Combination of Mechanical/Physical Pretreatments with Trypsin or Pancreatin on Arthrospira platensis Protein Degradation
Abstract
1. Introduction
2. Materials and Methods
2.1. Microalga Mechanical/Physical Pretreatments
2.2. Incubation of Pretreated A. platensis with Enzymes
2.3. Evaluation of Protein Fractions after Hydrolysis
- PTRAT = protein obtained with pretreatments
- PCON = protein obtained with control
2.4. Calculation of the Coefficient of Protein Degradation
- OD1 = optical density of the protein band before hydrolysis
- OD2 = optical density of the protein band after hydrolysis
2.5. Determination of Total Protein by the Bradford Method
2.6. Determination of Total Peptides by O-Pthalaldehyde (OPA) Assay
2.7. Statistical Analysis
3. Results
3.1. Effect of Mechanical/Physical Pretreatments and Enzymatic Treatment on A. platensis Protein (Bradford Method) and Peptide (OPA Assay) Concentrations
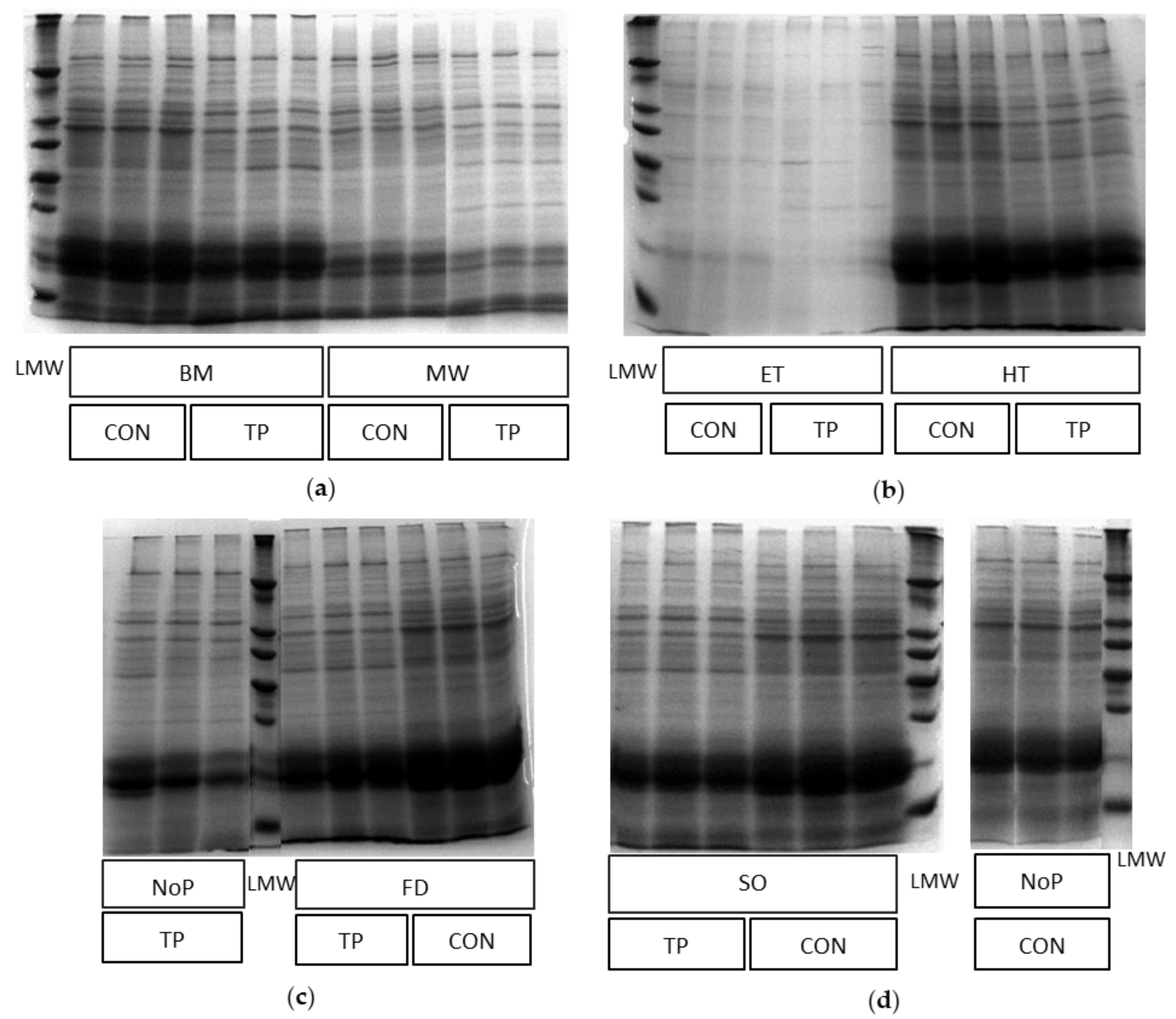
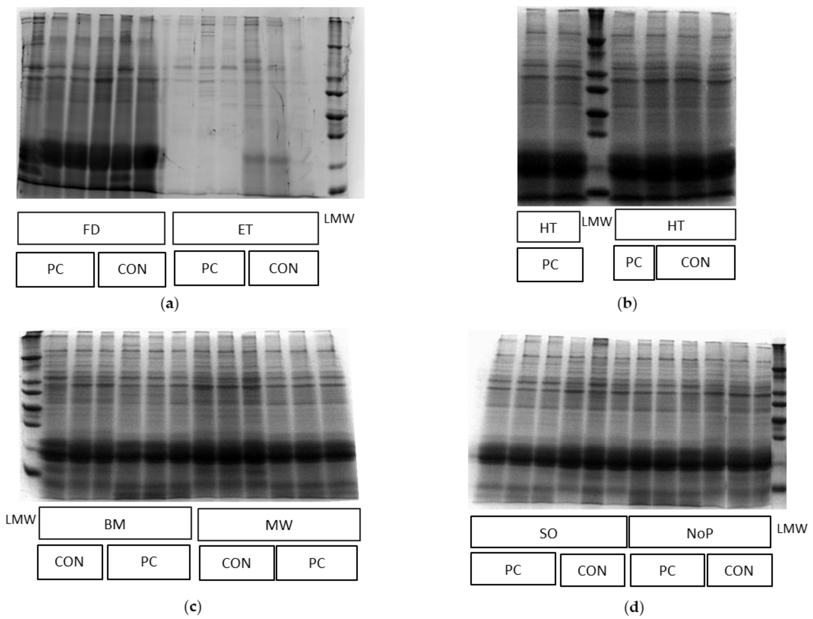
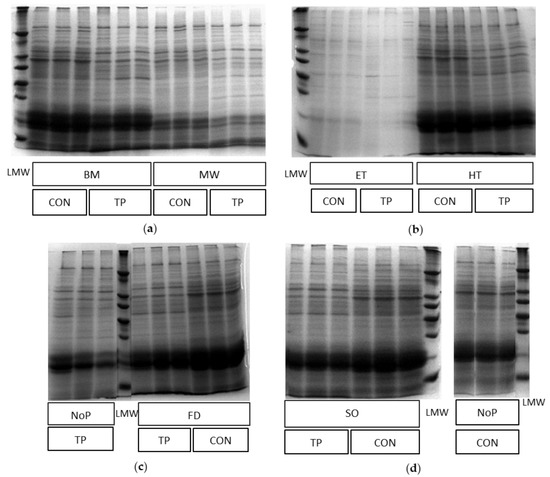
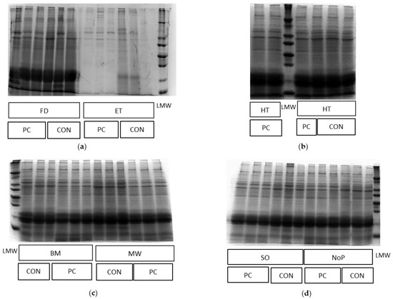
3.2. Effect of Mechanical/Physical Pretreatments and Enzymatic Treatment on A. platensis Protein Concentration Quantified in SDS-PAGE Gel
3.3. Effect of Trypsin on the Degradation of Proteins of Pretreated A. platensis
3.4. Effect of Pancreatin on the Degradation of Proteins of Pretreated A. platensis
4. Discussion
5. Conclusions
Author Contributions
Funding
Institutional Review Board Statement
Data Availability Statement
Conflicts of Interest
References
- Martins, C.F.; Ribeiro, D.M.; Costa, M.; Coelho, D.; Alfaia, C.M.; Lordelo, M.; Almeida, A.M.; Freire, J.P.; Prates, J.A. Using microalgae as a sustainable feed resource to enhance quality and nutritional value of pork and poultry meat. Foods 2021, 10, 2933. [Google Scholar] [CrossRef] [PubMed]
- Van Eykelenburg, C. On the morphology and ultrastructure of the cell wall of Spirulina platensis. Antonie van Leeuwenhoek 1977, 43, 89–99. [Google Scholar] [CrossRef] [PubMed]
- Böcker, L.; Hostettler, T.; Diener, M.; Eder, S.; Demuth, T.; Adamcik, J.; Reineke, K.; Leeb, E.; Nyström, L.; Mathys, A. Time-temperature-resolved functional and structural changes of phycocyanin extracted from Arthrospira platensis/Spirulina. Food Chem. 2020, 316, 126374. [Google Scholar] [CrossRef] [PubMed]
