Conversion Surgery for Advanced Pancreatic Cancer
Abstract
1. Introduction
2. “Neoadjuvant” Therapy for Locally Advanced Pancreatic Cancer
3. Conversion Surgery after Neoadjuvant Therapy for Advanced Pancreatic Cancer
4. Conversion Surgery for Metastatic PDAC
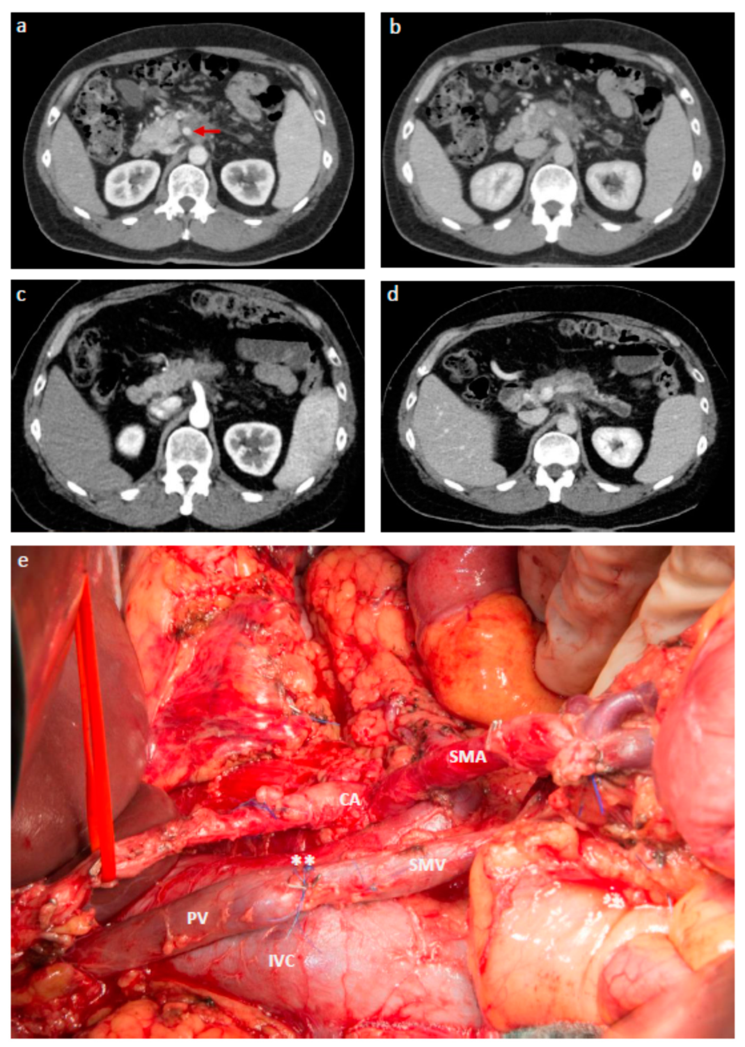
5. Techniques for Conversion Surgery after Neoadjuvant therapy
6. Perioperative Outcome and Pathological Challenges
7. Conclusions
Author Contributions
Funding
Conflicts of Interest
References
- Rahib, L.; Smith, B.D.; Aizenberg, R.; Rosenzweig, A.B.; Fleshman, J.M.; Matrisian, L.M. Projecting cancer incidence and deaths to 2030: The unexpected burden of thyroid, liver, and pancreas cancers in the united states. Cancer Res. 2014, 74, 2913–2921. [Google Scholar] [CrossRef] [PubMed]
- Siegel, R.L.; Miller, K.D.; Jemal, A. Cancer statistics, 2018. CA Cancer J. Clin. 2018, 68, 7–30. [Google Scholar] [CrossRef] [PubMed]
- Bray, F.; Ferlay, J.; Soerjomataram, I.; Siegel, R.L.; Torre, L.A.; Jemal, A. Global cancer statistics 2018: Globocan estimates of incidence and mortality worldwide for 36 cancers in 185 countries. CA Cancer J. Clin. 2018, 68, 394–424. [Google Scholar] [CrossRef] [PubMed]
- Lu, C.; Xu, C.F.; Wan, X.Y.; Zhu, H.T.; Yu, C.H.; Li, Y.M. Screening for pancreatic cancer in familial high-risk individuals: A systematic review. World J. Gastroenterol. 2015, 21, 8678–8686. [Google Scholar] [CrossRef] [PubMed]
- Canto, M.I.; Harinck, F.; Hruban, R.H.; Offerhaus, G.J.; Poley, J.W.; Kamel, I.; Nio, Y.; Schulick, R.S.; Bassi, C.; Kluijt, I.; et al. International cancer of the pancreas screening (caps) consortium summit on the management of patients with increased risk for familial pancreatic cancer. Gut 2013, 62, 339–347. [Google Scholar] [CrossRef] [PubMed]
- Strobel, O.; Neoptolemos, J.; Jager, D.; Buchler, M.W. Optimizing the outcomes of pancreatic cancer surgery. Nat. Rev. Clin. Oncol. 2019, 16, 11–26. [Google Scholar] [CrossRef] [PubMed]
- Neoptolemos, J.P.; Palmer, D.H.; Ghaneh, P.; Psarelli, E.E.; Valle, J.W.; Halloran, C.M.; Faluyi, O.; O′Reilly, D.A.; Cunningham, D.; Wadsley, J.; et al. Comparison of adjuvant gemcitabine and capecitabine with gemcitabine monotherapy in patients with resected pancreatic cancer (espac-4): A multicentre, open-label, randomised, phase 3 trial. Lancet 2017, 389, 1011–1024. [Google Scholar] [CrossRef]
- Uesaka, K.; Boku, N.; Fukutomi, A.; Okamura, Y.; Konishi, M.; Matsumoto, I.; Kaneoka, Y.; Shimizu, Y.; Nakamori, S.; Sakamoto, H.; et al. Adjuvant chemotherapy of s-1 versus gemcitabine for resected pancreatic cancer: A phase 3, open-label, randomised, non-inferiority trial (jaspac 01). Lancet 2016, 388, 248–257. [Google Scholar] [CrossRef]
- Conroy, T.; Hammel, P.; Hebbar, M.; Ben Abdelghani, M.; Wei, A.C.; Raoul, J.L.; Chone, L.; Francois, E.; Artru, P.; Biagi, J.J.; et al. Folfirinox or gemcitabine as adjuvant therapy for pancreatic cancer. N. Engl. J. Med. 2018, 379, 2395–2406. [Google Scholar] [CrossRef] [PubMed]
- Gillen, S.; Schuster, T.; Meyer Zum Buschenfelde, C.; Friess, H.; Kleeff, J. Preoperative/neoadjuvant therapy in pancreatic cancer: A systematic review and meta-analysis of response and resection percentages. PLoS Med. 2010, 7, e1000267. [Google Scholar] [CrossRef] [PubMed]
- Philip, P.A. Locally advanced pancreatic cancer: Where should we go from here? J. Clin. Oncol. 2011, 29, 4066–4068. [Google Scholar] [CrossRef] [PubMed]
- Tempero, M.A.; Malafa, M.P.; Al-Hawary, M.; Asbun, H.; Bain, A.; Behrman, S.W.; Benson, A.B., 3rd; Binder, E.; Cardin, D.B.; Cha, C.; et al. Pancreatic adenocarcinoma, version 2.2017, nccn clinical practice guidelines in oncology. J. Natl. Compr. Cancer Netw. 2017, 15, 1028–1061. [Google Scholar] [CrossRef] [PubMed]
- Callery, M.P.; Chang, K.J.; Fishman, E.K.; Talamonti, M.S.; William Traverso, L.; Linehan, D.C. Pretreatment assessment of resectable and borderline resectable pancreatic cancer: Expert consensus statement. Ann. Surg. Oncol. 2009, 16, 1727–1733. [Google Scholar] [CrossRef] [PubMed]
- Bockhorn, M.; Uzunoglu, F.G.; Adham, M.; Imrie, C.; Milicevic, M.; Sandberg, A.A.; Asbun, H.J.; Bassi, C.; Buchler, M.; Charnley, R.M.; et al. Borderline resectable pancreatic cancer: A consensus statement by the international study group of pancreatic surgery (isgps). Surgery 2014, 155, 977–988. [Google Scholar] [CrossRef] [PubMed]
