Potential of Biosurfactants’ Production on Degrading Heavy Oil by Bacterial Consortia Obtained from Tsunami-Induced Oil-Spilled Beach Areas in Miyagi, Japan
Abstract
1. Introduction
2. Materials and Methods
2.1. Sample Collection and Chemicals
2.2. Enrichment of Bacterial Consortia
2.3. TPH Degradation Analysis
2.4. DNA Extraction
2.5. Microbial Community Analyses
2.5.1. Polymerase Chain Reaction—Denaturing Gradient Gel Electrophoresis (PCR-DGGE)
2.5.2. Next-Generation Sequencing (NGS)
2.6. Real-Time qPCR Analysis
2.7. Biosurfactants’ Measurements
2.7.1. Qualitative Assay
Parafilm M Test
Emulsification Index E24
Oil-Spreading Assay
2.7.2. Surface Tension Measurement
2.7.3. Statistic Analysis
3. Results
3.1. Comparison of Microbial Community Analysis
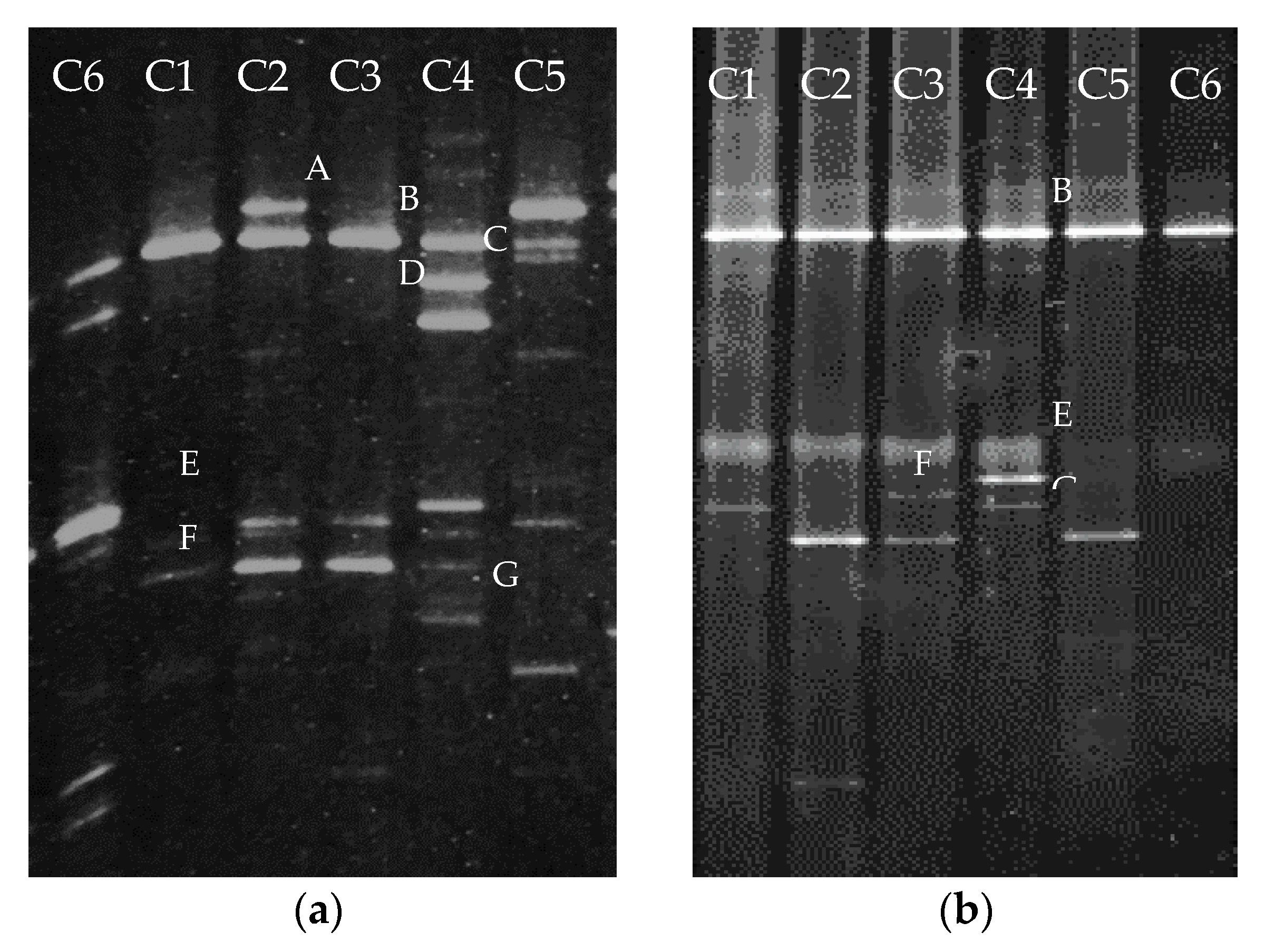
3.1.1. Microbial Community Analysis by PCR-DGGE
3.1.2. Microbial Community Analysis by NGS
3.2. TPH Degradation and Biosurfactant Production
4. Discussion
5. Conclusions
Supplementary Materials
Author Contributions
Funding
Acknowledgments
Conflicts of Interest
References
- Mnif, I.; Sahnoun, R.; Ellouz-Chaabouni, S.; Ghribi, D. Application of bacterial biosurfactants for enhanced removal and biodegradation of diesel oil in soil using a newly isolated consortium. Process Saf. Environ. Prot. 2017, 109, 72–81. [Google Scholar] [CrossRef]
- Ismail, W.; Al-Rowaihi, I.S.; Al-Humam, A.A.; Hamza, R.Y.; Nayal, A.M.; Bououdina, M. Characterization of a lipopeptide biosurfactant produced by a crude-oil-emulsifying Bacillus sp. I-15. Int. Biodeterior. Biodegrad. 2013, 84, 168–178. [Google Scholar] [CrossRef]
- Nishino, T.; Takagi, Y. Numerical analysis of tsunami-triggered oil spill fires from petrochemical industrial complexes in Osaka Bay, Japan, for thermal radiation hazard assessment. Int. J. Disaster Risk Reduct. 2020, 42. [Google Scholar] [CrossRef]
- Wang, C.; Liu, X.; Guo, J.; Lv, Y.; Li, Y. Biodegradation of marine oil spill residues using aboriginal bacterial consortium based on Penglai 19-3 oil spill accident. Ecotoxicol. Environ. Saf. 2018, 159, 20–27. [Google Scholar] [CrossRef] [PubMed]
- Arora, N.K. Bioremediation: A green approach for restoration of polluted ecosystems. Environ. Sustain. 2018, 1, 305–307. [Google Scholar] [CrossRef]
- Azubuike, C.C.; Chikere, C.B.; Okpokwasili, G.C. Bioremediation techniques–classification based on site of application: Principles, advantages, limitations and prospects. World J. Microbiol. Biotechnol. 2016, 32. [Google Scholar] [CrossRef]
- Cui, J.-Q.; He, Q.-S.; Liu, M.-H.; Chen, H.; Sun, M.-B.; Wen, J.-P. Comparative study on different remediation strategies applied in petroleum-contaminated soils. Int. J. Environ. Res. Public Health 2020, 17, 1606. [Google Scholar] [CrossRef]
- Patowary, K.; Patowary, R.; Kalita, M.C.; Deka, S. Development of an efficient bacterial consortium for the potential remediation of hydrocarbons from contaminated sites. Front. Microbiol. 2016, 7. [Google Scholar] [CrossRef]
