A Comprehensive Analysis of Early Alzheimer Disease Detection from 3D sMRI Images Using Deep Learning Frameworks
Abstract
1. Introduction
2. Related Works
3. Methodology
3.1. Proposed Architecture
3.2. Environment Setup
3.3. Dataset Collection
3.4. Dataset Preprocessing
3.5. Validation Process
3.6. Performance Metrics
3.6.1. Accuracy
3.6.2. Recall
3.6.3. Area Under the Curve
4. Transfer Learning Models
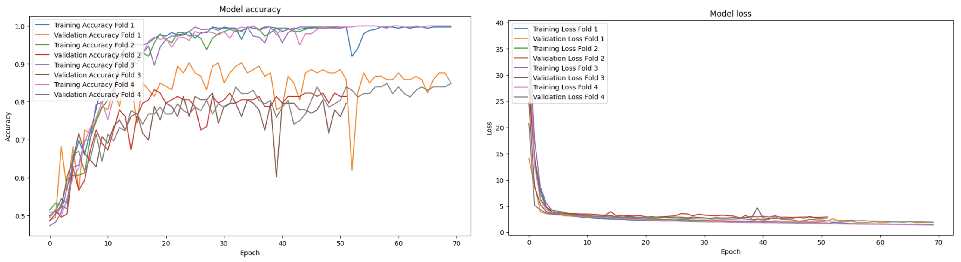
5. Results Analysis
5.1. Experiment 1
5.2. Experiment 2
6. Discussion
| Study | Databse | Method | Subjects | Accuracy | Specificity | Recall | Modality |
|---|---|---|---|---|---|---|---|
| [22], 2022 | ADNI | Multitask feature selection SVM | 25EMCI, 25NC | 82% | 84% | 80% | 2DMRI+SNP |
| [40], 2018 | ADNI | Ensemble learning | 42EMCI, 42NC | 81% | 78.57% | 83.3% | 2DMRI |
| [37], 2023 | ADNI | Hybrid-CNN | 164EMCI, 282NC | 85% | 81% | 87% | 2DMRI+DI |
| [17], 2023 | ADNI | 3D-CNN | 188AD, 400MCI, 229NC | - | - | - | 3DMRI |
| [8], 2020 | ADNI | VGG16 (Finetuning) | 70EMCI, 50NC | 89.4% | 89.3% | 92.9% | 2DMRI |
| [38], 2024 | ADNI | CNN | 171AD, 72LMCI, 233MCI, 240EMCI, 580NC | 99.30% | - | 99.30% | 2DMRI |
| [39], 2024 | Kaggle | CNN | 2560Healthy, 2561dementia | 98.24% | - | - | 2DMRI |
| Ours (Exp1) | ADNI | 3D-CNN | 164EMCI, 282NC | 81.80% | 80.50% | 82.50% | 3DMRI |
7. Conclusions and Future Work
Author Contributions
Funding
Data Availability Statement
Acknowledgments
Conflicts of Interest
References
- Arabahmadi, M.; Farahbakhsh, R.; Rezazadeh, J. Deep Learning for Smart Healthcare—A Survey on Brain Tumor Detection from Medical Imaging. Sensors 2022, 22, 1960. [Google Scholar] [CrossRef] [PubMed]
- Wang, J.; Li, Y.; Li, X.; Lu, Z. Alzheimer’s disease classification through imaging genetic data with IGnet. Front. Neurosci. 2022, 16, 846638. [Google Scholar] [CrossRef] [PubMed]
- Ebrahimighahnavieh, M.A.; Luo, S.; Chiong, R. Deep learning to detect Alzheimer’s disease from neuroimaging: A systematic literature review. Comput. Methods Programs Biomed. 2020, 187, 105242. [Google Scholar] [CrossRef] [PubMed]
- Mahmud, M.I.; Mamnun, M.; Abdelgawad, A. A deep analysis of brain tumor detection from mr images using deep learning networks. Algorithms 2023, 16, 176. [Google Scholar] [CrossRef]