- Jegatheeswaran, S.; Baltatzis, M.; Jamdar, S.; Siriwardena, A.K. Superior mesenteric artery (sma) resection during pancreatectomy for malignant disease of the pancreas: A systematic review. HPB (Oxford) 2017, 19, 483–490. [Google Scholar] [CrossRef] [PubMed]
- Mollberg, N.; Rahbari, N.N.; Koch, M.; Hartwig, W.; Hoeger, Y.; Buchler, M.W.; Weitz, J. Arterial resection during pancreatectomy for pancreatic cancer: A systematic review and meta-analysis. Ann. Surg. 2011, 254, 882–893. [Google Scholar] [CrossRef] [PubMed]
- Castillo, C.F.F. A changing landscape in pancreatic cancer. Ann. Surg. 2018, 268, 9–10. [Google Scholar] [CrossRef] [PubMed]
- Faris, J.E.; Blaszkowsky, L.S.; McDermott, S.; Guimaraes, A.R.; Szymonifka, J.; Huynh, M.A.; Ferrone, C.R.; Wargo, J.A.; Allen, J.N.; Dias, L.E.; et al. Folfirinox in locally advanced pancreatic cancer: The massachusetts general hospital cancer center experience. Oncologist 2013, 18, 543–548. [Google Scholar] [CrossRef] [PubMed]
- Strobel, O.; Berens, V.; Hinz, U.; Hartwig, W.; Hackert, T.; Bergmann, F.; Debus, J.; Jager, D.; Buchler, M.W.; Werner, J. Resection after neoadjuvant therapy for locally advanced, “unresectable” pancreatic cancer. Surgery 2012, 152, S33–S42. [Google Scholar] [CrossRef] [PubMed]
- Morganti, A.G.; Massaccesi, M.; La Torre, G.; Caravatta, L.; Piscopo, A.; Tambaro, R.; Sofo, L.; Sallustio, G.; Ingrosso, M.; Macchia, G.; et al. A systematic review of resectability and survival after concurrent chemoradiation in primarily unresectable pancreatic cancer. Ann. Surg. Oncol. 2010, 17, 194–205. [Google Scholar] [CrossRef] [PubMed]
- Conroy, T.; Desseigne, F.; Ychou, M.; Bouche, O.; Guimbaud, R.; Becouarn, Y.; Adenis, A.; Raoul, J.L.; Gourgou-Bourgade, S.; de la Fouchardiere, C.; et al. Folfirinox versus gemcitabine for metastatic pancreatic cancer. N. Engl. J. Med. 2011, 364, 1817–1825. [Google Scholar] [CrossRef] [PubMed]
- Suker, M.; Beumer, B.R.; Sadot, E.; Marthey, L.; Faris, J.E.; Mellon, E.A.; El-Rayes, B.F.; Wang-Gillam, A.; Lacy, J.; Hosein, P.J.; et al. Folfirinox for locally advanced pancreatic cancer: A systematic review and patient-level meta-analysis. Lancet Oncol. 2016, 17, 801–810. [Google Scholar] [CrossRef]
- Hackert, T.; Sachsenmaier, M.; Hinz, U.; Schneider, L.; Michalski, C.W.; Springfeld, C.; Strobel, O.; Jager, D.; Ulrich, A.; Buchler, M.W. Locally advanced pancreatic cancer: Neoadjuvant therapy with folfirinox results in resectability in 60% of the patients. Ann. Surg. 2016, 264, 457–463. [Google Scholar] [CrossRef] [PubMed]
- Hosein, P.J.; Macintyre, J.; Kawamura, C.; Maldonado, J.C.; Ernani, V.; Loaiza-Bonilla, A.; Narayanan, G.; Ribeiro, A.; Portelance, L.; Merchan, J.R.; et al. A retrospective study of neoadjuvant folfirinox in unresectable or borderline-resectable locally advanced pancreatic adenocarcinoma. BMC Cancer 2012, 12, 199. [Google Scholar] [CrossRef] [PubMed]
- Boone, B.A.; Steve, J.; Krasinskas, A.M.; Zureikat, A.H.; Lembersky, B.C.; Gibson, M.K.; Stoller, R.G.; Zeh, H.J.; Bahary, N. Outcomes with folfirinox for borderline resectable and locally unresectable pancreatic cancer. J. Surg. Oncol. 2013, 108, 236–241. [Google Scholar] [CrossRef] [PubMed]
- Blazer, M.; Wu, C.; Goldberg, R.M.; Phillips, G.; Schmidt, C.; Muscarella, P.; Wuthrick, E.; Williams, T.M.; Reardon, J.; Ellison, E.C.; et al. Neoadjuvant modified (m) folfirinox for locally advanced unresectable (lapc) and borderline resectable (brpc) adenocarcinoma of the pancreas. Ann. Surg. Oncol. 2015, 22, 1153–1159. [Google Scholar] [CrossRef] [PubMed]
- Nanda, R.H.; El-Rayes, B.; Maithel, S.K.; Landry, J. Neoadjuvant modified folfirinox and chemoradiation therapy for locally advanced pancreatic cancer improves resectability. J. Surg. Oncol. 2015, 111, 1028–1034. [Google Scholar] [CrossRef] [PubMed]
- Nitsche, U.; Wenzel, P.; Siveke, J.T.; Braren, R.; Holzapfel, K.; Schlitter, A.M.; Stoss, C.; Kong, B.; Esposito, I.; Erkan, M.; et al. Resectability after first-line folfirinox in initially unresectable locally advanced pancreatic cancer: A single-center experience. Ann. Surg. Oncol. 2015, 22 (Suppl. 3), S1212–S1220. [Google Scholar] [CrossRef] [PubMed]
- Versteijne, E.; Vogel, J.A.; Besselink, M.G.; Busch, O.R.C.; Wilmink, J.W.; Daams, J.G.; van Eijck, C.H.J.; Groot Koerkamp, B.; Rasch, C.R.N.; van Tienhoven, G.; et al. Meta-analysis comparing upfront surgery with neoadjuvant treatment in patients with resectable or borderline resectable pancreatic cancer. Br. J. Surg. 2018, 105, 946–958. [Google Scholar] [CrossRef] [PubMed]
