Antioxidant and Metabolic Response to Acute Acidification Stress of Juvenile Yellowfin Tuna (Thunnus albacares)
Abstract
1. Introduction
2. Materials and Methods
2.1. Experimental Materials
2.2. Sample Collection and Processing
2.3. Statistical Analyses
3. Results
3.1. Effect of Acute Acidification Stress on Antioxidant Parameters of Yellowfin Tuna Liver
3.2. Effects of Acute Acidification Stress on Metabolic Parameters of Yellowfin Tuna in Liver and Trunk Kidney
3.3. Effect of Acute Acidification Stress of Yellowfin Tuna on Serum Indices
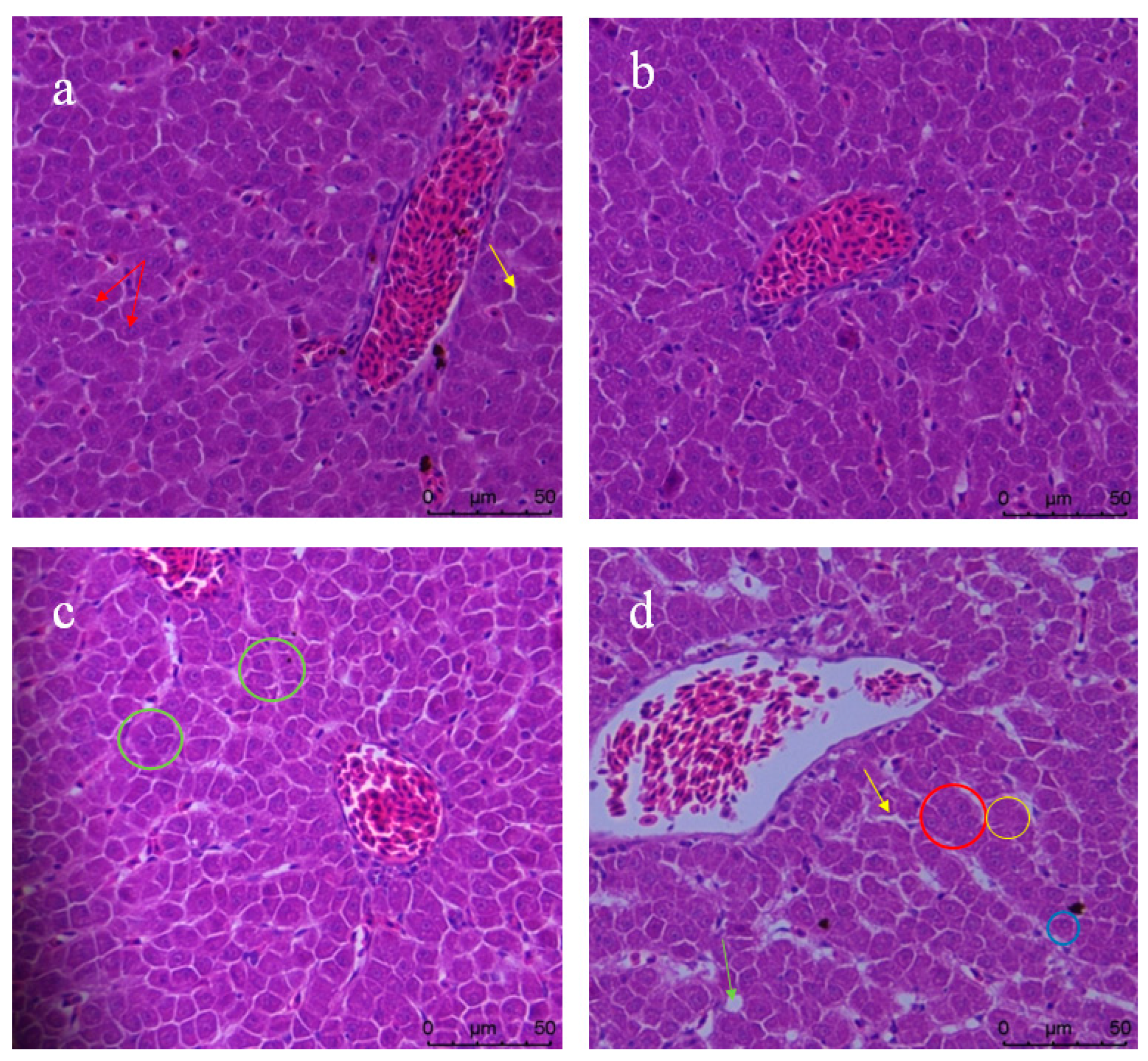
3.4. Effect of Acute Acidification Stress of Yellowfin Tuna on Liver Histology
4. Discussion
4.1. Effects of Acute Acidification Stress on the Antioxidant Defense System of Yellowfin Tuna
4.2. Effects of Acute Acidification Stress on Metabolic Function of Yellowfin Tuna
5. Conclusions
Author Contributions
Funding
Institutional Review Board Statement
Informed Consent Statement
Data Availability Statement
Conflicts of Interest
References
- Frommel, A.Y.; Maneja, R.; Lowe, D.; Malzahn, A.M.; Geffen, A.J.; Folkvord, A.; Piatkowski, U.; Reusch, T.B.H.; Clemmesen, C. Severe tissue damage in Atlantic cod larvae under increasing ocean acidification. Nat. Clim. Chang. 2012, 2, 42–46. [Google Scholar] [CrossRef]
- Kurihara, H.; Ishimatsu, A. Effects of high CO2 seawater on the copepod (Acartia tsuensis) through all life stages and subsequent generations. Mar. Pollut. Bull. 2008, 56, 1086–1090. [Google Scholar] [CrossRef] [PubMed]
- Michaelidis, B.; Spring, A.; Pörtner, O.H. Effects of long-term acclimation to environmental hypercapnia on extracellular acid–base status and metabolic capacity in Mediterranean fish Sparus aurata. Mar. Biol. 2007, 150, 1417–1429. [Google Scholar] [CrossRef]
- Denman, K.; Christian, J.R.; Steiner, N.; Pörtner, H.-O.; Nojiri, Y. Potential impacts of future ocean acidification on marine ecosystems and fisheries: Current knowledge and recommendations for future research. ICES J. Mar. Sci. 2011, 68, 1019–1029. [Google Scholar] [CrossRef]
- Glaspie, N.C.; Longmire, K.; Seitz, D.R. Acidification alters predator-prey interactions of blue crab Callinectes sapidus and soft-shell clam Mya arenaria. J. Exp. Mar. Biol. Ecol. 2017, 489, 58–65. [Google Scholar] [CrossRef]
- Miller, S.; Breitburg, D.; Burrell, R.; Keppel, A. Acidification increases sensitivity to hypoxia in important forage fishes. Mar. Ecol. Prog. Ser. 2016, 549, 1–8. [Google Scholar] [CrossRef]
- Regaudie-de-Gioux, A.; Duarte, C.M. Temperature dependence of planktonic metabolism in the ocean. Glob. Biogeochem. Cycles 2012, 26, 1015. [Google Scholar] [CrossRef]
- Lushchak, I.V. Environmentally induced oxidative stress in aquatic animals. Aquat. Toxicol. 2010, 101, 13–30. [Google Scholar] [CrossRef] [PubMed]
