Genetic Enhancement of Blast and Bacterial Leaf Blight Resistance in Rice Variety CO 51 through Marker-Assisted Selection
Abstract
1. Introduction
2. Materials and Methods
2.1. Genotypes Used
2.2. Development of Pyramided Lines to Enhance Biotic Stress Tolerance of CO 51
2.3. Screening of Selected RILs and BILs against Blast Pathogen
2.4. Screening of Selected RILs and BILs against BB Pathogen
2.5. Agronomic Performance and Grain Quality Parameters of RILs and BILs
3. Results
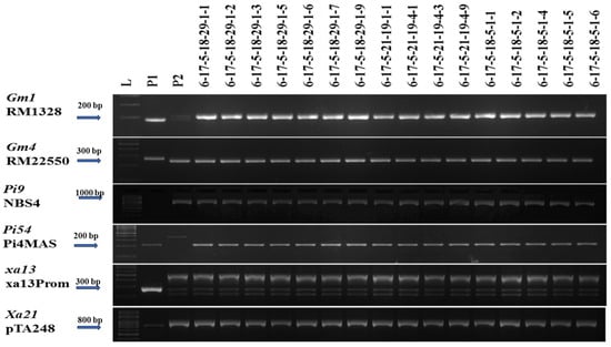
3.1. Introgression of Pi9, xa13, Xa21, Gm1, and Gm4 into CO 51 Harbouring Pi54
3.2. Introgression of Pi9 to Enhance the Resistance to Blast in CO 51
3.3. RILs Harbouring Xa13 and Xa21 Exhibited Enhanced Resistance to BB
3.4. Performance of RILs and BILs of CO 51 X 562-4 Lines for Important Traits
4. Discussion
5. Conclusions
Supplementary Materials
Author Contributions
Funding
Data Availability Statement
Acknowledgments
Conflicts of Interest
References
- Janaki Ramayya, P.; Vinukonda, V.P.; Singh, U.M.; Alam, S.; Venkateshwarlu, C.; Vipparla, A.K.; Dixit, S.; Yadav, S.; Abbai, R.; Badri, J. Marker-assisted forward and backcross breeding for improvement of elite Indian rice variety Naveen for multiple biotic and abiotic stress tolerance. PLoS ONE 2021, 16, e0256721. [Google Scholar] [CrossRef] [PubMed]
- Behera, P.K.; Kumar, V.; Sharma, S.S.; Lenka, S.K.; Panda, D. Genotypic diversity and abiotic stress response profiling of short-grain aromatic landraces of rice (Oryza sativa L. Indica). Curr. Plant Biol. 2023, 33, 100269. [Google Scholar] [CrossRef]
- Dormatey, R.; Sun, C.; Ali, K.; Coulter, J.A.; Bi, Z.; Bai, J.J.A. Gene pyramiding for sustainable crop improvement against biotic and abiotic stresses. Agronomy 2020, 10, 1255. [Google Scholar] [CrossRef]
- Mueller, N.D.; Gerber, J.S.; Johnston, M.; Ray, D.K.; Ramankutty, N.; Foley, J.A. Closing yield gaps through nutrient and water management. Nature 2012, 490, 254–257. [Google Scholar] [CrossRef]
- Swathi, G.; Durga Rani, C.V.; Md, J.; Madhav, M.S.; Vanisree, S.; Anuradha, C.; Kumar, N.R.; Kumar, N.A.P.; Kumari, K.A.; Bhogadhi, S.C.J.M.B. Marker-assisted introgression of the major bacterial blight resistance genes, Xa21 and xa13, and blast resistance gene, Pi54, into the popular rice variety, JGL1798. Mol. Breed. 2019, 39, 58. [Google Scholar] [CrossRef]
- Dean, R.; Van Kan, J.A.; Pretorius, Z.A.; Hammond-Kosack, K.E.; Di Pietro, A.; Spanu, P.D.; Rudd, J.J.; Dickman, M.; Kahmann, R.; Ellis, J. The Top 10 fungal pathogens in molecular plant pathology. Mol. Plant Pathol. 2012, 13, 414–430. [Google Scholar] [CrossRef] [PubMed]
- Qiu, J.; Xie, J.; Chen, Y.; Shen, Z.; Shi, H.; Naqvi, N.I.; Qian, Q.; Liang, Y.; Kou, Y. Warm temperature compromises JA-regulated basal resistance to enhance Magnaporthe oryzae infection in rice. Mol. Plant 2022, 15, 723–739. [Google Scholar] [CrossRef] [PubMed]
- Rajarajeswari, N.; Muralidharan, K.J.C.P. Assessments of farm yield and district production loss from bacterial leaf blight epidemics in rice. Crop Prot. 2006, 25, 244–252. [Google Scholar] [CrossRef]
- Sundaram, R.M.; Vishnupriya, M.R.; Biradar, S.K.; Laha, G.S.; Reddy, G.A.; Rani, N.S.; Sarma, N.P.; Sonti, R.V. Marker assisted introgression of bacterial blight resistance in Samba Mahsuri, an elite indica rice variety. Euphytica 2008, 160, 411–422. [Google Scholar] [CrossRef]
- Miah, G.; Rafii, M.; Ismail, M.; Puteh, A.; Rahim, H.; Asfaliza, R.; Latif, M. Blast resistance in rice: A review of conventional breeding to molecular approaches. Mol. Biol. Rep. 2013, 40, 2369–2388. [Google Scholar] [CrossRef]
