The Effects of Chitosan on the Healing Process of Oral Mucosa: An Observational Cohort Feasibility Split-Mouth Study
Abstract
1. Introduction
1.1. Wound Healing
1.2. Chitosan
1.3. Properties
2. Materials and Methods
2.1. Preparation of the Hydrogel Chitosan
2.2. Definition of the Variables in Study and Follow-Up of Patients
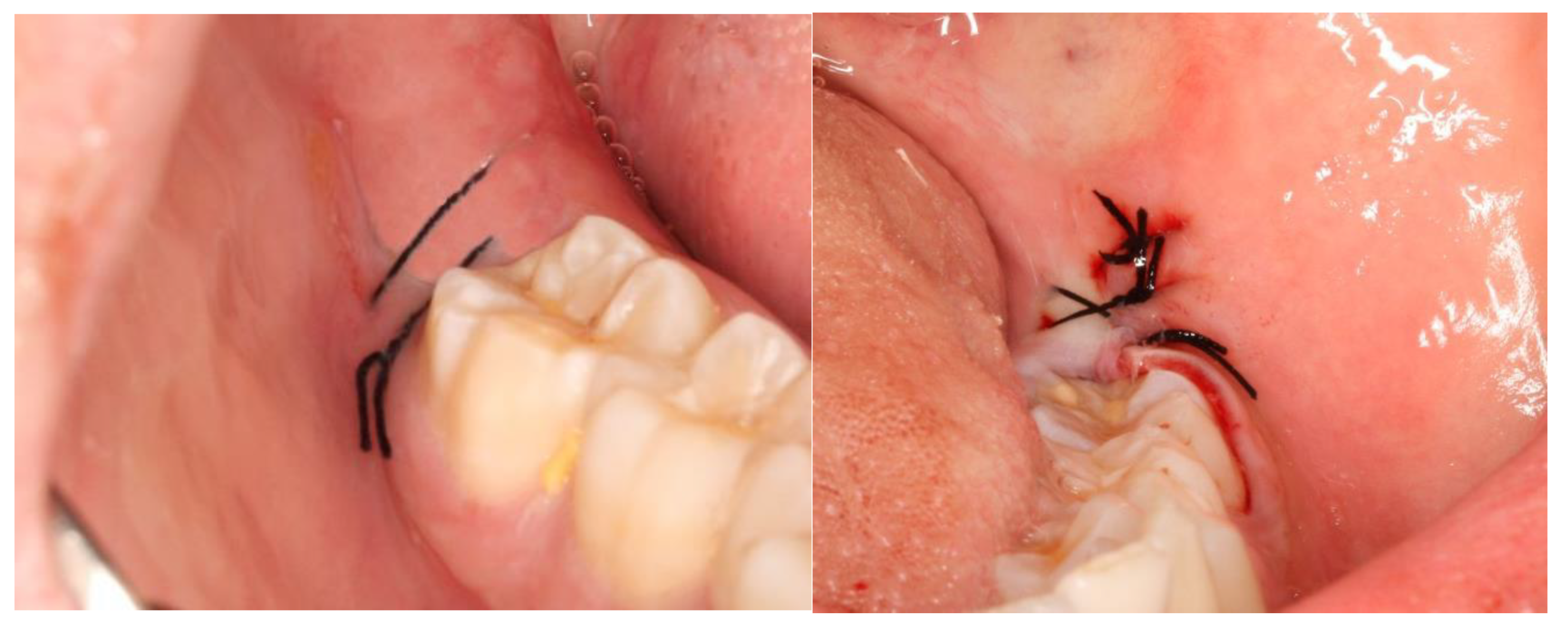
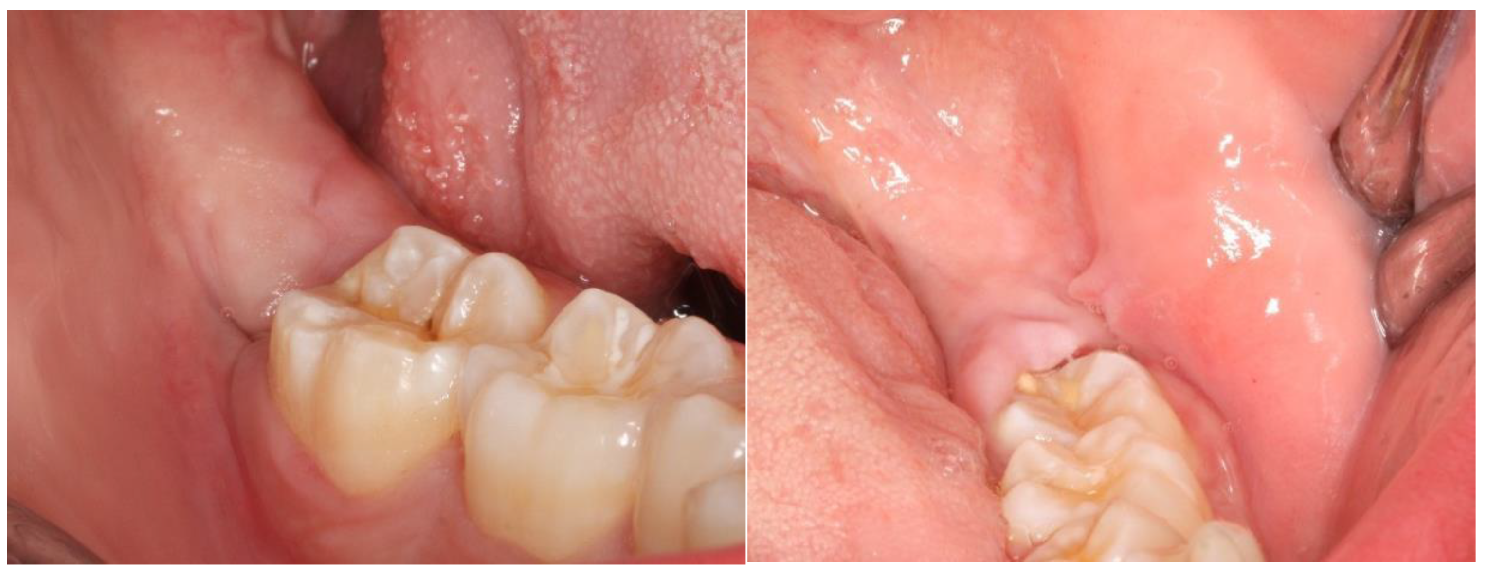
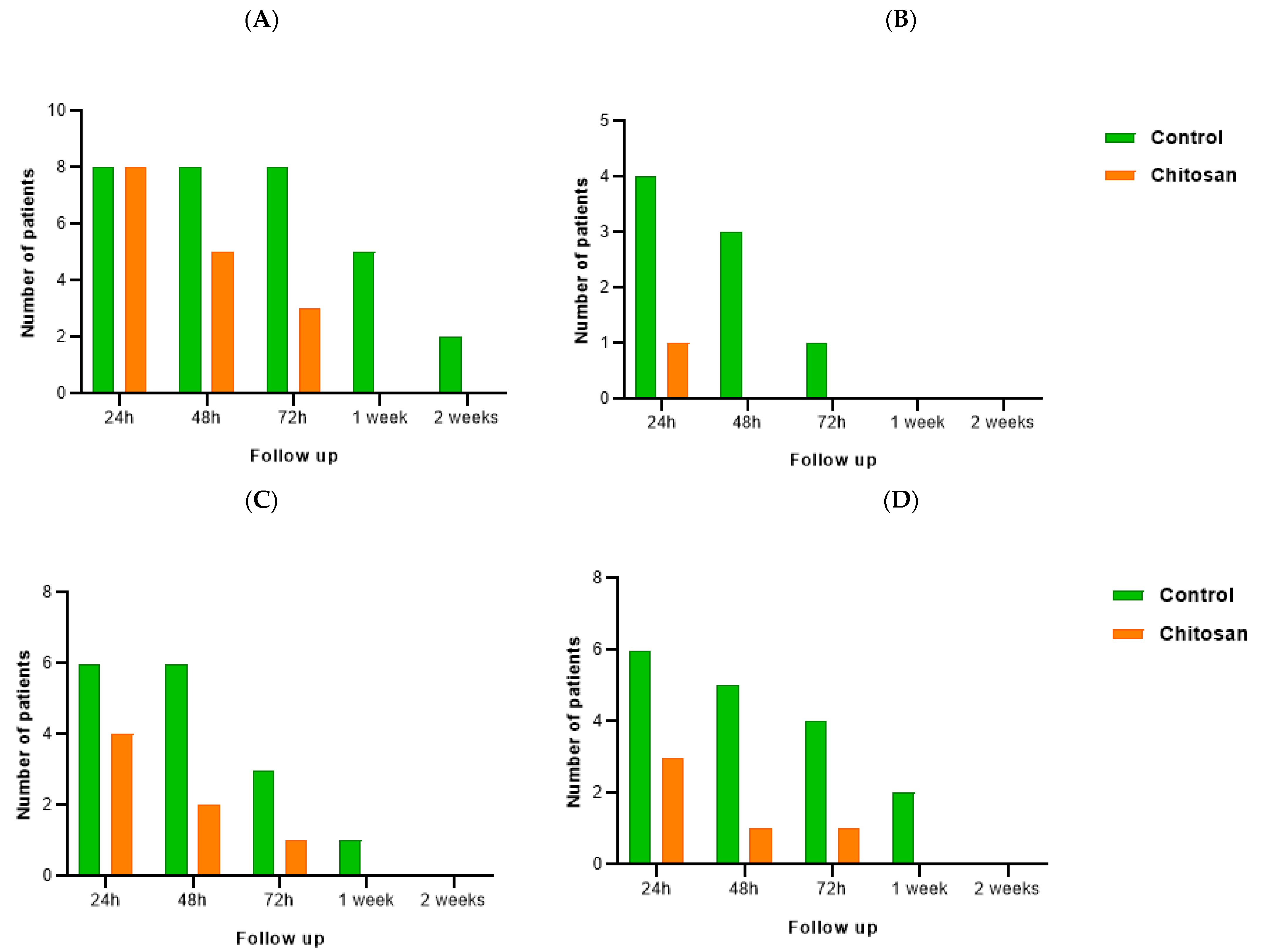
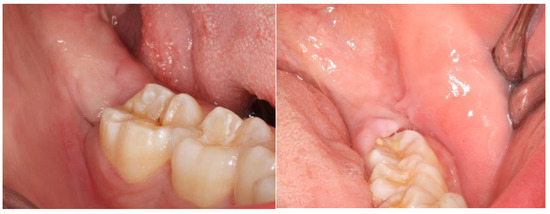
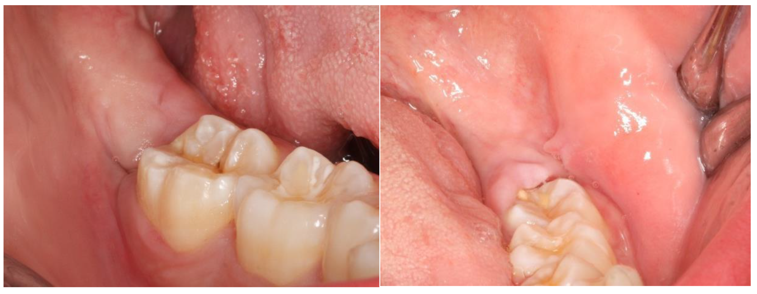
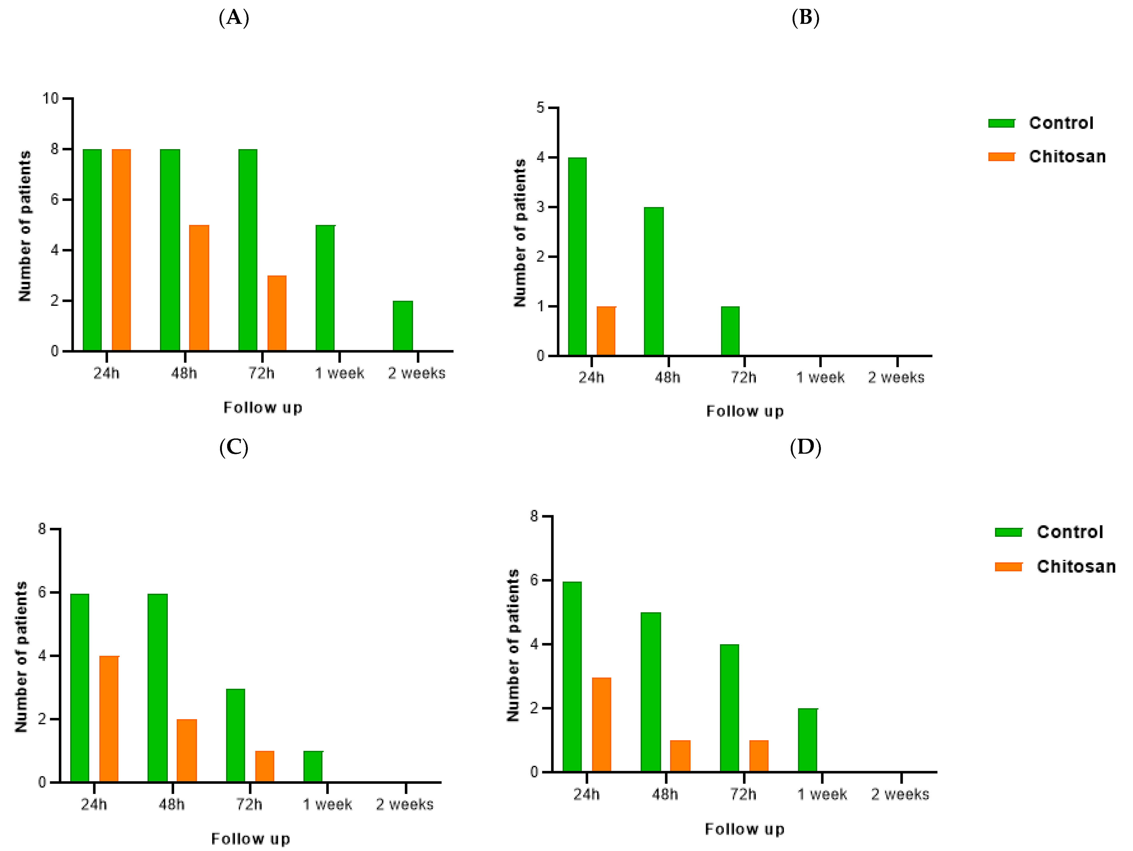
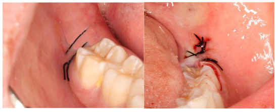
3. Results
4. Discussion
5. Future Perspectives
Supplementary Materials
Author Contributions
Funding
Institutional Review Board Statement
Informed Consent Statement
Data Availability Statement
Acknowledgments
Conflicts of Interest
References
- Clark, R.A.F. Overview and General Considerations of Wound Repair. Mol. Cell Biol. Wound Repair 1998, 3–33. [Google Scholar] [CrossRef]
- Turner, T.D.; Schmidt, R.J.; Harding, K.G.; Keith, G.; Coloplast Ltd.; Huntingdon, E. Welsh School of Pharmacy. Surgical Dressings Research Unit. In Advances in Wound Management: Proceedings of a Symposium Held at the Welsh School of Pharmacy, University of Wales Institute of Science and Technology, Cardiff, 20th and 21st March 1985; J. Wiley: Hoboken, NJ, USA, 1986; ISBN 047191312X. [Google Scholar]
- Badiu, D.; Vasile, M.; Teren, O. Regulation of Wound Healing by Growth Factors and Cytokines. Wound Health Process. Phases Promot. 2011, 3, 73–93. [Google Scholar]
- Miller, M.C.; Nanchahal, J. Advances in the Modulation of Cutaneous Wound Healing and Scarring. BioDrugs 2005, 19, 363–381. [Google Scholar] [CrossRef] [PubMed]
