Intra-Cystic (In Situ) Mucoepidermoid Carcinoma: A Clinico-Pathological Study of 14 Cases
Abstract
1. Introduction
2. Materials and Methods
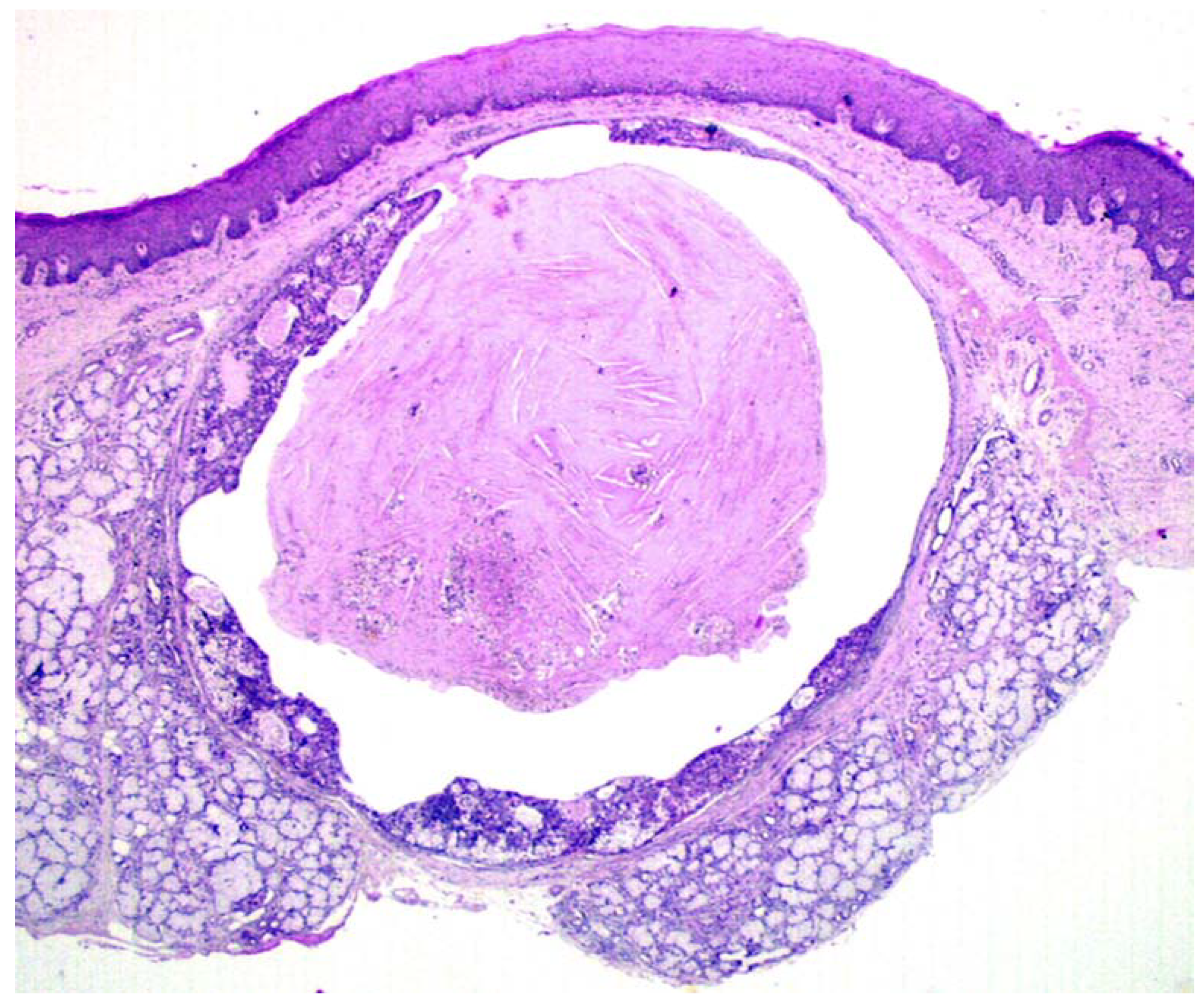
3. Results
4. Discussion
Author Contributions
Funding
Acknowledgments
Conflicts of Interest
References
- Eversole, L.R.; Rovin, S.; Sabes, W.R. Mucoepidermoid carcinoma of minor salivary glands: Report of 17 cases with follow-up. J. Oral Surg. 1972, 30, 107–112. [Google Scholar] [PubMed]
- Eversole, L.R. Mucoepidermoid carcinoma: Review of 815 reported cases. J. Oral Surg. 1970, 28, 490–499. [Google Scholar] [PubMed]
- Evans, H.L. Mucoepidermoid Carcinoma of Salivary Glands: A Study of 69 Cases with Special Attention to Histologic Grading. Am. J. Clin. Pathol. 1984, 81, 696–701. [Google Scholar] [CrossRef] [PubMed]
- Auclair, P.L.; Goode, R.K.; Ellis, G.L. Mucoepidermoid carcinoma of intraoral salivary glands evaluation and application of grading criteria in 143 cases. Cancer 1992, 69, 2021–2030. [Google Scholar] [CrossRef]
- El-Naggar, A.K.; Grandis, J.R.; Takata, T.; Grandis, J.; Slootweg, P. (Eds.) WHO Classification of Head and Neck Tumours, 4th ed.; IARC: Lyon, France, 2017. [Google Scholar]
- Saluja, K.; Butler, R.T.; Pytynia, K.B.; Zhao, B.; Karni, R.J.; Weber, R.S.; El-Naggar, A.K. Mucoepidermoid carcinoma post−radioactive iodine treatment of papillary thyroid carcinoma: Unique presentation and putative etiologic association. Hum. Pathol. 2017, 68, 189–192. [Google Scholar] [CrossRef]
- Goode, R.K.; Auclair, P.L.; Ellis, G.L. Mucoepidermoid carcinoma of the major salivary glands: Clinical and histopathologic analysis of 234 cases with evaluation of grading criteria. Cancer 1998, 82, 1217–1224. [Google Scholar] [CrossRef]
- Galdirs, T.M.; Kappler, M.; Reich, W.; Eckert, A.W. Current aspects of salivary gland tumors—A systematic review of the literature. GMS Interdiscip. Plast. Reconstr. Surg. DGPW 2019, 8. [Google Scholar] [CrossRef]
- Lawal, A.O.; Adisa, A.O.; Kolude, B.; Adeyemi, B.F. Malignant salivary gland tumours of the head and neck region: A single institutions review. Pan Afr. Med. J. 2015, 20, 121. [Google Scholar] [CrossRef] [PubMed]
- Da Silva, L.P.; Serpa, M.S.; Viveiros, S.K.; Sena, D.A.C.; Pinho, R.F.D.C.; Guimarães, L.D.D.A.; Andrade, E.S.D.S.; Pereira, J.R.D.; Da Silveira, M.M.F.; Sobral, A.P.V.; et al. Salivary gland tumors in a Brazilian population: A 20-year retrospective and multicentric study of 2292 cases. J. Cranio-Maxillofac. Surg. 2018, 46, 2227–2233. [Google Scholar] [CrossRef] [PubMed]
