Revealing the Shamefaced Crab Calappa granulata (Crustacea: Brachyura) from the Adriatic Sea, Northern Basin of the Mediterranean
Abstract
1. Introduction
2. Materials and Methods
2.1. Sampling
2.2. Morphometry and Length–Weight Relationships
2.3. Reproductive Biology
2.4. Diet
2.5. Epibiosis
2.6. Molecular Identification
3. Results
3.1. Morphometry and Length–Weight Relationship
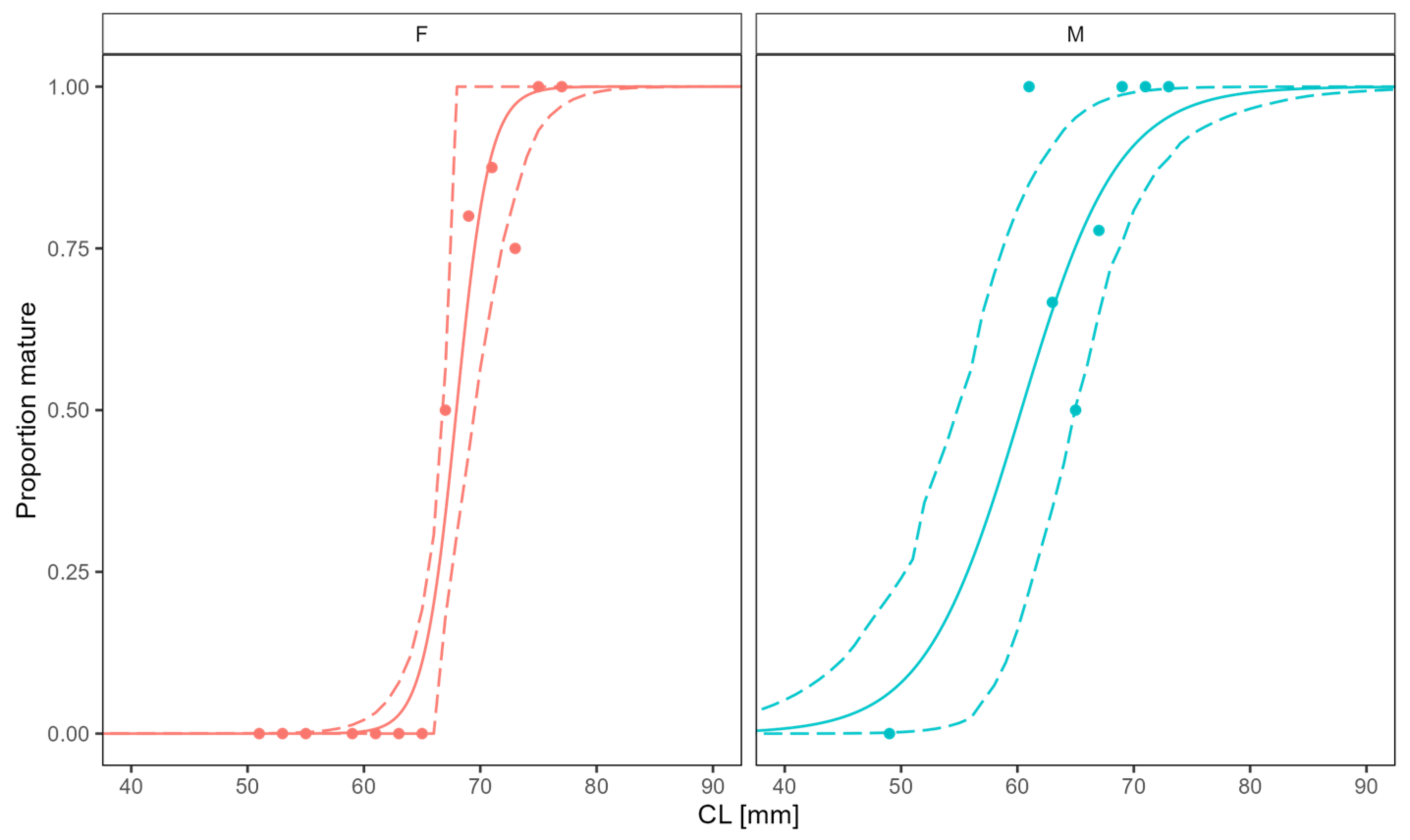
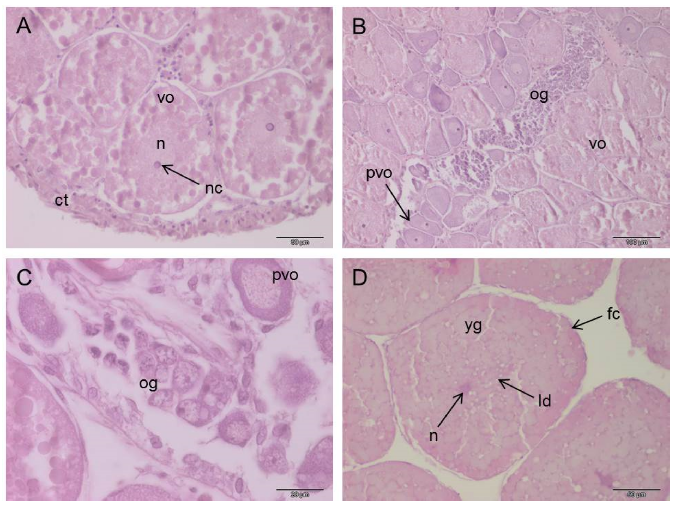
3.2. Reproductive Biology
3.3. Diet
3.4. Epibiosis
3.5. Molecular Identification
4. Discussion
Supplementary Materials
Author Contributions
Funding
Institutional Review Board Statement
Informed Consent Statement
Data Availability Statement
Acknowledgments
Conflicts of Interest
References
- Zariquiey Alvarez, R. Crustáceos Decápodos Ibéricos. Investig. Pesq. 1968, 32, 1–510. [Google Scholar]
- Rahtburn, M.J. The Oxystomatous and Allied Crabs of America; Smithsonian Institution United States National Museum: Washington, DC, USA, 1937; Bulletin 166; pp. 1–278. [Google Scholar]
- Števčić, Z. Revision of Calappidae. Aust. Mus. Mem. 1983, 18, 165–171. [Google Scholar] [CrossRef][Green Version]
- Manning, R.B.; Holthuis, L.B. West African Brachyuran Crabs (Crustacea: Decapoda); Smithsonian Contribution to Zoology: Washington, DC, USA, 1981; Number 306; pp. 1–379. [Google Scholar]
- Manning, R.B.; Števčić, Z. Deacapod fauna of the Piran Gulf. Quad. Lab. Tecnol. Pesca 1982, 3, 285–304. [Google Scholar]
- Števčić, Z. Checklist of the Adriatic decapod Crustacea. Acta Adriat. 1990, 31, 183–274. [Google Scholar]
- Ungaro, N.; Marano, C.A.; Ceriola, L.; Martino, M. Distribution of demersal crustaceans in the southern Adriatic Sea. Acta Adriat. 2005, 46, 27–40. [Google Scholar]
- Müller, C.H.G.; Schubart, C.D. Insights into the Crustacea Decapoda of the Adriatic Sea. Observations from four sampling locations along the Croatian coast. Rostock. Meeresbiol. Beitr. 2007, 18, 112–130. [Google Scholar]
- Dulčić, J.; Tutman, P. Northernmost record of the shamefaced crab Calappa granulata (Linnaeus, 1767) (Brachyura, Calappidae) in the Mediterranean area. Crustaceana 2012, 85, 601–606. [Google Scholar] [CrossRef]
- Bettoso, N.; Kirinčić, M.; Mavrič, B.; Lipej, L. On the rare and less known shamefaced crab Calappa granulata (Brachyura, Calappidae) in the northern Adriatic Sea. Ann. Istrian Medit. Stud. (Hist. Nat.) 2018, 28, 15–20. [Google Scholar]
- Dulčić, J.; Tutman, P.; Dragičević, B. Additional records of Calappa granulata (Linnaeus, 1758) (Brachyura, Calappidae) in the Northern Adriatic Sea. Crustaceana 2019, 92, 757–761. [Google Scholar] [CrossRef]
- Nye, P.A. Burrowing and burying by the crab Macrophthalmus hirtipes. N. Z. J. Mar. Freshw. Res. 1974, 8, 243–254. [Google Scholar] [CrossRef]
- Barshaw, D.E.; Able, K.W. Deep burial as a refuge for lady crabs Ovalipes ocellatus: Comparisons with blue crabs Callinectes sapidus. Mar. Ecol. Prog. Ser. 1990, 66, 75–79. [Google Scholar] [CrossRef]
- Trueman, E.R.; Ansell, A.D. The mechanisms of burrowing into soft substrata by marine animals. Oceanogr. Mar. Biol. Annu. Rev. 1969, 7, 315–366. [Google Scholar]
- Perez, O.S. Studies on the Biology of the Indo-Pacific Sandy Shore Crab, Matuta lunaris Forskal (Brachyura: Calappidae). Master’s Thesis, James Cook University, Douglas, Australia, 1986. [Google Scholar]
