Study of the Degradation and Utilization of Cellulose from Auricularia heimuer and the Gene Expression Level of Its Decomposition Enzyme
Abstract
1. Introduction
2. Materials and Methods
2.1. Materials
2.1.1. Test Strain
2.1.2. Sample Preparation and Preservation
2.2. Methods
2.2.1. Preliminary Screening of Cellulase Production Capacity of A. heimuer Strain
2.2.2. A. heimuer Cellulase Gene Mining and Primer Design
2.2.3. Determination of Relative Expression of A. heimuer Cellulase Gene
Extraction of Total RNA and Synthesis of cDNA
Real-Time Quantitative PCR
Calculation of Gene Relative Expression
2.2.4. Cultivation Seed Preparation
2.2.5. Fruiting Test
2.2.6. Hybrid Breeding
General Steps of Hybrid Breeding
Monospore Isolation
Monospore Hybridization
2.2.7. Determination of A. heimuer Cellulase Activity and Degradation Amount
Determination of Cellulase Activity
Cellulose Content Determination
2.2.8. SEM Observation
2.2.9. Statistical Analysis
3. Results
3.1. Analysis Preliminary Screening Results of Cellulase Production Capacity of A. heimuer Strain
3.2. Screening and Analysis of Cellulase Gene Primers
3.3. Analysis of Cellulose Degradation and Yield in Different Strains
3.3.1. Determination and Correlation Analysis of Cellulose Degradation and Yield in Different Strains
3.3.2. Analysis of SEM Results
3.4. Study on Cellulase Activity of Different Strains
3.4.1. Correlation Analysis of Cellulase Activity and Cellulose Degradation in Different Strains
3.4.2. Analysis of Enzyme Activity of Carboxymethyl Cellulase (CMCase) in Different Strains
3.4.3. Enzyme Activity Analysis of Filter-Paper Cellulase (FPase) from Different Strains
3.4.4. Analysis of β-Glucosidase (β-Gase) Activity in Different Strains
3.5. Study on the Expression Level of Cellulase Gene in Different Strains
3.5.1. Correlation Analysis of Cellulase Activity and Relative Expression of Enzyme Genes in Different Strains
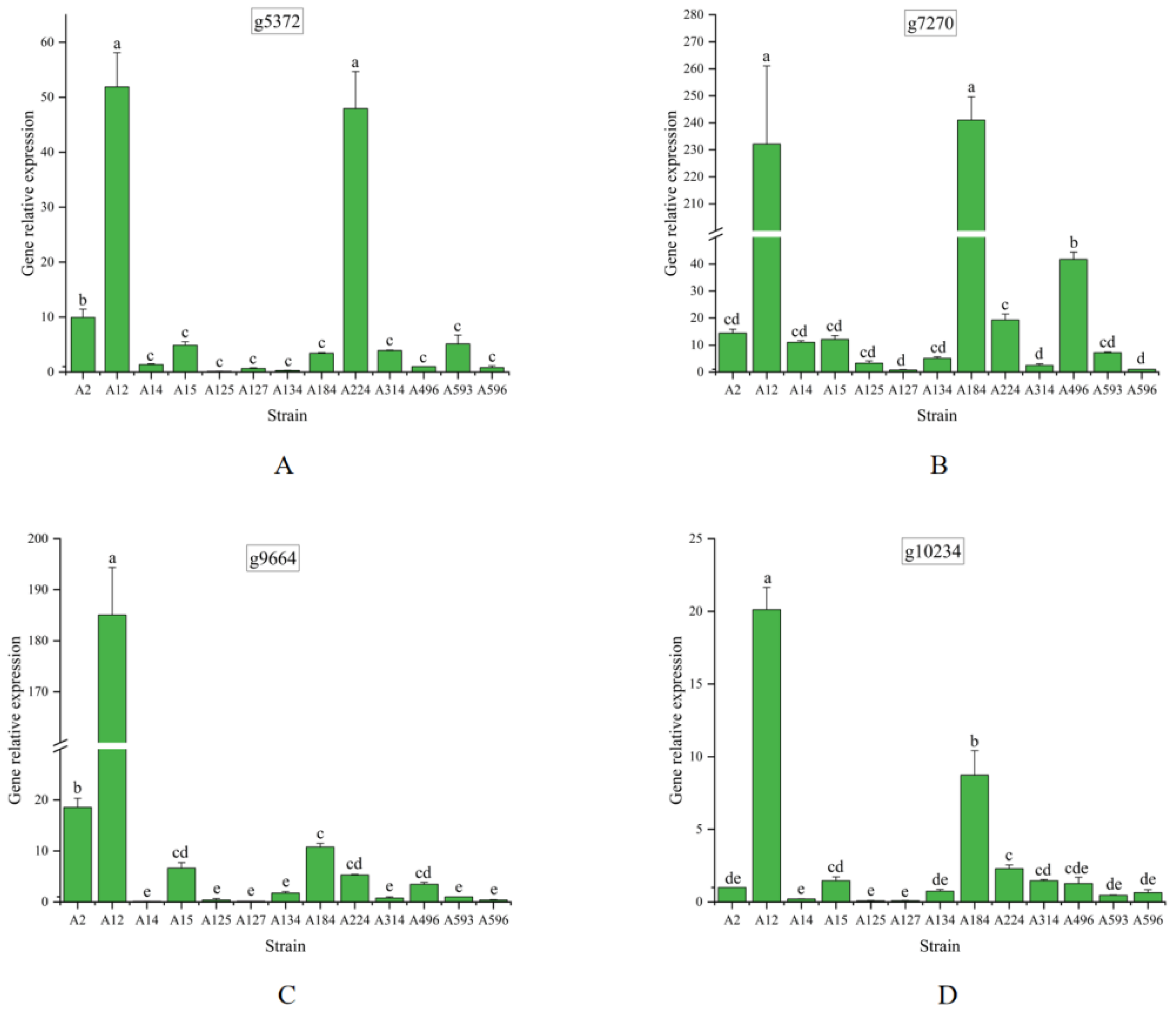
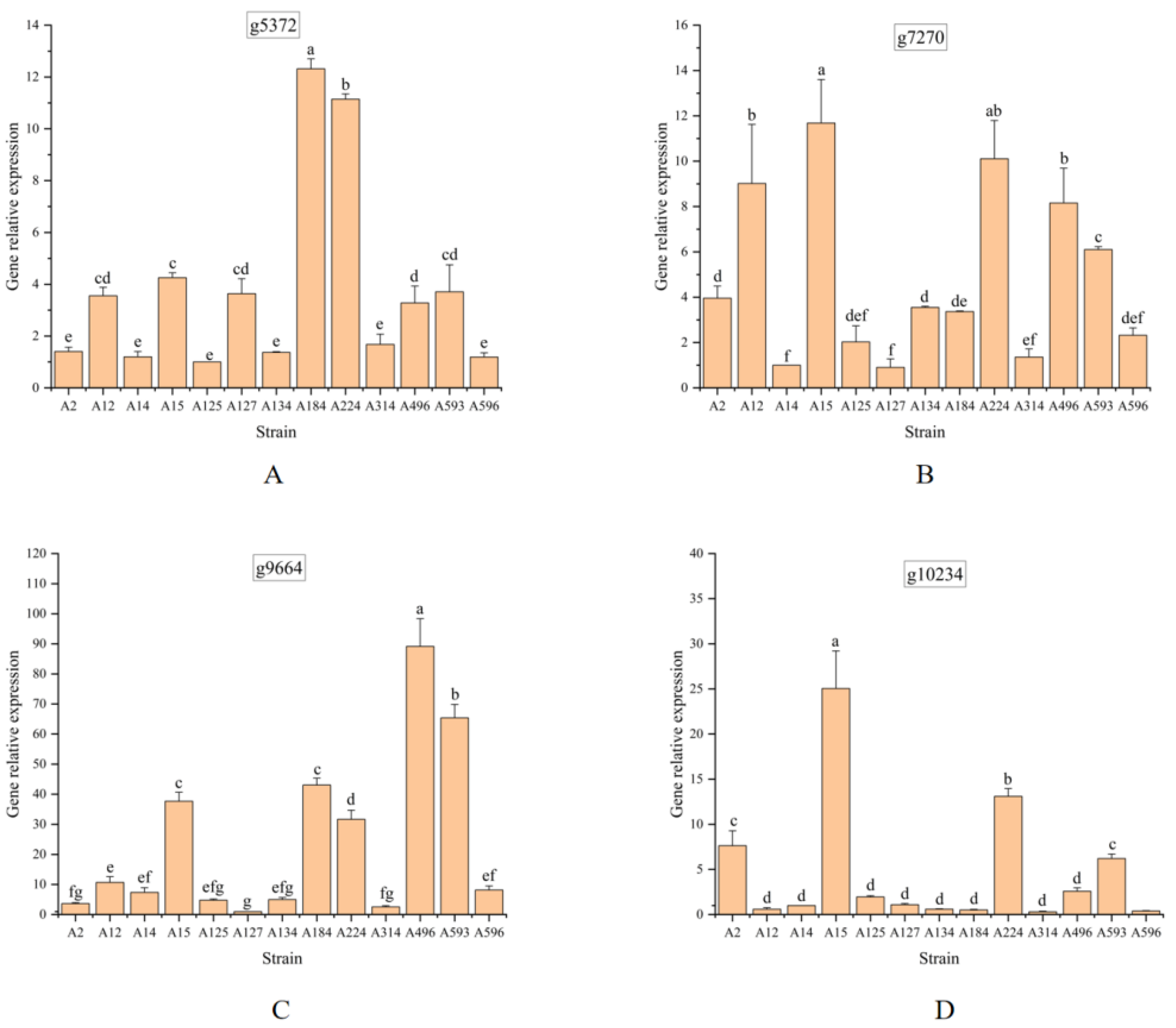
3.5.2. Analysis of Cellulase Gene Expression in Different Strains
3.6. Study on Hybrid Cellulose Degradation and Utilization Ability
3.6.1. Analysis of Relative Expression of Cellulase Gene, Cellulose Degradation and Yield of Hybrid
3.6.2. Correlation Analysis of Relative Expression of Cellulase Gene, Cellulose Degradation and Yield in Hybrid
4. Discussion
5. Conclusions
Author Contributions
Funding
Institutional Review Board Statement
Data Availability Statement
Acknowledgments
Conflicts of Interest
References
- Wu, F.; Yuan, Y.; Malysheva, V.F.; Du, P.; Dai, Y.C. Species clarification of the most important and cultivated Auricularia mushroom “Heimuer”: Evidence from morphological and molecular data. Phytotaxa 2014, 186, 241–253. [Google Scholar] [CrossRef]
- Wu, F.; Dai, Y.C. Notes on the nomenclature of the Auricularia auricula-judae complex. Mycosystema 2015, 34, 604–611. [Google Scholar] [CrossRef]
- China Edible Fungi Association. Analysis of the results of the national edible fungi statistical survey in 2022. Edible Fungus China 2024, 43, 118–126. [Google Scholar] [CrossRef]
- Yao, F.J. Research and thinking on the cultivation of wood-rotting edible fungi grass-rotting. In Proceedings of the China Mycological Society 2018 Annual Conference, Tai’an, China, 11 August 2018. [Google Scholar]
