Chest Discomfort: Could Coronary Pathology Extend Beyond Atherosclerosis?
Abstract
1. Introduction
2. Literature Search
3. Results and Discussion
3.1. Myocardial Bridge
3.2. Pathological Dilatation of Coronary Arteries: Aneurysm and Ectasia
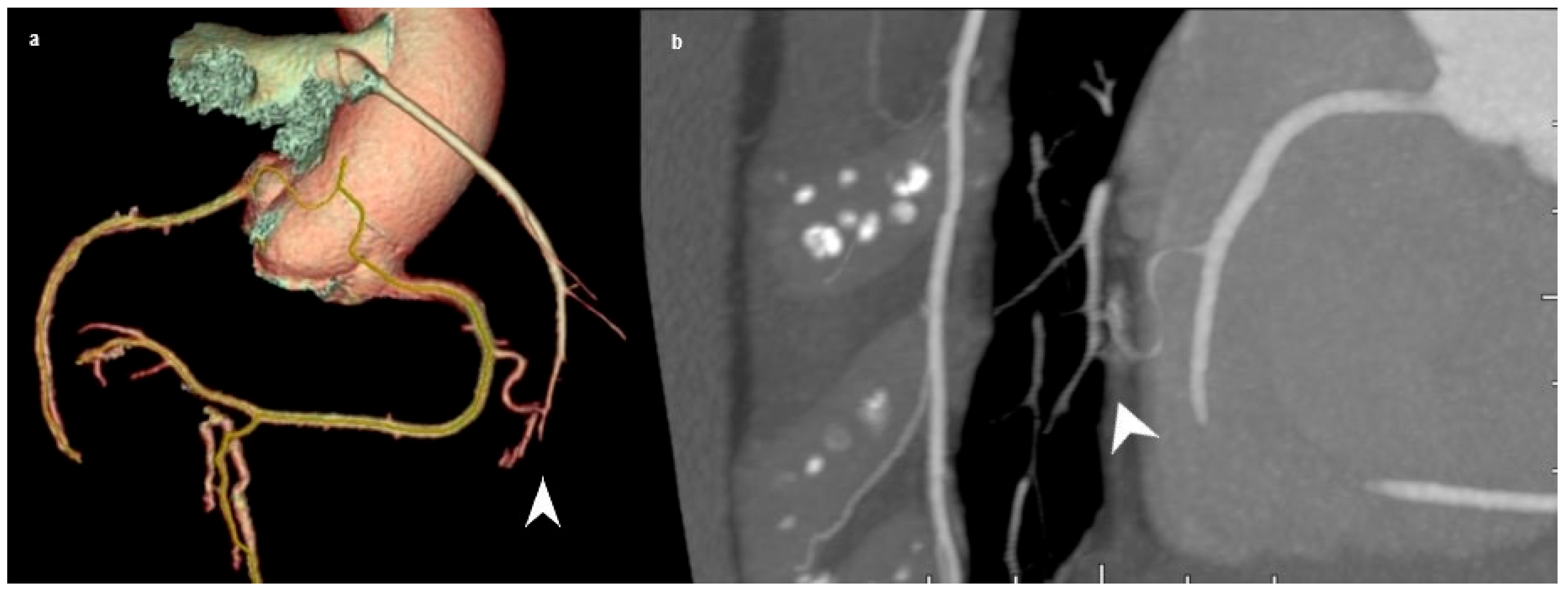
3.3. Coronary Arteriovenous Fistula
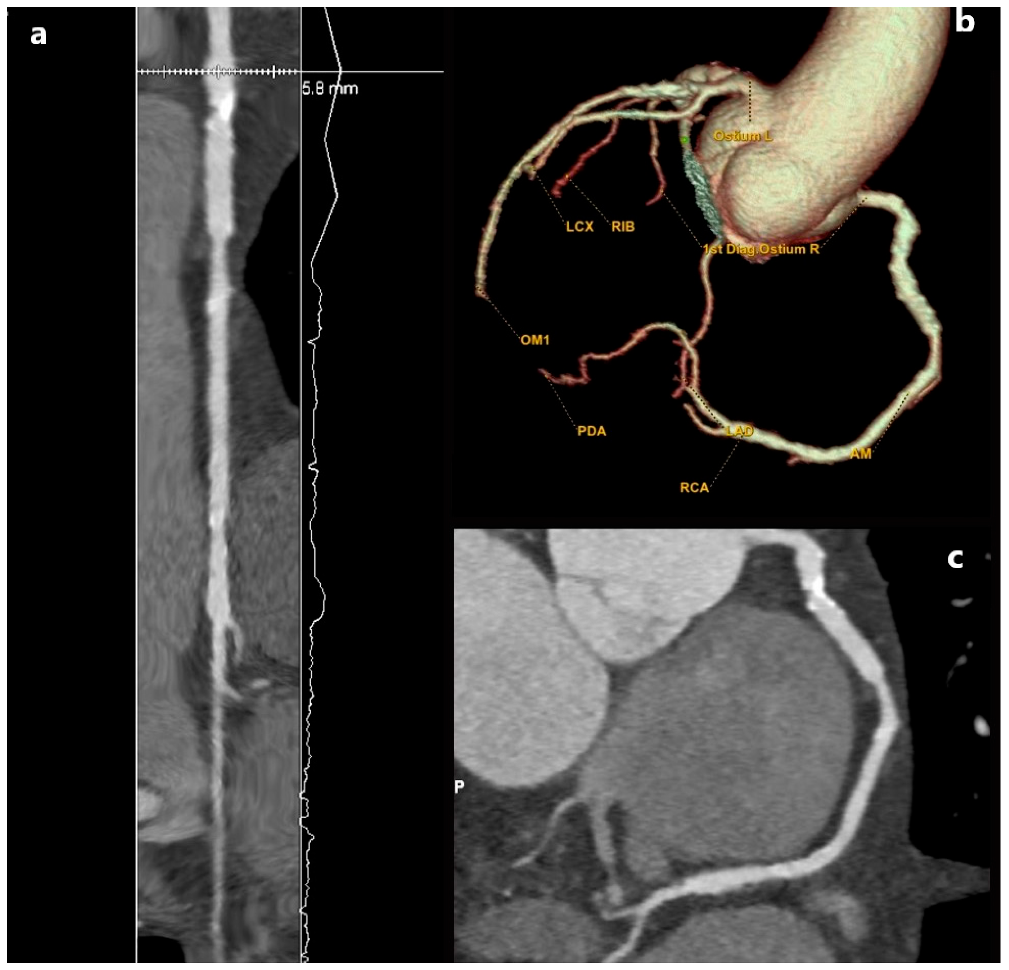
3.4. Coronary Artery Stenosis
3.5. Coronary Artery Dissection
Aortic Dissection with Extension into the Coronary Arteries
3.6. MD CT—Technical Considerations
4. Conclusions
Author Contributions
Funding
Institutional Review Board Statement
Informed Consent Statement
Data Availability Statement
Conflicts of Interest
Abbreviations
| MD CT | multidetector computed tomography |
| CA | coronary artery |
| LAD | left anterior descending artery |
| LCX | left circumflex artery |
| LMA | left main artery |
| RCA | right coronary artery |
| MB | myocardial bridging |
| CAD | coronary artery disease |
| CAA | coronary artery aneurysm |
| CAE | coronary artery ectasia |
| CAF | coronary artery fistula |
| ACS | acute coronary syndrome |
| MIP | Maximum Intensity Projection |
| SCAD | spontaneous coronary artery dissection |
| STEMI | ST elevation myocardial infarction |
References
- Matta, A.; Nader, V.; Canitrot, R.; Delmas, C.; Bouisset, F.; Lhermusier, T.; Blanco, S.; Campelo-Parada, F.; Elbaz, M.; Carrie, D.; et al. Myocardial Bridging Is Significantly Associated to Myocardial Infarction with Non-Obstructive Coronary Arteries. Eur. Heart J. Acute Cardiovasc. Care 2022, 11, 501–507. [Google Scholar] [CrossRef]
- Ahmad, M.; Mungee, S. Coronary Ectasia. In StatPearls; StatPearls Publishing: Treasure Island, FL, USA, 2023. [Google Scholar]
- Matta, A.G.; Yaacoub, N.; Nader, V.; Moussallem, N.; Carrie, D.; Roncalli, J. Coronary Artery Aneurysm: A Review. World J. Cardiol. 2021, 13, 446–455. [Google Scholar] [CrossRef]
- Lettieri, C.; Zavalloni, D.; Rossini, R.; Morici, N.; Ettori, F.; Leonzi, O.; Latib, A.; Ferlini, M.; Trabattoni, D.; Colombo, P.; et al. Management and Long-Term Prognosis of Spontaneous Coronary Artery Dissection. Am. J. Cardiol. 2015, 116, 66–73. [Google Scholar] [CrossRef]
- Nakashima, T.; Noguchi, T.; Haruta, S.; Yamamoto, Y.; Oshima, S.; Nakao, K.; Taniguchi, Y.; Yamaguchi, J.; Tsuchihashi, K.; Seki, A.; et al. Prognostic Impact of Spontaneous Coronary Artery Dissection in Young Female Patients with Acute Myocardial Infarction: A Report from the Angina Pectoris–Myocardial Infarction Multicenter Investigators in Japan. Int. J. Cardiol. 2016, 207, 341–348. [Google Scholar] [CrossRef]
