Unexplained Dyspnea in a Young Adult with Epstein–Barr Virus Infectious Mononucleosis: Pulmonary Involvement or Co-Infection with Mycoplasma pneumoniae Pneumonia?
Abstract
:1. Introduction
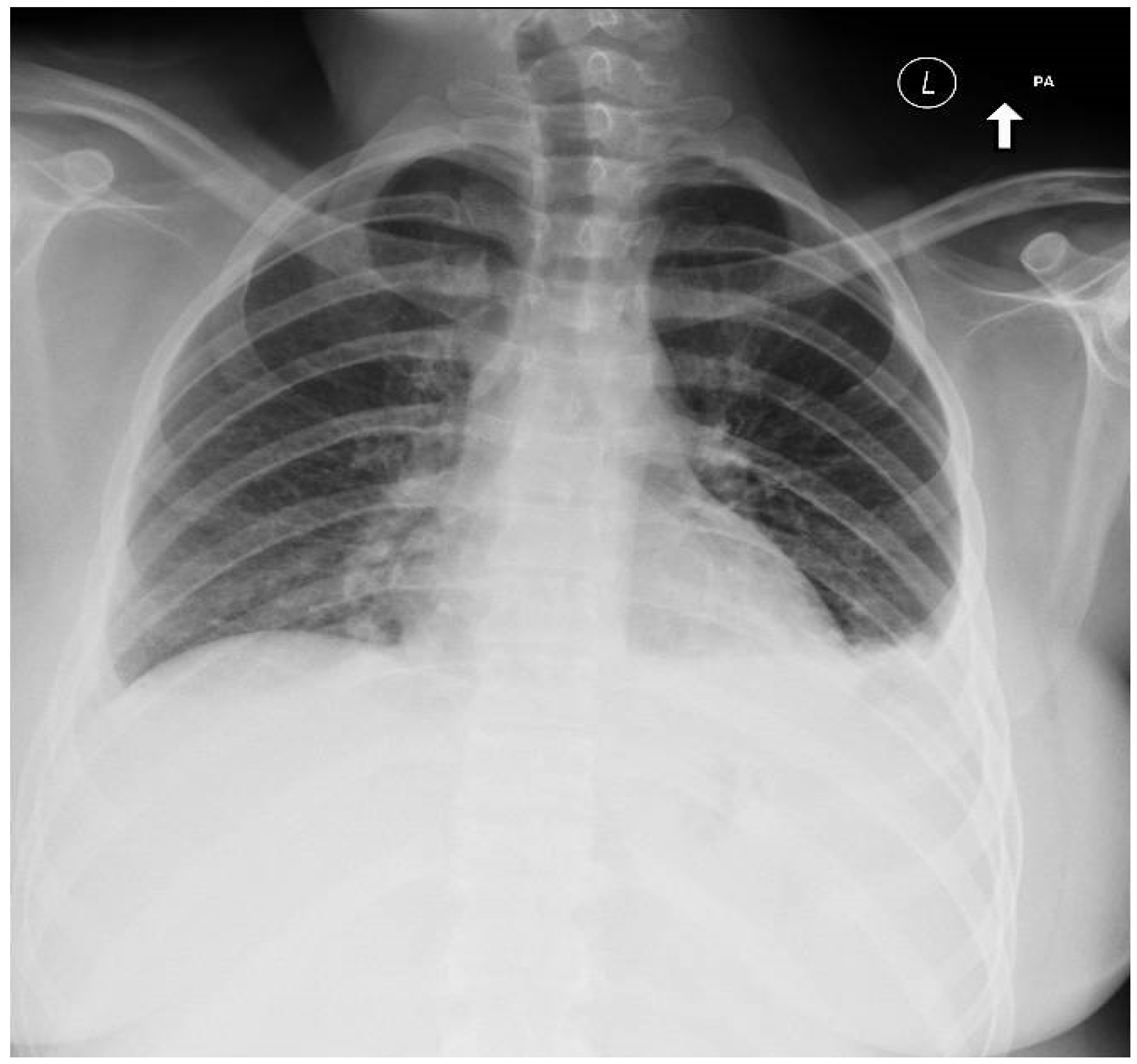
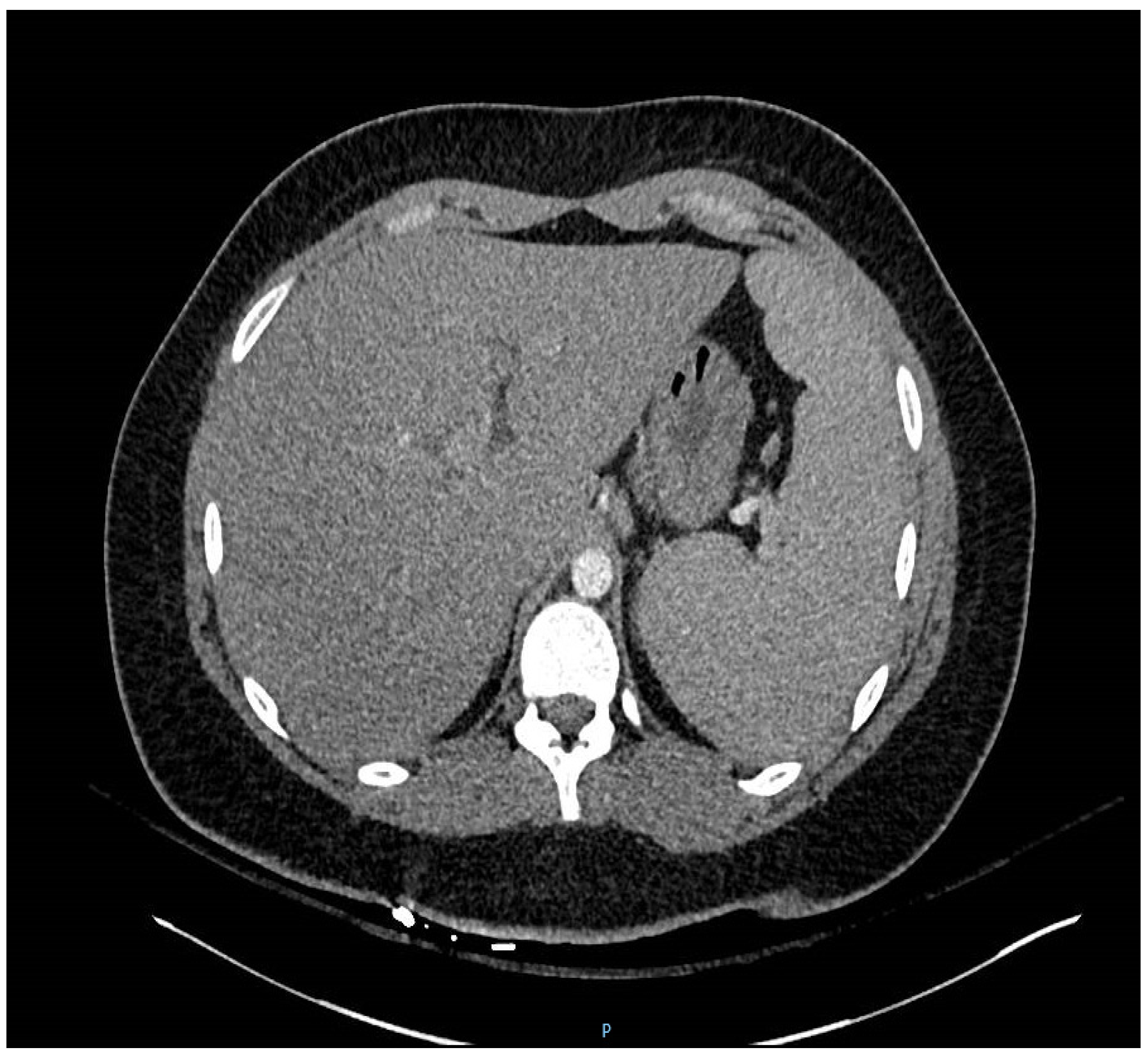
2. Case
3. Discussion
4. Conclusions
Author Contributions
Conflicts of Interest
References
- Schlossberg, D. (Ed.) Infectious Mononucleosis, 2nd ed.; Springer: New York, NY, USA, 1989. [Google Scholar]
- Cunha, B.A. Atypical pneumonias: Current clinical concepts focusing on Legionnaires disease. Curr. Opin. Pulm. Med. 2008, 14, 183–194. [Google Scholar] [CrossRef] [PubMed]
- File, T.M.; Tan, J.S. Mycoplasma pneumoniae Pneumonia. In Community-Acquired Pneumonia; Marrie, T.J., Ed.; Kleuwer Academic/Plenum Publishers: New York, NY, USA, 2001; pp. 487–500. [Google Scholar]
- McCort, J. Infectious Mononucleosis; with special reference to Roentgenologic manifestations. Am. J. Roentgenol. Radium Ther. 1949, 62, 645–654. [Google Scholar] [PubMed]
- Mundy, G.R. Infectious mononucleosis with pulmonary parenchymal involvement. Br. Med. J. 1972, 1, 219–220. [Google Scholar] [CrossRef] [PubMed]
- Offit, P.A.; Fleisher, G.R.; Koven, N.L.; Plotkin, S.A. Severe Epstein Barr virus pulmonary involvement. J. Adolesc. Health Care 1981, 2, 121–125. [Google Scholar] [CrossRef]
- Lander, P.; Palayew, M. Infectious Mononucleosis—A review of chest roentgenographic manifestations. J. Can. Assoc. Radiol. 1974, 25, 303–306. [Google Scholar] [PubMed]