- Li, Y. Reflections on the development of straw fungus industry in China—Report of 2023 Mushroom Festival in Zhangzhou, Fujian Province. J. Fungal Res. 2024, 22, 113–117. [Google Scholar] [CrossRef]
- Han, X.L.; Fang, Z.H.; Liang, J.Q.; Xiong, L.B.; Xiong, Z.; Lv, H.Y. Development status, model and suggestion of edible fungus industry of reed in Yuanjiang City. Hunan Agric. Sci. 2021, 11, 96–99. [Google Scholar] [CrossRef]
- Santos, F.A.; de Carvalho-Gonçalves, L.C.T.; de Carvalho Cardoso-Simões, A.L.; de Melo Santos, S.F. Evaluation of the production of cellulases by Penicillium sp. FSDE15 using corncob and wheat bran as substrates. Bioresour. Technol. Rep. 2021, 14, 100648. [Google Scholar] [CrossRef]
- Liu, Y.; Luo, Y.; Guo, W.; Zhang, X.; Zheng, W.; Chen, X. Study on the Effects of Different Light Supply Modes on the Development and Extracellular Enzyme Activity of Ganoderma lucidum. Agriculture 2024, 14, 835. [Google Scholar] [CrossRef]
- Xia, Y.; Wang, J.; Guo, C.; Xu, H.; Wang, W.; Yang, M.; Shen, Q.; Zhang, R.; Miao, Y. Exploring the multi-level regulation of lignocellulases in the filamentous fungus Trichoderma guizhouense NJAU4742 from an omics perspective. Microb. Cell Factories 2022, 21, 144. [Google Scholar] [CrossRef]
- Meng, W. Study on Mutagenesis Breeding and Fermentation Technology of Cellulase Producing Bacteria. Master’s Thesis, Jilin University, Changchun, China, 2008. [Google Scholar]
- Fatani, S.; Saito, Y.; Alarawi, M.; Gojobori, T.; Mineta, K. Genome sequencing and identification of cellulase genes in Bacillus paralicheniformis strains from the Red Sea. BMC Microbiol. 2021, 21, 254. [Google Scholar] [CrossRef]
- Bai, X.; Wang, X.; Wang, S.; Ji, X.; Guan, Z.; Zhang, W.; Lu, X. Functional Studies of β-Glucosidases of Cytophaga hutchinsonii and Their Effects on Cellulose Degradation. Front. Microbiol. 2017, 8, 140. [Google Scholar] [CrossRef]
- Madan, M.; Bisaria, R. Cellulolytic enzymes from an edible mushroom, Pleurotus sajor-caju. Biotechnol. Lett. 1983, 5, 601–604. [Google Scholar] [CrossRef]
- Fan, B.W.; Gong, J.L.; Lin, J.J.; Zhao, Y.; Shi, X.X.; Tang, C.S.; Wang, Z.H.; Li, Z.T.; Yang, K.J.; Zhao, C.J. Effects of carbon and nitrogen sources on mycelium and fruiting body growth and extracellular enzymes of Hericium erinaceus. Jiangsu Agric. Sci. 2018, 46, 122–126. [Google Scholar] [CrossRef]
- Lu, X.; Zhao, Y.; Li, F.; Liu, P. Active polysaccharides from Lentinula edodes and Pleurotus ostreatus by addition of corn straw and xylosma sawdust through solid-state fermentation. Int. J. Biol. Macromol. 2023, 228, 647–658. [Google Scholar] [CrossRef]
- Zhou, Y.; Liu, P.H.; Liu, B.; Su, R.R.; Zhou, J.J. Study on growth and development and extracellular enzyme activity of Agrocybe cylindracea with different cultivation formulas. North. Hortic. 2023, 19, 114–121. [Google Scholar]
- Lin, X.J.; Jiang, X.H.; Lin, R.B.; Chen, J.C. Correlations between extracellular enzyme levels and fruit body yields in strains of Agaricus blazei Murill. Acta Edulis Fungi 2007, 3, 24–28. [Google Scholar] [CrossRef]
- Al Makishah, N.H.; Elfarash, A.E. Molecular characterization of cellulase genes in Pseudomonas stutzeri. Electron. J. Biotechnol. 2022, 59, 55–61. [Google Scholar] [CrossRef]