- Berenbrink, M. Evolution of vertebrate haemoglobins: Histidine side chains, specific buffer value and Bohr effect. Respir. Physiol. Neurobiol. 2006, 154, 165–184. [Google Scholar] [CrossRef]
- Pörtner, O.H.; Knust, R. Climate Change Affects Marine Fishes Through the Oxygen Limitation of Thermal Tolerance. Science 2007, 315, 95–97. [Google Scholar] [CrossRef]
- Yamada, N.; Suzumura, M. Effects of Seawater Acidification on Hydrolytic Enzyme Activities. J. Oceanogr. 2010, 66, 233–241. [Google Scholar] [CrossRef]
- Ding, Z.K.; Wang, F.P.; Xu, Y.Q. Effect of Ocean Acidification on Metabolism of Marine Organisms. Fish. Sci. 2015, 34, 331–334. [Google Scholar] [CrossRef]
- Tao, L.; Xiaobo, Y.; Xiaohui, D.; Pan, S.; Tan, B.; Zhang, S.; Suo, X.; Huang, W.; Zhou, M.; Yang, Y. Effects of choline supplementation on growth performance, liver histology, nonspecific immunity and related genes expression of hybrid grouper (♀ Epinephelus fuscoguttatus × ♂ E. lanceolatu) fed with high-lipid diets. Fish Shellfish. Immunol. 2023, 138, 108815. [Google Scholar]
- Petochi, T.; Di Marco, P.; Priori, A.; Finoia, M.; Mercatali, I.; Marino, G. Coping strategy and stress response of European sea bass Dicentrarchus labrax to acute and chronic environmental hypercapnia under hyperoxic conditions. Aquaculture 2011, 315, 312–320. [Google Scholar] [CrossRef]
- Noor, N.M.; De, M.; Cob, Z.C.; Das, S.K. Welfare of scaleless fish, Sagor catfish (Hexanematichthys sagor) juveniles under different carbon dioxide concentrations. Aquac. Res. 2021, 52, 2980–2987. [Google Scholar] [CrossRef]
- Hoyle, S.D.; Williams, A.J.; Minte-Vera, C.V.; Maunder, M.N. Approaches for estimating natural mortality in tuna stock assessments: Application to global yellowfin tuna stocks. Fish. Res. 2023, 257, 106498. [Google Scholar] [CrossRef]
- Harley, C.D.G.; Randall Hughes, A.; Hultgren, K.M.; Miner, B.G.; Sorte, C.J.B.; Thornber, C.S.; Rodriguez, L.F.; Tomanek, L.; Williams, S.L. The impacts of climate change in coastal marine systems. Ecol. Lett. 2006, 9, 228–241. [Google Scholar] [CrossRef]
- Lingbin, S.; Jinpeng, R.; Mengchao, L.; Chen, M.; Dai, Z.; Zuo, Z. Combined effects of ocean acidification and crude oil pollution on tissue damage and lipid metabolism in embryo-larval development of marine medaka (Oryzias melastigma). Environ. Geochem. Health 2019, 41, 1847–1860. [Google Scholar]
- Kurihara, H. Effects of CO2-driven ocean acidification on the early developmental stages of invertebrates. Mar. Ecol. Prog. Ser. 2008, 373, 275–284. [Google Scholar] [CrossRef]
- Caldeira, K.; Wickett, E.M. Ocean model predictions of chemistry changes from carbon dioxide emissions to the atmosphere and ocean. J. Geophys. Res. Ocean. 2005, 110, C09S04. [Google Scholar] [CrossRef]