- Michelakos, T.; Pergolini, I.; Castillo, C.F.; Honselmann, K.C.; Cai, L.; Deshpande, V.; Wo, J.Y.; Ryan, D.P.; Allen, J.N.; Blaszkowsky, L.S.; et al. Predictors of resectability and survival in patients with borderline and locally advanced pancreatic cancer who underwent neoadjuvant treatment with folfirinox. Ann. Surg. 2019, 269, 733–740. [Google Scholar] [CrossRef] [PubMed]
- Balaban, E.P.; Mangu, P.B.; Khorana, A.A.; Shah, M.A.; Mukherjee, S.; Crane, C.H.; Javle, M.M.; Eads, J.R.; Allen, P.; Ko, A.H.; et al. Locally advanced, unresectable pancreatic cancer: American society of clinical oncology clinical practice guideline. J. Clin. Oncol. 2016, 34, 2654–2668. [Google Scholar] [CrossRef] [PubMed]
- Banafea, O.; Mghanga, F.P.; Zhao, J.; Zhao, R.; Zhu, L. Endoscopic ultrasonography with fine-needle aspiration for histological diagnosis of solid pancreatic masses: A meta-analysis of diagnostic accuracy studies. BMC Gastroenterol. 2016, 16, 108. [Google Scholar] [CrossRef] [PubMed]
- Hartwig, W.; Strobel, O.; Hinz, U.; Fritz, S.; Hackert, T.; Roth, C.; Buchler, M.W.; Werner, J. Ca19-9 in potentially resectable pancreatic cancer: Perspective to adjust surgical and perioperative therapy. Ann. Surg. Oncol. 2013, 20, 2188–2196. [Google Scholar] [CrossRef] [PubMed]
- Tsai, S.; George, B.; Wittmann, D.; Ritch, P.S.; Krepline, A.N.; Aldakkak, M.; Barnes, C.A.; Christians, K.K.; Dua, K.; Griffin, M.; et al. Importance of normalization of ca19-9 levels following neoadjuvant therapy in patients with localized pancreatic cancer. Ann. Surg. 2018. [Google Scholar] [CrossRef] [PubMed]
- Aoki, S.; Motoi, F.; Murakami, Y.; Sho, M.; Satoi, S.; Honda, G.; Uemura, K.; Okada, K.I.; Matsumoto, I.; Nagai, M.; et al. Decreased serum carbohydrate antigen 19-9 levels after neoadjuvant therapy predict a better prognosis for patients with pancreatic adenocarcinoma: A multicenter case-control study of 240 patients. BMC Cancer 2019, 19, 252. [Google Scholar] [CrossRef] [PubMed]
- Dolejs, S.; Zarzaur, B.L.; Zyromski, N.J.; Pitt, H.A.; Riall, T.S.; Hall, B.L.; Behrman, S.W. Does hyperbilirubinemia contribute to adverse patient outcomes following pancreatoduodenectomy? J. Gastrointest. Surg. 2017, 21, 647–656. [Google Scholar] [CrossRef] [PubMed]
- Oken, M.M.; Creech, R.H.; Tormey, D.C.; Horton, J.; Davis, T.E.; McFadden, E.T.; Carbone, P.P. Toxicity and response criteria of the eastern cooperative oncology group. Am. J. Clin. Oncol. 1982, 5, 649–655. [Google Scholar] [CrossRef] [PubMed]
- Cunningham, D.; Chau, I.; Stocken, D.D.; Valle, J.W.; Smith, D.; Steward, W.; Harper, P.G.; Dunn, J.; Tudur-Smith, C.; West, J.; et al. Phase iii randomized comparison of gemcitabine versus gemcitabine plus capecitabine in patients with advanced pancreatic cancer. J. Clin. Oncol. 2009, 27, 5513–5518. [Google Scholar] [CrossRef] [PubMed]
- Stein, S.M.; James, E.S.; Deng, Y.; Cong, X.; Kortmansky, J.S.; Li, J.; Staugaard, C.; Indukala, D.; Boustani, A.M.; Patel, V.; et al. Final analysis of a phase ii study of modified folfirinox in locally advanced and metastatic pancreatic cancer. Br. J. Cancer 2016, 114, 737–743. [Google Scholar] [CrossRef] [PubMed]
- Burris, H.A., 3rd; Moore, M.J.; Andersen, J.; Green, M.R.; Rothenberg, M.L.; Modiano, M.R.; Cripps, M.C.; Portenoy, R.K.; Storniolo, A.M.; Tarassoff, P.; et al. Improvements in survival and clinical benefit with gemcitabine as first-line therapy for patients with advanced pancreas cancer: A randomized trial. J. Clin. Oncol. 1997, 15, 2403–2413. [Google Scholar] [CrossRef] [PubMed]
- Ueno, H.; Ioka, T.; Ikeda, M.; Ohkawa, S.; Yanagimoto, H.; Boku, N.; Fukutomi, A.; Sugimori, K.; Baba, H.; Yamao, K.; et al. Randomized phase iii study of gemcitabine plus s-1, s-1 alone, or gemcitabine alone in patients with locally advanced and metastatic pancreatic cancer in japan and taiwan: Gest study. J. Clin. Oncol. 2013, 31, 1640–1648. [Google Scholar] [CrossRef] [PubMed]
- Kleeff, J.; Korc, M.; Apte, M.; La Vecchia, C.; Johnson, C.D.; Biankin, A.V.; Neale, R.E.; Tempero, M.; Tuveson, D.A.; Hruban, R.H.; et al. Pancreatic cancer. Nat. Rev. Dis. Prim. 2016, 2, 16022. [Google Scholar] [CrossRef] [PubMed]
- Berger, A.K.; Haag, G.M.; Ehmann, M.; Byl, A.; Jager, D.; Springfeld, C. Palliative chemotherapy for pancreatic adenocarcinoma: A retrospective cohort analysis of efficacy and toxicity of the folfirinox regimen focusing on the older patient. BMC Gastroenterol. 2017, 17, 143. [Google Scholar] [CrossRef] [PubMed]