- Huang, W.B.; Hou, D.; Zhou, C.L.; Li, Y.; Yang, R.H.; Bao, D.P. Analyses of genes related to different mycelial growth rate of Lentinula edodes monokaryons. Mycosystema 2023, 42, 2111–2118. [Google Scholar] [CrossRef]
- Li, Z.H.; Han, J.D.; Xie, H.Y.; Hu, Q.X.; Gong, Z.Y.; Zou, Y.J. Expression profiles of laccase gene family in Flammulina filiformis cultivated on different agricultural waste media. Acta Edulis Fungi 2021, 28, 47–54. [Google Scholar] [CrossRef]
- Liang, Z.Y.; Liu, F. Research progress on real-time quantitative PCR technology and its application. Mod. Agric. Sci. Technol. 2020, 6, 1–3+8. [Google Scholar]
- Niimi, Y.; Han, D.-S.; Mori, S.; Kobayashi, H. Detection of cucumber mosaic virus, lily symptomless virus and lily mottle virus in Lilium species by RT-PCR technique. Sci. Hortic. 2003, 97, 57–63. [Google Scholar] [CrossRef]
- Bai, J.; Chen, M.J.; Tang, L.H.; Du, J.H.; Feng, Z.Y.; Zhang, J.J.; Chen, H. Effects of temperature on antioxidant enzyme activities and gene expression in Morchella importuna. Mycosystema 2021, 40, 3276–3285. [Google Scholar] [CrossRef]
- Mao, W.J.; Li, Y.; Zhou, C.L.; Wang, Y.; Zhu, G.; Bao, D.P.; Wang, Y. Relative expression of laccase genes at different stages of Volvariella volvacea fruit body development. Acta Edulis Fungi 2016, 23, 1–6. [Google Scholar] [CrossRef]
- Zhang, Y.; Yao, F.J.; Sun, W.J.; Fang, M.; Wu, C.S. Screening of reference genes for qRT-PCR amplification in Auricularia heimuer. Mycosystema 2020, 39, 1510–1519. [Google Scholar] [CrossRef]
- Xiang, Q.; Li, J.; Qin, P.; He, M.; Yu, X.; Zhao, K.; Zhang, X.; Ma, M.; Chen, Q.; Chen, X.; et al. Identification and evaluation of reference genes for qRT-PCR studies in Lentinula edodes. PLoS ONE 2018, 13, e0190226. [Google Scholar] [CrossRef] [PubMed]
- Liao, F.; Yan, H.; Zhao, S.F.; Li, X.H. Real-time fluorescent quantitative RT-PCR method to determine the antiviral activity of edible mushroom proteins against Tobacco mosaic virus (TMV). Acta Phytopathol. Sin. 2010, 40, 622–627. [Google Scholar] [CrossRef]
- Wang, M.L.; Zhao, Y.; Chen, M.J.; Wang, H. Expression analysis of xyn and activity determination of xylanase in different Volvariella volvacea strains. Mycosystema 2014, 33, 1074–1083. [Google Scholar] [CrossRef]
- Zhai, Y. Genetic Analysis of Wild Germplasm Resources and Development of New Substrates for Excellent Strains of Auricularia heimuer. Master’s Thesis, Jilin Agricultural University, Changchun, China, 2017. [Google Scholar]
- Wang, R. Evaluation of Cellulose Utilization Capacity of Auricularia heimuer Germplasm Resources and Screening of Excellent Strains. Master’s Thesis, Jilin Agricultural University, Changchun, China, 2023. [Google Scholar]
- Fang, M.; Wang, X.; Chen, Y.; Wang, P.; Lu, L.; Lu, J.; Yao, F.; Zhang, Y. Genome Sequence Analysis of Auricularia heimuer Combined with Genetic Linkage Map. J. Fungi 2020, 6, 37. [Google Scholar] [CrossRef]
- Fang, M.; Sun, X.; Yao, F.; Lu, L.; Ma, X.; Shao, K.; Kaimoyo, E. A Combination of Transcriptome and Enzyme Activity Analysis Unveils Key Genes and Patterns of Corncob Lignocellulose Degradation by Auricularia heimuer under Cultivation Conditions. J. Fungi 2024, 10, 545. [Google Scholar] [CrossRef]