- Ferguson, M.W.J.; O’Kane, S. Scar-Free Healing: From Embryonic Mechanism to Adult Therapeutic Intervention. Philos. Trans. R. Soc. B Biol. Sci. 2004, 359, 839–850. [Google Scholar] [CrossRef]
- Murakami, K.; Aoki, H.; Nakamura, S.; Nakamura, S.I.; Takikawa, M.; Hanzawa, M.; Kishimoto, S.; Hattori, H.; Tanaka, Y.; Kiyosawa, T.; et al. Hydrogel Blends of Chitin/Chitosan, Fucoidan and Alginate as Healing-Impaired Wound Dressings. Biomaterials 2010, 31, 83–90. [Google Scholar] [CrossRef] [PubMed]
- Muzzarelli, R.A.A. Chitins and Chitosans for the Repair of Wounded Skin, Nerve, Cartilage and Bone. Carbohydr. Polym. 2009, 76, 167–182. [Google Scholar] [CrossRef]
- Dreifke, M.B.; Jayasuriya, A.A.; Jayasuriya, A.C. Current Wound Healing Procedures and Potential Care. Mater. Sci. Eng. C 2015, 48, 651–662. [Google Scholar] [CrossRef]
- Singer, A.J.; Clark, R.A.F. Cutaneous Wound Healing. N. Engl. J. Med. 1999, 341, 738–746. [Google Scholar] [CrossRef]
- Gurtner, G.C.; Werner, S.; Barrandon, Y.; Longaker, M.T. Wound Repair and Regeneration. Nature 2008, 453, 314–321. [Google Scholar] [CrossRef]
- Broughton, G.; Janis, J.E.; Attinger, C.E. The Basic Science of Wound Healing. Plast. Reconstr. Surg. 2006, 117, 12–34. [Google Scholar] [CrossRef]
- Pool, J.G. Normal Hemostatic Mechanisms: A Review. Am. J. Med. Technol. 1977, 43, 776–780. [Google Scholar] [PubMed]
- Velnar, T.; Bailey, T.; Smrkolj, V. The Wound Healing Process: An Overview of the Cellular and Molecular Mechanisms. J. Int. Med. Res. 2009, 37, 1528–1542. [Google Scholar] [CrossRef]
- Martin, P. Wound Healing—Aiming for Perfect Skin Regeneration. Science 1997, 276, 75–81. [Google Scholar] [CrossRef] [PubMed]