- Satoi, S.; Yamaue, H.; Kato, K.; Takahashi, S.; Hirono, S.; Takeda, S.; Eguchi, H.; Sho, M.; Wada, K.; Shinchi, H.; et al. Role of adjuvant surgery for patients with initially unresectable pancreatic cancer with a long-term favorable response to non-surgical anti-cancer treatments: Results of a project study for pancreatic surgery by the japanese society of hepato-biliary-pancreatic surgery. J. Hepatobiliary Pancreat. Sci. 2013, 20, 590–600. [Google Scholar] [PubMed]
- Truty, M.J.; Kendrick, M.L.; Nagorney, D.M.; Smoot, R.L.; Cleary, S.P.; Graham, R.P.; Goenka, A.H.; Hallemeier, C.L.; Haddock, M.G.; Harmsen, W.S.; et al. Factors predicting response, perioperative outcomes, and survival following total neoadjuvant therapy for borderline/locally advanced pancreatic cancer. Ann. Surg. 2019. [Google Scholar] [CrossRef] [PubMed]
- Cohen, J.D.; Li, L.; Wang, Y.; Thoburn, C.; Afsari, B.; Danilova, L.; Douville, C.; Javed, A.A.; Wong, F.; Mattox, A.; et al. Detection and localization of surgically resectable cancers with a multi-analyte blood test. Science 2018, 359, 926–930. [Google Scholar] [CrossRef] [PubMed]
- Brychta, N.; Krahn, T.; von Ahsen, O. Detection of kras mutations in circulating tumor DNA by digital pcr in early stages of pancreatic cancer. Clin. Chem. 2016, 62, 1482–1491. [Google Scholar] [CrossRef] [PubMed]
- Lee, B.; Lipton, L.; Cohen, J.; Tie, J.; Javed, A.A.; Li, L.; Goldstein, D.; Burge, M.; Cooray, P.; Nagrial, A.; et al. Circulating tumor DNA as a potential marker of adjuvant chemotherapy benefit following surgery for localised pancreatic cancer. Ann. Oncol. 2019, 30, 1472–1478. [Google Scholar] [CrossRef] [PubMed]
- Huguet, F.; Andre, T.; Hammel, P.; Artru, P.; Balosso, J.; Selle, F.; Deniaud-Alexandre, E.; Ruszniewski, P.; Touboul, E.; Labianca, R.; et al. Impact of chemoradiotherapy after disease control with chemotherapy in locally advanced pancreatic adenocarcinoma in gercor phase ii and iii studies. J. Clin. Oncol. 2007, 25, 326–331. [Google Scholar] [CrossRef] [PubMed]
- Hammel, P.; Huguet, F.; van Laethem, J.L.; Goldstein, D.; Glimelius, B.; Artru, P.; Borbath, I.; Bouche, O.; Shannon, J.; Andre, T.; et al. Effect of chemoradiotherapy vs. chemotherapy on survival in patients with locally advanced pancreatic cancer controlled after 4 months of gemcitabine with or without erlotinib: The lap07 randomized clinical trial. JAMA 2016, 315, 1844–1853. [Google Scholar] [CrossRef] [PubMed]
- Ferrone, C.R.; Marchegiani, G.; Hong, T.S.; Ryan, D.P.; Deshpande, V.; McDonnell, E.I.; Sabbatino, F.; Santos, D.D.; Allen, J.N.; Blaszkowsky, L.S.; et al. Radiological and surgical implications of neoadjuvant treatment with folfirinox for locally advanced and borderline resectable pancreatic cancer. Ann. Surg. 2015, 261, 12–17. [Google Scholar] [CrossRef] [PubMed]
- Cassinotto, C.; Cortade, J.; Belleannee, G.; Lapuyade, B.; Terrebonne, E.; Vendrely, V.; Laurent, C.; Sa-Cunha, A. An evaluation of the accuracy of ct when determining resectability of pancreatic head adenocarcinoma after neoadjuvant treatment. Eur. J. Radiol. 2013, 82, 589–593. [Google Scholar] [CrossRef] [PubMed]
- Bickenbach, K.A.; Gonen, M.; Tang, L.H.; O’Reilly, E.; Goodman, K.; Brennan, M.F.; D′Angelica, M.I.; Dematteo, R.P.; Fong, Y.; Jarnagin, W.R.; et al. Downstaging in pancreatic cancer: A matched analysis of patients resected following systemic treatment of initially locally unresectable disease. Ann. Surg. Oncol. 2012, 19, 1663–1669. [Google Scholar] [CrossRef] [PubMed]
- Janssen, Q.P.; Buettner, S.; Suker, M.; Beumer, B.R.; Addeo, P.; Bachellier, P.; Bahary, N.; Bekaii-Saab, T.; Bali, M.A.; Besselink, M.G.; et al. Neoadjuvant folfirinox in patients with borderline resectable pancreatic cancer: A systematic review and patient-level meta-analysis. J. Natl. Cancer Inst. 2019. [Google Scholar] [CrossRef] [PubMed]
- Gemenetzis, G.; Groot, V.P.; Blair, A.B.; Laheru, D.A.; Zheng, L.; Narang, A.K.; Fishman, E.K.; Hruban, R.H.; Yu, J.; Burkhart, R.A.; et al. Survival in locally advanced pancreatic cancer after neoadjuvant therapy and surgical resection. Ann. Surg. 2018, 270, 340–347. [Google Scholar] [CrossRef] [PubMed]
- Murphy, J.E.; Wo, J.Y.; Ryan, D.P.; Clark, J.W.; Jiang, W.; Yeap, B.Y.; Drapek, L.C.; Ly, L.; Baglini, C.V.; Blaszkowsky, L.S.; et al. Total neoadjuvant therapy with folfirinox in combination with losartan followed by chemoradiotherapy for locally advanced pancreatic cancer: A phase 2 clinical trial. JAMA Oncol. 2019, 5, 1020–1027. [Google Scholar] [CrossRef] [PubMed]