- Haller, A.; von Segesser, L.; Baumann, P.C.; Krause, M. Severe respiratory insufficiency complicating Epstein-Barr virus infection: Case report and review. Clin. Infect. Dis. 1995, 21, 206–209. [Google Scholar] [CrossRef] [PubMed]
- Cunha, B.A.; Gian, J. Diagnostic Dilemma: Epstein-Barr virus (EBV) infectious mononucleosis with lung involvement or co-infection with Legionnaire’s disease? Heart Lung 2016, 45, 563–566. [Google Scholar] [CrossRef] [PubMed]
- Mansel, J.K.; Rosenow, E.C., III; Smith, T.F.; Martin, J.W., Jr. Mycoplasma pneumoniae pneumonia. Chest 1989, 95, 639–646. [Google Scholar] [CrossRef] [PubMed]
- Zack, M.B.; Kazemi, H. Carbon dioxide retention in Mycoplasma pneumonia. Am. Rev. Respir. Dis. 1973, 107, 1052–1054. [Google Scholar] [PubMed]
- Norega, E.R.; Simberkoff, M.S.; Gilroy, F.J.; Rahal, J.J., Jr. Life-threatening Mycoplasma pneumoniae pneumonia. JAMA 1974, 229, 1471–1472. [Google Scholar] [CrossRef]
- Fraley, D.S.; Ruben, F.L.; Donnelly, E.J. Respiratory failure secondary to Mycoplasma pneumoniae infection. South Med. J. 1979, 72, 437–440. [Google Scholar] [CrossRef] [PubMed]
- Chan, E.; Welsh, C. Fulminant Mycoplasma pneumoniae pneumonia. West J. Med. 1995, 162, 133–142. [Google Scholar] [PubMed]
- Takiguchi, Y.; Shikama, N.; Aotsuka, N.; Koseki, H.; Terano, T.; Hirai, A. Fulminant Mycoplasma pneumoniae Pneumonia. Intern. Med. 2001, 40, 345–348. [Google Scholar] [CrossRef] [PubMed]
- Miyashita, N.; Obase, Y.; Ouchi, K.; Kawasaki, K.; Kawai, Y.; Kobashi, Y.; Oka, M. Clinical features of severe Mycoplasma pneumoniae pneumonia in adults admitted to an intensive care unit. J. Med. Microbiol. 2007, 56, 1625–1629. [Google Scholar] [CrossRef] [PubMed]