- Clark, R.A.F. Regulation of Fibroplasia in Cutaneous Wound Repair. Am. J. Med. Sci. 1993, 306, 42–48. [Google Scholar] [CrossRef] [PubMed]
- Perchyonok, V.T.; Grobler, S.R.; Zhang, S. IPNs from Cyclodextrin: Chitosan Antioxidants: Bonding, Bio-Adhesion, Antioxidant Capacity and Drug Release. J. Funct. Biomater. 2014, 5, 183–196. [Google Scholar] [CrossRef] [PubMed]
- Robson, M.C. Wound Healing: Biologic Features and Approaches to Maximum Healing Trajectories. Curr. Probl. Surg. 2001, 38, 72–140. [Google Scholar] [CrossRef]
- Silva, D.; Arancibia, R.; Tapia, C.; Acuña-Rougier, C.; Diaz-Dosque, M.; Cáceres, M.; Martínez, J.; Smith, P.C. Chitosan and Platelet-Derived Growth Factor Synergistically Stimulate Cell Proliferation in Gingival Fibroblasts. J. Periodontal Res. 2013, 48, 677–686. [Google Scholar] [CrossRef]
- Wiziack, P.M.; Jorge, M.P.; Monteiro, K.M.; Carvalho, J.E.; De Román, J.S. Chitosan-Tripolyphosphate Nanoparticles as Arrabidaea Chica Standardized Extract Carrier: Synthesis, Characterization, Biocompatibility, and Antiulcerogenic Activity. Int. J. Nanomed. 2015, 10, 3897–3909. [Google Scholar]
- Xu, C.; Lei, C.; Meng, L.; Wang, C.; Song, Y. Chitosan as a Barrier Membrane Material in Periodontal Tissue Regeneration. J. Biomed. Mater. Res.-Part B Appl. Biomater. 2012, 100, 1435–1443. [Google Scholar] [CrossRef] [PubMed]
- Rinaudo, M. Chitin and Chitosan: Properties and Applications. Prog. Polym. Sci. 2006, 31, 603–632. [Google Scholar] [CrossRef]
- Wongpanit, P.; Sanchavanakit, N.; Pavasant, P.; Supaphol, P.; Tokura, S.; Rujiravanit, R. Preparation and Characterization of Microwave-Treated Carboxymethyl Chitin and Carboxymethyl Chitosan Films for Potential Use in Wound Care Application. Macromol. Biosci. 2005, 5, 1001–1012. [Google Scholar] [CrossRef]