- Maggino, L.; Malleo, G.; Marchegiani, G.; Viviani, E.; Nessi, C.; Ciprani, D.; Esposito, A.; Landoni, L.; Casetti, L.; Tuveri, M.; et al. Outcomes of primary chemotherapy for borderline resectable and locally advanced pancreatic ductal adenocarcinoma. JAMA Surg. 2019. [Google Scholar] [CrossRef] [PubMed]
- Ch′ang, H.J.; Lin, Y.L.; Wang, H.P.; Chiu, Y.F.; Chang, M.C.; Hsu, C.H.; Tien, Y.W.; Chen, J.S.; Hsieh, R.K.; Lin, P.W.; et al. Induction chemotherapy with gemcitabine, oxaliplatin, and 5-fluorouracil/leucovorin followed by concomitant chemoradiotherapy in patients with locally advanced pancreatic cancer: A taiwan cooperative oncology group phase ii study. Int. J. Radiat. Oncol. Biol. Phys. 2011, 81, e749–e757. [Google Scholar] [CrossRef] [PubMed]
- Mukherjee, S.; Hurt, C.N.; Bridgewater, J.; Falk, S.; Cummins, S.; Wasan, H.; Crosby, T.; Jephcott, C.; Roy, R.; Radhakrishna, G.; et al. Gemcitabine-based or capecitabine-based chemoradiotherapy for locally advanced pancreatic cancer (scalop): A multicentre, randomised, phase 2 trial. Lancet Oncol. 2013, 14, 317–326. [Google Scholar] [CrossRef]
- Youl, M.; Hashem, S.; Brade, A.; Cummings, B.; Dawson, L.A.; Gallinger, S.; Hedley, D.; Jiang, H.; Kim, J.; Krzyzanowska, M.K.; et al. Induction gemcitabine plus concurrent gemcitabine and radiotherapy for locally advanced unresectable or resected pancreatic cancer. Clin. Oncol. (R. Coll. Radiol.) 2014, 26, 203–209. [Google Scholar] [CrossRef] [PubMed]
- Sadot, E.; Doussot, A.; O’Reilly, E.M.; Lowery, M.A.; Goodman, K.A.; Do, R.K.; Tang, L.H.; Gonen, M.; D’Angelica, M.I.; DeMatteo, R.P.; et al. Folfirinox induction therapy for stage 3 pancreatic adenocarcinoma. Ann. Surg. Oncol. 2015, 22, 3512–3521. [Google Scholar] [CrossRef] [PubMed]
- Marthey, L.; Sa-Cunha, A.; Blanc, J.F.; Gauthier, M.; Cueff, A.; Francois, E.; Trouilloud, I.; Malka, D.; Bachet, J.B.; Coriat, R.; et al. Folfirinox for locally advanced pancreatic adenocarcinoma: Results of an ageo multicenter prospective observational cohort. Ann. Surg. Oncol. 2015, 22, 295–301. [Google Scholar] [CrossRef] [PubMed]
- Khushman, M.; Dempsey, N.; Maldonado, J.C.; Loaiza-Bonilla, A.; Velez, M.; Carcas, L.; Dammrich, D.; Hurtado-Cordovi, J.; Parajuli, R.; Pollack, T.; et al. Full dose neoadjuvant folfirinox is associated with prolonged survival in patients with locally advanced pancreatic adenocarcinoma. Pancreatology 2015, 15, 667–673. [Google Scholar] [CrossRef] [PubMed]
- Reni, M.; Zanon, S.; Balzano, G.; Passoni, P.; Pircher, C.; Chiaravalli, M.; Fugazza, C.; Ceraulo, D.; Nicoletti, R.; Arcidiacono, P.G.; et al. A randomised phase 2 trial of nab-paclitaxel plus gemcitabine with or without capecitabine and cisplatin in locally advanced or borderline resectable pancreatic adenocarcinoma. Eur. J. Cancer 2018, 102, 95–102. [Google Scholar] [CrossRef] [PubMed]
- Macedo, F.I.; Ryon, E.; Maithel, S.K.; Lee, R.M.; Kooby, D.A.; Fields, R.C.; Hawkins, W.G.; Williams, G.; Maduekwe, U.; Kim, H.J.; et al. Survival outcomes associated with clinical and pathological response following neoadjuvant folfirinox or gemcitabine/nab-paclitaxel chemotherapy in resected pancreatic cancer. Ann. Surg. 2019, 270, 400–413. [Google Scholar] [CrossRef] [PubMed]
- Kirkegard, J.; Aahlin, E.K.; Al-Saiddi, M.; Bratlie, S.O.; Coolsen, M.; de Haas, R.J.; den Dulk, M.; Fristrup, C.; Harrison, E.M.; Mortensen, M.B.; et al. Multicentre study of multidisciplinary team assessment of pancreatic cancer resectability and treatment allocation. Br. J. Surg. 2019, 106, 756–764. [Google Scholar] [CrossRef] [PubMed]
- Strobel, O.; Buchler, M.W. Pancreatic cancer: Clinical practice guidelines—What is the evidence? Nat. Rev. Clin. Oncol. 2016, 13, 593–594. [Google Scholar] [CrossRef] [PubMed]
- Wright, G.P.; Poruk, K.E.; Zenati, M.S.; Steve, J.; Bahary, N.; Hogg, M.E.; Zuriekat, A.H.; Wolfgang, C.L.; Zeh, H.J., 3rd; Weiss, M.J. Primary tumor resection following favorable response to systemic chemotherapy in stage iv pancreatic adenocarcinoma with synchronous metastases: A bi-institutional analysis. J. Gastrointest. Surg. 2016, 20, 1830–1835. [Google Scholar] [CrossRef] [PubMed]
- Frigerio, I.; Regi, P.; Giardino, A.; Scopelliti, F.; Girelli, R.; Bassi, C.; Gobbo, S.; Martini, P.T.; Capelli, P.; D’Onofrio, M.; et al. Downstaging in stage iv pancreatic cancer: A new population eligible for surgery? Ann. Surg. Oncol. 2017, 24, 2397–2403. [Google Scholar] [CrossRef] [PubMed]