- Abdel-Moghny, T.; Mohamed, R.S.A.; El-Sayed, E.; Aly, S.M.; Snousy, M.G. Removing of hydrocarbon contaminated soil via air flushing enhanced by surfactant. Appl. Petrochem. Res. 2012, 2, 51–59. [Google Scholar] [CrossRef]
- Christofi, N.; Ivshina, I.B. Microbial surfactants and their use in field studies of soil remediation. J. Appl. Microbiol. 2020, 93, 915–929. [Google Scholar] [CrossRef]
- Mohanty, S.; Jasmine, J.; Mukherji, S. Practical considerations and challenges involved in surfactant enhanced bioremediation of oil. BioMed Res. Int. 2013. [Google Scholar] [CrossRef] [PubMed]
- Park, T.; Jeon, M.K.; Yoon, S.; Lee, K.S.; Kwon, T.H. Modification of interfacial tension and wettability in oil–brine–quartz system by in situ bacterial biosurfactant production at reservoir conditions: Implications for microbial enhanced oil recovery. Energy Fuels 2019, 33, 4909–4920. [Google Scholar] [CrossRef]
- Pacwa-Płociniczak, M.; Płaza, G.A.; Piotrowska-Seget, Z.; Cameotra, S.S. Environmental applications of biosurfactants: Recent advances. Int. J. Mol. Sci. 2011, 12, 633–654. [Google Scholar] [CrossRef] [PubMed]
- Santos, D.K.F.; Rufino, R.D.; Luna, J.M.; Santos, V.A.; Sarubbo, L.A. Biosurfactants: Multifunctional biomolecules of the 21st century. Int. J. Mol. Sci. 2016, 17, 401. [Google Scholar] [CrossRef] [PubMed]
- Almeida, D.G.; Rufino, R.D.; Luna, J.M.; Santos, V.A.; Sarubbo, L.A. Applications of biosurfactants in the petroleum industry and the remediation of oil spills. Int. J. Mol. Sci. 2014, 15, 12523–12542. [Google Scholar]
- Makkar, R.S.; Cameotra, S.S.; Banat, I.M. Advances in utilization of renewable substrates for biosurfactant production. AMB Express 2011, 1. [Google Scholar] [CrossRef]
- Carmen, R.; Alessandro, C.; Luigi, M.; Emilio, D.; Carlos, R.; Antonio, C.; Angelina, G. Efficiency in hydrocarbon degradation and biosurfactant production by Joostella sp. A8 when grown in pure culture and consortia. J. Environ. Sci. 2018, 67, 115–126. [Google Scholar]
- Zajic, J.E.; Supplisson, B. Emulsification and degradation of ‘Bunker C’ fuel oil by microorganisms. Biotechnol. Bioeng. 1972, 14, 331–343. [Google Scholar] [CrossRef]
- Dominguez, J.J.A.; Inoue, C.; Chien, M.F. Hydroponic approach to assess rhizodegradation by sudangrass (Sorghum x drummondii) reveals pH- and plant age-dependent variability in bacterial degradation of polycyclic aromatic hydrocarbons (PAHs). J. Hazard. Mater. 2020, 387. [Google Scholar] [CrossRef]
- Muyzer, G.; de Waal, E.C.; Uitterlinden, A.G. Profiling of complex microbial populations by denaturing gradient gel electrophoresis analysis of polymerase chain reaction-amplified genes coding for 16S rRNA. Appl. Environ. Microbiol. 1993, 59, 695–700. [Google Scholar] [CrossRef]
- Caporaso, J.G. Global patterns of 16S rRNA diversity at a depth of millions of sequences per sample. Proc. Natl. Acad. Sci. USA 2011, 108, 4516–4522. [Google Scholar] [CrossRef]