- Bromhead, D.; Scholey, V.; Nicol, S.; Margulies, D.; Wexler, J.; Stein, M.; Hoyle, S.; Lennert-Cody, C.; Williamson, J.; Havenhand, J.; et al. The potential impact of ocean acidification upon eggs and larvae of yellowfin tuna (Thunnus albacares). Deep-Sea Res. Part II 2015, 113, 268–279. [Google Scholar] [CrossRef]
- Xu, M.; Sun, T.; Tang, X.; Lu, K.; Jiang, Y.; Cao, S.; Wang, Y. Title: CO2 and HCl-induced seawater acidification impair the ingestion and digestion of blue mussel Mytilus edulis. Chemosphere 2020, 240, 124821. [Google Scholar] [CrossRef]
- Sun, T.; Tang, X.; Zhou, B.; Wang, Y. Comparative studies on the effects of seawater acidification caused by CO2 and HCl enrichment on physiological changes in Mytilus edulis. Chemosphere 2016, 144, 2368–2376. [Google Scholar] [CrossRef]
- Fu, Z.; Qin, J.G.; Ma, Z.; Yu, G. Acute acidification stress weakens the head kidney immune function of juvenile Lates calcarifer. Ecotoxicol. Environ. Saf. 2021, 225, 112712. [Google Scholar] [CrossRef] [PubMed]
- Navarro, J.M.; Torres, R.; Acuña, K.; Duarte, C.; Manriquez, P.H.; Lardies, M.; Lagos, N.A.; Vargas, C.; Aguilera, V. Impact of medium-term exposure to elevated p CO2 levels on the physiological energetics of the mussel Mytilus chilensis. Chemosphere 2013, 90, 1242–1248. [Google Scholar] [CrossRef] [PubMed]
- Jonathan, M. IPCC Special Report on the Ocean and Cryosphere in a Changing Climate. New York Rev. Books 2020, 67, 49–51. [Google Scholar]
- Arthur, J.B.; Bjerkeng, B.; Pettersen, O.; Schaanning, M.T.; Øxnevad, S. Effects of increased sea water concentrations of CO2 on growth of the bivalve Mytilus edulis L. Chemosphere 2006, 62, 681–687. [Google Scholar]
- Orr, J.C.; Fabry, V.J.; Aumont, O.; Bopp, L.; Doney, S.C.; Feely, R.A.; Gnanadesikan, A.; Gruber, N.; Ishida, A.; Joos, F.; et al. Anthropogenic ocean acidification over the twenty-first century and its impact on calcifying organisms. Nature 2005, 437, 681–686. [Google Scholar] [CrossRef] [PubMed]
- Zhang, N.; Yang, R.; Fu, Z.; Yu, G.; Ma, Z. Mechanisms of Digestive Enzyme Response to Acute Salinity Stress in Juvenile Yellowfin Tuna (Thunnus albacares). Animals 2023, 13, 3454. [Google Scholar] [CrossRef]
- Liu, H.; Fu, Z.; Yu, G.; Ma, Z.; Zong, H. Effects of Acute High-Temperature Stress on Physical Responses of Yellowfin Tuna (Thunnus albacares). J. Mar. Sci. Eng. 2022, 10, 1857. [Google Scholar] [CrossRef]
- Rosseland, B.O.; Massabuau, J.C.; Grimalt, J.; Rosseland, B.O.; Massabuau, J.C.; Grimalt, J.; Hofer, R.; Lackner, R.; Raddum, G.; Rognerud, S.; et al. Fish Ecotoxicology: European Mountain Lake Ecosystems Regionalisation, Diagnostic and Socio-Economic Evaluation (EMERGE); Norwegian Institute for Water Research (NIVA): Oslo, Norway, 2003; p. 23. [Google Scholar]
- Yancheva, V.; Georgieva, E.; Velcheva, I.; Iliev, I.; Stoyanova, S.; Vasileva, T.; Bivolarski, V.; Todorova-Bambaldokova, D.; Zulkipli, N.; Antal, L.; et al. Assessment of the exposure of two pesticides on common carp (Cyprinus carpio Linnaeus, 1758): Are the prolonged biomarker responses adaptive or destructive? Comp. Biochem. Physiol. Part C: Toxicol. Pharmacol. 2022, 261, 109446. [Google Scholar]
