Next Article in Journal
A Knowledge-Driven Smart System Based on Reinforcement Learning for Pork Supply-Demand Regulation
Next Article in Special Issue
Toward Sustainable Broiler Production: Evaluating Microbial Protein as Supplementation for Conventional Feed Proteins
Previous Article in Journal
From Online Markets to Green Fields: Unpacking the Impact of Farmers’ E-Commerce Participation on Green Production Technology Adoption
Previous Article in Special Issue
The Potential of Pequi Oil as a Modulator of Chaperone Expression to Minimize Heat Stress in Laying Hens
 
 
Font Type:
Arial Georgia Verdana
Font Size:
Aa Aa Aa
Line Spacing:
Column Width:
Background:
Article

Effects of Degossypolized Cottonseed Protein on the Laying Performance, Egg Quality, Blood Indexes, Gossypol Residue, Liver and Uterine Histopathological Changes, and Intestinal Health of Laying Hens

1
Animal Nutrition Institute, Key Laboratory for Animal Disease-Resistance Nutrition, Ministry of Education, Ministry of Agriculture and Rural Affairs, Key Laboratory of Sichuan Province, Sichuan Agricultural University, 211 Huimin Road, Wenjiang District, Chengdu 611130, China
2
Sichuan Sundaily Farm Ecological Food Co., Ltd., Mianyang 622100, China
*
Author to whom correspondence should be addressed.
Agriculture 2025, 15(14), 1482; https://doi.org/10.3390/agriculture15141482
Submission received: 28 May 2025 / Revised: 7 July 2025 / Accepted: 9 July 2025 / Published: 10 July 2025

Abstract

This experiment aimed to investigate the appropriate level of degossypolized cottonseed protein (DGCP) in the diet of laying hens. A total of 600 49-week-old Lohmann pink laying hens were allocated to five treatments, with six replicates per treatment and 20 birds per replicate. The control group was fed a corn-soybean meal basal diet. Four experimental diets were formulated by replacing 25%, 50%, 75%, and 100% of the soybean meal protein-equivalent capacity with DGCP, where 100% replacement corresponded to the maximum safe inclusion of DGCP. The study period lasted for 8 weeks. The results showed that the feed intake, average egg weight, egg mass, laying rate, and the albumen percentage were significantly reduced in the 100% DGCP group (p < 0.05). Plasma uric acid (UA), total cholesterol (TC), triglyceride (TG), and potassium (K) levels were significantly lower (p < 0.05), and depth of crypt (CD) was significantly higher (p < 0.05) in the 100% DGCP group. The DGCP diet linearly increased the relative abundance of Bacteroidota and Bacteroide and significantly increased the relative abundance of Desulfobacterotas in the cecum contents compared to the control group (p < 0.05). The ACE and Chao1 indices in both the control group and the 100% DGCP group were significantly decreased (p < 0.05). In conclusion, the dietary addition of DGCP can reach up to 114.6 g/kg.

1. Introduction

Soybean meal (SBM) is widely acknowledged as a significant protein source for poultry feeds due to its high protein content. However, in recent years, the sharp increase in SBM prices has created an urgent need to identify alternative protein sources. Cottonseed meal (CSM), a high-quality plant protein derived from the oil extraction process of cotton seeds, presents a promising substitute for protein in poultry diets [1] and can serve as a sustainable protein source [2,3].
Free gossypol (FG) is the primary anti-nutritional factor present in CSM, which is known to be toxic to the reproductive system, heart, and liver of monogastric animals [4]. During cottonseed oil extraction, FG binds to the amino group of lysine due to high temperatures, baking, pressing, and other factors, thereby reducing the availability of lysine. Consequently, the binding-induced lysine deficiency establishes it as the most limiting amino acid in CSM [5,6]. CSM as poultry feed is limited by FG and amino acid imbalance. Studies have shown that the balance of amino acids can be adjusted by supplementing synthetic lysine [7]. FG remains the primary factor restricting the application of CSM. It can influence the laying performance of hens [8], leading to egg yolk discoloration [9,10] and negatively impacting the blood biochemistry of livestock and poultry [11]. However, some studies indicate that FG does not adversely affect the laying performance of laying hens within a specific range. Nagalakshmi et al. found that feeding DGCP (20 mg/kg or 59 mg/kg FG) had no effect on the performance and egg quality of laying hens [4]. Reid et al. observed that 10% CSM (61 mg/kg FG) had no significant effect on egg production rate, whereas 15% CSM (101.5 mg/kg FG) reduced it [1]. Wang et al. found that a CSM diet with varying levels of FG (0, 120, and 170 mg/kg) did not significantly affect laying performance, but the 170 mg/kg FG level was associated with a reduction in the levels of secretory immunoglobulin A (SIgA) in the jejunum and ileum mucosa of laying hens [12]. In recent years, with the advancement of cottonseed oil extraction technology and degossypolization technology, the production of new DGCP [13] has greatly reduced the content of FG and improved the nutritional value of CSM. The nutritional value of DGCP is much higher than that of traditional CSM, but there are few reports on the appropriate addition of DGCP with high protein content in laying hens.
This experiment was conducted to investigate the effects of DGCP (CP 65%) as a replacement for SBM on the laying performance, egg quality, blood indices, egg yolk score, intestinal morphology, pathological changes in the liver, magnum fallopian tube, ovary, and gossypol residue of 49-week-old Lohmann pink laying hens. The aim was to determine the suitable dietary level of DGCP.

2. Materials and Methods

This study was approved by the Animal Care and Use Committee, Sichuan Agricultural University (Ethic Approval Code: SICAUAC202110-2; Chengdu, China).

2.1. Experimental Design and Diets

The conventional nutritional components and amino acid composition of DGCP from Xinjiang Taikun Co., Ltd, Wujiaqu, China. are shown in Table 1. A total of 600 49-week-old Lohmann pink laying hens were allocated to one of five dietary treatments with 6 replicates of 20 birds each, 5 hens per cage, and 4 consecutive cages per replicate. The control group was fed a corn-soybean meal basal diet. Four experimental diets were formulated by replacing 25%, 50%, 75%, and 100% of the soybean meal protein-equivalent capacity with DGCP, where 100% replacement corresponded to the maximum safe inclusion of DGCP (providing 9.97% CP). Soybean meal was reduced proportionally, while maintaining iso-nitrogenous and iso-energetic conditions through amino acid balancing. DGCP was supplemented at 38.2, 76.4, 114.6, and 152.8 g/kg diet for each respective level. The nutritional level was based on the Chinese chicken feeding standard (NY/T33-2004) [14] and the New Lohmann Pink Laying Hens Feeding Manual. The dietary-free gossypol content for each treatment group was measured at 0, 13.9, 27.81, 41.71, and 55.62 mg/kg, respectively, based on the analyzed values of free gossypol in DGCP. Feed formulations and nutrient levels are shown in Table 2. The experimental period was 8 weeks. Layers were maintained on a 15 h light schedule and provided with ad libitum access to both diets and water. All diets were provided in mash form, and the room temperature was consistently maintained between 20 °C and 25 °C.

2.2. Laying Performance and Egg Quality

Daily records were maintained for total egg numbers, total egg weight, and qualified eggs, which excluded sand-shell, soft, broken, malformed, dirty, large (above 70 g), and small (below 50 g) eggs. Additionally, qualified egg weight and the number of dead chickens were documented each day. Feed consumption was recorded weekly, along with the determined average daily feed intake (ADFI), hen-housed laying rate, hen-day laying rate, average egg weight, feed conversion ratio (FCR), number of hen-housed eggs, and egg mass, which were calculated as per the following:
H e n h o u s e d   l a y i n g   r a t e = t o t a l   e g g   n u m b e r s / n u m b e r   o f   h o u s e d   h e n s × d a y s × 100
h e n d a y   l a y i n g   r a t e = t o t a l   e g g   n u m b e r s / n u m b e r   o f   h e n s   i n   s t o c k × d a y s × 100
a v e r a g e   e g g   w e i g h t = t o t a l   e g g   w e i g h t / t o t a l   e g g   n u m b e r s
A D F I = f e e d   c o n s u m p t i o n / ( n u m b e r   o f   h o u s e d   h e n s × d a y s )
F C R = t o t a l   f e e d   i n t a k e / t o t a l   e g g   w e i g h t
n u m b e r   o f   h e n h o u s e d   e g g s = t o t a l   e g g   n u m b e r s / ( n u m b e r   o f   h o u s e d   h e n s × d a y s )
e g g   m a s s = t o t a l   e g g   w e i g h t / ( n u m b e r   o f   h o u s e d × d a y s )
At weeks 0, 4, and 8 of the experiment, 18 eggs per treatment (3 per replicate) were collected for egg quality assessment. The evaluation included measurements of egg weight, yolk color, albumen height, and Haugh unit, all conducted using an automatic egg quality analyzer (EMT-7300, Robotmation Co., Ltd., Tokyo, Japan). Additionally, eggshell strength was measured using an eggshell force gauge (model II, Robotmation Co., Ltd., Tokyo, Japan). Additionally, eggshell thickness was measured at three locations (equator, small end, and large end) using an eggshell thickness gauge (Robotmation Co., Ltd., Tokyo, Japan). Egg yolk and shell weights were recorded with a 0.01 g precision electronic scale, while horizontal and vertical egg diameters were determined using vernier calipers. Egg white quality index: The egg white was separated and subsequently passed through a 40-mesh test sieve. The thin albumen was filtered through the sieve, while the thick albumen remained on the sieve and was weighed separately.
T h i c k   a l b u m e n   p r o p o r t i o n = t h i c k   a l b u m e n   w e i g h t / e g g   w e i g h t × 100
T h i c k   t o   t h i n   r a t i o = t h i c k   a l b u m e n   w e i g h t / t h i n   a l b u m e n   w e i g h t