- Nasruddin, A.; Amin, N. Effects of cultivar, planting period, and fungicide usage on rice blast infection levels and crop yield. J. Agric. Sci. 2013, 5, 160. [Google Scholar] [CrossRef]
- Mew, T. Current status and future prospects of research on bacterial blight of rice. Annu. Rev. Phytopathol. 1987, 25, 359–382. [Google Scholar] [CrossRef]
- Ullah, I.; Ali, H.; Mahmood, T.; Khan, M.N.; Haris, M.; Shah, H.; Mihoub, A.; Jamal, A.; Saeed, M.F.; Mancinelli, R. Pyramiding of four broad spectrum bacterial blight resistance genes in cross breeds of basmati rice. Plants 2022, 12, 46. [Google Scholar] [CrossRef]
- Choudhary, N.; Johar, P.; Pandita, N.; Sharma, M.; Salgotra, R.K. 1.13 Molecular Screening of Bacterial Leaf Blight Resistance in Rice Mapping Population and its Impact on Yield Traits. In Sustainable Agricultural Innovations for Resilient Agri-Food Systems; The Indian Ecological Society: New Delhi, India, 2022; p. 108. [Google Scholar]
- Rao, A.S.; Padmakumari, A.; Chandrakar, G.; Rani, B.J. Protocol for rearing and maintenance of asian rice gall midge, orseolia oryzae (wood-mason) in greenhouse. J. Exp. Zool. India 2023, 26, 643–647. [Google Scholar]
- Yadav, S.; Sandhu, N.; Dixit, S.; Singh, V.K.; Catolos, M.; Mazumder, R.R.; Rahman, M.A.; Kumar, A. Genomics-assisted breeding for successful development of multiple-stress-tolerant, climate-smart rice for southern and southeastern Asia. Plant Genome 2021, 14, e20074. [Google Scholar] [CrossRef] [PubMed]
- Mishra, B.; Viraktamath, B.; Ilyas-Ahmed, M.; Ramesha, M.; Vijayakumar, C. Hybrid rice development ans use in India. In Proceedings of the 4th International Symposium on Hybrid Rice, Hanoi, Vietnam, 14–17 May 2002. [Google Scholar]
- Xiao, Y.; Li, J.; Yu, J.; Meng, Q.; Deng, X.; Yi, Z.; Xiao, G. Improvement of bacterial blight and brown planthopper resistance in an elite restorer line Huazhan of Oryza. Field Crops Res. 2016, 186, 47–57. [Google Scholar] [CrossRef]
- Mi, J.; Yang, D.; Chen, Y.; Jiang, J.; Mou, H.; Huang, J.; Ouyang, Y.; Mou, T. Accelerated molecular breeding of a novel P/TGMS line with broad-spectrum resistance to rice blast and bacterial blight in two-line hybrid rice. Rice 2018, 11, 11. [Google Scholar] [CrossRef]
- Ashkani, S.; Rafii, M.; Shabanimofrad, M.; Ghasemzadeh, A.; Ravanfar, S.; Latif, M. Molecular progress on the mapping and cloning of functional genes for blast disease in rice (Oryza sativa L.): Current status and future considerations. Crit. Rev. Biotechnol. 2016, 36, 353–367. [Google Scholar] [CrossRef]
- Devanna, B.N.; Jain, P.; Solanke, A.U.; Das, A.; Thakur, S.; Singh, P.K.; Kumari, M.; Dubey, H.; Jaswal, R.; Pawar, D. Understanding the dynamics of blast resistance in rice-Magnaporthe oryzae interactions. J. Fungi 2022, 8, 584. [Google Scholar] [CrossRef]
- Yang, S.; Li, J.; Zhang, X.; Zhang, Q.; Huang, J.; Chen, J.-Q.; Hartl, D.L.; Tian, D. Rapidly evolving R genes in diverse grass species confer resistance to rice blast disease. Proc. Natl. Acad. Sci. USA 2013, 110, 18572–18577. [Google Scholar] [CrossRef]
- Wang, Z.X.; Yano, M.; Yamanouchi, U.; Iwamoto, M.; Monna, L.; Hayasaka, H.; Katayose, Y.; Sasaki, T. The Pib gene for rice blast resistance belongs to the nucleotide binding and leucine-rich repeat class of plant disease resistance genes. Plant J. 1999, 19, 55–64. [Google Scholar] [CrossRef] [PubMed]
- Sitch, L.; Amante, A.; Dalmacio, R.; Leung, H. Oryza minuta, a source of blast and bacterial blight resistance for rice improvement. In Proceedings of the 2nd International Symposium on Genetic Manipulation in Crops, El Batan, Mexico, 29–31 August 1988. [Google Scholar]