- Akkus, Z.; Galimzianova, A.; Hoogi, A.; Rubin, D.L.; Erickson, B.J. Deep learning for brain MRI segmentation: State of the art and future directions. J. Digit. Imaging 2017, 30, 449–459. [Google Scholar] [CrossRef]
- Kang, L.; Jiang, J.; Huang, J.; Zhang, T. Identifying early mild cognitive impairment by multi-modality MRI-based deep learning. Front. Aging Neurosci. 2020, 12, 206. [Google Scholar] [CrossRef]
- Taheri Gorji, H.; Kaabouch, N. A deep learning approach for diagnosis of mild cognitive impairment based on MRI images. Brain Sci. 2019, 9, 217. [Google Scholar] [CrossRef]
- Jiang, J.; Kang, L.; Huang, J.; Zhang, T. Deep learning based mild cognitive impairment diagnosis using structure MR images. Neurosci. Lett. 2020, 730, 134971. [Google Scholar] [CrossRef]
- Bi, X.; Li, L.; Xu, R.; Xing, Z. Pathogenic Factors Identification of Brain Imaging and Gene in Late Mild Cognitive Impairment. Interdiscip. Sci. Comput. Life Sci. 2021, 13, 511–520. [Google Scholar] [CrossRef]
- Lara-Garduno, R.; Jia, Y.; Deutz, N.; Engelen, M.; Leslie, N.; Hammond, T. Detecting mild cognitive impairment through digitized trail-making test interface. In Proceedings of the Graphics Interface, Montreal, QC, Canada, 17 May 2022. [Google Scholar]
- Odusami, M.; Maskeliūnas, R.; Damaševičius, R. An intelligent system for early recognition of Alzheimer’s disease using neuroimaging. Sensors 2022, 22, 740. [Google Scholar] [CrossRef]
- Lim, B.Y.; Lai, K.W.; Haiskin, K.; Kulathilake, K.S.H.; Ong, Z.C.; Hum, Y.C.; Dhanalakshmi, S.; Wu, X.; Zuo, X. Deep learning model for prediction of progressive mild cognitive impairment to Alzheimer’s disease using structural MRI. Front. Aging Neurosci. 2022, 14, 876202. [Google Scholar] [CrossRef] [PubMed]
- Litjens, G.; Kooi, T.; Bejnordi, B.E.; Setio, A.A.A.; Ciompi, F.; Ghafoorian, M.; Laak, J.; Ginneken, B.V.; Sanchez, C.I. A survey on deep learning in medical image analysis. Med. Image Anal. 2017, 42, 60–88. [Google Scholar] [CrossRef] [PubMed]
- Abbasian, P.; Cherian, J.; Taele, P.; Hammond, H. Early Mild Cognitive Impairment Detection using a Hybrid Model. In Proceedings of the Companion Proceedings of the 28th International Conference on Intelligent User Interfaces, Sydney, NSW, Australia, 27–31 March 2023; pp. 51–54.