2.3. Sample Collection and Determination

At the conclusion of the 8th week, one laying hen was randomly selected from each replicate. We collected 9 mL of blood from the jugular vein, of which approximately 2 mL was loaded into an EDTA anticoagulant tube for measuring blood routine indicators. The remaining 7 mL of blood was divided into two non-anticoagulant blood collection tubes (approximately 3.5 mL per tube), centrifuged at 3500 rpm for 10 min to obtain plasma for measuring plasma biochemical indicators. After collecting blood samples, the chickens were euthanized using carbon dioxide. Liver, magnum fallopian tube, and ovarian tissue samples were collected and fixed in 4% neutral formaldehyde, and pathological sections were made to observe tissue pathological changes. Additionally, ileal segments approximately 2 cm in length were harvested and fixed in 4% paraformaldehyde for histological analysis.

2.4. Egg Yolk Sensory Score

In the 4th and 8th weeks of the experiment, 90 eggs were collected each time (3 eggs/replicate, 18 eggs/treatment) and stored at 4 °C for 0, 2, 4, and 6 weeks, respectively. The egg yolk was subjected to sensory evaluation according to the proportion of spots or plaques on the surface of the egg yolk and the degree of discoloration provided by Davis et al. [10]. A sensory score of ≥3 was deemed unacceptable (OBJ).

2.5. Blood Indexes

A fully automatic animal hematology cell analyzer (Vitagas 5E, Cornley Hi-Tech, Shenzhen, China) was utilized to measure various parameters, including white blood cell count (WBC), red blood cell count (RBC), platelet count (PLT), hematocrit (HCT), hemoglobin concentration (HGB), and platelet volume (PCT). Additionally, a fully automatic blood biochemistry analyzer (HATICHI 7180, Tokyo, Japan) was employed to assess aspartate aminotransferase (AST) activity, total protein (TP), albumin (ALB), uric acid (UA), creatinine (CR), potassium (K), chlorine (Cl), calcium (Ca), sodium (Na), total cholesterol (TC), triglycerides (TG), low-density lipoprotein cholesterol (LDL-C), and high-density lipoprotein cholesterol (HDL-C).

2.6. Free Gossypol Residue

Gossypol residues in egg yolk samples treated at 4 and 8 weeks and liver samples treated at 8 weeks were determined. The determination of free gossypol in egg yolk and liver was based on Nomeir et al. [15].

2.7. Liver and Uterine Histopathological Changes and Intestinal Morphology

The ileal segment, liver, magnum fallopian tube, and ovary samples, which were soaked in 4% paraformaldehyde, were removed and subsequently dehydrated using ethanol. After dehydration, the tissues were cleared with xylene and embedded in paraffin wax. Sections were then cut to a thickness of 4 μm using a Leica CM1860 microtome and transferred onto glass slides. The sections underwent hematoxylin-eosin staining. Then, the histopathological changes in liver, magnum fallopian tube, and ovary were assessed using a light microscope (DM500, Leica, Wetzlar, Germany), and intestinal morphology was observed using Image Pro Plus 6.0 (Media Cybernetics, Ltd., Bethesda, MD, USA). A total of 10 intact and straight villi were selected from each sample to measure CD and villus heights (VH). The CD denotes the depth of invagination between adjacent villi, while VH represents the distance from the top of the villus to the crypt-villus junction. The ratio of VH to CD was defined as VH/CD.

2.8. Analysis of Bacterial Microbiota by 16S RNA

Cecum was collected and cecal chow was collected in EP tubes, snap frozen with liquid nitrogen, and stored at −80 °C until analysis. 16s rRNA analyses of cecum microorganisms, including α diversity of microorganisms and relative abundance of species, were performed by Beijing Nuohe Bioinformatics Technology Company.

2.9. Statistical Analysis

Data were analyzed using SPSS 27.0. A one-way analysis of variance (ANOVA) was used for the primary analysis. Polynomial orthogonal contrasts were used to determine the linear and quadratic effects of DGCP level. Duncan’s method was used for multiple comparisons. Data were expressed as the mean and standard error of the mean. Statistical significance was established at p < 0.05.

3. Results

3.1. Production Performance and Egg Quality

As presented in Table 3, the hen-day laying rate (weeks 5–8 and 1–8), average daily feed intake (ADFI), egg mass, and average egg weight in the 100% DGCP group were significantly lower than those in other replacement groups (p < 0.05), exhibiting linear decreases and quadratic effects with increasing DGCP levels. As shown in Table 4, the quadratic regression equation for the production performance indicators reveals that the optimal substitution level for DGCP is 25%, while comprehensively, the substitution level can be as high as 75%.
According to Table 5, at the 4th week of the experiment, with the increase in DGCP level, the egg weight and albumen percentage showed linear and quadratic decreases (p < 0.05). The 100% DGCP group was significantly lower than the control group (p < 0.05); the yolk percentage showed a linear increase (p < 0.05). The thick albumen proportion showed a quadratic decrease (p < 0.05), and the 25% DGCP group was significantly higher than the control group and the 100% DGCP group (p < 0.05). At the 8th week of the experiment, with the increase in DGCP level, the egg shape index, egg weight, albumen percentage, and thick albumen proportion showed linear and quadratic decreases (p < 0.05), while the yolk percentage showed a linear increase (p < 0.05).

3.2. Egg Yolk Score

The eggs from the 4th and 8th week of the experiment were stored at 4 °C for 0, 2, 4, and 6 weeks without any obvious spots, with a score of 0, and no unacceptable eggs were found. The eggs from the 4th and 8th week of the experiment were stored at 4 °C for 0 and 6 weeks, as shown in Figure 1 and Figure 2, respectively.

3.3. Blood Routine Parameters

As shown in Table 6, with the increase in DGCP level, there was no significant effect on the WBC, RBC, PLT, HCT, HGB, and PCT in the whole blood of laying hens (p > 0.05).

3.4. Plasma Biochemistry Indices

According to Table 7, with the increase in DGCP level, there was no significant effect on the plasma AST activity and TP, ALB, CR, Ca, Cl, and Na contents (p > 0.05). The plasma UA and K contents of laying hens showed a linear and quadratic decrease (p < 0.05) with the increase in DGCP level. The plasma UA content of the 100% DGCP group was significantly lower than that of the other groups (p < 0.05). The plasma K content in the 25% to 100% DGCP groups was significantly lower than that in the control group (p < 0.05).

3.5. Plasma Lipid Metabolism Indices

As shown in Table 8, with the increase in DGCP level, there was no significant effect on the plasma LDL-C and HDL-C contents of laying hens (p > 0.05). The plasma TC and TG contents decreased linearly and quadratically (p < 0.05) with the increase in DGCP level. The plasma TC and TG contents in the 100% DGCP group were significantly lower than those in the other groups (p < 0.05).

3.6. Free Gossypol Residue in Liver and Yolk

At the end of the 8th week of the experiment, no residual free gossypol was detected in the liver and yolk of each treatment of laying hens.

3.7. Pathological Changes in Liver, Magnum Fallopian Tube, and Ovary

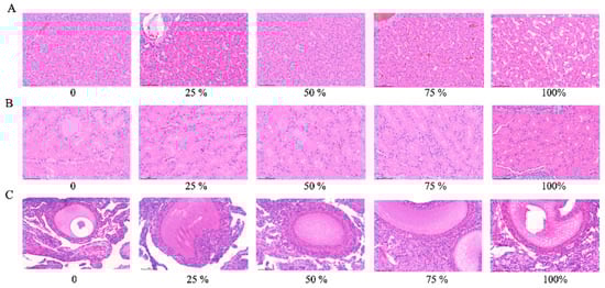
Histological lesions were not observed in the liver, magnum fallopian tube, or ovary tissues of hens among the treatment groups (Figure 3A–C).