- Vaidyanathan, K.R.; Theodore, S.A.C.; Sankar, M.N.; Cherian, K.M. Coronary Artery to Pulmonary Artery Fistula with Dual Origin—Embryological, Clinical and Surgical Significance. Eur. J. Cardio-Thorac. Surg. 2007, 31, 318–319. [Google Scholar] [CrossRef][Green Version]
- Rao, S.S.; Agasthi, P. Coronary Artery Fistula. In StatPearls; StatPearls Publishing: Treasure Island, FL, USA, 2023. [Google Scholar]
- Kazelian, L. Autoimmune Diseases Promoting Coronary Disease in Women. Rev. Argent. Cardiol. 2013, 81, 330–334. [Google Scholar] [CrossRef]
- Hostiuc, S.; Negoi, I.; Rusu, M.C.; Hostiuc, M. Myocardial Bridging: A Meta-Analysis of Prevalence. J. Forensic Sci. 2018, 63, 1176–1185. [Google Scholar] [CrossRef]
- Watanabe, Y.; Arakawa, T.; Kageyama, I.; Aizawa, Y.; Kumaki, K.; Miki, A.; Terashima, T. Gross Anatomical Study on the Human Myocardial Bridges with Special Reference to the Spatial Relationship among Coronary Arteries, Cardiac Veins, and Autonomic Nerves. Clin. Anat. 2016, 29, 333–341. [Google Scholar] [CrossRef]
- Mohan, J.; Bhatti, K.; Tawney, A.; Zeltser, R. Coronary Artery Calcification. In StatPearls; StatPearls Publishing: Treasure Island, FL, USA, 2023. [Google Scholar]
- Roberts, W.; Charles, S.M.; Ang, C.; Holda, M.K.; Walocha, J.; Lachman, N.; Tubbs, R.S.; Loukas, M. Myocardial Bridges: A Meta-Analysis. Clin. Anat. 2021, 34, 685–709. [Google Scholar] [CrossRef]
- Wu, S.; Wu, D.; Li, X. Unveiling the Masquerading of Myocardial Bridging in Cardiovascular Diseases. Rev. Cardiovasc. Med. 2025, 26, 36868. [Google Scholar] [CrossRef]
- Sternheim, D.; Power, D.A.; Samtani, R.; Kini, A.; Fuster, V.; Sharma, S. Myocardial Bridging: Diagnosis, Functional Assessment, and Management. J. Am. Coll. Cardiol. 2021, 78, 2196–2212. [Google Scholar] [CrossRef]
- Ortega-Pérez, R.; Ibañez, B.; Sánchez-Quintana, D.; Cabrera, J.-Á. Fundamental Anatomy and Its Impact on Clinical Practice. JACC Case Rep. 2025, 30, 105096. [Google Scholar] [CrossRef]
- Corban, M.T.; Hung, O.Y.; Eshtehardi, P.; Rasoul-Arzrumly, E.; McDaniel, M.; Mekonnen, G.; Timmins, L.H.; Lutz, J.; Guyton, R.A.; Samady, H. Myocardial Bridging. J. Am. Coll. Cardiol. 2014, 63, 2346–2355. [Google Scholar] [CrossRef]
- Khadke, S.; Vidovic, J.; Patel, V. Bridging the Gap in a Rare Cause of Angina. Eur. Cardiol. 2021, 16, e05. [Google Scholar] [CrossRef]