- Georgieva, E.; Yancheva, V.; Stoyanova, S.; Velcheva, I.; Iliev, I.; Vasileva, T.; Bivolarski, V.; Petkova, E.; László, B.; Nyeste, K.; et al. Which Is More Toxic? Evaluation of the Short-Term Toxic Effects of Chlorpyrifos and Cypermethrin on Selected Biomarkers in Common Carp (Cyprinus carpio, Linnaeus 1758). Toxics 2021, 9, 125. [Google Scholar] [CrossRef] [PubMed]
- Wang, Y.; Yang, R.; Fu, Z.; Ma, Z.; Bai, Z. The Photoperiod Significantly Influences the Growth Rate, Digestive Efficiency, Immune Response, and Antioxidant Activities in the Juvenile Scalloped Spiny Lobster (Panulirus homarus). J. Mar. Sci. Eng. 2024, 12, 389. [Google Scholar] [CrossRef]
- Edson, R.; Mariana, F.; Suda, C.N.K.; Vani, G.S.; Donatti, L.; Rodrigues, E.; Lavrado, H.P. Metabolic responses of the Antarctic fishes Notothenia rossii and Notothenia coriiceps to sewage pollution. Fish Physiol. Biochem. 2015, 41, 1205–1220. [Google Scholar]
- Chen, S.; Guo, Y.; Espe, M.; Yang, F.; Fang, W.P.; Wan, M.G.; Niu, J.; Liu, Y.J.; Tian, L.X. Growth performance, haematological parameters, antioxidant status and salinity stress tolerance of juvenile Pacific white shrimp (Litopenaeus vannamei) fed different levels of dietary myo-inositol. Aquac. Nutr. 2018, 24, 1527–1539. [Google Scholar] [CrossRef]
- Wang, L.; Sun, Y.; Xu, B.; Sagada, G.; Chen, K.; Xiao, J.; Zhang, J.; Shao, Q. Effects of berberine supplementation in high starch diet on growth performance, antioxidative status, immune parameters and ammonia stress response of fingerling black sea bream (Acanthopagrus schlegelii). Aquaculture 2020, 527, 735473. [Google Scholar] [CrossRef]
- Radi, R.; Beckman, J.S.; Bush, K.M.; Freeman, B.A. Peroxynitrite-induced membrane lipid peroxidation: The cytotoxic potential of superoxide and nitric oxide. Arch. Biochem. Biophys. 1991, 288, 481–487. [Google Scholar] [CrossRef] [PubMed]
- Shi, K.P.; Dong, S.L.; Zhou, Y.G.; Gao, Q.F.; Sun, D.J. Antioxidant responses of rainbow trout with different ploidies to acute temperature stress. J. Appl. Ecol. 2018, 29, 3102–3110. [Google Scholar]
- Zhenkun, X.; Hongzhi, Z.; Meijie, G.; Fang, D.; Mei, J.; Xie, J. Analysis of Acute Nitrite Exposure on Physiological Stress Response, Oxidative Stress, Gill Tissue Morphology and Immune Response of Large Yellow Croaker (Larimichthys crocea). Animals 2022, 12, 1791. [Google Scholar]
- Wu, Y.C.; Li, R.M.; Shen, G.R.; .Shen, G.R.; Huang, F.; Yang, Q.H.; Tan, B.P.; Chi, S.Y. Effects of dietary small peptides on growth, antioxidant capacity, nonspecific immunity and ingut microflora structure of Litopenaeus vannamei. Guangdong Ocean. Univ. 2021, 41, 1–9. [Google Scholar]
