Long-Term Visual/Anatomic Outcome in Patients with Fovea-Involving Fibrovascular Pigment Epithelium Detachment Presenting Choroidal Neovascularization on Optical Coherence Tomography Angiography
Abstract
1. Introduction
2. Methods
2.1. Outcome Measurement
2.2. The Relaxed Treat-and-Extend Regimen of Anti-VEGF Treatment for Exudative AMD
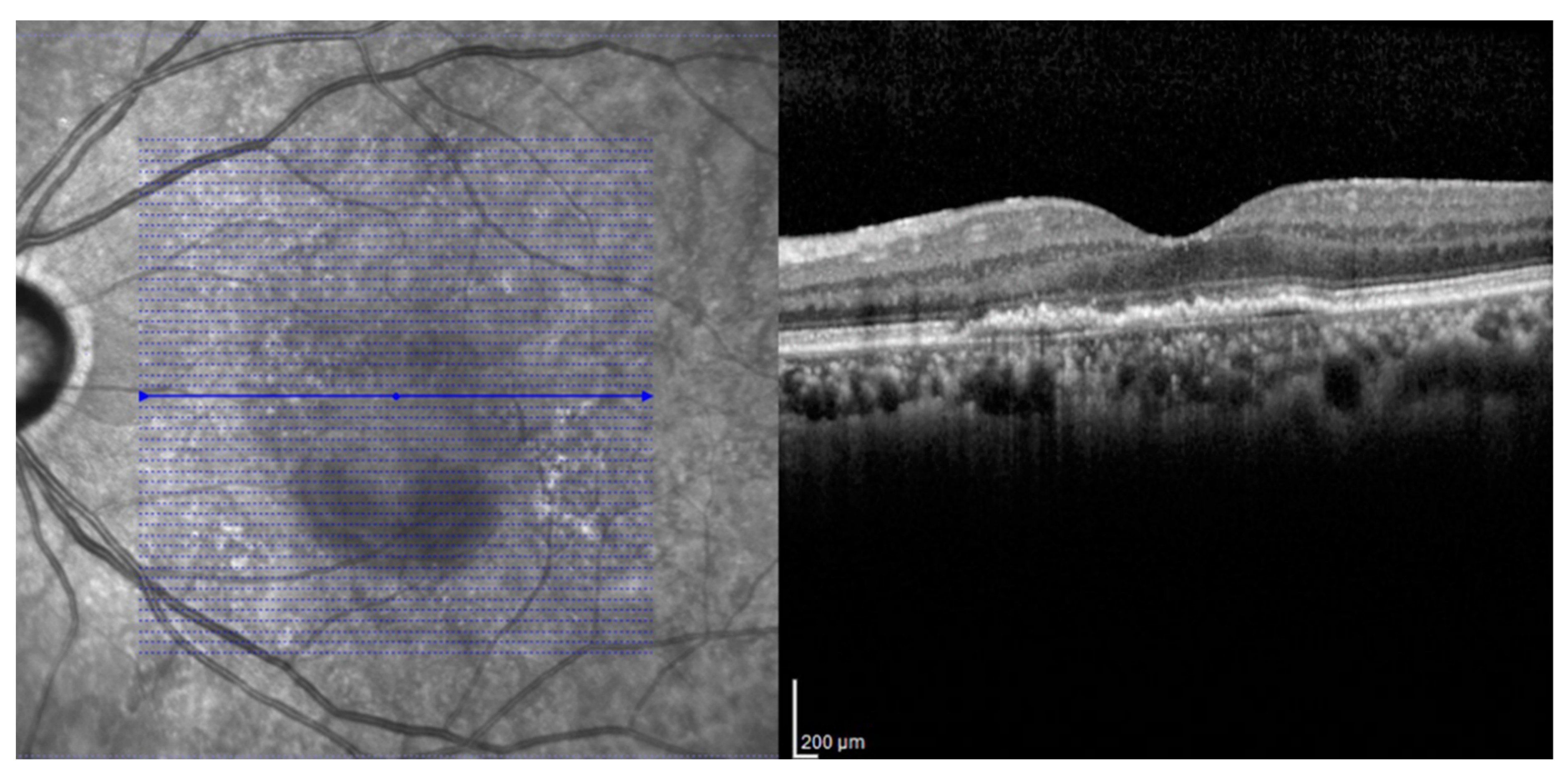
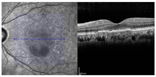
2.3. SD-OCT and OCTA Analysis
2.4. Statistical Analysis
3. Results
3.1. BCVA Change after Anti-VEGF Treatment According to the CNV Type
3.2. Photoreceptor Length Change after Anti-VEGF Treatment According to the CNV Type
3.3. Visual Prognosis According to the Presence of Subretinal Fluid
3.4. Sub-Analysis of Eyes Treated with Aflibercept Monotherapy
4. Discussion
Author Contributions
Funding
Conflicts of Interest
Summary
References
- Brown, D.M.; Kaiser, P.K.; Michels, M.; Soubrane, G.; Heier, J.S.; Kim, R.Y.; Sy, J.P.; Schneider, S.; Group, A.S. Ranibizumab versus verteporfin for neovascular age-related macular degeneration. N. Engl. J. Med. 2006, 355, 1432–1444. [Google Scholar] [CrossRef]
- Rosenfeld, P.J.; Brown, D.M.; Heier, J.S.; Boyer, D.S.; Kaiser, P.K.; Chung, C.Y.; Kim, R.Y. Ranibizumab for neovascular age-related macular degeneration. N. Engl. J. Med. 2006, 355, 1419–1431. [Google Scholar] [CrossRef]
- Heier, J.S.; Brown, D.M.; Chong, V.; Korobelnik, J.F.; Kaiser, P.K.; Nguyen, Q.D.; Kirchhof, B.; Ho, A.; Ogura, Y.; Yancopoulos, G.D.; et al. Intravitreal aflibercept (VEGF trap-eye) in wet age-related macular degeneration. Ophthalmology 2012, 119, 2537–2548. [Google Scholar] [CrossRef]
- Martin, D.F.; Maguire, M.G.; Fine, S.L.; Ying, G.S.; Jaffe, G.J.; Grunwald, J.E.; Toth, C.; Redford, M.; Ferris, F.L., 3rd. Ranibizumab and bevacizumab for treatment of neovascular age-related macular degeneration: two-year results. Ophthalmology 2012, 119, 1388–1398. [Google Scholar] [CrossRef] [PubMed]
- Schmidt-Erfurth, U.; Kaiser, P.K.; Korobelnik, J.F.; Brown, D.M.; Chong, V.; Nguyen, Q.D.; Ho, A.C.; Ogura, Y.; Simader, C.; Jaffe, G.J.; et al. Intravitreal aflibercept injection for neovascular age-related macular degeneration: ninety-six-week results of the VIEW studies. Ophthalmology 2014, 121, 193–201. [Google Scholar] [CrossRef] [PubMed]
- Yonekawa, Y.; Miller, J.W.; Kim, I.K. Age-Related Macular Degeneration: Advances in Management and Diagnosis. J. Clin. Med. 2015, 4, 343–359. [Google Scholar] [CrossRef]
- Rofagha, S.; Bhisitkul, R.B.; Boyer, D.S.; Sadda, S.R.; Zhang, K.; Group, S.-U.S. Seven-year outcomes in ranibizumab-treated patients in ANCHOR, MARINA, and HORIZON: a multicenter cohort study (SEVEN-UP). Ophthalmology 2013, 120, 2292–2299. [Google Scholar] [CrossRef] [PubMed]