- Izumikawa, K.; Takazono, T.; Kosai, K.; Morinaga, Y.; Nakamura, S.; Kurihara, S.; Imamura, Y.; Miyazaki, T.; Tsukamoto, M.; Yanagihara, K.; et al. Clinical features, risk factors and treatment of fulminant Mycoplasma pneumoniae pneumonia: A review of the Japanese literature. J. Infect. Chemother. 2014, 20, 181–185. [Google Scholar] [CrossRef] [PubMed]
- Rodstein, M. A case of infectious mononucleosis with atypical pneumonia. Ann. Intern. Med. 1948, 28, 1177–1187. [Google Scholar] [PubMed]
- Muir, M.T.; Cohn, S.M.; Louden, C.; Kannan, T.R.; Baseman, J.B. Novel toxin assays implicate Mycoplasma pneumoniae in prolonged ventilator course and hypoxemia. Chest 2011, 139, 305–310. [Google Scholar] [CrossRef] [PubMed]
- Cimolai, N.; Wensley, D.; Seear, M.; Thomas, E.T. Mycoplasma pneumoniae as a cofactor in severe respiratory infections. J. Clin. Infect. Dis. 1995, 21, 1182–1185. [Google Scholar] [CrossRef]



| Adenopathy | Parenchymal Lung Abnormalities |
|---|---|
| Common | Uncommon |
|
|
| Uncommon | Rare |
|
|
| Infectious Causes | Non-Infectious Causes |
|---|---|
| Cold agglutinin titers usually high (>1:64) | |
| Mycoplasma pneumoniae | Cold agglutinin disease |
| Cold agglutinin titers usually low (>1:2–1:32) | |
| Respiratory pathogens: | SLE |
| Adenovirus | Multiple myeloma |
| Influenza | Waldenstrom’s macroglobulimemia |
| Non-respiratory pathogens: | Lymphoma |
| EBV | CLL |
| CMV | Sinus histocytosis |
| HCV | |
| Malaria | |
| Trypanosomiasis | |
| Coxsackie viruses | |
| Measles | |
| Mumps | |