- Goy, R.C.; Britto, D.; De Assis, O.B.G. A Review of the Antimicrobial Activity of Chitosan. Polímeros Ciência E Tecnol. 2009, 19, 241–247. [Google Scholar] [CrossRef]
- Chang, H.; Wang, Y.; Chiang, Y.; Chen, Y.; Chuang, Y.; Tsai, S.; Heish, K.; Lin, F.; Lin, C. A Novel Chitosan-ΓPGA Polyelectrolyte Complex Hydrogel Promotes Early New Bone Formation in the Alveolar Socket Following Tooth Extraction. PLoS ONE 2014, 9, e92362. [Google Scholar] [CrossRef]
- Rodrigues, S.; Dionísio, M.; López, C.R.; Grenha, A. Biocompatibility of Chitosan Carriers with Application in Drug Delivery. J. Funct. Biomater. 2012, 3, 615–641. [Google Scholar] [CrossRef] [PubMed]
- Perchyonok, V.T.; Reher, V.; Zhang, S.; Basson, N. Evaluation of Nystatin Containing Chitosan Hydrogels as Potential Dual Action Bio-Active Restorative Materials: In Vitro Approach. J. Funct. Biomater. 2014, 5, 259–272. [Google Scholar] [CrossRef]
- Frenț, O.D.; Vicaș, L.; Jurca, T.; Ciocan, S.; Duteanu, N.; Pallag, A.; Muresan, M.; Marian, E.; Negrea, A.; Micle, O. A Review: Uses of Chitosan in Pharmaceutical Forms. Rev. Physiol. Biochem. Pharmacol. 2023, 184, 121–157. [Google Scholar] [CrossRef] [PubMed]
- Tapola, N.S.; Lyyra, M.L.; Kolehmainen, R.M.; Sarkkinen, E.S.; Schauss, A.G. Safety Aspects and Cholesterol-Lowering Efficacy of Chitosan Tablets. J. Am. Coll. Nutr. 2013, 27, 22–30. [Google Scholar] [CrossRef]
- Baldrick, P. The Safety of Chitosan as a Pharmaceutical Excipient. Regul. Toxicol. Pharmacol. 2010, 56, 290–299. [Google Scholar] [CrossRef]