- Amante-Bordeos, A.; Sitch, L.; Nelson, R.; Dalmacio, R.; Oliva, N.; Aswidinnoor, H.; Leung, H. Transfer of bacterial blight and blast resistance from the tetraploid wild rice Oryza minuta to cultivated rice, Oryza sativa. Theor. Appl. Genet. 1992, 84, 345–354. [Google Scholar] [CrossRef] [PubMed]
- Sharma, T.; Rai, A.; Gupta, S.; Singh, N. Broad-spectrum blast resistance gene Pi-kh cloned from rice line Tetep designated as Pi54. J. Plant Biochem. Biotechnol. 2010, 19, 87–89. [Google Scholar] [CrossRef]
- Sharma, T.; Madhav, M.; Singh, B.; Shanker, P.; Jana, T.; Dalal, V.; Pandit, A.; Singh, A.; Gaikwad, K.; Upreti, H. High-resolution mapping, cloning and molecular characterization of the Pi-k h gene of rice, which confers resistance to Magnaporthe grisea. Mol. Genet. Genom. 2005, 274, 569–578. [Google Scholar] [CrossRef]
- Rai, A.K.; Kumar, S.P.; Gupta, S.K.; Gautam, N.; Singh, N.K.; Sharma, T.R. Functional complementation of rice blast resistance gene Pi-k h (Pi54) conferring resistance to diverse strains of Magnaporthe oryzae. J. Plant Biochem. Biotechnol. 2011, 20, 55–65. [Google Scholar] [CrossRef]
- Yasmin, S.; Hafeez, F.Y.; Mirza, M.S.; Rasul, M.; Arshad, H.M.; Zubair, M.; Iqbal, M. Biocontrol of bacterial leaf blight of rice and profiling of secondary metabolites produced by rhizospheric Pseudomonas aeruginosa BRp3. Front. Microbiol. 2017, 8, 1895. [Google Scholar] [CrossRef] [PubMed]
- Fiyaz, R.A.; Shivani, D.; Chaithanya, K.; Mounika, K.; Chiranjeevi, M.; Laha, G.; Viraktamath, B.; Rao, L.S.; Sundaram, R. Genetic improvement of rice for bacterial blight resistance: Present status and future prospects. Rice Sci. 2022, 29, 118–132. [Google Scholar] [CrossRef]
- Ronald, P.C.; Albano, B.; Tabien, R.; Abenes, L.; Wu, K.-S.; McCouch, S.; Tanksley, S.D. Genetic and physical analysis of the rice bacterial blight disease resistance locus, Xa21. Mol. Gen. Genet. MGG 1992, 236, 113–120. [Google Scholar] [CrossRef] [PubMed]
- Chu, Z.; Fu, B.; Yang, H.; Xu, C.; Li, Z.; Sanchez, A.; Park, Y.; Bennetzen, J.; Zhang, Q.; Wang, S. Targeting xa13, a recessive gene for bacterial blight resistance in rice. Theor. Appl. Genet. 2006, 112, 455–461. [Google Scholar] [CrossRef]
- Singh, B.D.; Singh, A.K. Marker-Assisted Selection. In Marker-Assisted Plant Breeding: Principles and Practices; Springer: New Delhi, India, 2015; pp. 271–272. [Google Scholar] [CrossRef]
- Das, G.; Rao, G. Molecular marker assisted gene stacking for biotic and abiotic stress resistance genes in an elite rice cultivar. Front. Plant Sci. 2015, 6, 698. [Google Scholar] [CrossRef]
- Das, G.; Rao, G.J.; Varier, M.; Prakash, A.; Prasad, D. Improved Tapaswini having four BB resistance genes pyramided with six genes/QTLs, resistance/tolerance to biotic and abiotic stresses in rice. Sci. Rep. 2018, 8, 2413. [Google Scholar] [CrossRef]
- Dixit, S.; Singh, U.M.; Singh, A.K.; Alam, S.; Venkateshwarlu, C.; Nachimuthu, V.V.; Yadav, S.; Abbai, R.; Selvaraj, R.; Devi, M.N. Marker Assisted Forward Breeding to Combine Multiple Biotic-Abiotic Stress Resistance/Tolerance in Rice. Rice 2020, 13, 29. [Google Scholar] [CrossRef]
- Suh, J.-P.; Jeung, J.-U.; Noh, T.-H.; Cho, Y.-C.; Park, S.-H.; Park, H.-S.; Shin, M.-S.; Kim, C.-K.; Jena, K.K. Development of breeding lines with three pyramided resistance genes that confer broad-spectrum bacterial blight resistance and their molecular analysis in rice. Rice 2013, 6, 5. [Google Scholar] [CrossRef]
- Korinsak, S.; Siangliw, M.; Kotcharerk, J.; Jairin, J.; Siangliw, J.L.; Jongdee, B.; Pantuwan, G.; Sidthiwong, N.; Toojinda, T. Improvement of the submergence tolerance and the brown planthopper resistance of the Thai jasmine rice cultivar KDML105 by pyramiding Sub1 and Qbph12. Field Crops Res. 2016, 188, 105–112. [Google Scholar] [CrossRef]