| HIV | |
| SLE = systemic lupus erythematous EBV = Epstein–Barr virus CMV = cytomegalovirus CLL = chronic lymphocytic leukemia HCV = hepatitis C virus HIV = human immunodeficiency virus | |
© 2017 by the authors. Licensee MDPI, Basel, Switzerland. This article is an open access article distributed under the terms and conditions of the Creative Commons Attribution (CC BY) license (http://creativecommons.org/licenses/by/4.0/).
Share and Cite
Cunha, B.A.; Herrarte Fornos, S. Unexplained Dyspnea in a Young Adult with Epstein–Barr Virus Infectious Mononucleosis: Pulmonary Involvement or Co-Infection with Mycoplasma pneumoniae Pneumonia? J. Clin. Med. 2017, 6, 83. https://doi.org/10.3390/jcm6090083
Cunha BA, Herrarte Fornos S. Unexplained Dyspnea in a Young Adult with Epstein–Barr Virus Infectious Mononucleosis: Pulmonary Involvement or Co-Infection with Mycoplasma pneumoniae Pneumonia? Journal of Clinical Medicine. 2017; 6(9):83. https://doi.org/10.3390/jcm6090083
Chicago/Turabian StyleCunha, Burke A., and Scarlet Herrarte Fornos. 2017. "Unexplained Dyspnea in a Young Adult with Epstein–Barr Virus Infectious Mononucleosis: Pulmonary Involvement or Co-Infection with Mycoplasma pneumoniae Pneumonia?" Journal of Clinical Medicine 6, no. 9: 83. https://doi.org/10.3390/jcm6090083
APA StyleCunha, B. A., & Herrarte Fornos, S. (2017). Unexplained Dyspnea in a Young Adult with Epstein–Barr Virus Infectious Mononucleosis: Pulmonary Involvement or Co-Infection with Mycoplasma pneumoniae Pneumonia? Journal of Clinical Medicine, 6(9), 83. https://doi.org/10.3390/jcm6090083