- Sathish, R.; Shukla, V.; Shetty, S.K. Is Chitosan Dental Dressing Better Than Cotton Gauze in Achieving Hemostasis in Patients on Antithrombotics? J. Oral Maxillofac. Surg. 2023, 81, 224–231. [Google Scholar] [CrossRef]
- Zhou, X.; Liu, C.; Han, Y.; Li, C.; Liu, S.; Li, X.; Zhao, G.; Jiang, Y. An Antibacterial Chitosan-Based Hydrogel as a Potential Degradable Bio-Scaffold for Alveolar Ridge Preservation. RSC Adv. 2022, 12, 32219–32229. [Google Scholar] [CrossRef]
- Suo, L.; Wu, H.; Wang, P.; Xue, Z.; Gao, J.; Shen, J. The Improvement of Periodontal Tissue Regeneration Using a 3D-Printed Carbon Nanotube/Chitosan/Sodium Alginate Composite Scaffold. J. Biomed. Mater. Res. 2022, 111, 73–84. [Google Scholar] [CrossRef] [PubMed]
- Dooley, T.P.; Ellis, A.L.; Belousova, M.; Petersen, D.; DeCarlo, A.A. Dense Chitosan Surgical Membranes Produced by a Coincident Compression-Dehydration Process. J. Biomater. Sci. Polym. 2013, 24, 621–643. [Google Scholar] [CrossRef]
- Waibel, K.H.; Haney, B.; Moore, M.; Whisman, B.; Gomez, R. Safety of Chitosan Bandages in Shellfish Allergic Patients. Mil. Med. 2011, 176, 1153–1156. [Google Scholar] [CrossRef]
- Takahashi, M.; Inoue, K.; Yoshida, M.; Morikawa, T.; Shibutani, M.; Nishikawa, A. Lack of Chronic Toxicity or Carcinogenicity of Dietary N-Acetylglucosamine in F344 Rats. Food Chem. Toxicol. 2009, 47, 462–471. [Google Scholar] [CrossRef]
- Li, X.; Wang, X.; Zhao, T.; Gao, B.; Miao, Y.; Zhang, D.; Dong, Y. Guided Bone Regeneration Using Chitosan-Collagen Membranes in Dog Dehiscence-Type Defect Model. J. Oral Maxillofac. Surg. 2014, 72, 304.e1–304.e14. [Google Scholar] [CrossRef] [PubMed]
- Azargoon, H.; Williams, B.J.; Solomon, E.S.; Kessler, H.P.; He, J.; Spears, R. Assessment of Hemostatic Efficacy and Osseous Wound Healing Using HemCon Dental Dressing. J. Endod. 2011, 37, 807–811. [Google Scholar] [CrossRef]