- Wang, X.; Li, Y.; Hou, C.; Gao, Y.; Wang, Y. Physiological and molecular changes in large yellow croaker (P seudosciaena crocea R) with high-fat diet-induced fatty liver disease. Aquac. Res. 2015, 46, 272–282. [Google Scholar] [CrossRef]
- Torfi, M.M.; Omid, S.; Rahim, O.; Mehrjooyan, S.; Najafabadi, M.Z.; Hoseini, S.J.; Saghavi, H.; Monem, J. The effect of salinity on growth performance, digestive and antioxidant enzymes, humoral immunity and stress indices in two euryhaline fish species: Yellowfin seabream (Acanthopagrus latus) and Asian seabass (Lates calcarifer). Aquaculture 2021, 534, 736329. [Google Scholar]
- Elsayed, Y.; Abdel-Wahab, A.; Nasser, A.; Ebaid, H. Histopathological alterations in the liver and intestine of Nile tilapia Oreochromis niloticus exposed to long-term sublethal concentrations of cadmium chloride. Chin. J. Oceanol. Limnol. 2015, 33, 846–852. [Google Scholar]
- Li, B.; Sun, S.; Zhu, J.; Yanli, S.; Wuxiao, Z.; Ge, X. Transcriptome profiling and histology changes in juvenile blunt snout bream (Megalobrama amblycephala) liver tissue in response to acute thermal stress. Genomics 2019, 111, 242–250. [Google Scholar] [CrossRef]
- Arulraj, J.S.; Pandurengan, P.; Arasan, S.; Gopalrajan, S.; Paulraj, J. Acute Toxicity of Lamda-Cyhalothrin and the Histopathological Changes of Gill and Liver Tissues of Tilapia (Oreochromis niloticus). J. Coast. Res. 2019, 86 (Suppl. 1), 235–238. [Google Scholar] [CrossRef]
- Rao, V.J. Sublethal effects of an organophosphorus insecticide (RPR-II) on biochemical parameters of tilapia, Oreochromis mossambicus. Comp. Biochem. Physiol. Part C 2006, 143, 492–498. [Google Scholar]
- Meijie, G.; Zhenkun, X.; Hongzhi, Z.; Mei, J.; Xie, J. The Effects of Acute Exposure to Ammonia on Oxidative Stress, Hematological Parameters, Flesh Quality, and Gill Morphological Changes of the Large Yellow Croaker (Larimichthys crocea). Animals 2023, 13, 2534. [Google Scholar]
- Weiliang, G.; Wenqian, N.; Xiaobo, W.; Chen, R.; Huang, Z.; Ding, Y.; Qin, X.; Cai, L.; Mao, L. Influences of two transport strategies on AMPK mediated metabolism and flesh quality of shrimp (Litopenaeus vannamei). J. Sci. Food Agric. 2023, 104, 727–736. [Google Scholar]
- Yanouk, E.; Claudie, Q.; Fabrice, P.; Pichereau, V.; Corporeau, C. Energy and antioxidant responses of pacific oyster exposed to trace levels of pesticides. Chem. Res. Toxicol. 2015, 28, 1831–1841. [Google Scholar]
- Thomas OR, B.; Swearer, S.E. Otolith Biochemistry—A Review. Rev. Fish. Sci. Aquac. 2019, 27, 458–489. [Google Scholar] [CrossRef]
- Fivelstad, S.; Olsen, B.A.; Åsgård, T.; Baeverfjord, G.; Rasmussen, T.; Vindheim, T.; Stefansson, S. Long-term sublethal effects of carbon dioxide on Atlantic salmon smolts (Salmo salar L.): Ion regulation, haematology, element composition, nephrocalcinosis and growth parameters. Aquaculture 2003, 215, 301–319. [Google Scholar] [CrossRef]