- Warner, G.F. The Biology of Crabs; Elek Science: London, UK, 1977; 202p. [Google Scholar]
- Bellwood, O. The occurrence, mechanics and significance of burying behaviour in crabs (Crustacea: Brachyura). J. Nat. Hist. 2002, 36, 1223–1238. [Google Scholar] [CrossRef]
- Pastore, M. The genus Calappa in the Ionian Sea. Oebalia 1995, 21, 187–196. [Google Scholar]
- Spanò, N.; Bono, G.; Ragonese, S. On the occurrence of the shamefaced crabs Calappa granulata and C. rissoana (Decapoda: Brachyura) in the Strait of Sicily (central Mediterranean Sea). Vie Milieu 2004, 54, 249–250. [Google Scholar]
- Artüz, M.L. First record of Calappa granulata (Linnaeus, 1758) in the coastal waters of the Sea of Marmara, western Turkey. Zoonatantia 2006, 1, 72–73. [Google Scholar]
- Balkis, H.; Kurun, A. The crab species found in the Edremit Bay (NE Aegean Sea). J. Black Sea/Mediterr. Environ. 2008, 14, 39–51. [Google Scholar]
- González-Gordillo, J.I. Descripción de los estadios de prezoea en Cycloes cristata (Brulle, 1837) y Calappa granulata (Linnaeus, 1758) (Decapoda, Brachyura, Calappidae). Bol. Inst. Esp. Oceanogr. 1994, 10, 33–39. [Google Scholar]
- Guerao, G.; Abelló, P.; Cartes, J. Morphology of the megalopa and first crab instar of the Shamefaced Crab Calappa granulata (Crustacea, Brachyura, Calappidae). Misc. Zool. 1998, 21, 37–47. [Google Scholar]
- Guerao, G.; Abelló, P.; Torres, P. Morphology of the first zoea of the shamefaced crab Calappa granulata (Linnaeus, 1758) (Brachyura, Calappidae) obtained in the laboratory. Graellsia 1999, 55, 157–162. [Google Scholar] [CrossRef][Green Version]
- Olianas, A.; Sanna, M.T.; Messan, I.; Castagnola, M.; Masia, D.; Manconi, B.; Cau, A.; Giardina, B.; Pellegrini, M. The Hemocyanin of the Shamefaced Crab Calappa granulata: Structural-Functional Characterization. J. Biochem. 2006, 139, 957–966. [Google Scholar] [CrossRef]
- Innocenti, G.; Fratini, S.; Tiralongo, F.; Natali, C.; Crocetta, F. The rare Calappa tuerkayana Pastore, 1995 is a juvenile stage of the common Calappa granulata (Linnaeus, 1758) (Brachyura: Calappidae). Zool. Anz. 2021, 293, 9–16. [Google Scholar] [CrossRef]
- Williner, V.; Torres, M.V.; Carvalho, D.A.; König, N. Relative growth and morphological sexual maturity size of the freshwater crab Trichodactylus borellianus (Crustacea, Decapoda, Trichodactylidae) in the Middle Paraná River, Argentina. Zookeys 2014, 457, 159–170. [Google Scholar] [CrossRef]
- Ricker, W.E. Computation and Interpretation of Biological Statistics of Fish Populations; The Blackburn Press: Caldwell, NJ, USA, 1975; Volume 191, pp. 1–382. [Google Scholar]
- R Core Team. R: A Language and Environment for Statistical Computing; R Foundation for Statistical Computing: Vienna, Austria, 2019; Available online: https://www.R-project.org/ (accessed on 23 June 2022).
- Efron, B. The Jackknife, the Bootstrap and Other Resampling Plans; SIAM Monograph No. 38; CBSM-NSF Regional Conference Series in Applied Mathematics; Society for Industrial and Applied Mathematics: Philadelphia, PA, USA, 1982. [Google Scholar]
- Wickham, H.; François, R.; Henry, L.; Müller, K. dplyr: A Grammar of Data Manipulation. R Package Version 1.0.9. 2022. Available online: https://CRAN.R-project.org/package=dplyr (accessed on 23 June 2022).