- Ayyenar, B.; Kambale, R.; Duraialagaraja, S.; Manickam, S.; Mohanavel, V.; Shanmugavel, P.; Alagarsamy, S.; Ishimaru, T.; Jagadish, S.K.; Vellingiri, G. Developing Early Morning Flowering Version of Rice Variety CO 51 to Mitigate the Heat-Induced Yield Loss. Agriculture 2023, 13, 553. [Google Scholar] [CrossRef]
- Viswabharathy, S.; Thulasinathan, T.; Subburaj, S.; Seeli, F.D.P.; Ayyenar, B.; Kambale, R.; Mohanavel, V.; Rajagopalan, V.R.; Manickam, S.; Jeyakumar, P. Harnessing parent-offspring regression analysis to develop high-yielding submergence tolerant lines of Oryza sativa L. Electron. J. Plant Breed. 2023, 14, 675–686. [Google Scholar]
- Subburaj, S.; Thulasinathan, T.; Viswabharathy, S.; Ayyenar, B.; Kambale, R.; Rajagopalan, V.R.; Manickam, S.; Krishnan, C.G.; Kalaimagal, T.; Manonmani, S. Development of biotic stress resistant version of CO 51 Rice cultivar through Marker Assisted Introgression of major genes, Pi9 and Xa21. Electron. J. Plant Breed. 2023, 14, 1035–1043. [Google Scholar]
- Ausubel, F.M.; Brent, R.; Kingston, R.E.; Moore, D.D.; Seidman, J.; Smith, J.A.; Struhl, K. Short Protocols in Molecular Biology; Wiley: New York, NY, USA, 1992; Volume 275, pp. 28764–28773. [Google Scholar]
- Khanna, A.; Sharma, V.; Ellur, R.K.; Shikari, A.B.; Gopala Krishnan, S.; Singh, U.; Prakash, G.; Sharma, T.; Rathour, R.; Variar, M. Development and evaluation of near-isogenic lines for major blast resistance gene (s) in Basmati rice. Theor. Appl. Genet. 2015, 128, 1243–1259. [Google Scholar] [CrossRef]
- Sagar, V.; Dhawan, G.; Gopala Krishnan, S.; Vinod, K.; Ellur, R.K.; Mondal, K.K.; Rathour, R.; Prakash, G.; Nagarajan, M.; Bhowmick, P.K. Marker assisted introgression of genes governing resistance to bacterial blight and blast diseases into an elite Basmati rice variety, ‘Pusa Basmati 1509’. Euphytica 2020, 216, 16. [Google Scholar] [CrossRef]
- Ellur, R.K.; Khanna, A.; Bhowmick, P.K.; Vinod, K.; Nagarajan, M.; Mondal, K.K.; Singh, N.K.; Singh, K.; Prabhu, K.V.; Singh, A.K. Marker-aided incorporation of Xa38, a novel bacterial blight resistance gene, in PB1121 and comparison of its resistance spectrum with xa13 + Xa21. Sci. Rep. 2016, 6, 29188. [Google Scholar] [CrossRef] [PubMed]
- Pradhan, S.K.; Nayak, D.K.; Mohanty, S.; Behera, L.; Barik, S.R.; Pandit, E.; Lenka, S.; Anandan, A. Pyramiding of three bacterial blight resistance genes for broad-spectrum resistance in deepwater rice variety, Jalmagna. Rice 2015, 8, 19. [Google Scholar] [CrossRef] [PubMed]
- Kauffman, H. An improved technique for evaluating resistance to rice varieties of Xanthomonas oryzae pv. oryzae. Plant Dis. Rep. 1973, 57, 537–541. [Google Scholar]
- Chen, S.; Lin, X.; Xu, C.; Zhang, Q. Improvement of bacterial blight resistance of ‘Minghui 63′, an elite restorer line of hybrid rice, by molecular marker-assisted selection. Crop Sci. 2000, 40, 239–244. [Google Scholar] [CrossRef]
- Basavaraj, P.; Muralidhara, B.; Manoj, C.; Anantha, M.; Rathod, S.; Raju, C.D.; Senguttuvel, P.; Madhav, M.; Srinivasaprasad, M.; Prakasam, V. Identification and molecular characterization of high-yielding, blast resistant lines derived from Oryza rufipogon Griff. in the background of ‘Samba Mahsuri’ rice. Genet. Resour. Crop Evol. 2021, 68, 1905–1921. [Google Scholar] [CrossRef]
- Marri, P.R.; Reddy, L.V.; Siddiq, E. Identification and mapping of yield and yield related QTLs from an Indian accession of Oryza rufipogon. BMC Genet. 2005, 6, 33. [Google Scholar] [CrossRef] [PubMed]