- Nakaura, T.; Nagayoshi, Y.; Awai, K.; Utsunomiya, D.; Kawano, H.; Ogawa, H.; Yamashita, Y. Myocardial Bridging Is Associated with Coronary Atherosclerosis in the Segment Proximal to the Site of Bridging. J. Cardiol. 2014, 63, 134–139. [Google Scholar] [CrossRef]
- Evbayekha, E.O.; Nwogwugwu, E.; Olawoye, A.; Bolaji, K.; Adeosun, A.A.; Ajibowo, A.O.; Nsofor, G.C.; Chukwuma, V.N.; Shittu, H.O.; Onuegbu, C.A.; et al. A Comprehensive Review of Myocardial Bridging: Exploring Diagnostic and Treatment Modalities. Cureus 2023, 15, e43132. [Google Scholar] [CrossRef]
- Lee, M.S.; Chen, C.-H. Myocardial Bridging: An Up-to-Date Review. J. Invasive Cardiol. 2015, 27, 521–528. [Google Scholar]
- Masuda, T.; Ishikawa, Y.; Akasaka, Y.; Itoh, K.; Kiguchi, H.; Ishii, T. The Effect of Myocardial Bridging of the Coronary Artery on Vasoactive Agents and Atherosclerosis Localization. J. Pathol. 2001, 193, 408–414. [Google Scholar] [CrossRef]
- Thompson, P.D.; Myerburg, R.J.; Levine, B.D.; Udelson, J.E.; Kovacs, R.J. Eligibility and Disqualification Recommendations for Competitive Athletes with Cardiovascular Abnormalities: Task Force 8: Coronary Artery Disease: A Scientific Statement from the American Heart Association and American College of Cardiology. J. Am. Coll. Cardiol. 2015, 66, 2406–2411. [Google Scholar] [CrossRef]
- Daba, M.; Bineyam, D.; Yohannes, I.; Yohannes, B.; Waktola, R.; Bedada, E. Myocardial Bridging, Unusual Cause of Myocardial Infarction; Case Report and Review of Literature. Clin. Case Rep. 2025, 13, e70055. [Google Scholar] [CrossRef]
- Ripa, C.; Cristina Melatini, M.; Olivieri, F.; Antonicelli, R. Myocardial Bridging: A “forgotten” Cause of Acute Coronary Syndrome—A Case Report. Int. J. Angiol. 2007, 16, 115–118. [Google Scholar] [CrossRef]
- Hazirolan, T.; Canyigit, M.; Karcaaltincaba, M.; Dagoglu, M.G.; Akata, D.; Aytemir, K.; Besim, A. Myocardial Bridging on MDCT. Am. J. Roentgenol. 2007, 188, 1074–1080. [Google Scholar] [CrossRef]
- Zeina, A.-R.; Odeh, M.; Blinder, J.; Rosenschein, U.; Barmeir, E. Myocardial Bridge: Evaluation on MDCT. Am. J. Roentgenol. 2007, 188, 1069–1073. [Google Scholar] [CrossRef]
- Rovera, C.; Moretti, C.; Bisanti, F.; De Zan, G.; Guglielmo, M. Myocardial Bridging: Review on the Role of Coronary Computed Tomography Angiography. J. Clin. Med. 2023, 12, 5949. [Google Scholar] [CrossRef]
- Sheikh, A.; Hailan, A.; Kinnaird, T.; Choudhury, A.; Smith, D. Coronary Artery Aneurysm: Evaluation, Prognosis, and Proposed Treatment Strategies. Heart Views 2019, 20, 101. [Google Scholar] [CrossRef]
