Establishment of an ELISA Method for Quantitative Detection of PAT/pat in GM Crops
Abstract
1. Introduction
2. Materials and Methods
2.1. Reagents, Strains, and Animals
2.2. His-PAT/Pat Protein Expression
2.3. Mice Immunization Protocols
2.4. Antibody Preparation
2.5. Antibody Characterization
2.6. Total Protein Extraction
2.7. Protein Sample Analysis
2.8. ELISA Method Development
2.9. Validation of ELISA Method
2.10. Detection of PAT/pat Containing Sample by Sandwich ELISA Established
2.11. Statistical Analysis
3. Results
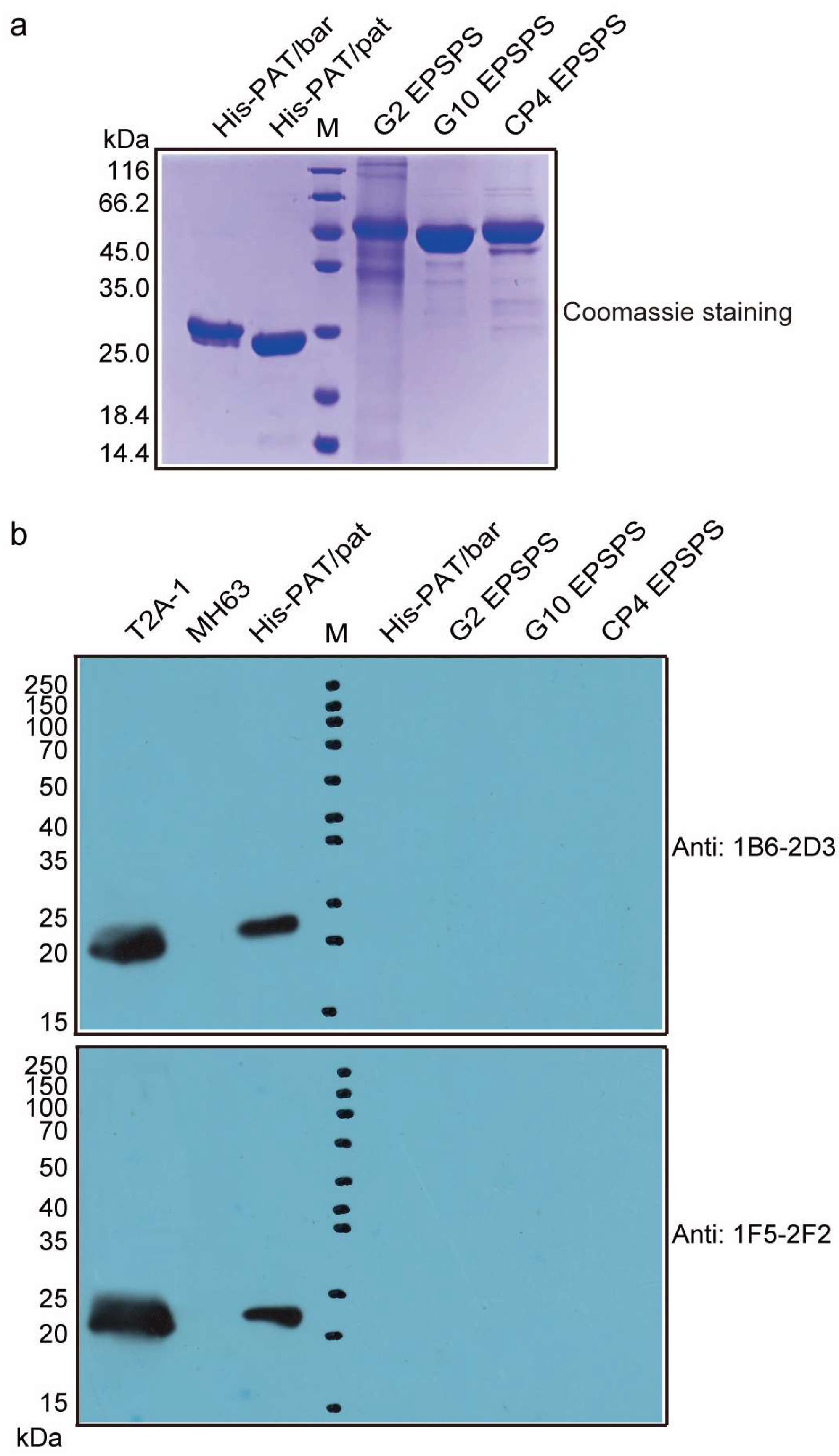
3.1. His-PAT/pat Protein Purification
3.2. PAT/pat mAb Preparation
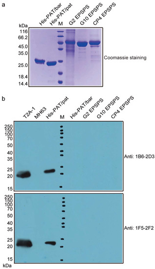
3.3. PAT/pat mAb Cross-Reaction Detection
3.4. Establishment of the Sandwich ELISA
3.5. Detection of PAT/pat in GM Maize Leaves
4. Discussion
5. Conclusions
Author Contributions
Funding
Institutional Review Board Statement
Informed Consent Statement
Data Availability Statement
Conflicts of Interest
References
- Wehrmann, A.; Van Vliet, A.; Opsomer, C.; Botterman, J.; Schulz, A. The similarities of bar and pat gene products make them equally applicable for plant engineers. Nat. Biotechnol. 1996, 14, 1274–1278. [Google Scholar] [CrossRef] [PubMed]
- D’Halluin, K.; De Block, M.; Denecke, J.; Janssen, J.; Leemans, J.; Reynaerts, A.; Botterman, J. The bar Gene as Selectable and Screenable Marker in Plant Engineering. Methods Enzymol. 1992, 216, 2. [Google Scholar]
- The National Academies. Genetically Engineered Crops: Experiences and Prospects; National Academies Press: Cambridge, MA, USA, 2016. [Google Scholar]
- Available online: www.isaaa.org/resources/publications/briefs/54/default.asp (accessed on 25 July 2022).
- Salisu, I.B.; Shahid, A.A.; Yaqoob, A.; Ali, Q.; Bajwa, K.S.; Rao, A.Q.; Husnain, T. Molecular Approaches for High Throughput Detection and Quantification of Genetically Modified Crops: A Review. Front. Plant Sci. 2017, 8, 1670. [Google Scholar] [CrossRef] [PubMed]
- Kamle, M.; Kumar, P.J.; Patra, J.K.; Bajpai, V.K. Current perspectives on genetically modified crops and detection methods. 3 Biotech 2017, 7, 219. [Google Scholar] [CrossRef]
- Rao, J.; Yang, L.; Guo, J.; Quan, S.; Chen, G.; Zhao, X.; Zhang, D.; Shi, J. Development of event-specific qualitative and quantitative PCR detection methods for the transgenic maize BVLA430101. Eur. Food Res. Technol. 2016, 242, 1277–1284. [Google Scholar] [CrossRef]
- Verginelli, D.; Paternò, A.; De Marchis, M.L.; Quarchioni, C.; Vinciguerra, D.; Bonini, P.; Peddis, S.; Fusco, C.; Misto, M.; Marfoglia, C.; et al. Development and comparative study of a pat/bar real-time PCR assay for integrating the screening strategy of a GMO testing laboratory. J. Sci. Food Agric. 2020, 100, 2121–2129. [Google Scholar] [CrossRef]