- Maguire, M.G.; Martin, D.F.; Ying, G.S.; Jaffe, G.J.; Daniel, E.; Grunwald, J.E.; Toth, C.A.; Ferris, F.L., 3rd; Fine, S.L. Five-Year Outcomes with Anti-Vascular Endothelial Growth Factor Treatment of Neovascular Age-Related Macular Degeneration: The Comparison of Age-Related Macular Degeneration Treatments Trials. Ophthalmology 2016, 123, 1751–1761. [Google Scholar] [CrossRef]
- Boyer, D.S.; Antoszyk, A.N.; Awh, C.C.; Bhisitkul, R.B.; Shapiro, H.; Acharya, N.R. Subgroup analysis of the MARINA study of ranibizumab in neovascular age-related macular degeneration. Ophthalmology 2007, 114, 246–252. [Google Scholar] [CrossRef] [PubMed]
- Kaiser, P.K.; Brown, D.M.; Zhang, K.; Hudson, H.L.; Holz, F.G.; Shapiro, H.; Schneider, S.; Acharya, N.R. Ranibizumab for predominantly classic neovascular age-related macular degeneration: subgroup analysis of first-year ANCHOR results. Am. J. Ophthalmol. 2007, 144, 850–857. [Google Scholar] [CrossRef]
- Fang, K.; Tian, J.; Qing, X.; Li, S.; Hou, J.; Li, J.; Yu, W.; Chen, D.; Hu, Y.; Li, X. Predictors of visual response to intravitreal bevacizumab for treatment of neovascular age-related macular degeneration. J. Ophthalmol. 2013, 2013, 676049. [Google Scholar] [CrossRef] [PubMed]
- Ying, G.S.; Huang, J.; Maguire, M.G.; Jaffe, G.J.; Grunwald, J.E.; Toth, C.; Daniel, E.; Klein, M.; Pieramici, D.; Wells, J.; et al. Baseline predictors for one-year visual outcomes with ranibizumab or bevacizumab for neovascular age-related macular degeneration. Ophthalmology 2013, 120, 122–129. [Google Scholar] [CrossRef] [PubMed]
- Finger, R.P.; Wickremasinghe, S.S.; Baird, P.N.; Guymer, R.H. Predictors of anti-VEGF treatment response in neovascular age-related macular degeneration. Surv. Ophthalmol. 2014, 59, 1–18. [Google Scholar] [CrossRef]
- Bhisitkul, R.B.; Desai, S.J.; Boyer, D.S.; Sadda, S.R.; Zhang, K. Fellow Eye Comparisons for 7-Year Outcomes in Ranibizumab-Treated AMD Subjects from ANCHOR, MARINA, and HORIZON (SEVEN-UP Study). Ophthalmology 2016, 123, 1269–1277. [Google Scholar] [CrossRef] [PubMed]
- Ying, G.S.; Maguire, M.G.; Pan, W.; Grunwald, J.E.; Daniel, E.; Jaffe, G.J.; Toth, C.A.; Hagstrom, S.A.; Martin, D.F. Baseline Predictors for Five-Year Visual Acuity Outcomes in the Comparison of AMD Treatment Trials. Ophthalmol. Retin. 2018, 2, 525–530. [Google Scholar] [CrossRef]
- Jaffe, G.J.; Martin, D.F.; Toth, C.A.; Daniel, E.; Maguire, M.G.; Ying, G.S.; Grunwald, J.E.; Huang, J. Macular morphology and visual acuity in the comparison of age-related macular degeneration treatments trials. Ophthalmology 2013, 120, 1860–1870. [Google Scholar] [CrossRef] [PubMed]