- Henry, L.; Wickham, H.; purrr: Functional Programming Tools. R Package Version 0.3. 2020. Available online: https://CRAN.R-project.org/package=purrr (accessed on 23 June 2022).
- Silge, J.; Chow, F.; Kuhn, M.; Wickham, H. rsample: General Resampling Infrastructure. R Package Version 1.0.0. 2022. Available online: https://CRAN.R-project.org/package=rsample (accessed on 8 August 2022).
- Wickham, H. ggplot2: Elegant Graphics for Data Analysis; Springer: New York, NY, USA, 2016; 213p. [Google Scholar]
- Da Silva Castiglioni, D.; Negreiros-Fransozo, M.L. Physiologic Sexual Maturity of the Fiddler Crab Uca rapax (Smith, 1870) (Crustacea, Ocypodidae) from Two Mangroves in Ubatuba, Brazil. Braz. Arch. Biol. Technol. 2006, 49, 239–248. [Google Scholar] [CrossRef]
- Williams, M.J. Methods for analysis of natural diet in portunid crabs (Crustacea: Decapoda: Portunidae). J. Exp. Mar. Biol. Ecol. 1981, 52, 103–113. [Google Scholar] [CrossRef]
- Hyslop, E. Stomach content analysis—A review of methods and their application. J. Fish Biol. 1980, 17, 411–429. [Google Scholar] [CrossRef]
- Margolis, L.; Esch, G.W.; Holmes, J.C.; Kuris, A.M.; Schad, G.A. The use of ecological terms in parasitology (report of an ad hoc committee of the American Society of Parasitologists). J. Parasitol. Res. 1982, 68, 131–133. [Google Scholar] [CrossRef]
- Bush, A.O.; Lafferty, K.D.; Lotz, J.M.; Shostak, A.W. Parasitology meets ecology on its own terms: Margolis et al. revisited. J. Parasitol. Res. 1997, 83, 575–583. [Google Scholar] [CrossRef]
- Reiczigel, J.; Marozzi, M.; Fábián, I.; Rózsa, L. Biostatistics for parasitologists—A primer to Quantitative Parasitology. Trends Parasitol. 2019, 35, 277–281. [Google Scholar] [CrossRef]
- Rózsa, L.; Reiczigel, J.; Majoros, G. Quantifying parasites in samples of hosts. J. Parasitol. 2000, 86, 228–232. [Google Scholar] [CrossRef]
- Turtinen, L.W.; Juran, B.D. Protein salting-out method applied to genomic DNA isolation from fish whole blood. Biotechniques 1998, 24, 238–239. [Google Scholar]
- Folmer, O.; Black, M.; Hoeh, W.; Lutz, R.; Vrijenhoek, R. DNA primers for amplification of mitochondrial cytochrome c oxidase subunit I from diverse metazoan invertebrates. Mol. Mar. Biol. Biotechnol. 1994, 3, 294–299. [Google Scholar] [PubMed]
- Kearse, M.; Moir, R.; Wilson, A.; Stones-Havas, S.; Cheung, M.; Sturrock, S.; Buxton, S.; Cooper, A.; Markowitz, S.; Duran, C.; et al. Geneious Basic: An integrated and extendable desktop software platform for the organization and analysis of sequence data. Bioinformatics 2012, 28, 1647–1649. [Google Scholar] [CrossRef] [PubMed]
- Huelsenbeck, J.P.; Ronquist, F. MRBAYES: Bayesian inference of phylogenetic trees. Bioinformatics 2001, 17, 754–755. [Google Scholar] [CrossRef] [PubMed]
- Nguyen, L.-T.; Schmidt, H.A.; von Haeseler, A.; Minh, B.Q. IQ-TREE: A fast and effective stochastic algorithm for estimating maximum likelihood phylogenies. Mol. Biol. Evol. 2015, 32, 268–274. [Google Scholar] [CrossRef]
- Trifinopoulos, J.; Nguyen, L.-T.; von Haeseler, A.; Minh, B.Q. W-IQ-TREE: A fast online phylogenetic tool for maximum likelihood analysis. Nucleic Acids Res. 2016, 44, W232–W235. [Google Scholar] [CrossRef]
- Kalyaanamoorthy, S.; Minh, B.Q.; Wong, T.K.F.; von Haeseler, A.; Jermiin, L.S. ModelFinder: Fast model selection for accurate phylogenetic estimates. Nat. Methods 2017, 14, 587–589. [Google Scholar] [CrossRef]