3.8. Intestinal Morphology

According to Table 9, the VH of the 75% DGCP group was significantly higher than that of the control group and the 100% DGCP group (p < 0.05), and there was no significant difference between the 25% and 50% DGCP groups (p > 0.05). With the increase in DGCP level, the CD showed a linear and quadratic increase (p < 0.05), with the 100% DGCP group being significantly higher than the other groups (p < 0.05). The VH/CD showed a linear and quadratic decrease (p < 0.05), and the 100% DGCP group was significantly lower than the other groups (p < 0.05).

3.9. Gut Microbiota Diversity

Figure 4A shows the rate of emergence of new ASVs under continuous sampling, with the box plot position leveling off and species in the environment not increasing significantly with sample size, indicating that sampling was sufficient for data analysis. Figure 4B shows that there were 808 common ASVs in the cecum microbiota in each of the five treatment groups, with different specific ASVs in each group. There were 324, 490, 344, 306, and 390 unique ASVs in the control, 25%, 50%, 75%, and 100% groups, respectively, suggesting that sweet DGCP affects gut microbial composition. Figure 4C shows the effect of DGCP on microbial α diversity in the cecum of laying hens. Chao 1, ACE, and the he Shannon index were significantly lower in the control and 100% replacement groups than in the 25% and 75% replacement groups (p < 0.05) and were not significantly different from those in the 50% replacement groups (p > 0.05).
Figure 5A displays the top 10 clades by maximum relative abundance, with the remainder grouped as Others. Bacteroidota showed the highest relative abundance, followed by Campylobacterota and Firmicutes. Figure 5B shows the 10 genera with the highest relative abundance of species, with Bacteroides, Campylobacter, and Fusobacterium as the dominant genera. Both Bacteroidota and Bacteroides increased linearly with the amount of DGCP. As can be seen in Figure 5C,D, Fusobacteriota was significantly lower (p < 0.05) and Desulfobacterota was significantly higher (p < 0.05) in the 100% replacement group compared to all other treatment groups.

4. Discussion

Previous studies have reported the effects of DGCP on laying hen performance. Reid et al. found that including 50 g/kg of CSM (containing 30 mg/kg FG) in the diet significantly reduced the body weight of laying hens [1]. The results indicated that replacing soybean meal with 100% DGCP (FG 28.35 mg/kg) in the diet of 40-week-old Hy-Line brown laying hens led to a significant reduction in both egg weight and feed intake at 46–51 weeks of age [16]. Mu et al. examined diets containing 0%, 6%, and 12% CSM (FG of 0, 41.63 mg/kg, and 83.26 mg/kg, respectively) in laying hens and found that the 12% group had a significantly reduced egg weight and feed intake [17]. Additionally, Lordelo et al. found that adding 200 mg/kg FG to the diet of 34-week-old Hy-Line laying hens significantly decreased both laying rate and feed intake [8]. The results of this experiment also indicated that the 100% DGCP group significantly reduced the laying rate, feed intake, average egg weight, and egg mass of laying hens. This reduction may be attributed to the poor palatability of DGCP, which diminishes the feed intake of laying hens and fails to meet their nutritional requirements, consequently leading to a decline in egg production performance [18]. Additionally, this issue may be related to FG levels. He et al. reported that FG concentrations reaching 28.35 mg/kg significantly reduced egg weight and feed intake [16]. In this experiment, FG levels reached 55.62 mg/kg with 100% replacement, potentially exceeding the maximum FG tolerance of laying hens, which could adversely affect their health and, in turn, their laying performance. In addition, previous studies have reported the antagonistic effects of excessive arginine and lysine in feed [19]. The high arginine content in DGCP leads to an antagonistic effect that disrupts the amino acid balance in the diet, resulting in decreased production performance in the 100% replacement group [16].
Egg quality is an important indicator in the production process of laying hens, significantly influencing the sensory, structural, and functional characteristics of eggs. The albumen is composed of two parts: thick albumen and thin albumen. The protein content in egg white is extremely high, making it a valuable nutrient. Wang et al. found that when 32-week-old laying hens were fed a diet containing 19.5% DGCP (FG 56.5 mg/kg), the proportion of albumen significantly decreased compared to the control group [20]. He et al. reported that a 100% replacement of soybean meal (FG 28.35 mg/kg) with DGCP led to a significant reduction in albumen weight [16]. The results of this experiment showed a significant decrease in the albumen percentage within the 100% replacement group, aligning with previous research findings. The proportion of thick albumen is regarded as an important parameter for assessing egg freshness, and consumers show a greater preference for eggs with a higher thick albumen proportion [21]. Additionally, Zhang et al. reported that feeding a diet containing 16.76% DGCP significantly reduced the thick albumen proportion compared to the control group [22]. In this study, it was also found that the proportion of thick albumen in the 100% replacement group was significantly reduced. This reduction may be related to the ovomucin content in the protein, which plays a key role in maintaining the viscoelasticity and gel structure of the protein, thus affecting the albumen height, Haugh unit, and the proportion of thick albumen [23,24]. Omana et al. reported that the ovalbumin content in thick albumen is two–three times higher than that in thin albumen [25]. Zhang et al. reported that DGCP significantly reduced the content of ovalbumin in proteins [22]. In this study, the 100% replacement group showed a significant decrease in both egg weight and albumen percentage compared with other treatment groups. He et al. also found that a 100% substitution of soybean meal (FG 28.35 mg/kg) with DGCP significantly reduced the albumen percentage [16]. Penz et al. demonstrated that a decrease in egg weight was mainly caused by a decrease in albumen [26]. Previous studies have indicated that CSM has no effect on the egg shape index [16,22]. In this study, the egg shape index of the 100% replacement group exhibited a decreasing trend, which may be attributed to the breed of laying hens and the hatching rate of the eggs [27]. The nutrients in eggs are primarily concentrated in the yolk, and eggs with a higher yolk proportion tend to possess relatively higher nutrient content. Therefore, the yolk proportion can serve as an intuitive indicator of the nutritional quality of eggs. The results of this experiment revealed that as the replacement level of DGCP increased, the yolk proportion also increased linearly, indicating that DGCP enhances the nutritional value of eggs. Furthermore, the egg yolk score is an important factor affecting consumer senses and purchasing decisions, and a higher score correlates with more pronounced discoloration and spots on the egg yolk. Gilani et al. found that when laying hens were fed cottonseed meal (FG 142 mg/kg) in their diet, the discoloration of eggs significantly increased with the duration of refrigeration [28]. The results of this experiment indicated that as the replacement level of DGCP, feeding time, and egg refrigeration time increased, no obvious spots were observed in the egg yolks of any treatment. This suggests that the DGCP, after dephenolization, did not cause spots in the egg yolks. Schaible et al. reported that the addition of 1% ferrous sulfate to cotton meal rations was able to inhibit the formation of yolk spots and effectively improve egg quality [29]. The addition of Fe2+ to cotton meal rations at 4:1 and 8:1 ratios of Fe2+ to cotton phenol by mass showed that cotton phenol partially alleviated the inhibition of egg-laying performance, and that the negative effect of cotton phenol on egg weight was completely eliminated by the addition of Fe2+ [30]. The ferrous sulfate detoxification method is easy to operate, has a low cost of investment, and has been recognized as a better detoxification method.
Blood parameters can reflect physiological indicators of animal metabolism, health, and nutritional status to some extent [31]. In the present study, the replacement level of DGCP had no significant effect on routine blood indicators, such as WBC, RBC, HGB, and HCT, in laying hens. This finding is consistent with a previous study [16]. The results indicate that the effect of DGCP on the health of laying hens is relatively minimal. UA is produced by the breakdown of proteins and nucleic acids and is the main form of amino acid excretion in poultry [32]. It is a major indicator of kidney health. The results of this study indicated that as the replacement level of DGCP increased, the plasma UA content significantly decreased. The reason for the inconsistency with previous results may be due to different egg-laying cycles, DGCP causing purine metabolism disorders, or kidney damage in laying hens. K has important physiological functions in animal bodies and can participate in protein and sugar metabolism. Hypokalemia is the main adverse reaction of gossypol [33]. In this study, the plasma K content of laying hens showed a linear decrease with the increase in DGCP replacement level. This may be due to gossypol damaging mitochondria, interfering with other enzyme systems related to oxidative phosphorylation, and thus, affecting the active transport of K [34]. TG content is an important indicator of liver function [35], which reveals the development and deposition of fat and also reflects fat metabolism activity [36]. TG and TC synthesized by the liver are transported from the liver to peripheral tissues in the form of lipoproteins through the blood. This study showed that the plasma TG and TC contents in the 100% replacement group were significantly reduced, possibly due to the inhibition of lipid synthesis by gossypol, leading to a decrease in lipoprotein secretion [4]. It may also be due to a decrease in fatty acid synthesis in the liver [37].
The intestine is an important site for animal digestion and absorption [38]. Intestinal morphology is an important indicator for evaluating intestinal health [39,40], and VH, CD, and VH/CD reflect the digestion and absorption of nutrients [41]. The higher the VH, the larger the contact area of feed digestion and absorption, which is more conducive to the digestion and absorption of nutrients. The depth of the crypt reflects the rate of morphological development of villous epithelial cells. Shallow crypts show accelerated cell maturation and enhanced secretory function [42]. The VH/CD mainly reflects the net absorption of the intestine [43]. Wang et al. found that adding DGCP (FG 56.50 mg/kg) to the basal diet of laying hens significantly reduced the VH compared to the SBM group [20]. Similarly, in this study, the 100% replacement group showed a significant decrease in VH, a significant increase in CD, and a significant decrease in VH/CD, which reduced the digestive and absorptive capacity of laying hens.
The liver is the main organ for FG metabolism and also a sensitive target organ for anti-nutritional factors [20,44]. The integrity of liver tissue structure is the basis for maintaining normal liver function. Liver steatosis and cell swelling are typical pathological symptoms of animal gossypol poisoning. In this study, we did not observe significant pathological changes in the liver in all groups. This is consistent with previous reports. Wang et al. found that adding DGCP (FG 56.50 mg/kg) to the diet of laying hens did not create significant changes in the liver [20]. He et al. found that adding 189.0 g/kg DGCP to the diet of laying hens did not affect the histological characteristics of the liver after 12 weeks of feeding [16]. The chicken fallopian tubes are composed of five parts: the infundibulum, magnum, isthmus, uterus, and vagina. They are important reproductive organs and the main site for egg formation. The magnum is the longest component of the fallopian tube, which is the site for protein formation and secretion during egg formation. He et al. found that adding 189.0 g/kg DGCP to the diet of laying hens did not affect the histological characteristics of the magnum of the fallopian tubes after 12 weeks of feeding [16]. This is consistent with the results of this study, in which no significant pathological changes were observed in the magnum of the fallopian tubes in each group. When FG reaches a certain amount, it can damage the testicles of roosters, inhibit the secretion of estradiol and progesterone from mature follicles in hens, cause ovarian atrophy, egg rupture, and even loss of ovulation function and reproductive ability. The results of this study showed that no significant pathological changes were observed in the ovaries of each group, indicating that the FG content in this experiment did not reach the level that causes ovarian damage.
The toxicity of FG is mainly produced by active aldehyde groups and hydroxyl groups. When ingested excessively or for a long time in monogastric animals, it can lead to a large accumulation of FG in the animal body, resulting in poisoning and even death [45]. He et al. showed that no residual FG was detected in the liver and eggs of laying hens in each treatment group (FG content of 7.5, 14.75, 21.63, and 28.35 mg/kg, respectively) where DGCP replaced SBM [16]. The results of this study are consistent with previous studies, and no residual FG was detected in the liver and egg yolk of laying hens in all groups. However, Yuan et al. added 6%, 8%, and 10% puffed CSM instead of SBM to the diet of 40-week-old laying hens, where the FG in the liver and egg yolk significantly increased with the increase in substitution ratio [46]. The inconsistency with the results of this study may be due to the fact that the gossypol content in the diet of this study is within the tolerance range of the laying hens, which is ultimately metabolized by the body and therefore not accumulated.
The balance of intestinal microflora is very important to maintain the health of the body; the cecum microorganisms are the key components of the intestinal microflora, and food intake, body development, and the immune system have an important regulatory role [47,48]. The microflora of the poultry cecum is of interest because of its highest microbial cell density and diversity and the longest retention time of digestive juices in the gastrointestinal tract [49]. Alpha diversity is commonly used to analyze the diversity of microbial communities within a sample and reflects the richness, evenness, and diversity of microbial communities [50]. The Chao1 and ACE indices reflect community richness, and the Shannon and Simpson indices reflect community diversity. In this study, we found that chao 1, ACE, and the Shannon index were significantly increased in the 25% and 75% treatment groups and were not significantly different from the 50% treatment group, indicating that DGCP increased the species richness and diversity of cecum microorganisms. A similar result was reported by Tegtmeier et al., who found that feeding black gadfly larvae with cottonseed press cake showed higher α-diversity than larvae reared on chicken feed [51]. The low α-diversity in the control and 100% treatment groups is speculated to be due to the naturally occurring anti-nutritional factors in the control soybean meal and the residues of cotton phenol in the 100% treatment group, limiting the colonization of certain microorganisms. There are fewer studies on the effect of CSM on the intestinal flora of egg-laying poultry, and in the present study, Bacteroidota and Firmicutes were the dominant flora, which is consistent with previous studies in poultry [52]. The DGCP diet increased the relative abundance of Bacteroidota and Bacteroides in the cecum compared to the control, speculating that it may be that the more complex and polymerized fiber structure of DGCP compared to soybean meal may be a better fit for the substrate preference of the phylum Bacteroidota [53]. Fusobacteriota was significantly reduced and Desulfobacterota was significantly increased in the 100% treatment group; Zhang et al. showed that Fusobacteriota metabolizes carbohydrates into short-chain fatty butyrate, which provides many benefits to the host, including supplying energy to gastrointestinal cells, exerting anticancer effects, and providing anti-inflammatory properties [54]. It is speculated that the significant increase in Desulfobacteriota may be due to the higher sulfur-containing amino acids (e.g., methionine and cysteine) in DGCP that provide key substrates for Desulfobacteriota. Combined with the results of this study and those of previous researchers, it is suggested that the safe additive limit of DGCP in laying hens’ diets should be controlled at 114.6 g/kg (based on FG ≤ 400 ppm diet), and this limit needs to be dynamically adjusted according to the source of DGCP, the breed of the poultry, and the age of the day.