- Dou, Q.; Chen, H.; Yu, L.; Zhao, L.; Qin, J.; Wang, D.; Mok, V.C.; Shi, L.; Heng, P. Automatic Detection of Cerebral Microbleeds From MR Images via 3D Convolutional Neural Networks. IEEE Trans. Med. Imaging 2016, 35, 1182–1195. [Google Scholar] [CrossRef] [PubMed]
- Liu, M.; Cheng, D.; Wang, K.; Wang, Y. Multi-Modality Cascaded Convolutional Neural Networks for Alzheimer’s Disease Diagnosis. Neuroinform 2018, 42, 295–308. [Google Scholar] [CrossRef]
- Chakraborty, D.; Zhuang, Z.; Xue, H.; Fiecas, M.; Shen, X.; Pan, W. Deep learning-based feature extraction with MRI data in neuroimaging genetics for Alzheimer’s disease. Genes 2023, 14, 626. [Google Scholar] [CrossRef]
- Urban, G.; Bendszus, M.; Hamprecht, F.A.; Kleesiek, J. Multi-modal brain tumor segmentation using deep convolutional neural networks. In Proceedings of the Winning Contribution MICCAI BraTS (Brain Tumor Segmentation) Challenge, Boston, MA, USA, 14 September 2014; pp. 31–35. [Google Scholar]
- Ribeiro, M.T.; Singh, S.; Guestrin, C. “Why should i trust you?” Explaining the predictions of any classifier. In Proceedings of the 22nd ACM SIGKDD International Conference on Knowledge Discovery and Data Mining, San Francisco, CA, USA, 13–17 August 2016; pp. 1135–1144. [Google Scholar]
- Qiu, S.; Miller, M.I.; Joshi, P.S.; Lee, J.C.; Xue, C.; Ni, Y.; Wang, Y.; De Anda-Duran, I.; Hwang, P.H.; Cramer, J.A.; et al. Multimodal deep learning for Alzheimer’s disease dementia assessment. Nat. Commun. 2022, 13, 3404. [Google Scholar] [CrossRef]
- Adarsh, V.; Gangadharan, G.; Fiore, U.; Zanetti, P. Multimodal classification of Alzheimer’s disease and mild cognitive impairment using custom MKSCDDL kernel over CNN with transparent decision-making for explainable diagnosis. Sci. Rep. 2024, 14, 1774. [Google Scholar] [CrossRef]
- Sheng, J.; Xin, Y.; Zhang, Q.; Wang, L.; Yang, Z.; Yin, J. Predictive classification of Alzheimer’s disease using brain imaging and genetic data. Sci. Rep. 2022, 12, 2405. [Google Scholar] [CrossRef]
- Parmar, H.; Nutter, B.; Long, R.; Antani, S.; Mitra, S. Spatiotemporal feature extraction and classification of Alzheimer’s disease using deep learning 3D-CNN for fMRI data. J. Med. Imaging 2020, 7, 056001. [Google Scholar] [CrossRef]
- Jin, L.; Zhao, K.; Zhao, Y.; Che, T.; Li, S. A hybrid deep learning method for early and late mild cognitive impairment diagnosis with incomplete multimodal data. Front. Neuroinform. 2022, 16, 843566. [Google Scholar] [CrossRef]
- Ueda, M.; Ito, K.; Wu, K.; Sato, K.; Taki, Y.; Fukuda, H. An age estimation method using 3D-CNN from brain MRI images. In Proceedings of the IEEE 16th International Symposiumon Biomedical Imaging, Venice, Italy, 8–11 April 2019; pp. 380–383. [Google Scholar]
- Zou, L.; Zheng, J.; Miao, C.; Mckeown, M.J.; Wang, Z.J. 3D CNN based automatic diagnosis of attention deficit hyperactivity disorder using functional and structural MRI. IEEE Access 2017, 5, 23626–23636. [Google Scholar] [CrossRef]
- Wingo, T.S.; Lah, J.J.; Levey, A.I.; Cutler, D.J. Autosomal Recessive Causes Likely in Early-Onset Alzheimer Disease. Arch. Neurol. 2012, 69, 59–64. [Google Scholar] [CrossRef] [PubMed]
- Selvaraju, R.R.; Cogswell, M.; Das, A.; Vedantam, R.; Parikh, D.; Batra, D. Grad-cam: Visual explanations from deep networks via gradient-based localization. In Proceedings of the IEEE International Conference on Computer Vision, Venice, Italy, 22–29 October 2017; pp. 618–626. [Google Scholar]