- Hoang, D.T.; Chernomor, O.; von Haeseler, A.; Minh, B.Q.; Vinh, L.S. UFBoot2: Improving the ultrafast bootstrap approximation. Mol. Biol. Evol. 2018, 35, 518–522. [Google Scholar] [CrossRef]
- Rozas, J.; Ferrer-Mata, A.; Sánchez-DelBarrio, J.C.; Guirao-Rico, S.; Librado, P.; Ramos-Onsins, S.E.; Sánchez-Gracia, A. DnaSP 6: DNA Sequence Polymorphism Analysis of Large Data Sets. Mol. Biol. Evol. 2017, 34, 3299–3302. [Google Scholar] [CrossRef]
- Nei, M. Molecular Evolutionary Genetics; Columbia University Press: New York, NY, USA, 1987; 514p. [Google Scholar]
- Excoffier, L.; Lischer, H.E.L. Arlequin Suite Ver 3.5: A New Series of Programs to Perform Population Genetics Analyses under Linux and Windows. Mol. Ecol. Resour. 2010, 10, 564–567. [Google Scholar] [CrossRef]
- Tajima, F. Statistical Method for Testing the Neutral Mutation Hypothesis by DNA Polymorphism. Genetics 1989, 123, 585–595. [Google Scholar] [CrossRef]
- Leigh, J.W.; Bryant, D. Popart: Full-Feature Software for Haplotype Network Construction. Methods Ecol. Evol. 2015, 6, 1110–1116. [Google Scholar] [CrossRef]
- Alió, J.J.; Marcano, L.A.; Altuve, D.E. Pesquería y parámetros biométricos de los cangrejos del género Calappa (Brachyura: Calappidae) en el oriente de Venezuela. Rev. Biol. Trop. (Int. J. Trop. Biol.) 2005, 53, 463–474. [Google Scholar] [CrossRef][Green Version]
- Hamasaki, K.; Dan, S. Seasonal Changes in the Sexual Size Dimorphisms of the Chelipeds and Pleons of the Porcellanid Crab Petrolisthes japonicus. Zool. Stud. 2021, 60, e18. [Google Scholar] [CrossRef]
- Negreiros-Fransozo, M.L.; Fransozo, V. A morphometric study of the mud crab, Panopeus austrobesus Williams, 1983 (Decapoda: Brachyura) from a sub-tropical mangrove in South America. Crustaceana 2003, 76, 281–294. [Google Scholar] [CrossRef]
- Fumis, P.B.; Fransozo, A.; Bertini, G.; Braga, A.A. Morphometry of the crab Hexapanopeus schmitti (decapoda: Xanthoidea) on the northern coast of state of Sao Paulo, Brazil. Rev. Biol. Trop. (Int. J. Trop. Biol.) 2007, 55, 163–170. [Google Scholar] [CrossRef][Green Version]
- Lima, G.V.; Soares, M.R.S.; Oshiro, L.M.Y. Reproductive biology of the sesarmid crab Armases rubripes (Decapoda, Brachyura) from an estuarine area of the Sahy River, Sepetiba Bay, Rio de Janeiro, Brazil. Iheringia Sér. Zool. 2006, 96, 47–52. [Google Scholar] [CrossRef]
- Reigada, A.L.D.; Negreiros-Fransozo, M. Reproductive cycle of Hepatus pudibundus (Herbst, 1785) (Crustacea, Decapoda, Calappidae) in Ubatuba, SP, Brazil. Rev. Brasil. Biol. 2000, 60, 483–491. [Google Scholar] [CrossRef][Green Version]
- Choy, S. Natural diet and feeding habits of the crabs Liocarcinus puber and L. holsatus (Decapoda, Brachyura, Portunidae). Mar. Ecol. Prog. Ser. 1986, 31, 87–99. [Google Scholar] [CrossRef]
- Shoup, J.B. Shell opening by crabs of the genus Calappa. Science 1968, 160, 887–888. [Google Scholar] [CrossRef]
- Haefner, P.A. Morphometry, reproductive biology, and diet of Acanthocarpus alexandri Stimpson, 1871 (Decapoda, Brachyura) in the Middle Atlantic Bight. J. Crustac. Biol. 1981, 1, 348–357. [Google Scholar] [CrossRef]
