D.; Gómez-López, E.; López-Goerne, T.M. Spectroscopic Analysis and Microbicidal Effect of Ag/TiO2-SiO2 Bionanocatalysts. IEEE Trans. Nanobiosci. 2022, 21, 246–255. [Google Scholar] [CrossRef]
- López, T.; Sánchez de la Barquera, V.; Padilla-Godínez, F.J.; Ramírez, P.; Gómez-López, E. Post-Breast Cancer Chronic Wounds with Solid Calcifications Treated with Cu/SiO2-TiO2 Nanobiocatalysts. Mod. Approaches Mater. Sci. 2020, 3, 374–383. [Google Scholar]
- Black, J. Biological Performance of Materials: Fundamentals of Biocompatibility, 3rd ed.; CRC Press: Boca Ratón, FL, USA, 1999. [Google Scholar]
- Lopez, T.; Ortiz, E.; Alvarez, M.; Navarrete, J.; Odriozola, J.A.; Martinez-Ortega, F.; Páez-Mozo, E.; Escobar, P.; Espinoza, K.A.; Rivero, I.A. Study of the Stabilization of Zinc Phthalocyanine in Sol-Gel TiO2 for Photodynamic Therapy Applications. Nanomedicine 2010, 6, 777–785. [Google Scholar] [CrossRef]
- López, T.; Ortiz-Islas, E.; Guevara, P.; Rodríguez-Reinoso, F.; Gómez, E.; Cuevas, J.L.; Novaro, O. Release of Copper Complexes from a Nanostructured Sol–Gel Titania for Cancer Treatment. J. Mater. Sci. 2015, 50, 2410–2421. [Google Scholar] [CrossRef]
- López, T.; Larraza, P.; Gómez, E. Platinum and Copper Supported in Functionalized Titania Nanoparticles for the Treatment of Cervical and Prostate Cancer. J. Nanomater. Mol. Nanotechnol. 2017, 6, 1–6. [Google Scholar] [CrossRef]
- Padilla-Godínez, F.J.; Ramírez, P.; Cruz, R.; Sánchez, I.; de la Rosa, J.M.; López-Goerne, T. Cytotoxic Effect of Bionanocatalysts Evaluated by Diffuse Reflectance Spectroscopy in an In Vivo Model of Hepatocellular Carcinoma. Results Chem. 2023, 5, 100894. [Google Scholar] [CrossRef]
- López-Goerne, T.; Gracia, A.; Padilla-Godínez, F.J.; Lottici, P.; Silvestre-Albero, A.M. Characteristic of Ag/TiO2–SiO2 Bionanocatalysts Prepared by Sol–Gel Method as Potential Antineoplastic Compounds. Bull. Mater. Sci. 2022, 45, 3. [Google Scholar] [CrossRef]
- De la Rosa, J.; Fabila, D.A.; Hernandez, F.L.; Moreno, E.; Stolik, S.; de la Rosa, G.; Álvarez, M.; Arellano, A.; López, T.; Mercado, R.; et al. In Vivo Spectroscopy for Detection and Treatment of GBM with NPt Implantation. In Nanomedicine and Cancer Therapies; Sebastian, M., Ninan, N., Elias, E., Eds.; Apple Academic Press: Oakville, ON, Canada, 2020; pp. 19–30. [Google Scholar]
- López, T.; Recillas, S.; Guevara, P.; Sotelo, J.; Alvarez, M.; Odriozola, J.A. Pt/TiO2 Brain Biocompatible Nanoparticles: GBM Treatment Using the C6 Model in Wistar Rats. Acta Biomater. 2008, 4, 2037–2044. [Google Scholar] [CrossRef]
- López, T.; Figueras, F.; Manjarrez, J.; Bustos, J.; Alvarez, M.; Silvestre-Albero, J.; Rodríguez-Reinoso, F.; Martínez-Ferre, F.; Martínez, E. Catalytic Nanomedicine: A New Field in Antitumor Treatment Using Supported Platinum Nanoparticles. In Vitro DNA Degradation and In Vivo Tests with C6 Animal Model on Wistar Rats. Eur. J. Med. Chem. 2010, 45, 1982–1990. [Google Scholar] [CrossRef]
- López, T.; Alvarez, M.; González, R.D.; Uddin, M.J.; Bustos, J.; Arroyo, S.; Sánchez, A. Synthesis, Characterization and in Vitro Cytotoxicity of Pt-TiO2 Nanoparticles. Adsorption 2011, 17, 573–581. [Google Scholar] [CrossRef]