- Albright III, V.C.; Hellmich, R.L.; Coats, J.R. Coats, Enzyme-Linked Immunosorbent Assay Detection and Bioactivity of Cry1ab Protein Fragments. Environ. Toxicol. Chem. 2016, 35, 3101–3112. [Google Scholar] [CrossRef]
- Albright III, V.C.; Hellmich, R.L.; Coats, J.R. Review of Cry Protein Detection with Enzyme-Linked Immunosorbent Assays. J. Agric. Food Chem. 2016, 64, 2175–2189. [Google Scholar] [CrossRef]
- Kamle, S.; Ojha, A.; Kumar, A. Development of enzyme-linked immunosorbent assay for the detection of Bt protein in transgenic cotton. Methods Mol. Biol. 2013, 958, 131–138. [Google Scholar]
- Kamle, S.; Ojha, A.; Kumar, A. Development of an enzyme linked immunosorbant assay for the detection of Cry2Ab Protein in transgenic plants. GM Crops 2011, 2, 118–125. [Google Scholar] [CrossRef]
- Wang, P.; Li, G.; Yan, J.; Hu, Y.; Zhang, C.; Liu, X.; Wan, Y. Bactrian camel nanobody-based immunoassay for specific and sensitive detection of Cry1Fa toxin. Toxicon 2014, 92, 186–192. [Google Scholar] [CrossRef] [PubMed]
- Li, P.; Zhang, Q.; Zhang, W.; Zhang, J.; Chen, X.; Jiang, J.; Xie, L.; Zhang, D. Development of a class-specific monoclonal antibody-based ELISA for aflatoxins in peanut. Food Chem. 2009, 115, 313–317. [Google Scholar] [CrossRef]
- Liu, W.; Liu, X.; Liu, C.; Zhang, Z.; Jin, W. Development of a sensitive monoclonal antibody-based sandwich ELISA to detect Vip3Aa in genetically modified crops. Biotechnol. Lett. 2020, 42, 1467–1478. [Google Scholar] [CrossRef] [PubMed]
- Galfre, G.; Milstein, C. Preparation of monoclonal antibodies: Strategies and procedures. Methods Enzymol. 1981, 73, 3–46. [Google Scholar]
- Dong, S.; Zhang, C.; Zhang, X.; Liu, Y.; Zhong, J.; Xie, Y.; Xu, C.; Ding, Y.; Zhang, L.; Liu, X. Production and Characterization of Monoclonal Antibody Broadly Recognizing Cry1 Toxins by Use of Designed Polypeptide as Hapten. Anal. Chem. 2016, 88, 7023–7032. [Google Scholar] [CrossRef]
- Esch, A.M.; Thompson, N.E.; Lamberski, J.A.; Mertz, J.E.; Burgess, R.R. Production and characterization of monoclonal antibodies to estrogen-related receptor alpha (ERR alpha) and use in immunoaffinity chromatography. Protein Expr. Purif. 2012, 84, 47–58. [Google Scholar] [CrossRef][Green Version]
- Narat, M.; Biček, A.; Vadnjal, R.; Benčina, D. Production, characterization and use of monoclonal antibodies recognizing IgY epitopes shared by chicken, turkey, pheasant, peafowl and sparrow. Food Technol. Biotechnol. 2004, 42, 175–182. [Google Scholar]