- Kiliç, Ç.; Güleç Peker, E.G.; Acartürk, F.; Kiliçaslan, S.M.S.; Çoşkun Cevher, Ş. Investigation of the Effects of Local Glutathione and Chitosan Administration on Incisional Oral Mucosal Wound Healing in Rabbits. Colloids Surf. B Biointerfaces 2013, 112, 499–507. [Google Scholar] [CrossRef] [PubMed]
- Kale, T.P.; Singh, A.K.; Kotrashetti, S.M.; Kapoor, A. Effectiveness of Hemcon Dental Dressing versus Conventional Method of Haemostasis in 40 Patients on Oral Antiplatelet Drugs. Sultan Qaboos Univ. Med. J. 2012, 12, 330–335. [Google Scholar] [CrossRef] [PubMed]
- Smitha, M.; Kaladhar, K.; Sharma, C.P. Cell Mimetic Monolayer Supported Chitosan-Haemocompatibility Studies. J. Biomed. Mater. Res. A 2006, 79, 771–780. [Google Scholar]
- Aktop, S.; Emekli-Alturfan, E.; Ozer, C.; Gonul, O.; Garip, H.; Yarat, A.; Goker, K. Effects of Ankaferd Blood Stopper and Celox on the Tissue Factor Activities of Warfarin-Treated Rats. Clin. Appl. Thromb. 2014, 20, 16–21. [Google Scholar] [CrossRef]
- Moore, R.A.; Derry, S.; Aldington, D.; Wiffen, P.J. Adverse Events Associated with Single Dose Oral Analgesics for Acute Postoperative Pain in Adults—An Overview of Cochrane Reviews. Cochrane Database Syst. Rev. 2015, 2017, 121–157. [Google Scholar] [CrossRef] [PubMed]
- Evans, S.W.; McCahon, R.A. Management of Postoperative Pain in Maxillofacial Surgery. Br. J. Oral Maxillofac. Surg. 2019, 57, 4–11. [Google Scholar] [CrossRef]
- Measuring Pain in the Clinic-European Pain Federation. Available online: https://europeanpainfederation.eu/measuring-pain-in-the-clinic/ (accessed on 25 November 2022).