- Velazquez, M.; Lee, Y. Multimodal ensemble model for Alzheimer’s disease conversion prediction from Early Mild Cognitive Impairment subjects. Comput. Biol. Med. 2022, 151, 106201. [Google Scholar] [CrossRef] [PubMed]
- Jenkinson, M.; Pechaud, M.; Smith, S. BET2: MR-based estimation of brain skull and scalp surfaces. In Proceedings of the Eleventh Annual Meeting of the Organization for Human Brain Mapping, Toronto, ON, Canada, 12–16 June 2005; Volume 167. [Google Scholar]
- Goceri, E.; Songül, C. Automated detection and extraction of skull from MR head images: Preliminary results. In Proceedings of the International Conference on Computer Science and Engineering (UBMK), Antalya, Turkey, 5–7 October 2017; pp. 171–176. [Google Scholar]
- Jenkinson, M.; Beckmann, C.F.; Behrens, T.E.; Woolrich, M.W.; Smith, S.M. FSL. Neuroimage 2012, 62, 782–790. [Google Scholar] [CrossRef] [PubMed]
- Zhuang, F.; Qi, Z.; Duan, K.; Xi, D.; Zhu, Y.; Zhu, H. A Comprehensive Survey on Transfer Learning. Proc. IEEE 2021, 109, 43–76. [Google Scholar] [CrossRef]
- Simonyan, K.; Zisserman, A. Very deep convolutional networks for large-scale image recognition. arXiv 2021, arXiv:1409.1556. [Google Scholar]
- Krizhevsky, A.; Sutskever, I.; Hinton, G.E. ImageNet Classification with Deep Convolutional Neural Networks. In Proceedings of the 25th International Conference on Neural Information Processing Systems, Siem Reap, Cambodia, 13–16 December 2018; Volume 1, pp. 1097–1105. [Google Scholar]
- He, K.; Chang, X.; Ren, S.; Sun, J. Deep Residual Learning for Image Recognition. In Proceedings of the Conference on Computer Vision and Pattern Recognition (CVPR), Las Vegas, NV, USA, 27–30 June 2016; pp. 770–778. [Google Scholar]
- Abbasian, P.; Zargarnezhad, H.; Hammond, T. Early Diagnosis of Mild Cognitive Impairment Using Deep Neural Network with Single and Multi-input Analysis. In Proceedings of the IEEE 11th International Conference on Healthcare Informatics (ICHI), Houston, TX, USA, 26–29 June 2023; pp. 301–310. [Google Scholar]
- El-Assy, A.M.; Amer, H.M.; Ibrahim, H.M.; Mohamed, M.A. A novel CNN architecture for accurate early detection and classification of Alzheimer’s disease using MRI data. Sci. Rep. 2024, 14, 3463. [Google Scholar] [CrossRef]
- Umair Ali, M.; Kim, K.S.; Khalid, M.; Farrash, M.; Zafar, A.; Lee, S.W. Enhancing Alzheimer’s disease diagnosis and staging: A multistage CNN framework using MRI. Front. Psychiatry 2024, 15, 1395563. [Google Scholar]
- Raeper, R.; Lisowska, A.; Rekik, I. Cooperative Correlational and Discriminative Ensemble Classifier Learning for Early Dementia Diagnosis Using Morphological Brain Multiplexes. IEEE Access 2018, 6, 43830–43839. [Google Scholar] [CrossRef]









| Reference | Dataset | Models | Classes | Performance | Limitations |
|---|---|---|---|---|---|
| [21], 2024 | 16,600 MRI brain image slices (Patients: N/A) | Explainable CNN + MKSCDDL | AD, NC, EMCI, LMCI, MCI | Accuracy: 98.27, Sensitivity: 98.87 Specificity = 96.46, AUC= 98.2 | Lacks an explanation of validation processes and use of PET modality. Integration of LIME and CAMs is insufficiently detailed. |
| [17], 2023 | 817 MRI images (Patients: 188 AD, 400 MCI, 229 NC) | 3D-CNN | AD, MCI, NC | Validation AUC: 88, Test AUC: 72 (whole brain) | Performance metrics were limited to AUC. |