- Mantelatto, F.L.M.; Petracco, M. Natural diet of the crab Hepatus pudibundus (Brachyura: Calappidae) in Fortaleza Bay, Ubatuba (SP), Brazil. J. Crustac. Biol. 1997, 17, 440–446. [Google Scholar] [CrossRef][Green Version]
- Innocenti, G.; Stasolla, G.; Mendelson, M.; Galil, B.S. Aggressive, omnivorous, invasive: The Erythraean moon crab Matuta victor (Fabricius, 1781) (Crustacea: Decapoda: Matutidae) in the eastern Mediterranean sea. J. Nat. Hist. 2017, 51, 2133–2142. [Google Scholar] [CrossRef]
- Cartes, J.E. Diets of deep-sea brachyuran crabs in the Western Mediterranean Sea. Mar. Biol. 1993, 117, 449–457. [Google Scholar] [CrossRef]
- Squires, H.J.; Dawe, E.G. Stomach Contents of Snow Crab (Chionoecetes opilio, Decapoda, Brachyura) from the Northeast Newfoundland Shelf. J. Northwest Atl. Fish. Sci. 2003, 32, 27–38. [Google Scholar] [CrossRef]
- Bueno, A.A.P.; Bond-Buckup, G. Natural Diet of Aegla platensis Schmitt and Aegla ligulata Bond-Buckup & Buckup (Crustacea, Decapoda, Aeglidae) from Brazil. Acta Limnol. Bras. 2004, 16, 115–127. [Google Scholar]
- Stevens, B.G.; Armstrong, D.A.; Cusimano, R. Feeding Habits of the Dungeness Crab Cancer magister as Determined by the Index of Relative Importance. Mar. Biol. 1982, 72, 135–145. [Google Scholar] [CrossRef]
- Perez, O.S.; Bellwood, D.R. Ontogenetic Changes in the Natural Diet of the Sandy Shore Crab, Matuta lunaris (Forskll) (Brachyura:Calappidae). Aust. J. Mar. Freshw. Res. 1988, 39, 193–199. [Google Scholar] [CrossRef]
- O’Rorke, R.; Lavery, S.; Chow, S.; Takeyama, H.; Tsai, P.; Beckley, L.E.; Thompson, P.A.; Waite, A.M.; Jeffs, A.G. Determining the diet of larvae of western rock lobster (Panulirus cygnus) using high-throughput DNA sequencing techniques. PLoS ONE 2012, 7, e42757. [Google Scholar] [CrossRef]
- O’Rorke, R.; Lavery, S.; Wang, M.; Nodder, S.D.; Jeffs, A.G. Determining the diet of larvae of the red rock lobster (Jasus edwardsii) using high-throughput DNA sequencing techniques. Mar. Biol. 2014, 161, 551–563. [Google Scholar] [CrossRef]
- Van der Reis, A.L.; Laroche, O.; Jeffs, A.G.; Lavery, S.D. Preliminary analysis of New Zealand scampi (Metanephrops challengeri) diet using metabarcoding. PeerJ 2018, 6, e5641. [Google Scholar] [CrossRef]
- Kress, W.J.; García-Robledo, C.; Uriarte, M.; Erickson, D.L. DNA barcodes for ecology, evolution, and conservation. Trends Ecol. Evol. 2015, 30, 25–35. [Google Scholar] [CrossRef]
- Sousa, L.L.; Sofia Marques Silva, S.M.; Xavier, R. DNA metabarcoding in diet studies: Unveiling ecological aspects in aquatic and terrestrial ecosystems. Environ. DNA 2019, 1, 199–214. [Google Scholar] [CrossRef]
- Ross, D.M. Symbiotic relations. In The Biology of Crustacea, Vol. 7 Behaviour and Ecology; Vemberg, S.J., Vemberg, W.B., Eds.; Academic Press: New York, NY, USA, 1983; pp. 163–212. [Google Scholar]
- Connell, J.H.; Keough, M.J. Disturbance and patch dynamics of subtidal marine animals on hard substrata. In The Ecology of Natural Disturbance and Patch Dynamics; Pickett, S.T.A., White, P.S., Eds.; Academic Press: San Diego, CA, USA, 1985; pp. 125–151. [Google Scholar]
- Abello, P.; Villanueva, R.; Gili, J.M. Epibiosis in deep sea crab populations as an indicator of biological and behavioural characteristics of the host. J. Mar. Biol. Assoc. U. K. 1990, 70, 687–695. [Google Scholar] [CrossRef]