- Youssef, N.H.; Duncan, K.E.; Nagle, D.P.; Savage, K.N.; Knapp, R.M.; McInerney, M.J. Comparison of methods to detect biosurfactant production by diverse microorganisms. J. Microbiol. Methods 2004, 56, 339–347. [Google Scholar] [CrossRef] [PubMed]
- Walter, V.; Syldatk, C.; Hausmann, R. Screening concepts for the isolation of biosurfactant producing microorganisms. In Biosurfactants. Advances in Experimental Medicine and Biology; Sen, R., Ed.; Springer: New York, NY, USA, 2010; Volume 672, pp. 1–13. [Google Scholar]
- Peele, K.A.; Kodali, V.P. Emulsifying activity of a biosurfactant produced by a marine bacterium. 3 Biotech 2016, 6. [Google Scholar] [CrossRef] [PubMed]
- Grace, L.; Chang, T.C.; Whang, L.M.; Kao, C.H.; Pan, P.T.; Cheng, S.S. Bioremediation of petroleum hydrocarbon contaminated soil: Effects of strategies and microbial community shift. Int. Biodeterior. Biodegrad. 2011, 65, 1119–1127. [Google Scholar] [CrossRef]
- Paulson, D.S. Applied Biomedical Microbiology: A Biofilms Approach; CRC Press: Boca Raton, FL, USA, 2009. [Google Scholar]
- Sekiguchi, H.; Tomioka, N.; Nakahara, T.; Uchiyama, H. A single band does not always represent single bacterial strains in denaturing gradient gel electrophoresis analysis. Biotechnol. Lett. 2001, 23, 1205–1208. [Google Scholar] [CrossRef]
- Jayeeta, S.; Sufia, K.; Abhishek, G.; Avishek, D.; Balaram, M.; Ajoy, R.; Paramita, B.; Adinpunya, M.; Pinaki, S. Biostimulation of indigenous microbial community for bioremediation of petroleum refinery sludge. Front. Microbiol. 2016, 7, 1407. [Google Scholar] [CrossRef]
- Xu, X. Petroleum hydrocarbon-degrading bacteria for the remediation of oil pollution under aerobic conditions: A perspective analysis. Front. Microbiol. 2018, 9, 2885. [Google Scholar] [CrossRef]
- Venosa, A.D.; Zhu, X. Biodegradation of crude oil contaminating marine shorelines and freshwater wetlands. Spill Sci. Technol. Bull. 2003, 8, 163–178. [Google Scholar] [CrossRef]
- Ibrar, H.; Zhang, H. Construction of a hydrocarbon-degrading consortium and characterization of two new lipopeptides biosurfactants. Sci. Total Environ. 2020, 714, 136400. [Google Scholar] [CrossRef]
- Kertesz, M.A.; Kawasaki, A. Hydrocarbon-degrading sphingomonads: Sphingomonas, sphingobium, novosphingobium, and sphingopyxis. In Handbook of Hydrocarbon and Lipid Microbiology; Timmis, K.N., Ed.; Springer: Berlin/Heidelberg, Germany, 2010; pp. 1693–1705. [Google Scholar]
- Zhang, G.; Wu, Y.; Qian, X.; Meng, Q. Biodegradation of crude oil by Pseudomonas aeruginosa in the presence of rhamnolipids. J. Zhejiang Univ. Sci. B 2005, 6, 725–730. [Google Scholar] [CrossRef]
- Ueno, A.; Hasanuzzaman, M.; Yumoto, I.; Okuyama, H. Verification of degradation of n-alkanes in diesel oil by pseudomonas aeruginosa strain watg in soil microcosms. Curr. Microbiol. 2006, 52, 182–185. [Google Scholar] [CrossRef] [PubMed][Green Version]