- Si, J.; Yang, C.; Ma, W.; Chen, Y.; Xie, J.; Qin, X.; Hu, X.; Yu, Q. Screen of high efficiency cellulose degrading strains and effects on tea residues dietary fiber modification: Structural properties and adsorption capacities. Int. J. Biol. Macromol. 2022, 220, 337–347. [Google Scholar] [CrossRef]
- Zhou, L.; Zhuang, W.Y. Screening high cellulase production Trichoderma strains and optimization of fermentation conditions. Mycosystema 2023, 42, 1966–1980. [Google Scholar] [CrossRef]
- Sun, J. Mining and Functional Study of Genes Related to Cellulose Degradation in Auricularia heimuer. Ph.D. Thesis, Northeast Forestry University, Harbin, China, 2023. [Google Scholar]
- Wang, Z.Y.; Wang, R.X.; Zhou, J.S.; Cheng, J.F.; Li, Y.H. An assessment of the genomics, comparative genomics and cellulose degradation potential of Mucilaginibacter polytrichastri strain RG4-7. Bioresour. Technol. 2020, 297, 122389. [Google Scholar] [CrossRef] [PubMed]
- Nie, T.; Jiang, Z.; Sun, L.; Chen, Y.; Li, J.; Yang, A.; Wei, Q.; Yin, Z. Reference genes selection for qRT-PCR analysis in various flowering transition events of Magnolia × soulangeana ‘Changchun’. Sci. Hortic. 2023, 316, 112006. [Google Scholar] [CrossRef]
- Zhang, Y. Screening of Reference Genes and Study Expression Levels of Functional Genes in Auricularia heimuer for qRT-PCR. Master’s Thesis, Jilin Agricultural University, Changchun, China, 2021. [Google Scholar]
- Wang, J.N.; Yao, F.J.; Zhang, W.; Liu, L.J. Study on effects of smallhole-fruiting method on physical and chemical nature for compost and growth and development of Auricularia heimuer. In Proceedings of the Second National Academic Exchange Meeting of Young and Middle-aged Experts in Edible Fungi, Hangzhou, China, 23 October 2008. [Google Scholar]
- Bian, Y.B. Edible Mushroom Cultivation, 3rd ed.; Higher Education Press: Beijing, China, 2017; pp. 60–66. [Google Scholar]
- Sun, Y.; Tian, Y.Q.; Zhao, L.K. Study on the conditions for determination of CMC enzyme activity of cellulase. Sci. Technol. Food Ind. 2013, 34, 68–71+74. [Google Scholar] [CrossRef]
- Mboowa, D.; Chandra, R.P.; Hu, J.; Saddler, J.N. Substrate Characteristics That Influence the Filter Paper Assay’s Ability to Predict the Hydrolytic Potential of Cellulase Mixtures. ACS Sustain. Chem. Eng. 2020, 8, 10521–10528. [Google Scholar] [CrossRef]
- Liu, Q.; Niu, S.; Hu, S.; Cui, X.; Shi, Z.; Wu, J.; Zhang, Y.; Kong, W. Lignocellulose degradation pattern and structural change of the sawdust substrate and enzyme secretion by Lentinula edodes during its production. Wood Sci. Technol. 2023, 57, 389–405. [Google Scholar] [CrossRef]
- Jin, M.-Y.; Zhang, T.; Yang, Y.-S.; Ding, Y.; Li, J.-S.; Zhong, G.-R. A simplified and miniaturized glucometer-based assay for the detection of β-glucosidase activity. J. Zhejiang Univ.-Sci. B 2019, 20, 264–272. [Google Scholar] [CrossRef]
- Liu, S.; Zhang, M.; Hong, D.; Fang, Z.; Xiao, Y.; Fang, W.; Zhang, X. Improving the cellobiose hydrolysis activity of glucose-stimulating β-glucosidase Bgl2A. Enzym. Microb. Technol. 2023, 169, 110289. [Google Scholar] [CrossRef]