- Gili, J.M.; Abello, P.; Villanueva, R. Epibionts and intermoult duration in the crab Bathynectes piperitus. Mar. Ecol. Prog. Ser. 1993, 98, 107–113. [Google Scholar] [CrossRef]
- Negreiros-Fransozo, M.L.; Costa, T.M.; Fransozo, A. Epibiosis and molting in two species of Callinectes (Decapoda: Portunidae) from Brazil. Rev. Biol. Trop. 1995, 43, 257–264. [Google Scholar]
- Abello, P.; Corbera, J. Epibiont bryozoans (Bryozoa, Ctenostomatida) of the crab Goneplax rhomboides (Brachyura, Goneplacidae) off the Ebro delta (western Mediterranean). Misc. Zool. 1996, 19, 43–52. [Google Scholar]
- Dick, M.H.; Donaldson, W.E.; Vining, I.W. Epibionts of the tanner crab Chionoecetes bairdi in the region of Kodiak Island, Alaska. J. Crustac. Biol. 1998, 18, 519–528. [Google Scholar] [CrossRef]
- McGaw, I.J. Eepibionts of sympatric species of cancer crabs in Barkley Sound, British Columbia. J. Crustac. Biol. 2006, 26, 85–93. [Google Scholar] [CrossRef]
- Dvoretsky, A.G. Epibionts of the great spider crab, Hyas araneus (Linnaeus, 1758), in the Barents Sea. Polar Biol. 2012, 35, 625–631. [Google Scholar] [CrossRef]
- Crothers, J.H. The biology of the shore crab Carcinus maenas (L.) 2. The life of the adult crab. Field Stud. 1968, 2, 579–614. [Google Scholar]
- Becker, K. Epibionts on Carapaces of Some Malacostracans from the Gulf of Thailand. J. Crustac. Biol. 1996, 16, 92–104. [Google Scholar] [CrossRef]
- Fratini, S.; Ragionieri, L.; Deli, T.; Harrer, A.; Marino, I.A.M.; Cannicci, S.; Zane, L.; Schubart, C.D. Unravelling population genetic structure with mitochondrial DNA in a notional panmictic coastal crab species: Sample size makes the difference. BMC Evol. Biol. 2016, 16, 150. [Google Scholar] [CrossRef] [PubMed]
- Weiss, R.; Torrecilla, Z.; González-Ortegón, E.; González-Tizón, A.; Martínez-Lage, A.; Schubart, C. Genetic differentiation between Mediterranean and Atlantic populations of the common prawn Palaemon serratus (Crustacea: Palaemonidae) reveals uncommon phylogeographic break. J. Mar. Biol. Assoc. U. K. 2018, 98, 1425–1434. [Google Scholar] [CrossRef]
- Holthuis, L.B. Nomenclatural notes on Mediterranean species of Calappa Weber, 1795 (Crustacea: Decapoda: Brachyura). Zool. Verh. 2001, 334, 99–102. [Google Scholar]
- Marco-Herrero, E.; Abelló, P.; Drake, P.; García-Raso, J.E.; González-Gordillo, J.I.; Guerao, G.; Palero, F.; Cuesta, J.A. Annotated checklist of brachyuran crabs (Crustacea: Decapoda) of the Iberian Peninsula (SW Europe). Sci. Mar. 2015, 79, 243–256. [Google Scholar] [CrossRef]
- Matzen da Silva, J.; Creer, S.; dos Santos, A.; Costa, A.C.; Cunha, M.R.; Costa, F.O.; Carvalho, G.R. Systematic and Evolutionary Insights Derived from mtDNA COI Barcode Diversity in the Decapoda (Crustacea: Malacostraca). PLoS ONE 2011, 6, e19449. [Google Scholar] [CrossRef]









| Morphometric Character * | Total Sample | ||
|---|---|---|---|
| Min | Max | Mean [95% CI] | |
| AW | 7.14 | 19.77 | 14.49 [13.86, 15.1] |
| CL | 48.46 | 76.09 | 65.92 [64.84, 66.97] |
| FCW | 63.51 | 104.89 | 88.85 [87.09, 90.56] |
| SCW | 60.06 | 101.22 | 84.44 [82.71, 86.09] |
| TW | 13.13 | 24.54 | 20.36 [19.92, 20.81] |
| CD.D | 32.41 | 54.76 | 45.8 [45.03, 46.56] |
| CD.L | 31.89 | 54.53 | 45.73 [44.89, 46.53] |
| DL.D | 21.69 | 38.79 | 31.84 [31.12, 32.46] |
| DL.L | 19.94 | 35.51 | 30.25 [29.64, 30.88] |
| PL.D | 35.52 | 58.5 | 49.76 [48.76, 50.75] |