| [2], 2022 | 379 MRI images (Patients: 174 AD, 205 NC) | 3D-CNN (IGnet) | AD, NC | Accuracy: 67.57, Sensitivity: 61.11 (only MRI images) | Focus on latest stage of disease. |
| [22], 2021 | 100 MRI images (Patients: 100, 25/classes) | Fisher score + Multitask feature selection + SVM | AD, LMCI, EMCI, NC | Accuracy: 82, Sensitivity: 80, Specificity: 84 (EMCI vs. NC) | Very small sample size. |
| [4], 2023 | 3264 MRI images (Patients: N/A) | CNN | Four types of brain tumor images | Accuracy: 93.3, AUC: 98.43, Recall: 91.19, loss: 0.25 | - |
| [11], 2022 | 7509 MRI image slices (Patients: 125, 25/classes) | ResNet-18 + DenseNet-121 + Randomized weight | AD, MCI, LMCI, EMCI, NC | Accuracy: 98.86, Sensitivity: 98.89, Precision: 98.94 (5Ways) | Slice-level prediction with limited details for the four test samples. |
| [23], 2020 | 2400 fMRI-4D (Patients: 120, 30/classes) | 3D-CNN | AD, LMCI, EMCI, NC | Accuracy: 93, Sensitivity: - , Precision: 93.18 | - |
| [24], 2022 | 360 MRI + PET images (Patients: 151 EMCI, 209 LMCI) | Hybrid 3D-CNN + generative adversial network (GAN) | EMCI, LMCI | Accuracy: 83.78, Sensitivity: 80.95, Specificity: 87.50, AUC: 88.99 | Subjective preprocessing method |
| EMCI | NC | |
|---|---|---|
| Number | 164 | 282 |
| Gender (F/M) | 66/98 | 142/140 |
| Age-mean [range] | 76.20 [62.7–91.1] | 78.75 [57.6–95.4] |
| Weight-mean [range] | 78.12 [35.8–112.0] | 75.2 [40.4–135.2] |
| Models | Optimizer | Epochs | Accuracy (%) | Specificity (%) | Recall (%) | Precision (%) |
|---|---|---|---|---|---|---|
| AlexNet | Adam | 70 | 69.62 | 77.45 | 61.82 | 75.34 |
| ResNet-50 | Adam | 70 | 57.46 | 26.55 | 88.36 | 56.00 |
| Developed 3D-CNN | Adam | 70 | 81.80 | 80.50 | 82.50 | 81.80 |
| Models | Optimizer | Epochs | Accuracy (%) | Specificity (%) | Recall (%) | Precision (%) |
|---|---|---|---|---|---|---|
| Developed 3D-CNN (Exp1) | Adam | 70 | 81.80 | 80.50 | 82.50 | 81.80 |
| Developed 3D-CNN (Exp2) | Adam | 70 | 91.24 | 91.58 | 90.88 | 92.26 |
Disclaimer/Publisher’s Note: The statements, opinions and data contained in all publications are solely those of the individual author(s) and contributor(s) and not of MDPI and/or the editor(s). MDPI and/or the editor(s) disclaim responsibility for any injury to people or property resulting from any ideas, methods, instructions or products referred to in the content. |
© 2024 by the authors. Licensee MDPI, Basel, Switzerland. This article is an open access article distributed under the terms and conditions of the Creative Commons Attribution (CC BY) license (https://creativecommons.org/licenses/by/4.0/).
Share and Cite
Abbasian, P.; Hammond, T.A. A Comprehensive Analysis of Early Alzheimer Disease Detection from 3D sMRI Images Using Deep Learning Frameworks. Information 2024, 15, 746. https://doi.org/10.3390/info15120746
Abbasian P, Hammond TA. A Comprehensive Analysis of Early Alzheimer Disease Detection from 3D sMRI Images Using Deep Learning Frameworks. Information. 2024; 15(12):746. https://doi.org/10.3390/info15120746
Chicago/Turabian StyleAbbasian, Pouneh, and Tracy A. Hammond. 2024. "A Comprehensive Analysis of Early Alzheimer Disease Detection from 3D sMRI Images Using Deep Learning Frameworks" Information 15, no. 12: 746. https://doi.org/10.3390/info15120746
APA StyleAbbasian, P., & Hammond, T. A. (2024). A Comprehensive Analysis of Early Alzheimer Disease Detection from 3D sMRI Images Using Deep Learning Frameworks. Information, 15(12), 746. https://doi.org/10.3390/info15120746