5. Conclusions

In conclusion, the 100% DGCP group had a negative impact on the laying performance, egg quality, and intestinal morphology of laying hens. The dietary addition of DGCP can reach up to 114.6 g/kg without adverse effects on egg production performance, egg quality, or the health of laying hens.

Author Contributions

Conceptualization, R.L., X.L., S.B., X.D., J.W., Q.Z., Y.X., S.L., S.Q., X.B., C.H., X.C. and K.Z.; Methodology, R.L., X.L. and K.Z.; Software, R.L.; Formal Analysis, R.L.; Investigation, K.Z.; Resources, K.Z.; Data Curation, R.L., X.L. and K.Z.; Writing—Original Draft Preparation, R.L.; Writing—Review & Editing, R.L., X.L., S.B., X.D., J.W., Q.Z., Y.X., S.L., S.Q., X.B., C.H., X.C. and K.Z.; Supervision, X.L., S.B., X.D., J.W., Q.Z., Y.X., S.L., S.Q., X.B., C.H., X.C. and K.Z.; Funding Acquisition, K.Z.; Project Administration, K.Z. All authors have read and agreed to the published version of the manuscript.

Funding

The research was financially supported by the projects “Laying hen industry technology innovation system construction project guided by the central government for local science and technology development (2022ZYDF)” and “Nutritional Value Evaluation of High Value By-products of Cotton Processing supported by Xinjiang Uygur Autonomous Region (2022B02057-2)”.

Institutional Review Board Statement

The study was approved by the Animal Care and Use Committee, Sichuan Agricultural University (Ethic Approval Code: SICAUAC202110-2; Chengdu, China).

Data Availability Statement

The original contributions presented in this study are included in the article. Further inquiries can be directed to the corresponding authors.

Conflicts of Interest

Authors Sharina Qi, Xiaojuan Bi, Chao He and Xuanming Chen were employed by the company Sichuan Sundaily Farm Ecological Food Co., Ltd. The remaining authors declare that the research was conducted in the absence of any commercial or financial relationships that could be construed as a potential conflict of interest.