- Buecker, S.; Grossmann, L.; Loeffler, M.; Leeb, E.; Weiss, J. Thermal and acidic denaturation of phycocyanin from Arthrospira platensis: Effects of complexation with λ-carrageenan on blue color stability. Food Chem. 2022, 380, 132157. [Google Scholar] [CrossRef]
- Spínola, M.P.; Costa, M.M.; Prates, J.A.M. Digestive constraints of Arthrospira platensis in poultry and swine feeding. Foods 2022, 11, 2984. [Google Scholar] [CrossRef]
- Soto-Sierra, L.; Stoykova, P.; Nikolov, Z.L. Extraction and fractionation of microalgae-based protein products. Algal Res. 2018, 36, 175–192. [Google Scholar] [CrossRef]
- Stramarkou, M.; Papadaki, S.; Kyriakopoulou, K.; Tzovenis, I.; Chronis, M.; Krokida, M. Comparative analysis of different drying techniques based on the qualitative characteristics of Spirulina platensis biomass. J. Aquat. Food Prod. Technol. 2021, 30, 498–516. [Google Scholar] [CrossRef]
- Safi, C.; Ursu, A.V.; Laroche, C.; Zebib, B.; Merah, O.; Pontalier, P.-Y.; Vaca-Garcia, C. Aqueous extraction of proteins from microalgae: Effect of different cell disruption methods. Algal Res. 2014, 3, 61–65. [Google Scholar] [CrossRef]
- Ahmed, J.; Kumar, V. Effect of high-pressure treatment on oscillatory rheology, particle size distribution and microstructure of microalgae Chlorella vulgaris and Arthrospira platensis. Algal Res. 2022, 62, 102617. [Google Scholar] [CrossRef]
- Boukhari, N.; Doumandji, A.; Sabrine Ait chaouche, F.; Ferradji, A. Effect of ultrasound treatment on protein content and functional properties of Spirulina powder grown in Algeria. Med. J. Nutr. Metab. 2018, 11, 235–249. [Google Scholar] [CrossRef]
- Coelho, D.; Lopes, P.A.; Cardoso, V.; Ponte, P.; Bras, J.; Madeira, M.S.; Alfaia, C.M.; Bandarra, N.M.; Fontes, C.M.G.A.; Prates, J.A.M. A two-enzyme constituted mixture to improve the degradation of Arthrospira platensis microalga cell wall for monogastric diets. J. Anim. Physiol. Anim. Nutr. 2020, 104, 310–321. [Google Scholar] [CrossRef] [PubMed]
- Mišurcová, L.; Kráčmar, S.; Klejdus, B.; Vacek, J. Nitrogen content, dietary fiber, and digestibility in algal food products. Czech J. Food Sci. 2010, 28, 27–35. [Google Scholar] [CrossRef]
- Niccolai, A.; Chini Zittelli, G.; Rodolfi, L.; Biondi, N.; Tredici, M.R. Microalgae of interest as food source: Biochemical composition and digestibility. Algal Res. 2019, 42, 101617. [Google Scholar] [CrossRef]