| PL.L | 35.4 | 58.72 | 49.56 [48.53, 50.63] |
| Morphometric Character * | Females | Males | ||||
|---|---|---|---|---|---|---|
| Min | Max | Mean [95% CI] | Min | Max | Mean [95% CI] | |
| AW | 10.79 | 19.77 | 16.07 [15.55, 16.52] | 7.14 | 11.98 | 10.92 [10.53, 11.22] |
| CL | 51.31 | 76.09 | 65.56 [64.11, 66.91] | 48.46 | 72.94 | 66.74 [64.81, 68.31] |
| FCW | 66.59 | 104.89 | 87.67 [85.53, 89.75] | 63.51 | 102.05 | 91.51 [89.04, 94.1] |
| SCW | 64.07 | 101.22 | 83.44 [81.41, 85.46] | 60.06 | 96.21 | 86.67 [83.95, 89] |
| TW | 15.63 | 24.54 | 20.87 [20.25, 21.38] | 13.13 | 21.47 | 19.21 [18.55, 19.71] |
| CD.D | 34.93 | 54.76 | 45.9 [44.89, 46.91] | 32.41 | 50.95 | 45.57 [44.29, 46.84] |
| CD.L | 31.89 | 54.53 | 45.68 [44.64, 46.65] | 32.08 | 50.93 | 45.84 [44.57, 46.95] |
| DL.D | 22.61 | 38.79 | 31.69 [30.88, 32.49] | 21.69 | 36.69 | 32.17 [31.06, 33.15] |
| DL.L | 19.94 | 35.16 | 29.77 [28.97, 30.51] | 19.99 | 35.51 | 31.32 [30.18, 32.37] |
| PL.D | 36.72 | 57.94 | 48.76 [47.66, 49.93] | 35.52 | 58.5 | 52.01 [50.11, 53.54] |
| PL.L | 35.4 | 58.58 | 48.39 [47.25, 49.44] | 35.44 | 58.72 | 52.2 [50.41, 53.79] |
| Sex | Morphometric Character * | Intercept | 95% CI [Lower, Upper Limit] | Slope | 95% CI [Lower, Upper Limit] | R2 | Allometry |
|---|---|---|---|---|---|---|---|
| Females | FCW | −12.21 | [−15.30, −9.36] | 1.52 | [1.48, 1.57] | 0.98 | + |
| SCW | −10.78 | [−13.88, −7.69] | 1.44 | [1.39, 1.48] | 0.98 | + | |
| AW | −5.81 | [−7.25, −4.35] | 0.33 | [0.31, 0.36] | 0.93 | − | |
| TW | −3.48 | [−5.37, −1.82] | 0.37 | [0.35, 0.4] | 0.92 | − | |
| PL.L | −4.14 | [−7.02, −0.68] | 0.80 | [0.75, 0.85] | 0.96 | − | |
| PL.D | −3.62 | [−6.05, −1.02] | 0.80 | [0.76, 0.84] | 0.96 | − | |
| CD.L | −2.12 | [−6.55, 2.53] | 0.73 | [0.66, 0.8] | 0.92 | − | |
| CD.D | −0.53 | [−3.08, 2.97] | 0.71 | [0.65, 0.75] | 0.94 | − | |
| DL.L | −5.33 | [−8.03, −2.74] | 0.54 | [0.5, 0.58] | 0.93 | − | |
| DL.D | −4.36 | [−7.42, −0.77] | 0.55 | [0.5, 0.6] | 0.89 | − | |
| Males | FCW | −9.75 | [−17.06, −1.95] | 1.52 | [1.4, 1.62] | 0.94 | + |
| SCW | −10.55 | [−18.93, −3.48] | 1.46 | [1.35, 1.58] | 0.96 | + | |
| AW | −1.14 | [−2.46, 2.73] | 0.18 | [0.12, 0.2] | 0.88 | − | |
| TW | −1.04 | [−2.71, 4.22] | 0.30 | [0.23, 0.33] | 0.85 | − | |
| PL.L | −8.26 | [−13.75, −1.38] | 0.91 | [0.8, 0.98] | 0.93 | − | |
| PL.D | −5.67 | [−10.04, 4.14] | 0.86 | [0.72, 0.93] | 0.92 | − | |
| CD.L | −0.50 | [−4.23, 10.33] | 0.69 | [0.53, 0.75] | 0.93 | − | |
| CD.D | −1.58 | [−5.43, 4.17] | 0.71 | [0.62, 0.77] | 0.94 | − | |
| DL.L | −5.34 | [−9.21, 6.89] | 0.55 | [0.37, 0.61] | 0.84 | − | |
| DL.D | −4.82 | [−9.36, 2.15] | 0.55 | [0.45, 0.62] | 0.84 | − |
| Males | >Females | |||||
|---|---|---|---|---|---|---|
| Maturity Stage | N | Min—Max | Mean ± SD | N | Min—Max | Mean ± SD |
| Carapace Length (mm) | ||||||
| Immature | 1 | 48.46 | / | 6 | 51.31–61.68 | 54.89 ± 4.44 |
| Rudimentary | 0 | / | / | 12 | 55.15–67.21 | 61.35 ± 4.62 |
| Developing | 5 | 63.99–67.99 | 65.88 ± 1.91 | 21 | 59.69–70.61 | 64.84 ± 2.58 |
| Developed | 19 | 61.21–72.94 | 67.22 ± 3.41 | 13 | 67.35–71.28 | 69.23 ± 1.35 |
| Spent | 3 | 68.29–72.77 | 71.15 ± 2.48 | 12 | 67.53–76.09 | 71.65 ± 2.63 |
| Body Weight (g) | ||||||
| Immature | 1 | 47.06 | / | 6 | 54.26–67.83 | 62.65 ± 4.73 |