- Ostwani, W.; Fleming, H.; Roldan, C.A. Coronary Artery Aneurysmal Disease and Acute Coronary Syndrome. J. Investig. Med. High. Impact Case Rep. 2016, 4, 2324709616640008. [Google Scholar] [CrossRef]
- Barioli, A.; Visco, E.; Pellizzari, N.; Marzot, F.; Lanzellotti, D.; Favero, L.; Cernetti, C. Diagnostic Workup and Treatment Options for Aneurysmal Coronary Artery Disease. Vessel Plus 2024, 8, 13. [Google Scholar] [CrossRef]
- Abou Sherif, S.; Ozden Tok, O.; Taşköylü, Ö.; Goktekin, O.; Kilic, I.D. Coronary Artery Aneurysms: A Review of the Epidemiology, Pathophysiology, Diagnosis, and Treatment. Front. Cardiovasc. Med. 2017, 4, 24. [Google Scholar] [CrossRef]
- Jeudy, J.; White, C.S.; Kligerman, S.J.; Killam, J.L.; Burke, A.P.; Sechrist, J.W.; Shah, A.B.; Hossain, R.; Frazier, A.A. Spectrum of Coronary Artery Aneurysms: From the Radiologic Pathology Archives. RadioGraphics 2018, 38, 11–36. [Google Scholar] [CrossRef]
- Díaz-Zamudio, M.; Bacilio-Pérez, U.; Herrera-Zarza, M.C.; Meave-González, A.; Alexanderson-Rosas, E.; Zambrana-Balta, G.F.; Kimura-Hayama, E.T. Coronary Artery Aneurysms and Ectasia: Role of Coronary CT Angiography. RadioGraphics 2009, 29, 1939–1954. [Google Scholar] [CrossRef]
- Nakayama, R.; Yoshida, T.; Obata, N.; Mizobuchi, S. Anesthetic Management of Modified Electroconvulsive Therapy for a Patient with Coronary Aneurysms: A Case Report. JA Clin. Rep. 2019, 5, 76. [Google Scholar] [CrossRef]
- Shomura, Y.; Mizumoto, T.; Fujinaga, K.; Sawada, Y.; Ito, H.; Teranishi, S. Cardiac Tamponade Due to Rupture of a Giant Coronary Artery Aneurysm with a Coronary Arteriovenous Fistula: A Case Report. Surg. Case Rep. 2019, 5, 40. [Google Scholar] [CrossRef]
- Yip, H.-K.; Chen, M.-C.; Wu, C.-J.; Hang, C.-L.; Hsieh, K.Y.-K.; Fang, C.-Y.; Yeh, K.-H.; Fu, M. Clinical Features and Outcome of Coronary Artery Aneurysm in Patients with Acute Myocardial Infarction Undergoing a Primary Percutaneous Coronary Intervention. Cardiology 2002, 98, 132–140. [Google Scholar] [CrossRef] [PubMed]
- Shanmugam, V.B.; Psaltis, P.J.; Wong, D.T.; Meredith, I.T.; Malaiapan, Y.; Ahmar, W. Outcomes After Primary Percutaneous Coronary Intervention for ST-Elevation Myocardial Infarction Caused by Ectatic Infarct Related Arteries. Heart Lung Circ. 2017, 26, 1059–1068. [Google Scholar] [CrossRef]
- Dai, H.-L.; Guang, X.-F.; Lu, Y.-B.; Xue, Q.; Zhang, W.-H. Multiple Overlapping Stents Might Be a Promising Therapeutic Target for Coronary Artery Aneurysms. JACC Cardiovasc. Interv. 2018, 11, 2234–2235. [Google Scholar] [CrossRef]