- Dirani, A.; Ambresin, A.; Marchionno, L.; Decugis, D.; Mantel, I. Factors Influencing the Treatment Response of Pigment Epithelium Detachment in Age-Related Macular Degeneration. Am. J. Ophthalmol. 2015, 160, 732–738. [Google Scholar] [CrossRef] [PubMed]
- Schmidt-Erfurth, U.; Waldstein, S.M.; Deak, G.G.; Kundi, M.; Simader, C. Pigment epithelial detachment followed by retinal cystoid degeneration leads to vision loss in treatment of neovascular age-related macular degeneration. Ophthalmology 2015, 122, 822–832. [Google Scholar] [CrossRef]
- Schmidt-Erfurth, U.; Waldstein, S.M. A paradigm shift in imaging biomarkers in neovascular age-related macular degeneration. Prog. Retin. Eye Res. 2016, 50, 1–24. [Google Scholar] [CrossRef]
- Bhavsar, K.V.; Freund, K.B. Retention of good visual acuity in eyes with neovascular age-related macular degeneration and chronic refractory subfoveal subretinal fluid. Saudi J. Ophthalmol. 2014, 28, 129–133. [Google Scholar] [CrossRef]
- Zayit-Soudry, S.; Moroz, I.; Loewenstein, A. Retinal pigment epithelial detachment. Surv. Ophthalmol. 2007, 52, 227–243. [Google Scholar] [CrossRef] [PubMed]
- Au, A.; Parikh, V.S.; Singh, R.P.; Ehlers, J.P.; Yuan, A.; Rachitskaya, A.V.; Sears, J.E.; Srivastava, S.K.; Kaiser, P.K.; Schachat, A.P.; et al. Comparison of anti-VEGF therapies on fibrovascular pigment epithelial detachments in age-related macular degeneration. Br. J. Ophthalmol. 2017, 101, 970–975. [Google Scholar] [CrossRef]
- Dansingani, K.K.; Freund, K.B. Optical Coherence Tomography Angiography Reveals Mature, Tangled Vascular Networks in Eyes With Neovascular Age-Related Macular Degeneration Showing Resistance to Geographic Atrophy. Ophthalmic Surg. Lasers Imaging Retin. 2015, 46, 907–912. [Google Scholar] [CrossRef]
- Christenbury, J.G.; Phasukkijwatana, N.; Gilani, F.; Freund, K.B.; Sadda, S.; Sarraf, D. Progression of macular atrophy in eyes with type 1 neovascularization and age-related macular degeneration receiving long-term intravitreal anti-vascular endothelial growth factor therapy: An Optical Coherence Tomographic Angiography Analysis. Retina (Philadelphia, Pa.) 2018, 38, 1276–1288. [Google Scholar] [CrossRef] [PubMed]
- Pazos, M.; Dyrda, A.A.; Biarnés, M.; Gómez, A.; Martín, C.; Mora, C.; Fatti, G.; Antón, A. Diagnostic Accuracy of Spectralis SD OCT Automated Macular Layers Segmentation to Discriminate Normal from Early Glaucomatous Eyes. Ophthalmology 2017, 124, 1218–1228. [Google Scholar] [CrossRef] [PubMed]