References

  1. Reid, B.L.; Galaviz-Moreno, S.; Maiorino, P.M. Evaluation of Isopropanol-Extracted Cottonseed Meal for Laying Hens. Poult. Sci. 1987, 66, 82–89. [Google Scholar] [CrossRef]
  2. Kumar, M.; Tomar, M.; Punia, S.; Grasso, S.; Arrutia, F.; Choudhary, J.; Singh, S.; Verma, P.; Mahapatra, A.; Patil, S.; et al. Cottonseed: A sustainable contributor to global protein requirements. Trends Food Sci. Tech. 2021, 111, 100–113. [Google Scholar] [CrossRef]
  3. Madzimure, J.; Musimurimwa, C.; Chivandi, E.; Gwiriri, L.; Mamhare, E. Milk yield and quality in Guernsey cows fed cottonseed cake-based diets partially substituted with baobab (Adansonia digitata L.) seed cake. Trop. Anim. Health Prod. 2011, 43, 77–82. [Google Scholar] [CrossRef] [PubMed]
  4. Nagalakshmi, D.; Rama, S.V.R.; Panda, A.K.; Sastry, V.R.B. Cottonseed Meal in Poultry Diets: A Review. J. Poult. Sci. 2007, 44, 119–134. [Google Scholar] [CrossRef]
  5. Lyman, C.M.; Chang, W.Y.; Couch, J.R. Evaluation of protein quality in cottonseed meals by chick growth and by a chemical index method. J. Nutr. 1953, 49, 679–690. [Google Scholar] [CrossRef]
  6. Anderson, J.O.; Warnick, R.E. Sequence in which essential amino acids become limiting for growth of chicks fed rations containing cottonseed meal. Poult. Sci. 1966, 45, 84–89. [Google Scholar] [CrossRef]
  7. Watkins, S.E.; Skinner, J.T.; Adams, M.H.; Waldroup, P.W. An Evaluation of Low-Gossypol Cottonseed Meal in Diets for Broiler Chickens 1. Effect of Cottonseed Meal Level and Lysine Supplementation. J. Appl. Poult. Res. 1993, 2, 221–226. [Google Scholar] [CrossRef]
  8. Lordelo, M.M.; Calhoun, M.C.; Dale, N.M.; Dowd, M.K.; Davis, A.J. Relative toxicity of gossypol enantiomers in laying and broiler breeder hens. Poult. Sci. 2007, 86, 582–590. [Google Scholar] [CrossRef]
  9. Panigrahi, S.; Plumb, V.E. Effects on dietary phosphorus of treating cottonseed meal with crystalline ferrous sulphate for the prevention of brown yolk discolouration. Br. Poult. Sci. 1996, 37, 403–411. [Google Scholar] [CrossRef]
  10. Davis, A.J.; Lordelo, M.M.; Dale, N. The Use of Cottonseed Meal with or without Added Soapstock in Laying Hen Diets. J. Appl. Poult. Res. 2002, 11, 127–133. [Google Scholar] [CrossRef]
  11. Adeyemo, G.O. Effects of Cottonseed Cake Based Diets on Haematology and Serum Biochemistry of Egg-Type Chickens. Int. J. Poult. Sci. 2008, 7, 23–27. [Google Scholar] [CrossRef]
  12. Wang, L.; Li, A.; Shi, J.; Liu, K.; Cheng, J.; Song, D.; Yan, X.; Wang, Y.; Wang, W. Effects of different levels of cottonseed meal on laying performance, egg quality, intestinal immunity and hepatic histopathology in laying hens. Food Agric. Immunol. 2020, 31, 803–812. [Google Scholar] [CrossRef]
  13. Sterling, K.G.; Costa, E.F.; Henry, M.H.; Pesti, G.M.; Bakalli, R.I. Responses of broiler chickens to cottonseed- and soybean meal-based diets at several protein levels. Poult. Sci. 2002, 81, 217–226. [Google Scholar] [CrossRef] [PubMed]
  14. NY/T33-2004; Feeding Stankard of Chicken. Ministry of Agriculture of the PRC: Beijing, China, 2004.
  15. Nomeir, A.A.; Abou-Donia, M.B. Gossypol: High-performance liquid chromatographic analysis and stability in various solvents. J. Am. Oil Chem. Soc. 1982, 59, 546–549. [Google Scholar] [CrossRef]
  16. He, T.; Zhang, H.J.; Wang, J.; Wu, S.; Yue, H.; Qi, G. Application of low-gossypol cottonseed meal in laying hens’ diet. Poult. Sci. 2015, 94, 2456–2463. [Google Scholar] [CrossRef]
  17. Mu, Y.; Zhu, L.Y.; Yang, A.; Gao, X.; Zhang, N.; Sun, L.; Qi, D. The effects of dietary cottonseed meal and oil supplementation on laying performance and egg quality of laying hens. Food Sci. Nutr. 2019, 7, 2436–2447. [Google Scholar] [CrossRef]
  18. Mbahinzireki, G.B.; Dabrwski, K.; Lee, K.J.; El-Saidy, D.; Wisner, E.R. Growth, feed utilization and body composition of tilapia (oreochromis sp.) fed cottonseed meal-based diets in a recirculating system. Aquacult. Nutr. 2001, 7, 189–200. [Google Scholar] [CrossRef]
  19. Riley, W.W.; Austic, R.E. Influence of dietary electrolytes on lysine and arginine absorption in chick intestine. Poult. Sci. 1989, 68, 1255–1262. [Google Scholar] [CrossRef]
  20. Wang, X.C.; Zhang, H.J.; Wang, H.; Yue, H.; Wang, J.; Wu, S.; Qi, G. Effect of different protein ingredients on performance, egg quality, organ health, and jejunum morphology of laying hens. Poult. Sci. 2017, 96, 1316–1324. [Google Scholar] [CrossRef]
  21. Wan, Y.; Wang, Z.; Wang, J.; Su, H.; Guo, X.; Wu, J.; Li, Q.; Ni, G.; Jiang, R. Genetic parameters of the thick-to-thin albumen ratio and egg compositional traits in layer-type chickens. Br. Poult. Sci. 2019, 60, 517–521. [Google Scholar] [CrossRef]
  22. Zhou, J.; Fu, Y.; Obianwuna, U.E.; Wang, J.; Zhang, H.; Li, X.; Qi, G.; Wu, S. Supplementation of serine in low-gossypol cottonseed meal-based diet improved egg white gelling and rheological properties by regulating ovomucin synthesis and magnum physiological function in laying hens. J. Integr. Agric. 2023, 24, 1152–1166. [Google Scholar] [CrossRef]
  23. Liu, M.; Yu, W.; Ren, F.; Wu, J. Formation and characterization of peptides in egg white during storage at ambient temperature. Food Chem. 2018, 263, 135–141. [Google Scholar] [CrossRef]
  24. Wang, Y.; Wang, Z.; Shan, Y. Assessment of the relationship between ovomucin and albumen quality of shell eggs during storage. Poult. Sci. 2019, 98, 473–479. [Google Scholar] [CrossRef]
  25. Omana, D.A.; Wu, J. A new method of separating ovomucin from egg white. J. Agric. Food Chem. 2009, 57, 3596–3603. [Google Scholar] [CrossRef]
  26. Penz Junior, A.M.; Jensen, L.S. Influence of protein concentration, amino acid supplementation, and daily time to access to high- or low-protein diets on egg weight and components in laying hens. Poult. Sci. 1991, 70, 2460–2466. [Google Scholar] [CrossRef]
  27. Jin, J.; Zhou, Q.; Lan, F.; Li, J.; Yang, N.; Sun, C. Microbial composition of egg component and its association with hatchability of laying hens. Front. Microbiol. 2022, 13, 943097. [Google Scholar] [CrossRef]
  28. Gilani, A.; Kermanshahi, H.; Golian, A.; Tahmasbi, A.M. Alterations of egg yolk and albumen quality during cold storage when hens fed diets comprising cottonseed meal treated with sodium bentonite. J. Appl. Anim. Sci. 2012, 1, 74–79. [Google Scholar]
  29. Schaible, P.; Moore, L.; Moore, J. Gossypol, a cause of discoloration in egg yolks. Science 1934, 79, 372. [Google Scholar] [CrossRef]
  30. Waldroup, P.W.; Goodner, T.O. Tolerance levels of free gossypol in layer diets as influenced by iron: Gossypol ratios. Poult. Sci. 1973, 52, 20–28. [Google Scholar] [CrossRef]
  31. Wang, F.; Zou, P.; Xu, S.; Wang, Q.; Zhou, Y.; Li, X.; Tang, L.; Wang, B.; Jin, Q.; Yu, D. Dietary supplementation of Macleaya cordata extract and Bacillus in combination improve laying performance by regulating reproductive hormones, intestinal microbiota and barrier function of laying hens. J. Anim. Sci. Biotechnol. 2022, 13, 118. [Google Scholar] [CrossRef] [PubMed]
  32. Singer, M.A. Dietary protein-induced changes in excretory function: A general animal design feature. Comp. Biochem. Phys. B. 2003, 136, 785–801. [Google Scholar] [CrossRef]
  33. Liu, H.; Zhang, R.; Zhang, D.; Zhang, C.; Zhang, Z.; Fu, X.; Luo, Y.; Chen, S.; Wu, A.; Zeng, W.; et al. Cyclic RGD-Decorated Liposomal Gossypol AT-101 Targeting for Enhanced Antitumor Effect. Int. J. Nanomed. 2022, 17, 227–244. [Google Scholar] [CrossRef]
  34. Rehemujiang, H.; Yimamu, A.; Wang, Y.L. Effect of dietary cotton stalk on nitrogen and free gossypol metabolism in sheep. Asian Austral. J. Anim. 2019, 32, 233–240. [Google Scholar] [CrossRef]
  35. Parsons, C.M.; Leeper, R.W. Choline and methionine supplementation of layer diets varying in protein content. Poult. Sci. 1984, 63, 1604–1609. [Google Scholar] [CrossRef]
  36. Zhao, X.; Guo, Y.; Guo, S.; Tan, J. Effects of Clostridium butyricum and Enterococcus faecium on growth performance, lipid metabolism, and cecal microbiota of broiler chickens. Appl. Microbiol. Biotechnol. 2013, 97, 6477–6488. [Google Scholar] [CrossRef]
  37. Argo, C.K.; Patrie, J.T.; Lackner, C.; Henry, T.D.; de Lange, E.E.; Weltman, A.L.; Shah, N.L.; Al-Osaimi, A.M.; Pramoonjago, P.; Jayakumar, S.; et al. Effects of n-3 fish oil on metabolic and histological parameters in NASH: A double-blind, randomized, placebo-controlled trial. J. Hepatol. 2015, 62, 190–197. [Google Scholar] [CrossRef]
  38. Li, Q.; Zhang, C.; Xilin, T.; Ji, M.; Meng, X.; Zhao, Y.; Siqin, B.; Zhang, N.; Li, M. Effects of Koumiss on Intestinal Immune Modulation in Immunosuppressed Rats. Front. Nutr. 2022, 9, 765499. [Google Scholar] [CrossRef]