- Muriel-Millán, L.F. Functional and genomic characterization of a pseudomonas aeruginosa strain isolated from the southwestern gulf of Mexico reveals an enhanced adaptation for long-chain alkane degradation. Front. Mar. Sci. 2019, 6, 572. [Google Scholar] [CrossRef]
- Chaerun, S.K.; Tazaki, K.; Asada, R.; Kogure, K. Bioremediation of coastal areas 5 years after the Nakhodka oil spill in the Sea of Japan: Isolation and characterization of hydrocarbon-degrading bacteria. Environ. Int. 2004, 30, 911–922. [Google Scholar] [CrossRef] [PubMed]
- Khan, N.H.; Ahsan, M.; Yoshizawa, S.; Hosoya, S.; Yokota, A.; Kogure, K. Multilocus sequence typing and phylogenetic analyses of Pseudomonas aeruginosa Isolates from the ocean. Appl. Environ. Microbiol. 2008, 74, 6194–6205. [Google Scholar] [CrossRef] [PubMed]
- Ghosal, D.; Ghosh, S.; Dutta, T.K.; Ahn, Y. Current state of knowledge in microbial degradation of polycyclic aromatic hydrocarbons (PAHs): A review. Front. Microbiol. 2016, 7, 1369. [Google Scholar] [CrossRef]
- John, M.; Stephen, T.; Julian, F.; Nagissa, M.; Dominique, J.; Jiang, L.; Scott, O.; Eric, A.; Adolfo, F.; Piero, G.; et al. Oil hydrocarbon degradation by caspian sea microbial communities. Front. Microbiol. 2019, 10, 995. [Google Scholar] [CrossRef]
- Yue-Hui, H.; Cong-Cong, Y.; Qian-Zhi, Z.; Xiao-Ying, W.; Jian-Ping, Y.; Juan, P.; Hailin, D.; Jiang-Hai, W. Genome sequencing reveals the potential of Achromobacter sp. hz01 for bioremediation. Front. Microbiol. 2017, 8, 1507. [Google Scholar] [CrossRef]
- Dave, B.P.; Ghevariya, C.M.; Bhatt, J.K.; Dudhagara, D.R.; Rajpara, R.K. Enhanced biodegradation of total polycyclic aromatic hydrocarbons (TPAHs) by marine halotolerant Achromobacter xylosoxidans using Triton X-100 and β-cyclodextrin--a microcosm approach. Mar. Pollut. Bull. 2014, 79, 123–129. [Google Scholar] [CrossRef]
- Deng, M.-C. Characterization of a novel biosurfactant produced by marine hydrocarbon-degrading bacterium Achromobacter sp. HZ01. J. Appl. Microbiol. 2016, 120, 889–899. [Google Scholar] [CrossRef]
- CHAI, L. Isolation and characterization of a crude oil degrading bacteria from formation water: Comparative genomic analysis of environmental Ochrobactrum intermedium isolate versus clinical strains. J. Zhejiang Univ. Sci. B 2015, 16, 865–874. [Google Scholar] [CrossRef]
- Bhattacharya, M.; Biswas, D.; Sana, S.; Datta, S. Biodegradation of waste lubricants by a newly isolated Ochrobactrum sp. 3 Biotech 2015, 5, 807–817. [Google Scholar] [CrossRef] [PubMed]
- Wu, Y. Isolation of marine benzo pyrene-degrading Ochrobactrum sp. BAP5 and proteins characterization. J. Environ. Sci. 2009, 21, 1446–1451. [Google Scholar] [CrossRef]
- Doan, C.D.P.; Sano, A.; Tamaki, H.; Pham, H.N.D.; Duong, X.H.; Terashima, Y. Identification and biodegradation characteristics of oil-degrading bacteria from subtropical Iriomote Island, Japan, and tropical Con Dao Island, Vietnam. Tropics 2016, 25, 147–159. [Google Scholar] [CrossRef]