- Arnold, J.J.; Markey, C.M.; Kurstjens, N.P.; Guymer, R.H. The role of sub-retinal fluid in determining treatment outcomes in patients with neovascular age-related macular degeneration--a phase IV randomised clinical trial with ranibizumab: the FLUID study. BMC Ophthalmol. 2016, 16, 31. [Google Scholar] [CrossRef] [PubMed]
- Guymer, R.H.; Markey, C.M.; McAllister, I.L.; Gillies, M.C.; Hunyor, A.P.; Arnold, J.J. Tolerating Subretinal Fluid in Neovascular Age-Related Macular Degeneration Treated with Ranibizumab Using a Treat-and-Extend Regimen: FLUID Study 24-Month Results. Ophthalmology 2019, 126, 723–734. [Google Scholar] [CrossRef] [PubMed]
- Schuman, S.G.; Koreishi, A.F.; Farsiu, S.; Jung, S.H.; Izatt, J.A.; Toth, C.A. Photoreceptor layer thinning over drusen in eyes with age-related macular degeneration imaged in vivo with spectral-domain optical coherence tomography. Ophthalmology 2009, 116, 488–496. [Google Scholar] [CrossRef]
- Odrobina, D.; Laudanska-Olszewska, I.; Gozdek, P.; Maroszynski, M.; Amon, M. Morphologic Changes in the Foveal Photoreceptor Layer before and after Laser Treatment in Acute and Chronic Central Serous Chorioretinopathy Documented in Spectral-Domain Optical Coherence Tomography. J. Ophthalmol. 2013, 2013, 361513. [Google Scholar] [CrossRef]
- Zhang, X.; Iverson, S.M.; Tan, O.; Huang, D. Effect of Signal Intensity on Measurement of Ganglion Cell Complex and Retinal Nerve Fiber Layer Scans in Fourier-Domain Optical Coherence Tomography. Transl. Vis. Sci. Technol. 2015, 4, 7. [Google Scholar] [CrossRef]
- Busbee, B.G.; Ho, A.C.; Brown, D.M.; Heier, J.S.; Suner, I.J.; Li, Z.; Rubio, R.G.; Lai, P. Twelve-month efficacy and safety of 0.5 mg or 2.0 mg ranibizumab in patients with subfoveal neovascular age-related macular degeneration. Ophthalmology 2013, 120, 1046–1056. [Google Scholar] [CrossRef] [PubMed]
- Grunwald, J.E.; Pistilli, M.; Ying, G.S.; Maguire, M.G.; Daniel, E.; Martin, D.F. Growth of geographic atrophy in the comparison of age-related macular degeneration treatments trials. Ophthalmology 2015, 122, 809–816. [Google Scholar] [CrossRef] [PubMed]
- Rosenfeld, P.J.; Shapiro, H.; Tuomi, L.; Webster, M.; Elledge, J.; Blodi, B. Characteristics of patients losing vision after 2 years of monthly dosing in the phase III ranibizumab clinical trials. Ophthalmology 2011, 118, 523–530. [Google Scholar] [CrossRef]
- Chakravarthy, U.; Harding, S.P.; Rogers, C.A.; Downes, S.M.; Lotery, A.J.; Culliford, L.A.; Reeves, B.C. Alternative treatments to inhibit VEGF in age-related choroidal neovascularisation: 2-year findings of the IVAN randomised controlled trial. Lancet (London, UK) 2013, 382, 1258–1267. [Google Scholar] [CrossRef]