  39. Ducatell, R.; Goossens, E.; De Meyer, F.; Eeckhaut, V.; Antonissen, G.; Haesebrouck, F.; Van Immerseel, F. Biomarkers for monitoring intestinal health in poultry: Present status and future perspectives. Vet. Res. 2018, 49, 43. [Google Scholar] [CrossRef]
  40. Montagne, L.; Pluske, J.R.; Hampson, D.J. A review of interactions between dietary fibre and the intestinal mucosa, and their consequences on digestive health in young non-ruminant animals. Anim. Feed Sci. Technol. 2003, 108, 95–117. [Google Scholar] [CrossRef]
  41. Pluske, J.R.; Thompson, M.J.; Atwood, C.S.; Bird, P.H.; Williams, I.H.; Hartmann, P.E. Maintenance of villus height and crypt depth, and enhancement of disaccharide digestion and monosaccharide absorption, in piglets fed on cows’ whole milk after weaning. Br. J. Nutr. 1996, 76, 409–422. [Google Scholar] [CrossRef]
  42. Cera, K.R.; Mahan, D.C.; Cross, R.F.; Reinhart, G.A.; Whitmoyer, R.E. Effect of age, weaning and postweaning diet on small intestinal growth and jejunal morphology in young swine. J. Anim. Sci. 1988, 66, 574–584. [Google Scholar] [CrossRef]
  43. Buddle, J.R.; Bolton, J.R. The pathophysiology of diarrhoea in pigs. Pig News Inf. 1992, 13, 41N–45N. [Google Scholar]
  44. Rinchard, J.; Lee, K.J.; Dabrowski, K.; Ciereszko, A.; Blom, J.H.; Ottobre, J.S. Influence of gossypol from dietary cottonseed meal on haematology, reproductive steroids and tissue gossypol enantiomer concentrations in male rainbow trout (Oncorhynchus mykiss). Aquacult. Nutr. 2003, 9, 275–282. [Google Scholar] [CrossRef]
  45. Zhu, X.; Wu, Y.; Li, C.; Yan, W.; Pan, J.; Wang, S.; Zhao, S. Prenatal Exposure to Gossypol Impairs Corticogenesis of Mouse. Front. Neurosci. 2020, 14, 318. [Google Scholar] [CrossRef]
  46. Yuan, C.; Song, H.; Zhang, X.; Jiang, Y.; Zhang, A.; Azzam, M.M.; Zou, X. Effect of expanded cottonseed meal on laying performance, egg quality, concentrations of free gossypol in tissue, serum and egg of laying hens. Anim. Sci. J. 2014, 85, 549–554. [Google Scholar] [CrossRef]
  47. Ray, K. Gut microbiota: Married to our gut microbiota. Nat. Rev. Gastroenterol. Hepatol. 2012, 9, 555. [Google Scholar] [CrossRef]
  48. Robles Alonso, V.; Guarner, F. Linking the gut microbiota to human health. Br. J. Nutr. 2013, 109, S21–S26. [Google Scholar] [CrossRef]
  49. Biasato, I.; Ferrocino, I.; Dabbou, S.; Evangelista, R.; Gai, F.; Gasco, L.; Cocolin, L.; Capucchio, M.T.; Schiavone, A. Black soldier fly and gut health in broiler chickens: Insights into the relationship between cecal microbiota and intestinal mucin composition. J. Anim. Sci. Biotechnol. 2020, 11, 11. [Google Scholar] [CrossRef]
  50. Li, B.; Zhang, X.; Guo, F.; Wu, W.; Zhang, T. Characterization of tetracycline resistant bacterial community in saline activated sludge using batch stress incubation with high-throughput sequencing analysis. Water Res. 2013, 47, 4207–4216. [Google Scholar] [CrossRef]
  51. Tegtmeier, D.; Hurka, S.; Kluber, P.; Brinkrolf, K.; Heise, P.; Vilcinskas, A. Cottonseed Press Cake as a Potential Diet for Industrially Farmed Black Soldier Fly Larvae Triggers Adaptations of Their Bacterial and Fungal Gut Microbiota. Front. Microbiol. 2021, 12, 634503. [Google Scholar] [CrossRef]
  52. Gong, J.; Si, W.; Forster, R.J.; Huang, R.; Yu, H.; Yin, Y.; Yang, C.; Han, Y. 16S rRNA gene-based analysis of mucosa-associated bacterial community and phylogeny in the chicken gastrointestinal tracts: From crops to ceca. FEMS Microbiol. Ecol. 2007, 59, 147–157. [Google Scholar] [CrossRef] [PubMed]
  53. Lim, S.M.; Choo, J.M.; Li, H.; O’Rielly, R.; Carragher, J.; Rogers, G.B.; Searle, I.; Robertson, S.A.; Page, A.J.; Muhlhausler, B. A High Amylose Wheat Diet Improves Gastrointestinal Health Parameters and Gut Microbiota in Male and Female Mice. Foods 2021, 10, 220. [Google Scholar] [CrossRef] [PubMed]
  54. Zhang, J.; Meng, H.; Kong, X.; Cheng, X.; Ma, T.; He, H.; Du, W.; Yang, S.; Li, S.; Zhang, L. Combined effects of polyethylene and organic contaminant on zebrafish (Danio rerio): Accumulation of 9-Nitroanthracene, biomarkers and intestinal microbiota. Environ. Pollut. 2021, 277, 116767. [Google Scholar] [CrossRef] [PubMed]
Figure 1. Eggs from the 4th week were stored for 0 weeks and 6 weeks. (A) Eggs from the 4th week, when stored for 0 weeks. (B) Eggs from the 4th week, when stored for 6 weeks.
Figure 1. Eggs from the 4th week were stored for 0 weeks and 6 weeks. (A) Eggs from the 4th week, when stored for 0 weeks. (B) Eggs from the 4th week, when stored for 6 weeks.
Agriculture 15 01482 g001
Figure 2. Eggs from the 8th week were stored for 0 weeks and 6 weeks. (A) Eggs from the 8th week, when stored for 0 weeks. (B) Eggs from the 8th week, when stored for 6 weeks.
Figure 2. Eggs from the 8th week were stored for 0 weeks and 6 weeks. (A) Eggs from the 8th week, when stored for 0 weeks. (B) Eggs from the 8th week, when stored for 6 weeks.
Agriculture 15 01482 g002
Figure 3. Effect of DGCP replacement level on liver, magnum fallopian tube, and ovary histopathology of layers fed the experimental diets (40×). (A) liver histopathology; (B) magnum fallopian tube histopathology; (C) ovary histopathology.
Figure 3. Effect of DGCP replacement level on liver, magnum fallopian tube, and ovary histopathology of layers fed the experimental diets (40×). (A) liver histopathology; (B) magnum fallopian tube histopathology; (C) ovary histopathology.
Agriculture 15 01482 g003
Figure 4. (A) Cumulative box plot of species. Abscissa: sample size; ordinate: ASV count. (B) Venn diagram of ASV distribution. Each circle represents a group; the overlapping areas indicate shared ASVs; non-overlapping areas indicate unique ASVs. (MA) Control group. (MB) 25% DGCP group. (MC) 50% DGCP group. (MD) 75% DGCP group. (ME) 100% DGCP group. (C) Alpha diversity index. a–c Value differences in the same row differ significantly (p < 0.05) (n = 6).
Figure 4. (A) Cumulative box plot of species. Abscissa: sample size; ordinate: ASV count. (B) Venn diagram of ASV distribution. Each circle represents a group; the overlapping areas indicate shared ASVs; non-overlapping areas indicate unique ASVs. (MA) Control group. (MB) 25% DGCP group. (MC) 50% DGCP group. (MD) 75% DGCP group. (ME) 100% DGCP group. (C) Alpha diversity index. a–c Value differences in the same row differ significantly (p < 0.05) (n = 6).
Agriculture 15 01482 g004
Figure 5. (A) Histogram of relative abundance of species at the phylum level. (B) Histogram of relative abundance of species at the genus level. (C,D) Differences in microbiota at the phylum level. a,b Value differences in the same row differ significantly (p < 0.05) (n = 6).
Figure 5. (A) Histogram of relative abundance of species at the phylum level. (B) Histogram of relative abundance of species at the genus level. (C,D) Differences in microbiota at the phylum level. a,b Value differences in the same row differ significantly (p < 0.05) (n = 6).
Agriculture 15 01482 g005
Table 1. Composition (DM basis) of DGCP used in the study.
Table 1. Composition (DM basis) of DGCP used in the study.
CompositionDGCP
Dry matter, %97.22
GE, MJ/kg18.2
Crude protein, %65.43
Crude fat, %1.74
Crude fiber, %1.87
Ash, %8.21
NDF, %7.17
ADF, %1.46
FG, mg/kg311.64
Essential amino acids, EAA %
Lysine2.55
Methionine0.57
Threonine1.98
Histidine1.76
Leucine3.51
Isoleucine1.84
Phenylalanine3.36
Arginine7.88
Valine2.61
Glycine2.51
Serine2.72
Nonessential amino acids, NEAA %
Aspartic acid5.67
Glutamic acid12.9
Alanine2.3
Cysteine0.76
Tyrosine1.86
Proline2.33
Total AA57.11
Table 2. The composition and nutrient levels of the experimental diets (air-dry basis, %).
Table 2. The composition and nutrient levels of the experimental diets (air-dry basis, %).
IngredientsDGCP Replacement Levels, %
0255075100
Corn56.5258.7761.0163.2665.50
Soybean meal (43% CP)26.9520.2113.486.740.00
Degossypolized cottonseed protein0.003.827.6411.4615.28
Wheat bran2.002.693.384.064.75
Soybean oil2.852.502.141.791.43
Powdery lithopone2.502.502.502.502.50
Grainy lithopone7.037.087.137.177.22
CaHPO41.151.111.081.041.00
L-Lysine Sulphate0.000.150.290.440.58
DL-Methionine0.090.090.100.100.10
L-Threonine0.000.030.070.100.14
L-Tryptophan0.000.010.010.020.03
NaCl0.400.400.400.400.40
Chline chloride (60%)0.100.100.100.100.10
Mineral premix 10.150.150.150.150.15
Vitamin premix 20.150.150.150.150.15
Other 3 0.110.250.390.530.67
Total100.00100.00100.00100.00100.00
Calculated value of nutrition level, % 4
Metabolizable energy, MJ/kg11.4011.4011.4011.4011.40
Crude protein, %16.1516.1516.1516.1516.15
Calcium, %4.004.004.004.004.00
Nonphytate phosphorus, %0.300.300.300.300.30
Digestible lysine, %0.7490.7490.7490.7490.749
Digestible methionine, %0.3160.3160.3160.3160.316
Digestible threonine, %0.5300.5300.5300.5300.530
Digestible tryptophan, %0.1580.1580.1580.1580.158
Free gossypol, mg/kg0.0013.9027.8141.7155.62
