Correction: Omori et al. Sinus Mucosal Damage Triggered by Synthetic or Xenogeneic Bone Substitutes: A Histological Analysis in Rabbits. J. Funct. Biomater. 2022, 13, 257
Error in Figure

Figure Legend
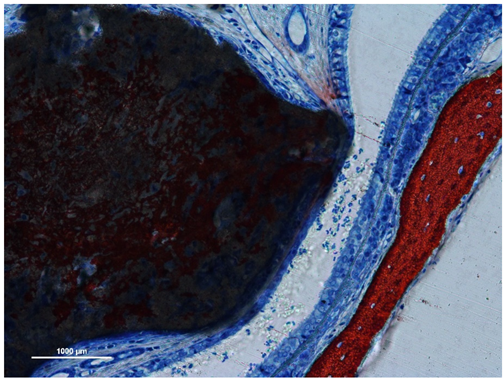
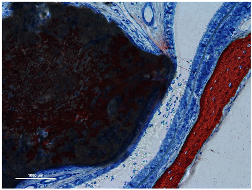
- Figure 1. (a) Synthetic site: Stevenel’s blue and alizarin red stain. (b) Xenogeneic site: toluidine blue stain. Note the progressive decrease in width of both sinus mucosae and pseudostratified epithelia. A loss of cilia is evident in the thinnest sites on both biomaterials. While the process of resorption has a minimal impact on the xenogeneic graft, the synthetic graft has undergone a process already described as an interpenetrating bone network [18] characterized by concurrent bone formation within the biomaterial structure during its resorption.
Reference
- Omori, Y.; Botticelli, D.; Migani, S.; Ferreira Balan, V.; Pires Godoy, E.; Xavier, S.P. Sinus Mucosal Damage Triggered by Synthetic or Xenogeneic Bone Substitutes: A Histological Analysis in Rabbits. J. Funct. Biomater. 2022, 13, 257. [Google Scholar] [CrossRef] [PubMed]
Disclaimer/Publisher’s Note: The statements, opinions and data contained in all publications are solely those of the individual author(s) and contributor(s) and not of MDPI and/or the editor(s). MDPI and/or the editor(s) disclaim responsibility for any injury to people or property resulting from any ideas, methods, instructions or products referred to in the content. |
© 2024 by the authors. Licensee MDPI, Basel, Switzerland. This article is an open access article distributed under the terms and conditions of the Creative Commons Attribution (CC BY) license (https://creativecommons.org/licenses/by/4.0/).
Share and Cite
Omori, Y.; Botticelli, D.; Migani, S.; Ferreira Balan, V.; Pires Godoy, E.; Xavier, S.P. Correction: Omori et al. Sinus Mucosal Damage Triggered by Synthetic or Xenogeneic Bone Substitutes: A Histological Analysis in Rabbits. J. Funct. Biomater. 2022, 13, 257. J. Funct. Biomater. 2024, 15, 121. https://doi.org/10.3390/jfb15050121
Omori Y, Botticelli D, Migani S, Ferreira Balan V, Pires Godoy E, Xavier SP. Correction: Omori et al. Sinus Mucosal Damage Triggered by Synthetic or Xenogeneic Bone Substitutes: A Histological Analysis in Rabbits. J. Funct. Biomater. 2022, 13, 257. Journal of Functional Biomaterials. 2024; 15(5):121. https://doi.org/10.3390/jfb15050121
Chicago/Turabian StyleOmori, Yuki, Daniele Botticelli, Stefano Migani, Vitor Ferreira Balan, Eduardo Pires Godoy, and Samuel Porfirio Xavier. 2024. "Correction: Omori et al. Sinus Mucosal Damage Triggered by Synthetic or Xenogeneic Bone Substitutes: A Histological Analysis in Rabbits. J. Funct. Biomater. 2022, 13, 257" Journal of Functional Biomaterials 15, no. 5: 121. https://doi.org/10.3390/jfb15050121
APA StyleOmori, Y., Botticelli, D., Migani, S., Ferreira Balan, V., Pires Godoy, E., & Xavier, S. P. (2024). Correction: Omori et al. Sinus Mucosal Damage Triggered by Synthetic or Xenogeneic Bone Substitutes: A Histological Analysis in Rabbits. J. Funct. Biomater. 2022, 13, 257. Journal of Functional Biomaterials, 15(5), 121. https://doi.org/10.3390/jfb15050121