- Gutfleisch, M.; Heimes, B.; Schumacher, M.; Dietzel, M.; Lommatzsch, A.; Bird, A.; Pauleikhoff, D. Long-term visual outcome of pigment epithelial tears in association with anti-VEGF therapy of pigment epithelial detachment in AMD. Eye (London, UK) 2011, 25, 1181–1186. [Google Scholar] [CrossRef]
- Grossniklaus, H.E.; Green, W.R. Choroidal neovascularization. Am. J. Ophthalmol. 2004, 137, 496–503. [Google Scholar] [CrossRef]
- Golbaz, I.; Ahlers, C.; Stock, G.; Schutze, C.; Schriefl, S.; Schlanitz, F.; Simader, C.; Prunte, C.; Schmidt-Erfurth, U.M. Quantification of the therapeutic response of intraretinal, subretinal, and subpigment epithelial compartments in exudative AMD during anti-VEGF therapy. Investig. Ophthalmol. Vis. Sci. 2011, 52, 1599–1605. [Google Scholar] [CrossRef]
- Hoerster, R.; Muether, P.S.; Sitnilska, V.; Kirchhof, B.; Fauser, S. Fibrovascular pigment epithelial detachment is a risk factor for long-term visual decay in neovascular age-related macular degeneretion. Retina (Philadelphia, Pa.) 2014, 34, 1767–1773. [Google Scholar] [CrossRef]
- Sato, T.; Suzuki, M.; Ooto, S.; Spaide, R.F. Multimodal imaging findings and multimodal vision testing in neovascular age-related macular degeneration. Retina (Philadelphia, Pa.) 2015, 35, 1292–1302. [Google Scholar] [CrossRef]
- Abdelfattah, N.S.; Zhang, H.; Boyer, D.S.; Sadda, S.R. Progression of macular atrophy in patients with neovascular age-related macular degeneration undergoing antivascular endothelial growth factor therapy. Retina (Philadelphia, Pa.) 2016, 36, 1843–1850. [Google Scholar] [CrossRef]
- Branchini, L.; Regatieri, C.; Adhi, M.; Flores-Moreno, I.; Manjunath, V.; Fujimoto, J.G.; Duker, J.S. Effect of intravitreous anti-vascular endothelial growth factor therapy on choroidal thickness in neovascular age-related macular degeneration using spectral-domain optical coherence tomography. JAMA Ophthalmol. 2013, 131, 693–694. [Google Scholar] [CrossRef] [PubMed]
- Lois, N.; McBain, V.; Abdelkader, E.; Scott, N.W.; Kumari, R. Retinal pigment epithelial atrophy in patients with exudative age-related macular degeneration undergoing anti-vascular endothelial growth factor therapy. Retina (Philadelphia, Pa.) 2013, 33, 13–22. [Google Scholar] [CrossRef] [PubMed]
- Ting, D.S.; Ng, W.Y.; Ng, S.R.; Tan, S.P.; Yeo, I.Y.; Mathur, R.; Chan, C.M.; Tan, A.C.; Tan, G.S.; Wong, T.Y.; et al. Choroidal Thickness Changes in Age-Related Macular Degeneration and Polypoidal Choroidal Vasculopathy: A 12-Month Prospective Study. Am. J. Ophthalmol. 2016, 164, 128–136. [Google Scholar] [CrossRef]
- Saint-Geniez, M.; Kurihara, T.; Sekiyama, E.; Maldonado, A.E.; D’Amore, P.A. An essential role for RPE-derived soluble VEGF in the maintenance of the choriocapillaris. Proc. Natl. Acad. Sci. USA 2009, 106, 18751–18756. [Google Scholar] [CrossRef] [PubMed]