1 The mineral premix provided the following per kg of diets: Cu (CuSO4·5H2O) 15 mg, Fe (FeSO4·H2O) 120 mg, Mn (MnSO4·H2O) 150 mg, Zn (ZnSO4·H2O) 120 mg, and Se (Na2SeO3) 0.3 mg. 2 The vitamin premix provided the following per kg of diets: h, VD3 4950 IU, VE 69 IU, VK3 2.4 mg, VB1 2.4 mg, VB2 6.3 mg, VB6 4.2 mg, VB12 0.025 mg, niacin acid 30 mg, pantothenic 10 mg, biotin 0.05 mg, and foilc acid 0.5 mg. 3 Other parts contain pigment and bentonite. 4 Nutrient levels were calculated.
Table 3. Effect of replacing SBM with DGCP on the production performance of laying hens.
Table 3. Effect of replacing SBM with DGCP on the production performance of laying hens.
ItemsDGCP Replacement Levels, %SEMp-Value
0255075100AnovaLinearQuadratic
Hen-housed laying rate/%
weeks 1–4 93.9994.7393.4593.5792.001.3300.3620.0860.152
weeks 5–8 93.7894.6192.9593.7590.031.8120.1380.0500.059
weeks 1–893.8994.6793.2093.6691.011.4180.1440.0420.056
Hen-day laying rate/%
weeks 1–4 93.9995.2393.8093.5792.001.2350.1700.0500.060
weeks 5–8 93.78 a96.23 a94.17 a93.75 a90.03 b1.5190.0080.0120.002
weeks 1–893.89 a95.73 a93.99 a93.66 a91.01 b1.1950.0120.0110.003
ADFI/g
weeks 1–4 119.7 a120.0 a119.5 a119.6 a116.6 b0.474<0.001<0.001<0.001
weeks 5–8 115.8 a119.2 a117.1 a115.7 a102.0 b2.217<0.001<0.001<0.001
weeks 1–8117.7 a119.6 a118.3 a117.7 a109.3 b1.281<0.001<0.001<0.001
FCR
weeks 1–4 2.002.002.012.042.080.3180.0710.0080.012
weeks 5–8 1.911.911.921.961.860.0420.2830.7130.295
weeks 1–81.951.951.962.001.970.0330.6390.2810.528
Average egg weight/g
weeks 1–4 63.73 a63.14 a63.61 a62.81 a61.04 b0.584<0.001<0.001<0.001
weeks 5–8 64.83 a64.88 a64.74 a63.14 a60.88 b0.822<0.001<0.001<0.001
weeks 1–864.27 a64.01 a64.17 a62.98 a60.96 b0.682<0.001<0.001<0.001
Number of hen-housed eggs
weeks 1–4 26.3226.5326.1726.2025.760.3730.3620.0860.152
weeks 5–8 26.2626.4926.0326.2525.210.5070.1380.0500.059
weeks 1–852.5853.0252.1952.4550.970.7940.1440.0420.056
Qualified rate/%
weeks 1–4 97.8198.6297.4297.9598.230.5350.2600.8960.897
weeks 5–8 96.4298.1398.1297.2897.770.6650.0850.2620.122
weeks 1–897.1298.3797.7797.6198.000.5150.1960.4140.483
Egg mass/(kg/bird)
weeks 1–4 1.68 a1.67 a1.67 a1.65 a1.57 b0.0300.0130.0020.002
weeks 5–8 1.70 a1.72 a1.69 a1.66 a1.53 b0.038<0.001<0.001<0.001
weeks 1–83.38 a3.39 a3.35 a3.31 a3.11 b0.0660.001<0.001<0.001
Data are expressed as the mean and SEM. a,b Value differences in the same row differ significantly (p < 0.05) (n = 6).
Table 4. The quadratic regression equation of production performance indicators.
Table 4. The quadratic regression equation of production performance indicators.
ItemsEquationR2Optimal Dosage
Hen-housed laying ratey = 93.93571 + 0.02926x − 0.00056x2r2 = 0.8306526.125
Hen-day laying ratey = 94.14057 + 0.05519x − 0.00087x2r2 = 0.8914531.72
ADFIy = 117.41714 + 0.15263x − 0.00227x2r2 = 0.9361733.62
Average egg weighty = 64.11229 + 0.02506x − 000056x2r2 = 0.9702822.38
Egg massy = 3.37200 + 0.00232x − 0.00005x2r2 = 0.9652023.2
Table 5. Effect of replacing SBM with DGCP on the egg quality of laying hens.
Table 5. Effect of replacing SBM with DGCP on the egg quality of laying hens.
ItemsDGCP Replacement Levels, %SEMp-Value
0255075100AnovaLinearQuadratic
Egg weight/g
4 weeks65.19 a66.93 a66.41 a65.21 a62.88 b1.0650.0030.016<0.001
8 weeks65.56 bc67.88 a66.35 ab63.97 cd62.16 d1.085<0.001<0.001<0.001
Yolk percentage/%
4 weeks28.83b c27.73 c29.34 b29.07 b31.11 a0.610<0.001<0.001<0.001
8 weeks28.36 b28.13 b28.06 b28.93 b30.05 a0.5510.0020.001<0.001
Eggshell percentage/%
4 weeks11.0110.7811.1411.0311.070.1300.0950.2130.442
8 weeks10.8710.4711.1411.0210.880.2400.2160.3810.645
Albumen percentage/%
4 weeks60.08 b61.49 a59.54 b59.89 b57.82 c0.640<0.001<0.001<0.001
8 weeks60.77 ab61.40 a60.80 a60.05 bc59.06 c0.851<0.001<0.001<0.001
Egg shape index
4 weeks1.291.301.321.311.290.1300.1490.8000.052
8 weeks1.32 ab1.34 a1.31 b1.31 b1.3 b0.1070.0160.0150.037
Shell color
4 weeks
L*80.4680.5579.7678.9180.460.6700.0730.3250.211
a*4.654.735.035.424.440.4000.1390.7150.163
b*17.8217.3717.8519.117.600.6400.0770.4520.614
8 weeks
L*79.4277.6077.9777.8178.040.7400.1200.1320.063
a*5.526.426.246.446.230.4700.2810.1730.133
b*17.5419.4918.3918.6818.040.7100.0860.9080.144
Yolk color
4 weeks13.0613.6313.4313.5613.270.2500.1490.5750.127
8 weeks12.6812.3812.3512.5712.680.2520.5240.7230.253
Albumen height/mm
4 weeks8.048.738.078.248.010.3200.1400.4870.361
8 weeks8.198.628.018.097.900.2910.1230.0990.250
Haugh unit
4 weeks88.2191.4687.8289.2888.721.7700.2740.8460.815
8 weeks89.0790.6786.6988.7788.281.5720.1650.3320.568
Thick albumen proportion/%
4 weeks31.56 c35.67 a34.54 ab34.26 abc32.33 bc0.1300.0150.9600.008
8 weeks36.33 ab38.18 a37.94 a35.90 ab34.00 b1.2350.0070.0170.001
Thick-to-thin ratio
4 weeks1.331.611.571.521.50.1500.4040.5020.238
8 weeks1.731.991.911.891.640.2150.4710.5650.198
Eggshell thickness/um
4 weeks380.65380.96377.52371.22375.745.0200.2880.1070.250
8 weeks377.17378.06376.56373.5360.068.4510.1910.0420.051
Eggshell strength/(kg/cm2)
4 weeks4.414.504.664.564.250.2000.2990.4600.164
8 weeks4.444.704.464.324.350.2350.5230.2920.487
Data are expressed as the mean and SEM. a–d Value differences in the same row differ significantly (p < 0.05) (n = 6).
Table 6. Effect of replacing SBM with DGCP on blood routine parameters of laying hens.
Table 6. Effect of replacing SBM with DGCP on blood routine parameters of laying hens.
Items 1DGCP Replacement Levels, %SEMp-Value
0255075100AnovaLinearQuadratic
WBC/(109/L)37.8231.8439.0535.3937.254.5780.5670.8150.902
RBC/(1012/L)2.232.302.312.332.330.1120.8950.3520.582
PLT/(109/L)31.6739.3336.0033.3323.007.510.2850.1790.084
HCT/%28.7229.3029.5030.0229.521.2480.8860.3910.59
HGB/(g/L)139.0138.2138.5140.8137.56.4070.9880.9810.983
PCT/%0.020.020.020.020.010.0040.1690.0840.044
Data are expressed as the mean and SEM. 1 WBC, white blood cell count; RBC, red blood cell count; PLT, platelet count; HCT, hematocrit; HGB, hemoglobin concentration; PCT, platelet volume.
Table 7. Effect of replacing SBM with DGCP on plasma biochemistry indices of laying hens.
Table 7. Effect of replacing SBM with DGCP on plasma biochemistry indices of laying hens.
Items 1DGCP Replacement Levels, %SEMp-Value
0255075100AnovaLinearQuadratic
AST/(U/L)160.3168.7154.4158.7180.910.930.1530.2310.417
TP/(g/L)44.4547.2046.0046.5244.343.2400.8480.8250.939
ALB/(g/L)17.9719.2818.2319.8617.751.5960.6130.8630.793
CR/(umol/L)49.2973.3657.1269.3547.9220.990.6400.8830.470
UA/(umol/L)175.8 a171.3 ab153.8 ab138.0 b98.27 c16.20<0.001<0.0010.002
Ca/(mmol/L)5.195.854.276.204.040.9310.1160.0940.236
Cl/(mmol/L)110.30109.26110.17110.26111.121.1250.5840.6180.836
Na/(mmol/L)31.8731.4332.2532.3832.730.4630.0750.0180.061
K/(mmol/L)6.42 a5.50 b4.44 c5.66 b5.11 bc0.369<0.0010.0860.005
Data are expressed as the mean and SEM. a–c Value differences in the same row differ significantly (p < 0.05) (n = 6). 1 AST, aspartate amino transferase; TP, total protein; ALB, albumin; CR, creatinine; UA, uric acid; Ca, calcium; Cl, chlorine; Na, sodium; K, potassium.
Table 8. Effect of replacing SBM with DGCP on plasma lipid metabolism indices of laying hens.
Table 8. Effect of replacing SBM with DGCP on plasma lipid metabolism indices of laying hens.
Items 1DGCP Replacement Levels, %SEMp-Value
0255075100AnovaLinearQuadratic
TC/(mmol/L)2.46 a2.85 a2.44 a2.50 a1.66 b0.2890.0070.0110.002
TG/(mmol/L)14.65 a17.16 a15.9 a15.27 a7.70 b2.6260.0120.0330.025
LDL-C/(mmol/L)0.911.141.071.050.600.2460.2240.1280.265
HDL-C/(mmol/L)0.891.221.061.060.690.2770.4120.1580.353
Data are expressed as the mean and SEM. a,b Value differences in the same row differ significantly (p < 0.05) (n = 6). 1 TC, total cholesterol; TG, triglyceride; HDL-C, high-density lipoprotein; LDL-C, low-density lipoprotein.
Table 9. Effect of replacing SBM with DGCP on the ileal tissue morphology of laying hens.
Table 9. Effect of replacing SBM with DGCP on the ileal tissue morphology of laying hens.
Items 1DGCP Replacement Levels, %SEMp-Value
0255075100AnovaLinearQuadratic
VH/(μm)1048 b1141 ab1104 ab1239 a1024 b67.840.0390.8720.095
CD/(μm)94.53 b91.48 b102.6 b104.3 b127.5 a8.6730.003<0.001<0.001
VH/CD 11.14 a12.66 a11.02 a12.05 a8.050 b0.889<0.0010.008<0.001
Data are expressed as the mean and SEM. a,b Value differences in the same row differ significantly (p < 0.05) (n = 6). 1 VH, villus height of jejunum; CD, crypt depth of jejunum; VH/CD, the ratio of VH to CD of jejunum.
Disclaimer/Publisher’s Note: The statements, opinions and data contained in all publications are solely those of the individual author(s) and contributor(s) and not of MDPI and/or the editor(s). MDPI and/or the editor(s) disclaim responsibility for any injury to people or property resulting from any ideas, methods, instructions or products referred to in the content.