- Birch, N.P.; Barney, L.E.; Pandres, E.; Peyton, S.R.; Schiffman, J.D. Thermal-Responsive Behavior of a Cell Compatible Chitosan/Pectin Hydrogel. Biomacromolecules 2015, 16, 1837–1843. [Google Scholar] [CrossRef]
- Sirintawat, N.; Sawang, K.; Chaiyasamut, T.; Wongsirichat, N. Pain Measurement in Oral and Maxillofacial Surgery. J. Dent. Anesth. Pain Med. 2017, 17, 253. [Google Scholar] [CrossRef]
- Okamoto, Y.; Kawakami, K.; Miyatake, K.; Morimoto, M.; Shigemasa, Y.; Minami, S. Analgesic Effects of Chitin and Chitosan. Carbohydr. Polym. 2002, 49, 249–252. [Google Scholar] [CrossRef]
- Egbor, P.; Saheeb, B. A Prospective Randomized Clinical Study of the Influence of Primary Closure or Dressing on Post-Operative Morbidity after Mandibular Third Molar Surgery. Niger. J. Surg. 2014, 20, 59. [Google Scholar] [CrossRef]
- He, X.; Liu, Y.; Yuan, X.; Lu, L. Enhanced Healing of Rat Calvarial Defects with MSCs Loaded on BMP-2 Releasing Chitosan/Alginate/Hydroxyapatite Scaffolds. PLoS ONE 2014, 9, e104061. [Google Scholar] [CrossRef] [PubMed]
- Mohd Hilmi, A.B.; Hassan, A.; Halim, A.S. A Bilayer Engineered Skin Substitute for Wound Repair in an Irradiation-Impeded Healing Model on Rat. Adv. Wound Care 2015, 4, 312–320. [Google Scholar] [CrossRef] [PubMed]
- Tan, L.; Hu, J.; Huang, H.; Han, J.; Hu, H. Study of Multi-Functional Electrospun Composite Nanofibrous Mats for Smart Wound Healing. Int. J. Biol. Macromol. 2015, 79, 469–476. [Google Scholar] [CrossRef] [PubMed]
- Boynueǧri, D.; Özcan, G.; Şenel, S.; Uç, D.; Uraz, A.; Öǧüş, E.; Çakilci, B.; Karaduman, B. Clinical and Radiographic Evaluations of Chitosan Gel in Periodontal Intraosseous Defects: A Pilot Study. J. Biomed. Mater. Res.-Part B Appl. Biomater. 2009, 90B, 461–466. [Google Scholar] [CrossRef]
- Ishihara, M.; Nakanishi, K.; Ono, K.; Sato, M.; Kikuchi, M.; Saito, Y.; Yura, H.; Matsui, T.; Hattori, H.; Uenoyama, M.; et al. Photocrosslinkable Chitosan as a Dressing for Wound Occlusion and Accelerator in Healing Process. Biomaterials 2002, 23, 833–840. [Google Scholar] [CrossRef]
- Okamoto, Y.; Yano, R.; Miyatake, K.; Tomohiro, I.; Shigemasa, Y.; Minami, S. Effects of Chitin and Chitosan on Blood Coagulation. Carbohydr. Polym. 2003, 53, 337–342. [Google Scholar] [CrossRef]
- Fischer, T.H.; Valeri, C.R.; Smith, C.J.; Scull, C.M.; Merricks, E.P.; Nichols, T.C.; Demcheva, M.; Vournakis, J.N. Non-Classical Processes in Surface Hemostasis: Mechanisms for the Poly-N-Acetyl Glucosamine-Induced Alteration of Red Blood Cell Morphology and Surface Prothrombogenicity. Biomed. Mater. 2008, 3, 015009. [Google Scholar] [CrossRef]
- Malmquist, J.P.; Clemens, S.C.; Oien, H.J.; Wilson, S.L. Hemostasis of Oral Surgery Wounds With the HemCon Dental Dressing. J. Oral Maxillofac. Surg. 2008, 66, 1177–1183. [Google Scholar] [CrossRef] [PubMed]