- Carullo, D.; Donsì, F.; Ferrari, G.; Pataro, G. Extraction improvement of water-soluble compounds from Arthrospira platensis through the combination of high-shear homogenization and pulsed electric fields. Algal Res. 2021, 57, 102341. [Google Scholar] [CrossRef]
- Tavanandi, H.A.; Chandralekha Devi, A.; Raghavarao, K. A newer approach for the primary extraction of allophycocyanin with high purity and yield from dry biomass of Arthrospira platensis. Sep. Purif. Technol. 2018, 204, 162–174. [Google Scholar] [CrossRef]
- Tavanandi, H.A.; Vanjari, P.; Raghavarao, K.S.M.S. Synergistic method for extraction of high purity allophycocyanin from dry biomass of Arthrospira platensis and utilization of spent biomass for recovery of carotenoids. Sep. Purif. Technol. 2019, 225, 97–111. [Google Scholar] [CrossRef]
- McMillan, J.R.; Watson, I.A.; Ali, M.; Jaafar, W. Evaluation and comparison of algal cell disruption methods: Microwave, waterbath, blender, ultrasonic and laser treatment. Appl. Energy 2013, 103, 128–134. [Google Scholar] [CrossRef]
- Safi, C.; Frances, C.; Ursu, A.V.; Laroche, C.; Pouzet, C.; Vaca-Garcia, C.; Pontalier, P.-Y. Understanding the effect of cell disruption methods on the diffusion of Chlorella vulgaris proteins and pigments in the aqueous phase. Algal Res. 2015, 8, 61–68. [Google Scholar] [CrossRef]
- Kapoore, R.V.; Butler, T.O.; Pandhal, J.; Vaidyanathan, S. Microwave-assisted extraction for microalgae: From biofuels to biorefinery. Biology 2018, 7, 18. [Google Scholar] [CrossRef]
- Wang, M.; Cheng, H.; Chen, S.; Wen, S.; Wu, X.; Zhang, D.; Yuan, Q.; Cong, W. Microalgal cell disruption via extrusion for the production of intracellular valuables. Energy 2018, 142, 339–345. [Google Scholar] [CrossRef]
- Bermúdez Menéndez, J.M.; Arenillas, A.; Menéndez Díaz, J.Á.; Boffa, L.; Mantegna, S.; Binello, A.; Cravotto, G. Optimization of microalgae oil extraction under ultrasound and microwave irradiation. J. Chem. Technol. Biotechnol. 2014, 89, 1779–1784. [Google Scholar] [CrossRef]
- AOAC. Official Methods of Analysis, 17th ed.; Association of Official Analytical Chemists: Washington, DC, USA, 2000. [Google Scholar]