- Bhisitkul, R.B.; Mendes, T.S.; Rofagha, S.; Enanoria, W.; Boyer, D.S.; Sadda, S.R.; Zhang, K. Macular atrophy progression and 7-year vision outcomes in subjects from the ANCHOR, MARINA, and HORIZON studies: the SEVEN-UP study. Am. J. Ophthalmol. 2015, 159, 915–924. [Google Scholar] [CrossRef]
- Dugel, P.U.; Jaffe, G.J.; Sallstig, P.; Warburton, J.; Weichselberger, A.; Wieland, M.; Singerman, L. Brolucizumab Versus Aflibercept in Participants with Neovascular Age-Related Macular Degeneration: A Randomized Trial. Ophthalmology 2017, 124, 1296–1304. [Google Scholar] [CrossRef] [PubMed]
- Lee, W.K.; Iida, T.; Ogura, Y.; Chen, S.J.; Wong, T.Y.; Mitchell, P.; Cheung, G.C.M.; Zhang, Z.; Leal, S.; Ishibashi, T. Efficacy and Safety of Intravitreal Aflibercept for Polypoidal Choroidal Vasculopathy in the PLANET Study: A Randomized Clinical Trial. JAMA Ophthalmol. 2018, 136, 786–793. [Google Scholar] [CrossRef] [PubMed]
- Silva, R.; Berta, A.; Larsen, M.; Macfadden, W.; Feller, C.; Monés, J. Treat-and-Extend versus Monthly Regimen in Neovascular Age-Related Macular Degeneration: Results with Ranibizumab from the TREND Study. Ophthalmology 2018, 125, 57–65. [Google Scholar] [CrossRef] [PubMed]




| Characteristics | Fibrovascular PED Group | Subretinal CNV Group | p-Value |
|---|---|---|---|
| No. of patients | 31 | 24 | |
| No. of eyes | 31 | 24 | |
| Age, years (mean ± SD) | 74.6 ± 6.1 | 71.8 ± 9.1 | 0.194 |
| Sex, male/female (%) | 21/10 (68/22) | 15/9 (63/37) | 0.778 |
| Refractive error, SE (mean ± SD) | 0.32 ± 1.17 | 0.13 ± 1.41 | 0.620 |
| Lens status, phakic/pseudophakic (%) | 16/15 (52/48) | 15/9 (63/37) | 0.584 |
| Best-corrected visual acuity, logMAR (mean ± SD) | 0.67 ± 0.33 | 0.72 ± 0.35 | 0.597 |
| Central subfield retinal thickness, μm (mean ± SD) | 414.00 ± 70.08 | 437.08 ± 75.08 | 0.250 |
| Subfoveal choroidal thickness, μm (mean ± SD) | 231.77 ± 90.17 | 244.42 ± 81.69 | 0.596 |
| No. of intravitreal anti-VEGF injections (mean ± SD) | |||
| Total | 11.5 ± 3.1 | 11.3 ± 3.1 | 0.795 |
| 1 year | 6.7 ± 1.6 | 7.5 ± 1.3 | 0.074 |
| 2 year | 4.6 ± 2.1 | 3.8 ± 2.2 | 0.193 |
| Characteristics | Fibrovascular PED Group | Subretinal CNV Group | p-Value |
|---|---|---|---|
| Status of outer retina, n | |||
| ELM intact/defect | 26/5 | 17/7 | 0.328 |
| IS/OS line intact/defect | 13/18 | 10/14 | 1.000 |
| COST line intact/defect | 0/31 | 0/24 | - |
| Subfoveal choroidal thickness, μm (mean ± SD) | 202.17 ± 92.00 | 225.33 ± 87.33 | 0.351 |
| Characteristics | SRF (−) Group (n = 21) | SRF (+) Group (n = 10) | p-Value |
|---|---|---|---|
| Age, years (mean ± SD) | 75.0 ± 6.9 | 74.0 ± 4.9 | 0.641 |