- Alvarez Lemus, M.A.; Monroy, H.; López, T.; De la Cruz Hernández, E.N.; López-González, R. Effect of Surface Modification on the Bioactivity of Sol–Gel TiO2-Based Nanomaterials. J. Chem. Technol. Biotechnol. 2016, 91, 2148–2155. [Google Scholar] [CrossRef]
- Shukla, G.; Alexander, G.S.; Bakas, S.; Nikam, R.; Talekar, K.; Palmer, J.D.; Shi, W. Advanced Magnetic Resonance Imaging in Glioblastoma: A Review. Chin. Clin. Oncol. 2017, 6, 40. [Google Scholar] [CrossRef]
- Khoury, M.N.; Missios, S.; Edwin, N.; Sakruti, S.; Barnett, G.; Stevens, G.; Peereboom, D.M.; Khorana, A.A.; Ahluwalia, M.S. Intracranial Hemorrhage in Setting of Glioblastoma with Venous Thromboembolism. Neurooncol. Pract. 2016, 3, 87–96. [Google Scholar] [CrossRef] [PubMed]
- Deistung, A.; Schweser, F.; Wiestler, B.; Abello, M.; Roethke, M.; Sahm, F.; Wick, W.; Nagel, A.M.; Heiland, S.; Schlemmer, H.-P.; et al. Quantitative Susceptibility Mapping Differentiates between Blood Depositions and Calcifications in Patients with Glioblastoma. PLoS ONE 2013, 8, e57924. [Google Scholar] [CrossRef]
- Wu, G.N.; Ford, J.M.; Alger, J.R. MRI Measurement of the Uptake and Retention of Motexafin Gadolinium in Glioblastoma Multiforme and Uninvolved Normal Human Brain. J. Neurooncol 2006, 77, 95–103. [Google Scholar] [CrossRef]
- Yaeger, K.; Nair, M. Surgery for Brain Metastases. Surg. Neurol. Int. 2013, 4, 203. [Google Scholar] [CrossRef]
- Hervey-Jumper, S.L.; Berger, M.S. Role of Surgical Resection in Low- and High-Grade Gliomas. Curr. Treat. Options Neurol. 2014, 16, 284. [Google Scholar] [CrossRef] [PubMed]
- Chang, S.M.; Parney, I.F.; Mcdermott, M.; Barker, F.G.; Schmidt, M.H.; Huang, W.; Laws, E.R.; Lillehei, K.O.; Bernstein, M.; Brem, H.; et al. Perioperative Complications and Neurological Outcomes of First and Second Craniotomies among Patients Enrolled in the Glioma Outcome Project. J. Neurosurg. 2003, 98, 1175–1181. [Google Scholar] [CrossRef]
- Lara-Velazquez, M.; Al-Kharboosh, R.; Jeanneret, S.; Vazquez-Ramos, C.; Mahato, D.; Tavanaiepour, D.; Rahmathulla, G.; Quinones-Hinojosa, A. Advances in Brain Tumor Surgery for Glioblastoma in Adults. Brain Sci. 2017, 7, 166. [Google Scholar] [CrossRef]
- Grossman, S.A.; Batara, J.F. Current Management of Glioblastoma Multiforme. Semin. Oncol. 2004, 31, 635–644. [Google Scholar] [CrossRef] [PubMed]
- Eidel, O.; Burth, S.; Neumann, J.-O.; Kieslich, P.J.; Sahm, F.; Jungk, C.; Kickingereder, P.; Bickelhaupt, S.; Mundiyanapurath, S.; Bäumer, P.; et al. Tumor Infiltration in Enhancing and Non-Enhancing Parts of Glioblastoma: A Correlation with Histopathology. PLoS ONE 2017, 12, e0169292. [Google Scholar] [CrossRef]
- Stoyanov, G.S.; Dzhenkov, D.; Ghenev, P.; Iliev, B.; Enchev, Y.; Tonchev, A.B. Cell Biology of Glioblastoma Multiforme: From Basic Science to Diagnosis and Treatment. Med. Oncol. 2018, 35, 27. [Google Scholar] [CrossRef]
- Matsumura, Y.; Maeda, H. A New Concept for Macromolecular Therapeutics in Cancer Chemotherapy: Mechanism of Tumoritropic Accumulation of Proteins and the Antitumor Agent Smancs. Cancer Res. 1986, 46, 6387–6392. [Google Scholar]