- Ritchie, R.J. Universal chlorophyll equations for estimating chlorophylls a, b, c, and d and total chlorophylls in natural assemblages of photosynthetic organisms using acetone, methanol, or ethanol solvents. Photosynthetica 2008, 46, 115–126. [Google Scholar] [CrossRef]
- Costa, M.; Pio, L.; Bule, P.; Cardoso, V.; Alfaia, C.M.; Coelho, D.; Brás, J.; Fontes, C.M.G.A.; Prates, J.A.M. An individual alginate lyase is effective in the disruption of Laminaria digitata recalcitrant cell wall. Sci. Rep. 2021, 11, 9706. [Google Scholar] [CrossRef] [PubMed]
- Costa, M.M.; Pio, L.B.; Bule, P.; Cardoso, V.A.; Duarte, M.; Alfaia, C.M.; Coelho, D.F.; Brás, J.A.; Fontes, C.M.G.A.; Prates, J.A.M. Recalcitrant cell wall of Ulva lactuca seaweed is degraded by a single ulvan lyase from family 25 of polysaccharide lyases. Anim. Nutr. 2022, 9, 184–192. [Google Scholar] [CrossRef] [PubMed]
- Vizcaíno, A.J.; Sáez, M.I.; Martínez, T.F.; Acién, F.G.; Alarcón, F.J. Differential hydrolysis of proteins of four microalgae by the digestive enzymes of gilthead sea bream and Senegalese sole. Algal Res. 2019, 37, 145–153. [Google Scholar] [CrossRef]
- Alarcón, F.J.; Moyano, F.J.; Díaz, M. Use of SDS-PAGE in the assessment of protein hydrolysis by fish digestive enzymes. Aquac. Int. 2001, 9, 255–267. [Google Scholar] [CrossRef]
- Bradford, M.M. A rapid and sensitive method for the quantitation of microgram quantities of protein utilizing the principle of protein-dye binding. Anal. Biochem. 1976, 72, 248–254. [Google Scholar] [CrossRef]
- Sedighi, M.; Jalili, H.; Darvish, M.; Sadeghi, S.; Ranaei-Siadat, S.-O. Enzymatic hydrolysis of microalgae proteins using serine proteases: A study to characterize kinetic parameters. Food Chem. 2019, 284, 334–339. [Google Scholar] [CrossRef]
- Church, F.C.; Porter, D.H.; Catignani, G.L.; Swaisgood, H.E. An o-phthalaldehyde spectrophotometric assay for proteinases. Anal. Biochem. 1985, 146, 343–348. [Google Scholar] [CrossRef]
- Carbonaro, M.; Cappelloni, M.; Nicoli, S.F.; Lucarini, M.; Carnovale, E. Solubility-digestibility relationship of legume proteins. J. Agric. Food Chem. 1997, 45, 3387–3394. [Google Scholar] [CrossRef]
- Esquivel-Hernández, D.A.; Rodríguez-Rodríguez, J.; Rostro-Alanis, M.; Cuéllar-Bermúdez, S.P.; Mancera-Andrade, E.I.; Núñez-Echevarría, J.E.; García-Pérez, J.S.; Chandra, R.; Parra-Saldívar, R. Advancement of green process through microwave-assisted extraction of bioactive metabolites from Arthrospira platensis and bioactivity evaluation. Bioresour. Technol. 2017, 224, 618–629. [Google Scholar] [CrossRef] [PubMed]