| Sex, male/female (%) | 14/7 (67/33) | 7/3 (70/30) | 1.000 |
| No. of intravitreal anti-VEGF injections (mean ± SD) | |||
| Total | 10.9 ± 3.1 | 12.7 ± 2.7 | 0.070 |
| 1 year | 6.6 ± 1.7 | 7.1 ± 1.3 | 0.342 |
| 2 year | 4.3 ± 2.2 | 5.3 ± 1.6 | 0.229 |
| Values at baseline (mean ± SD) | |||
| BCVA, logMAR | 0.70 ± 0.38 | 0.61 ± 0.20 | 0.560 |
| CST, μm | 407.48 ± 60.69 | 427.70 ± 88.76 | 0.719 |
| SFCT, μm | 228.29 ± 96.01 | 229.40 ± 81.98 | 0.882 |
| FV-PED height, μm | 151.62 ± 84.26 | 173.90 ± 76.26 | 0.320 |
| PRL thickness, μm | 108.28 ± 14.51 | 114.90 ± 13.91 | 0.124 |
| Values at 2 years after anti-VEGF injections (mean ± SD) | |||
| BCVA, logMAR | 0.46 ± 0.28 | 0.43 ± 0.18 | 0.949 |
| CST, μm | 322.24 ± 41.26 | 310.70 ± 56.66 | 0.410 |
| SFCT, μm | 205.25 ± 97.20 | 196.00 ± 85.23 | 0.878 |
| FV-PED height, μm | 122.57 ± 28.80 | 136.40 ± 69.95 | 0.849 |
| PRL thickness, μm | 95.19 ± 11.57 | 102.10 ± 16.70 | 0.271 |
| Δ PRL thickness from after 3rd injection | −6.81 ± 5.39 | −7.20 ± 3.29 | 0.932 |
© 2020 by the authors. Licensee MDPI, Basel, Switzerland. This article is an open access article distributed under the terms and conditions of the Creative Commons Attribution (CC BY) license (http://creativecommons.org/licenses/by/4.0/).
Share and Cite
Kim, K.T.; Lee, H.; Kim, J.Y.; Lee, S.; Chae, J.B.; Kim, D.Y. Long-Term Visual/Anatomic Outcome in Patients with Fovea-Involving Fibrovascular Pigment Epithelium Detachment Presenting Choroidal Neovascularization on Optical Coherence Tomography Angiography. J. Clin. Med. 2020, 9, 1863. https://doi.org/10.3390/jcm9061863
Kim KT, Lee H, Kim JY, Lee S, Chae JB, Kim DY. Long-Term Visual/Anatomic Outcome in Patients with Fovea-Involving Fibrovascular Pigment Epithelium Detachment Presenting Choroidal Neovascularization on Optical Coherence Tomography Angiography. Journal of Clinical Medicine. 2020; 9(6):1863. https://doi.org/10.3390/jcm9061863
Chicago/Turabian StyleKim, Kyung Tae, Hwanho Lee, Jin Young Kim, Suhwan Lee, Ju Byung Chae, and Dong Yoon Kim. 2020. "Long-Term Visual/Anatomic Outcome in Patients with Fovea-Involving Fibrovascular Pigment Epithelium Detachment Presenting Choroidal Neovascularization on Optical Coherence Tomography Angiography" Journal of Clinical Medicine 9, no. 6: 1863. https://doi.org/10.3390/jcm9061863
APA StyleKim, K. T., Lee, H., Kim, J. Y., Lee, S., Chae, J. B., & Kim, D. Y. (2020). Long-Term Visual/Anatomic Outcome in Patients with Fovea-Involving Fibrovascular Pigment Epithelium Detachment Presenting Choroidal Neovascularization on Optical Coherence Tomography Angiography. Journal of Clinical Medicine, 9(6), 1863. https://doi.org/10.3390/jcm9061863