- González, A.C.; Skinner, H.R.; Díaz, A.V.; Ramírez, A.L.; Espildora, I.G.; González, A.S. Perfil epidemiológico de neoplasias epiteliales de glándulas salivales. Rev. Med. Chil. 2018, 146, 1159–1166. [Google Scholar] [CrossRef] [PubMed]
- Abrahao, A.; Dos Santos, T.C.R.B.; Netto, J.D.N.S.; Pires, F.R.; Cabral, M.G. Clinicopathological characteristics of tumours of the intraoral minor salivary glands in 170 Brazilian patients. Br. J. Oral Maxillofac. Surg. 2016, 54, 30–34. [Google Scholar] [CrossRef] [PubMed]
- Fu, J.-Y.; Wu, C.; Shen, S.-K.; Zheng, Y.; Zhang, C.-P.; Zhang, Z.-Y. Salivary gland carcinoma in Shanghai (2003–2012): An epidemiological study of incidence, site and pathology. BMC Cancer 2019, 19, 350. [Google Scholar] [CrossRef]
- Cipriani, N.A.; Lusardi, J.J.; McElherne, J.; Pearson, A.T.; Olivas, A.D.; Fitzpatrick, C.; Lingen, M.W.; Blair, E.A. Mucoepidermoid Carcinoma. Am. J. Surg. Pathol. 2019, 43, 885–897. [Google Scholar] [CrossRef] [PubMed]
- Seethala, R.R. An Update on Grading of Salivary Gland Carcinomas. Head Neck Pathol. 2009, 3, 69–77. [Google Scholar] [CrossRef] [PubMed]
- Mücke, T.; Robitzky, L.K.; Kesting, M.R.; Wagenpfeil, S.; Holhweg-Majert, B.; Wolff, K.-D.; Hölzle, F. Advanced malignant minor salivary glands tumors of the oral cavity. Oral Surg. Oral Med. Oral Pathol. Oral Radiol. Endodontol. 2009, 108, 81–89. [Google Scholar] [CrossRef] [PubMed]
- Kolokythas, A.; Connor, S.; Kimgsoo, D.; Fernandes, R.P.; Ord, R.A. Low-Grade Mucoepidermoid Carcinoma of the Intraoral Minor Salivary Glands With Cervical Metastasis: Report of 2 Cases and Review of the Literature. J. Oral Maxillofac. Surg. 2010, 68, 1396–1399. [Google Scholar] [CrossRef]
- Ord, R.A.; Salama, A. Is it necessary to resect bone for low-grade mucoepidermoid carcinoma of the palate? Br. J. Oral Maxillofac. Surg. 2012, 50, 712–714. [Google Scholar] [CrossRef]
- Lee, S.-Y.; Shin, H.A.; Rho, K.J.; Chung, H.J.; Kim, S.-H.; Choi, E. Characteristics, management of the neck, and oncological outcomes of malignant minor salivary gland tumours in the oral and sinonasal regions. Br. J. Oral Maxillofac. Surg. 2013, 51, e142–e147. [Google Scholar] [CrossRef]