- Demarco, M.; Oliveira de Moraes, J.; Matos, Â.P.; Derner, R.B.; de Farias Neves, F.; Tribuzi, G. Digestibility, bioaccessibility and bioactivity of compounds from algae. Trends Food Sci. Technol. 2022, 121, 114–128. [Google Scholar] [CrossRef]
- Teuling, E.; Wierenga, P.A.; Agboola, J.O.; Gruppen, H.; Schrama, J.W. Cell wall disruption increases bioavailability of Nannochloropsis gaditana nutrients for juvenile Nile tilapia (Oreochromis niloticus). Aquaculture 2019, 499, 269–282. [Google Scholar] [CrossRef]
- Wild, K.J.; Steingaß, H.; Rodehutscord, M. Variability in nutrient composition and in vitro crude protein digestibility of 16 microalgae products. J. Anim. Physiol. Anim. Nutr. 2018, 102, 1306–1319. [Google Scholar] [CrossRef]
- Suslick, K.S.; Price, G.J. Applications of ultrasound to materials chemistry. Annu. Rev. Mater. Sci. 1999, 29, 295–326. [Google Scholar] [CrossRef]



| Nutritional composition | |
| Energy (MJ/kg) | 13.9 |
| Crude protein (% dry matter) | 62.6 |
| Ash (% dry matter) | 14.9 |
| Crude carbohydrates (% dry matter) | 6.06 |
| Crude fibre (% dry matter) | 9.78 |
| Crude fat (% dry matter) | 6.70 |
| Pigment composition | |
| Phycocyanin (% dry matter) | 11.2 |
| Item | Enzymes | Pretreatments 1 | SEM 2 | p-Value | ||||||
|---|---|---|---|---|---|---|---|---|---|---|
| NoP | BM | ET | FD | HT | MW | SO | ||||
| Total protein (mg/mL) | No enzyme | 1.42 abAB | 1.30 bAB | 0.07 c | 1.20 bAB | 1.29 bAB | 0.41 cAB | 1.72 a | 0.080 | <0.001 |
| Trypsin | 1.03 B | 0.99 B | 0.02 | 0.87 B | 0.97 B | 0.29 B | 1.50 | - | - | |
| Pancreatin | 1.55 A | 1.58 A | 0.10 | 1.79 A | 1.93 A | 1.24 A | 1.67 | - | - | |
| SEM | 0.127 | 0.105 | 0.028 | 0.173 | 0.180 | 0.238 | 0.114 | |||
| p-value | 0.032 | 0.007 | 0.188 | 0.009 | 0.008 | 0.030 | 0.391 | |||
| Total peptides (µg/mL) | No enzyme | 42.7 a | 50.4 a | 24.6 bB | 44.4 aB | 38.5 aB | 39.0 aB | 43.4 a | 2.77 | <0.001 |
| Trypsin | 52.5 | 55.5 | 28.3 B | 48.4 B | 43.8 B | 58.5 A | 49.3 | - | - | |
| Pancreatin | 58.6 | 66.5 | 49.5 A | 73.9 A | 59.7 A | 53.7 AB | 51.3 | - | - | |
| SEM | 4.26 | 5.62 | 3.88 | 6.02 | 3.32 | 4.10 | 3.77 | |||