- Thomson, M.; Tai, T.; McClung, A.; Lai, X.; Hinga, M.; Lobos, K.; Xu, Y.; Martinez, C.; McCouch, S.R. Mapping quantitative trait loci for yield, yield components and morphological traits in an advanced backcross population between Oryza rufipogon and the Oryza sativa cultivar Jefferson. Theor. Appl. Genet. 2003, 107, 479–493. [Google Scholar] [CrossRef]
- Singh, S.; Sidhu, J.; Huang, N.; Vikal, Y.; Li, Z.; Brar, D.; Dhaliwal, H.; Khush, G. Pyramiding three bacterial blight resistance genes (xa5, xa13 and Xa21) using marker-assisted selection into indica rice cultivar PR106. Theor. Appl. Genet. 2001, 102, 1011. [Google Scholar] [CrossRef]
- Peng, M.; Lin, X.; Xiang, X.; Ren, H.; Fan, X.; Chen, K. Characterization and evaluation of transgenic rice pyramided with the Pi Genes Pib, Pi25 and Pi54. Rice 2021, 14, 78. [Google Scholar] [CrossRef]
- Xiao, N.; Wu, Y.; Pan, C.; Yu, L.; Chen, Y.; Liu, G.; Li, Y.; Zhang, X.; Wang, Z.; Dai, Z. Improving of rice blast resistances in japonica by pyramiding major R genes. Front. Plant Sci. 2017, 7, 1918. [Google Scholar] [CrossRef]
- Samuthirapandi, S.; Thiyagarajan, T.; Viswabharathy, S.; Bharathi, A.; Rohit, K.; Ranjani, R.V.; Sudha, M.; Krishnan, C.G.; Kalaimagal, T.; Raveendran, M. Improving rice blast resistance by stacking of two broad spectrum resistance gene Pi9 and Pi54 in cultivar CO 51 through Marker Assisted Selection. Electron. J. Plant Breed. 2023, 14, 695–706. [Google Scholar]
- Wang, G.-L.; Mackill, D.J.; Bonman, J.M.; McCouch, S.R.; Champoux, M.C.; Nelson, R.J. RFLP mapping of genes conferring complete and partial resistance to blast in a durably resistant rice cultivar. Genetics 1994, 136, 1421–1434. [Google Scholar] [CrossRef]
- Midha, S.; Bansal, K.; Kumar, S.; Girija, A.M.; Mishra, D.; Brahma, K.; Laha, G.S.; Sundaram, R.M.; Sonti, R.V.; Patil, P.B. Population genomic insights into variation and evolution of Xanthomonas oryzae pv. oryzae. Sci. Rep. 2017, 7, 40694. [Google Scholar] [CrossRef]
- Mundt, C.C.; Ahmed, H.U.; Finckh, M.R.; Nieva, L.P.; Alfonso, R.F. Primary disease gradients of bacterial blight of rice. Phytopathology 1999, 89, 64–67. [Google Scholar] [CrossRef]
- Gopalakrishnan, S.; Sharma, R.; Anand Rajkumar, K.; Joseph, M.; Singh, V.; Singh, A.; Bhat, K.; Singh, N.; Mohapatra, T. Integrating marker assisted background analysis with foreground selection for identification of superior bacterial blight resistant recombinants in Basmati rice. Plant Breed. 2008, 127, 131–139. [Google Scholar] [CrossRef]
- Singh, A.; Ellur, R.K.; Krishnan, S.G.; Bhowmick, P.; Nagarajanl, M.; Vinod, K.; Haritha, B.; Singh, V.K.; Khanna, A.; Pathania, S. Rice Variety Pusa Basmati 1718. Indian J. Genet. Plant Breed. 2018, 78, 151. [Google Scholar]
- Antony, G.; Zhou, J.; Huang, S.; Li, T.; Liu, B.; White, F.; Yang, B. Rice xa13 recessive resistance to bacterial blight is defeated by induction of the disease susceptibility gene Os-11N3. Plant Cell 2010, 22, 3864–3876. [Google Scholar] [CrossRef]
- Park, C.-J.; Ronald, P.C. Cleavage and nuclear localization of the rice XA21 immune receptor. Nat. Commun. 2012, 3, 920. [Google Scholar] [CrossRef]
- Song, W.-Y.; Wang, G.-L.; Chen, L.-L.; Kim, H.-S.; Pi, L.-Y.; Holsten, T.; Gardner, J.; Wang, B.; Zhai, W.-X.; Zhu, L.-H. A receptor kinase-like protein encoded by the rice disease resistance gene, Xa21. Science 1995, 270, 1804–1806. [Google Scholar] [CrossRef]
- Pruitt, R.N.; Schwessinger, B.; Joe, A.; Thomas, N.; Liu, F.; Albert, M.; Robinson, M.R.; Chan, L.J.G.; Luu, D.D.; Chen, H. The rice immune receptor XA21 recognizes a tyrosine-sulfated protein from a Gram-negative bacterium. Sci. Adv. 2015, 1, e1500245. [Google Scholar] [CrossRef]