- Guzzo, M.; Andreola, S.; Sirizzotti, G.; Cantù, G. Mucoepidermoid carcinoma of the salivary glands: Clinicopathologic review of 108 patients treated at the National Cancer Institute of Milan. Ann. Surg. Oncol. 2002, 9, 688–695. [Google Scholar] [CrossRef]
- Brandwein, M.S.; Ivanov, K.; Wallace, D.I.; Hille, J.J.; Wang, B.; Fahmy, A.; Bodian, C.; Urken, M.; Gnepp, D.R.; Huvos, A.; et al. Mucoepidermoid Carcinoma. Am. J. Surg. Pathol. 2001, 25, 835–845. [Google Scholar] [CrossRef]
- Maiorano, E.; Altini, M.; Favia, G. Clear cell tumours of the salivary glands, jaws and oral mucosa. Semin. Diagn. Pathol. 1997, 14, 203–212. [Google Scholar] [PubMed]
- Sultan, I.; Rodriguez-Galindo, C.; Al-Sharabati, S.; Guzzo, M.; Casanova, M.; Ferrari, A. Salivary gland carcinomas in children and adolescents: A population-based study, with comparison to adult cases. Head Neck 2010, 33, 1476–1481. [Google Scholar] [CrossRef] [PubMed]
- Speight, P.M.; Barrett, A. Salivary gland tumours. Oral Dis. 2002, 8, 229–240. [Google Scholar] [CrossRef] [PubMed]
- Bradley, P.J.; Eisele, D.W. Salivary Gland Neoplasms in Children and Adolescents. Adv. Otorhinolaryngol. 2016, 78, 175–181. [Google Scholar] [CrossRef] [PubMed]
- Ettl, T.; Schwarz-Furlan, S.; Gosau, M.; Reichert, T.E. Salivary gland carcinomas. Oral Maxillofac. Surg. 2012, 16, 267–283. [Google Scholar] [CrossRef]
- Bradley, P.J. Primary malignant parotid epithelial neoplasm. Curr. Opin. Otolaryngol. Head Neck Surg. 2015, 23, 91–98. [Google Scholar] [CrossRef]
- Ba, N.D.D.; Wolter, N.E.; Irace, A.L.; Cunningham, M.J.; Mack, J.W.; Marcus, K.J.; Vargas, S.O.; Perez-Atayde, A.R.; Robson, C.D.; Rahbar, R. Mucoepidermoid carcinoma of the head and neck in children. Int. J. Pediatr. Otorhinolaryngol. 2019, 120, 93–99. [Google Scholar] [CrossRef]
- Chiaravalli, S.; Guzzo, M.; Bisogno, G.; De De Pasquale, M.D.; Migliorati, R.; De Leonardis, F.; Collini, P.; Casanova, M.; Cecchetto, G.; Ferrari, A. Salivary gland carcinomas in children and adolescents: The Italian TREP project experience. Pediatr. Blood Cancer 2014, 61, 1961–1968. [Google Scholar] [CrossRef]
- Schwarz, S.; Stiegler, C.; Müller, M.; Ettl, T.; Brockhoff, G.; Zenk, J.; Agaimy, A. Salivary gland mucoepidermoid carcinoma is a clinically, morphologically and genetically heterogeneous entity: A clinicopathological study of 40 cases with emphasis on grading, histological variants and presence of the t(11;19) translocation. Histopathology 2011, 58, 557–570. [Google Scholar] [CrossRef]