| p-value | 0.061 | 0.160 | 0.001 | 0.009 | 0.002 | 0.015 | 0.339 | |||
| Item | Enzymes | Pretreatments 1 | SEM 2 | p-Value | ||||||
|---|---|---|---|---|---|---|---|---|---|---|
| NoP | BM | ET | FD | HT | MW | SO | ||||
| Protein fraction (18–26 kDa) | No enzyme | 2.36 ab | 2.35 ab | 1.44 cA | 2.25 b | 2.74 aA | 1.73 cAB | 2.65 ab | 0.091 | <0.001 |
| Trypsin | 2.46 | 2.32 | 1.20 AB | 2.24 | 2.74 A | 1.51 B | 2.59 | - | - | |
| Pancreatin | 2.39 | 2.58 | 0.95B | 2.25 | 2.24 B | 2.38 A | 2.61 | - | - | |
| SEM | 0.063 | 0.104 | 0.099 | 0.019 | 0.118 | 0.192 | 0.107 | - | - | |
| p-value | 0.535 | 0.189 | 0.014 | 0.898 | 0.016 | 0.019 | 0.926 | - | - | |
| Protein fraction (40–48 kDa) | No enzyme | 1.92 aA | 2.02 aA | 1.19 bA | 1.94 aA | 2.10 aA | 1.41 bAB | 2.00 aA | 0.071 | <0.001 |
| Trypsin | 1.38 C | 1.31 B | 0.87 B | 1.54 B | 1.62 B | 1.08 B | 1.47 B | - | - | |
| Pancreatin | 1.67 B | 1.79A | 0.89 B | 1.87 A | 1.62 B | 1.64 A | 1.55 B | - | - | |
| SEM | 0.050 | 0.076 | 0.071 | 0.040 | 0.100 | 0.116 | 0.053 | - | - | |
| p-value | <0.001 | <0.001 | 0.013 | <0.001 | 0.007 | 0.018 | <0.001 | - | - | |
| Other proteins | No enzyme | 4.66 bcA | 5.76 abA | 3.87 c | 5.39 abAB | 5.61 ab | 3.81 c | 6.09 aA | 0.293 | <0.001 |
| Trypsin | 4.13 B | 3.93 B | 2.95 | 4.68 B | 5.01 | 3.24 | 5.57 AB | - | - | |
| Pancreatin | 4.63 AB | 6.37 A | 3.35 | 6.16 A | 4.50 | 5.08 | 4.42 B | - | - | |
| SEM | 0.134 | 0.250 | 0.299 | 0.312 | 0.396 | 0.494 | 0.345 | - | - | |
| p-value | 0.028 | <0.001 | 0.136 | 0.019 | 0.186 | 0.060 | 0.015 | - | - | |
| Total protein | No enzyme | 8.94 bA | 10.1 abA | 6.50 c | 9.58 abAB | 10.5 ab | 6.95 cAB | 10.7 aA | 0.385 | <0.001 |
| Trypsin | 7.97 B | 7.56 B | 5.02 | 8.46 B | 9.37 | 5.84 B | 9.63 AB | - | - | |
| Pancreatin | 8.70 A | 10.7 A | 5.19 | 10.3 A | 8.37 | 9.10 A | 8.59 B | - | - | |
| SEM | 0.187 | 0.366 | 0.416 | 0.339 | 0.600 | 0.763 | 0.444 | - | - | |
| p-value | 0.008 | <0.001 | 0.053 | 0.009 | 0.088 | 0.031 | 0.017 | - | - | |
| Item | Pretreatments 1 | SEM 2 | p-Value | ||||||
|---|---|---|---|---|---|---|---|---|---|
| NoP | BM | ET | FD | HT | MW | SO | |||
| Protein fraction 1 (18–26 kDa) | 1.40 | 1.51 | 15.0 | 0.56 | 0.12 | 11.4 | 2.19 | 5.785 | 0.368 |
| Protein fraction 2 (40–48 kDa) | 28.0 | 33.9 | 24.9 | 20.1 | 22.9 | 23.5 | 26.3 | 6.50 | 0.828 |