- Li, F.; Xie, Y.; Gao, X.; Shan, M.; Sun, C.; Niu, Y.D.; Shan, A. Screening of cellulose degradation bacteria from Min pigs and optimization of its cellulase production. Electron. J. Biotechnol. 2020, 48, 29–35. [Google Scholar] [CrossRef]
- Zhang, F.; Zhang, T.; Dai, D.; Zhang, Z.; Zhang, B.; Li, Y. Screening of efficient lignin-degrading fungal strains and their degradation on cornstalk. Mycosystema 2021, 40, 1869–1880. [Google Scholar]
- Atila, F. Compositional changes in lignocellulosic content of some agro-wastes during the production cycle of shiitake mushroom. Sci. Hortic. 2019, 245, 263–268. [Google Scholar] [CrossRef]
- Öztürk, C.; Atila, F. Changes in lignocellulosic fractions of growing substrates during the cultivation of Hypsizygus ulmarius mushroom and its effects on mushroom productivity. Sci. Hortic. 2021, 288, 110403. [Google Scholar] [CrossRef]
- Zhai, F.-H.; Han, J.-R. Decomposition of asparagus old stalks by Pleurotus spp. under mushroom-growing conditions. Sci. Hortic. 2018, 231, 11–14. [Google Scholar] [CrossRef]
- Guan, W.; Chu, T.; Bao, D.P.; Wang, J.N.; Li, F.H.; Tang, L.H. Detection and analysis of physiological indices during mycelium color conversion of Lentinula edodes. Acta Edulis Fungi 2021, 28, 47–52. [Google Scholar] [CrossRef]
- Chu, Y.; Ni, X.J.; Yang, G.W.; Yuan, Y. Comparison of activity of eight extracellular enzymes of Pleurotus cornucopiae and Pleurotus abalonus in different growth periods. J. Yantai Univ. (Nat. Sci. Eng. Ed.) 2008, 2, 138–142. [Google Scholar] [CrossRef]
- Lei, P.; Wu, Y.Z.; Zhang, W.J.; Ma, J.J.; Jia, J.; Ma, Y. Studies on Changes of Extracellular Enzyme Activities in Different Growth Stages of Pleurotus citrinopileatus. Edible Fungus China 2020, 39, 57–61. [Google Scholar] [CrossRef]
- Cong, S. Study on Suitable Variety Screening and Nutritional Physiology of Auricularia heimuer Composite Substrate. Master’s Thesis, Jilin Agricultural University, Changchun, China, 2014. [Google Scholar]
- Chen, X.M.; Wu, H.B.; Xiang, Q.J.; Gu, Y.F.; Zhang, X.P. Transcriptional expression profiles and enzyme activity of UGP from Letinous edodes under different carbon and nitrogen sources. J. Sichuan Univ. (Nat. Sci. Ed.) 2018, 55, 214–220. [Google Scholar]
- Duan, Y.C.; Hu, Z.Y.; Yang, F.; Li, J.T.; Wu, X.L.; Zhang, R.Y. Cloning and expression analysis of oxaloacetate hydrolase (LeOAH1) gene from Lentinula edodes. Biotechnol. Bull. 2020, 36, 227–234. [Google Scholar] [CrossRef]
- Zhang, Z.Y.; Raza, M.F.; Zheng, Z.; Zhang, X.; Dong, X.; Zhang, H. Complete genome sequence of Bacillus velezensis ZY-1-1 reveals the genetic basis for its hemicellulosic/cellulosic substrate-inducible xylanase and cellulase activities. 3 Biotech 2018, 8, 465. [Google Scholar] [CrossRef]
- Doria, E.; Altobelli, E.; Girometta, C.; Nielsen, E.; Zhang, T.; Savino, E. Evaluation of lignocellulolytic activities of ten fungal species able to degrade poplar wood. Int. Biodeterior. Biodegrad. 2014, 94, 160–166. [Google Scholar] [CrossRef]
- Wang, M.L. Study on Hemicellulose Related Enzyme Activity and Gene Expression of Volvariella volvacea. Master’s Thesis, Nanjing Agricultural University, Nanjing, China, 2016. [Google Scholar]











| Serial Number | Storage ID | Type | Origin of Resource |
|---|---|---|---|
| 1 | JAUAH002 | Cultivated | Hubei Province |