- Raju, M.G.; Goyal, S.K.; Punnam, S.R.; Shah, D.O.; Smith, G.F.; Abela, G.S. Coronary Artery Fistula: A Case Series with Review of the Literature. J. Cardiol. 2009, 53, 467–472. [Google Scholar] [CrossRef] [PubMed]
- Torres, S.; Vasconcelos, M.; Tavares Silva, M.; Moreira, J.; Silva, J.C.; Macedo, F. Coronary Artery Fistulas: A 12-Year Single-Center Experience. Rev. Port. Cardiol. 2022, 41, 843–850. [Google Scholar] [CrossRef]
- Lim, J.J.; Jung, J.I.; Lee, B.Y.; Lee, H.G. Prevalence and Types of Coronary Artery Fistulas Detected with Coronary CT Angiography. Am. J. Roentgenol. 2014, 203, W237–W243. [Google Scholar] [CrossRef]
- Olearchyk, A.S.; Runk, D.M.; Alavi, M.; Grosso, M.A. Congenital Bilateral Coronary-to-Pulmonary Artery Fistulas. Ann. Thorac. Surg. 1997, 64, 233–235. [Google Scholar] [CrossRef] [PubMed]
- Burma, O. Coronary Arteriovenous Fistulas from Both Coronary Arteries to Pulmonary Artery. Eur. J. Cardio-Thorac. Surg. 2002, 21, 86. [Google Scholar] [CrossRef][Green Version]
- Al-Hijji, M.; El Sabbagh, A.; El Hajj, S.; AlKhouli, M.; El Sabawi, B.; Cabalka, A.; Miranda, W.R.; Holmes, D.R.; Rihal, C.S. Coronary Artery Fistulas. JACC Cardiovasc. Interv. 2021, 14, 1393–1406. [Google Scholar] [CrossRef]
- Gowda, R.M.; Vasavada, B.C.; Khan, I.A. Coronary Artery Fistulas: Clinical and Therapeutic Considerations. Int. J. Cardiol. 2006, 107, 7–10. [Google Scholar] [CrossRef]
- Mangukia, C.V. Coronary Artery Fistula. Ann. Thorac. Surg. 2012, 93, 2084–2092. [Google Scholar] [CrossRef]
- Kastellanos, S.; Aznaouridis, K.; Vlachopoulos, C.; Tsiamis, E.; Oikonomou, E.; Tousoulis, D. Overview of Coronary Artery Variants, Aberrations and Anomalies. World J. Cardiol. 2018, 10, 127–140. [Google Scholar] [CrossRef]
- Bao, Y.; Xiong, T.-Y.; Li, X.; Feng, Y. Percutaneous Closure of a Fistula from the Left Circumflex Coronary Artery to the Coronary Sinus in an Infant. J. Int. Med. Res. 2021, 49, 03000605211021732. [Google Scholar] [CrossRef]
- Miette, A.; Nuri, H.A.; Pomé, G.; Marasini, M.; Santini, F. Isolated Congenital Coronary Ostial Stenosis in a Young Infant: A Case Report. World J. Pediatr. Congenit. Heart Surg. 2020, 11, 649–651. [Google Scholar] [CrossRef]
- Olivieri, N.; Aboukhater, F.; Poellinger, N.; McMullen, P.; Yu, M.D. IgG4-Related Aortitis as a Driver of Coronary Artery Stenosis and Ischemic Cardiomyopathy. JACC Case Rep. 2025, 30, 104140. [Google Scholar] [CrossRef] [PubMed]