- Peng, Y.; Bartley, L.E.; Chen, X.; Dardick, C.; Chern, M.; Ruan, R.; Canlas, P.E.; Ronald, P.C. OsWRKY62 is a negative regulator of basal and Xa21-mediated defense against Xanthomonas oryzae pv. oryzae in rice. Mol. Plant 2008, 1, 446–458. [Google Scholar] [CrossRef]
- Eulgem, T.; Rushton, P.J.; Robatzek, S.; Somssich, I.E. The WRKY superfamily of plant transcription factors. Trends Plant Sci. 2000, 5, 199–206. [Google Scholar] [CrossRef]
- Yang, S.; Zhou, L.; Miao, L.; Shi, J.; Sun, C.; Fan, W.; Lan, J.; Chen, H.; Liu, L.; Dou, S. The expression and binding properties of the rice WRKY68 protein in the Xa21-mediated resistance response to Xanthomonas oryzae pv. oryzae. J. Integr. Agric. 2016, 15, 2451–2460. [Google Scholar] [CrossRef]
- Xie, Z.; Zhang, Z.-L.; Zou, X.; Huang, J.; Ruas, P.; Thompson, D.; Shen, Q.J. Annotations and functional analyses of the rice WRKY gene superfamily reveal positive and negative regulators of abscisic acid signaling in aleurone cells. Plant Physiol. 2005, 137, 176–189. [Google Scholar] [CrossRef]
- Jimmy, J.L.; Babu, S. Variations in the structure and evolution of rice WRKY genes in indica and japonica genotypes and their co-expression network in mediating disease resistance. Evol. Bioinform. 2019, 15, 1176934319857720. [Google Scholar] [CrossRef]
- Ryu, H.-S.; Han, M.; Lee, S.-K.; Cho, J.-I.; Ryoo, N.; Heu, S.; Lee, Y.-H.; Bhoo, S.H.; Wang, G.-L.; Hahn, T.-R. A comprehensive expression analysis of the WRKY gene superfamily in rice plants during defense response. Plant Cell Rep. 2006, 25, 836–847. [Google Scholar] [CrossRef]
- Liu, X.; Bai, X.; Wang, X.; Chu, C. OsWRKY71, a rice transcription factor, is involved in rice defense response. J. Plant Physiol. 2007, 164, 969–979. [Google Scholar] [CrossRef]
- Qiu, D.; Xiao, J.; Ding, X.; Xiong, M.; Cai, M.; Cao, Y.; Li, X.; Xu, C.; Wang, S. OsWRKY13 mediates rice disease resistance by regulating defense-related genes in salicylate-and jasmonate-dependent signaling. Mol. Plant-Microbe Interact. 2007, 20, 492–499. [Google Scholar] [CrossRef]
- Shimono, M.; Sugano, S.; Nakayama, A.; Jiang, C.-J.; Ono, K.; Toki, S.; Takatsuji, H. Rice WRKY45 plays a crucial role in benzothiadiazole-inducible blast resistance. Plant Cell 2007, 19, 2064–2076. [Google Scholar] [CrossRef]
- Pinta, W.; Toojinda, T.; Thummabenjapone, P.; Sanitchon, J. Pyramiding of blast and bacterial leaf blight resistance genes into rice cultivar RD6 using marker assisted selection. Afr. J. Biotechnol. 2013, 12, 4432–4438. [Google Scholar]
- Atkinson, N.J.; Urwin, P.E. The interaction of plant biotic and abiotic stresses: From genes to the field. J. Exp. Bot. 2012, 63, 3523–3543. [Google Scholar] [CrossRef] [PubMed]
- Narsai, R.; Wang, C.; Chen, J.; Wu, J.; Shou, H.; Whelan, J. Antagonistic, overlapping and distinct responses to biotic stress in rice (Oryza sativa) and interactions with abiotic stress. BMC Genom. 2013, 14, 93. [Google Scholar] [CrossRef] [PubMed]









| Target Traits | Target QTLs/Genes | Donor Parents | Chromosome | Position in Mb | References |
|---|---|---|---|---|---|
| Blast resistance | Pi9 | 562-4 | 6 | 10.38 | [26,36,42] |
| Pi54 | CO 51 | 11 | 24.2 | [43,44] | |
| BB resistance | xa13 | 562-4 | 8 | 26.0 | [44,45,46] |
| Xa21 | 562-4 | 11 | 20.5 | [44,45,46] | |
| Gall midge resistance | Gm1 | 562-4 | 9 | 9.20 | [35] |
| Gm4 | 562-4 | 8 | 5.45 | [35] |
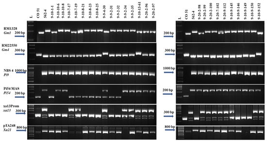
| S. No | RILs | Gm1 (RM138) | Gm4 (RM22550) | Pi9 (NBS4) | Pi54 (Pi54MAS) | xa13 (xa13Prom) | Xa21 (pTA248) |
|---|---|---|---|---|---|---|---|
| 1 | RIL #9-10-1-1 | - | + | + | + | - | + |
| 2 | RIL #9-10-10-6 | + | + | + | - | - | + |
| 3 | RIL #9-10-10-8 | + | + | + | - | - | + |