Share and Cite

MDPI and ACS Style

Li, R.; Luo, X.; Bai, S.; Ding, X.; Wang, J.; Zeng, Q.; Xuan, Y.; Li, S.; Qi, S.; Bi, X.; et al. Effects of Degossypolized Cottonseed Protein on the Laying Performance, Egg Quality, Blood Indexes, Gossypol Residue, Liver and Uterine Histopathological Changes, and Intestinal Health of Laying Hens. Agriculture 2025, 15, 1482. https://doi.org/10.3390/agriculture15141482

AMA Style

Li R, Luo X, Bai S, Ding X, Wang J, Zeng Q, Xuan Y, Li S, Qi S, Bi X, et al. Effects of Degossypolized Cottonseed Protein on the Laying Performance, Egg Quality, Blood Indexes, Gossypol Residue, Liver and Uterine Histopathological Changes, and Intestinal Health of Laying Hens. Agriculture. 2025; 15(14):1482. https://doi.org/10.3390/agriculture15141482

Chicago/Turabian Style

Li, Ru, Xingyuan Luo, Shiping Bai, Xuemei Ding, Jianping Wang, Qiufeng Zeng, Yue Xuan, Shanshan Li, Sharina Qi, Xiaojuan Bi, and et al. 2025. "Effects of Degossypolized Cottonseed Protein on the Laying Performance, Egg Quality, Blood Indexes, Gossypol Residue, Liver and Uterine Histopathological Changes, and Intestinal Health of Laying Hens" Agriculture 15, no. 14: 1482. https://doi.org/10.3390/agriculture15141482

APA Style

Li, R., Luo, X., Bai, S., Ding, X., Wang, J., Zeng, Q., Xuan, Y., Li, S., Qi, S., Bi, X., He, C., Chen, X., & Zhang, K. (2025). Effects of Degossypolized Cottonseed Protein on the Laying Performance, Egg Quality, Blood Indexes, Gossypol Residue, Liver and Uterine Histopathological Changes, and Intestinal Health of Laying Hens. Agriculture, 15(14), 1482. https://doi.org/10.3390/agriculture15141482

Note that from the first issue of 2016, this journal uses article numbers instead of page numbers. See further details here.

Article Metrics

Back to TopTop