- Kasashima, F.; Kawakami, K.; Matsumoto, Y.; Endo, M.; Kasashima, S.; Kawashima, A. IgG4-Related Arterial Disease. Ann. Vasc. Dis. 2018, 11, 72–77. [Google Scholar] [CrossRef]
- Seguchi, M.; Hino, Y.; Aiba, S.; Yasukohchi, S.; Momma, K.; Takao, A.; Endo, M. Ostial Stenosis of the Left Coronary Artery as a Sole Clinical Manifestation of Takayasu’s Arteritis: A Possible Cause of Unexpected Sudden Death. Heart Vessels 1990, 5, 188–191. [Google Scholar] [CrossRef] [PubMed]
- Carpenter, A.; Connaire, S.; Chandra Mohan, N.; Curtis, S.L.; Stoica, S.C.; Caputo, M.; Strange, J.W. Coronary Stenosis and Cardiogenic Shock Secondary to Aortitis Following Aortic Root Support Procedure. JACC Case Rep. 2024, 29, 102313. [Google Scholar] [CrossRef] [PubMed]
- Oyama-Manabe, N.; Yabusaki, S.; Manabe, O.; Kato, F.; Kanno-Okada, H.; Kudo, K. IgG4-Related Cardiovascular Disease from the Aorta to the Coronary Arteries: Multidetector CT and PET/CT. Radiographics 2018, 38, 1934–1948. [Google Scholar] [CrossRef] [PubMed]
- Wang, G.; Du, Y.; Bai, Y.; Zhou, Y.; Ding, S.; Wang, X.; Xie, Y.; Yang, H.-J.; Li, D.; Fan, Z.; et al. Clinical Characteristics and Multimodal Imaging Insights of Coronary Involvement in Immunoglobulin G4-Related Disease. Front. Immunol. 2025, 16, 1685508. [Google Scholar] [CrossRef]
- Zhang, T.; Du, J.; Zhang, H.; Zhang, X.; Qiao, B.; Chen, T.; Zhou, Y.; Xu, L.; Pan, L.; Du, Y. Coronary Artery Vasculitis. JACC Case Rep. 2025, 30, 105062. [Google Scholar] [CrossRef] [PubMed]
- Savo, M.T.; De Amicis, M.; Cozac, D.A.; Cordoni, G.; Corradin, S.; Cozza, E.; Amato, F.; Lassandro, E.; Da Pozzo, S.; Tansella, D.; et al. Comparative Prognostic Value of Coronary Calcium Score and Perivascular Fat Attenuation Index in Coronary Artery Disease. J. Clin. Med. 2024, 13, 5205. [Google Scholar] [CrossRef] [PubMed]
- Tweet, M.S.; Hayes, S.N.; Pitta, S.R.; Simari, R.D.; Lerman, A.; Lennon, R.J.; Gersh, B.J.; Khambatta, S.; Best, P.J.M.; Rihal, C.S.; et al. Clinical Features, Management, and Prognosis of Spontaneous Coronary Artery Dissection. Circulation 2012, 126, 579–588. [Google Scholar] [CrossRef]
- Kowalik, K.; Wojciechowska, M.; Momot, K.; Poprawa, I.; Dąbrowski, M.; Kruk, M.; Zarębiński, M. Spontaneous Coronary Artery Dissection—Different Faces of the Same Disease. Clin. Med. Insights Case Rep. 2025, 18, 11795476251322433. [Google Scholar] [CrossRef]
- Aziz, S. Spontaneous Coronary Artery Dissection. Available online: https://www.escardio.org/Journals/E-Journal-of-Cardiology-Practice/Volume-14/spontaneous-coronary-artery-dissection (accessed on 9 October 2023).