| 4 | RIL #9-10-7-17 | - | + | + | + | + | - |
| 5 | RIL #9-10-7-19 | H | + | + | + | H | - |
| 6 | RIL #9-10-8-21 | + | + | + | + | - | + |
| 7 | RIL #9-10-8-23 | + | + | + | + | - | + |
| 8 | RIL #9-10-8-25 | + | + | + | + | - | + |
| 9 | RIL #9-9-4-30 | - | - | + | H | + | + |
| 10 | RIL #9-9-2-31 | + | + | + | + | - | + |
| 11 | RIL #9-9-2-32 | + | + | + | + | - | + |
| 12 | RIL #9-9-2-34 | + | + | + | - | H | + |
| 13 | RIL #9-9-2-35 | + | + | + | - | H | + |
| 14 | RIL #9-9-13-61 | H | - | + | - | + | + |
| 15 | RIL #9-20-2-96 | H | + | + | - | + | + |
| 16 | RIL #9-20-2-97 | H | + | + | - | + | + |
| 17 | RIL #9-20-2-98 | H | + | + | - | + | + |
| 18 | RIL #9-20-2-99 | + | + | + | - | + | + |
| 19 | RIL #9-20-2-100 | + | + | + | - | + | + |
| 20 | RIL #9-20-7-102 | H | + | + | - | + | + |
| 21 | RIL #9-20-9-112 | + | + | + | - | H | + |
| 22 | RIL #9-10-9-145 | + | + | + | - | - | + |
| 23 | RIL #9-10-9-146 | + | + | + | - | - | + |
| 24 | RIL #9-10-9-149 | + | + | + | - | - | + |
| 25 | RIL #9-10-9-150 | + | + | + | - | + | + |
| 26 | RIL #9-10-9-152 | - | - | + | - | + | + |
| S. No. | BC2F5 | Gm1 | Gm4 | Pi9 | Pi54 | xa13 | Xa21 | No. of QTLs/Genes |
|---|---|---|---|---|---|---|---|---|
| 1 | BIL #6-17-5-18-29-1-1 | + | + | + | + | + | + | 6 |
| 2 | BIL #6-17-5-18-29-1-2 | + | + | + | + | + | + | 6 |
| 3 | BIL #6-17-5-18-29-1-3 | + | + | + | + | + | + | 6 |
| 4 | BIL #6-17-5-18-29-1-5 | + | + | + | + | + | + | 6 |
| 5 | BIL #6-17-5-18-29-1-6 | + | + | + | + | + | + | 6 |
| 6 | BIL #6-17-5-18-29-1-7 | + | + | + | + | + | + | 6 |
| 7 | BIL #6-17-5-18-29-1-9 | + | + | + | + | + | + | 6 |
| 8 | BIL #6-17-5-21-19-1-1 | + | + | + | + | + | + | 6 |
| 9 | BIL #6-17-5-21-19-4-1 | + | + | + | + | + | + | 6 |
| 10 | BIL #6-17-5-21-19-4-3 | + | + | + | + | + | + | 6 |
| 11 | BIL #6-17-5-21-19-4-9 | + | + | + | + | + | + | 6 |
| 12 | BIL #6-17-5-18-5-1-1 | + | + | + | + | + | + | 6 |
| 13 | BIL #6-17-5-18-5-1-2 | + | + | + | + | + | + | 6 |
| 14 | BIL #6-17-5-18-5-1-4 | + | + | + | + | + | + | 6 |
| 15 | BIL #6-17-5-18-5-1-5 | + | + | + | + | + | + | 6 |
| 16 | BIL #6-17-5-18-5-1-6 | + | + | + | + | + | + | 6 |
| Blast Score | BLB Score (in cm) | |||||
|---|---|---|---|---|---|---|
| BC2F6 | Score I | Score II | Average | Score I | Score II | Average |
| CO 51 | 4.4 | 5.9 | 5.2 (MR) | 7.49 | 12.32 | 9.91 (S) |
| BIL #6-17-5-18-29-1-1 | 1.4 | 1.8 | 1.6 (R) | 0.28 | 0.45 | 0.37 (R) |
| BIL #6-17-5-18-29-1-2 | 1.4 | 1.8 | 1.6 (R) | 0.32 | 0.53 | 0.43 (R) |
| BIL #6-17-5-18-29-1-3 | 1.6 | 1.8 | 1.7 (R) | 0.25 | 0.52 | 0.39 (R) |
| BIL #6-17-5-18-29-1-5 | 1.8 | 2.2 | 2.0 (R) | 0.28 | 0.32 | 0.30 (R) |
| BIL #6-17-5-18-29-1-6 | 1.6 | 2.0 | 1.8 (R) | 0.27 | 0.44 | 0.36 (R) |
| BIL #6-17-5-18-29-1-7 | 1.8 | 2.6 | 2.2 (R) | 0.33 | 0.48 | 0.41 (R) |
| BIL #6-17-5-18-29-1-9 | 1.5 | 2.4 | 2.0 (R) | 0.32 | 0.56 | 0.44 (R) |
| BIL #6-17-5-21-19-1-1 | 1.8 | 2.2 | 2.0 (R) | 0.28 | 0.41 | 0.35 (R) |
| BIL #6-17-5-21-19-4-1 | 1.4 | 1.8 | 1.6 (R) | 0.24 | 0.39 | 0.32 (R) |
| BIL #6-17-5-21-19-4-3 | 1.4 | 3.0 | 2.2 (R) | 0.21 | 0.45 | 0.33 (R) |
| BIL #6-17-5-21-19-4-9 | 2.0 | 2.8 | 2.4 (R) | 0.48 | 0.52 | 0.50 (R) |
| BIL #6-17-5-18-5-1-1 | 2.4 | 3.0 | 2.7 (R) | 0.31 | 0.38 | 0.35 (R) |
| BIL #6-17-5-18-5-1-2 | 2.4 | 3.2 | 2.8 (R) | 0.30 | 0.44 | 0.37 (R) |
| BIL #6-17-5-18-5-1-4 | 1.6 | 2.4 | 2.0 (R) | 0.35 | 0.46 | 0.41 (R) |
| BIL #6-17-5-18-5-1-5 | 1.4 | 1.8 | 1.6 (R) | 0.24 | 0.38 | 0.31 (R) |
| BIL #6-17-5-18-5-1-6 | 1.2 | 1.4 | 1.3 (R) | 0.23 | 0.38 | 0.31 (R) |
| Mean of BILs | 1.7 | 2.2 | 2.0 (R) | 0.29 | 0.44 | 0.37 (R) |
| 562-4 | 1.3 | 2.3 | 1.8 (R) | 0.23 | 0.34 | 0.29 (R) |
| CO 39 | 6.8 | 9.9 | 8.4 (S) | - | - | - |