| 2 | JAUAH004 | Cultivated | Beijing |
| 3 | JAUAH012 | Cultivated | Hubei Province |
| 4 | JAUAH013 | Cultivated | Heilongjiang Province |
| 5 | JAUAH014 | Cultivated | Heilongjiang Province |
| 6 | JAUAH015 | Cultivated | Heilongjiang Province |
| 7 | JAUAH016 | Cultivated | Heilongjiang Province |
| 8 | AUAH017 | Cultivated | Heilongjiang Province |
| 9 | AUAH019 | Cultivated | Jilin Province |
| 10 | AUAH020 | Cultivated | Shanghai |
| 11 | AUAH124 | Wild | Heilongjiang Province |
| 12 | JAUAH125 | Wild | Heilongjiang Province |
| 13 | JAUAH127 | Wild | Jilin Province |
| 14 | JAUAH132 | Wild | Heilongjiang Province |
| 15 | JAUAH134 | Wild | Heilongjiang Province |
| 16 | JAUAH139 | Wild | Heilongjiang Province |
| 17 | JAUAH184 | Wild | Jilin Province |
| 18 | JAUAH224 | Wild | Heilongjiang Province |
| 19 | JAUAH282 | Wild | Jilin Province |
| 20 | JAUAH308 | Wild | Yunnan Province |
| 21 | JAUAH314 | Wild | Yunnan Province |
| 22 | JAUAH336 | Wild | Yunnan Province |
| 23 | JAUAH345 | Wild | Yunnan Province |
| 24 | JAUAH356 | Wild | Yunnan Province |
| 25 | JAUAH496 | Wild | Jilin Province |
| 26 | JAUAH593 | Cultivated | Jilin Province |
| 27 | JAUAH596 | Cultivated | Jilin Province |
| 28 | JAUAH599 | Cultivated | Jilin Province |
| Sample ID | Colony Diameter (cm) | D/d | Sample ID | Colony Diameter (cm) | D/d |
|---|---|---|---|---|---|
| A14 | 3.10 ± 0.05 a | 1.00 ± 0.00 c–f | A127 | 1.90 ± 0.08 d–g | 1.27 ± 0.01 a–e |
| A314 | 2.99 ± 0.10 a,b | 0.82 ± 0.01 f | A4 | 1.86 ± 0.07 e–g | 1.32 ± 0.24 a–d |
| A125 | 2.85 ± 0.19 a–c | 1.04 ± 0.04 c–f | A17 | 1.85 ± 0.08 e–g | 1.06 ± 0.30 b–f |
| A2 | 2.83 ± 0.16 a–c | 0.94 ± 0.05 c–f | A16 | 1.77 ± 0.07 e–g | 1.08 ± 0.11 b–f |
| A12 | 2.83 ± 0.22 a–c | 0.93 ± 0.12 c–f | A599 | 1.73 ± 0.08 f,g | 0.78 ± 0.09 f |
| A596 | 2.77 ± 0.19 a–c | 0.99 ± 0.00 c–f | A282 | 1.69 ± 0.30 f–h | 1.27 ± 0.25 a–e |
| A15 | 2.77 ± 0.15 a–c | 0.91 ± 0.13 d–f | A20 | 1.68 ± 0.23 f–h | 1.03 ± 0.21 c–f |
| A593 | 2.74 ± 0.08 a–c | 0.93 ± 0.01 c–f | A345 | 1.60 ± 0.13 g–i | 1.04 ± 0.08 c–f |
| A336 | 2.72 ± 0.38 a–c | 0.77 ± 0.12 f | A124 | 1.42 ± 0.12 g–k | 0.80 ± 0.02 f |
| A13 | 2.55 ± 0.29 a–c | 0.79 ± 0.02 f | A356 | 1.08 ± 0.13 h–l | 0.88 ± 1.69 e,f |
| A184 | 2.53 ± 0.19 a–d | 1.12 ± 0.03 b–f | A132 | 1.01 ± 0.14 i–l | 1.50 ± 0.28 a,b |
| A496 | 2.37 ± 0.15 b–e | 0.82 ± 0.08 f | A139 | 0.97 ± 0.08 j–l | 1.27 ± 0.07 a–e |
| A134 | 2.24 ± 0.56 c–f | 0.88 ± 0.14 e,f | A308 | 0.91 ± 0.00 k,l | 1.37 ± 0.05 a–c |
| A224 | 1.90 ± 0.15 g–j | 1.62 ± 0.22 a | A19 | 0.78 ± 0.07 l | 1.32 ± 0.12 a–d |
| Gene ID | Primer Sequences (5′–3′) | Amplicon Size (bp) |
|---|---|---|
| g5372 | CCTCGCCGTTAATGAACTTGATGTC AGTACGAGATGTTCAACCTCCTGA | 213 bp |
| g7270 | GAAAGTGCTGGGGTTGTTCTTG ATACTAACTGTGTGACGGACAACG | 173 bp |
| g9664 | CTCCTGGAGAGCGAATCAAAATACG GTTGGTCGAGAACTTGGACATACC | 156 bp |
| g10234 | GTCCTTGAATTGCTGCATGAGAAG CACTACATCAACAACGAGCAAGAG | 179 bp |
| RS-CDR1 | RS-CDR2 | RS-Yield | SS-CDR1 | SS-CDR2 | SS-Yield | |
|---|---|---|---|---|---|---|
| RS-CDR1 | 1.000 | |||||
| RS-CDR2 | 0.532 | 1.000 | ||||
| RS-Yield | 0.387 | 0.506 | 1.000 | |||
| SS-CDR1 | 0.219 | 0.726 ** | 0.361 | 1.000 | ||
| SS-CDR2 | 0.285 | 0.534 | 0.645 * | 0.610 * | 1.000 | |