- Satoi, S.; Fujii, T.; Yanagimoto, H.; Motoi, F.; Kurata, M.; Takahara, N.; Yamada, S.; Yamamoto, T.; Mizuma, M.; Honda, G.; et al. Multicenter phase ii study of intravenous and intraperitoneal paclitaxel with s-1 for pancreatic ductal adenocarcinoma patients with peritoneal metastasis. Ann. Surg. 2017, 265, 397–401. [Google Scholar] [CrossRef] [PubMed]
- Niesen, W.; Hank, T.; Buechler, M.; Strobel, O. Local radicality and survival outcome of pancreatic cancer surgery. Ann. Gastroenterol. Surg. 2019, 1–12. [Google Scholar] [CrossRef] [PubMed]
- Nakao, A.; Takagi, H. Isolated pancreatectomy for pancreatic head carcinoma using catheter bypass of the portal vein. Hepatogastroenterology 1993, 40, 426–429. [Google Scholar] [PubMed]
- Nakao, A. The mesenteric approach in pancreatoduodenectomy. Dig. Surg. 2016, 33, 308–313. [Google Scholar] [CrossRef] [PubMed]
- Hirono, S.; Kawai, M.; Okada, K.I.; Miyazawa, M.; Shimizu, A.; Kitahata, Y.; Ueno, M.; Shimokawa, T.; Nakao, A.; Yamaue, H. Mesenteric approach during pancreaticoduodenectomy for pancreatic ductal adenocarcinoma. Ann. Gastroenterol. Surg. 2017, 1, 208–218. [Google Scholar] [CrossRef] [PubMed]
- Weitz, J.; Rahbari, N.; Koch, M.; Buchler, M.W. The “artery first” approach for resection of pancreatic head cancer. J. Am. Coll. Surg. 2010, 210, e1–e4. [Google Scholar] [CrossRef] [PubMed]
- Ironside, N.; Barreto, S.G.; Loveday, B.; Shrikhande, S.V.; Windsor, J.A.; Pandanaboyana, S. Meta-analysis of an artery-first approach versus standard pancreatoduodenectomy on perioperative outcomes and survival. Br. J. Surg. 2018, 105, 628–636. [Google Scholar] [CrossRef] [PubMed]
- Hirono, S.; Kawai, M.; Okada, K.I.; Fujii, T.; Sho, M.; Satoi, S.; Amano, R.; Eguchi, H.; Mataki, Y.; Nakamura, M.; et al. Maple-pd trial (mesenteric approach vs. Conventional approach for pancreatic cancer during pancreaticoduodenectomy): Study protocol for a multicenter randomized controlled trial of 354 patients with pancreatic ductal adenocarcinoma. Trials 2018, 19, 613. [Google Scholar] [CrossRef] [PubMed]
- Hackert, T.; Strobel, O.; Michalski, C.W.; Mihaljevic, A.L.; Mehrabi, A.; Muller-Stich, B.; Berchtold, C.; Ulrich, A.; Buchler, M.W. The triangle operation-radical surgery after neoadjuvant treatment for advanced pancreatic cancer: A single arm observational study. HPB 2017, 19, 1001–1007. [Google Scholar] [CrossRef] [PubMed]
- Inoue, Y.; Saiura, A.; Yoshioka, R.; Ono, Y.; Takahashi, M.; Arita, J.; Takahashi, Y.; Koga, R. Pancreatoduodenectomy with systematic mesopancreas dissection using a supracolic anterior artery-first approach. Ann. Surg. 2015, 262, 1092–1101. [Google Scholar] [CrossRef] [PubMed]
- Klompmaker, S.; van Hilst, J.; Gerritsen, S.L.; Adham, M.; Teresa Albiol Quer, M.; Bassi, C.; Berrevoet, F.; Boggi, U.; Busch, O.R.; Cesaretti, M.; et al. Outcomes after distal pancreatectomy with celiac axis resection for pancreatic cancer: A pan-european retrospective cohort study. Ann. Surg. Oncol. 2018, 25, 1440–1447. [Google Scholar] [CrossRef] [PubMed]
- Klompmaker, S.; Peters, N.A.; van Hilst, J.; Bassi, C.; Boggi, U.; Busch, O.R.; Niesen, W.; Van Gulik, T.M.; Javed, A.A.; Kleeff, J.; et al. Outcomes and risk score for distal pancreatectomy with celiac axis resection (dp-car): An international multicenter analysis. Ann. Surg. Oncol. 2019, 26, 772–781. [Google Scholar] [CrossRef] [PubMed]
- Yoshitomi, H.; Sakai, N.; Kagawa, S.; Takano, S.; Ueda, A.; Kato, A.; Furukawa, K.; Takayashiki, T.; Kuboki, S.; Miyzaki, M.; et al. Feasibility and safety of distal pancreatectomy with en bloc celiac axis resection (dp-car) combined with neoadjuvant therapy for borderline resectable and unresectable pancreatic body/tail cancer. Langenbecks Arch. Surg. 2019, 404, 451–458. [Google Scholar] [CrossRef] [PubMed]
- Takasaka, I.; Kawai, N.; Sato, M.; Tanihata, H.; Sonomura, T.; Minamiguchi, H.; Nakai, M.; Ikoma, A.; Nakata, K.; Sanda, H. Preoperative microcoil embolization of the common hepatic artery for pancreatic body cancer. World J. Gastroenterol. 2012, 18, 1940–1945. [Google Scholar] [CrossRef] [PubMed]
- Verma, V.; Li, J.; Lin, C. Neoadjuvant therapy for pancreatic cancer: Systematic review of postoperative morbidity, mortality, and complications. Am. J. Clin. Oncol. 2016, 39, 302–313. [Google Scholar] [CrossRef] [PubMed]
- Klaiber, U.; Schnaidt, E.S.; Hinz, U.; Gaida, M.M.; Heger, U.; Hank, T.; Strobel, O.; Neoptolemos, J.P.; Mihaljevic, A.L.; Buchler, M.W.; et al. Prognostic factors of survival after neoadjuvant treatment and resection for initially unresectable pancreatic cancer. Ann. Surg. 2019. [Google Scholar] [CrossRef] [PubMed]