- Pinheiro, J.; Fernandes, M.S.; Pereira, A.R.; Lopes, J.M. Histological Subtypes and Clinical Behavior Evaluation of Salivary Gland Tumors. Acta Med. Port. 2018, 31, 641–647. [Google Scholar] [CrossRef]
- Rooper, L.M. Challenges in Minor Salivary Gland Biopsies: A Practical Approach to Problematic Histologic Patterns. Head Neck Pathol. 2019, 13, 476–484. [Google Scholar] [CrossRef] [PubMed]
- Behboudi, A.; Enlund, F.; Winnes, M.; Andrén, Y.; Nordkvist, A.; Leivo, I.; Flaberg, E.; Szekely, L.; Mäkitie, A.; Grenman, R.; et al. Molecular classification of mucoepidermoid carcinomas—Prognostic significance of theMECT1–MAML2 fusion oncogene. Genes Chromosom. Cancer 2006, 45, 470–481. [Google Scholar] [CrossRef] [PubMed]
- Chiosea, S.I.; Dacic, S.; Nikiforova, M.N.; Seethala, R.R. Prospective testing of mucoepidermoid carcinoma for the MAML2 translocation: Clinical Implications. Laryngoscope 2012, 122, 1690–1694. [Google Scholar] [CrossRef] [PubMed]
- Seethala, R.R.; Dacic, S.; Cieply, K.; Kelly, L.M.; Nikiforova, M.N. A reappraisal of the MECT1/MAML2 translocation in salivary mucoepidermoid carcinomas. Am. J. Surg. Pathol. 2010, 34, 1106–1121. [Google Scholar] [CrossRef] [PubMed]
- Okabe, M.; Miyabe, S.; Nagatsuka, H.; Terada, A.; Hanai, N.; Yokoi, M.; Shimozato, K.; Eimoto, T.; Nakamura, S.; Nagai, N.; et al. MECT1-MAML2 Fusion Transcript Defines a Favorable Subset of Mucoepidermoid Carcinoma. Clin. Cancer Res. 2006, 12, 3902–3907. [Google Scholar] [CrossRef]
- Seethala, R.R.; Chiosea, S.I. MAML2 Status in Mucoepidermoid Carcinoma Can No Longer Be Considered a Prognostic Marker. Am. J. Surg. Pathol. 2016, 40, 1151–1153. [Google Scholar] [CrossRef]
- Saade, R.E.; Bell, D.; Garcia, J.; Roberts, D.; Weber, R. Role of CRTC1/MAML2 Translocation in the Prognosis and Clinical Outcomes of Mucoepidermoid Carcinoma. JAMA Otolaryngol. Head Neck Surg. 2016, 142, 234–240. [Google Scholar] [CrossRef]
- Ishibashi, K.; Ito, Y.; Masaki, A.; Fujii, K.; Beppu, S.; Sakakibara, T.; Takino, H.; Takase, H.; Ijichi, K.; Shimozato, K.; et al. Warthin-like Mucoepidermoid Carcinoma. Am. J. Surg. Pathol. 2015, 39, 1479–1487. [Google Scholar] [CrossRef]
- Bishop, J.A.; Westra, W.H. Ciliated HPV-related Carcinoma. Am. J. Surg. Pathol. 2015, 39, 1591–1595. [Google Scholar] [CrossRef]