- Dai, T.; Tegos, G.P.; Burkatovskaya, M.; Castano, A.P.; Hamblin, M.R. Chitosan Acetate Bandage as a Topical Antimicrobial Dressing for Infected Burns. Antimicrob. Agents Chemother. 2009, 53, 393–400. [Google Scholar] [CrossRef] [PubMed]
- Park, S.S.; Kim, S.G.; Lim, S.C.; Ong, J.L. Osteogenic Activity of the Mixture of Chitosan and Particulate Dentin. J. Biomed. Mater. Res.-Part A 2008, 87, 618–623. [Google Scholar] [CrossRef] [PubMed]
- Torres-Rosas, R.; Torres-Gómez, N.; Moreno-Rodríguez, A.; García-Contreras, R.; Argueta-Figueroa, L. Anti-Inflammatory and Antibacterial Activity of the Chitosan/Chlorhexidine Gel Commercial Preparation for Postexodontia Treatment: An in Vitro Study. Eur. J. Dent. 2020, 14, 397–403. [Google Scholar] [CrossRef]
- Pavez, L.; Tobar, N.; Chacón, C.; Arancibia, R.; Martínez, C.; Tapia, C.; Pastor, A.; González, M.; Martínez, J.; Smith, P.C. Chitosan-triclosan particles modulate inflammatory signaling in gingival fibroblasts. J. Periodontal Res. 2018, 53, 232–239. [Google Scholar] [CrossRef]
- Varoni, E.M.; Vijayakumar, S.; Canciani, E.; Cochis, A.; De Nardo, L.; Lodi, G.; Rimondini, L.; Cerruti, M. Chitosan-Based Trilayer Scaffold for Multitissue Periodontal Regeneration. J. Dent. Res. 2018, 97, 303–311. [Google Scholar] [CrossRef]











Disclaimer/Publisher’s Note: The statements, opinions and data contained in all publications are solely those of the individual author(s) and contributor(s) and not of MDPI and/or the editor(s). MDPI and/or the editor(s) disclaim responsibility for any injury to people or property resulting from any ideas, methods, instructions or products referred to in the content. |
© 2023 by the authors. Licensee MDPI, Basel, Switzerland. This article is an open access article distributed under the terms and conditions of the Creative Commons Attribution (CC BY) license (https://creativecommons.org/licenses/by/4.0/).
Share and Cite
de Jesus, G.; Marques, L.; Vale, N.; Mendes, R.A. The Effects of Chitosan on the Healing Process of Oral Mucosa: An Observational Cohort Feasibility Split-Mouth Study. Nanomaterials 2023, 13, 706. https://doi.org/10.3390/nano13040706
de Jesus G, Marques L, Vale N, Mendes RA. The Effects of Chitosan on the Healing Process of Oral Mucosa: An Observational Cohort Feasibility Split-Mouth Study. Nanomaterials. 2023; 13(4):706. https://doi.org/10.3390/nano13040706
Chicago/Turabian Stylede Jesus, Gonçalo, Lara Marques, Nuno Vale, and Rui Amaral Mendes. 2023. "The Effects of Chitosan on the Healing Process of Oral Mucosa: An Observational Cohort Feasibility Split-Mouth Study" Nanomaterials 13, no. 4: 706. https://doi.org/10.3390/nano13040706
APA Stylede Jesus, G., Marques, L., Vale, N., & Mendes, R. A. (2023). The Effects of Chitosan on the Healing Process of Oral Mucosa: An Observational Cohort Feasibility Split-Mouth Study. Nanomaterials, 13(4), 706. https://doi.org/10.3390/nano13040706