- Daginakatte, G.C.; Chard-Bergstrom, C.; Andrews, G.A.; Kapil, S. Production, characterization, and uses of monoclonal antibodies against recombinant nucleoprotein of elk coronavirus. Clin. Diagn. Lab. Immunol. 1999, 6, 341–344. [Google Scholar] [CrossRef]
- Groopman, J.D.; Trudel, L.J.; Donahue, P.R.; Marshak-Rothstein, A.; Wogan, G.N. High-affinity monoclonal antibodies for aflatoxins and their application to solid-phase immunoassays. Proc. Natl. Acad. Sci. USA 1984, 81, 7728–7731. [Google Scholar] [CrossRef]
- Daginakatte, G.C.; Chard-Bergstrom, C.; Andrews, G.A.; Kapil, S. Standardization of immunoglobulin M capture enzyme-linked immunosorbent assays for routine diagnosis of arboviral infections. J. Clin. Microbiol. 2000, 38, 1823–1826. [Google Scholar]
- Azimzadeh, A.; Van Regenmortel, M.H. Measurement of affinity of viral monoclonal antibodies by ELISA titration of free antibody in equilibrium mixtures. J. Immunol. Methods 1991, 141, 199–208. [Google Scholar] [CrossRef]
- Beatty, J.; Beatty, B.G.; Vlahos, W.G. Measurement of monoclonal antibody affinity by non-competitive enzyme immunoassay. J. Immunol. Methods 1987, 100, 173–179. [Google Scholar] [CrossRef]
- Dixit, C.K.; Vashist, S.K.; MacCraith, B.D.; O’Kennedy, R. Multisubstrate-compatible ELISA procedures for rapid and high-sensitivity immunoassays. Nat. Protoc. 2011, 6, 439–445. [Google Scholar] [CrossRef] [PubMed]
- Vashist, S.K. A sub-picogram sensitive rapid chemiluminescent immunoassay for the detection of human fetuin A. Biosens Bioelectron 2013, 40, 297–302. [Google Scholar] [CrossRef] [PubMed]
- Vashist, S.K.; Schneider, E.M.; Lam, E.; Hrapovic, S.; Luong, J.H.T. One-step antibody immobilization-based rapid and highly-sensitive sandwich ELISA procedure for potential in vitro diagnostics. Sci. Rep. 2014, 4, 4407. [Google Scholar] [CrossRef] [PubMed]
- Tan, Y.; Zhang, J.; Sun, Y.; Tong, Z.; Peng, C.; Chang, L.; Guo, A.; Wang, X. Comparative Proteomics of Phytase-transgenic Maize Seeds Indicates Environmental Influence is More Important than that of Gene Insertion. Sci. Rep. 2019, 9, 8219. [Google Scholar] [CrossRef]
- Anttonen, M.J.; Lehesranta, S.; Auriola, S.; Röhlig, R.M.; Engel, K.-H.; Kärenlampi, S.O. Genetic and environmental influence on maize kernel proteome. J. Proteome. Res. 2010, 9, 6160–6168. [Google Scholar] [CrossRef]
- Mc Lean, M. A review of the environmental safety of the CP4 EPSPS protein. Env. Biosaf. Res. 2011, 10, 5–25. [Google Scholar] [CrossRef][Green Version]
- Frank, T.; Röhlig, R.M.; Davies, H.V.; Barros, E.; Engel, K.-H. Metabolite Profiling of Maize Kernels-Genetic Modification versus Environmental Influence. J. Agric. Food Chem. 2012, 60, 3005–3012. [Google Scholar] [CrossRef]