| TN1 | - | - | - | 15.00 | 19.82 | 17.41 (S) |
| SD | 1.5 | 1.7 | 1.6 | 3.93 | 4.99 | 4.46 |
| SE | 0.3 | 0.4 | 0.4 | 0.90 | 1.15 | 1.02 |
| CD (at 5%) | 1.24 | 1.15 | 1.19 | 1.19 | 1.21 | 1.20 |
| Blast Score | BB Score in cm | |||||
|---|---|---|---|---|---|---|
| RILs | Score I | Score II | Average | Score I | Score II | Average |
| RIL #9-10-8-23 | 1.8 | 1.8 | 1.8 (R) | 0.32 | 0.42 | 0.37 (R) |
| RIL #9-10-8-25 | 2.2 | 1.4 | 1.8 (R) | 0.37 | 0.79 | 0.58 (R) |
| RIL #9-20-2-98 | 1.4 | 2.2 | 1.8 (R) | 0.29 | 0.39 | 0.34 (R) |
| RIL #9-20-2-99 | 1.0 | 2.2 | 1.6 (R) | 0.28 | 0.38 | 0.33 (R) |
| RIL #9-20-2-100 | 1.0 | 2.2 | 1.6 (R) | 0.29 | 0.39 | 0.34 (R) |
| RIL #9-20-7-102 | 1.0 | 2.6 | 1.8 (R) | 0.24 | 0.34 | 0.29 (R) |
| RIL #9-20-9-112 | 0.6 | 1.8 | 1.2 (R) | 0.26 | 0.36 | 0.31 (R) |
| RIL #9-10-9-145 | 1.6 | 1.8 | 1.7 (R) | 0.29 | 0.68 | 0.49 (R) |
| RIL #9-10-9-146 | 1.0 | 1.8 | 1.4 (R) | 0.36 | 0.77 | 0.57 (R) |
| RIL #9-10-9-152 | 1.4 | 1.8 | 1.6 (R) | 0.43 | 0.53 | 0.48 (R) |
| CO 51 | 4.4 | 5.9 | 5.2 (MR) | 7.49 | 12.32 | 9.91 (S) |
| 562-4 | 1.3 | 2.3 | 1.8 (R) | 0.23 | 0.34 | 0.29 (R) |
| CO 39 | 6.8 | 9.9 | 8.4 (S) | - | - | - |
| TN 1 | - | - | - | 15.00 | 19.82 | 17.41 (S) |
| Mean of RILs | 2.10 | 2.40 | 2.20 (R) | 0.30 | 0.50 | 0.40 (R) |
| SD | 1.737 | 2.384 | 2.051 | 4.385 | 6.050 | 5.211 |
| SE | 0.482 | 0.661 | 0.569 | 1.216 | 1.678 | 1.445 |
| CD (at 5%) | 1.38 | 1.24 | 1.31 | 0.49 | 1.12 | 0.80 |
Disclaimer/Publisher’s Note: The statements, opinions and data contained in all publications are solely those of the individual author(s) and contributor(s) and not of MDPI and/or the editor(s). MDPI and/or the editor(s) disclaim responsibility for any injury to people or property resulting from any ideas, methods, instructions or products referred to in the content. |
© 2024 by the authors. Licensee MDPI, Basel, Switzerland. This article is an open access article distributed under the terms and conditions of the Creative Commons Attribution (CC BY) license (https://creativecommons.org/licenses/by/4.0/).
Share and Cite
Subburaj, S.; Thulasinathan, T.; Sakthivel, V.; Ayyenar, B.; Kambale, R.; Rajagopalan, V.R.; Manickam, S.; Rajasekaran, R.; Chellappan, G.; Thiyagarajan, K.; et al. Genetic Enhancement of Blast and Bacterial Leaf Blight Resistance in Rice Variety CO 51 through Marker-Assisted Selection. Agriculture 2024, 14, 693. https://doi.org/10.3390/agriculture14050693
Subburaj S, Thulasinathan T, Sakthivel V, Ayyenar B, Kambale R, Rajagopalan VR, Manickam S, Rajasekaran R, Chellappan G, Thiyagarajan K, et al. Genetic Enhancement of Blast and Bacterial Leaf Blight Resistance in Rice Variety CO 51 through Marker-Assisted Selection. Agriculture. 2024; 14(5):693. https://doi.org/10.3390/agriculture14050693
Chicago/Turabian StyleSubburaj, Samuthirapandi, Thiyagarajan Thulasinathan, Viswabharathy Sakthivel, Bharathi Ayyenar, Rohit Kambale, Veera Ranjani Rajagopalan, Sudha Manickam, Raghu Rajasekaran, Gopalakrishnan Chellappan, Kalaimagal Thiyagarajan, and et al. 2024. "Genetic Enhancement of Blast and Bacterial Leaf Blight Resistance in Rice Variety CO 51 through Marker-Assisted Selection" Agriculture 14, no. 5: 693. https://doi.org/10.3390/agriculture14050693
APA StyleSubburaj, S., Thulasinathan, T., Sakthivel, V., Ayyenar, B., Kambale, R., Rajagopalan, V. R., Manickam, S., Rajasekaran, R., Chellappan, G., Thiyagarajan, K., Swaminathan, M., & Muthurajan, R. (2024). Genetic Enhancement of Blast and Bacterial Leaf Blight Resistance in Rice Variety CO 51 through Marker-Assisted Selection. Agriculture, 14(5), 693. https://doi.org/10.3390/agriculture14050693