| SS-Yield | 0.588 * | 0.455 | 0.774 ** | 0.310 | 0.444 | 1.000 |
| Sample ID | Yield (kg) | |
|---|---|---|
| Reed Substrate | Sawdust Substrate | |
| A2 | 2.10 ± 0.01 k,l | 2.55 ± 0.05 g,h |
| A12 | 2.83 ± 0.11 e,f | 3.02 ± 0.02 d |
| A14 | 0.75 ± 0.28 r | 2.27 ± 0.03 i,j |
| A15 | 3.98 ± 0.18 b | 3.90 ± 0.14 b |
| A125 | 0.73 ± 0.04 r | 1.55 ± 0.21 p |
| A127 | 1.15 ± 0.02 q | 2.11 ± 0.01 k,l |
| A134 | 1.84 ± 0.10 n | 1.90 ± 0.11 m,n |
| A184 | 2.18 ± 0.19 j,k | 2.25 ± 0.16 i,j |
| A224 | 2.30 ± 0.03 i | 4.28 ± 0.02 a |
| A314 | 1.12 ± 0.03 q | 1.68 ± 0.02 o |
| A496 | 2.01 ± 0.12 l,m | 2.75 ± 0.04 f |
| A593 | 2.61 ± 0.01 g | 3.33 ± 0.22 c |
| A596 | 2.48 ± 0.02 h | 2.90 ± 0.13 e |
| CMCase1 | CMCase2 | β-Gase1 | β-Gase2 | FPase1 | FPase2 | RS-CDR1 | RS-CDR2 | |
|---|---|---|---|---|---|---|---|---|
| CMCase1 | 1.000 | |||||||
| CMCase2 | 0.614 * | 1.000 | ||||||
| β-Gase1 | 0.506 | 0.751 ** | 1.000 | |||||
| β-Gase2 | 0.488 | 0.808 ** | 0.872 ** | 1.000 | ||||
| FPase1 | 0.790 ** | 0.517 | 0.429 | 0.398 | 1.000 | |||
| FPase2 | 0.435 | 0.663 * | 0.816 ** | 0.898 ** | 0.311 | 1.000 | ||
| RS-CDR1 | 0.820 ** | 0.592 * | 0.350 | 0.320 | 0.734 ** | 0.191 | 1.000 | |
| RS-CDR2 | 0.622 * | 0.694 ** | 0.350 | 0.538 | 0.355 | 0.470 | 0.532 | 1.000 |
| Hybrid Number | Gene Relative Expression | Parental Hybrid Number | Yield (kg) | ||
|---|---|---|---|---|---|
| g9664 | g10234 | Reed Substrate | Sawdust Substrate | ||
| Z1 | 0.86 ± 0.15 i,j | 5.20 ± 0.66 f,g | A15-1*A224-3 | 0.82 ± 0.02 k,l | 1.39 ± 0.06 h–j |
| Z2 | 0.83 ± 0.23 i,j | 5.33 ± 0.52 f,g | A15-1*A224-1 | 1.28 ± 0.14 h–j | 1.17 ± 0.17 j–l |
| Z3 | 0.79 ± 0.04 i,j | 0.25 ± 0.04 g | A224-3*A12-1 | 0.18 ± 0.04 p–r | 0.15 ± 0.05 p |
| Z4 | 0.32 ± 0.04 i,j | 1.74 ± 0.12 g | A224-1*A12-1 | 0.28 ± 0.04 o–r | 0.64 ± 0.28 o |
| Z5 | 1.38 ± 0.24 i,j | 1.20 ± 0.09 g | A184-1*A224-2 | 1.02 ± 0.03 j,k | 1.18 ± 0.04 j–l |
| Z6 | 38.20 ± 3.69 d | 6.37 ± 2.29 f,g | A184-2*A224-2 | 2.21 ± 0.28 b–d | 1.55 ± 0.05 f,g |
| Z7 | 1.58 ± 0.10 i,j | 0.63 ± 0.06 g | A184-3*A12-1 | 0.17 ± 0.03 p–r | 1.07 ± 0.08 k–n |
| Z8 | 4.78 ± 1.11 i,j | 19.52 ± 1.12 d | A184-2*A15-1 | 0.45 ± 0.07 m–o | 2.11 ± 0.10 c,d |
| Z9 | 2.00 ± 0.18 i,j | 0.79 ± 0.10 g | A184-2*A224-3 | 0.72 ± 0.03 l | 1.14 ± 0.14 j–l |
| Z10 | 1.15 ± 0.10 i,j | 0.21 ± 0.06 g | A184-2*A15-3 | 1.50 ± 0.05 e–h | 0.87 ± 0.14 m–o |
| Z11 | 0.91 ± 0.14 i,j | 2.27 ± 0.33 g | A184-3*A12-3 | 0.07 ± 0.01 r | 0.11 ± 0.00 p |
| Z12 | 272.35 ± 14.73 b | 246.59 ± 2.91 a | A184-2*A15-2 | 1.78 ± 0.10 d,e | 2.37 ± 0.01 b |
| Z13 | 1.00 ± 0.00 i,j | 1.00 ± 0.00 g | A224-3*A12-2 | 0.10 ± 0.00 q,r | 0.87 ± 0.28 m–o |
| Z14 | 0.24 ± 0.05 j | 0.23 ± 0.06 g | A15-2*A224-3 | 0.69 ± 0.04 l,m | 0.93 ± 0.04 l–n |
| Z15 | 3.17 ± 0.65 i,j | 1.24 ± 0.17 g | A15-2*A224-1 | 1.29 ± 0.06 h,i | 0.81 ± 0.10 n,o |
| Z16 | 5.95 ± 0.74 h–j | 11.42 ± 0.53 e,f | A15-2*A224-2 | 1.44 ± 0.06 e–i | 1.79 ± 0.01 e |
| Z17 | 13.31 ± 1.12 f,g | 0.77 ± 0.12 g | A184-2*A12-2 | 0.34 ± 0.06 o–q | 1.47 ± 0.04 g,h |
| Z18 | 7.79 ± 2.18 g–i | 1.30 ± 0.16 g | A184-1*A15-1 | 1.61 ± 0.01 e–g | 3.04 ± 0.01 a |
| Z19 | 16.70 ± 1.45 e,f | 5.30 ± 0.82 f,g | A184-3*A15-1 | 0.59 ± 0.01 l–n | 2.33 ± 0.02 b,c |
| Z20 | 0.99 ± 0.19 i,j | 0.84 ± 0.10 g | A184-1*A12-3 | 0.17 ± 0.07 p–r | 1.59 ± 0.06 e,f |