- Shrivastava, J.; Ndugwa, M.; Caneos, W.; De Boeck, G. Physiological trade-offs, acid-base balance and ion-osmoregulatory plasticity in European sea bass (Dicentrarchus labrax) juveniles under complex scenarios of salinity variation, ocean acidification and high ammonia challenge. Aquat. Toxicol. 2019, 212, 54–69. [Google Scholar] [CrossRef] [PubMed]
- Meng, X.X.; Wei, Y.L.; Liang, M.Q.; Xu, H.G. Progress in cholesterol nutritional requirements of fish. Anim. Nutr. 2021, 33, 719–728. [Google Scholar]
- Wang, X.; Ma, J.; Wang, J.; Li, B.; Huang, B.; Hao, T. Studies on supplementation of stickwater meal to high plant protein diets of juvenile Epinephelus fuscoguttatus ♀ × E. lanceolatus ♂ pearl gentian. Period. Ocean. Univ. China 2021, 51, 31–43. [Google Scholar]
- Konstantinos, F.; Pörtner, H.-O.; Antonopoulou, E.; Michaelidis, B. Synergistic effects of acute warming and low pH on cellular stress responses of the gilthead seabream Sparus aurata. J. Comp. Physiol. B 2015, 185, 185–205. [Google Scholar]
- Velázquez, S.J.; Herrejón, P.A.G.; Becerra, A.H. Fish Responses to Alternative Feeding Ingredients under Abiotic Chronic Stress. Animals 2024, 14, 765. [Google Scholar] [CrossRef]




Disclaimer/Publisher’s Note: The statements, opinions and data contained in all publications are solely those of the individual author(s) and contributor(s) and not of MDPI and/or the editor(s). MDPI and/or the editor(s) disclaim responsibility for any injury to people or property resulting from any ideas, methods, instructions or products referred to in the content. |
© 2024 by the authors. Licensee MDPI, Basel, Switzerland. This article is an open access article distributed under the terms and conditions of the Creative Commons Attribution (CC BY) license (https://creativecommons.org/licenses/by/4.0/).
Share and Cite
Wang, X.; Yang, R.; Fu, Z.; Zhao, L.; Ma, Z. Antioxidant and Metabolic Response to Acute Acidification Stress of Juvenile Yellowfin Tuna (Thunnus albacares). J. Mar. Sci. Eng. 2024, 12, 970. https://doi.org/10.3390/jmse12060970
Wang X, Yang R, Fu Z, Zhao L, Ma Z. Antioxidant and Metabolic Response to Acute Acidification Stress of Juvenile Yellowfin Tuna (Thunnus albacares). Journal of Marine Science and Engineering. 2024; 12(6):970. https://doi.org/10.3390/jmse12060970
Chicago/Turabian StyleWang, Xiaoyan, Rui Yang, Zhengyi Fu, Lei Zhao, and Zhenhua Ma. 2024. "Antioxidant and Metabolic Response to Acute Acidification Stress of Juvenile Yellowfin Tuna (Thunnus albacares)" Journal of Marine Science and Engineering 12, no. 6: 970. https://doi.org/10.3390/jmse12060970
APA StyleWang, X., Yang, R., Fu, Z., Zhao, L., & Ma, Z. (2024). Antioxidant and Metabolic Response to Acute Acidification Stress of Juvenile Yellowfin Tuna (Thunnus albacares). Journal of Marine Science and Engineering, 12(6), 970. https://doi.org/10.3390/jmse12060970