- Walschus, U.W.E.; Witt, S.; Wittmann, C. Development of monoclonal antibodies against Cry1Ab protein from Bacillus thuringiensis and their application in an ELISA for detection of transgenic Bt-maize. Food Agric. Immunol. 2002, 14, 231–240. [Google Scholar] [CrossRef]
- Zhang, Y.; Zhang, W.; Liu, Y.; Wang, J.; Wang, G.; Liu, Y. Development of monoclonal antibody-based sensitive ELISA for the determination of Cry1Ie protein in transgenic plant. Anal. Bioanal. Chem. 2016, 408, 8231–8239. [Google Scholar] [CrossRef] [PubMed]
- Wang, S.; Guo, A.Y.; Zheng, W.J.; Zhang, Y.; Qiao, H.; Kennedy, I.R. Development of ELISA for the determination of transgenic Bt-cottons using antibodies against Cry1Ac protein from Bacillus thuringiensis HD-73. Eng. Life Sci. 2007, 7, 149–154. [Google Scholar] [CrossRef]
- Zhang, X.; Xu, C.; Zhang, C.; Liu, Y.; Xie, Y.; Liu, X. Established a new double antibodies sandwich enzyme-linked immunosorbent assay for detecting Bacillus thuringiensis (Bt) Cry1Ab toxin based single-chain variable fragments from a naive mouse phage displayed library. Toxicon 2014, 81, 13–22. [Google Scholar] [CrossRef] [PubMed]
- Wang, Y.; Zhang, X.; Zhang, C.; Liu, Y.; Liu, X. Isolation of single chain variable fragment (scFv) specific for Cry1C toxin from human single fold scFv libraries. Toxicon 2012, 60, 1290–1297. [Google Scholar] [CrossRef] [PubMed]
- Zhang, X.; Liu, Y.; Zhang, C.; Wang, Y.; Xu, C.; Liu, X. Rapid isolation of single-chain antibodies from a human synthetic phage display library for detection of Bacillus thuringiensis (Bt) Cry1B toxin. Ecotoxicol. Environ. Saf. 2012, 81, 84–90. [Google Scholar] [CrossRef]





| Item | Antigen | Property | Host | Antibody Subtype | Titer | Application | 
|---|---|---|---|---|---|---|
| 1F5-2F2 | PAT/pat | Monoclonal | Mouse | IgG1 | 1:1,024,000 | ELISA, WB | 
| 1B6-2D3 | PAT/pat | Monoclonal | Mouse | IgG1 | 1:896,000 | ELISA, WB | 
| Item | Sequence of Antibody Variable Region | |
|---|---|---|
| Light Chain | Heavy Chain | |
| 1F5-2F2 | DIVMTQSPPILSASPGEKVTMTCRASSTVSYIHWYQQKPGSSPKPWIYATSNLASGVPARFSGSGSGTSYSLTISGVEAEDAATYYCQQWSSYPPTFGAGTKLEIKR | DVKLQESGPELVKPGASVKISCKTSGYTFTEYTMHWVKQSHGKSLEWIGGFNPNTGGTRYNQKFKGKATVTVDKSSSTAHMELRSLTSEDSAVYFCARGPYGNYDWFAYWGQGTLVTVSS | 
| 1B6-2D3 | DVLMTQTPLSLPVSLGDQASISCRSSQNIVHNNGNTYLEWYLQKPGQSPKLLIYKVSNRFSGVPDRFSGSGSGTDFTLKISRVEAEDLGVYYCFQGSYVPWTFGGGTKLEIKR | EVQLQQSGGGLVQPKGSLKLSCAASGFTFNTYAMHWVCQAPGKGLEWVARIRSKSNNYATYYADSVKDRFTISRDDSQSMLYLQMNNLKTEDTAMYYCVSDGYYPFAYWGQGTLVTVSA | 
| Average of S0 Concentration (ng/mL) | SD of S0 Concentration | LOD (ng/mL) | 
|---|---|---|
| −0.345 | 0.215 | 0.085 | 