- Blair, A.B.; Rosati, L.M.; Rezaee, N.; Gemenetzis, G.; Zheng, L.; Hruban, R.H.; Cameron, J.L.; Weiss, M.J.; Wolfgang, C.L.; Herman, J.M.; et al. Postoperative complications after resection of borderline resectable and locally advanced pancreatic cancer: The impact of neoadjuvant chemotherapy with conventional radiation or stereotactic body radiation therapy. Surgery 2018, 163, 1090–1096. [Google Scholar] [CrossRef] [PubMed]
- He, J.; Blair, A.B.; Groot, V.P.; Javed, A.A.; Burkhart, R.A.; Gemenetzis, G.; Hruban, R.H.; Waters, K.M.; Poling, J.; Zheng, L.; et al. Is a pathological complete response following neoadjuvant chemoradiation associated with prolonged survival in patients with pancreatic cancer? Ann. Surg. 2018, 268, 1–8. [Google Scholar] [CrossRef] [PubMed]
- Marchegiani, G.; Andrianello, S.; Nessi, C.; Sandini, M.; Maggino, L.; Malleo, G.; Paiella, S.; Polati, E.; Bassi, C.; Salvia, R. Neoadjuvant therapy versus upfront resection for pancreatic cancer: The actual spectrum and clinical burden of postoperative complications. Ann. Surg. Oncol. 2018, 25, 626–637. [Google Scholar] [CrossRef] [PubMed]
- Hank, T.; Sandini, M.; Ferrone, C.R.; Rodrigues, C.; Weniger, M.; Qadan, M.; Warshaw, A.L.; Lillemoe, K.D.; Fernandez-Del Castillo, C. Association between pancreatic fistula and long-term survival in the era of neoadjuvant chemotherapy. JAMA Surg. 2019. [Google Scholar] [CrossRef] [PubMed]
- Hartwig, W.; Hackert, T.; Hinz, U.; Gluth, A.; Bergmann, F.; Strobel, O.; Buchler, M.W.; Werner, J. Pancreatic cancer surgery in the new millennium: Better prediction of outcome. Ann. Surg. 2011, 254, 311–319. [Google Scholar] [CrossRef] [PubMed]
- Strobel, O.; Hinz, U.; Gluth, A.; Hank, T.; Hackert, T.; Bergmann, F.; Werner, J.; Buchler, M.W. Pancreatic adenocarcinoma: Number of positive nodes allows to distinguish several n categories. Ann. Surg. 2015, 261, 961–969. [Google Scholar] [CrossRef] [PubMed]
- Strobel, O.; Hank, T.; Hinz, U.; Bergmann, F.; Schneider, L.; Springfeld, C.; Jager, D.; Schirmacher, P.; Hackert, T.; Buchler, M.W. Pancreatic cancer surgery: The new r-status counts. Ann. Surg. 2017, 265, 565–573. [Google Scholar] [CrossRef] [PubMed]
- Hank, T.; Hinz, U.; Tarantino, I.; Kaiser, J.; Niesen, W.; Bergmann, F.; Hackert, T.; Buchler, M.W.; Strobel, O. Validation of at least 1 mm as cut-off for resection margins for pancreatic adenocarcinoma of the body and tail. Br. J. Surg. 2018, 105, 1171–1181. [Google Scholar] [CrossRef] [PubMed]
- Kalimuthu, S.N.; Serra, S.; Dhani, N.; Chetty, R. The spectrum of histopathological changes encountered in pancreatectomy specimens after neoadjuvant chemoradiation, including subtle and less-well-recognised changes. J. Clin. Pathol. 2016, 69, 463–471. [Google Scholar] [CrossRef] [PubMed]
- Verbeke, C.; Haberle, L.; Lenggenhager, D.; Esposito, I. Pathology assessment of pancreatic cancer following neoadjuvant treatment: Time to move on. Pancreatology 2018, 18, 467–476. [Google Scholar] [CrossRef] [PubMed]
- Verbeke, C.; Lohr, M.; Karlsson, J.S.; Del Chiaro, M. Pathology reporting of pancreatic cancer following neoadjuvant therapy: Challenges and uncertainties. Cancer Treat. Rev. 2015, 41, 17–26. [Google Scholar] [CrossRef] [PubMed]
- Perri, G.; Prakash, L.; Wang, H.; Bhosale, P.; Varadhachary, G.R.; Wolff, R.; Fogelman, D.; Overman, M.; Pant, S.; Javle, M.; et al. Radiographic and serologic predictors of pathologic major response to preoperative therapy for pancreatic cancer. Ann. Surg. 2019. [Google Scholar] [CrossRef] [PubMed]


| Author | Year | Study Design | Patients undergoing NAT | Patients undergoing exploration | Study period | BR | LAPC | M1 | NAT Protocol | Cycles NAT (n) | Duration NAT § | Progressive Disease | Conversion/Resection Rate | Extended Resection | R0-rate | Median OS * |
|---|---|---|---|---|---|---|---|---|---|---|---|---|---|---|---|---|
| Chang [58] | 2011 | Uni-centric, prospective, Phase II | 50 # | NA | 2004–2008 | 4% | 96% | 0% | Gem-5-FU, GEM-RT | 6 | - | 28% | 8% # | NA | - | 14.5 months E |
| Mukherjee [59] | 2013 | Multi-centric, prospective, Phase II | 74 # | NA | 2009–2011 | 0% | 100% | 0% | GEM-RT, CAP-RT | - | 12 | - | 6.7% # | NA | 100% | 14.6 months E |
| Youl [60] | 2014 | Uni-centric, retrospective | 90 # | NA | 2001–2009 | 18% | 82% | 0% | GEM+ GEM-RT | 6 | - | 23% | 15.5% # 1.3% (LAPC) | NA | 14.2% | 12.7 months E 18.2 months S |