- Ryman-Rasmussen, J.P.; Riviere, J.E.; Monteiro-Riviere, N.A. Penetration of Intact Skin by Quantum Dots with Diverse Physicochemical Properties. Toxicol. Sci. 2006, 91, 159–165. [Google Scholar] [CrossRef]
- Jiang, J.; Oberdörster, G.; Biswas, P. Characterization of Size, Surface Charge, and Agglomeration State of Nanoparticle Dispersions for Toxicological Studies. J. Nanoparticle Res. 2009, 11, 77–89. [Google Scholar] [CrossRef]
- Chenthamara, D.; Subramaniam, S.; Ramakrishnan, S.G.; Krishnaswamy, S.; Essa, M.M.; Lin, F.-H.; Qoronfleh, M.W. Therapeutic Efficacy of Nanoparticles and Routes of Administration. Biomater. Res. 2019, 23, 20. [Google Scholar] [CrossRef] [PubMed]
- Xia, Y.; Rao, L.; Yao, H.; Wang, Z.; Ning, P.; Chen, X. Engineering Macrophages for Cancer Immunotherapy and Drug Delivery. Adv. Mater. 2020, 32, 2002054. [Google Scholar] [CrossRef] [PubMed]
- Dobrovolskaia, M.A.; Aggarwal, P.; Hall, J.B.; McNeil, S.E. Preclinical Studies to Understand Nanoparticle Interaction with the Immune System and Its Potential Effects on Nanoparticle Biodistribution. Mol. Pharm. 2008, 5, 487–495. [Google Scholar] [CrossRef] [PubMed]
- Akinc, A.; Zumbuehl, A.; Goldberg, M.; Leshchiner, E.S.; Busini, V.; Hossain, N.; Bacallado, S.A.; Nguyen, D.N.; Fuller, J.; Alvarez, R.; et al. A Combinatorial Library of Lipid-like Materials for Delivery of RNAi Therapeutics. Nat. Biotechnol. 2008, 26, 561–569. [Google Scholar] [CrossRef]








Disclaimer/Publisher’s Note: The statements, opinions and data contained in all publications are solely those of the individual author(s) and contributor(s) and not of MDPI and/or the editor(s). MDPI and/or the editor(s) disclaim responsibility for any injury to people or property resulting from any ideas, methods, instructions or products referred to in the content. |
© 2023 by the authors. Licensee MDPI, Basel, Switzerland. This article is an open access article distributed under the terms and conditions of the Creative Commons Attribution (CC BY) license (https://creativecommons.org/licenses/by/4.0/).
Share and Cite
López-Goerne, T.; Padilla-Godínez, F.J. Catalytic Nanomedicine as a Therapeutic Approach to Brain Tumors: Main Hypotheses for Mechanisms of Action. Nanomaterials 2023, 13, 1541. https://doi.org/10.3390/nano13091541
López-Goerne T, Padilla-Godínez FJ. Catalytic Nanomedicine as a Therapeutic Approach to Brain Tumors: Main Hypotheses for Mechanisms of Action. Nanomaterials. 2023; 13(9):1541. https://doi.org/10.3390/nano13091541
Chicago/Turabian StyleLópez-Goerne, Tessy, and Francisco J. Padilla-Godínez. 2023. "Catalytic Nanomedicine as a Therapeutic Approach to Brain Tumors: Main Hypotheses for Mechanisms of Action" Nanomaterials 13, no. 9: 1541. https://doi.org/10.3390/nano13091541
APA StyleLópez-Goerne, T., & Padilla-Godínez, F. J. (2023). Catalytic Nanomedicine as a Therapeutic Approach to Brain Tumors: Main Hypotheses for Mechanisms of Action. Nanomaterials, 13(9), 1541. https://doi.org/10.3390/nano13091541