| His-PAT/pat (ng/mL) | OD450 (0 Day) | OD450 (7 Day) | Descent Rate (% 7 Day) | 
|---|---|---|---|
| 100.000 | 2.821 | 2.612 | 7% | 
| 50.000 | 2.632 | 2.337 | 11% | 
| 25.000 | 2.121 | 1.941 | 8% | 
| 12.500 | 1.384 | 1.221 | 12% | 
| 6.250 | 0.673 | 0.611 | 9% | 
| 3.125 | 0.432 | 0.394 | 9% | 
| 1.563 | 0.244 | 0.204 | 17% | 
| 0.000 | 0.037 | 0.028 | 23% | 
| Theoretical Value (ng/mL) | AV (ng/mL) | SD | (CV%) | Average CV (%) | 
|---|---|---|---|---|
| Intra-assay CV (n = 8) | ||||
| 50 | 49.328 | 0.031 | 1.233 | 2.270 | 
| 12.5 | 11.645 | 0.026 | 2.123 | |
| 3.125 | 4.161 | 0.015 | 3.453 | |
| Inter-assay CV (n = 24) | ||||
| 50 | 42.046 | 0.074 | 3.055 | 4.572 | 
| 12.5 | 10.528 | 0.056 | 4.902 | |
| 3.125 | 4.044 | 0.024 | 5.760 | |
| Protein | Maize Sample | Content * (μg/g) | AV ± SD (μg/g) | Content * (μg/g) | AV ± SD (μg/g) | Content * (ng/g) | AV ± SD (ng/g) | 
|---|---|---|---|---|---|---|---|
| PAT/pat | C0010.3.1 | 11.23 | 11.35 ± 0.12 | 0.598 | 0.60 ± 0.01 | 15.43 | 16.20 ± 1.07 | 
| 11.47 | 0.605 | 15.74 | |||||
| 11.35 | 0.592 | 17.42 | |||||
| non-GM NH101 | - | - | - | - | - | - | |
| - | - | - | |||||
| - | - | - | |||||
| The equation of ELISA standard curve | y = 0.0934x + 0.0134, R2 = 0.9943 (BRI, CAAS) | y = 0.0372x − 0.0163, R2 = 0.9998 YouLong Biotech. AA2241(Lot: 20042201) | y = 1.312x + 0.04, R2 = 0.9964 Envirologix AP014 (Lot:030240) | ||||
| Publisher’s Note: MDPI stays neutral with regard to jurisdictional claims in published maps and institutional affiliations. | 
© 2022 by the authors. Licensee MDPI, Basel, Switzerland. This article is an open access article distributed under the terms and conditions of the Creative Commons Attribution (CC BY) license (https://creativecommons.org/licenses/by/4.0/).
Share and Cite
Liu, W.; Meng, L.; Liu, X.; Liu, C.; Jin, W. Establishment of an ELISA Method for Quantitative Detection of PAT/pat in GM Crops. Agriculture 2022, 12, 1400. https://doi.org/10.3390/agriculture12091400
Liu W, Meng L, Liu X, Liu C, Jin W. Establishment of an ELISA Method for Quantitative Detection of PAT/pat in GM Crops. Agriculture. 2022; 12(9):1400. https://doi.org/10.3390/agriculture12091400
Chicago/Turabian StyleLiu, Weixiao, Lixia Meng, Xuri Liu, Chao Liu, and Wujun Jin. 2022. "Establishment of an ELISA Method for Quantitative Detection of PAT/pat in GM Crops" Agriculture 12, no. 9: 1400. https://doi.org/10.3390/agriculture12091400
APA StyleLiu, W., Meng, L., Liu, X., Liu, C., & Jin, W. (2022). Establishment of an ELISA Method for Quantitative Detection of PAT/pat in GM Crops. Agriculture, 12(9), 1400. https://doi.org/10.3390/agriculture12091400
 
        

 
       