| Sadot [61] | 2015 | Uni-centric, retrospective | 101 # | 35 (34.7) | 2010–2013 | 0% | 100% | 0% | FFX +/-Chemo-RT | 6 | 13 | 5% | 31% # | NA | 55% | 25 months E not reached S |
| Marthey [62] | 2015 | Multi-centric, prospective | 77 # | NA | 2010–2012 | 0% | 100% | 0% | FFX +/-Chemo-RT | 5 | - | 16% | 36% # | NA | 89% | 22 months E 24.9 months S |
| Ferrone [51] | 2015 | Uni-centric, retrospective | NA | 47 | 2011–2014 | 37.5% | 62.5% | 0% | FFX +/-Chemo-RT | 8 | - | - | 85.1% | 12.5% (venous resection) | 92% | 34 months E |
| Hackert [23] | 2016 | Uni-centric, retrospective | NA | 575 | 2001–2015 | 0% | 76.5% | 23.5% | FFX, GEM +/-RT, 5-FU | - | 20 (GEM) 28 (FFX) | - | 50.8% † 61% (FFX) 48% (GEM) | 33% (venous, arterial, MVR) | 23.6% | 22.5 months (FFX) S 21.2 months (GEM) S 13.5 months (non-resected) |
| Khushman [63] | 2016 | Bi-centric, retrospective | 51 # | NA | 2008–2013 | 22% | 78% | 0% | FFX +/-Chemo-RT | 8 | - | 4% | 22% # | NA | 95% | 35.4 months E |
| Hammel [50] | 2016 | Multi-centric, prospective, Phase III | 449 # | NA | 2008–2011 | 0% | 100% | 0% | Gem +/-Erlotinib + GEM+/-RT | - | 16 + 8 | - | 4% # | NA | 61% | 12.8 months E 30.9 months S |
| Michelakos [30] | 2017 | Uni-centric, retrospective | NA | 141 | 2011–2016 | 49% | 51% | 0% | FFX +/-Chemo-RT | 8 | - | - | 78% | NA | 81% | 34.2 months E 37.7 months S |
| Gemenetzis [55] | 2018 | Uni-centric, retrospective | 461 # | 116 (28%) | 2013–2017 | 0% | 100% | 0% | FFX, FFX-GEM, GEM +/-RT | - | 20 | 6% | 20% # 63% (FFX) 17% (FFX-GEM) 20% (GEM) | 27% (DP-CAR) | 89% | 35.3 months S 16.2 months (non-resected) |
| Reni [64] | 2018 | Multi-centric, prospective, Phase II | 54 # | NA | 2014–2016 | 38% (PAXG) 54% (AG) | 62% (PAXG) 46% (AG) | 0% | AG, PAXG | 5 | 24 | 0% (PAXG) 21% (AG) | 0% (LAPC) # 31% (BR, PAXG) 32% (BR, AG) | 23.5% (venous resection) | 53% | 19.1 months (PAXG) E 20.7 months (AG) E |
| Macedo [65] | 2019 | Multi-centric, retrospective | NA | NA | 2010–2016 | 46.4% | 25.5% | 0% | FFX, Gem+ Nab-Placitaxel | 5 (FFX)3 (Gem) | - | - | Reports only resected patients (n = 274) | 34.7% (venous resection) | 82.5% | 30.1 months BR S 33.1 months LAPC S |
| Murphy [56] | 2019 | Uni-centric, prospective, Phase II | 49 # | 42 (86%) | 2013–2018 | 0% | 100% | 0% | FFX+ Losartan+/-Chemo-RT | 8 | - | 10% | 69% # | 14.7%(venous) arterial resection) | 88% | 31.4 months E 33 months S |
| Maggino [57] | 2019 | Uni-centric, prospective | 680 # | 147 (23.9%) | 2013–2015 | 39.3% | 60.7% | 0% | FFX, Gem+ Nab-Placitaxel, GEMOX, GEM +/-RT | 6 | - | 38% | 15.1% # 9% (LAPC) 24.1% (BR) | 27.8% (venous, arterial resection) | 57.8% | 12.8 months E 35.4 months BR S 41.8 months LAPC S |
| Author | Year | Study Design | Patients Undergoing NAT | Patients Undergoing exploration | Study Period | HEP | PUL | PER | NAT Protocol | Cycles NAT (n) | Duration NAT § | Progressive Disease | Conversion/Resection Rate | Extended Resection | R0-rate | Median OS |
|---|---|---|---|---|---|---|---|---|---|---|---|---|---|---|---|---|
| Wright [68] | 2016 | Bi-centric, retrospective | 1147 # | NA | 2008–2013 | 69% | 26% | 8% | FFX, Gem +/- RT | 9 | - | - | 2% # | 47.8% (Metastatic resection *, RFA $) 13% (venous resection) | 91.3% | 34.1 months S |
| Satoi [70] | 2016 | Multi-centric, Prospective, Phase II | 33 # | NA | 2012–2015 | 0% | 0% | 100% | Paclitaxel i.v./i.p, S1 oral | - | 32.5 | - | 24% # | 62.5% (venous, arterial resection) | 75% | 16.3 months E 27.8 months S |
| Frigerio [69] | 2017 | Bi-centric, retrospective | 355 # | NA | 2007–2015 | 100% | 0% | 0% | FFX, Gem+ Nab-Placitaxel, Gem | - | 32 | 95.5% & | 4.5% # | 8.3% (venous resection) | 88% | 56 months S |
© 2019 by the authors. Licensee MDPI, Basel, Switzerland. This article is an open access article distributed under the terms and conditions of the Creative Commons Attribution (CC BY) license (http://creativecommons.org/licenses/by/4.0/).
Share and Cite
Hank, T.; Strobel, O. Conversion Surgery for Advanced Pancreatic Cancer. J. Clin. Med. 2019, 8, 1945. https://doi.org/10.3390/jcm8111945
Hank T, Strobel O. Conversion Surgery for Advanced Pancreatic Cancer. Journal of Clinical Medicine. 2019; 8(11):1945. https://doi.org/10.3390/jcm8111945
Chicago/Turabian StyleHank, Thomas, and Oliver Strobel. 2019. "Conversion Surgery for Advanced Pancreatic Cancer" Journal of Clinical Medicine 8, no. 11: 1945. https://doi.org/10.3390/jcm8111945
APA StyleHank, T., & Strobel, O. (2019). Conversion Surgery for Advanced Pancreatic Cancer. Journal of Clinical Medicine, 8(11), 1945. https://doi.org/10.3390/jcm8111945