- Eleid, M.F.; Guddeti, R.R.; Tweet, M.S.; Lerman, A.; Singh, M.; Best, P.J.; Vrtiska, T.J.; Prasad, M.; Rihal, C.S.; Hayes, S.N.; et al. Coronary Artery Tortuosity in Spontaneous Coronary Artery Dissection: Angiographic Characteristics and Clinical Implications. Circ. Cardiovasc. Interv. 2014, 7, 656–662. [Google Scholar] [CrossRef]
- Inohara, T.; Alfadhel, M.; Choi, D.; Starovoytov, A.; Saw, J. Coronary Angiographic Manifestations and Outcomes in Spontaneous Coronary Artery Dissection Patients With and Without Fibromuscular Dysplasia. Can. J. Cardiol. 2021, 37, 1725–1732. [Google Scholar] [CrossRef]
- Taguchi, E.; Toyofuku, T.; Fukuda, T.; Tsurusaki, Y.; Inamori, T.; Matsuura, J.; Hasegawa, S.; Nakayama, T.; Konami, Y.; Inoue, M.; et al. Fibromuscular Dysplasia of the Brachial Artery in Patients with Spontaneous Coronary Artery Dissection: A Case Series and Literature Review. Heart Vessels 2023, 38, 1228–1234. [Google Scholar] [CrossRef]
- Parekh, J.D.; Chauhan, S.; Porter, J.L. Coronary Artery Dissection. In StatPearls; StatPearls Publishing: Treasure Island, FL, USA, 2023. [Google Scholar]
- Elkayam, U.; Jalnapurkar, S.; Barakkat, M.N.; Khatri, N.; Kealey, A.J.; Mehra, A.; Roth, A. Pregnancy-Associated Acute Myocardial Infarction: A Review of Contemporary Experience in 150 Cases Between 2006 and 2011. Circulation 2014, 129, 1695–1702. [Google Scholar] [CrossRef]
- Saw, J.; Aymong, E.; Sedlak, T.; Buller, C.E.; Starovoytov, A.; Ricci, D.; Robinson, S.; Vuurmans, T.; Gao, M.; Humphries, K.; et al. Spontaneous Coronary Artery Dissection: Association with Predisposing Arteriopathies and Precipitating Stressors and Cardiovascular Outcomes. Circ. Cardiovasc. Interv. 2014, 7, 645–655. [Google Scholar] [CrossRef]
- Gupta, S.; Meyersohn, N.M.; Wood, M.J.; Steigner, M.L.; Blankstein, R.; Ghoshhajra, B.B.; Hedgire, S.S. Role of Coronary CT Angiography in Spontaneous Coronary Artery Dissection. Radiol. Cardiothorac. Imaging 2020, 2, e200364. [Google Scholar] [CrossRef]
- Shahid Spontaneous Coronary Artery Dissection. Available online: https://www.escardio.org/communities/councils/cardiology-practice/scientific-documents-and-publications/ejournal/volume-14/spontaneous-coronary-artery-dissection/ (accessed on 26 January 2026).