- Gudiña, E.J.; Teixeira, J.A.; Rodrigues, L.R. Biosurfactants produced by marine microorganisms with therapeutic applications. Mar. Drugs 2016, 14, 38. [Google Scholar] [CrossRef] [PubMed]
- Floris, R.; Rizzo, C.; Giudice, A.L. Biosurfactants from marine microorganisms. Metab. New Insights Biol. Med. 2018. [Google Scholar] [CrossRef]
- Souza, E.C.; Vessoni-Penna, T.C.; de Souza, R.P. Biosurfactant-enhanced hydrocarbon bioremediation: An overview. Int. Biodeterior. Biodegrad. 2014, 89, 88–94. [Google Scholar] [CrossRef]
- Urum, K.; Pekdemir, T. Evaluation of biosurfactants for crude oil contaminated soil washing. Chemosphere 2004, 57, 1139–1150. [Google Scholar] [CrossRef]
- Bacosa, H.P.; Inoue, C. Polycyclic aromatic hydrocarbons (PAHs) biodegradation potential and diversity of microbial consortia enriched from tsunami sediments in Miyagi, Japan. J. Hazard. Mater. 2015, 283, 689–697. [Google Scholar] [CrossRef]
- Bird, W.A.; Grossman, E. Chemical aftermath: Contamination and cleanup following the tohoku earthquake and tsunami. Environ. Health Perspect. 2011, 119, 290–301. [Google Scholar] [CrossRef]
- Ermakova, I.T. Organophosphonates utilization by soil strains of Ochrobactrum anthropi and Achromobacter sp. Arch. Microbiol. 2017, 199, 665–675. [Google Scholar] [CrossRef]






| Screening Methods | No Inoculum | C1 | C2 | C3 | C4 | C5 | C6 |
|---|---|---|---|---|---|---|---|
| Parafilm test a | - | +++ | +++ | + | +++ | ++ | +++ |
| E24 (%) | - | 35% | 50% | 50% | 30% | 10% | 10% |
| Oil-spreading assay b | - | ++ | ++ | + | +++ | +++ | +++ |
© 2020 by the authors. Licensee MDPI, Basel, Switzerland. This article is an open access article distributed under the terms and conditions of the Creative Commons Attribution (CC BY) license (http://creativecommons.org/licenses/by/4.0/).
Share and Cite
Primeia, S.; Inoue, C.; Chien, M.-F. Potential of Biosurfactants’ Production on Degrading Heavy Oil by Bacterial Consortia Obtained from Tsunami-Induced Oil-Spilled Beach Areas in Miyagi, Japan. J. Mar. Sci. Eng. 2020, 8, 577. https://doi.org/10.3390/jmse8080577
Primeia S, Inoue C, Chien M-F. Potential of Biosurfactants’ Production on Degrading Heavy Oil by Bacterial Consortia Obtained from Tsunami-Induced Oil-Spilled Beach Areas in Miyagi, Japan. Journal of Marine Science and Engineering. 2020; 8(8):577. https://doi.org/10.3390/jmse8080577
Chicago/Turabian StylePrimeia, Sandia, Chihiro Inoue, and Mei-Fang Chien. 2020. "Potential of Biosurfactants’ Production on Degrading Heavy Oil by Bacterial Consortia Obtained from Tsunami-Induced Oil-Spilled Beach Areas in Miyagi, Japan" Journal of Marine Science and Engineering 8, no. 8: 577. https://doi.org/10.3390/jmse8080577
APA StylePrimeia, S., Inoue, C., & Chien, M.-F. (2020). Potential of Biosurfactants’ Production on Degrading Heavy Oil by Bacterial Consortia Obtained from Tsunami-Induced Oil-Spilled Beach Areas in Miyagi, Japan. Journal of Marine Science and Engineering, 8(8), 577. https://doi.org/10.3390/jmse8080577