| Other proteins | 11.0 | 31.8 | 22.8 | 13.0 | 10.7 | 16.0 | 8.0 | 5.98 | 0.105 |
| Total protein | 10.6 | 25.4 | 21.3 | 11.5 | 10.4 | 16.6 | 10.2 | 5.50 | 0.316 |
| Item | Pretreatments 1 | SEM 2 | p-Value | ||||||
|---|---|---|---|---|---|---|---|---|---|
| NoP | BM | ET | FD | HT | MW | SO | |||
| Protein fraction 1 (18–26 kDa) | −1.19 b | 0.67 b | 14.6 a | 2.17 b | −0.002 b | 7.91 ab | 2.63 b | 2.509 | 0.001 |
| Protein fraction 2 (40–48 kDa) | 12.6 | 13.6 | 14.3 | 8.09 | 8.13 | 17.3 | 17.6 | 2.629 | 0.079 |
| Other proteins | 3.8 | 3.99 | 7.33 | 4.47 | 4.9 | 12.3 | 12.5 | 4.625 | 0.657 |
| Total protein | 2.59 | 4.98 | 10.1 | 4.68 | 4.28 | 12.5 | 10.7 | 3.01 | 0.167 |
Disclaimer/Publisher’s Note: The statements, opinions and data contained in all publications are solely those of the individual author(s) and contributor(s) and not of MDPI and/or the editor(s). MDPI and/or the editor(s) disclaim responsibility for any injury to people or property resulting from any ideas, methods, instructions or products referred to in the content. |
© 2023 by the authors. Licensee MDPI, Basel, Switzerland. This article is an open access article distributed under the terms and conditions of the Creative Commons Attribution (CC BY) license (https://creativecommons.org/licenses/by/4.0/).
Share and Cite
Costa, M.M.; Spínola, M.P.; Prates, J.A.M. Combination of Mechanical/Physical Pretreatments with Trypsin or Pancreatin on Arthrospira platensis Protein Degradation. Agriculture 2023, 13, 198. https://doi.org/10.3390/agriculture13010198
Costa MM, Spínola MP, Prates JAM. Combination of Mechanical/Physical Pretreatments with Trypsin or Pancreatin on Arthrospira platensis Protein Degradation. Agriculture. 2023; 13(1):198. https://doi.org/10.3390/agriculture13010198
Chicago/Turabian StyleCosta, Mónica M., Maria P. Spínola, and José A. M. Prates. 2023. "Combination of Mechanical/Physical Pretreatments with Trypsin or Pancreatin on Arthrospira platensis Protein Degradation" Agriculture 13, no. 1: 198. https://doi.org/10.3390/agriculture13010198
APA StyleCosta, M. M., Spínola, M. P., & Prates, J. A. M. (2023). Combination of Mechanical/Physical Pretreatments with Trypsin or Pancreatin on Arthrospira platensis Protein Degradation. Agriculture, 13(1), 198. https://doi.org/10.3390/agriculture13010198