- Alexandri, M.; Tsellou, M.; Goutas, N.; Galani, K.; Papadodima, S. Extended Stanford Type-A Aortic Dissection with Multivessel Coronary and Peripheral Artery Involvement: An Autopsy Case Report. Healthcare 2023, 11, 386. [Google Scholar] [CrossRef] [PubMed]
- Farandzha, D.; Gasharova-Petrova, I.; Hazarbasanov, D. Iatrogenic Coronary Artery Dissection Extending into the Ascending Aorta. Folia Medica 2024, 66, 731–736. [Google Scholar] [CrossRef] [PubMed]
- Wang, M.; McGraw, K.R.; Monticone, R.E.; Pintus, G. Unraveling Elastic Fiber-Derived Signaling in Arterial Aging and Related Arterial Diseases. Biomolecules 2025, 15, 153. [Google Scholar] [CrossRef] [PubMed]
- Ruisi, M.; Fallahi, A.; Lala, M.; Kanei, Y. Aortic Dissection Presenting as Acute Subtotal Left Main Coronary Artery Occlusion: A Case Approach and Review of the Literature. J. Clin. Med. Res. 2015, 7, 356–360. [Google Scholar] [CrossRef]
- Kayali, F.; Jubouri, M.; Al-Tawil, M.; Tan, S.Z.C.P.; Williams, I.M.; Mohammed, I.; Velayudhan, B.; Bashir, M. Coronary Artery Involvement in Type A Aortic Dissection: Fate of the Coronaries. J. Card. Surg. 2022, 37, 5233–5242. [Google Scholar] [CrossRef]
- Douglas, P.S.; Hoffmann, U.; Patel, M.R.; Mark, D.B.; Al-Khalidi, H.R.; Cavanaugh, B.; Cole, J.; Dolor, R.J.; Fordyce, C.B.; Huang, M.; et al. Outcomes of Anatomical versus Functional Testing for Coronary Artery Disease. N. Engl. J. Med. 2015, 372, 1291–1300. [Google Scholar] [CrossRef]
- The SCOT-HEART Investigators. CT Coronary Angiography in Patients with Suspected Angina Due to Coronary Heart Disease (SCOT-HEART): An Open-Label, Parallel-Group, Multicentre Trial. Lancet 2015, 385, 2383–2391. [Google Scholar] [CrossRef]
- Halliburton, S.S.; Abbara, S.; Chen, M.Y.; Gentry, R.; Mahesh, M.; Raff, G.L.; Shaw, L.J.; Hausleiter, J. SCCT Guidelines on Radiation Dose and Dose-Optimization Strategies in Cardiovascular CT. J. Cardiovasc. Comput. Tomogr. 2011, 5, 198–224. [Google Scholar] [CrossRef]
- LaBounty, T.M.; Earls, J.P.; Leipsic, J.; Heilbron, B.; Mancini, G.B.J.; Lin, F.Y.; Dunning, A.M.; Min, J.K. Effect of a Standardized Quality-Improvement Protocol on Radiation Dose in Coronary Computed Tomographic Angiography. Am. J. Cardiol. 2010, 106, 1663–1667. [Google Scholar] [CrossRef] [PubMed]
- Zhang, S.; Levin, D.C.; Halpern, E.J.; Fischman, D.; Savage, M.; Walinsky, P. Accuracy of MDCT in Assessing the Degree of Stenosis Caused by Calcified Coronary Artery Plaques. Am. J. Roentgenol. 2008, 191, 1676–1683. [Google Scholar] [CrossRef] [PubMed]










Disclaimer/Publisher’s Note: The statements, opinions and data contained in all publications are solely those of the individual author(s) and contributor(s) and not of MDPI and/or the editor(s). MDPI and/or the editor(s) disclaim responsibility for any injury to people or property resulting from any ideas, methods, instructions or products referred to in the content. |
© 2026 by the authors. Licensee MDPI, Basel, Switzerland. This article is an open access article distributed under the terms and conditions of the Creative Commons Attribution (CC BY) license.
Share and Cite
Mladenovic Markovic, A.; Tomic, A.; Nisevic, M.; Nedeljkovic Arsenovic, O.; Vukmirovic, J.; Kostic, J.; Filipovic, A.; Bogdanovic, L.; Giga, V. Chest Discomfort: Could Coronary Pathology Extend Beyond Atherosclerosis? J. Clin. Med. 2026, 15, 1185. https://doi.org/10.3390/jcm15031185
Mladenovic Markovic A, Tomic A, Nisevic M, Nedeljkovic Arsenovic O, Vukmirovic J, Kostic J, Filipovic A, Bogdanovic L, Giga V. Chest Discomfort: Could Coronary Pathology Extend Beyond Atherosclerosis? Journal of Clinical Medicine. 2026; 15(3):1185. https://doi.org/10.3390/jcm15031185
Chicago/Turabian StyleMladenovic Markovic, Ana, Ana Tomic, Miodrag Nisevic, Olga Nedeljkovic Arsenovic, Jelica Vukmirovic, Jelena Kostic, Aleksandar Filipovic, Ljiljana Bogdanovic, and Vojislav Giga. 2026. "Chest Discomfort: Could Coronary Pathology Extend Beyond Atherosclerosis?" Journal of Clinical Medicine 15, no. 3: 1185. https://doi.org/10.3390/jcm15031185
APA StyleMladenovic Markovic, A., Tomic, A., Nisevic, M., Nedeljkovic Arsenovic, O., Vukmirovic, J., Kostic, J., Filipovic, A., Bogdanovic, L., & Giga, V. (2026). Chest Discomfort: Could Coronary Pathology Extend Beyond Atherosclerosis? Journal of Clinical Medicine, 15(3), 1185. https://doi.org/10.3390/jcm15031185