- Radkay-Gonzalez, L.; Faquin, W.; McHugh, J.B.; Lewis, J.S.; Tuluc, M.; Seethala, R.R. Ciliated Adenosquamous Carcinoma: Expanding the Phenotypic Diversity of Human Papillomavirus-Associated Tumors. Head Neck Pathol. 2015, 10, 167–175. [Google Scholar] [CrossRef]




| Case # | Age | Sex | Site | Size (cm) | Follow-up (months) |
|---|---|---|---|---|---|
| 1 | 51 | F | Hard palate | 0.6 | 66 |
| 2 | 26 | F | Hard palate | 1.8 | 62 |
| 3 | 20 | M | Soft palate | 1.3 | 88 |
| 4 | 25 | F | Hard palate | 0.7 | 74 |
| 5 | 36 | F | Hard palate | 0.5 | 84 |
| 6 | 35 | F | Cheek | 0.9 | 68 |
| 7 | 34 | F | Hard Palate | 1.0 | 74 |
| 8 | 41 | F | Cheek | 1.2 | 62 |
| 9 | 28 | M | Soft palate | 0.8 | 68 |
| 10 | 46 | F | Hard palate | 1.1 | 62 |
| 11 | 50 | M | Hard palate | 1.8 | 120 |
| 12 | 39 | F | Hard palate | 1.2 | 95 |
| 13 | 45 | F | Retromolar trigone | 1.6 | 66 |
| 14 | 40 | F | Hard palate | 1.2 | 68 |
© 2020 by the authors. Licensee MDPI, Basel, Switzerland. This article is an open access article distributed under the terms and conditions of the Creative Commons Attribution (CC BY) license (http://creativecommons.org/licenses/by/4.0/).
Share and Cite
Capodiferro, S.; Ingravallo, G.; Limongelli, L.; Mastropasqua, M.G.; Tempesta, A.; Favia, G.; Maiorano, E. Intra-Cystic (In Situ) Mucoepidermoid Carcinoma: A Clinico-Pathological Study of 14 Cases. J. Clin. Med. 2020, 9, 1157. https://doi.org/10.3390/jcm9041157
Capodiferro S, Ingravallo G, Limongelli L, Mastropasqua MG, Tempesta A, Favia G, Maiorano E. Intra-Cystic (In Situ) Mucoepidermoid Carcinoma: A Clinico-Pathological Study of 14 Cases. Journal of Clinical Medicine. 2020; 9(4):1157. https://doi.org/10.3390/jcm9041157
Chicago/Turabian StyleCapodiferro, Saverio, Giuseppe Ingravallo, Luisa Limongelli, Mauro Giuseppe Mastropasqua, Angela Tempesta, Gianfranco Favia, and Eugenio Maiorano. 2020. "Intra-Cystic (In Situ) Mucoepidermoid Carcinoma: A Clinico-Pathological Study of 14 Cases" Journal of Clinical Medicine 9, no. 4: 1157. https://doi.org/10.3390/jcm9041157
APA StyleCapodiferro, S., Ingravallo, G., Limongelli, L., Mastropasqua, M. G., Tempesta, A., Favia, G., & Maiorano, E. (2020). Intra-Cystic (In Situ) Mucoepidermoid Carcinoma: A Clinico-Pathological Study of 14 Cases. Journal of Clinical Medicine, 9(4), 1157. https://doi.org/10.3390/jcm9041157