| Rudimentary | 0 | / | / | 12 | 66.77–106.79 | 90.66 ± 11.38 |
| Developing | 5 | 111.61–131.41 | 118.81 ± 7.66 | 21 | 90.22–181.9 | 120.44 ± 21.54 |
| Developed | 19 | 114.40–192.61 | 144.68 ± 20.31 | 13 | 124.46–180.43 | 153.47 ± 16.55 |
| Spent | 3 | 99.10–158.83 | 129.83 ± 29.90 | 12 | 121.77–221.39 | 152.98 ± 28.33 |
| % FO | |||
|---|---|---|---|
| Crustacea | Fish | Cephalopoda | |
| Sex | |||
| Males | 94.12 | 35.29 | 29.41 |
| Females | 80.56 | 30.56 | 25.00 |
| Total | 81.82 | 30.91 | 25.45 |
| Season | |||
| Autumn | 84.00 | 12.00 | 20.00 |
| Spring | 78.57 | 46.43 | 25.00 |
| Maturity Stage | |||
| Immature | 80.00 | 40 | 40 |
| Rudimentary | 80.00 | / | 40 |
| Developing | 69.23 | 30.77 | 30.77 |
| Developed | 88.89 | 33.33 | 33.33 |
| Spent | 100.00 | 45.45 | / |
| N of Host | Prevalence (%) (CI) | Intensity (CI) | Abundance (CI) | Var/Mean Ratio | ||
|---|---|---|---|---|---|---|
| Total | Infected | Sex | ||||
| Males | 28 | 9 | 32.1 (0.17–0.52) | 4.89 (3.00–6.22) | 1.57 (0.71– 2.79) | 4.78 |
| Females | 64 | 18 | 28.1 (0.18–0.41) | 3.28 (1.89–6.61) | 0.92 (0.47–1.98) | 8.28 |
| Total | 92 | 27 | 29.3 (0.20–0.39) | 3.81 (2.70–5.74) | 1.12 (0.70–1.87) | 6.79 |
| Season | ||||||
| Autumn | 49 | 19 | 41.3 (0.28–0.57) | 4.16 (2.79–6.68) | 1.72 (0.96–3.07) | 6.95 |
| Spring | 19 | 8 | 19.5 (0.09–0.34) | 3.00 (1.38–5.38) | 0.59 (0.20–1.32) | 5.12 |
| Maturity Stage | ||||||
| Immature | 7 | 1 | 14.3 (/) | 1.00 (/) | 0.14 (/) | 1.00 |
| Rudimentary | 13 | 3 | 23.1 (0.07–0.52) | 1.00 (/) | 0.23 (0.00–0.38) | 0.83 |
| Developing | 23 | 7 | 30.4 (0.15–0.52) | 3.86 (1.86–6.14) | 1.17 (0.43–2.48) | 5.16 |
| Developed | 34 | 11 | 32.4 (0.19–0.50) | 3.64 (2.27–5.18) | 1.18 (0.56–2.06) | 4.30 |
| Spent | 15 | 5 | 33.3 (0.14–0.60) | 6.40 (2.40–15.40) | 2.13 (0.53–6.47) | 11.91 |
Publisher’s Note: MDPI stays neutral with regard to jurisdictional claims in published maps and institutional affiliations. |
© 2022 by the authors. Licensee MDPI, Basel, Switzerland. This article is an open access article distributed under the terms and conditions of the Creative Commons Attribution (CC BY) license (https://creativecommons.org/licenses/by/4.0/).
Share and Cite
Petrić, M.; Mihaljević, M.; Brčić, J.; Trumbić, Ž. Revealing the Shamefaced Crab Calappa granulata (Crustacea: Brachyura) from the Adriatic Sea, Northern Basin of the Mediterranean. J. Mar. Sci. Eng. 2022, 10, 1964. https://doi.org/10.3390/jmse10121964
Petrić M, Mihaljević M, Brčić J, Trumbić Ž. Revealing the Shamefaced Crab Calappa granulata (Crustacea: Brachyura) from the Adriatic Sea, Northern Basin of the Mediterranean. Journal of Marine Science and Engineering. 2022; 10(12):1964. https://doi.org/10.3390/jmse10121964
Chicago/Turabian StylePetrić, Mirela, Marina Mihaljević, Jure Brčić, and Željka Trumbić. 2022. "Revealing the Shamefaced Crab Calappa granulata (Crustacea: Brachyura) from the Adriatic Sea, Northern Basin of the Mediterranean" Journal of Marine Science and Engineering 10, no. 12: 1964. https://doi.org/10.3390/jmse10121964
APA StylePetrić, M., Mihaljević, M., Brčić, J., & Trumbić, Ž. (2022). Revealing the Shamefaced Crab Calappa granulata (Crustacea: Brachyura) from the Adriatic Sea, Northern Basin of the Mediterranean. Journal of Marine Science and Engineering, 10(12), 1964. https://doi.org/10.3390/jmse10121964