| Z21 | 4.17 ± 0.25 i,j | 0.56 ± 0.05 g | A184-3*A15-2 | 0.69 ± 0.06 l,m | 1.13 ± 0.02 j–m |
| Z22 | 1.33 ± 0.158 i,j | 2.64 ± 0.26 g | A184-1*A12-3 | 0.42 ± 0.03 n–p | 0.98 ± 0.11 l–n |
| Z23 | 21.74 ± 0.93 e | 6.51 ± 0.78 f,g | A184-3*A224-3 | 1.00 ± 0.16 j,k | 1.84 ± 0.01 e |
| Z24 | 0.22 ± 0.08 j | 1.17 ± 0.14 g | A184-1*A224-3 | 0.68 ± 0.10 l,m | 1.63 ± 0.03 e,f |
| Z25 | 2.96 ± 0.32 i,j | 4.61 ± 1.28 f,g | A184-2*A12-1 | 1.20 ± 0.14 i,j | 1.28 ± 0.03 i–k |
| Z26 | 2.05 ± 0.31 i,j | 46.21 ± 0.27 c | A184-2*A12-3 | 0.27 ± 0.01 o–r | 0.17 ± 0.01 p |
| A12 | 545.40 ± 8.60 a | 95.20 ± 4.22 b | A12 | 1.38 ± 0.14 f–i | 1.63 ± 0.30 e,f |
| A15 | 11.59 ± 2.09 f–h | 6.29 ± 0.63 f,g | A15 | 1.78 ± 0.28 d,e | 2.07 ± 0.10 d |
| A184 | 46.39 ± 9.93 c | 249.91 ± 23.61 a | A184 | 1.03 ± 0.03 j,k | 1.13 ± 0.03 j–m |
| A224 | 6.24 ± 0.12 h–j | 16.31 ± 2.03 d,e | A224 | 1.21 ± 0.01 i,j | 2.88 ± 0.20 a |
| g9664 | g10234 | RS-CDR1 | RS-CDR2 | SS-CDR1 | SS-CDR2 | RS-Yield | SS-Yield | |
|---|---|---|---|---|---|---|---|---|
| g9664 | 1.000 | |||||||
| g10234 | 0.532 ** | 1.000 | ||||||
| RS-CDR1 | 0.053 | 0.061 | 1.000 | |||||
| RS-CDR2 | 0.433 * | 0.350 | 0.536 ** | 1.000 | ||||
| SS-CDR1 | 0.317 | 0.312 | 0.386 * | 0.400 * | 1.000 | |||
| SS-CDR2 | 0.171 | 0.126 | 0.416 * | 0.488 ** | 0.629 ** | 1.000 | ||
| RS-Yield | 0.317 | 0.274 | 0.573 ** | 0.623 ** | 0.334 | 0.431 * | 1.000 | |
| SS-Yield | 0.200 | 0.151 | 0.526 ** | 0.577 ** | 0.468 ** | 0.660 ** | 0.517 ** | 1.000 |
Disclaimer/Publisher’s Note: The statements, opinions and data contained in all publications are solely those of the individual author(s) and contributor(s) and not of MDPI and/or the editor(s). MDPI and/or the editor(s) disclaim responsibility for any injury to people or property resulting from any ideas, methods, instructions or products referred to in the content. |
© 2024 by the authors. Licensee MDPI, Basel, Switzerland. This article is an open access article distributed under the terms and conditions of the Creative Commons Attribution (CC BY) license (https://creativecommons.org/licenses/by/4.0/).
Share and Cite
Shan, X.; Yao, F.; Lu, L.; Fang, M.; Lu, J.; Sun, X. Study of the Degradation and Utilization of Cellulose from Auricularia heimuer and the Gene Expression Level of Its Decomposition Enzyme. Agriculture 2024, 14, 2027. https://doi.org/10.3390/agriculture14112027
Shan X, Yao F, Lu L, Fang M, Lu J, Sun X. Study of the Degradation and Utilization of Cellulose from Auricularia heimuer and the Gene Expression Level of Its Decomposition Enzyme. Agriculture. 2024; 14(11):2027. https://doi.org/10.3390/agriculture14112027
Chicago/Turabian StyleShan, Xianqi, Fangjie Yao, Lixin Lu, Ming Fang, Jia Lu, and Xu Sun. 2024. "Study of the Degradation and Utilization of Cellulose from Auricularia heimuer and the Gene Expression Level of Its Decomposition Enzyme" Agriculture 14, no. 11: 2027. https://doi.org/10.3390/agriculture14112027
APA StyleShan, X., Yao, F., Lu, L., Fang, M., Lu, J., & Sun, X. (2024). Study of the Degradation and Utilization of Cellulose from Auricularia heimuer and the Gene Expression Level of Its Decomposition Enzyme. Agriculture, 14(11), 2027. https://doi.org/10.3390/agriculture14112027
